An Insight into the Mechanism of DNA Cleavage by DNA Endonuclease from the Hyperthermophilic Archaeon Pyrococcus furiosus
Abstract
1. Introduction
2. Results
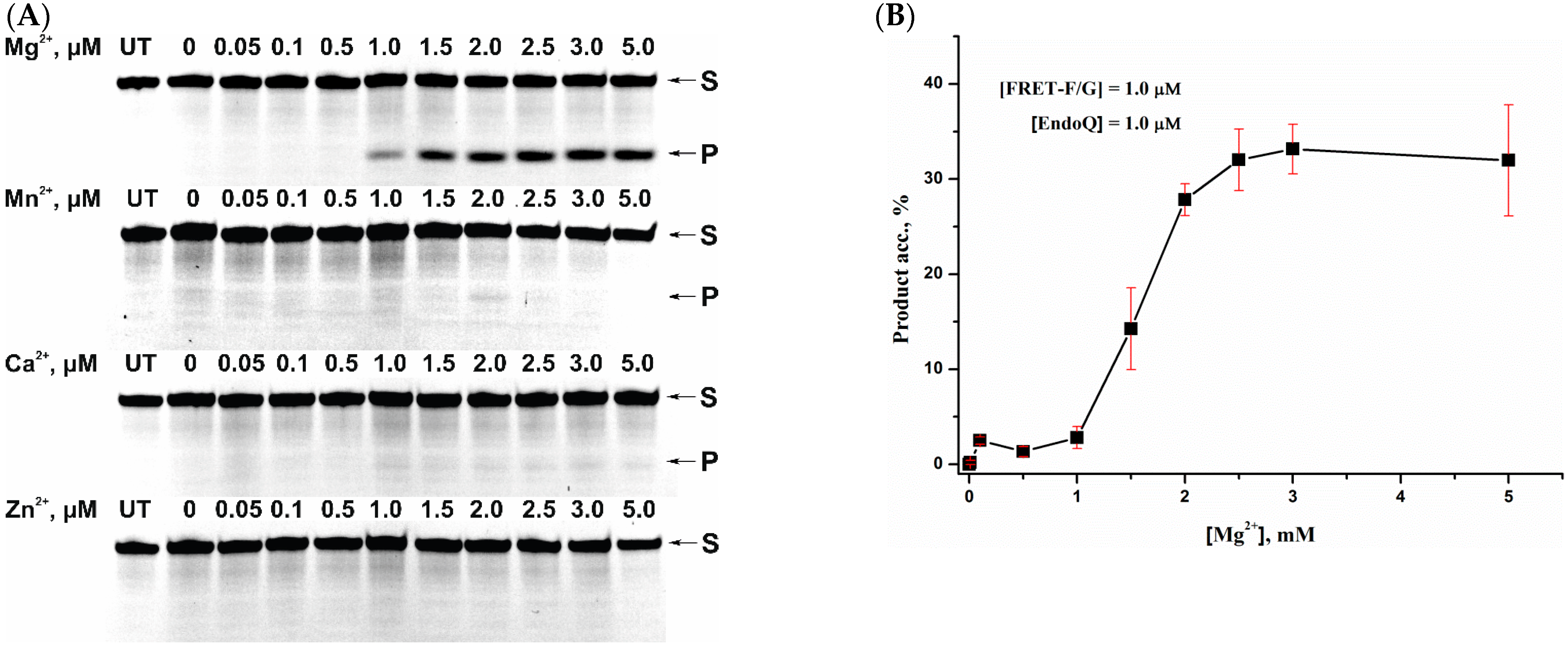
2.1. Effects of Metal Ions
2.2. Base-Pairing Effects
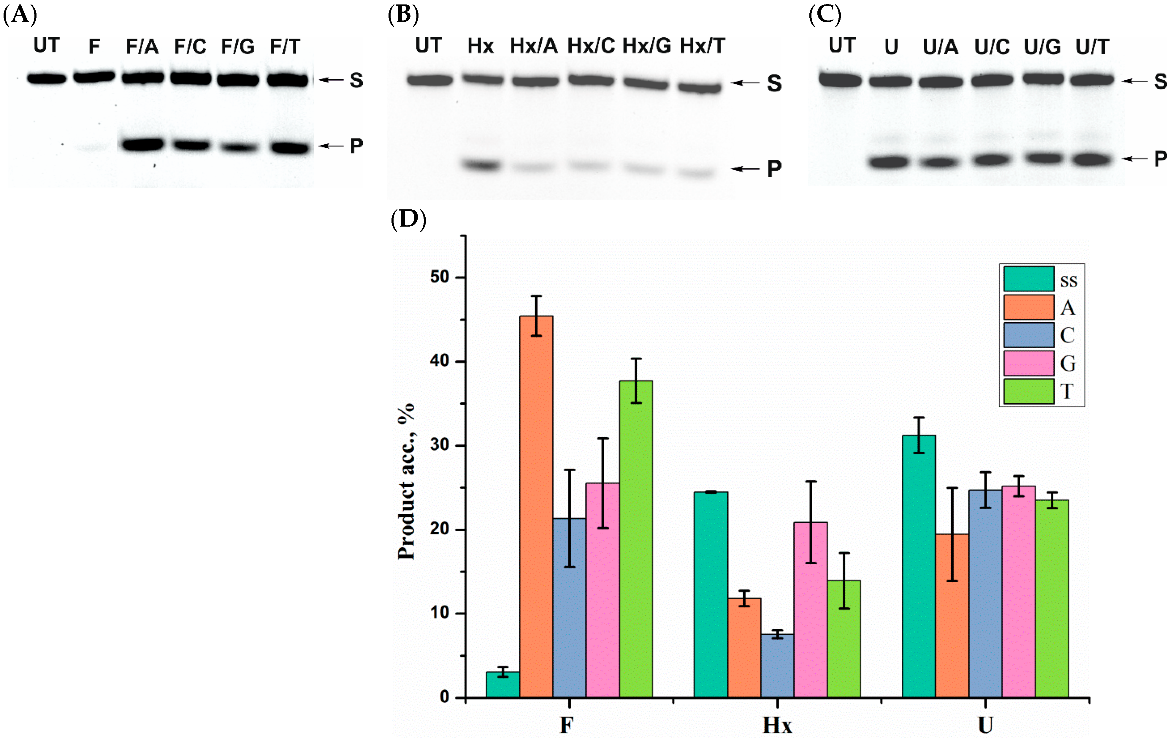
2.3. Interaction with DNA Containing F-Site, Hx, or U
2.4. Interaction with DNA Containing Other Damaged Bases
3. Discussion
4. Materials and Methods
4.1. Oligonucleotides
4.2. Enzyme Purification
4.3. Endonuclease Assay
4.4. Assays of the Impact of Divalent Cations
4.5. Fluorescence Stopped-Flow Experiments
4.6. Analysis of Kinetic Data
Author Contributions
Funding
Institutional Review Board Statement
Informed Consent Statement
Data Availability Statement
Conflicts of Interest
References
- De Bont, R.; van Larebeke, N. Endogenous DNA Damage in Humans: A Review of Quantitative Data. Mutagenesis 2004, 19, 169–185. [Google Scholar] [CrossRef] [PubMed]
- Weigele, P.; Raleigh, E.A. Biosynthesis and Function of Modified Bases in Bacteria and Their Viruses. Chem. Rev. 2016, 116, 12655–12687. [Google Scholar] [CrossRef] [PubMed]
- Olinski, R.; Jurgowiak, M.; Zaremba, T. Uracil in DNA—Its Biological Significance. Mutat. Res./Rev. Mutat. Res. 2010, 705, 239–245. [Google Scholar] [CrossRef] [PubMed]
- Lindahl, T. Instability and Decay of the Primary Structure of DNA. Nature 1993, 362, 709–715. [Google Scholar] [CrossRef] [PubMed]
- Yonekura, S.I.; Nakamura, N.; Yonei, S.; Zhang-Akiyama, Q.M. Generation, Biological Consequences and Repair Mechanisms of Cytosine Deamination in DNA. J. Radiat. Res. 2009, 50, 19–26. [Google Scholar] [CrossRef] [PubMed]
- Ramiro, A.R.; Barreto, V.M. Activation-Induced Cytidine Deaminase and Active Cytidine Demethylation. Trends Biochem Sci 2015, 40, 172–181. [Google Scholar] [CrossRef] [PubMed]
- Joyce, C.M. Choosing the Right Sugar: How Polymerases Select a Nucleotide Substrate. Proc. Natl. Acad. Sci. USA 1997, 94, 1619–1622. [Google Scholar] [CrossRef] [PubMed]
- Shearman, C.W.; Loeb, L.A. Depurination Decreases Fidelity of DNA Synthesis In Vitro. Nature 1977, 270, 537–538. [Google Scholar] [CrossRef] [PubMed]
- Schaaper, R.M.; Kunkel, T.A.; Loeb, L.A. Infidelity of DNA Synthesis Associated with Bypass of Apurinic Sites. Proc. Natl. Acad. Sci. USA 1983, 80, 487–491. [Google Scholar] [CrossRef] [PubMed]
- Krokan, H.E.; Bjørås, M. Base Excision Repair. Cold Spring Harb. Perspect. Biol. 2013, 5, a012583. [Google Scholar] [CrossRef] [PubMed]
- Thompson, P.S.; Cortez, D. New Insights into Abasic Site Repair and Tolerance. DNA Repair 2020, 90, 102866. [Google Scholar] [CrossRef] [PubMed]
- Karran, P.; Lindahl, T. Hypoxanthine in Deoxyribonucleic Acid: Generation by Heat-Induced Hydrolysis of Adenine Residues and Release in Free Form by a Deoxyribonucleic Acid Glycosylase from Calf Thymus. Biochemistry 1980, 19, 6005–6011. [Google Scholar] [CrossRef] [PubMed]
