Pathological Changes Following Neoadjuvant Endocrine Therapy (NAET): A Multicentre Study of 391 Breast Cancers
Abstract
1. Introduction
2. Results
2.1. Baseline Clinicopathologic Characteristics
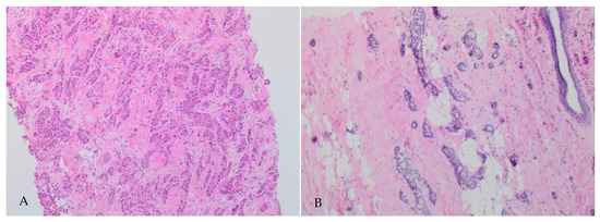
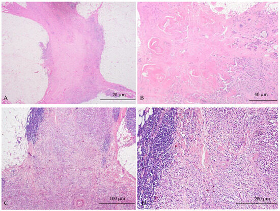
2.2. Histological Response to Neoadjuvant Endocrine Therapy (NAET)
2.3. Histological Tumour Type and Tumour Grade in the Matched Pre- and Post-NAET Samples
2.4. Hormone Receptors and HER2 Status in the Paired Pre- and Post-NAET Tumours
2.4.1. ER Expression
2.4.2. PR Expression
2.4.3. HER2 Expression
2.5. Ki67 Expression
2.6. Relation between Biomarker Expression and Patient Outcome
2.7. Relation between the Duration and Impacts of NAET
3. Discussion
4. Materials and Methods
4.1. Patient Selection
4.2. Data Collection
4.3. Hormone Receptors and HER2 Testing and Re-Evaluation
4.4. Statistical Analysis
5. Conclusions
Study Strengths and Weakness
Author Contributions
Funding
Institutional Review Board Statement
Informed Consent Statement
Data Availability Statement
Conflicts of Interest
References
- Zhang, J.; Lu, C.Y.; Chen, H.M.; Wu, S.Y. Neoadjuvant Chemotherapy or Endocrine Therapy for Invasive Ductal Carcinoma of the Breast With High Hormone Receptor Positivity and Human Epidermal Growth Factor Receptor 2 Negativity. JAMA Netw. Open 2021, 4, e211785. [Google Scholar] [CrossRef]
- Spring, L.M.; Gupta, A.; Reynolds, K.L.; Gadd, M.A.; Ellisen, L.W.; Isakoff, S.J.; Moy, B.; Bardia, A. Neoadjuvant Endocrine Therapy for Estrogen Receptor-Positive Breast Cancer: A Systematic Review and Meta-analysis. JAMA Oncol. 2016, 2, 1477–1486. [Google Scholar] [CrossRef]
- Chen, X.; Ye, G.; Zhang, C.; Li, X.; Chen, Y.; Xie, X.; Zheng, H.; Cao, Y.; Wu, K.; Ni, D.; et al. Superior outcome after neoadjuvant chemotherapy with docetaxel, anthracycline, and cyclophosphamide versus docetaxel plus cyclophosphamide: Results from the NATT trial in triple negative or HER2 positive breast cancer. Breast Cancer Res. Treat. 2013, 142, 549–558. [Google Scholar] [CrossRef] [PubMed]
- Nakatsukasa, K.; Koyama, H.; Oouchi, Y.; Imanishi, S.; Mizuta, N.; Sakaguchi, K.; Fujita, Y.; Fujiwara, I.; Kotani, T.; Matsuda, T.; et al. Docetaxel and cyclophosphamide as neoadjuvant chemotherapy in HER2-negative primary breast cancer. Breast Cancer 2017, 24, 63–68. [Google Scholar] [CrossRef]
- Long, M.; You, C.; Song, Q.; Hu, L.X.J.; Guo, Z.; Yao, Q.; Hou, W.; Sun, W.; Liang, B.; Zhou, X.H.; et al. Biomarker Alteration after Neoadjuvant Endocrine Therapy or Chemotherapy in Estrogen Receptor-Positive Breast Cancer. Life 2022, 13, 74. [Google Scholar] [CrossRef]
- Burstein, H.J.; Lacchetti, C.; Anderson, H.; Buchholz, T.A.; Davidson, N.E.; Gelmon, K.A.; Giordano, S.H.; Hudis, C.A.; Solky, A.J.; Stearns, V.; et al. Adjuvant Endocrine Therapy for Women With Hormone Receptor-Positive Breast Cancer: ASCO Clinical Practice Guideline Focused Update. J. Clin. Oncol. Off. J. Am. Soc. Clin. Oncol. 2019, 37, 423–438. [Google Scholar] [CrossRef] [PubMed]
