Molecular Iodine Improves the Efficacy and Reduces the Side Effects of Metronomic Cyclophosphamide Treatment against Mammary Cancer Progression
Abstract
1. Introduction
2. Results
2.1. I2 Supplementation Exhibited Adjuvant Antitumoral Action and Prevented Side Effects of Cpp Treatments
2.2. I2 Supplement Exerts Adjuvant Apoptotic Actions and Reduces the Expression of Survival Markers in Cpp Treatments
2.3. I2 and oCpp Reproduce the Metronomic Antiangiogenic Effect
2.4. I2 Supplementation Induces a Cytotoxic Environmental Response
2.5. I2 Supplements Induce Antioxidant Mechanisms and Reduce Inflammatory Response
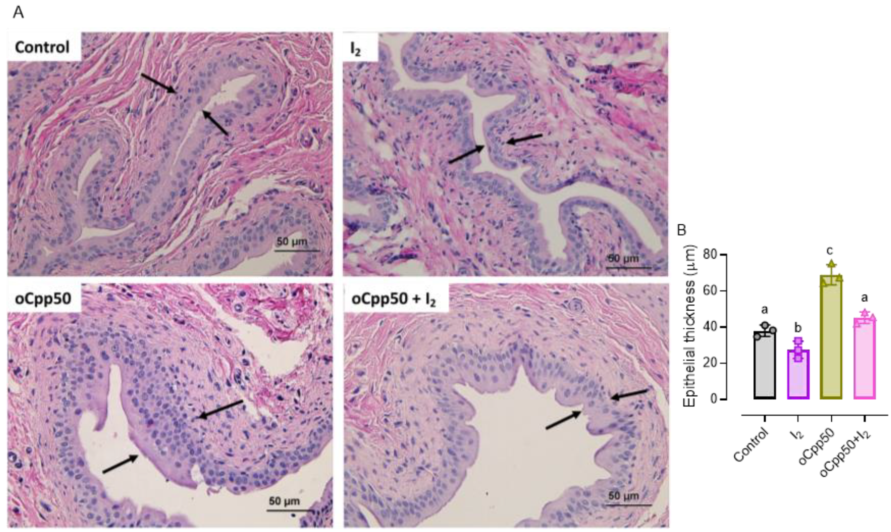
2.6. I2 Supplement Exerts Direct and Preventive Anti-Inflammatory Effects on the Bladder Epithelium
3. Discussion
4. Materials and Methods
4.1. Reagents
4.2. Animals
4.3. Tumor Induction
4.4. Treatments
4.4.1. Intraperitoneal Treatment
4.4.2. Oral Treatment
4.5. Gene Expression
4.6. Protein Expression
4.6.1. Western Blot
4.6.2. Multiplex Analysis
4.7. Histologic Evaluation
4.7.1. Hematoxylin-Eosin Staining
4.7.2. Immunohistochemistry
4.8. Statistical Analysis
5. Conclusions
Author Contributions
Funding
Institutional Review Board Statement
Informed Consent Statement
Data Availability Statement
Acknowledgments
Conflicts of Interest
References
- Hanahan, D.; Bergers, G.; Bergsland, E. Less is more, regularly: Metronomic dosing of cytotoxic drugs can target tumor angiogenesis in mice. J. Clin. Investig. 2000, 105, 1045–1047. [Google Scholar] [CrossRef] [PubMed]
- Cazzaniga, M.E.; Cordani, N.; Capici, S.; Cogliati, V.; Riva, F.; Cerrito, M.G. Metronomic Chemotherapy. Cancers 2021, 13, 2236. [Google Scholar] [CrossRef] [PubMed]
- Jan, N.; Sofi, S.; Qayoom, H.; Shabir, A.; Haq, B.U.; Macha, M.A.; Almilaibary, A.; Mir, M.A. Metronomic chemotherapy and drug repurposing: A paradigm shift in oncology. Heliyon 2024, 10, e24670. [Google Scholar] [CrossRef] [PubMed]
- Highley, M.S.; Landuyt, B.; Prenen, H.; Harper, P.G.; De Bruijn, E. The Nitrogen Mustards. Pharmacol. Rev. 2022, 74, 552–599. [Google Scholar] [CrossRef] [PubMed]
- Keles, I.; Bozkurt, M.F.; Cemek, M.; Karalar, M.; Hazini, A.; Alpdagtas, S.; Keles, H.; Yildiz, T.; Ceylan, C.; Buyukokuroglu, M.E. Prevention of cyclophosphamide-induced hemorrhagic cystitis by resveratrol: A comparative experimental study with mesna. Int. Urol. Nephrol. 2014, 46, 833. [Google Scholar] [CrossRef] [PubMed]
- Almalag, H.M.; Alasmari, S.S.; Alrayes, M.H.; Binhameed, M.A.; Alsudairi, R.A.; Alosaimi, M.M.; Alnasser, G.A.; Abuzaid, R.A.; Khalil, N.; Abouzaid, H.H.; et al. Incidence of hemorrhagic cystitis after cyclophosphamide therapy with or without mesna: A cohort study and comprehensive literature review. J. Oncol. Pharm. Prac. 2021, 27, 340–349. [Google Scholar] [CrossRef] [PubMed]