- Hill-Perkins, M.; Jones, M.D.; Karran, P. Site-Specific Mutagenesis In Vivo by Single Methylated or Deaminated Purine Bases. Mutat. Res.—Fundam. Mol. Mech. Mutagen. 1986, 162, 153–163. [Google Scholar] [CrossRef]
- Martin, F.H.; Castro, M.M.; Aboul-Ela, F.; Tinoco, I. Base Pairing Involving Deoxyinosine: Implications for Probe Design. Nucleic Acids Res. 1985, 13, 8927–8938. [Google Scholar] [CrossRef] [PubMed]
- Chastain, P.D.; Nakamura, J.; Rao, S.; Chu, H.; Ibrahim, J.G.; Swenberg, J.A.; Kaufman, D.G. Abasic Sites Preferentially Form at Regions Undergoing DNA Replication. FASEB J. 2010, 24, 3674–3680. [Google Scholar] [CrossRef]
- Krokan, H.E.; Standal, R.; Slupphaug, G. DNA Glycosylases in the Base Excision Repair of DNA. Biochem. J. 1997, 325, 1–16. [Google Scholar] [CrossRef] [PubMed]
- Mol, C.D.; Parikh, S.S.; Putnam, C.D.; Lo, T.P.; Tainer, J.A. DNA Repair Mechanisms for the Recognition and Removal of Damaged DNA Bases. Annu. Rev. Biophys. Biomol. Struct. 1999, 28, 101–128. [Google Scholar] [CrossRef] [PubMed]
- O’Brien, P.J.; Ellenberger, T. Dissecting the Broad Substrate Specificity of Human 3-Methyladenine-DNA Glycosylase. J. Biol. Chem. 2004, 279, 9750–9757. [Google Scholar] [CrossRef]
- Demple, B.; Linn, S. On the Recognition and Cleavage Mechanism of Escherichia coli Endodeoxyribonuclease V, a Possible DNA Repair Enzyme. J. Biol. Chem. 1982, 257, 2848–2855. [Google Scholar] [CrossRef]
- Gates, F.T.; Linn, S. Endonuclease V of Escherichia coli. J. Biol. Chem. 1977, 252, 1647–1653. [Google Scholar] [CrossRef]
- Schouten, K.A.; Weiss, B. Endonuclease V Protects Escherichia coli against Specific Mutations Caused by Nitrous Acid. Mutat. Res./DNA Repair 1999, 435, 245–254. [Google Scholar] [CrossRef] [PubMed]
- Ischenko, A.A.; Saparbaev, M.K. Alternative Nucleotide Incision Repair Pathway for Oxidative DNA Damage. Nature 2002, 415, 183–187. [Google Scholar] [CrossRef] [PubMed]
- Gros, L.; Ishchenko, A.A.; Ide, H.; Elder, R.H.; Saparbaev, M.K. The Major Human AP Endonuclease (Ape1) Is Involved in the Nucleotide Incision Repair Pathway. Nucleic Acids Res. 2004, 32, 73–81. [Google Scholar] [CrossRef]
- Prorok, P.; Alili, D.; Saint-Pierre, C.; Gasparutto, D.; Zharkov, D.O.; Ishchenko, A.A.; Tudek, B.; Saparbaev, M.K. Uracil in Duplex DNA Is a Substrate for the Nucleotide Incision Repair Pathway in Human Cells. Proc. Natl. Acad. Sci. USA 2013, 110, E3695–E3703. [Google Scholar] [CrossRef]
- Daviet, S.; Couve-Privat, S.; Gros, L.; Shinozuka, K.; Ide, H.; Saparbaev, M.; Ishchenko, A.A. Major Oxidative Products of Cytosine Are Substrates for the Nucleotide Incision Repair Pathway. DNA Repair 2007, 6, 8–18. [Google Scholar] [CrossRef] [PubMed]
- Vrouwe, M.G.; Pines, A.; Overmeer, R.M.; Hanada, K.; Mullenders, L.H. UV-Induced Photolesions Elicit ATR-Kinase-Dependent Signaling in Non-Cycling Cells through Nucleotide Excision Repair-Dependent and -Independent Pathways. J. Cell Sci. 2011, 124, 435–446. [Google Scholar] [CrossRef]
