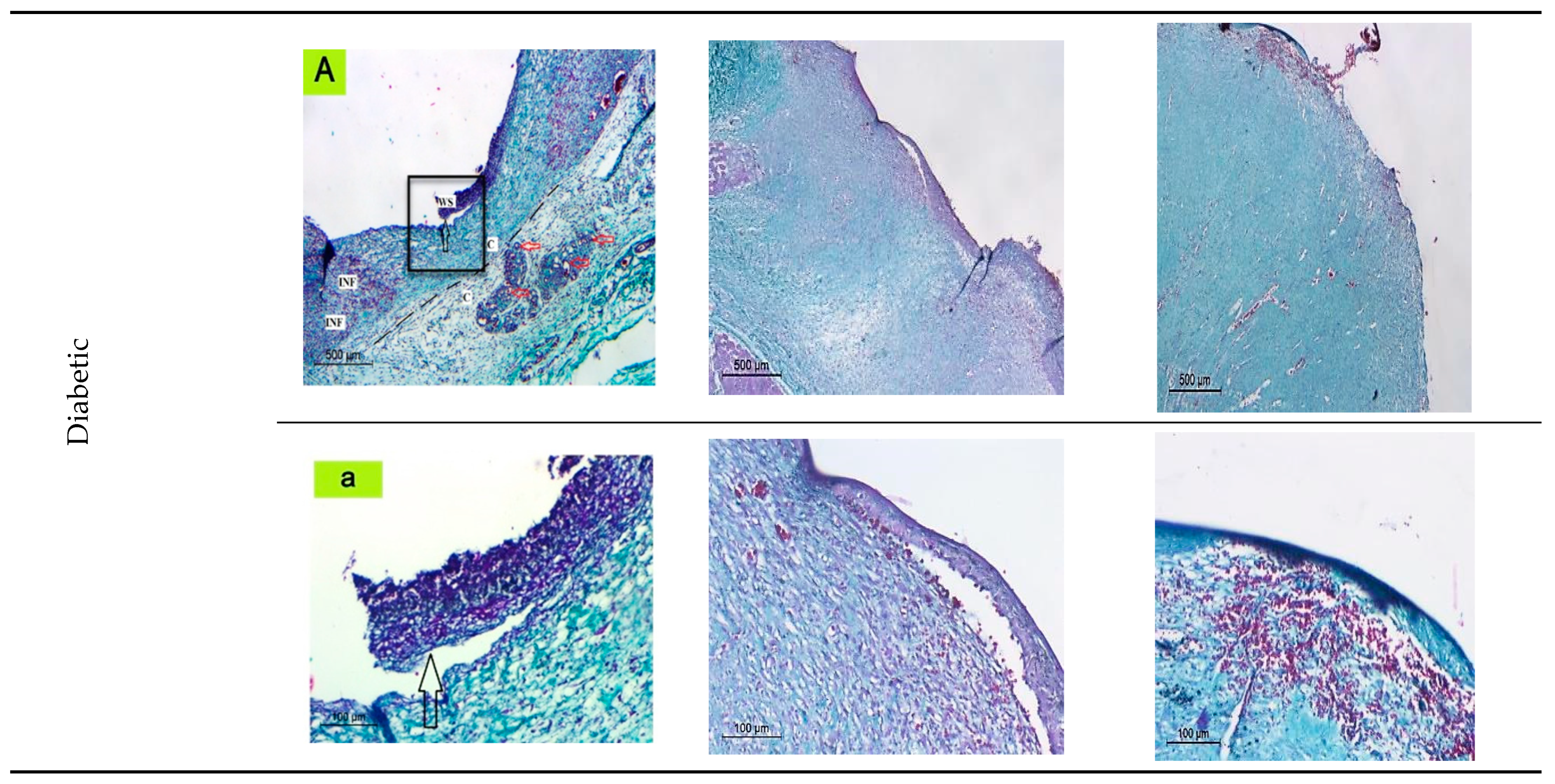
Correction: Diad et al. Novel Amoxicillin-Loaded Sericin Biopolymeric Nanoparticles: Synthesis, Optimization, Antibacterial and Wound Healing Activities. Int. J. Mol. Sci. 2022, 23, 11654
Reference
- Diab, S.E.; Tayea, N.A.; Elwakil, B.H.; Gad, A.A.E.M.; Ghareeb, D.A.; Olama, Z.A. Novel Amoxicillin-Loaded Sericin Biopolymeric Nanoparticles: Synthesis, Optimization, Antibacterial and Wound Healing Activities. Int. J. Mol. Sci. 2022, 23, 11654. [Google Scholar] [CrossRef] [PubMed]
 



Disclaimer/Publisher’s Note: The statements, opinions and data contained in all publications are solely those of the individual author(s) and contributor(s) and not of MDPI and/or the editor(s). MDPI and/or the editor(s) disclaim responsibility for any injury to people or property resulting from any ideas, methods, instructions or products referred to in the content.  | 
© 2024 by the authors. Licensee MDPI, Basel, Switzerland. This article is an open access article distributed under the terms and conditions of the Creative Commons Attribution (CC BY) license (https://creativecommons.org/licenses/by/4.0/).
Share and Cite
Diab, S.E.; Tayea, N.A.; Elwakil, B.H.; Gad, A.A.E.M.; Ghareeb, D.A.; Olama, Z.A. Correction: Diad et al. Novel Amoxicillin-Loaded Sericin Biopolymeric Nanoparticles: Synthesis, Optimization, Antibacterial and Wound Healing Activities. Int. J. Mol. Sci. 2022, 23, 11654. Int. J. Mol. Sci. 2024, 25, 6923. https://doi.org/10.3390/ijms25136923
Diab SE, Tayea NA, Elwakil BH, Gad AAEM, Ghareeb DA, Olama ZA. Correction: Diad et al. Novel Amoxicillin-Loaded Sericin Biopolymeric Nanoparticles: Synthesis, Optimization, Antibacterial and Wound Healing Activities. Int. J. Mol. Sci. 2022, 23, 11654. International Journal of Molecular Sciences. 2024; 25(13):6923. https://doi.org/10.3390/ijms25136923
Chicago/Turabian StyleDiab, Shaimaa E., Nourhan A. Tayea, Bassma H. Elwakil, Abir Abd El Mageid Gad, Doaa A. Ghareeb, and Zakia A. Olama. 2024. "Correction: Diad et al. Novel Amoxicillin-Loaded Sericin Biopolymeric Nanoparticles: Synthesis, Optimization, Antibacterial and Wound Healing Activities. Int. J. Mol. Sci. 2022, 23, 11654" International Journal of Molecular Sciences 25, no. 13: 6923. https://doi.org/10.3390/ijms25136923
APA StyleDiab, S. E., Tayea, N. A., Elwakil, B. H., Gad, A. A. E. M., Ghareeb, D. A., & Olama, Z. A. (2024). Correction: Diad et al. Novel Amoxicillin-Loaded Sericin Biopolymeric Nanoparticles: Synthesis, Optimization, Antibacterial and Wound Healing Activities. Int. J. Mol. Sci. 2022, 23, 11654. International Journal of Molecular Sciences, 25(13), 6923. https://doi.org/10.3390/ijms25136923
        
