Interleukin-1 Beta (IL1B) and Nerve Growth Factor (NGF): Key Players in Rabbit Reproductive Regulation
Abstract
1. Introduction
2. Results
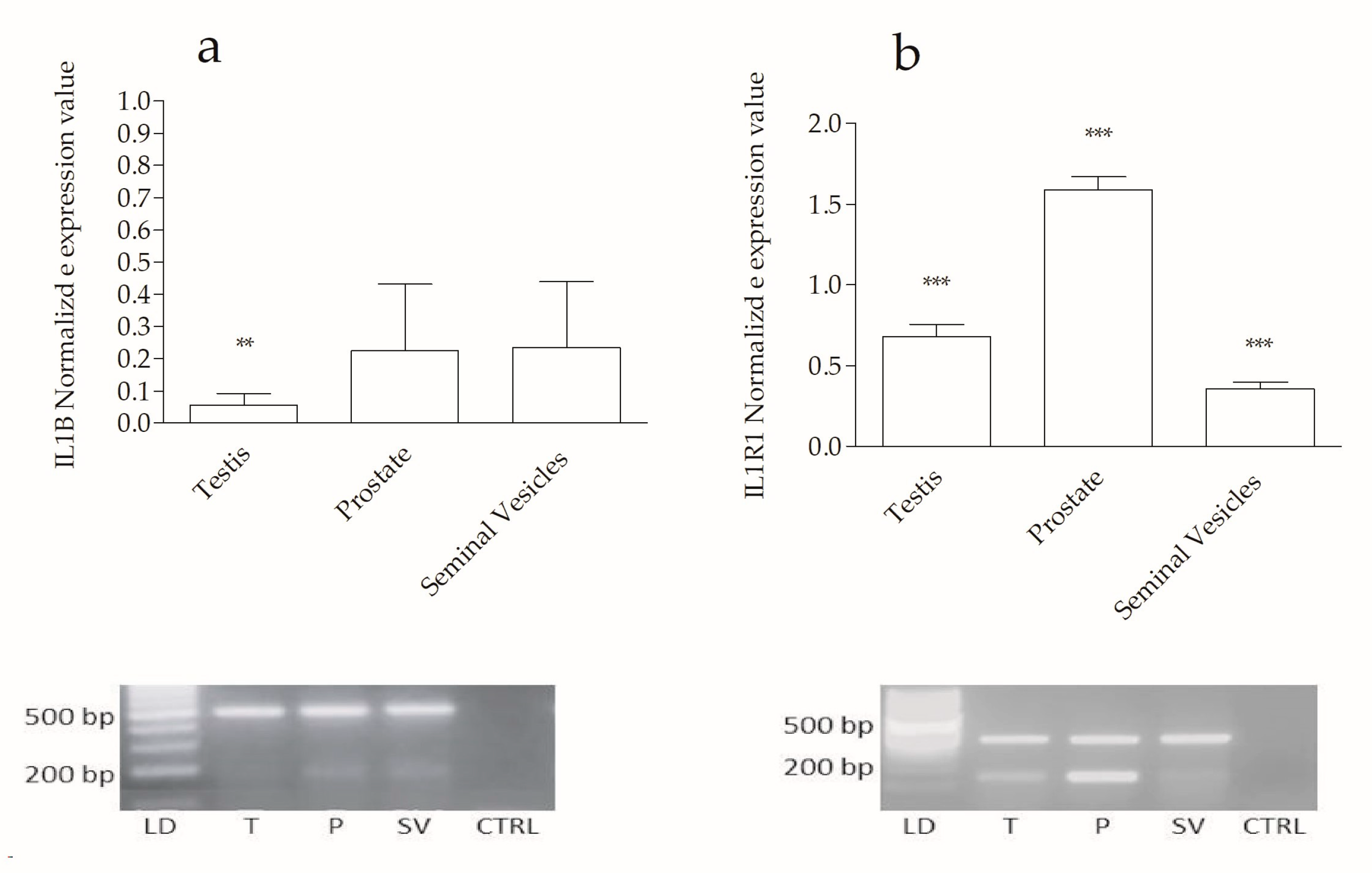
2.1. IL1B and IL1R1 Male Tissue Gene Expression
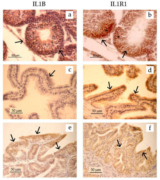
2.2. IL1B and IL1R1 Male Tissue Protein Localization
2.3. IL1B Seminal Plasma Protein Expression
2.4. IL1R1 and IL1R3 Gene Expression in the Uterus
2.5. IL1B, NGF, PGF2α, and PGE2 ELISA in Uterine Cultured Model
3. Discussion
4. Materials and Methods
4.1. Animal Enrollment and Experimental Design
- Step 1: Male
- -
- IL1B and IL1R1 gene expression and tissue protein localization
- Step 2: Female
- -
- IL1R1 and IL1R3 gene expression and protein tissue localization
- -
- Functional model of molecular reproduction crosstalk
4.2. Collection and Processing of Tissue and Seminal Plasma
4.3. IL1B and IL1R1 Male Tissue RT-PCR
4.4. IL1B and IL1R1 Male Tissue IHC
4.5. IL1B WB
4.6. IL1R1 and IL1R3 Uterine RT-qPCR
4.7. IL1R1 Female Tissue IHC
4.8. Ex Vivo Uterine Tissue Cultured Model
4.9. IL1B, NGF, PGF2α, and PGE2 Evaluation Using ELISA
4.10. Statistical Analysis
5. Conclusions
Author Contributions
Funding
Institutional Review Board Statement
Informed Consent Statement
Data Availability Statement
Acknowledgments
Conflicts of Interest
Abbreviations
| ANOVA | Analysis of variance |
| COX2 | Cyclooxygenase-2 |
| CREB | cyclic AMP response element-binding protein |
| EG | Experimental group |
| ELISA | Enzyme-linked immunosorbent assay |
| FFPE | Formalin-fixed paraffin-embedded |
| HRP | Avidin–Horseradish Peroxidase |
| IHC | Immunohistochemistry |
| IL1 | Interleukin-1 |
| IL1A | Interleukin-1 A |
| IL1B | Interleukin-1 B |
| IL1R1 | Interleukin-1 receptor type 1 |
| IL1R3 | Interleukin 1 receptor accessory protein |
| IL6 | Interleukin-6 |
| IRAK1 | Interleukin-1 receptor-associated kinase 1 |
| LPS | Lipopolysaccharide |
| MAPK | Mitogen-activated protein kinases |
| Myd88 | Myeloid differentiation primary response 88 |
| NF-kB | Nuclear factor-kappa B |
| NGF | Nerve growth factor |
| OD | Optical density |
| ON | Overnight |
| P | Prostate |
| p75NTR | p75 neurotrophin receptor |
| PBS | Buffered saline solution |
| PG | Prostaglandin |
| PGE2 | Prostaglandin E2 |
| PGF2α | Prostaglandin F2α |
| RT-qPCR | Quantitative reverse transcription PCR |
| RT | Reverse transcription |
| SDS-PAGE | Sodium dodecyl sulfate polyacrylamide gel |
| SV | Seminal vesicles |
| T | Testis |
| TBS | Tris-buffered saline |
| TIR | Toll-interleukin-1 receptor |