- Özdemir, Ö.; Zengel, B.; Kocatepe Çavdar, D.; Yılmaz, C.; Durusoy, R. Prognostic Value of Receptor Change After Neoadjuvant Chemotherapy in Breast Cancer Patients. Eur. J. Breast Health 2022, 18, 167–171. [Google Scholar] [CrossRef] [PubMed]
- Arun, B.; Bayraktar, S.; Liu, D.D.; Gutierrez Barrera, A.M.; Atchley, D.; Pusztai, L.; Litton, J.K.; Valero, V.; Meric-Bernstam, F.; Hortobagyi, G.N.; et al. Response to neoadjuvant systemic therapy for breast cancer in BRCA mutation carriers and noncarriers: A single-institution experience. J. Clin. Oncol. Off. J. Am. Soc. Clin. Oncol. 2011, 29, 3739–3746. [Google Scholar] [CrossRef]
- Faneyte, I.F.; Schrama, J.G.; Peterse, J.L.; Remijnse, P.L.; Rodenhuis, S.; van de Vijver, M.J. Breast cancer response to neoadjuvant chemotherapy: Predictive markers and relation with outcome. Br. J. Cancer 2003, 88, 406–412. [Google Scholar] [CrossRef]
- Schlam, I.; Tolaney, S.M.; Tarantino, P. How I treat HER2-low advanced breast cancer. Breast 2023, 67, 116–123. [Google Scholar] [CrossRef]
- Daveau, C.; Baulies, S.; Lalloum, M.; Bollet, M.; Sigal-Zafrani, B.; Sastre, X.; Vincent-Salomon, A.; Tardivon, A.; Thibault, F.; Pierga, J.Y.; et al. Histological grade concordance between diagnostic core biopsy and corresponding surgical specimen in HR-positive/HER2-negative breast carcinoma. Br. J. Cancer 2014, 110, 2195–2200. [Google Scholar] [CrossRef] [PubMed]
- Shanmugalingam, A.; Hitos, K.; Hegde, S.; Al-Mashat, A.; Pathmanathan, N.; Edirimmane, S.; Hughes, T.M.; Ngui, N.K. Concordance between core needle biopsy and surgical excision for breast cancer tumor grade and biomarkers. Breast Cancer Res. Treat. 2022, 193, 151–159. [Google Scholar] [CrossRef] [PubMed]
- Gahlaut, R.; Bennett, A.; Fatayer, H.; Dall, B.J.; Sharma, N.; Velikova, G.; Perren, T.; Dodwell, D.; Lansdown, M.; Shaaban, A.M. Effect of neoadjuvant chemotherapy on breast cancer phenotype, ER/PR and HER2 expression—Implications for the practising oncologist. Eur. J. Cancer 2016, 60, 40–48. [Google Scholar] [CrossRef] [PubMed]
- Ambrosini-Spaltro, A.; Zunarelli, E.; Bettelli, S.; Lupi, M.; Bernardelli, G.; Milani, M.; Ficarra, G. Surrogate Molecular Classification of Invasive Breast Carcinoma: A Comparison Between Core Needle Biopsy and Surgical Excision, With and Without Neoadjuvant Therapy. Appl. Immunohistochem. Mol. Morphol. AIMM/Off. Publ. Soc. Appl. Immunohistochem. 2020, 28, 551–557. [Google Scholar] [CrossRef] [PubMed]
- Coiro, S.; Gasparini, E.; Falco, G.; Santandrea, G.; Foroni, M.; Besutti, G.; Iotti, V.; Di Cicilia, R.; Foroni, M.; Mele, S.; et al. Biomarkers Changes after Neoadjuvant Chemotherapy in Breast Cancer: A Seven-Year Single Institution Experience. Diagnostics 2021, 11, 2249. [Google Scholar] [CrossRef] [PubMed]
