A Comprehensive Review of Thyroid Eye Disease Pathogenesis: From Immune Dysregulations to Novel Diagnostic and Therapeutic Approaches
Abstract
1. Introduction
2. Pathogenesis
2.1. Autoantibodies
2.2. Immune Dysregulations Leading to Inflammation, Adipogenesis, Myofibrillogenesis, Hyaluronan Synthesis, and Scarring
3. Clinical Features
3.1. Risk Factors
3.1.1. Metabolic and Environmental Risk Factors
3.1.2. Genetic Risk Factors
4. Diagnostic Methods
4.1. History and Ocular Exam
4.2. Assessment of Clinical Activity
4.3. Imaging Modalities
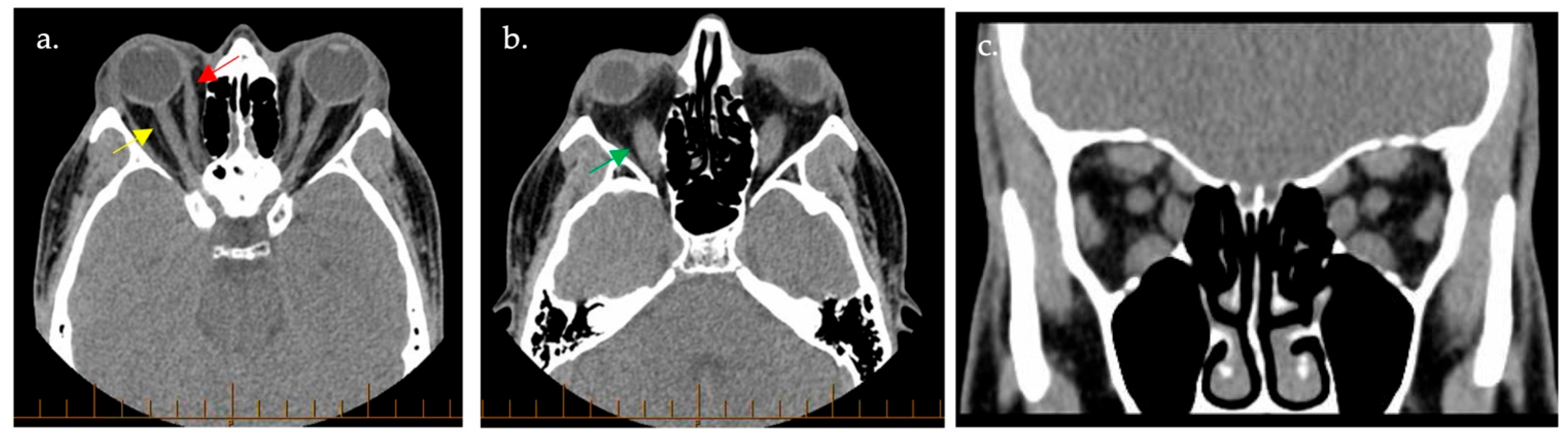
4.3.1. Computed Tomography
4.3.2. Magnetic Resonance Imaging
4.3.3. Orbital Color Doppler Imaging
4.4. Serologies and Molecular Biomarkers
| Sensitivity | Specificity | Reference | |
|---|---|---|---|
| TSHR-binding inhibitory immunoglobulin assay [87] | |||
| IMMULITE TSI | 98.6% | 98.5% | [87] |
| EliATM | 96.6% | 99.4% | [88] |
| Elecsys® | 100.0% | 95.3% | [88] |
| Cell-based bioassays with TSI measurement | |||
| ThyretainTM | 97.0% | 95.9% | [89] |
Liquid Biopsy: A Novel Approach
5. Current Therapeutic Approaches
6. Novel Therapeutic Approaches
6.1. Teprotumumab and IGF-1R Inhibitors
6.2. Tocilizumab and IL-6 Receptor Antagonists
6.3. Rituximab and Targeting B Cells
6.4. Future Therapeutic Possibilities
TSHR Inhibitors
| Drug | Mechanism of Action | Results | References |
|---|---|---|---|
| VRDN-002 | Antibody targeting IGF-R1 | Safely administered to primates intravenously and subcutaneously with increased half-life compared to VRDN-001 | [129,130] |
| VRDN-003 | Antibody Targeting IGF-R1 | Safely administered to primates intravenously and subcutaneously with increased half-life compared to VRDN-001 | [131,132] |
| S37A | Small molecule that interferes with signal transduction of TSHR | Can inhibit TSHR signaling in the presence of its ligand TSH | [147] |
| ANTAG3 and Lisitinib | Antibody targeting both TSHR and IGF-R1 | A synergistic effect of the drug combination was seen in GO fibroblasts | [148] |
6.5. Future Therapeutic Strategies
6.5.1. Targeting Cytokines
6.5.2. Neonatal Fragment Crystallizable Receptor
6.5.3. Sirolimus
6.5.4. Statins
7. Novel Advances in Artificial Intelligence for the Management of Thyroid Eye Disease
7.1. Diagnostic Applications
7.2. Disease Monitoring
7.3. Decision Making Tool
8. Current Challenges and Future Perspectives
Author Contributions
Funding
Conflicts of Interest
References
- Bartalena, L.; Gallo, D.; Tanda, M.L.; Kahaly, G.J. Thyroid Eye Disease: Epidemiology, Natural History, and Risk Factors. Ophthal. Plast. Reconstr. Surg. 2023, 39, S2–S8. [Google Scholar] [CrossRef] [PubMed]
- Moledina, M.; Damato, E.M.; Lee, V. The changing landscape of thyroid eye disease: Current clinical advances and future outlook. Eye 2024, 38, 1425–1437. [Google Scholar] [CrossRef] [PubMed]
- Singh, G.; Sehgal, M.; Mithal, A.; Alabiad, C.; Kossler, A. Severe thyroid eye disease in the US: A national perspective. J. Endocr. Soc. 2021, 5 (Suppl. S1), A843. [Google Scholar] [CrossRef]
- Cockerham, K.P.; Padnick-Silver, L.; Stuertz, N.; Francis-Sedlak, M.; Holt, R.J. Quality of Life in Patients with Chronic Thyroid Eye Disease in the United States. Ophthalmol. Ther. 2021, 10, 975–987. [Google Scholar] [CrossRef]
- Smith, T.J.; Hegedüs, L.; Lesser, I.; Perros, P.; Dorris, K.; Kinrade, M.; Troy-Ott, P.; Wuerth, L.; Nori, M. How patients experience thyroid eye disease. Front. Endocrinol. 2023, 14, 1283374. [Google Scholar] [CrossRef]
- Gupta, V.; Hammond, C.L.; Roztocil, E.; Gonzalez, M.O.; Feldon, S.E.; Woeller, C.F. Thinking inside the box: Current insights into targeting orbital tissue remodeling and inflammation in thyroid eye disease. Surv. Ophthalmol. 2022, 67, 858–874. [Google Scholar] [CrossRef]
- Smith, T.J. New advances in understanding thyroid-associated ophthalmopathy and the potential role for insulin-like growth factor-I receptor. F1000Research 2018, 7, 134. [Google Scholar] [CrossRef]
- Khong, J.J.; McNab, A.A.; Ebeling, P.R.; Craig, J.E.; Selva, D. Pathogenesis of thyroid eye disease: Review and update on molecular mechanisms. Br. J. Ophthalmol. 2016, 100, 142. [Google Scholar] [CrossRef]
- Bahn, R.S. Graves’ ophthalmopathy. N. Engl. J. Med. 2010, 362, 726–738. [Google Scholar] [CrossRef]
- Guo, N.; Woeller, C.F.; Feldon, S.E.; Phipps, R.P. Peroxisome proliferator-activated receptor γ ligands inhibit transforming growth factor-β-induced, hyaluronan-dependent, T cell adhesion to orbital fibroblasts. J. Biol. Chem. 2011, 286, 18856–18867. [Google Scholar] [CrossRef]
- Pawlowski, P.; Wawrusiewicz-Kurylonek, N.; Eckstein, A.; Reszec, J.; Luczynski, W.; Johnson, K.; Kretowski, A.; Bakunowicz-Lazarczyk, A.; Gorska, M.; Szamatowicz, J.; et al. Disturbances of Modulating Molecules (FOXP3, CTLA-4/CD28/B7, and CD40/CD40L) mRNA Expressions in the Orbital Tissue from Patients with Severe Graves’ Ophthalmopathy. Mediat. Inflamm. 2015, 2015, 340934. [Google Scholar] [CrossRef] [PubMed]
- Yang, I.-H.; Rose, G.E.; Ezra, D.G.; Bailly, M. Macrophages promote a profibrotic phenotype in orbital fibroblasts through increased hyaluronic acid production and cell contractility. Sci. Rep. 2019, 9, 9622. [Google Scholar]
- Łacheta, D.; Miśkiewicz, P.; Głuszko, A.; Nowicka, G.; Struga, M.; Kantor, I.; Poślednik, K.B.; Mirza, S.; Szczepański, M.J. Immunological Aspects of Graves’ Ophthalmopathy. BioMed Res. Int. 2019, 2019, 7453260. [Google Scholar] [CrossRef]
- Roos, J.C.P.; Paulpandian, V.; Murthy, R. Serial TSH-receptor antibody levels to guide the management of thyroid eye disease: The impact of smoking, immunosuppression, radio-iodine, and thyroidectomy. Eye 2019, 33, 212–217. [Google Scholar] [CrossRef]
- Diana, T.; Brown, R.S.; Bossowski, A.; Segni, M.; Niedziela, M.; König, J.; Bossowska, A.; Ziora, K.; Hale, A.; Smith, J.; et al. Clinical Relevance of Thyroid-Stimulating Autoantibodies in Pediatric Graves’ Disease—A Multicenter Study. J. Clin. Endocrinol. Metab. 2014, 99, 1648–1655. [Google Scholar] [CrossRef]
- Varewijck, A.J.; Boelen, A.; Lamberts, S.W.J.; Fliers, E.; Hofland, L.J.; Wiersinga, W.M.; Janssen, J.A.M.J.L. Circulating IgGs May Modulate IGF-I Receptor Stimulating Activity in a Subset of Patients with Graves’ Ophthalmopathy. J. Clin. Endocrinol. Metab. 2013, 98, 769–776. [Google Scholar] [CrossRef] [PubMed]
- Minich, W.B.; Dehina, N.; Welsink, T.; Schwiebert, C.; Morgenthaler, N.G.; Köhrle, J.; Eckstein, A.; Schomburg, L. Autoantibodies to the IGF1 receptor in Graves’ orbitopathy. J. Clin. Endocrinol. Metab. 2013, 98, 752–760. [Google Scholar] [CrossRef]
- Gontarz-Nowak, K.; Szychlińska, M.; Matuszewski, W.; Stefanowicz-Rutkowska, M.; Bandurska-Stankiewicz, E. Current knowledge on Graves’ orbitopathy. J. Clin. Med. 2020, 10, 16. [Google Scholar] [CrossRef]
- Weightman, D.R.; Perros, P.; Sherif, I.H.; Kendall-Taylor, P. Autoantibodies to IGF-1 binding sites in thyroid associated ophthalmopathy. Autoimmunity 1993, 16, 251–257. [Google Scholar] [CrossRef]