| TNF | Tumor necrosis factor |
| TRAF-6 | Tumor necrosis factor receptor-associated factor 6 |
| TRKA | Tropomyosin receptor kinase A |
| U | Uterus |
| UTF | Uterine tissue fragment |
| WB | Western Blotting |
References
- Paiva, L.; Silva, M.; Carrasco, R.; Ratto, V.; Goicochea, J.; Ratto, M. Seminal Plasma Nerve Growth Factor Signaling on the Reproductive Physiology of Female Llamas. Anim. Reprod. 2022, 19, e20220116. [Google Scholar] [CrossRef] [PubMed]
- Silva, J.R.V.; Lima, F.E.O.; Souza, A.L.P.; Silva, A.W.B. Interleukin-1β and TNF-α Systems in Ovarian Follicles and Their Roles during Follicular Development, Oocyte Maturation and Ovulation. Zygote 2020, 28, 270–277. [Google Scholar] [CrossRef]
- Azenabor, A.; Ekun, A.O.; Akinloye, O. Impact of Inflammation on Male Reproductive Tract. J. Reprod. Infertil. 2015, 16, 123–129. [Google Scholar] [PubMed]
- de Rivero Vaccari, J.P. The Inflammasome in Reproductive Biology: A Promising Target for Novel Therapies. Front. Endocrinol. 2020, 11, 8. [Google Scholar] [CrossRef]
- Di Paolo, N.C.; Shayakhmetov, D.M. Interleukin 1α and the Inflammatory Process. Nat. Immunol. 2016, 17, 906–913. [Google Scholar] [CrossRef]
- Seo, H.; Choi, Y.; Shim, J.; Choi, Y.; Ka, H. Regulatory Mechanism for Expression of IL1B Receptors in the Uterine Endometrium and Effects of IL1B on Prostaglandin Synthetic Enzymes During the Implantation Period in Pigs1. Biol. Reprod. 2012, 87, 31. [Google Scholar] [CrossRef] [PubMed]
- Ishiguro, T.; Takeda, J.; Fang, X.; Bronson, H.; Olson, D.M. Interleukin (IL)-1 in Rat Parturition: IL-1 Receptors 1 and 2 and Accessory Proteins Abundance in Pregnant Rat Uterus at Term—Regulation by Progesterone. Physiol. Rep. 2016, 4, e12866. [Google Scholar] [CrossRef] [PubMed]
- Ito, A.; Hiro, D.; Ojima, Y.; Mori, Y. Spontaneous Production of Interleukin-1-like Factors from Pregnant Rabbit Uterine Cervix. Am. J. Obstet. Gynecol. 1988, 159, 261–265. [Google Scholar] [CrossRef]
- Yoo, I.; Kim, M.; Han, J.; Jang, H.; Choi, S.-H.; Ka, H. Pro-Inflammatory Cytokines and Their Receptors: Expression and Regulation in the Uterine Endometrium during the Estrous Cycle in Pigs. J. Anim. Reprod. Biotechnol. 2016, 31, 323–333. [Google Scholar] [CrossRef]
- Acosta, T.J.; Miyamoto, A.; Ozawa, T.; Wijayagunawardane, M.P.B.; Sato, K. Local Release of Steroid Hormones, Prostaglandin E2, and Endothelin-1 from Bovine Mature Follicles In Vitro: Effects of Luteinizing Hormone, Endothelin-1, and Cytokines. Biol. Reprod. 1998, 59, 437–443. [Google Scholar] [CrossRef]
