New Step in Understanding the Pathogenetic Mechanism of Sudden Infant Death Syndrome: Involvement of the Pontine Reticular Gigantocellular Nucleus
Abstract
1. Introduction
2. Results
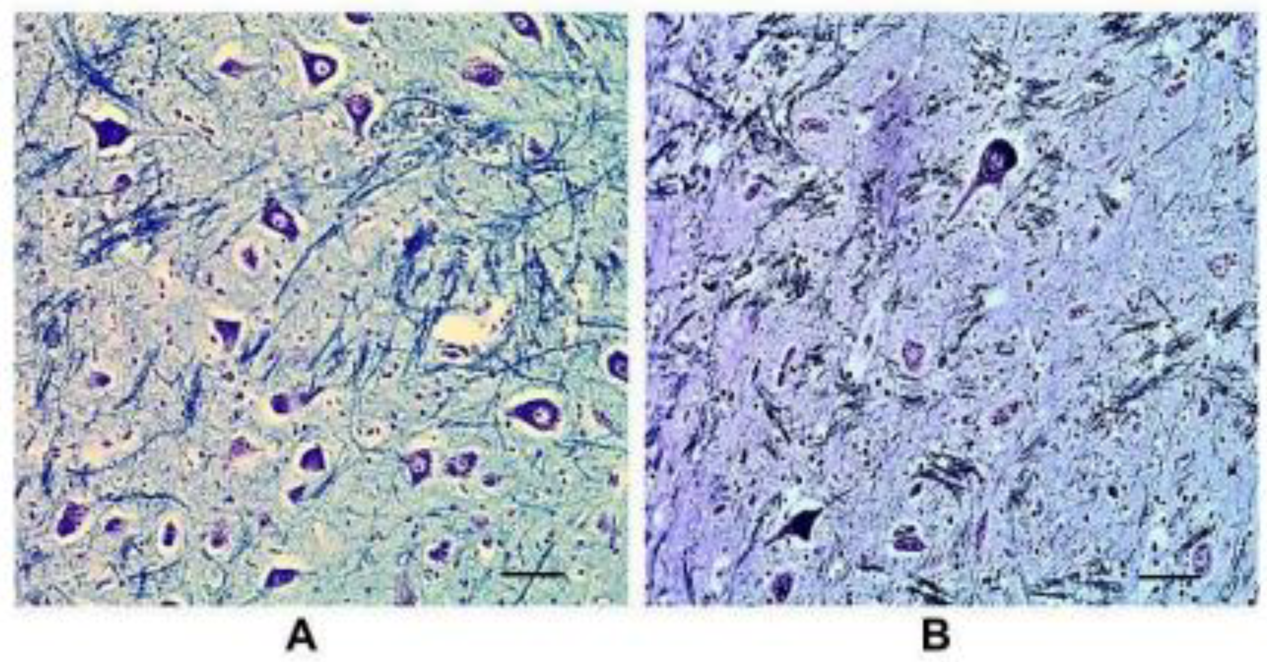
2.1. Morphological Examination of the pGCn
- -
- The pGCn showed the same widespread distribution of many neurons in all controls and nine SIDS cases (Figure 2A). This finding was considered to be in line with normal nucleus development for infants under one year of age.
- -
- The pGCn outlook differed for the remaining 19 SIDS cases due to the presence of rare (sometimes extremely rare) neurons. A diagnosis of “pGCn hypoplasia” was made for these cases (Figure 2B).