- Guliaev, A.B.; Hang, B.; Singer, B. Structural Insights by Molecular Dynamics Simulations into Specificity of the Major Human AP Endonuclease toward the Benzene-Derived DNA Adduct, PBQ-C. Nucleic Acids Res. 2004, 32, 2844–2852. [Google Scholar] [CrossRef]
- Prorok, P.; Saint-Pierre, C.; Gasparutto, D.; Fedorova, O.S.; Ishchenko, A.A.; Leh, H.; Buckle, M.; Tudek, B.; Saparbaev, M. Highly Mutagenic Exocyclic DNA Adducts Are Substrates for the Human Nucleotide Incision Repair Pathway. PLoS ONE 2012, 7, e51776. [Google Scholar] [CrossRef]
- Christov, P.P.; Banerjee, S.; Stone, M.P.; Rizzo, C.J. Selective Incision of the Alpha-N-Methyl-Formamidopyrimidine Anomer by Escherichia Coli Endonuclease IV. J. Nucleic Acids 2010, 2010, 850234. [Google Scholar] [CrossRef]
- Rogers, S.G.; Weiss, B. Exonuclease III of Escherichia coli K-12, an AP Endonuclease. Methods Enzymol. 1980, 65, 201–211. [Google Scholar] [CrossRef]
- Mol, C.D.; Kuo, C.F.; Thayer, M.M.; Cunningham, R.P.; Tainer, J.A. Structure and Function of the Multifunctional DNA-Repair Enzyme Exonuclease III. Nature 1995, 374, 381–386. [Google Scholar] [CrossRef] [PubMed]
- Demple, B.; Harrison, L. Repair of Oxidative Damage to DNA: Enzymology and Biology. Annu. Rev. Biochem. 1994, 63, 915–948. [Google Scholar] [CrossRef] [PubMed]
- Hosfield, D.J.; Guan, Y.; Haas, B.J.; Cunningham, R.P.; Tainer, J.A. Structure of the DNA Repair Enzyme Endonuclease IV and Its DNA Complex: Double-Nucleotide Flipping at Abasic Sites and Three-Metal-Ion Catalysis. Cell 1999, 98, 397–408. [Google Scholar] [CrossRef] [PubMed]
- Mol, C.D.; Hosfield, D.J.; Tainer, J.A. Abasic Site Recognition by Two Apurinic/Apyrimidinic Endonuclease Families in DNA Base Excision Repair: The 3′ Ends Justify the Means. Mutat. Res. 2000, 460, 211–229. [Google Scholar] [CrossRef] [PubMed]
- Ishchenko, A.A.; Ide, H.; Ramotar, D.; Nevinsky, G.; Saparbaev, M. α-Anomeric Deoxynucleotides, Anoxic Products of Ionizing Radiation, Are Substrates for the Endonuclease IV-Type AP Endonucleases. Biochemistry 2004, 43, 15210–15216. [Google Scholar] [CrossRef] [PubMed]
- Golan, G.; Ishchenko, A.A.; Khassenov, B.; Shoham, G.; Saparbaev, M.K. Coupling of the Nucleotide Incision and 3′-5′ Exonuclease Activities in Escherichia coli Endonuclease IV: Structural and Genetic Evidences. Mutat. Res. 2010, 685, 70–79. [Google Scholar] [CrossRef]
- Wilson III, D.M.; Barsky, D. The Major Human Abasic Endonuclease: Formation, Consequences and Repair of Abasic Lesions in DNA. Mutat. Res. 2001, 485, 283–307. [Google Scholar] [CrossRef] [PubMed]
- Kuznetsova, A.A.; Matveeva, A.G.; Milov, A.D.; Vorobjev, Y.N.; Dzuba, S.A.; Fedorova, O.S.; Kuznetsov, N.A. Substrate Specificity of Human Apurinic/Apyrimidinic Endonuclease APE1 in the Nucleotide Incision Repair Pathway. Nucleic Acids Res. 2018, 46, 11454–11465. [Google Scholar] [CrossRef] [PubMed]