- Zhang, N.; Moran, M.S.; Huo, Q.; Haffty, B.G.; Yang, Q. The hormonal receptor status in breast cancer can be altered by neoadjuvant chemotherapy: A meta-analysis. Cancer Investig. 2011, 29, 594–598. [Google Scholar] [CrossRef] [PubMed]
- Anderson, T.J.; Dixon, J.M.; Stuart, M.; Sahmoud, T.; Miller, W.R. Effect of neoadjuvant treatment with anastrozole on tumour histology in postmenopausal women with large operable breast cancer. Br. J. Cancer 2002, 87, 334–338. [Google Scholar] [CrossRef] [PubMed][Green Version]
- Maeda, S. Changes of estrogen receptor, progesterone receptor and HER2 expression in breast cancer with/without neoadjuvant chemotherapy or endocrine therapy. J. Clin. Oncol. 2019, 37 (Suppl. 15), e14699. [Google Scholar] [CrossRef]
- Kurosumi, M.; Takatsuka, Y.; Watanabe, T.; Imoto, S.; Inaji, H.; Tsuda, H.; Akiyama, F.; Sakamoto, G.; Ikeda, T.; Noguchi, S. Histopathological assessment of anastrozole and tamoxifen as preoperative (neoadjuvant) treatment in postmenopausal Japanese women with hormone receptor-positive breast cancer in the PROACT trial. J. Cancer Res. Clin. Oncol. 2008, 134, 715–722. [Google Scholar] [CrossRef]
- Frasor, J.; Stossi, F.; Danes, J.M.; Komm, B.; Lyttle, C.R.; Katzenellenbogen, B.S. Selective estrogen receptor modulators: Discrimination of agonistic versus antagonistic activities by gene expression profiling in breast cancer cells. Cancer Res. 2004, 64, 1522–1533. [Google Scholar] [CrossRef]
- Jordan, V.C. The science of selective estrogen receptor modulators: Concept to clinical practice. Clin. Cancer Res. 2006, 12, 5010–5013. [Google Scholar] [CrossRef] [PubMed]
- Encarnación, C.A.; Ciocca, D.R.; McGuire, W.L.; Clark, G.M.; Fuqua, S.A.; Osborne, C.K. Measurement of steroid hormone receptors in breast cancer patients on tamoxifen. Breast Cancer Res. Treat. 1993, 26, 237–246. [Google Scholar] [CrossRef] [PubMed]
- Gutierrez, M.C.; Detre, S.; Johnston, S.; Mohsin, S.K.; Shou, J.; Allred, D.C.; Schiff, R.; Osborne, C.K.; Dowsett, M. Molecular changes in tamoxifen-resistant breast cancer: Relationship between estrogen receptor, HER-2, and p38 mitogen-activated protein kinase. J. Clin. Oncol. Off. J. Am. Soc. Clin. Oncol. 2005, 23, 2469–2476. [Google Scholar] [CrossRef]
- Chaudhary, L.N.; Jorns, J.; Sun, Y.; Cheng, Y.C.; Kamaraju, S.; Burfeind, J.; Gonyo, M.; Kong, A.; Patten, C.; Yen, T.; et al. Frequent Upregulation Of HER2 Protein In Hormone Receptor-Positive HER2-Negative Breast Cancer after Short-Term Neoadjuvant Endocrine Therapy. Res. Sq. 2023, 201, 387–396. [Google Scholar] [CrossRef] [PubMed]
- Arpino, G.; Weiss, H.; Lee, A.V.; Schiff, R.; De Placido, S.; Osborne, C.K.; Elledge, R.M. Estrogen receptor-positive, progesterone receptor-negative breast cancer: Association with growth factor receptor expression and tamoxifen resistance. J. Natl. Cancer Inst. 2005, 97, 1254–1261. [Google Scholar] [CrossRef]
