Integrated Biological Experiments and Proteomic Analyses of Nicotiana tabacum Xylem Sap Revealed the Host Response to Tomato Spotted Wilt Orthotospovirus Infection
Abstract
1. Introduction
2. Results
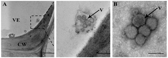
2.1. TSWV Virions Are Present in the Xylem of Nicotiana tabacum cv. K326
2.2. Multiple Analysis of Differentially Expressed Proteins
2.2.1. Differentially Expressed Proteins
2.2.2. GO Enrichment and KEGG Pathway Enrichment Using the DAPs in Response to TSWV Infection of the Xylem Sap
2.2.3. Cluster Analysis of Differentially Quantified Proteins
2.2.4. PPI Network Analysis of DEP Interactions
2.3. PRM Quantification of 20 Candidate Proteins
2.4. Relative Expression of Candidate Genes Based on DEPs
3. Discussion
3.1. TSWV Infection Affects Cell Wall Metabolism and Remodeling of Host Pant Tobacco K326
3.2. Disruption and Re-Regulation of Cell Redox Homeostasis of Host Plant during TSWV Infection
3.3. TSWV Infection-Induced PCD Pathway
3.4. Host Defense Response to TSWV Infection
3.4.1. Receptor-like Kinases (RLKs)
3.4.2. Pathogenesis Related (PR) Protein
3.4.3. Salicylic Acid Binding Protein (SABP)
3.4.4. DNA Methylation
3.4.5. Proteinase Inhibitor (PI)
4. Materials and Methods
4.1. Plant Materials and Virus Inoculation
4.2. RT-PCR Using for TSWV Detection
4.3. TEM Observation
4.4. Xylem Sap Collection
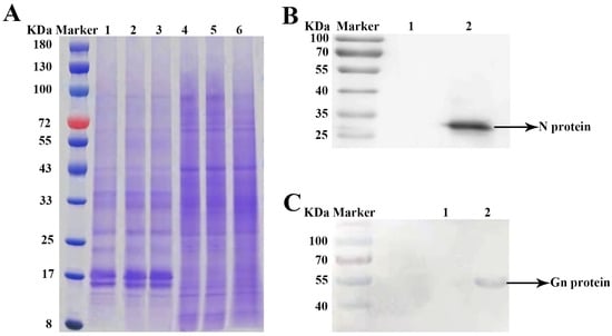
4.5. Xylem Sap Protein Extraction and Detection
4.6. Label-Free Quantitative Proteomics
4.6.1. High-Performance Liquid Chromatography (HPLC) Fractionation and Liquid Chromatography-Mass Spectrometry/Mass Spectrometry (LC-MS/MS) Analysis
4.6.2. Database Search and Bioinformatics Analysis
4.7. Verification of DEPs by Parallel Reaction Monitoring (PRM) Analysis
4.8. Quantitative Real-Time PCR (RT-qPCR) Analysis
5. Conclusions
Supplementary Materials
Author Contributions
Funding
Institutional Review Board Statement
Informed Consent Statement
Data Availability Statement
Conflicts of Interest
References
- Lucas, W.J.; Groover, A.; Lichtenberger, R.; Furuta, K.; Yadav, S.R.; Helariutta, Y. The plant vascular system: Evolution, development and functions. J. Integr. Plant Biol. 2013, 55, 294–388. [Google Scholar] [CrossRef]
- Růžička, K.; Ursache, R.; Hejátko, J.; Helariutta, Y. Xylem development—From the cradle to the grave. New Phytol. 2015, 207, 519–535. [Google Scholar] [CrossRef]
- Lough, T.J.; Lucas, W.J. Integrative plant biology: Role of phloem long-distance macromolecular trafficking—Annual review of plant biology. Annu. Rev. Plant Biol. 2006, 57, 203–232. [Google Scholar] [CrossRef]
- Jang, G.; Choi, Y.D. Drought stress promotes xylem differentiation by modulating the interaction between cytokinin and jasmonic acid. Plant Signal. Behav. 2018, 13, e1451707. [Google Scholar] [CrossRef]
- Subramanian, S.; Cho, U.H.; Keyes, C.; Yu, O. Distinct changes in soybean xylem sap proteome in response to pathogenic and symbiotic microbe interactions. BMC Plant Biol. 2009, 9, 119. [Google Scholar] [CrossRef]
- Pallas, V.; Gomez, G. Phloem RNA-binding proteins as potential components of the long-distance RNA transport system. Front. Plant Sci. 2013, 4, 130. [Google Scholar] [CrossRef]