- Wu, Y.; Zhang, J.; Deng, W.; Mo, C.; Liang, Y.; Huang, K.; Xu, F.; Tang, F. Comparison of orbital fibroblasts from Graves’ ophthalmopathy and healthy control. Heliyon 2024, 10, e28397. [Google Scholar] [CrossRef]
- Tuncel, M. Thyroid Stimulating Hormone Receptor. Mol. Imaging Radionucl. Ther. 2017, 26 (Suppl. S1), 87–91. [Google Scholar] [CrossRef] [PubMed]
- Woeller, C.F.; Roztocil, E.; Hammond, C.; Feldon, S.E. TSHR Signaling Stimulates Proliferation Through PI3K/Akt and Induction of miR-146a and miR-155 in Thyroid Eye Disease Orbital Fibroblasts. Investig. Ophthalmol. Vis. Sci. 2019, 60, 4336–4345. [Google Scholar] [CrossRef] [PubMed]
- Krieger, C.C.; Kahaly, G.J.; Azam, A.; Klubo-Gwiezdzinska, J.; Neumann, S.; Gershengorn, M.C. Graves’ Autoantibodies Exhibit Different Stimulating Activities in Cultures of Thyrocytes and Orbital Fibroblasts Not Reflected by Clinical Assays. Thyroid® 2022, 32, 90–96. [Google Scholar] [CrossRef]
- LeRoith, D.; Holly, J.M.P.; Forbes, B.E. Insulin-like growth factors: Ligands, binding proteins, and receptors. Mol. Metab. 2021, 52, 101245. [Google Scholar] [CrossRef] [PubMed]
- Hoa, N.; Tsui, S.; Afifiyan, N.F.; Sinha Hikim, A.; Li, B.; Douglas, R.S.; Smith, T.J. Nuclear targeting of IGF-1 receptor in orbital fibroblasts from Graves’ disease: Apparent role of ADAM17. PLoS ONE 2012, 7, e34173. [Google Scholar] [CrossRef]
- Wang, R.; Song, D.; Zhong, Y.; Li, H. Potential role of IGF-1R in the interaction between orbital fibroblasts and B lymphocytes: An implication for B lymphocyte depletion in the active inflammatory phase of thyroid-associated ophthalmopathy. BMC Immunol. 2024, 25, 31. [Google Scholar] [CrossRef]
- Mohyi, M.; Smith, T.J. IGF1 receptor and thyroid-associated ophthalmopathy. J. Mol. Endocrinol. 2018, 61, T29–T43. [Google Scholar] [CrossRef]
- Paik, J.S.; Kim, S.-E.; Kim, J.H.; Lee, J.-Y.; Yang, S.-W.; Lee, S.-B. Insulin-like growth factor-1 enhances the expression of functional TSH receptor in orbital fibroblasts from thyroid-associated ophthalmopathy. Immunobiology 2020, 225, 151902. [Google Scholar] [CrossRef]
- Kiernan, K.; Alwarawrah, Y.; Nichols, A.G.; Danzaki, K.; MacIver, N.J. Insulin and IGF-1 have both overlapping and distinct effects on CD4+ T cell mitochondria, metabolism, and function. Sci. Rep. 2024, 14, 4331. [Google Scholar] [CrossRef]
- Fang, S.; Huang, Y.; Zhong, S.; Li, Y.; Zhang, Y.; Li, Y.; Sun, J.; Liu, X.; Wang, Y.; Zhang, S.; et al. Regulation of Orbital Fibrosis and Adipogenesis by Pathogenic Th17 Cells in Graves Orbitopathy. J. Clin. Endocrinol. Metab. 2017, 102, 4273–4283. [Google Scholar] [CrossRef]
- Buonfiglio, F.; Ponto, K.A.; Pfeiffer, N.; Kahaly, G.J.; Gericke, A. Redox mechanisms in autoimmune thyroid eye disease. Autoimmun. Rev. 2024, 23, 103534. [Google Scholar] [CrossRef] [PubMed]
- Dik, W.A.; Virakul, S.; van Steensel, L. Current perspectives on the role of orbital fibroblasts in the pathogenesis of Graves’ ophthalmopathy. Role Ocul. Fibros. Ophthalmic Dis. 2016, 142, 83–91. [Google Scholar] [CrossRef] [PubMed]
- Rapoport, B.; Pillarisetty, R.J.; Herman, E.A.; Congco, E.G. Evidence for prostaglandin production by human lymphocytes during culture with human thyroid cells in monolayer: A possible role for prostaglandins in the pathogenesis of graves’ disease. Biochem. Biophys. Res. Commun. 1977, 77, 1245–1250. [Google Scholar] [CrossRef] [PubMed]
- Aoun, T.; Danielova Gueorguieva, D.; Wu, K.Y. Orbital Inflammation in Thyroid Eye Disease: Stress Responses and Their Implications. Stresses 2024, 4, 54–78. [Google Scholar] [CrossRef]
- Ahsanuddin, S.; Wu, A.Y. Single-cell transcriptomics in thyroid eye disease. Taiwan J. Ophthalmol. 2023. [Google Scholar] [CrossRef]
- Patrick, C.; Roztocil, E.; Husain, F.; Feldon, S.E.; Woeller, C. Activating the aryl hydrocarbon receptor with naturally occurring compounds to mitigate thyroid eye disease orbital fibroblast activation. Investig. Ophthalmol. Vis. Sci. 2024, 65, 3052. [Google Scholar]
- Girnita, L.; Smith, T.J.; Janssen, J.A.M.J.L. It Takes Two to Tango: IGF-I and TSH Receptors in Thyroid Eye Disease. J. Clin. Endocrinol. Metab. 2022, 107 (Suppl. S1), S1–S12. [Google Scholar] [CrossRef]
- Zhou, M.; Lin, B.; Wu, P.; Ke, Y.; Huang, S.; Zhang, F.; Hei, X.; Mao, Z.; Li, X.; Wan, P.; et al. SOX9 Induces Orbital Fibroblast Activation in Thyroid Eye Disease Via MAPK/ERK1/2 Pathway. Investig. Ophthalmol. Vis. Sci. 2024, 65, 25. [Google Scholar] [CrossRef]
- Galgoczi, E.; Orsos, I.; Molnar, Z.; Ujhelyi, B.; Steiber, Z.; Szabo, L.; Dienes, B.; Csernoch, L.; Nagy, E.V.; Katko, M. Modelling of mechanical stimuli through piezo1 receptor activation and its effect on adipogenic differentiation of orbital fibroblasts. In Endocrine Abstracts; Bioscientifica: Bristol, UK, 2024; Volume 101. [Google Scholar]
- Ko, J.; Kim, Y.J.; Choi, S.H.; Lee, C.S.; Yoon, J.S. Yes-Associated Protein Mediates the Transition from Inflammation to Fibrosis in Graves’ Orbitopathy. Thyroid® 2023, 33, 1465–1475. [Google Scholar] [CrossRef]
- Chin, Y.H.; Ng, C.H.; Lee, M.H.; Koh, J.W.H.; Kiew, J.; Yang, S.P.; Sundar, G.; Khoo, C.M. Prevalence of thyroid eye disease in Graves’ disease: A meta-analysis and systematic review. Clin. Endocrinol. 2020, 93, 363–374. [Google Scholar] [CrossRef]
- Osaki, T.H.; Monteiro, L.G.; Osaki, M.H. Management of eyelid retraction related to thyroid eye disease. Taiwan J. Ophthalmol. 2022, 12, 12–21. [Google Scholar] [PubMed]
- Hoang, T.D.; Stocker, D.J.; Chou, E.L.; Burch, H.B. 2022 Update on Clinical Management of Graves’ Disease and Thyroid Eye Disease. Endocrinol. Metab. Clin. N. Am. 2022, 51, 287–304. [Google Scholar]
- Ugradar, S.; Goldberg, R.A.; Douglas, R.S. Changing the face of thyroid eye disease. Eye 2023, 37, 197–199. [Google Scholar] [PubMed]
- Subramaniam, D.L.; Yadalla, D.; Rajagopalan, J. Are Severe Forms of Thyroid Eye Disease Common in the Indian Population? Clinical Characteristics of 136 Patients from a Tertiary Eye Care Centre. Indian J. Endocrinol. Metab. 2023, 27, 56–61. [Google Scholar] [PubMed]
- Thornton, J.; Kelly, S.P.; Harrison, R.A.; Edwards, R. Cigarette smoking and thyroid eye disease: A systematic review. Eye 2007, 21, 1135–1145. [Google Scholar] [PubMed]
- Patel, P.; Khandji, J.; Kazim, M. Recurrent Thyroid Eye Disease. Ophthal. Plast. Reconstr. Surg. 2015, 31, 445–448. [Google Scholar]
- Kimball, L.E.; Kulinskaya, E.; Brown, B.; Johnston, C.; Farid, N.R. Does smoking increase relapse rates in Graves’ disease? J. Endocrinol. Investig. 2002, 25, 152–157. [Google Scholar]
- Rashad, R.; Pinto, R.; Li, E.; Sohrab, M.; Distefano, A.G. Thyroid Eye Disease. Life 2022, 12, 2084. [Google Scholar] [CrossRef]
- Stan, M.N.; Bahn, R.S. Risk factors for development or deterioration of Graves’ ophthalmopathy. Thyroid 2010, 20, 777–783. [Google Scholar]
- Zang, S.; Ponto, K.; Kahaly, G. Intravenous glucocorticoids for Graves’ orbitopathy: Efficacy and morbidity. J. Clin. Endocrinol. Metab. 2011, 96, 320–332. [Google Scholar]