- Saito, J.; Ando, M.; Sussman, D.; Negishi, H.; King, G.; Adashi, E.Y. Interleukin 1 Upregulates Ovarian Prostaglandin Endoperoxide Synthase-2 Expression: Evidence for Prostaglandin-Dependent/Ceramide-Independent Transcriptional Stimulation and for Message Stabilization. Biol. Reprod. 2001, 65, 1759–1765. [Google Scholar] [CrossRef] [PubMed][Green Version]
- Phillips, D.M.; Mahler, S. Leukocyte Emigration and Migration in the Vagina Following Mating in the Rabbit. Anat. Rec. 1977, 189, 45–59. [Google Scholar] [CrossRef]
- Silva, M.; Niño, A.; Guerra, M.; Letelier, C.; Valderrama, X.P.; Adams, G.P.; Ratto, M.H. Is an Ovulation-Inducing Factor (OIF) Present in the Seminal Plasma of Rabbits? Anim. Reprod. Sci. 2011, 127, 213–221. [Google Scholar] [CrossRef] [PubMed]
- Cervantes, M.P.; Palomino, J.M.; Adams, G.P. In Vivo Imaging in the Rabbit as a Model for the Study of Ovulation-Inducing Factors. Lab. Anim. 2015, 49, 1–9. [Google Scholar] [CrossRef]
- Torrealba, N.; Rodríguez-Berriguete, G.; Fraile, B.; Olmedilla, G.; Martínez-Onsurbe, P.; Guil-Cid, M.; Paniagua, R.; Royuela, M. Expression of Several Cytokines in Prostate Cancer: Correlation with Clinical Variables of Patients. Relationship with Biochemical Progression of the Malignance. Cytokine 2017, 89, 105–115. [Google Scholar] [CrossRef] [PubMed]
- Castellini, C.; Mattioli, S.; Ruggeri, S.; Dal Bosco, A.; Collodel, G. The Time-Dependent Effects of Prostate Granules and Seminal Plasma on the Capacitation, Acrosome Reaction, and Motility of Rabbit Sperm. Anim. Reprod. Sci. 2013, 140, 97–102. [Google Scholar] [CrossRef]
- Cohen, D.R.; Basu, S.; Randall, J.M.; Aballa, T.C.; Lynne, C.M.; Brackett, N.L. Sperm Motility in Men With Spinal Cord Injuries Is Enhanced by Inactivating Cytokines in the Seminal Plasma. J. Androl. 2004, 25, 922–925. [Google Scholar] [CrossRef]
- Ganaiem, M.; AbuElhija, M.; Lunenfeld, E.; Cherniy, N.; Weisze, N.; Itach, S.B.-S.; Breitbart, H.; Apte, R.; Huleihel, M. Effect of Interleukin-1 Receptor Antagonist Gene Deletion on Male Mouse Fertility. Endocrinology 2009, 150, 295–303. [Google Scholar] [CrossRef]
- Gu, X.; Li, S.-Y.; Matsuyama, S.; DeFalco, T. Immune Cells as Critical Regulators of Steroidogenesis in the Testis and Beyond. Front. Endocrinol. 2022, 13, 894437. [Google Scholar] [CrossRef]
- Bagu, E.T.; Gordon, J.R.; Rawlings, N.C. Post-Natal Changes in Testicular Concentrations of Interleukin-1 Alpha and Beta and Interleukin-6 during Sexual Maturation in Bulls. Reprod. Domest. Anim. 2010, 45, 336–341. [Google Scholar] [CrossRef]