- Zhang, Z.; Xin, W.; Wang, S. Xylem sap in cotton contains proteins that contribute to environmental stress response and cell wall development. Funct. Integr. Genom. 2015, 15, 17–26. [Google Scholar] [CrossRef]
- Lin, H.; Cheng, D.; Fritschi, F.; Walker, A. Identification of Grapevine Xylem Sap Protein Profiles in Response to Xylella fastidiosa Infection. Phytopathology 2009, 9, S74. [Google Scholar]
- Krishnan, H.B.; Natarajan, S.S.; Bennett, J.O.; Sicher, R.C. Protein and metabolite composition of xylem sap from field-grown soybeans (Glycine max). Planta 2011, 233, 921–931. [Google Scholar] [CrossRef]
- Ratzinger, A.; Riediger, N.; von Tiedemann, A.; Karlovsky, P. Salicylic acid and salicylic acid glucoside in xylem sap of Brassica napus infected with Verticillium longisporum. J Plant Res. 2009, 122, 571–579. [Google Scholar] [CrossRef]
- Manabayeva, S.A.; Shamekova, M.; Park, J.W.; Ding, X.S.; Nelson, R.S.; Hsieh, Y.C.; Omarov, R.T.; Scholthof, H.B. Differential requirements for tombusvirus coat protein and P19 in plants following leaf versus root inoculation. Virology 2013, 439, 89–96. [Google Scholar] [CrossRef]
- Opalka, N.; Brugidou, C.; Bonneau, C. Movement of rice yellow mottle virus between xylem cells through pit membranes. Proc. Natl. Acad. Sci. USA 1998, 95, 3323–3328. [Google Scholar] [CrossRef]
- Wan, J.; Cabanillas, D.G.; Zheng, H. Turnip mosaic virus moves systemically through both phloem and xylem as membrane-associated complexes. Plant Physiol. 2015, 167, 1374–1388. [Google Scholar] [CrossRef]
- Whitfield, A.E.; Kumar, N.K.K.; Rotenberg, D. A soluble form of the Tomato spotted wilt virus (TSWV) glycoprotein G(N) (G(N)-S) inhibits transmission of TSWV by Frankliniella occidentalis. Phytopathology 2008, 98, 45. [Google Scholar] [CrossRef]
- Goldbach, R.; Peters, D. Molecular and Biological Aspects of Tospoviruses; Springer: Boston, MA, USA, 1996. [Google Scholar]
- Prins, M.; Goldbach, R. The emerging problem of tospovirus infection andnonconventional methods of control. Trends Microbiol. 1998, 6, 31–35. [Google Scholar] [CrossRef]
- Filho, F.M.D.A.; Deom, C.M.; Sherwood, J.L. Acquisition of Tomato spotted wilt virus by Adults of Two Thrips Species. Phytopathology 2004, 94, 333. [Google Scholar] [CrossRef]
- Pappu, H.R.; Jones, R.A.C.; Jain, R.K. Global status of tospovirus epidemics in diverse cropping systems: Successes achieved and challenges ahead. Virus Res. 2009, 141, 219–236. [Google Scholar] [CrossRef]
- Huang, C.; Zhang, R.; Gui, J.; Zhong, Y.; Li, L. The Receptor-Like Kinase AtVRLK1 Regulates Secondary Cell Wall Thickening. Plant Physiol. 2018, 177, 671–683. [Google Scholar] [CrossRef]
- He, Z.H.; Fujiki, M.; Kohorn, B.D. A Cell Wall-associated; Receptor-like Protein Kinase. J. Biol. Chem. 1996, 271, 19789–19793. [Google Scholar] [CrossRef]
- Shih, H.W.; Miller, N.D.; Dai, C.; Spalding, E.P.; Monshausen, G.B. The receptor-like kinase FERONIA is required for mechanical signal transduction in Arabidopsis seedlings. Curr. Biol. 2014, 24, 1887–1892. [Google Scholar] [CrossRef]