- Park, J.; Kim, J.; Ryu, D.; Choi, H. Factors related to steroid treatment responsiveness in thyroid eye disease patients and application of SHAP for feature analysis with XGBoost. Front. Endocrinol. 2023, 14, 1079628. [Google Scholar] [CrossRef] [PubMed]
- Szelog, J.; Swanson, H.; Sniegowski, M.C.; Lyon, D.B. Thyroid Eye Disease. Mo. Med. 2022, 119, 343–350. [Google Scholar] [PubMed]
- Li, Z.; Cestari, D.M.; Fortin, E. Thyroid eye disease: What is new to know? Curr. Opin. Ophthalmol. 2018, 29, 528. [Google Scholar] [CrossRef]
- Rana, H.S.; Akella, S.S.; Clabeaux, C.E.; Skurski, Z.P.; Aakalu, V.K. Ocular Surface Disease in Thyroid Eye Disease: A Narrative Review. Ocul. Surf. 2022, 24, 67–73. [Google Scholar] [CrossRef] [PubMed]
- Kim, Y.S.; Kwak, A.Y.; Lee, S.Y.; Yoon, J.S.; Jang, S.Y. Meibomian gland dysfunction in Graves’ orbitopathy. Can. J. Ophthalmol. J. Can. Ophtalmol. 2015, 50, 278–282. [Google Scholar] [CrossRef] [PubMed]
- Gürdal, C.; Saraç, O.; Genç, I.; Kırımlıoğlu, H.; Takmaz, T.; Can, I. Ocular surface and dry eye in Graves’ disease. Curr. Eye Res. 2011, 36, 8–13. [Google Scholar] [CrossRef]
- Aass, C.; Norheim, I.; Eriksen, E.F.; Børnick, E.C.; Thorsby, P.M.; Pepaj, M. Comparative proteomic analysis of tear fluid in Graves’ disease with and without orbitopathy. Clin. Endocrinol. 2016, 85, 805–812. [Google Scholar] [CrossRef]
- Shah, S.S.; Patel, B.C. Thyroid Eye Disease. In StatPearls; StatPearls Publishing: Treasure Island, FL, USA, 2024. Available online: http://www.ncbi.nlm.nih.gov/books/NBK582134/ (accessed on 2 August 2024).
- Bajkowska, D.; Szelachowska, M.; Buczyńska, A.; Krętowski, A.J.; Siewko, K. Tears as a Source of Biomarkers in the Diagnosis of Graves’ Orbitopathy. Biomolecules 2022, 12, 1620. [Google Scholar] [CrossRef]
- Khazaei, H.; Khazaei, D.; Verma, R.; Ng, J.; Wilmarth, P.A.; David, L.L.; Rosenbaum, J.T. The Potential of Tear Proteomics for Diagnosis and Management of Orbital Inflammatory Disorders including Graves’ ophthalmopathy. Exp. Eye Res. 2021, 213, 108813. [Google Scholar] [CrossRef]
- Gupta, A.; Sadeghi, P.B.; Akpek, E.K. Occult Thyroid Eye Disease in Patients Presenting with Dry Eye Symptoms. Am. J. Ophthalmol. 2009, 147, 919–923. [Google Scholar] [CrossRef]
- Gürdal, C.; Genç, İ.; Saraç, Ö.; Gönül, İ.; Takmaz, T.; Can, İ. Topical Cyclosporine in Thyroid Orbitopathy-Related Dry Eye: Clinical Findings, Conjunctival Epithelial Apoptosis, and MMP-9 Expression. Curr. Eye Res. 2010, 35, 771–777. [Google Scholar] [CrossRef] [PubMed]
- Rana, K.; Juniat, V.; Patel, S.; Selva, D. Extraocular muscle enlargement. Graefes Arch. Clin. Exp. Ophthalmol. Albrecht Graefes Arch. Klin. Exp. Ophthalmol. 2022, 260, 3419–3435. [Google Scholar] [CrossRef] [PubMed]
- Glatt, H.J. Optic nerve dysfunction in thyroid eye disease: A clinician’s perspective. Radiology 1996, 200, 26–27. [Google Scholar] [CrossRef] [PubMed]
- Akbari, M.R.; Mirmohammadsadeghi, A.; Mahmoudzadeh, R.; Veisi, A. Management of Thyroid Eye Disease-Related Strabismus. J. Curr. Ophthalmol. 2020, 32, 1–13. [Google Scholar] [CrossRef] [PubMed]
- Yu, C.Y.; Ford, R.L.; Wester, S.T.; Shriver, E.M. Update on thyroid eye disease: Regional variations in prevalence, diagnosis, and management. Indian J. Ophthalmol. 2022, 70, 2335–2345. [Google Scholar] [CrossRef]
- Agarwal, A.; Khanam, S. Dysthyroid Optic Neuropathy. In StatPearls; StatPearls Publishing: Treasure Island, FL, USA, 2024. Available online: http://www.ncbi.nlm.nih.gov/books/NBK564299/ (accessed on 2 August 2024).
- Goel, R.; Shah, S.; Sundar, G.; Arora, R.; Gupta, S.; Khullar, T. Orbital and ocular perfusion in thyroid eye disease. Surv. Ophthalmol. 2023, 68, 481–506. [Google Scholar] [CrossRef]
- Delavar, A.; Radha Saseendrakumar, B.; Lee, T.C.; Topilow, N.J.; Ting, M.A.; Liu, C.Y.; Korn, B.S.; Weinreb, R.N.; Kikkawa, D.O.; Baxter, S.L. Associations Between Thyroid Eye Disease and Glaucoma Among Those Enrolled in the National Institutes of Health All of Us Research Program. Ophthal. Plast. Reconstr. Surg. 2023, 39, 336–340. [Google Scholar] [CrossRef]
- Kim, J.W.; Ko, J.; Woo, Y.J.; Bae, H.W.; Yoon, J.S. Prevalence of Ocular Hypertension and Glaucoma as Well as Associated Factors in Graves’ Orbitopathy. J. Glaucoma 2018, 27, 464–469. [Google Scholar] [CrossRef]
- Knepper, P.A.; Goossens, W.; Hvizd, M.; Palmberg, P.F. Glycosaminoglycans of the human trabecular meshwork in primary open-angle glaucoma. Investig. Ophthalmol. Vis. Sci. 1996, 37, 1360–1367. [Google Scholar]
- Wu, J.; Du, Y.; Li, J.; Fan, X.; Lin, C.; Wang, N. The influence of different intraocular pressure on lamina cribrosa parameters in glaucoma and the relation clinical implication. Sci. Rep. 2021, 11, 9755. [Google Scholar] [CrossRef]
- Lee, M.H.; Chin, Y.H.; Ng, C.H.; Nistala, K.R.Y.; Ow, Z.G.W.; Sundar, G.; Yang, S.P.; Khoo, C.M. Risk Factors of Thyroid Eye Disease. Endocr. Pract. 2021, 27, 245–253. [Google Scholar] [CrossRef] [PubMed]
- Yin, X.; Latif, R.; Bahn, R.; Tomer, Y.; Davies, T.F. Influence of the TSH receptor gene on susceptibility to Graves’ disease and Graves’ ophthalmopathy. Thyroid 2008, 18, 1201–1206. [Google Scholar] [CrossRef] [PubMed]
- Pawlak-Adamska, E.; Daroszewski, J.; Bolanowski, M.; Oficjalska, J.; Janusz, P.; Szalinski, M.; Frydecka, I. PPARg2 Ala 12 variant protects against Graves’ orbitopathy and modulates the course of the disease. Immunogenetics 2013, 65, 493–500. [Google Scholar] [CrossRef] [PubMed]
- Alevizaki, M.; Mantzou, E.; Cimponeriu, A.; Saltiki, K.; Philippou, G.; Wiersinga, W. The Pro12Ala PPARγ gene polymorphism: Possible modifier of the activity and severity of thyroid-associated orbitopathy (TAO). Clin. Endocrinol. 2009, 70, 464–468. [Google Scholar] [CrossRef] [PubMed]
- Huna-Baron, R.; Glovinsky, Y.; Habot-Wilner, Z. Comparison between Hardy–Rand–Rittler 4th edition and Ishihara color plate tests for detection of dyschromatopsia in optic neuropathy. Graefes Arch. Clin. Exp. Ophthalmol. 2013, 251, 585–589. [Google Scholar] [CrossRef] [PubMed]
- Barrio-Barrio, J.; Sabater, A.L.; Bonet-Farriol, E.; Velázquez-Villoria, Á.; Galofré, J.C. Graves’ Ophthalmopathy: VISA versus EUGOGO Classification, Assessment, and Management. J. Ophthalmol. 2015, 2015, 249125. [Google Scholar] [CrossRef] [PubMed]
- Tiong, T.Y.V.; Sundar, G.; Young, S.M.; Makmur, A.; Yong, H.R.C.; Wong, Y.L.J.; Lang, S.S.; Tan, A.P. A Novel Method of CT Exophthalmometry in Patients with Thyroid Eye Disease. Asia-Pac. J. Ophthalmol. 2020, 9, 39–43. [Google Scholar] [CrossRef]
- Monteiro, M.L.R.; Gonçalves, A.C.P.; Silva, C.T.M.; Moura, J.P.; Ribeiro, C.S.; Gebrim, E.M.M.S. Diagnostic Ability Of Barrett’s Index to Detect Dysthyroid Optic Neuropathy Using Multidetector Computed Tomography. Clinics 2008, 63, 301–306. [Google Scholar] [CrossRef]
- Shah, S.S.; Khanam, S. Orbital Color Doppler Imaging. In StatPearls; StatPearls Publishing: Treasure Island, FL, USA, 2024. Available online: http://www.ncbi.nlm.nih.gov/books/NBK572120/ (accessed on 2 August 2024).