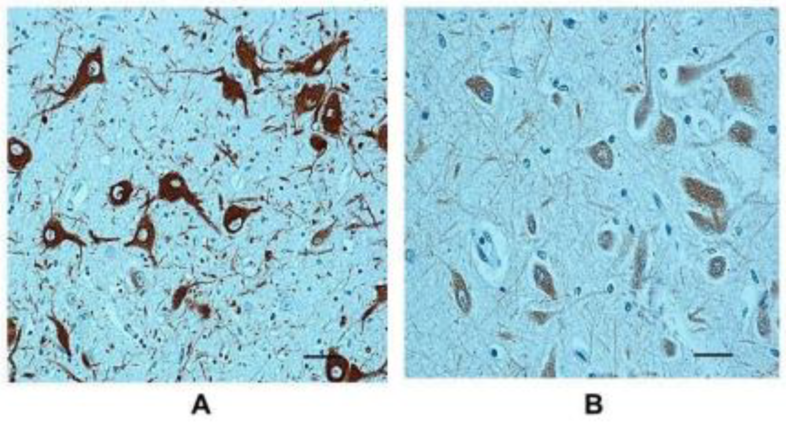
2.2. TH—Immunohistochemical Examination of the pGCn
2.3. Correlation of the Results with Risk Factors
2.3.1. Correlations with Cigarette Smoke
2.3.2. Correlations with Alcohol/Drug Misuse and Environmental Pollutants
3. Discussion
3.1. Genetics of the TH Enzyme
3.2. Limitations of the Study
3.3. Conclusions
4. Materials and Methods
4.1. Study Subjects
- The SIDS group was composed of 28 cases (12 females and 16 males, aged from 1 to 7 postnatal months). SIDS was diagnosed because the routine post-mortem examination was unable to establish any cause of death. Therefore, an in-depth analysis of the nervous system was carried out with particular investigation of the brainstem, where main nervous centers of vital importance are located, in accordance with the directives of Italian law n.31/2006 “Regulations for Diagnostic Post Mortem Investigation in Victims of Sudden Infant Death Syndrome (SIDS) and Unexpected Fetal Death” [54]. These 28 cases were selected from a large number of SIDS victims in which no developmental abnormalities in the main vital nervous centers were detected at the thorough neuropathological examination.
- The control group was composed of 20 suddenly deceased subjects (8 females and 12 males, aged from 2 to 7 postnatal months) for whom a complete autopsy and clinical history analysis established a precise cause of death. Specific diagnoses included the following: congenital heart disease (n = 6); respiratory infection (n = 6); disorders related to prematurity (n = 2); traumatic incident (n = 2); congenital malformations (n = 2); medium-chain acyl-coenzyme A dehydrogenase (MCAD) deficit (n = 1); sepsis (n = 1).
4.2. Risk Factor Information
4.3. Neuropathological Examination
TH (Tyrosine-Hydroxylase) Immunohistochemistry
4.4. Statistical Methods
4.5. Ethics Approval and Consent
Author Contributions
Funding
Institutional Review Board Statement
Informed Consent Statement
Data Availability Statement
Conflicts of Interest
References
- Krous, H.F.; Beckwith, J.B.; Byard, R.W.; Rognum, T.O.; Bajanowski, T.; Corey, T.; Cutz, E.; Hanzlick, R.; Keens, T.G.; Mitchell, E.A. Sudden infant death syndrome and unclassified sudden infant deaths: A definitional and diagnostic approach. Pediatrics 2004, 114, 234–238. [Google Scholar] [CrossRef] [PubMed]
- Bright, F.M.; Vink, R.; Byard, R.W. Neuropathological Developments in Sudden Infant Death Syndrome. Pediatr. Dev. Pathol. 2018, 21, 515–521. [Google Scholar] [CrossRef] [PubMed]
- Kinney, H.C. Brainstem mechanisms underlying the sudden infant death syndrome: Evidence from human pathologic studies. Dev. Psychobiol. 2009, 51, 223–233. [Google Scholar] [CrossRef] [PubMed]
- Machaalani, R.; Waters, K.A. Neurochemical abnormalities in the brainstem of the Sudden Infant Death Syndrome (SIDS). Paediatr. Respir. Rev. 2014, 15, 293–300. [Google Scholar] [CrossRef] [PubMed]
- Naeye, R.L. Brain-stem and adrenal abnormalities in the sudden-infant-death syndrome. Am. J. Clin. Pathol. 1976, 66, 526–530. [Google Scholar] [CrossRef] [PubMed]
- Squier, W. Neuropathology of SIDS. In Autopsy Findings; Section 5, Chapter 15; Cohen, M.C., Scheimberg, I.B., Eds.; Cambridge University Press: Cambridge, UK, 2019; pp. 95–99. [Google Scholar]
- Blackburn, J.; Chapur, V.F.; Stephens, J.A.; Zhao, J.; Shepler, A.; Pierson, C.R.; Otero, J.J. Revisiting the Neuropathology of Sudden Infant Death Syndrome (SIDS). Front. Neurol. 2020, 11, 594550. [Google Scholar] [CrossRef] [PubMed]