- Kuznetsova, A.A.; Senchurova, S.I.; Ishchenko, A.A.; Saparbaev, M.; Fedorova, O.S.; Kuznetsov, N.A. Common Kinetic Mechanism of Abasic Site Recognition by Structurally Different Apurinic/Apyrimidinic Endonucleases. Int. J. Mol. Sci. 2021, 22, 8874. [Google Scholar] [CrossRef] [PubMed]
- Bulygin, A.A.; Kuznetsova, A.A.; Vorobjev, Y.N.; Fedorova, O.S.; Kuznetsov, N.A. The Role of Active-Site Plasticity in Damaged-Nucleotide Recognition by Human Apurinic/Apyrimidinic Endonuclease APE1. Molecules 2020, 25, 3940. [Google Scholar] [CrossRef] [PubMed]
- Garcin, E.D.; Hosfield, D.J.; Desai, S.A.; Haas, B.J.; Bjoras, M.; Cunningham, R.P.; Tainer, J.A. DNA Apurinic-Apyrimidinic Site Binding and Excision by Endonuclease IV. Nat. Struct. Mol. Biol. 2008, 15, 515–522. [Google Scholar] [CrossRef] [PubMed]
- Tsutakawa, S.E.; Shin, D.S.; Mol, C.D.; Izumi, T.; Arvai, A.S.; Mantha, A.K.; Szczesny, B.; Ivanov, I.N.; Hosfield, D.J.; Maiti, B.; et al. Conserved Structural Chemistry for Incision Activity in Structurally Non-Homologous Apurinic/Apyrimidinic Endonuclease APE1 and Endonuclease IV DNA Repair Enzymes. J. Biol. Chem. 2013, 288, 8445–8455. [Google Scholar] [CrossRef] [PubMed]
- Mol, C.D.; Izumi, T.; Mitra, S.; Tainer, J.A. DNA-Bound Structures and Mutants Reveal Abasic DNA Binding by APE1 and DNA Repair Coordination. Nature 2000, 403, 451–456. [Google Scholar] [CrossRef] [PubMed]
- Kuznetsova, A.A.; Fedorova, O.S.; Kuznetsov, N.A. Kinetic Features of 3’-5’ Exonuclease Activity of Human AP-Endonuclease APE1. Molecules 2018, 23, 2101. [Google Scholar] [CrossRef] [PubMed]
- Miroshnikova, A.D.; Kuznetsova, A.A.; Kuznetsov, N.A.; Fedorova, O.S. Thermodynamics of Damaged DNA Binding and Catalysis by Human AP Endonuclease 1. Acta Naturae 2016, 8, 103–110. [Google Scholar] [CrossRef] [PubMed]
- Alekseeva, I.V.; Kuznetsova, A.A.; Bakman, A.S.; Fedorova, O.S.; Kuznetsov, N.A. The Role of Active-Site Amino Acid Residues in the Cleavage of DNA and RNA Substrates by Human Apurinic/Apyrimidinic Endonuclease APE1. BBA—Gen. Subj. 2020, 1864, 129718. [Google Scholar] [CrossRef] [PubMed]
- Ishino, S.; Makita, N.; Shiraishi, M.; Yamagami, T.; Ishino, Y. EndoQ and EndoV Work Individually for Damaged DNA Base Repair in Pyrococcus furiosus. Biochimie 2015, 118, 264–269. [Google Scholar] [CrossRef] [PubMed]
- Shiraishi, M.; Ishino, S.; Yamagami, T.; Egashira, Y.; Kiyonari, S.; Ishino, Y. A Novel Endonuclease That May Be Responsible for Damaged DNA Base Repair in Pyrococcus furiosus. Nucleic Acids Res. 2015, 43, 2853–2863. [Google Scholar] [CrossRef] [PubMed]
- Shiraishi, M.; Ishino, S.; Cann, I.; Ishino, Y. A Functional Endonuclease Q Exists in the Bacterial Domain: Identification and Characterization of Endonuclease Q from Bacillus pumilus. Biosci. Biotechnol. Biochem. 2017, 81, 931–937. [Google Scholar] [CrossRef] [PubMed]