- Liu, B.; Ordonez-Ercan, D.; Fan, Z.; Edgerton, S.M.; Yang, X.; Thor, A.D. Downregulation of erbB3 abrogates erbB2-mediated tamoxifen resistance in breast cancer cells. Int. J. Cancer 2007, 120, 1874–1882. [Google Scholar] [CrossRef]
- Barnes, N.L.; Khavari, S.; Boland, G.P.; Cramer, A.; Knox, W.F.; Bundred, N.J. Absence of HER4 expression predicts recurrence of ductal carcinoma in situ of the breast. Clin. Cancer Res. 2005, 11, 2163–2168. [Google Scholar] [CrossRef]
- Wang, T.; Xu, Y.; Sheng, S.; Yuan, H.; Ouyang, T.; Li, J.; Wang, T.; Fan, Z.; Fan, T.; Lin, B.; et al. HER2 somatic mutations are associated with poor survival in HER2-negative breast cancers. Cancer Sci. 2017, 108, 671–677. [Google Scholar] [CrossRef]
- Nicolò, E.; Boscolo Bielo, L.; Curigliano, G.; Tarantino, P. The HER2-low revolution in breast oncology: Steps forward and emerging challenges. Ther. Adv. Med. Oncol. 2023, 15, 17588359231152842. [Google Scholar] [CrossRef]
- Zaakouk, M.; Quinn, C.; Provenzano, E.; Boyd, C.; Callagy, G.; Elsheikh, S.; Flint, J.; Millican-Slater, R.; Gunavardhan, A.; Mir, Y.; et al. Concordance of HER2-low scoring in breast carcinoma among expert pathologists in the United Kingdom and the republic of Ireland -on behalf of the UK national coordinating committee for breast pathology. Breast 2023, 70, 82–91. [Google Scholar] [CrossRef]
- Wu, J.Y.; Chen, W.G.; Chen, X.S.; Huang, O.; He, J.R.; Zhu, L.; Li, Y.; Shen, K.W. Long-term outcomes following adjuvant endocrine therapy in breast cancer patients with a positive-to-negative change of hormone receptor status following neoadjuvant chemotherapy. Mol. Clin. Oncol. 2014, 2, 997–1002. [Google Scholar] [CrossRef] [PubMed][Green Version]
- Ellis, M.J.; Tao, Y.; Luo, J.; A’Hern, R.; Evans, D.B.; Bhatnagar, A.S.; Chaudri Ross, H.A.; von Kameke, A.; Miller, W.R.; Smith, I.; et al. Outcome prediction for estrogen receptor-positive breast cancer based on postneoadjuvant endocrine therapy tumor characteristics. J. Natl. Cancer Inst. 2008, 100, 1380–1388. [Google Scholar] [CrossRef] [PubMed]
- Penault-Llorca, F.; Radosevic-Robin, N. Ki67 assessment in breast cancer: An update. Pathology 2017, 49, 166–171. [Google Scholar] [CrossRef]
- Moazed, V.; Jafari, E.; Kalantari Khandani, B.; Nemati, A.; Roozdar, A.; Ben Razavi, S.A. Prognostic Significance of Reduction in Ki67 Index After Neoadjuvant Chemotherapy in Patients With Breast Cancer in Kerman Between 2009 and 2014. Iran J. Pathol. 2018, 13, 71–77. [Google Scholar]
- Nielsen, T.O.; Leung, S.C.Y.; Rimm, D.L.; Dodson, A.; Acs, B.; Badve, S.; Denkert, C.; Ellis, M.J.; Fineberg, S.; Flowers, M.; et al. Assessment of Ki67 in Breast Cancer: Updated Recommendations From the International Ki67 in Breast Cancer Working Group. J. Natl. Cancer Inst. 2021, 113, 808–819. [Google Scholar] [CrossRef]