- Kahaly, G.J.; Diana, T.; Olivo, P.D. TSH Receptor Antibodies: Relevance & Utility. Endocr. Pract. 2020, 26, 97–106. [Google Scholar]
- Diana, T.; Kahaly, G.J. Thyroid Stimulating Hormone Receptor Antibodies in Thyroid Eye Disease—Methodology and Clinical Applications. Ophthal. Plast. Reconstr. Surg. 2018, 34, S13. [Google Scholar] [CrossRef]
- Diana, T.; Ponto, K.A.; Kahaly, G.J. Thyrotropin receptor antibodies and Graves’ orbitopathy. J. Endocrinol. Investig. 2021, 44, 703–712. [Google Scholar]
- Ponto, K.A.; Diana, T.; Binder, H.; Matheis, N.; Pitz, S.; Pfeiffer, N.; Kahaly, G.J. Thyroid-stimulating immunoglobulins indicate the onset of dysthyroid optic neuropathy. J. Endocrinol. Investig. 2015, 38, 769–777. [Google Scholar]
- Bitcon, V.; Donnelly, J.; Kiaei, D. Sensitivity of assays for TSH-receptor antibodies. J. Endocrinol. Investig. 2016, 39, 1195–1196. [Google Scholar]
- López Ortega, J.M.; Martínez, P.S.; Acevedo-León, D.; Capell, N.E. Anti-TSH receptor antibodies (TRAb): Comparison of two third generation automated immunoassays broadly used in clinical laboratories and results interpretation. PLoS ONE 2022, 17, e0270890. [Google Scholar]
- Lee, J.I.; Jang, H.W.; Kim, S.K.; Choi, J.Y.; Kim, J.Y.; Hur, K.Y.; Kim, J.H.; Min, Y.-K.; Chung, J.H.; Kim, S.W. Diagnostic value of a chimeric TSH receptor (Mc4)-based bioassay for Graves’ disease. Korean J. Intern. Med. 2011, 26, 179–186. [Google Scholar]
- Lone, S.N.; Nisar, S.; Masoodi, T.; Singh, M.; Rizwan, A.; Hashem, S.; El-Rifai, W.; Bedognetti, D.; Batra, S.K.; Haris, M.; et al. Liquid biopsy: A step closer to transform diagnosis, prognosis and future of cancer treatments. Mol. Cancer 2022, 21, 79. [Google Scholar]
- Halawa, T.; Baeesa, S.; Fadul, M.M.; Badahdah, A.A.; Enani, M.; Fathaddin, A.A.; Kawass, D.; Alkhotani, A.; Bahakeem, B.; Kurdi, M. The Role of Liquid Biopsy in the Diagnosis and Prognosis of WHO Grade 4 Astrocytoma. Cureus 2023, 15, e41221. [Google Scholar]
- Kulbay, M.; Marcotte, E.; Remtulla, R.; Lau, T.H.; Paez-Escamilla, M.; Wu, K.Y.; Burnier, M.N. Uveal Melanoma: Comprehensive Review of Its Pathophysiology, Diagnosis, Treatment, and Future Perspectives. Biomedicines 2024, 12, 1758. [Google Scholar] [CrossRef]
- Douglas, C.E.; Roztocil, E.; Hammond, C.; Gonzalez, M.; Feldon, S.E.; Woeller, C. Investigating the role of circulating microRNAs as potential biomarkers for Thyroid Eye Disease. Investig. Ophthalmol. Vis. Sci. 2021, 62, 3349. [Google Scholar]
- Hammond, C.L.; Roztocil, E.; Gonzalez, M.O.; Feldon, S.E.; Woeller, C.F. MicroRNA-130a Is Elevated in Thyroid Eye Disease and Increases Lipid Accumulation in Fibroblasts Through the Suppression of AMPK. Investig. Ophthalmol. Vis. Sci. 2021, 62, 29. [Google Scholar]
- Kim, N.; Choung, H.; Kim, Y.J.; Woo, S.E.; Yang, M.K.; Khwarg, S.I.; Lee, M.J. Serum microRNA as a potential biomarker for the activity of thyroid eye disease. Sci. Rep. 2023, 13, 234. [Google Scholar]
- Xie, B.; Xiong, W.; Zhang, F.; Wang, N.; Luo, Y.; Chen, Y.; Cao, J.; Chen, Z.; Ma, C.; Chen, H. The miR-103a-3p/TGFBR3 axis regulates TGF-β-induced orbital fibroblast activation and fibrosis in thyroid-eye disease. Mol. Cell. Endocrinol. 2023, 559, 111780. [Google Scholar]
- Bartalena, L.; Kahaly, G.J.; Baldeschi, L.; Dayan, C.M.; Eckstein, A.; Marcocci, C.; Marinò, M.; Vaidya, B.; Wiersinga, W.M.; EUGOGO. The 2021 European Group on Graves’ orbitopathy (EUGOGO) clinical practice guidelines for the medical management of Graves’ orbitopathy. Eur. J. Endocrinol. 2021, 185, G43–G67. [Google Scholar] [PubMed]
- Marcocci, C.; Bartalena, L.; Tanda, M.L.; Manetti, L.; Dell’Unto, E.; Rocchi, R.; Barbesino, G.; Mazzi, B.; Bartolomei, M.P.; Lepri, P.; et al. Comparison of the effectiveness and tolerability of intravenous or oral glucocorticoids associated with orbital radiotherapy in the management of severe Graves’ ophthalmopathy: Results of a prospective, single-blind, randomized study. J. Clin. Endocrinol. Metab. 2001, 86, 3562–3567. [Google Scholar] [PubMed]
- van Geest, R.J.; Sasim, I.V.; Koppeschaar, H.P.F.; Kalmann, R.; Stravers, S.N.; Bijlsma, W.R.; Mourits, M.P. Methylprednisolone pulse therapy for patients with moderately severe Graves’ orbitopathy: A prospective, randomized, placebo-controlled study. Eur. J. Endocrinol. 2008, 158, 229–237. [Google Scholar] [PubMed]
- Bartalena, L. Prevention of Graves’ ophthalmopathy. Best Pract. Res. Clin. Endocrinol. Metab. 2012, 26, 371–379. [Google Scholar] [PubMed]
- Kahaly, G.J.; Pitz, S.; Hommel, G.; Dittmar, M. Randomized, single blind trial of intravenous versus oral steroid monotherapy in Graves’ orbitopathy. J. Clin. Endocrinol. Metab. 2005, 90, 5234–5240. [Google Scholar]
- Stiebel-Kalish, H.; Robenshtok, E.; Hasanreisoglu, M.; Ezrachi, D.; Shimon, I.; Leibovici, L. Treatment modalities for Graves’ ophthalmopathy: Systematic review and metaanalysis. J. Clin. Endocrinol. Metab. 2009, 94, 2708–2716. [Google Scholar]
- Strianese, D. Efficacy and Safety of Immunosuppressive Agents for Thyroid Eye Disease. Ophthal. Plast. Reconstr. Surg. 2018, 34 (Suppl. S1), S56–S59. [Google Scholar]