- Shi, K.; Moeller, N.H.; Banerjee, S.; McCann, J.L.; Carpenter, M.A.; Yin, L.; Moorthy, R.; Orellana, K.; Harki, D.A.; Harris, R.S.; et al. Structural Basis for Recognition of Distinct Deaminated DNA Lesions by Endonuclease Q. Proc. Natl. Acad. Sci. USA 2021, 118, e2021120118. [Google Scholar] [CrossRef]
- Shiraishi, M.; Iwai, S. Molecular Basis of Substrate Recognition of Endonuclease Q from the Euryarchaeon Pyrococcus furiosus. J. Bacteriol. 2020, 202, e00542-19. [Google Scholar] [CrossRef] [PubMed]
- Shiraishi, M.; Ishino, S.; Heffernan, M.; Cann, I.; Ishino, Y. The Mesophilic Archaeon Methanosarcina Acetivorans Counteracts Uracil in DNA with Multiple Enzymes: EndoQ, ExoIII, and UDG. Sci. Rep. 2018, 8, 15791. [Google Scholar] [CrossRef] [PubMed]
- Miyazono, K.-i.; Ishino, S.; Makita, N.; Ito, T.; Ishino, Y.; Tanokura, M. Crystal Structure of the Novel Lesion-Specific Endonuclease PfuEndoQ from Pyrococcus furiosus. Nucleic Acids Res. 2018, 46, 4807–4818. [Google Scholar] [CrossRef] [PubMed]
- Case-Green, S.C.; Southern, E.M. Studies on the Base Pairing Properties of Deoxyinosine by Solid Phase Hybridisation to Oligonucleotides. Nucleic Acids Res. 1994, 22, 131–136. [Google Scholar] [CrossRef] [PubMed]
- Davletgildeeva, A.T.; Ishchenko, A.A.; Saparbaev, M.; Fedorova, O.S.; Kuznetsov, N.A. The Enigma of Substrate Recognition and Catalytic Efficiency of APE1-Like Enzymes. Front. Cell Dev. Biol. 2021, 9, 617161. [Google Scholar] [CrossRef] [PubMed]
- Brown, S.H.; Kelly, R.M. Cultivation Techniques for Hyperthermophilic Archaebacteria: Continuous Culture of Pyrococcus Furiosus at Temperatures near 100 Degrees C. Appl. Environ. Microbiol. 1989, 55, 2086–2088. [Google Scholar] [CrossRef] [PubMed]
- Saparbaev, M.; Laval, J. Excision of Hypoxanthine from DNA Containing DIMP Residues by the Escherichia coli, Yeast, Rat, and Human Alkylpurine DNA Glycosylases. Proc. Natl. Acad. Sci. USA 1994, 91, 5873–5877. [Google Scholar] [CrossRef] [PubMed]
- Marenstein, D.R.; Wilson, D.M.; Teebor, G.W. Human AP Endonuclease (APE1) Demonstrates Endonucleolytic Activity against AP Sites in Single-Stranded DNA. DNA Repair 2004, 3, 527–533. [Google Scholar] [CrossRef] [PubMed]
- Dou, H.; Mitra, S.; Hazra, T.K. Repair of Oxidized Bases in DNA Bubble Structures by Human DNA Glycosylases NEIL1 and NEIL2. J. Biol. Chem. 2003, 278, 49679–49684. [Google Scholar] [CrossRef] [PubMed]
- Fleming, A.M.; Burrows, C.J. Formation and Processing of DNA Damage Substrates for the HNEIL Enzymes. Free Radic. Biol. Med. 2017, 107, 35–52. [Google Scholar] [CrossRef] [PubMed]
- Pearl, L.H. Structure and Function in the Uracil-DNA Glycosylase Superfamily. Mutat. Res. 2000, 460, 165–181. [Google Scholar] [CrossRef]
- Lukin, M.; de Los Santos, C. NMR Structures of Damaged DNA. Chem. Rev. 2006, 106, 607–686. [Google Scholar] [CrossRef]