- Thomas, J.S.; Julian, H.S.; Green, R.V.; Cameron, D.A.; Dixon, M.J. Histopathology of breast carcinoma following neoadjuvant systemic therapy: A common association between letrozole therapy and central scarring. Histopathology 2007, 51, 219–226. [Google Scholar] [CrossRef] [PubMed]
- Badr, N.M.; Spooner, D.; Steven, J.; Stevens, A.; Shaaban, A.M. Morphological and molecular changes following neoadjuvant endocrine therapy of oestrogen receptor-positive breast cancer: Implications for clinical practice. Histopathology 2021, 79, 47–56. [Google Scholar] [CrossRef]
- Miglietta, F.; Griguolo, G.; Bottosso, M.; Giarratano, T.; Lo Mele, M.; Fassan, M.; Cacciatore, M.; Genovesi, E.; De Bartolo, D.; Vernaci, G.; et al. HER2-low-positive breast cancer: Evolution from primary tumor to residual disease after neoadjuvant treatment. NPJ Breast Cancer 2022, 8, 66. [Google Scholar] [CrossRef]
- Allison, K.H.; Hammond, M.E.H.; Dowsett, M.; McKernin, S.E.; Carey, L.A.; Fitzgibbons, P.L.; Hayes, D.F.; Lakhani, S.R.; Chavez-MacGregor, M.; Perlmutter, J.; et al. Estrogen and Progesterone Receptor Testing in Breast Cancer: ASCO/CAP Guideline Update. J. Clin. Oncol. Off. J. Am. Soc. Clin. Oncol. 2020, 38, 1346–1366. [Google Scholar] [CrossRef]
- Rakha, E.A.; Tan, P.H.; Quinn, C.; Provenzano, E.; Shaaban, A.M.; Deb, R.; Callagy, G.; Starczynski, J.; Lee, A.H.S.; Ellis, I.O.; et al. UK recommendations for HER2 assessment in breast cancer: An update. J. Clin. Pathol. 2023, 76, 217–227. [Google Scholar] [CrossRef]
- Pasricha, S.; Gupta, G.; Garg, R.; Sharma, A.; Gandhi, J.S.; Durga, G.; Kamboj, M.; Grover, S.; Mehta, A. Impact of 2013 ASCO/CAP HER2 reporting guidelines in breast cancer: An assessment study from Indian oncology centre that primarily performs HER2 IHC testing with special emphasis on IHC equivocal category. Breast J. 2018, 24, 468–472. [Google Scholar] [CrossRef] [PubMed]
- Zhang, H.; Katerji, H.; Turner, B.M.; Hicks, D.G. HER2-Low Breast Cancers. Am. J. Clin. Pathol. 2022, 157, 328–336. [Google Scholar] [CrossRef] [PubMed]





| Demographics | Number | % |
|---|---|---|
| Age (years, median, range) | 66 (29–93) | |
| <50 Years | 49 | 12.5 |
| ≥50 Years | 342 | 87.5 |
| Ethnic origin | ||
| White British | 199 | 50.9 |
| Scottish | 45 | 11.5 |
| Asian | 15 | 3.8 |
| Any other mixed | 16 | 4.1 |
| Unknown | 116 | 29.7 |
| Histologic tumour type | ||
| Ductal NST | 285 | 72.9 |
| Lobular | 71 | 18.2 |
| Mixed | 13 | 3.3 |
| Other | 22 | 5.6 |
| Nuclear grade | ||
| I | 76 | 19.4 |
| II | 275 | 70.3 |
| III | 40 | 10.3 |
| Tubule formation | ||
| 1 | 18 | 4.6 |
| 2 | 106 | 27.1 |
| 3 | 267 | 68.3 |
| Pleomorphism | ||
| 1 | 1 | 0.3 |
| 2 | 255 | 65.2 |
| 3 | 135 | 34.5 |
| Mitosis | ||
| 1 | 332 | 84.9 |
| 2 | 43 | 11.0 |
| 3 | 16 | 4.1 |
| Biomarker status | ||
| ER-positive/HER2-0 | 107 | 27.3 |
| ER-positive/HER2-low | 264 | 67.6 |
| ER-positive/HER2-positive | 20 | 5.1 |
| PR status | ||
| Negative | 51 | 13.1 |
| Low | 17 | 4.3 |