- Zhou, Z.; Zhou, X.; Jiang, X.; Yang, B.; Lu, X.; Fei, Y.; Zhao, L.; Chen, H.; Zhang, L.; Si, X.; et al. Single-Cell Profiling Identifies IL1Bhi Macrophages Associated with Inflammation in PD-1 Inhibitor-Induced Inflammatory Arthritis. Nat. Commun. 2024, 15, 2107. [Google Scholar] [CrossRef] [PubMed]
- Lopez-Castejon, G.; Brough, D. Understanding the Mechanism of IL-1β Secretion. Cytokine Growth Factor Rev. 2011, 22, 189–195. [Google Scholar] [CrossRef] [PubMed]
- Koga, Y.; Tsurumaki, H.; Aoki-Saito, H.; Sato, M.; Yatomi, M.; Takehara, K.; Hisada, T. Roles of Cyclic AMP Response Element Binding Activation in the ERK1/2 and P38 MAPK Signalling Pathway in Central Nervous System, Cardiovascular System, Osteoclast Differentiation and Mucin and Cytokine Production. Int. J. Mol. Sci. 2019, 20, 1346. [Google Scholar] [CrossRef] [PubMed]
- Davis, J.B.; Calvert, V.; Roberts, S.; Bracero, S.; Petricoin, E.; Couch, R. Induction of Nerve Growth Factor by Phorbol 12-Myristate 13-Acetate Is Dependent upon the Mitogen Activated Protein Kinase Pathway. Heliyon 2018, 4, e00617. [Google Scholar] [CrossRef] [PubMed]
- El-Sabrout, K.; Sherasiya, A.; Ahmad, S.; Aggag, S.; Nannoni, E.; Cavallini, D.; Buonaiuto, G. Environmental Enrichment in Rabbit Husbandry: Comparative Impacts on Performance and Welfare. Animals 2024, 14, 2367. [Google Scholar] [CrossRef]
- Bustin, S.A.; Benes, V.; Garson, J.A.; Hellemans, J.; Huggett, J.; Kubista, M.; Mueller, R.; Nolan, T.; Pfaffl, M.W.; Shipley, G.L.; et al. The MIQE Guidelines: Minimum Information for Publication of Quantitative Real-Time PCR Experiments. Clin. Chem. 2009, 55, 611–622. [Google Scholar] [CrossRef]
- Livak, K.J.; Schmittgen, T.D. Analysis of Relative Gene Expression Data Using Real-Time Quantitative PCR and the 2−ΔΔCT Method. Methods 2001, 25, 402–408. [Google Scholar] [CrossRef]









| Gene | Sequence Number | Primers | bp |
|---|---|---|---|
| IL1B | NM_001082201.1 | F—TGAGGCCGATGGTCCCAATTA | 183 |
| R—AAGGCCTGTGGGCAGGGAAC | |||
| IL1R1 | XM_008253215.2 | F—CTGCTGTCTTGGCCCTGTTA | 137 |
| R—GCATCCTCTTGAAAGGCCCT | |||
| 18S | QuantumRNA™ 18S endogenous reference gene | 489 |
| Antisera | Host | Dilution |
|---|---|---|
| 1 Polyclonal anti-IL1B B | Rabbit | 1:500 |
| 2 Polyclonal anti IL1R1 | Rabbit | 1:500 |
| 3 Anti-rabbit IgG Biotin conjugated | Goat | 1:200 |
| Gene Symbol | TaqMan ID | Reference Sequence | Exon Boundary | Amplicon bp |
|---|---|---|---|---|
| IL1R1 | Oc06785929_m1 | XM_002709884.3 | 8–9 | 76 |