- Brooks, S.C.; Adhikary, S.; Rubinson, E.H.; Eichman, B.F. Recent Advances in the Structural Mechanisms of DNA Glycosylases. Biochim. Biophys. Acta 2013, 1834, 247–271. [Google Scholar] [CrossRef]
- Kuznetsov, N.A.; Fedorova, O.S. Kinetic Milestones of Damage Recognition by DNA Glycosylases of the Helix-Hairpin-Helix Structural Superfamily. Adv. Exp. Biol. Med. 2020, 1241, 1–18. [Google Scholar]
- Schormann, N.; Ricciardi, R.; Chattopadhyay, D. Uracil-DNA Glycosylases-Structural and Functional Perspectives on an Essential Family of DNA Repair Enzymes. Protein Sci. 2014, 23, 1667–1685. [Google Scholar] [CrossRef]
- Huffman, J.L.; Sundheim, O.; Tainer, J.A. DNA Base Damage Recognition and Removal: New Twists and Grooves. Mutat. Res. 2005, 577, 55–76. [Google Scholar] [CrossRef]
- Kladova, O.A.; Kuznetsova, A.A.; Fedorova, O.S.; Kuznetsov, N.A. Mutational and Kinetic Analysis of Lesion Recognition by Escherichia coli Endonuclease VIII. Genes 2017, 8, 140. [Google Scholar] [CrossRef]
- Kuznetsov, N.A.; Kladova, O.A.; Kuznetsova, A.A.; Ishchenko, A.A.; Saparbaev, M.K.; Zharkov, D.O.; Fedorova, O.S. Conformational Dynamics of DNA Repair by Escherichia coli Endonuclease III. J. Biol. Chem. 2015, 290, 14338–14349. [Google Scholar] [CrossRef] [PubMed]
- Kuznetsov, N.A.; Kuznetsova, A.A.; Vorobjev, Y.N.; Krasnoperov, L.N.; Fedorova, O.S. Thermodynamics of the DNA Damage Repair Steps of Human 8-Oxoguanine DNA Glycosylase. PLoS ONE 2014, 9, e98495. [Google Scholar] [CrossRef] [PubMed]
- Prakash, A.; Doublie, S.; Wallace, S.S. The Fpg/Nei Family of DNA Glycosylases: Substrates, Structures, and Search for Damage. Prog. Mol. Biol. Transl. Sci. 2012, 110, 71–91. [Google Scholar] [CrossRef] [PubMed]
- Bulygin, A.A.; Fedorova, O.S.; Kuznetsov, N. Insights into Mechanisms of Damage Recognition and Catalysis by APE1-like Enzymes. Int. J. Mol. Sci. 2022, 23, 4361. [Google Scholar] [CrossRef] [PubMed]
- Davletgildeeva, A.T.; Kuznetsova, A.A.; Novopashina, D.S.; Ishchenko, A.A.; Saparbaev, M.; Fedorova, O.S.; Kuznetsov, N.A. Comparative Analysis of Exo-and Endonuclease Activities of APE1-like Enzymes. Int. J. Mol. Sci. 2022, 23, 2869. [Google Scholar] [CrossRef]
- Senchurova, S.I.; Syryamina, V.N.; Kuznetsova, A.A.; Novopashina, D.S.; Ishchenko, A.A.; Saparbaev, M.; Dzuba, S.A.; Fedorova, O.S.; Kuznetsov, N.A. The Mechanism of Damage Recognition by Apurinic/Apyrimidinic Endonuclease Nfo from Escherichia coli. BBA—Gen. Subj. 2022, 1866, 130216. [Google Scholar] [CrossRef] [PubMed]
- Bulygin, A.A.; Syryamina, V.N.; Kuznetsova, A.A.; Novopashina, D.S.; Dzuba, S.A.; Kuznetsov, N.A. Inner Amino Acid Contacts Are Key Factors of Multistage Structural Rearrangements of DNA and Affect Substrate Specificity of Apurinic/Apyrimidinic Endonuclease APE1. Int. J. Mol. Sci. 2023, 24, 11474. [Google Scholar] [CrossRef] [PubMed]
- Kim, Y.-J.; Wilson, D.M., III. Overview of Base Excision Repair Biochemistry. Curr. Mol. Pharmacol. 2012, 5, 3–13. [Google Scholar] [CrossRef] [PubMed]