- Mizuno, S.; Osakabe, Y.; Maruyama, K. Receptor-like protein kinase 2 (RPK 2) is a novel factor controlling anther development in Arabidopsis thaliana. Plant J. 2010, 50, 751–766. [Google Scholar] [CrossRef]
- Cai, Y.M.; Yu, J.; Gallois, P. Endoplasmic reticulum stress-induced PCD and caspase-likeactivities involved. Front. Plant Sci. 2014, 5, 41. [Google Scholar] [CrossRef]
- Cai, Y.M.; Yu, J. Two proteases with caspase-3-like activity; cathepsin B and proteasome, antagonistically control ERER-stress-induced programmed cell death in Arabidopsis. New Phytol. 2018, 218, 1143–1155. [Google Scholar] [CrossRef]
- Jm, S.; Jc, W. Plant protein kinase families and signal transduction. Plant Physiol. 1995, 2, 108. [Google Scholar]
- Li, J. Multi-tasking of somatic embryogenesis receptor-like protein kinases. Curr. Opin. Plant Biol. 2010, 13, 509–514. [Google Scholar] [CrossRef]
- Gou, X.; Yin, H.; He, K. Genetic evidence for an indispensable role of somatic embryogenesis receptor kinases in brassinosteroid signaling. PLoS Genet. 2012, 8, e1002452. [Google Scholar] [CrossRef]
- He, K.; Gou, X.; Yuan, T. BAK1 and BKK1 Regulate brassinosteroid-dependent growth and brassinosteroid-independent cell-death pathways. Curr. Biol. 2007, 17, 1109–1115. [Google Scholar] [CrossRef]
- Yamada, K.; Saijo, Y.; Nakagami, H.; Takano, Y. Regulation of sugar transporter activity for antibacterial defense in Arabidopsis. Science 2016, 354, 1427–1430. [Google Scholar] [CrossRef]
- Roux, M.; Schwessinger, B.; Albrecht, C.; Chinchilla, D.; Jones, A.; Holton, N.; Malinovsky, F.G.; Tor, M.; de Vries, S.; Zipfel, C. The Arabidopsis leucine-rich repeat receptor-like kinases BAK1/SERK3 and BKK1/SERK4 are required for innate immunity to hemibiotrophic and biotrophic pathogens. Plant Cell. 2011, 23, 2440–2455. [Google Scholar] [CrossRef]
- Dong, N.; Yin, W.; Liu, D.; Zhang, X.; Yu, Z.; Huang, W.; Liu, J.; Yang, Y.; Meng, W.; Niu, M.; et al. Regulation of Brassinosteroid Signaling and Salt Resistance by SERK2 and Potential Utilization for Crop Improvement in Rice. Front. Plant Sci. 2020, 11, 621859. [Google Scholar] [CrossRef]
- Sahni, S.; Prasad, B.D.; Liu, Q.; Grbic, V.; Sharpe, A.; Singh, S.P.; Krishna, P. Overexpression of the brassinosteroid biosynthetic gene DWF4 in Brassica napus simultaneously increases seed yield and stress tolerance. Sci. Rep. 2016, 6, 28298. [Google Scholar] [CrossRef] [PubMed]
- Li, H.; Cai, Z.; Wang, X.; Li, M.; Cu, Y.; Cui, N.; Yang, F.; Zhu, M.; Zhao, J.; Du, W. SERK receptor-like kinases controldivision patterns of vascular precursors and ground tissue stem cells during embryo development in Arabidopsis. Mol. Plant. 2019, 12, 984–1002. [Google Scholar] [CrossRef] [PubMed]
- Liu, J.; Li, J.; Shan, L. SERKs. Curr. Biol. 2020, 30, R293–R294. [Google Scholar] [CrossRef]
- Bourdais, G.; Burdiak, P.; Gauthier, A.; Nitsch, L.; Salojärvi, J.; Rayapuram, C.; Idänheimo, N.; Hunter, K.; Kimura, S.; Merilo, E. Large-Scale Phenomics Identifies Primary and Fine-Tuning Roles for CRKs in Responses Related to Oxidative Stress. PLoS Genet. 2015, 11, e1005373. [Google Scholar] [CrossRef] [PubMed]