| Positive | 323 | 82.6 |
| NAET | ||
| Tamoxifen | 33 | 8.4 |
| Letrozole | 358 | 91.6 |
| Type of surgery | ||
| Breast-conserving surgery | 254 | 67.5 |
| Mastectomy | 127 | 32.5 |
| Pathologic response | ||
| pCR | 2 | 0.5 |
| pPR | 353 | 90.3 |
| Minimal residual disease | 24 | 6.1 |
| No response | 12 | 3.1 |
| Pre-NAET Tumour Type | Post-NAET Tumour Type | Total | X2 p Value | Cohen’s Kappa Value | ||||
|---|---|---|---|---|---|---|---|---|
| NST | ILC | Mixed Ductal and Lobular | Other * | No Residual Tumour | ||||
| NST | 252 (64.5) | 6 (1.5) | 9 (2.3) | 17 (4.4) | 1 (0.3) | 285 | 462.06 <0.001 | 0.668 <0.001 |
| ILC | 5 (1.3) | 60 (15.3) | 4 (1.02) | 0 (0) | 2 (0.5) | 71 | ||
| Mixed ductal and lobular | 4 (1.02) | 1 (0.3) | 7 (1.8) | 1 (0.3) | 0 (0) | 13 | ||
| Other * | 7 (1.8) | 2 (0.5) | 1 (0.3) | 12 (3.1) | 0 (0) | 22 | ||
| Total | 268 | 69 | 21 | 30 | 3 | 391 | ||
| Pre-NAET Grade | Post-NAET Grade | ||||||
|---|---|---|---|---|---|---|---|
| I | II | III | Unknown | Total | X2 (p Value) | Cohen’s Kappa Value | |
| I | 56 (14.3) | 17 (4.3) | 1 (0.3) | 2 (0.5) | 76 | 131.924 <0.001 | 0.400 <0.001 |
| II | 49 (12.5) | 192 (49.1) | 25 (6.4) | 9 (2.3) | 275 | ||
| III | 3 (0.8) | 21 (5.8) | 15 (3.8) | 1 (0.3) | 40 | ||
| Total | 108 | 230 | 41 | 12 | 391 | ||
| Pre-NAET HER2 Status | (A) Post-NAET HER2 Status | X2 (p Value) | Cohen’s Kappa Value | |||||
| HER2-0 | HER2-1+ | HER2-2+ | HER2-3+ | Unknown | Total | |||
| HER2-0 | 80 (20.5) | 5 (1.3) | 9 (2.3) | 1 (0.3) | 12 (3.1) | 95 | 47.382 <0.001 | 0.375 <0.001 |
| HER2-1+ | 46 (11.8) | 25 (6.4) | 8 (2.0) | 3 (0.8) | 61 (15.6) | 143 | ||
| HER2-2+ | 39 (10.0) | 14 (3.6) | 59 (15.1) | 3 (0.8) | 16 (4.1) | 131 | ||
| HER2-3+ | 1 (0.3) | 1 (0.3) | 0 (0.0) | 8 (2.0) | 0 (0.0) | 10 | ||
| Total | 166 | 45 | 76 | 15 | 89 | 391 | ||
| Pre-NAET HER2 Final Status | (B) Post-NAET HER2 Final Status | X2 (p Value) | Cohen’s Kappa Value | |||||
| HER2-0 | HER2-Low | HER2-Positive | Total | |||||
| HER2-0 | 80 (20.5) | 14 (3.6)) | 1 (0.3) | 95 | 47.382 <0.001 | 0.364 <0.001 | ||
| HER2-Low | 82 (21.0) | 97 (24.8) | 10 (2.6) | 189 | ||||
| HER2-Positive | 4 (1.0) | 2 (0.5) | 12 (3.1) | 18 | ||||
| Total | 166 | 113 | 23 | 302 | ||||
| Pre-NAET PR Status | (C) Post-NAET PR Status | X2 (p Value) | Cohen’s Kappa Value | |||||
| Negative | Low | Positive | Total | |||||
| PR-Negative | 43 (11.0) | 3 (0.8) | 5 (1.3) | 51 | 79.916 <0.001 | 0.316 <0.001 | ||
| PR-Low | 10 (2.6) | 3 (0.8) | 3 (0.8) | 16 | ||||
| PR-Positive | 82 (21.0) | 22 (5.6) | 216 (55.2) | 320 | ||||
| Total | 135 | 28 | 224 | 387 | ||||
| Parameter | Number (%) | Mean Rank | p Value |
|---|---|---|---|
| Tumour type change | <0.001 | ||
| -No | 331 (85.3) | 186.02 | |
| -Yes | 57 (14.7) | 243.73 | |
| Grade change | 0.029 | ||
| -No | 263 (67.8) | 180.15 | |
| -Upgrade | 43 (11.1) | 217.37 | |
| -Downgrade | 43 (11.1) | 209.38 | |