- Whitaker, A.M.; Flynn, T.S.; Freudenthal, B.D. Molecular Snapshots of APE1 Proofreading Mismatches and Removing DNA Damage. Nat. Commun. 2018, 9, 399. [Google Scholar] [CrossRef] [PubMed]
- Kuznetsova, A.A.; Kuznetsov, N.A.; Ishchenko, A.A.; Saparbaev, M.K.; Fedorova, O.S. Step-by-Step Mechanism of DNA Damage Recognition by Human 8-Oxoguanine DNA Glycosylase. Biochim. Biophys. Acta 2014, 1840, 387–395. [Google Scholar] [CrossRef] [PubMed]
- Miroshnikova, A.D.; Kuznetsova, A.A.; Vorobjev, Y.N.; Kuznetsov, N.A.; Fedorova, O.S. Effects of Mono- and Divalent Metal Ions on DNA Binding and Catalysis of Human Apurinic/Apyrimidinic Endonuclease 1. Mol. BioSyst. 2016, 12, 1527–1539. [Google Scholar] [CrossRef] [PubMed]
- Kuznetsova, A.A.; Kuznetsov, N.A.; Vorobjev, Y.N.; Barthes, N.P.F.; Michel, B.Y.; Burger, A.; Fedorova, O.S. New Environment-Sensitive Multichannel DNA Fluorescent Label for Investigation of the Protein-DNA Interactions. PLoS ONE 2014, 9, e100007. [Google Scholar] [CrossRef] [PubMed]
- Kuzmic, P. Program DYNAFIT for the Analysis of Enzyme Kinetic Data: Application to HIV Proteinase. Anal. Biochem. 1996, 237, 260–273. [Google Scholar] [CrossRef] [PubMed]
- Kladova, O.A.; Krasnoperov, L.N.; Kuznetsov, N.A.; Fedorova, O.S. Kinetics and Thermodynamics of DNA Processing by Wild Type DNA-Glycosylase Endo III and Its Catalytically Inactive Mutant Forms. Genes 2018, 9, 190. [Google Scholar] [CrossRef] [PubMed]
- Kuznetsov, N.A.; Koval, V.V.; Zharkov, D.O.; Fedorova, O.S. Conformational Dynamics of the Interaction of Escherichia Coli Endonuclease VIII with DNA Substrates. DNA Repair 2012, 11, 884–891. [Google Scholar] [CrossRef] [PubMed]
- Kuznetsov, N.A.; Vorobjev, Y.N.; Krasnoperov, L.N.; Fedorova, O.S. Thermodynamics of the Multi-Stage DNA Lesion Recognition and Repair by Formamidopyrimidine-DNA Glycosylase Using Pyrrolocytosine Fluorescence—Stopped-Flow Pre-Steady-State Kinetics. Nucleic Acids Res. 2012, 40, 7384–7392. [Google Scholar] [CrossRef] [PubMed]











| F/A | F/C | F/G | F/T | Signal | |
|---|---|---|---|---|---|
| k1, s−1 | 33 ± 1 | - | 34 ± 4 | 53 ± 4 | Initial decrease |
| k2, s−1 | - | 2.15 ± 0.06 | - | - | Slow increase |
| k3, s−1 | 0.030 ± 0.001 | - | - | - | Beginning of final increase |
| k4, s−1 | 0.005 ± 0.001 | 0.004 ± 0.001 | 0.003 ± 0.001 | 0.004 ± 0.001 | Final increase |
| Hx/A | Hx/C | Hx/G | Hx/T | Signal | |
|---|---|---|---|---|---|
| k1, s−1 | 50 ± 20 | 60 ± 30 | 70 ± 30 | 50 ± 20 | Initial decrease (1st phase) |
| k2, s−1 | 5 ± 2 | 5 ± 2 | 8 ± 5 | 5 ± 4 | Initial decrease (2nd phase) |
| k3, s−1 | - | - | 0.07 ± 0.04 | 0.12 ± 0.08 | Slow increase |
| U/A | U/C | U/G | U/T | Signal | |
|---|---|---|---|---|---|
| k1, s−1 | 36 ± 6 | 36 | 60 ± 30 | 60 ± 20 | Initial decrease (1st phase) |
| k2, s−1 | 3.5 ± 0.9 | 2.0 | - | - | Initial decrease (2nd phase) |
| k3, s−1 | 0.13 ± 0.03 | 0.9 | 0.3 ± 0.2 | 0.3 ± 0.1 | Following increase phase |