- Lavezzi, A.M.; Ferrero, S.; Paradiso, B.; Chamitava, L.; Piscioli, F.; Pusiol, T. Neuropathology of Early Sudden Infant Death Syndrome-Hypoplasia of the Pontine Kolliker-Fuse Nucleus: A Possible Marker of Unexpected Collapse during Skin-to-Skin. Care. Am. J. Perinatol. 2019, 36, 460–471. [Google Scholar] [CrossRef] [PubMed]
- Lavezzi, A.M.; Poloniato, A.; Rovelli, R.; Lorioli, L.; Iasi, G.A.; Pusiol, T.; Barera, G.; Ferrero, S. Massive Amniotic Fluid Aspiration in a Case of Sudden Neonatal Death with Severe Hypoplasia of the Retrotrapezoid/Parafacial Respiratory Group. Front. Pediatr. 2019, 7, 116. [Google Scholar] [CrossRef] [PubMed]
- Lavezzi, A.M.; Casale, V.; Oneda, R.; Weese-Mayer, D.E.; Matturri, L. Sudden infant death syndrome and sudden intrauterine unexplained death: Correlation between hypoplasia of raphé nuclei and serotonin transporter gene promoter polymorphism. Pediatr. Res. 2009, 66, 22–27. [Google Scholar] [CrossRef]
- Cerpa, V.J.; Aylwin, M.D.L.L.O.; Beltrán-Castillo, S.; Bravo, E.U.; Llona, I.R.; Richerson, G.B.; Eugenín, J.L. The Alteration of Neonatal Raphe Neurons by Prenatal-Perinatal Nicotine. Meaning for Sudden Infant Death Syndrome. Am. J.Respir. Cell. Mol. Biol. 2015, 53, 489–499. [Google Scholar] [CrossRef]
- Mangold, S.A.; M Das, J. Neuroanatomy, Reticular Formation. In StatPearls [Internet]; StatPearls Publishing: Treasure Island, FL, USA, 2023. Available online: https://www.ncbi.nlm.nih.gov/books/NBK556102/ (accessed on 25 July 2022).
- Augustine, J.R. The Reticular Formation. In Human Neuroanatomy, 2nd ed.; John Wiley & Sons: Hoboken, NJ, USA, 2016; Chapter 9; pp. 141–153. ISBN 978-1119073994. [Google Scholar]
- Horn, A.K. The reticular formation. Pro.Brain Res. 2006, 151, 127–155. [Google Scholar]
- Bucci, D.; Buscet, C.L.; Calierno, M.T.; Di Piet, P.; Madonna, M.; Biagioni, F.; Ryskalin, L.; Limanaqi, F.; Nicoletti, F.; Fornai, F. Systematic Morphometry of Catecholamine Nuclei in the Brainstem. Front. Neuroanat. 2017, 11, 98. [Google Scholar] [CrossRef] [PubMed]
- Kinney, H.C.; Hayne, L. The Serotonin Brainstem Hypothesis for the Sudden Infant Death Syndrome. J. Neuropathol. Exp. Neurol. 2019, 78, 765–779. [Google Scholar] [CrossRef] [PubMed]
- Gao, S.; Proekt, A.; Renier, N.; Calderon, D.P.; Pfaff, D.W. Activating an anterior nucleus gigantocellularis subpopulation triggers emergence from pharmacologically-induced coma in rodents. Nat. Commun. 2019, 10, 2897. [Google Scholar] [CrossRef] [PubMed]
- Goutagny, R.; Luppi, P.H.; Salvert, D.; Lapray, D.; Gervasoni, D.; Fort, P. Role of the dorsal paragigantocellular reticular nucleus in paradoxical (rapid eye movement) sleep generatioKobayashin: A combined electrophysiological and anatomical study in the rat. Neuroscience 2008, 152, 849–857. [Google Scholar] [CrossRef] [PubMed]
- Siegel, J.M.; McGinty, D.J.; Breedlove, S.M. Sleep and waking activity of pontine gigantocellular field neurons. Exp. Neurol. 1977, 56, 553–573. [Google Scholar] [CrossRef] [PubMed]
- Jones, B.E. Elimination of paradoxical sleep by lesions of the pontine gigantocellular tegmental field in the cat. Neurosci. Lett. 1979, 13, 285–293. [Google Scholar] [CrossRef] [PubMed]
- Sirieix, C.; Gervasoni, D.; Luppi, P.H.; Léger, L. Role of the Lateral Paragigantocellular Nucleus in the Network of Paradoxical (REM) Sleep: An Electrophysiological and Anatomical Study in the Rat. PLoS ONE 2012, 7, e28724. [Google Scholar] [CrossRef]
- Webster, H.H.; Friedman, L.; Jones, B.E. Modification of paradoxical sleep following transections of the reticular formation at the pontomedullary junction. Sleep 1986, 9, 1–23. [Google Scholar] [CrossRef][Green Version]