- Chen, K.; Fan, B.; Du, L.; Chen, Z. Activation of hypersensitive cell death by pathogen-induced receptor-like protein kinases from Arabidopsis. Plant Mol. Biol. 2004, 56, 271–283. [Google Scholar] [CrossRef]
- Yeh, Y.H.; Chang, Y.H.; Huang, P.Y.; Huang, J.B.; Zimmerli, L. Enhanced Arabidopsis pattern-triggered immunity by overexpression of cysteinerich receptor-like kinases. Front. Plant Sci. 2015, 6, 322. [Google Scholar] [CrossRef]
- Delgado-Cerrone, L.; Alvarez, A.; Mena, E. Genome-wide analysis of the soybean CRK-family and transcriptional regulation by biotic stress signals triggering plant immunity. PLoS ONE 2018, 13, e0207438. [Google Scholar] [CrossRef]
- Sels, J.; Mathys, J.; De Coninck, B.M.; Cammue, B.P.; De Bolle, M.F. Plant pathogenesis-related (PR) proteins: A focus on PR peptides. Plant Physiol Biochem. 2008, 46, 941–950. [Google Scholar] [CrossRef]
- Finkina, E.I.; Melnikova, D.N.; Bogdanov, I.V.; Ovchinnikova, T.V. Plant Pathogenesis-Related Proteins PR-10 and PR-14 as Components of Innate Immunity System and Ubiquitous Allergens. Curr. Med. Chem. 2017, 24, 1772–1787. [Google Scholar] [CrossRef]
- Park, C.J.; Kim, K.J.; Shin, R.; Park, J.M.; Shin, Y.C.; Paek, K.H. Pathogenesis-related protein 10 isolated from hot pepper functions as a ribonuclease in an antiviral pathway. Plant J. 2004, 37, 186–198. [Google Scholar] [CrossRef]
- Guevara-Morato, M.A.; de Lacoba, M.G.; García-Luque, I.; Serra, M.T. Characterization of a pathogenesis-related protein 4 (PR-4) induced in Capsicum chinense L3 plants with dual RNase and DNase activities. J. Exp. Bot. 2010, 61, 3259–3271. [Google Scholar] [CrossRef]
- Choi, D.S.; Hwang, I.S.; Hwang, B.K. Requirement of the cytosolic interaction between PATHOGENESIS-RELATED PROTEIN10 and LEUCINE-RICH REPEAT PROTEIN1 for cell death and defense signaling in pepper. Plant Cell. 2012, 24, 1675–1690. [Google Scholar] [CrossRef]
- Hwang, I.S.; Choi, D.S.; Kim, N.H.; Kim, D.S.; Hwang, B.K. Pathogenesis-related protein 4b interacts with leucine-rich repeat protein 1 to suppress PR4b-triggered cell death and defense response in pepper. Plant J. 2014, 77, 521–533. [Google Scholar] [CrossRef]
- Legrand, M.; Kauffmann, S.; Geoffroy, P.; Fritig, B. Biological function of pathogenesis-related proteins: Four tobacco pathogenesis-related proteins are chitinases. Proc. Natl. Acad. Sci. USA 1987, 84, 6750–6754. [Google Scholar] [CrossRef]
- Kauffmann, S.; Legrand, M.; Geoffroy, P.; Fritig, B. Biological function of; pathogenesis-related’ proteins: Four PR proteins of tobacco have 1;3-beta-glucanase activity. EMBO J. 1987, 6, 3209–3212. [Google Scholar] [CrossRef]
- Edreva, A. Pathogenesis-related proteins: Research progress in the last 15 years. Gen. Appl. Plant Physiol. 2005, 31, 105–124. [Google Scholar]
- Breen, S.; Williams, S.J.; Outram, M.; Kobe, B.; Solomon, P.S. Emerging Insights into the Functions of Pathogenesis-Related Protein 1. Trends Plant Sci. 2017, 22, 871–879. [Google Scholar] [CrossRef]
- Cutt, J.R.; Harpster, M.H.; Dixon, D.C.; Carr, J.P.; Dunsmuir, P.; Klessig, D.F. Disease response to tobacco mosaic virus in transgenic tobacco plants that constitutively express the pathogenesis-related PR1b gene. Virology 1989, 173, 89–97. [Google Scholar] [CrossRef]