| k4, s−1 | 0.005 | 0.038 | 0.03 ± 0.1 | 0.013 ± 0.009 | Second decrease stage |
| Constant | F/G | Hx/A | U/A |
|---|---|---|---|
| k1 × 10−6, M−1s−1 | 1.4 ± 0.5 | 17 ± 3 | 74 ± 7 |
| k-1, s−1 | 26 ± 7 | 99 ± 7 | 100 ± 20 |
| K1 × 10−6, M−1 | 0.05 ± 0.03 | 0.17 ± 0.04 | 0.8 ± 0.2 |
| k2, s−1 | 0.17 ± 0.04 | 0.8 ± 0.2 | 3.9 ± 0.5 |
| k-2, s−1 | 0.032 ± 0.005 | 6.2 ± 0.2 | 8.0 ± 0.3 |
| K2 | 5 ± 2 | 0.13 ± 0.04 | 0.50 ± 0.08 |
| k3, s−1 | 0.10 ± 0.02 | ||
| k-3, s−1 | 0.096 ± 0.004 | ||
| K3 | 1.0 ± 0.3 | ||
| kcat, s−1 | 0.008 ± 0.001 |
| Shorthand | Sequence |
|---|---|
| X/N X = F-site, Hx, U N = A, C, G, T | 5′ - FAM-GCTCAXGTACAGAGCTG - 3′ 3′ - CGAGTNCATGTCTCGAC-BHQ1 - 5′ |
| Y/T Y = αA, εA | 5′ - FAM-GCTCAYGTACAGAGCTG - 3′ 3′ - CGAGTTCATGTCTCGAC-BHQ1 - 5′ |
| Z/G Y = DHU, C | 5′ - FAM-GCTCAZGTACAGAGCTG - 3′ 3′ - CGAGTGCATGTCTCGAC-BHQ1 - 5′ |
| Exo-substrate | 5′ - GTGTCACCACTGCTCACGTACAGAGCTG - 3′ 3′ - CGAGTGCATGTCTCGAC- FAM - 5′ |
Disclaimer/Publisher’s Note: The statements, opinions and data contained in all publications are solely those of the individual author(s) and contributor(s) and not of MDPI and/or the editor(s). MDPI and/or the editor(s) disclaim responsibility for any injury to people or property resulting from any ideas, methods, instructions or products referred to in the content. |
© 2024 by the authors. Licensee MDPI, Basel, Switzerland. This article is an open access article distributed under the terms and conditions of the Creative Commons Attribution (CC BY) license (https://creativecommons.org/licenses/by/4.0/).
Share and Cite
Davletgildeeva, A.T.; Kuznetsova, A.A.; Ishchenko, A.A.; Saparbaev, M.; Kuznetsov, N.A. An Insight into the Mechanism of DNA Cleavage by DNA Endonuclease from the Hyperthermophilic Archaeon Pyrococcus furiosus. Int. J. Mol. Sci. 2024, 25, 8897. https://doi.org/10.3390/ijms25168897
Davletgildeeva AT, Kuznetsova AA, Ishchenko AA, Saparbaev M, Kuznetsov NA. An Insight into the Mechanism of DNA Cleavage by DNA Endonuclease from the Hyperthermophilic Archaeon Pyrococcus furiosus. International Journal of Molecular Sciences. 2024; 25(16):8897. https://doi.org/10.3390/ijms25168897
Chicago/Turabian StyleDavletgildeeva, Anastasiia T., Aleksandra A. Kuznetsova, Alexander A. Ishchenko, Murat Saparbaev, and Nikita A. Kuznetsov. 2024. "An Insight into the Mechanism of DNA Cleavage by DNA Endonuclease from the Hyperthermophilic Archaeon Pyrococcus furiosus" International Journal of Molecular Sciences 25, no. 16: 8897. https://doi.org/10.3390/ijms25168897
APA StyleDavletgildeeva, A. T., Kuznetsova, A. A., Ishchenko, A. A., Saparbaev, M., & Kuznetsov, N. A. (2024). An Insight into the Mechanism of DNA Cleavage by DNA Endonuclease from the Hyperthermophilic Archaeon Pyrococcus furiosus. International Journal of Molecular Sciences, 25(16), 8897. https://doi.org/10.3390/ijms25168897