- Obernai, T.; Yasuhara, M.; Nakamur, T.; Takashima, S. Catecholamine neurons alteration in the brainstem of sudden infant death syndrome victims. Pediatrics 1998, 101, 285–288. [Google Scholar]
- Ozawa, Y.; Obonai, T.; Itoh, M.; Aoki, Y.; Funayama, M.; Takashima, S. Catecholaminergic neurons in the diencephalon and basal ganglia of SIDS. Pediatr. Neurol. 1999, 21, 471–475. [Google Scholar] [CrossRef]
- Jobe, A.H. Catecholamines on SIDS. J. Pediatr. 2008, 153, A1. [Google Scholar] [CrossRef] [PubMed]
- Lavezzi, A.M. Altered Development of Mesencephalic Dopaminergic Neurons in SIDS: New Insights into Understanding Sudden Infant Death Pathogenesis. Biomedicines 2021, 9, 1534. [Google Scholar] [CrossRef]
- Nagatsu, T.; Levitt, M.; Udenfried, S. Tyrosine Hydroxylase. The initial step in norepinephrine biosynthesis. J. Biol. Chem. 1964, 239, 2910–2917. [Google Scholar] [CrossRef]
- Daubner, S.C.; Le, T.; Wang, S. Tyrosine hydroxylase and regulation of dopamine synthesis. Arch. Biochem. Biophys. 2011, 508, 1–12. [Google Scholar] [CrossRef] [PubMed]
- Haavik, J.; Tosk, K. Tyrosine hydroxylase and Parkinson’s disease. Mol. Neurobiol. 1998, 16, 285–309. [Google Scholar] [CrossRef]
- Zhu, Y.; Zhang, J.; Zeng, Y. Overview of tyrosine hydroxylase in Parkinson’s disease. CNS Neurol. Disord. Drug Targets 2012, 11, 350–358. [Google Scholar] [CrossRef] [PubMed]
- Aston-Jones, G.; Bloom, F.E. Activity of norepinephrine-containing locus coeruleus neurons in behaving rats anticipates fluctuations in the sleep-waking cycle. J. Neurosci. 1981, 1, 876–886. [Google Scholar] [CrossRef] [PubMed]
- Basheer, R.; Magner, M.; McCarley, R.W.; Shiromani, P.J. REM sleep deprivation increases the levels of tyrosine hydroxylase and norepinephrine transporter mRNA in the locus coeruleus. Brain Res. Mol. Brain Res. 1998, 57, 235–240. [Google Scholar] [CrossRef]
- Klintschar, M.; Immel, U.D.; Stiller, D.; Kleiber, M. TH01, a tetrameric short tandem repeat locus in the tyrosine hydroxylase gene: Association with myocardial hypertrophy and death from myocardial infarction? Dis. Markers. 2005, 21, 9–13. [Google Scholar] [CrossRef]
- Puers, C.; Hammond, H.A.; Jin, L.; Caskey, C.T.; Schumm, J.W. Identification of repeat sequence heterogeneity at the polymorphic short tandem repeat locus HUMTH01[AATG]n and reassignment of alleles in population analysis by using a locus-specific allelic ladder. Am. J. Hum. Genet. 1993, 53, 953–958. [Google Scholar] [PubMed]
- Courts, C.; Madea, B. Significant association of TH01 allele 9.3 and SIDS. J. Forensic. Sci. 2011, 56, 415–417. [Google Scholar] [CrossRef] [PubMed]
- Studer, J.; Bartsch, C.; Haas, C. Tyrosine hydroxylase TH01 9.3 allele in the occurrence of sudden infant death syndrome in Swiss Caucasians. J. Forensic. Sci. 2014, 59, 1650–1653. [Google Scholar] [CrossRef] [PubMed]
- Klintschar, M.; Reichenpfader, B.; Saternus, K.S. A functional polymorphism in the tyrosine hydroxylase gene indicates a role of noradrenalinergic signaling in sudden infant death syndrome. J. Pediatr. 2008, 153, 190–193. [Google Scholar] [CrossRef] [PubMed]
- Lavezzi, A.M.; Mehboob, R.; Alfonsi, G.; Ferrero, S. Substantia Nigra Abnormalities Provide New Insight on the Neural Mechanisms Underlying the Sleep-Arousal Phase Dysfunctions in Sudden Infant Death Syndrome. ASN Neuro 2020, 12, 1759091420962695. [Google Scholar] [CrossRef] [PubMed]
- Wells, A.C.; Lotfipour, S. Prenatal nicotine exposure during pregnancy results in adverse neurodevelopmental alterations and neurobehavioral deficits. Adv. Drug Alcohol Res. 2023, 3, 11628. [Google Scholar] [CrossRef] [PubMed]