- Pokotylo, I.; Kravets, V.; Ruelland, E. Salicylic Acid Binding Proteins (SABPs): The Hidden Forefront of Salicylic Acid Signalling. Int. J. Mol. Sci. 2019, 20, 4377. [Google Scholar] [CrossRef] [PubMed]
- Haq, M.I.; Thakuri, B.K.C.; Hobbs, T.; Davenport, M.L.; Kumar, D. Tobacco SABP2-interacting protein SIP428 is a SIR2 type deacetylase. Plant Physiol. Biochem. 2020, 152, 72–80. [Google Scholar] [CrossRef] [PubMed]
- Kumar, D. Salicylic acid signaling in disease resistance. Plant Sci. 2014, 228, 127–134. [Google Scholar] [CrossRef] [PubMed]
- Rekhter, D.; Lüdke, D.; Ding, Y.; Feussner, K.; Zienkiewicz, K.; Lipka, V.; Wiermer, M.; Zhang, Y.; Feussner, I. Isochorismate-derived biosynthesis of the plant stress hormone salicylic acid. Science 2019, 365, 498–502. [Google Scholar] [CrossRef]
- Yuh, J.P. Effect of Pesticides on Salicylic Acid Binding Protein 2 (sabp2) and Plant Defense. Master’s Thesis, East Tennessee State University, Johnson City, TN, USA, 2011. [Google Scholar]
- Yang, X.; Xie, Y.; Raja, P.; Li, S.; Wolf, J.N.; Shen, Q.; Bisaro, D.M.; Zhou, X. Suppression of methylation-mediated transcriptional gene silencing by βC1-SAHH protein interaction during geminivirus-betasatellite infection. PLoS Pathog. 2011, 7, e1002329. [Google Scholar] [CrossRef] [PubMed]
- Haq, S.K.; Atif, S.M.; Khan, R.H. Protein proteinase inhibitor genes in combat against insects; pests; and pathogens: Natural and engineered phytoprotection. Arch. Biochem. Biophys. 2004, 431, 145–159. [Google Scholar] [CrossRef] [PubMed]
- Silva, Y.; Portieles, R.; Pujol, M. Expression of a microbial serine proteinase inhibitor gene enhances the tobacco defense against Oomycete pathogens. Physiol. Mol. Plant Pathol. 2013, 84, 99–106. [Google Scholar] [CrossRef][Green Version]
- Dib, H.X.; de Oliveira, D.G.L.; de Oliveira, C.F.R.; Taveira, G.B.; de Oliveira Mello, E.; Verbisk, N.V.; Chang, M.R.; Corrêa Junior, D.; Gomes, V.M.; Macedo, M.L.R. Biochemical characterization of a Kunitz inhibitor from Inga edulis seeds with antifungal activity against Candida spp. Arch. Mcrobiol. 2019, 201, 223–233. [Google Scholar] [CrossRef]
- Park, K.S.; Cheong, J.J.; Lee, S.J. A novel proteinase inhibitor gene transiently induced by Tobacco Mosaic virus infection. Biochim. Biophys. Acta 2000, 1492, 509–512. [Google Scholar] [CrossRef]
- Gutierrez-Campos, R.; Torres-Acosta, J.A.; Saucedo-Arias, L.J.; Gomez-Lim, M.A. The use of cysteine proteinase inhibitors to engineer resistance against potyviruses in transgenic tobacco plants. Nat. Biotechnol. 1999, 17, 1223–1226. [Google Scholar] [CrossRef]
- Sun, Y.D.; Zhang, L.; Folimonova, S.Y. Citrus miraculin-like protein hijacks a viral movement-related p33 protein and induces cellular oxidative stress in defence against Citrus tristeza virus. Plant Biotechnol. J. 2020, 19, 977–991. [Google Scholar] [CrossRef]
- Nelson, C.E.; Walker, S.M.; Makus, D. Plant Resistance to Insect; Hedin, P.A., Ed.; American Chemical Society: Washington, DC, USA, 1983; pp. 103–122. [Google Scholar]