| IL1R3 | Oc06776406_m1 | XM_008266655.2 | 2–3 | 65 |
| EGs | IL1B 1 100 mg/Well | IL1R1 Ant 2 7 mg/Well | NGF 3 8.1 ng/Well | TRKA Inh 4 10 pg/Well | p75NTR Inh 5 10 pg/Well | COX Inh 6 85 pg/Well |
|---|---|---|---|---|---|---|
| 1 | - | - | - | - | - | - |
| 2 | + | - | - | - | - | - |
| 3 | + | + | - | - | - | - |
| 4 | - | - | + | - | - | - |
| 5 | - | - | + | + | - | - |
| 6 | - | - | + | - | + | - |
| 7 | + | - | - | - | - | + |
Disclaimer/Publisher’s Note: The statements, opinions and data contained in all publications are solely those of the individual author(s) and contributor(s) and not of MDPI and/or the editor(s). MDPI and/or the editor(s) disclaim responsibility for any injury to people or property resulting from any ideas, methods, instructions or products referred to in the content. |
© 2024 by the authors. Licensee MDPI, Basel, Switzerland. This article is an open access article distributed under the terms and conditions of the Creative Commons Attribution (CC BY) license (https://creativecommons.org/licenses/by/4.0/).
Share and Cite
Guelfi, G.; Dall’Aglio, C.; Bufalari, A.; Mercati, F.; Anipchenko, P.; Capaccia, C.; Cocci, P.; Palermo, F.A.; Acuti, G.; Troisi, A.; et al. Interleukin-1 Beta (IL1B) and Nerve Growth Factor (NGF): Key Players in Rabbit Reproductive Regulation. Int. J. Mol. Sci. 2024, 25, 10986. https://doi.org/10.3390/ijms252010986
Guelfi G, Dall’Aglio C, Bufalari A, Mercati F, Anipchenko P, Capaccia C, Cocci P, Palermo FA, Acuti G, Troisi A, et al. Interleukin-1 Beta (IL1B) and Nerve Growth Factor (NGF): Key Players in Rabbit Reproductive Regulation. International Journal of Molecular Sciences. 2024; 25(20):10986. https://doi.org/10.3390/ijms252010986
Chicago/Turabian StyleGuelfi, Gabriella, Cecilia Dall’Aglio, Antonello Bufalari, Francesca Mercati, Polina Anipchenko, Camilla Capaccia, Paolo Cocci, Francesco Alessandro Palermo, Gabriele Acuti, Alessandro Troisi, and et al. 2024. "Interleukin-1 Beta (IL1B) and Nerve Growth Factor (NGF): Key Players in Rabbit Reproductive Regulation" International Journal of Molecular Sciences 25, no. 20: 10986. https://doi.org/10.3390/ijms252010986
APA StyleGuelfi, G., Dall’Aglio, C., Bufalari, A., Mercati, F., Anipchenko, P., Capaccia, C., Cocci, P., Palermo, F. A., Acuti, G., Troisi, A., Tomassoni, D., Boiti, C., Zerani, M., & Maranesi, M. (2024). Interleukin-1 Beta (IL1B) and Nerve Growth Factor (NGF): Key Players in Rabbit Reproductive Regulation. International Journal of Molecular Sciences, 25(20), 10986. https://doi.org/10.3390/ijms252010986