- Alvarez-Leon, W.; Mendieta, I.; Delgado-Gonzalez, E.; Anguiano, B.; Aceves, C. Molecular iodine/cyclophosphamide synergism on chemoresistant neuroblastoma models. Int. J. Mol. Sci. 2021, 22, 8936. [Google Scholar] [CrossRef]
- Hamano, Y.; Sugimoto, H.; Soubasakos, M.A.; Kieran, M.; Olsen, B.R.; Lawler, J.; Sudhakar, A.; Kalluri, R. Thrombospondin-1 associated with tumor microenvironment contributes to low-dose cyclophosphamide-mediated endothelial cell apoptosis and tumor growth suppression. Cancer Res. 2004, 64, 1570–1574. [Google Scholar] [CrossRef]
- Ma, J.; Waxman, D.J. Combination of anti-angiogenesis with chemotherapy for more effective cancer treatment. Mol. Cancer Ther. 2008, 7, 3670–3684. [Google Scholar] [CrossRef]
- Kaur, S.; Bronson, S.M.; Pal-Nath, D.; Miller, T.W.; Soto-Pantoja, D.R.; Roberts, D.D. Functions of Thrombospondin-1 in the Tumor Microenvironment. Int. J. Mol. Sci. 2021, 22, 4570. [Google Scholar] [CrossRef]
- Bertolini, F.; Paul, S.; Mancuso, P.; Mancuso, P.; Montestiroli, S.; Gobbi, A.; Shaked, Y.; Kerbel, R.S. Maximum tolerable dose and low-dose metronomic chemotherapy have opposite effects on the mobilization and viability of circulating endothelial progenitor cells. Cancer Res. 2003, 63, 4342–4346. [Google Scholar] [PubMed]
- Shaked, Y.; Ciarrocchi, A.; Franco, M.; Lee, C.R.; Man, S.; Cheung, A.M.; Hicklin, D.J.; Chaplin, D.; Foster, F.S.; Benezra, R.; et al. Therapy-induced acute recruitment of circulating endothelial progenitor cells to tumors. Science 2006, 313, 785–1787. [Google Scholar] [CrossRef] [PubMed]
- Cazzaniga, M.E.; Capici, S.; Cordani, N.; Cogliati, V.; Pepe, F.F.; Riva, F.; Cerrito, M.G. Metronomic Chemotherapy for Metastatic Breast Cancer Treatment: Clinical and Preclinical. Data between Lights and Shadows. J. Clin. Med. 2022, 11, 4710. [Google Scholar] [CrossRef] [PubMed]
- Chandele, A.; Prasad, V.; Jagtap, J.C.; Shukla, R.; Shastry, P.R. Upregulation of Survivin in G2/M cells and inhibition of caspase 9 activity enhances resistance in staurosporine-induced apoptosis. Neoplasia 2004, 6, 629–640. Available online: https://pubmed.ncbi.nlm.nih.gov/15068669/ (accessed on 8 August 2024). [CrossRef] [PubMed]
- Browder, T.; Butterfield, C.E.; Kraling, B.M.; Shi, B.; Marshall, B.; O’Reilly, M.S.; Folkman, J. Antiangiogenic scheduling of chemotherapy improves efficacy against experimental drug-resistant cancer. Cancer Res. 2000, 60, 1878–1886. [Google Scholar] [PubMed]
- Wechman, S.L.; Emdad, L.; Sarkar, D.; Das, S.K.; Fisher, P.B. Vascular mimicry: Triggers, molecular interactions, and in vivo models. Adv. Cancer Res. 2020, 148, 27–67. [Google Scholar] [CrossRef]