| ER status change | 0.556 | ||
| -No | 383 (98.7) | 193.66 | |
| -Yes | 4 (1.1) | 226.75 | |
| ER status | 0.793 | ||
| -Negative | 2 (0.5) | 246.00 | |
| -Low | 2 (0.5) | 207.50 | |
| -Positive | 383 (98.7) | 193.66 | |
| PR status change | 0.101 | ||
| -No | 266 (68.6) | 187.70 | |
| -Yes | 121 (31.2) | 207.84 | |
| PR status | 0.011 | ||
| -Negative | 135 (34.8) | 217.36 | |
| -Low | 28 (7.2) | 176.86 | |
| -Positive | 224 (57.7) | 182.07 | |
| HER2 status change | 0.014 | ||
| -No | 187 (48.2) | 161.23 | |
| -Yes | 115 (29.6) | 135.68 | |
| HER2 status | <0.001 | ||
| -Negative | 166 (42.8) | 128.79 | |
| -Low | 113 (29.1) | 184.21 | |
| -Positive | 23 (5.9) | 154.72 | |
| Ki67 | 0.006 | ||
| -Low Proliferation | 151 (38.9) | 119.05 | |
| -High Proliferation | 70 (18.1) | 93.64 |
Disclaimer/Publisher’s Note: The statements, opinions and data contained in all publications are solely those of the individual author(s) and contributor(s) and not of MDPI and/or the editor(s). MDPI and/or the editor(s) disclaim responsibility for any injury to people or property resulting from any ideas, methods, instructions or products referred to in the content. |
© 2024 by the authors. Licensee MDPI, Basel, Switzerland. This article is an open access article distributed under the terms and conditions of the Creative Commons Attribution (CC BY) license (https://creativecommons.org/licenses/by/4.0/).
Share and Cite
Miligy, I.M.; Badr, N.; Stevens, A.; Spooner, D.; Awasthi, R.; Mir, Y.; Khurana, A.; Sharma, V.; Chandaran, U.; Rakha, E.A.; et al. Pathological Changes Following Neoadjuvant Endocrine Therapy (NAET): A Multicentre Study of 391 Breast Cancers. Int. J. Mol. Sci. 2024, 25, 7381. https://doi.org/10.3390/ijms25137381
Miligy IM, Badr N, Stevens A, Spooner D, Awasthi R, Mir Y, Khurana A, Sharma V, Chandaran U, Rakha EA, et al. Pathological Changes Following Neoadjuvant Endocrine Therapy (NAET): A Multicentre Study of 391 Breast Cancers. International Journal of Molecular Sciences. 2024; 25(13):7381. https://doi.org/10.3390/ijms25137381
Chicago/Turabian StyleMiligy, Islam M., Nahla Badr, Andrea Stevens, David Spooner, Rachna Awasthi, Yasmeen Mir, Anuj Khurana, Vijay Sharma, Usha Chandaran, Emad A. Rakha, and et al. 2024. "Pathological Changes Following Neoadjuvant Endocrine Therapy (NAET): A Multicentre Study of 391 Breast Cancers" International Journal of Molecular Sciences 25, no. 13: 7381. https://doi.org/10.3390/ijms25137381
APA StyleMiligy, I. M., Badr, N., Stevens, A., Spooner, D., Awasthi, R., Mir, Y., Khurana, A., Sharma, V., Chandaran, U., Rakha, E. A., Maurice, Y., Kearns, D., Oweis, R., Asar, A., Ironside, A., & Shaaban, A. M. (2024). Pathological Changes Following Neoadjuvant Endocrine Therapy (NAET): A Multicentre Study of 391 Breast Cancers. International Journal of Molecular Sciences, 25(13), 7381. https://doi.org/10.3390/ijms25137381