- Lavezzi, A.M.; Matturri, L.; Del Corno, G.; Johanson, C.E. Vulnerability of fourth ventricle choroid plexus in sudden unexplained fetal and infant death syndromes related to smoking mothers. Int. J. Dev. Neurosci. 2013, 31, 319–327. [Google Scholar] [CrossRef] [PubMed]
- Lavezzi, A.M.; Mecchia, D.; Matturri, L. Neuropathology of the area postrema in sudden intrauterine and infant death syndromes related to tobacco smoke exposure. Auton Neurosci. 2012, 166, 29–34. [Google Scholar] [CrossRef] [PubMed]
- Bublitz, M.H.; Stroud, L.R. Maternal smoking during pregnancy and offspring brain structure and function: Review and agenda for future research. Nicotine Tob. Res. 2012, 14, 388–397. [Google Scholar] [CrossRef]
- Rumrich, I.; Vähäkangas, K.; Viluksela, M.; Gissler, M.; de Ruyter, H.; Hänninen, O. Effects of maternal smoking on body size and proportions at birth: A register-based cohort study of 1.4 million births. BMJ. Open 2020, 10, e033465. [Google Scholar] [CrossRef]
- Magee, B.D.; Hattis, D.; Kivel, N.M. Role of smoking in low birth weight. J. Reprod. Med. 2004, 49, 23–27. [Google Scholar] [PubMed]
- Butler, N.R.; Goldstein, H.; Ross, E.M. Cigarette smoking in pregnancy: Its influence on birth weight and perinatal mortality. Br. Med. J. 1972, 2, 127–130. [Google Scholar] [CrossRef] [PubMed]
- Mitchell, E.A.; Ford, R.P.; Stewart, A.W.; Taylor, B.J.; Becrof, D.M.; Thompson, J.M.; Scragg, R.; Hassall, I.B.; Barry, D.M.; Allen, E.M.; et al. Smoking and the sudden infant death syndrome. Pediatrics 1993, 91, 893–896. [Google Scholar] [CrossRef] [PubMed]
- Schoendorf, K.C.; Kiely, J.L. Relationship of sudden infant death syndrome to maternal smoking during and after pregnancy. Pediatrics 1992, 90, 905–908. [Google Scholar] [CrossRef] [PubMed]
- Slotkin, T.A.; Lappi, S.E.; McCook, E.C.; Lorber, B.A.; Seidler, F.J. Loss of neonatal hypoxia tolerance after prenatal nicotine exposure: Implications for sudden infant death syndrome. Brain Res. Bull. 1995, 38, 69–75. [Google Scholar] [CrossRef] [PubMed]
- Anderson, T.M.; Lavista Ferres, J.M.; Ren, S.Y.; Moon, R.Y.; Goldstein, R.D.; Ramirez, J.M.; Mitchell, E.A. Maternal smoking before and during pregnancy and the risk of Sudden Unexpected Infant Death. Pediatrics 2019, 143, e20183325. [Google Scholar] [CrossRef] [PubMed]
- Bednarczuk, N.; Milner, A.; Greenough, A. The Role of Maternal Smoking in Sudden Fetal and Infant Death Pathogenesis. Front. Neurol. 2020, 11, 586068. [Google Scholar] [CrossRef] [PubMed]
- Kinney, H.C.; Richerson, G.B.; Dymecki, S.M.; Darnall, R.A.; Nattie, E.E. The brainstem and serotonin in the sudden infant death syndrome. Annu. Rev. Pathol. 2009, 4, 517–550. [Google Scholar] [CrossRef] [PubMed]
- Lavezzi, A.M.; Ferrero, S.; Roncati, L.; Piscioli, F.; Matturri, L.; Pusiol, T. Nicotinic Receptor Abnormalities in the Cerebellar Cortex of Sudden Unexplained Fetal and Infant Death Victims-Possible Correlation With Maternal Smoking. ASN Neuro 2017, 9, 1759091417720582. [Google Scholar] [CrossRef]
- Lavezzi, A.M. Toxic Effect of Cigarette Smoke on Brainstem Nicotinic Receptor Expression: Primary Cause of Sudden Unexplained Perinatal Death. Toxics 2018, 6, 63. [Google Scholar] [CrossRef]
- Constitution of the Italian Republic Law n° 31. Regulations for Diagnostic Postmortem Investigation in Victims of Sudden Infant Death Syndrome (SIDS) and Unexpected Fetal Death, Official Gazette of the Italian Republic, General Series, 34. 2006, p. 4. Available online: http://users.unimi.it/centrolinorossi/files/gazz_ufficiale.pdf (accessed on 29 May 2015).