- Aceves, C.; Garcia-Solis, P.; Arroyo-Helguera, O.; Vega-Riveroll, L.; Delgado, G.; Anguiano, B. Antineoplastic effect of iodine in mammary cancer. Participation of 6-iodolactone (6-IL) and peroxisome proliferator-activated receptors (PPAR). Mol. Cancer 2009, 8, 33–36. [Google Scholar] [CrossRef]
- Chen, M.; Wang, H.; Cui, Q.; Hou, S. Dual function of activated PPARγ by ligands on tumor growth and immunotherapy. Med. Oncol. 2024, 41, 114. [Google Scholar] [CrossRef]
- Moreno-Vega, A.; Vega-Riveroll, L.; Ayala, T.; Peralta, G.; Torres-Martel, J.M.; Rojas, J.; Mondragón, P.; Domínguez, A.; De Obaldía, R.; Avecilla-Guerrero, C.; et al. Adjuvant effect of molecular iodine in conventional chemotherapy for breast cancer. Randomized pilot study. Nutrients 2019, 11, 1623. [Google Scholar] [CrossRef]
- Buccione, C.; Fragale, A.; Polverino, F.; Ziccheddu, G.; Aricò, E.; Belardelli, F.; Proietti, E.; Battistini, A.; Moschella, F. Role of interferon regulatory factor 1 in governing Treg depletion, Th1 polarization, inflammasome activation and antitumor efficacy of cyclophosphamide. Int. J. Cancer 2018, 142, 976–987. [Google Scholar] [CrossRef]
- Aceves, C.; Mendieta, I.; Anguiano, B.; Delgado-Gonzalez, E. Molecular iodine has extrathyroidal effects as an antioxidant, differentiator, and immunomodulator. Int. J. Mol. Sci. 2021, 22, 1228. [Google Scholar] [CrossRef] [PubMed]
- Alfaro, Y.; Delgado, G.; Carabez, A.; Anguiano, B.; Aceves, C. Iodine and doxorubicin, a good combination for mammary cancer treatment: Antineoplastic adjuvancy, chemoresistance inhibition, and cardioprotection. Mol. Cancer 2013, 12, 45–56. [Google Scholar] [CrossRef] [PubMed]
- Merwid-Lad, A.; Ziółkowski, P.; Szandruk-Bender, M.; Matuszewska, A.; Szeląg, A.; Trocha, M. Effect of a Low Dose of Carvedilol on Cyclophosphamide-Induced Urinary Toxicity in Rats—A Comparison with Mesna. Pharmaceuticals 2021, 14, 1237. [Google Scholar] [CrossRef] [PubMed]
- Thompson, H.J. Methods for the induction of mammary carcinogenesis in the rat using either 7,12-dimethylbenz[a]anthracene or 1-methyl-1-nitorosourea. In Methods in Mammary Gland Biology and Breast Cancer Research; Ip, M.M., Asch, B.B., Eds.; Kluwer Academic/Plenum Publishers: New York, NY, USA, 2000; pp. 19–29. [Google Scholar]






| Gene | GenBank ID | Sequence (5′ to 3′) | Size (pb) |
|---|---|---|---|
| Bax | NM_017059.2 | FWD: CAGGGAGGATGGCTGGGGAGA | 351 |
| REV: TCCAGACAAGCAGCCGCTCACG | |||
| Bcl-2 | NM_016993.2 | FWD: GAGGCTGGGATGCCTTTGT | 125 |
| REV: TGCACCCAGAGTGATGCAG | |||
| Surv | NM_022274.2 | FWD: AAGCCACTTGTCCCAGCTT | 198 |
| REV: CTCATCCACTCCCTTCCTC | |||
| VEGF | NM_001287113.1 | FWD: TCACCAAAGCCAGCACATAG | 120 |
| REV: TTTCTCCGCTCTGAACAAGG | |||
| β-actin | NM_031144.3 | FWD: CCATCATGAAGTGTGACGTTG | 195 |
| REV: ACAGAGTACTTGCGCTCAGGA |
| Antibody | Code (Vendor) | Dilution |
|---|---|---|
| Rabbit polyclonal anti- PPARγ | ab209350 (Abcam, Cambridge, MA, USA) | 1:2000 |