- Perros, P.; Weightman, D.R.; Crombie, A.L.; Kendall-Taylor, P. Azathioprine in the treatment of thyroid-associated ophthalmopathy. Acta Endocrinol. 1990, 122, 8–12. [Google Scholar]
- Rajendram, R.; Taylor, P.N.; Wilson, V.J.; Harris, N.; Morris, O.C.; Tomlinson, M.; Yarrow, S.; Garrott, H.; Herbert, H.M.; Dick, A.D.; et al. Combined immunosuppression and radiotherapy in thyroid eye disease (CIRTED): A multicentre, 2 × 2 factorial, double-blind, randomised controlled trial. Lancet Diabetes Endocrinol. 2018, 6, 299–309. [Google Scholar] [PubMed]
- Matsuda, S.; Koyasu, S. Mechanisms of action of cyclosporine. Immunopharmacology 2000, 47, 119–125. [Google Scholar]
- Prummel, M.F.; Mourits, M.P.; Berghout, A.; Krenning, E.P.; van der Gaag, R.; Koornneef, L.; Wiersinga, W.M. Prednisone and cyclosporine in the treatment of severe Graves’ ophthalmopathy. N. Engl. J. Med. 1989, 321, 1353–1359. [Google Scholar]
- Barbesino, G.; Salvi, M.; Freitag, S.K. Future Projections in Thyroid Eye Disease. J. Clin. Endocrinol. Metab. 2022, 107 (Suppl. S1), S47–S56. [Google Scholar] [PubMed]
- Lanzolla, G.; Maglionico, M.N.; Comi, S.; Menconi, F.; Piaggi, P.; Posarelli, C.; Figus, M.; Marcocci, C.; Marinò, M. Sirolimus as a second-line treatment for Graves’ orbitopathy. J. Endocrinol. Investig. 2022, 45, 2171–2180. [Google Scholar]
- Yong, K.-L.; Chng, C.-L.; Ming Sie, N.; Lang, S.; Yang, M.; Looi, A.; Choo, C.-T.; Shen, S.; Seah, L.L. Methotrexate as an Adjuvant in Severe Thyroid Eye Disease: Does It Really Work as a Steroid-Sparing Agent? Ophthal. Plast. Reconstr. Surg. 2019, 35, 369–373. [Google Scholar]
- Rivera-Grana, E.; Lin, P.; Suhler, E.B.; Rosenbaum, J.T. Methotrexate as a Corticosteroid-Sparing Agent for Thyroid Eye Disease. J. Clin. Exp. Ophthalmol. 2015, 6, 422. [Google Scholar]
- Strianese, D.; Iuliano, A.; Ferrara, M.; Comune, C.; Baronissi, I.; Napolitano, P.; D’Alessandro, A.; Grassi, P.; Bonavolontà, G.; Bonavolontà, P.; et al. Methotrexate for the treatment of thyroid eye disease. J. Ophthalmol. 2014, 2014, 128903. [Google Scholar]
- Douglas, R.S.; Dailey, R.; Subramanian, P.S.; Barbesino, G.; Ugradar, S.; Batten, R.; Qadeer, R.A.; Cameron, C. Proptosis and Diplopia Response with Teprotumumab and Placebo vs the Recommended Treatment Regimen with Intravenous Methylprednisolone in Moderate to Severe Thyroid Eye Disease: A Meta-analysis and Matching-Adjusted Indirect Comparison. JAMA Ophthalmol. 2022, 140, 328. [Google Scholar]
- Längericht, J.; Krämer, I.; Kahaly, G.J. Glucocorticoids in Graves’ orbitopathy: Mechanisms of action and clinical application. Ther. Adv. Endocrinol. Metab. 2020, 11, 204201882095833. [Google Scholar]
- Aktaran, Ş.; Akarsu, E.; Erbağci, İ.; Araz, M.; Okumuş, S.; Kartal, M. Comparison of intravenous methylprednisolone therapy vs. oral methylprednisolone therapy in patients with Graves’ ophthalmopathy: IVGC vs. OGC in Graves’ ophthalmopathy. Int. J. Clin. Pract. 2006, 61, 45–51. [Google Scholar] [PubMed]
- Lin, F.; Yao, Q.; Yu, B.; Deng, Z.; Qiu, J.; He, R. The Efficacy and Safety of Teprotumumab in Thyroid Eye Disease: Evidence from Randomized Controlled Trials. Int. J. Clin. Pract. 2023, 2023, 6638089. [Google Scholar] [PubMed]
- Najjar, W.; Yu, J. Audiologic Demonstration of Ototoxicity from Teprotumumab Treatment in a Patient with Thyroid Eye Disease. OTO Open 2022, 6, 2473974X221097097. [Google Scholar] [CrossRef] [PubMed]
- Perros, P.; Hegedüs, L. Teprotumumab in thyroid eye disease: Wonder drug or great divider? Eur. Thyroid J. 2023, 12, e230043. [Google Scholar] [PubMed]
- Burch, H.B.; Perros, P.; Bednarczuk, T.; Cooper, D.S.; Dolman, P.J.; Leung, A.M.; Mombaerts, I.; Salvi, M.; Stan, M.N. Management of thyroid eye disease: A consensus statement by the American Thyroid Association and the European Thyroid Association. Eur. Thyroid J. 2022, 11, e220189. [Google Scholar]
- Douglas, R.S.; Wang, Y.; Dailey, R.A.; Harris, G.J.; Wester, S.T.; Schiffman, J.S.; Tang, R.A.; Fowler, B.; Fleming, J.; Smith, T.J. Teprotumumab in Clinical Practice: Recommendations and Considerations from the OPTIC Trial Investigators. J. Neuroophthalmol. 2021, 41, 461–468. [Google Scholar]
- Bartalena, L.; Baldeschi, L.; Boboridis, K.; Eckstein, A.; Kahaly, G.J.; Marcocci, C.; Perros, P.; Salvi, M.; Wiersinga, W.M.; on behalf of the European Group on Graves’ Orbitopathy (EUGOGO). The 2016 European Thyroid Association/European Group on Graves’ Orbitopathy Guidelines for the Management of Graves’ Orbitopathy. Eur. Thyroid J. 2016, 5, 9–26. [Google Scholar]
- Marcocci, C.; Kahaly, G.J.; Krassas, G.E.; Bartalena, L.; Prummel, M.; Stahl, M.; Altea, M.A.; Nardi, M.; Pitz, S.; Boboridis, K.; et al. Selenium and the Course of Mild Graves’ Orbitopathy. N. Engl. J. Med. 2011, 364, 1920–1931. [Google Scholar]
- Yvon, C.; Khong, J.J.; Malhotra, R.; Patel, B.C. Teprotumumab. In StatPearls; StatPearls Publishing: Treasure Island, FL, USA, 2024. Available online: http://www.ncbi.nlm.nih.gov/books/NBK585036/ (accessed on 2 August 2024).