- Lovato, F.A.; Inoue-Nagata, A.K.; Nagata, T. The N protein of Tomato spotted wilt virus (TSWV) is associated with the induction of programmed cell death (PCD) in Capsicum chinense plants, a hypersensitive host to TSWV infection. Virus Res. 2008, 137, 245–252. [Google Scholar] [CrossRef]
- Hamacher, M.; Eisenacher, M.; Stephan, C. cytoscape: Software for visualization and analysis of biological networks. In Data Mining in Proteomics; Methods in Molecular Biology Series; Humana Press: Totowa, NJ, USA, 2011; Volume 696, pp. 291–303. [Google Scholar]
- Peterson, A.C.; Russell, J.D.; Bailey, D.J.; Westphall, M.S.; Coon, J.J. Parallel reaction monitoring for high resolution and high mass accuracy quantitative, targeted proteomics. Mol. Cell Proteom. 2012, 11, 1475–1488. [Google Scholar] [CrossRef] [PubMed]
- Maccoss, M.J. Skyline: An open source document editor for creating and analyzing targeted proteomics experiments. Bioinformatics 2010, 26, 966–968. [Google Scholar]
- Zhai, Z.H.; Chen, X.N.; Wang, J. Primer Design with Primer Premier 5.0. Northwest Med. Educ. 2008, 695–698. [Google Scholar] [CrossRef]
- Livak, K.J.; TD, S. Analysis of relative gene expression data using realtime quantitative PCR and the 2−ΔΔCt method. Methods 2005, 25, 402–408. [Google Scholar] [CrossRef]









Disclaimer/Publisher’s Note: The statements, opinions and data contained in all publications are solely those of the individual author(s) and contributor(s) and not of MDPI and/or the editor(s). MDPI and/or the editor(s) disclaim responsibility for any injury to people or property resulting from any ideas, methods, instructions or products referred to in the content. |
© 2024 by the authors. Licensee MDPI, Basel, Switzerland. This article is an open access article distributed under the terms and conditions of the Creative Commons Attribution (CC BY) license (https://creativecommons.org/licenses/by/4.0/).
Share and Cite
Feng, H.; Mon, W.; Su, X.; Li, Y.; Zhang, S.; Zhang, Z.; Zheng, K. Integrated Biological Experiments and Proteomic Analyses of Nicotiana tabacum Xylem Sap Revealed the Host Response to Tomato Spotted Wilt Orthotospovirus Infection. Int. J. Mol. Sci. 2024, 25, 10907. https://doi.org/10.3390/ijms252010907
Feng H, Mon W, Su X, Li Y, Zhang S, Zhang Z, Zheng K. Integrated Biological Experiments and Proteomic Analyses of Nicotiana tabacum Xylem Sap Revealed the Host Response to Tomato Spotted Wilt Orthotospovirus Infection. International Journal of Molecular Sciences. 2024; 25(20):10907. https://doi.org/10.3390/ijms252010907
Chicago/Turabian StyleFeng, Hongping, Waiwai Mon, Xiaoxia Su, Yu Li, Shaozhi Zhang, Zhongkai Zhang, and Kuanyu Zheng. 2024. "Integrated Biological Experiments and Proteomic Analyses of Nicotiana tabacum Xylem Sap Revealed the Host Response to Tomato Spotted Wilt Orthotospovirus Infection" International Journal of Molecular Sciences 25, no. 20: 10907. https://doi.org/10.3390/ijms252010907
APA StyleFeng, H., Mon, W., Su, X., Li, Y., Zhang, S., Zhang, Z., & Zheng, K. (2024). Integrated Biological Experiments and Proteomic Analyses of Nicotiana tabacum Xylem Sap Revealed the Host Response to Tomato Spotted Wilt Orthotospovirus Infection. International Journal of Molecular Sciences, 25(20), 10907. https://doi.org/10.3390/ijms252010907