| Mouse monoclonal anti-Tbet | ab91109 (Abcam, Cambridge, MA, USA) | 1:1000 |
| Mouse monoclonal anti-IFNγ | sc390800 (Santa Cruz Biotechnology, Dallas, TX, USA) | 1:500 |
| Mouse monoclonal anti-Nrf2 | sc-365949 (Santa Cruz Biotechnology, Dallas, TX, USA) | 1:250 |
| Mouse monoclonal anti-GPx | ST1000 (Calbiochem, San Diego, CA, USA) | 1:200 |
| Mouse monoclonal anti-CD8 | sc-7970 (Santa Cruz Biotechnology, Dallas, TX, USA) | 1:100 |
| Rabbit polyclonal anti-CD34 | ab182981 (Abcam, Cambridge, MA, USA) | 1:500 |
| Goat anti-Rabbit-HRP | 65-6120 (Invitrogen, Waltham, MA, USA) | 1:5000 |
| Goat anti-Mouse-HRP | 62-6520 (Invitrogen, Waltham, MA, USA) | 1:3000 |
| Horse anti-mouse IgG biotinylated | BA-1000 (Vector Laboratories, Newark, CA, USA) | 1:1000 |
| Goat anti-rabbit IgG biotinylated | BA-2000 (Vector Laboratories, Newark, CA, USA) | 1:1000 |
Disclaimer/Publisher’s Note: The statements, opinions and data contained in all publications are solely those of the individual author(s) and contributor(s) and not of MDPI and/or the editor(s). MDPI and/or the editor(s) disclaim responsibility for any injury to people or property resulting from any ideas, methods, instructions or products referred to in the content. |
© 2024 by the authors. Licensee MDPI, Basel, Switzerland. This article is an open access article distributed under the terms and conditions of the Creative Commons Attribution (CC BY) license (https://creativecommons.org/licenses/by/4.0/).
Share and Cite
Delgado-González, E.; Ríos-Arellano, E.d.l.; Anguiano, B.; Aceves, C. Molecular Iodine Improves the Efficacy and Reduces the Side Effects of Metronomic Cyclophosphamide Treatment against Mammary Cancer Progression. Int. J. Mol. Sci. 2024, 25, 8822. https://doi.org/10.3390/ijms25168822
Delgado-González E, Ríos-Arellano Edl, Anguiano B, Aceves C. Molecular Iodine Improves the Efficacy and Reduces the Side Effects of Metronomic Cyclophosphamide Treatment against Mammary Cancer Progression. International Journal of Molecular Sciences. 2024; 25(16):8822. https://doi.org/10.3390/ijms25168822
Chicago/Turabian StyleDelgado-González, Evangelina, Ericka de los Ríos-Arellano, Brenda Anguiano, and Carmen Aceves. 2024. "Molecular Iodine Improves the Efficacy and Reduces the Side Effects of Metronomic Cyclophosphamide Treatment against Mammary Cancer Progression" International Journal of Molecular Sciences 25, no. 16: 8822. https://doi.org/10.3390/ijms25168822
APA StyleDelgado-González, E., Ríos-Arellano, E. d. l., Anguiano, B., & Aceves, C. (2024). Molecular Iodine Improves the Efficacy and Reduces the Side Effects of Metronomic Cyclophosphamide Treatment against Mammary Cancer Progression. International Journal of Molecular Sciences, 25(16), 8822. https://doi.org/10.3390/ijms25168822