- Ugradar, S.; Kang, J.; Kossler, A.L.; Zimmerman, E.; Braun, J.; Harrison, A.R.; Bose, S.; Cockerham, K.; Douglas, R.S. Teprotumumab for the treatment of chronic thyroid eye disease. Eye 2022, 36, 1553–1559. [Google Scholar]
- Chen, H.; Mester, T.; Raychaudhuri, N.; Kauh, C.Y.; Gupta, S.; Smith, T.J.; Douglas, R.S. Teprotumumab, an IGF-1R blocking monoclonal antibody inhibits TSH and IGF-1 action in fibrocytes. J. Clin. Endocrinol. Metab. 2014, 99, E1635–E1640. [Google Scholar]
- Kamboj, A.; Harrison, A.R.; Mokhtarzadeh, A. Emerging therapies in the medical management of thyroid eye disease. Front. Ophthalmol. 2023, 3, 1295902. [Google Scholar]
- Douglas, R.S.; Kahaly, G.J.; Ugradar, S.; Elflein, H.; Ponto, K.A.; Fowler, B.T.; Dailey, R.; Harris, G.J.; Schiffman, J.; Tang, R.; et al. Teprotumumab Efficacy, Safety, and Durability in Longer-Duration Thyroid Eye Disease and Re-treatment. Ophthalmology 2022, 129, 438–449. [Google Scholar]
- Moster, M.; Douglas, R.; Cockerham, K.; Turbin, R.; Nijhawan, N.; Schiffman, J.; Ugradar, S.; O’Shaughnessy, D.; Summerfelt, R.; She, A.; et al. Phase 1/2 Clinical Study of VRDN-001, A Full Antagonist Antibody to the Insulin-Like Growth Factor-1 Receptor (IGF-1R), in Patients with Thyroid Eye Disease (TED) (P3-9.001). Neurology 2023, 100 (Suppl. S2), 2098. [Google Scholar]
- Dickinson, B. VRDN-002, A Second-Generation Insulin Like Growth Factor-1 Receptor (IGF-1R) Inhibitory Antibody for Thyroid Eye Disease: Preclinical Pharmacokinetics and Clinical Promise. Investig. Ophthalmol. Vis. Sci. 2022, 63, 3995–A0337. [Google Scholar]
- Foster, K.; She, A.; Summerfelt, R.M.; Dickinson, B.; Katz, B.; Wiczling, P.; Bedian, V. VRDN-002, a Next-Generation Half-life Extended Antagonist Antibody to IGF-1 Receptor for Thyroid Eye Disease (TED): Safety and Pharmacokinetic/Pharmacodynamic (PK/PD) Results in Healthy Volunteers. Investig. Ophthalmol. Vis. Sci. 2023, 64, 4038. [Google Scholar]
- Dickinson, B.; Foster, K.; Bedian, V. Preclinical Pharmacokinetics of VRDN-003, A Next-Generation Half-life Extended Antibody to the IGF-1 Receptor for Thyroid Eye Disease. Investig. Ophthalmol. Vis. Sci. 2023, 64, 4043. [Google Scholar]
- Newell, R.; Zhao, Y.; Bedian, V. Design and Preclinical Characterization of VRDN-003, a Next-Generation, Half-life Extended Antibody to IGF-1 Receptor in Development for Thyroid Eye Disease (TED). Investig. Ophthalmol. Vis. Sci. 2023, 64, 4044. [Google Scholar]
- Gulbins, A.; Horstmann, M.; Daser, A.; Flögel, U.; Oeverhaus, M.; Bechrakis, N.E.; Banga, J.P.; Keitsch, S.; Wilker, B.; Krause, G.; et al. Linsitinib, an IGF-1R inhibitor, attenuates disease development and progression in a model of thyroid eye disease. Front. Endocrinol. 2023, 14, 1211473. [Google Scholar]
- Puzanov, I.; Lindsay, C.R.; Goff, L.; Sosman, J.; Gilbert, J.; Berlin, J.; Poondru, S.; Simantov, R.; Gedrich, R.; Stephens, A.; et al. A Phase I Study of Continuous Oral Dosing of OSI-906, a Dual Inhibitor of Insulin-Like Growth Factor-1 and Insulin Receptors, in Patients with Advanced Solid Tumors. Clin. Cancer Res. 2015, 21, 701–711. [Google Scholar]
- Okuda, Y. Review of tocilizumab in the treatment of rheumatoid arthritis. Biol. Targets Ther. 2008, 2, 75–82. [Google Scholar]
- Perez-Moreiras, J.V.; Gomez-Reino, J.J.; Maneiro, J.R.; Perez-Pampin, E.; Romo Lopez, A.; Rodríguez Alvarez, F.M.; Castillo Laguarta, J.M.; Del Estad Cabello, A.; Gessa Sorroche, M.; España Gregori, E.; et al. Efficacy of Tocilizumab in Patients with Moderate-to-Severe Corticosteroid-Resistant Graves Orbitopathy: A Randomized Clinical Trial. Am. J. Ophthalmol. 2018, 195, 181–190. [Google Scholar] [CrossRef] [PubMed]
- Ceballos-Macías José, J.; Rivera-Moscoso, R.; Flores-Real Jorge, A.; Vargas-Sánchez, J.; Ortega-Gutiérrez, G.; Madriz-Prado, R.; Velasco-Ramos, P.D.L.C.; Muñoz-Monroy Omar, E.; Meneses-Pérez Anna, C.; Fernández-Morales Irma, N.; et al. Tocilizumab in glucocorticoid-resistant graves orbitopathy. A case series report of a mexican population. Ann. Endocrinol. 2020, 81, 78–82. [Google Scholar] [CrossRef] [PubMed]
- Sánchez-Bilbao, L.; Martínez-López, D.; Revenga, M.; López-Vázquez, Á.; Valls-Pascual, E.; Atienza-Mateo, B.; Valls-Espinosa, B.; Maiz-Alonso, O.; Blanco, A.; Torre-Salaberri, I.; et al. Anti-IL-6 Receptor Tocilizumab in Refractory Graves’ Orbitopathy: National Multicenter Observational Study of 48 Patients. J. Clin. Med. 2020, 9, 2816. [Google Scholar] [CrossRef] [PubMed]
- Duarte, A.F.; Xavier, N.F.; Sales Sanz, M.; Cruz, A.A.V. Efficiency and Safety of Tocilizumab for the Treatment of Thyroid Eye Disease: A Systematic Review. Ophthal. Plast. Reconstr. Surg. 2024, 40, 367–373. [Google Scholar] [CrossRef]
- Randall, K.L. Rituximab in autoimmune diseases. Aust. Prescr. 2016, 39, 131–134. [Google Scholar] [CrossRef]
- Ravani, P.; Bonanni, A.; Rossi, R.; Caridi, G.; Ghiggeri, G.M. Anti-CD20 Antibodies for Idiopathic Nephrotic Syndrome in Children. Clin. J. Am. Soc. Nephrol. CJASN 2016, 11, 710–720. [Google Scholar]
- Stan, M.N.; Garrity, J.A.; Carranza Leon, B.G.; Prabin, T.; Bradley, E.A.; Bahn, R.S. Randomized Controlled Trial of Rituximab in Patients with Graves’ Orbitopathy. J. Clin. Endocrinol. Metab. 2015, 100, 432–441. [Google Scholar] [CrossRef]
- Salvi, M.; Vannucchi, G.; Currò, N.; Campi, I.; Covelli, D.; Dazzi, D.; Simonetta, S.; Guastella, C.; Pignataro, L.; Avignone, S.; et al. Efficacy of B-Cell Targeted Therapy with Rituximab in Patients with Active Moderate to Severe Graves’ Orbitopathy: A Randomized Controlled Study. J. Clin. Endocrinol. Metab. 2015, 100, 422–431. [Google Scholar] [CrossRef]
- Blair, H.A.; Duggan, S.T. Belimumab: A Review in Systemic Lupus Erythematosus. Drugs 2018, 78, 355–366. [Google Scholar] [CrossRef]
- Lazzaroni, E.; Covelli, D.; Currò, N.; Campi, I.; Vannucchi, G.; Dazzi, D.; Muller, I.; Guastella, C.; Dolci, A.; Arosio, M.; et al. Comparison between the efficacy of the Anti-BAFF monoclonal antibody belimumab vs methylprednisolone in active moderate-severe graves’ orbitopathy: An interim analysis. In Endocrine Abstracts; Bioscientifica: Bristol, UK, 2020; Available online: http://www.endocrine-abstracts.org/ea/0070/ea0070yi9.htm (accessed on 2 August 2024).
- Zhang, L.; Baker, G.; Janus, D.; Paddon, C.A.; Fuhrer, D.; Ludgate, M. Biological Effects of Thyrotropin Receptor Activation on Human Orbital Preadipocytes. Investig. Opthalmology Vis. Sci. 2006, 47, 5197. [Google Scholar] [CrossRef]
- Marcinkowski, P.; Hoyer, I.; Specker, E.; Furkert, J.; Rutz, C.; Neuenschwander, M.; Sobottka, S.; Sun, H.; Nazare, M.; Berchner-Pfannschmidt, U.; et al. A New Highly Thyrotropin Receptor-Selective Small-Molecule Antagonist with Potential for the Treatment of Graves’ Orbitopathy. Thyroid 2019, 29, 111–123. [Google Scholar] [CrossRef] [PubMed]
- Place, R.F.; Krieger, C.C.; Neumann, S.; Gershengorn, M.C. Inhibiting thyrotropin/insulin-like growth factor 1 receptor crosstalk to treat Graves’ ophthalmopathy: Studies in orbital fibroblasts in vitro: Inhibiting TSHR/IGF-1R crosstalk in Graves’ ophthalmopathy. Br. J. Pharmacol. 2017, 174, 328–340. [Google Scholar] [CrossRef]
- Núñez Miguel, R.; Sanders, P.; Allen, L.; Evans, M.; Holly, M.; Johnson, W.; Sullivan, A.; Sanders, J.; Furmaniak, J.; Rees Smith, B. Structure of full-length TSH receptor in complex with antibody K1-70TM. J. Mol. Endocrinol. 2023, 70, e220120. [Google Scholar] [CrossRef]
- Furmaniak, J.; Sanders, J.; Sanders, P.; Li, Y.; Rees Smith, B. TSH receptor specific monoclonal autoantibody K1-70TM targeting of the TSH receptor in subjects with Graves’ disease and Graves’ orbitopathy—Results from a phase I clinical trial. Clin. Endocrinol. 2022, 96, 878–887. [Google Scholar] [CrossRef] [PubMed]
- Neumann, S.; Krieger, C.C.; Gershengorn, M.C. Targeting TSH and IGF-1 Receptors to Treat Thyroid Eye Disease. Eur. Thyroid J. 2020, 9 (Suppl. S1), 59–65. [Google Scholar] [CrossRef]
- Cieplińska, K.; Niedziela, E.; Kowalska, A. Immunological Processes in the Orbit and Indications for Current and Potential Drug Targets. J. Clin. Med. 2023, 13, 72. [Google Scholar] [CrossRef] [PubMed]
- Wu, P.; Lin, B.; Huang, S.; Meng, J.; Zhang, F.; Zhou, M.; Hei, X.; Ke, Y.; Yang, H.; Huang, D. IL-11 Is Elevated and Drives the Profibrotic Phenotype Transition of Orbital Fibroblasts in Thyroid-Associated Ophthalmopathy. Front. Endocrinol. 2022, 13, 846106. [Google Scholar] [CrossRef]