- Lavezzi, A.M.; Ferrero, S.; Roncati, L.; Matturri, L.; Pusiol, T. Impaired orexin receptor expression in the Kölliker-Fuse nucleus in sudden infant death syndrome: Possible involvement of this nucleus in arousal pathophysiology. Neurol. Res. 2016, 38, 706–716. [Google Scholar] [CrossRef] [PubMed]
- Landis, R.J.; Koch, G.G. The measurement of observer agreement for categorical data. Biometrics 1977, 33, 159–174. [Google Scholar] [CrossRef]



| SIDS n.28 | Controls n.20 | ||
|---|---|---|---|
| pGCn cytoarchitecture | Normal | 9 (32%) | 20 (100%) |
| Hypoplasia | 19 (68%) | 0 (0%) | |
| pGCn TH immunoexpression | Normal | 11 * (39%) | 18 (90%) |
| Weak/negative | 17 ** (61%) | 2 (10%) | |
| SIDS | Controls | |||
|---|---|---|---|---|
| Maternal smoking | Yes | No | Yes | No |
| 18 (64%) | 10 (36%) | 6 (30%) | 14 (70%) | |
| Findings | ||||
| Normal pGCn cytoarchitecture + normal TH expression | 0 | 10 | 4 | 14 |
| pGCn hypoplasia * | 15 | 0 | 0 | 0 |
| Normal pGCn cytoarchitecture and TH weak/negative expression | 3 | 0 | 2 | 0 |
Disclaimer/Publisher’s Note: The statements, opinions and data contained in all publications are solely those of the individual author(s) and contributor(s) and not of MDPI and/or the editor(s). MDPI and/or the editor(s) disclaim responsibility for any injury to people or property resulting from any ideas, methods, instructions or products referred to in the content. |
© 2024 by the authors. Licensee MDPI, Basel, Switzerland. This article is an open access article distributed under the terms and conditions of the Creative Commons Attribution (CC BY) license (https://creativecommons.org/licenses/by/4.0/).
Share and Cite
Lavezzi, A.M.; Mehboob, R.; Piscioli, F.; Pusiol, T. New Step in Understanding the Pathogenetic Mechanism of Sudden Infant Death Syndrome: Involvement of the Pontine Reticular Gigantocellular Nucleus. Int. J. Mol. Sci. 2024, 25, 6920. https://doi.org/10.3390/ijms25136920
Lavezzi AM, Mehboob R, Piscioli F, Pusiol T. New Step in Understanding the Pathogenetic Mechanism of Sudden Infant Death Syndrome: Involvement of the Pontine Reticular Gigantocellular Nucleus. International Journal of Molecular Sciences. 2024; 25(13):6920. https://doi.org/10.3390/ijms25136920
Chicago/Turabian StyleLavezzi, Anna Maria, Riffat Mehboob, Francesco Piscioli, and Teresa Pusiol. 2024. "New Step in Understanding the Pathogenetic Mechanism of Sudden Infant Death Syndrome: Involvement of the Pontine Reticular Gigantocellular Nucleus" International Journal of Molecular Sciences 25, no. 13: 6920. https://doi.org/10.3390/ijms25136920
APA StyleLavezzi, A. M., Mehboob, R., Piscioli, F., & Pusiol, T. (2024). New Step in Understanding the Pathogenetic Mechanism of Sudden Infant Death Syndrome: Involvement of the Pontine Reticular Gigantocellular Nucleus. International Journal of Molecular Sciences, 25(13), 6920. https://doi.org/10.3390/ijms25136920