- Yan, C.; Duan, R.-S.; Yang, H.; Li, H.-F.; Zou, Z.; Zhang, H.; Zhou, H.; Li, X.-L.; Zhou, H.; Jiao, L.; et al. Therapeutic Effects of Batoclimab in Chinese Patients with Generalized Myasthenia Gravis: A Double-Blinded, Randomized, Placebo-Controlled Phase II Study. Neurol. Ther. 2022, 11, 815–834. [Google Scholar] [CrossRef]
- Janes, J.; Kahaly, G.; Liang, S.; Tedeschi, P. ODP509 Proof-of-concept, Multicenter, Open-Label Phase 2a Study of Batoclimab in Active and Moderate-to-Severe Thyroid Eye Disease. J. Endocr. Soc. 2022, 6 (Suppl. S1), A778–A779. [Google Scholar] [CrossRef]
- Lanzolla, G.; Sabini, E.; Leo, M.; Menconi, F.; Rocchi, R.; Sframeli, A.; Piaggi, P.; Nardi, M.; Marcocci, C.; Marinò, M. Statins for Graves’ orbitopathy (STAGO): A phase 2, open-label, adaptive, single centre, randomised clinical trial. Lancet Diabetes Endocrinol. 2021, 9, 733–742. [Google Scholar] [CrossRef]
- Yi, C.; Niu, G.; Zhang, Y.; Rao, J.; Liu, G.; Yang, W.; Fei, X. Advances in artificial intelligence in thyroid-associated ophthalmopathy. Front. Endocrinol. 2024, 15, 1356055. [Google Scholar]
- Zhang, Y.; Rao, J.; Wu, X.; Zhou, Y.; Liu, G.; Zhang, H. Automatic measurement of exophthalmos based orbital CT images using deep learning. Front. Cell Dev. Biol. 2023, 11, 1135959. [Google Scholar]
- Huang, X.; Ju, L.; Li, J.; He, L.; Tong, F.; Liu, S.; Li, P.; Zhang, Y.; Wang, X.; Yang, Z.; et al. An Intelligent Diagnostic System for Thyroid-Associated Ophthalmopathy Based on Facial Images. Front. Med. 2022, 9, 920716. [Google Scholar]
- Song, X.; Liu, Z.; Li, L.; Gao, Z.; Fan, X.; Zhai, G.; Zhou, H. Artificial intelligence CT screening model for thyroid-associated ophthalmopathy and tests under clinical conditions. Int. J. Comput. Assist. Radiol. Surg. 2021, 16, 323–330. [Google Scholar]
- Li, Y.; Ma, J.; Xiao, J.; Wang, Y.; He, W. Use of extreme gradient boosting, light gradient boosting machine, and deep neural networks to evaluate the activity stage of extraocular muscles in thyroid-associated ophthalmopathy. Graefes Arch. Clin. Exp. Ophthalmol. 2024, 262, 203–210. [Google Scholar]
- Moon, J.H.; Shin, K.; Lee, G.M.; Park, J.; Lee, M.J.; Choung, H.; Kim, N. Machine learning-assisted system using digital facial images to predict the clinical activity score in thyroid-associated orbitopathy. Sci. Rep. 2022, 12, 22085. [Google Scholar]
- Lee, J.; Lee, S.; Lee, W.J.; Moon, N.J.; Lee, J.K. Neural network application for assessing thyroid-associated orbitopathy activity using orbital computed tomography. Sci. Rep. 2023, 13, 13018. [Google Scholar]
- Fu, R.; Bandos, A.; Leader, J.K.; Melachuri, S.; Pradeep, T.; Bhatia, A.; Narayanan, S.; Campbell, A.A.; Zhang, M.; Sahel, J.-A.; et al. Artificial Intelligence Automation of Proptosis Measurement: An Indicator for Pediatric Orbital Abscess Surgery. Ophthalmol. Ther. 2023, 12, 2479–2491. [Google Scholar]
- Douglas, R.S.; Kossler, A.L.; Abrams, J.; Briceño, C.A.; Gay, D.; Harrison, A.; Lee, M.; Nguyen, J.; Joseph, S.S.; Schlachter, D.; et al. Expert Consensus on the Use of Teprotumumab for the Management of Thyroid Eye Disease Using a Modified-Delphi Approach. J. Neuroophthalmol. 2022, 42, 334–339. [Google Scholar] [CrossRef]







| Ocular Examination Component | Findings |
|---|---|
| Examination of the orbits and adnexa | |
| Eyelids | Presence of lateral flare, lid lag, lagophthalmos and Bell’s reflex, upper and lower eyelid retraction |
| Extraocular muscle assessment | Extraocular eye movement limitations Presence of proptosis secondary to extraocular muscle enlargement |
| Anterior segment examination | |
| Cornea | Decreased tear breakup time Superior limbic keratoconjunctivitis Exposure keratopathy Corneal ulceration |
| Posterior segment examination | |
| Optic nerve assessment | Increased cup-to-disc ratio Optic nerve head pallor Optic disc swelling Decreased color vision Presence or absence of a relative afferent pupillary defect |
| Neurological investigations | |
| Visual field testing | Presence of any visual field defect secondary to optic nerve damage |
| Grade | Criteria |
|---|---|
| NOSPECS a system | |
| 0 | No physical signs or symptoms |
| I | Only signs, no symptoms |
| II | Soft tissue involvement |
| II-0 | Absent |
| II-1 | Minimal |
| II-2 | Moderate |
| II-3 | Marked |
| III | Proptosis (>2 mm of normal upper limit) |
| III-1 | 3–4 mm |
| III-2 | 5–7 mm |
| III-3 | >8 mm |
| IV | Extraocular muscle involvement |
| IV-0 | Absent |
| IV-1 | Limitation of motion at extremes of gaze |
| IV-2 | Evident restriction of movements |
| IV-3 | Fixed globe(s) |
| V | Corneal involvement due to lagophthalmos |
| V-0 | Absent |
| V-1 | Stippling of cornea |
| V-2 | Ulceration |
| V-3 | Clouding, necrosis, and perforation |
| VI | Sight loss due to optic nerve involvement |
| VI-0 | Absent |
| VI-1 | Disc pallor or visual field defect Visual acuity 20/20 to 20/60 |
| VI-2 | Disc pallor or visual field defect Visual acuity 20/70 to 20/200 |
| VI-3 | Blindness Visual acuity less than 20/200 |
| Mild disease encompasses grades 1 to 3, whereas severe disease encompasses grades 4 to 6. | |
| RELIEF a system | |
| R | Resistance to retropulsion |
| E | Edema of conjunctiva and caruncle |
| L | Lacrimal gland enlargement |
| I | Edema of eyelids |
| F | Fullness of eyelids |
| Clinical activity score | |
| Initial evaluation scored out of 7 | |
| Spontaneous orbital pain | |
| Gaze-evoked orbital pain | |
| Lid edema | |
| Lid erythema | |
| Conjunctival erythema | |
| Chemosis | |
| Caruncle or plica inflammation | |
| Successive evaluations scored out of 10 | |
| Increase of >2 mm proptosis | |
| >8° decrease in ocular motility of one eye in any direction | |
| Decrease in visual acuity of 1 Snellen line | |
| A clinical assessment score (CAS) greater than 3 out of 7 or 4 out of 10 is considered to be an active disease. Each positive element is given one point. | |
| European Group of Graves’ Orbitopathy severity grading system | |
| Soft tissue assessment | |
| Eyelid swelling | |
| 1 | Absent |
| 2 | Mild: none of the features defining moderate or severe categories |
| 3 | Moderate: definite swelling, no lower eyelid festoons or angulation of the upper eyelid skin fold in downgaze |
| 4 | Severe: lower eyelid festoons or upper eyelid fold becomes rounded at 45° in downgaze |
| Eyelid erythema | |
| 1 | Absent |
| 2 | Present |
| Conjunctival erythema | |
| 1 | Absent |
| 2 | Mild: equivocal or minimal |
| 3 | Moderate: <50% |
| 4 | Severe: >50% |
| Conjunctival edema | |
| 1 | Absent |
| 2 | Present |
| Caruncle or plica semilunaris inflammation | |
| 1 | Absent |
| 2 | Present |
| Document | |
| Lid margin assessment at the mid-pupillary line | |
| Palpebral aperture (mm) | |
| Upper and lower lid retraction (mm) | |
| Levator function (mm) | |
| Lagophthalmos | |
| 1 | Absent |
| 2 | Present |
| Bell’s phenomenon | |
| 1 | Absent |
| 2 | Present |
| Proptosis assessment | |
| Hertel exophthalmometry to record intercanthal distance and amount of proptosis | |
| Ocular motility assessment | |
| Prism cover test | |
| Monocular ductions | |
| Head posture | |
| Torsion | |
| Binocular single vision | |
| Corneal integrity assessment | |
| Normal | |
| Punctate keratopathy | |
| Ulcer | |
| Perforation | |
| Optic nerve assessment | |
| Visual acuity | |
| Color vision | |
| Visual field analysis | |
| Optic disc assessment: normal, atrophied, glaucomatous, or edematous | |
| Afferent pupil defect | |
| 1 | Present |
| 2 | Absent |
| Mild disease encompasses one or more of the following: minor lid retraction (<2 mm), mild soft-tissue involvement, exophthalmos < 3 mm above normal for race and gender, no or intermittent diplopia, and corneal exposure responsive to treatments; moderate-to-severe disease encompasses two or more of the following: lid retraction > 2 mm, moderate or severe soft-tissue involvement, exophthalmos > 3 mm above normal for race and gender, inconsistent or consistent diplopia; sight-threatening disease encompasses patients with dysthyroid optic neuropathy and/or corneal breakdown. | |
| VISA a system | |
| 1 point | Vision |
| Visual acuity | |
| Pupillary reflex | |
| Color vision | |
| Visual fields | |
| Optic nerve examination | |
| Visual evoked potentials | |
| 10 points | Inflammation/congestion |
| Caruncular edema | |
| 0 | Absent |
| 1 | Present |
| Chemosis | |
| 0 | Absent |
| 1 | Conjunctiva lies behind the gray line of the lid |
| 2 | Conjunctiva extends anterior to the gray line of the lid |
| Conjunctival erythema | |
| 0 | Absent |
| 1 | Present |
| Lid redness | |
| 0 | Absent |
| 1 | Present |
| Lid edema | |
| 0 | Absent |
| 1 | Present, without redundant tissues |
| 2 | Present, with lower lid festoon and bulging palpebral skin |
| Retrobulbar ache at rest | |
| 0 | Absent |
| 1 | Present |
| Retrobulbar ache with gaze | |
| 0 | Absent |
| 1 | Present |
| Diurnal variation | |
| 0 | Absent |
| 1 | Present |
| 6 points | Strabismus/motility restriction |
| Diplopia | |
| 0 | Absent |
| 1 | Diplopia with horizontal or vertical gaze |
| 2 | Intermittent diplopia in primary gaze |
| 3 | Constant diplopia in primary gaze |
| Ocular restriction | |
| 0 | Duction > 45° |
| 1 | Duction 30–45° |
| 2 | Duction 15–30° |
| 3 | Duction < 15° |
| 3 points | Appearance/exposure |
| Appearance concerns (i.e., proptosis, lid retraction, and fat pockets) | |
| Symptoms from ocular exposure (i.e., foreign body sensation, photophobia, dryness, and secondary tearing) | |
| Measurements including eyelid retraction, scleral show, LPS function, lagophthalmos, and proptosis with Hertel exophthalmometer | |
| Signs of corneal exposure, including punctate epithelial erosions, ulcerations, corneal thinning, and corneal perforation | |
| The VISA classification system tool is useful for assessing disease progression or response to therapy, as well as disease activity or quiescence. | |
| Treatment | Posology | Advantages | Disadvantages | References |
|---|---|---|---|---|
| First-line treatments | ||||
| Intravenous Methylprednisolone (IVMP) | EUGOGO Regimen
|
|
| [97,98,99,100,101] |
| Oral Prednisone |
|
|
| [102] |
| Second-line treatments | ||||
| Azathioprine |
|
|
| [103,104,105] |
| Cyclosporine |
|
|
| [106,107,108] |
| Mycophenolate |
|
|
| [2] |
| Sirolimus |
|
|
| [109] |
| Methotrexate |
|
|
| [110,111,112] |
| NCT Number (Start-End Date) | Study Phase | Drug | Mechanism of Action | Study Title |
|---|---|---|---|---|
| NCT04598815 (2023–2025) | Phase II | Sirolimus | Inhibits T cell proliferation and fibroblast proliferation | Sirolimus for Graves’ Orbitopathy (GO) (SIRGO) |
| NCT04936854 (2023–2026) | Phase II | Sirolimus | Immunosuppression: inhibits T-cell activation, inhibits the IGF-1 pathway, anti-fibroblast effects | Sirolimus vs. Corticosteroids in Treatment of Thyroid Eye Disease |
| NCT05126147 (2022–2024) | Phase IV | Hydroxychloroquine | Inhibits proliferation and adipogenesis in orbital fibroblasts | Hydroxychloroquine in Mild Graves’ Orbitopathy |
| NCT04359979 (2020–2023) | N/A | Tamsulosin | Inhibits catecholamine alpha-1 receptors | Tamsulosin for Thyroid Lid Retraction |
| NCT05394857 (2022–2023) | Phase II | Vunakizumab | Antibody targeting IL-17a, preventing interaction with receptor | Efficacy and Safety of SHR-1314 by Subcutaneous Injection in Active Moderate to Severe Graves’ Orbitopathy Patients |
| NCT04737330 (2021–2023) | Phase III | Secukinumab | Antibody targeting IL-17a, preventing interaction with receptor | A Study of the Efficacy and Safety of Secukinumab 300 mg in Patients With Thyroid Eye Disease (TED) (ORBIT) |
| NCT05331300 (2022–2025) | Phase I/II | LASN01 | Antibody against IL-11R | A Study to Evaluate the Safety, Preliminary Efficacy, and Pharmacokinetic Properties of LASN01 in Healthy Subjects and in Patients With Pulmonary Fibrosis or Thyroid Eye Disease |
| NCT05002998 (2021–2025) | Phase IV | Teprotumumab | Antibody that inhibits IGF-1R | TEPEZZA® (Teprotumumab-trbw) Post-Marketing Requirement Study |
| NCT05276063 (2022–2026) | Phase IIb | Linsitinib | Small molecule that Inhibits intrinsic tyrosine kinase activity of IGF-1R and IR | A Phase 2b, Study of Linsitinib in Subjects With Active, Moderate to Severe Thyroid Eye Disease (LIDS) |
| NCT05176639 (2021–2023) | Phase I, II, III | VRDN-001 | Antibody that Inhibits IGF-1R | A Safety, Tolerability and Efficacy Study of VRDN 001 in Healthy Volunteers and Persons With Thyroid Eye Disease (THRIVE) |
| NCT06021054 (2023–2025) | Phase III | VRDN-001 | Antibody that Inhibits IGF-1R | A Randomized, Double-masked, Placebo-controlled Safety, Tolerability, and Efficacy Study of VRDN-001, a Humanized Monoclonal Antibody Directed Against the IGF-1 Receptor, in Participants With Chronic Thyroid Eye Disease (TED) (THRIVE-2) |
| NCT06384547 (2024–2026) | Phase III | VRDN-001 | Antibody that Inhibits IGF-1R | A Randomized, Active Controlled, Safety and Tolerability Study of VRDN-001 in Participants With Thyroid Eye Disease (TED) (STRIVE) |
| NCT05683496 (2023–2024) | Phase I-II | Lonigutamab | Inhibits IGF-1R | A Phase 1/2, Adaptive, Multiple Dose Ranging Study Evaluating the Safety, Tolerability, Pharmacokinetics, and Clinical Efficacy of Lonigutamab in Subjects With Thyroid Eye Disease (TED) |
| NCT04876534 (2022–2023) | Phase II | Tocilizumab | Antibody that inhibits membrane-bound and soluble IL-6R | Tocilizumab in Active Moderate-severe Graves’ Orbitopathy (TOGO) |
| NCT05987423 | Phase III | Satralizumab | Humanized monoclonal antibody targeting IL-6R | Study To Evaluate The Efficacy, Safety, Pharmacokinetics, And Pharmacodynamics Of Satralizumab In Participants With Moderate-To-Severe Thyroid Eye Disease |
| NCT02378298 (2011–2024) | Phase IV | Rituximab | Antibody that inhibits CD-20 on B lymphocytes | Rituximab (RTX) Therapy in Patients With Active TAO |
| EudraCT Number: 2015-002127-26 (2015-ongoing) | Phase II | Belimumab | Antibody targeting BLyS resulting in the inhibition of B cell differentiation and triggering apoptosis | Comparison between treatment with belimumab and methylprednisolone in Graves’hyperthyroidism (GD) and active orbitopathy (GO). |
| NCT05517421, NCT0552457 (2022–2025) | Phase III | Batoclimab | Inhibits binding of FcRn to anti-TSHR autoantibodies, leading to degradation of anti-TSHR autoantibodies | Study to Assess Batoclimab in Participants With Active Thyroid Eye Disease |
Disclaimer/Publisher’s Note: The statements, opinions and data contained in all publications are solely those of the individual author(s) and contributor(s) and not of MDPI and/or the editor(s). MDPI and/or the editor(s) disclaim responsibility for any injury to people or property resulting from any ideas, methods, instructions or products referred to in the content. |
© 2024 by the authors. Licensee MDPI, Basel, Switzerland. This article is an open access article distributed under the terms and conditions of the Creative Commons Attribution (CC BY) license (https://creativecommons.org/licenses/by/4.0/).
Share and Cite
Kulbay, M.; Tanya, S.M.; Tuli, N.; Dahoud, J.; Dahoud, A.; Alsaleh, F.; Arthurs, B.; El-Hadad, C. A Comprehensive Review of Thyroid Eye Disease Pathogenesis: From Immune Dysregulations to Novel Diagnostic and Therapeutic Approaches. Int. J. Mol. Sci. 2024, 25, 11628. https://doi.org/10.3390/ijms252111628
Kulbay M, Tanya SM, Tuli N, Dahoud J, Dahoud A, Alsaleh F, Arthurs B, El-Hadad C. A Comprehensive Review of Thyroid Eye Disease Pathogenesis: From Immune Dysregulations to Novel Diagnostic and Therapeutic Approaches. International Journal of Molecular Sciences. 2024; 25(21):11628. https://doi.org/10.3390/ijms252111628
Chicago/Turabian StyleKulbay, Merve, Stuti M. Tanya, Nicolas Tuli, Jade Dahoud, Andrea Dahoud, Fares Alsaleh, Bryan Arthurs, and Christian El-Hadad. 2024. "A Comprehensive Review of Thyroid Eye Disease Pathogenesis: From Immune Dysregulations to Novel Diagnostic and Therapeutic Approaches" International Journal of Molecular Sciences 25, no. 21: 11628. https://doi.org/10.3390/ijms252111628
APA StyleKulbay, M., Tanya, S. M., Tuli, N., Dahoud, J., Dahoud, A., Alsaleh, F., Arthurs, B., & El-Hadad, C. (2024). A Comprehensive Review of Thyroid Eye Disease Pathogenesis: From Immune Dysregulations to Novel Diagnostic and Therapeutic Approaches. International Journal of Molecular Sciences, 25(21), 11628. https://doi.org/10.3390/ijms252111628

