Effects of Sapindus mukorossi Seed Oil on Bone Healing Efficiency: An Animal Study
Abstract
1. Introduction
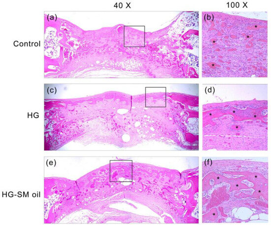
2. Results
3. Discussion
4. Materials and Methods
4.1. Preparation of S. mukorossi Seed Oil
4.2. Oil Composition Analysis
4.3. Assessment of Cell Viability
4.4. The Effect of S. mukorossi Seed Oil on Calcium Deposition
4.5. Effect of S. mukorossi Seed Oil on Osteogenesis Gene Expression
4.6. Animal Experiment
4.7. Quantification of Bone Growth In Vivo
4.8. Statistical Analysis
5. Conclusions
Author Contributions
Funding
Institutional Review Board Statement
Informed Consent Statement
Data Availability Statement
Conflicts of Interest
References
- Langer, R.; Vacanti, J.P. Tissue engineering. Science 1993, 260, 920–926. [Google Scholar] [CrossRef]
- Yang, Y.; Chu, L.; Yang, S.; Zhang, H.; Qin, L.; Guillaume, O.; Eglin, D.; Richards, R.G.; Tang, T. Dual-functional 3D-printed composite scaffold for inhibiting bacterial infection and promoting bone regeneration in infected bone defect models. Acta Biomater. 2018, 79, 265–275. [Google Scholar] [CrossRef]
- Wang, W.; Yeung, K.W.K. Bone grafts and biomaterials substitutes for bone defect repair: A review. Bioact. Mater. 2017, 2, 224–247. [Google Scholar] [CrossRef]
- Chircov, C.; Micle, I.I.; Grumezescu, V.; Grumezescu, A.M. Essential oils for bone repair and regeneration-mechanisms and applications. Materials 2021, 14, 1867. [Google Scholar] [CrossRef]
- Corwin, R.L.; Hartman, T.J.; Maczuga, S.A.; Graubard, B.I. Dietary saturated fat intake is inversely associated with bone density in humans: Analysis of NHANES III. J. Nutr. 2006, 136, 159–165. [Google Scholar] [CrossRef]
- Martyniak, K.; Wei, F.; Ballesteros, A.; Meckmongkol, T.; Calder, A.; Gilbertson, T.; Orlovskaya, N.; Coathup, M.J. Do polyunsaturated fatty acids protect against bone loss in our aging and osteoporotic population? Bone 2021, 143, 115736. [Google Scholar] [CrossRef]
- Ribeiro, D.C.; Pereira, A.D.; de Santana, F.C.; Mancini-Filho, J.; da Silva, E.M.; da Costa, C.A.S.; Boaventura, G.T. Incorporation of flaxseed flour as a dietary source for ALA increases bone density and strength in post-partum female rats. Lipids 2017, 52, 327–333. [Google Scholar] [CrossRef]
- Chen, C.C.; Nien, C.J.; Chen, L.G.; Huang, K.Y.; Chang, W.J.; Huang, H.M. Effects of Sapindus mukorossi seed oil on skin wound healing: In vivo and in vitro testing. Int. J. Mol. Sci. 2019, 20, 2579. [Google Scholar] [CrossRef]
- Cao, J.J.; Gregoire, B.R.; Michelsen, K.G.; Picklo Sr, M.J. Decreasing the ratio of dietary linoleic to α-linolenic acid from 10 to 4 by changing only the former does not prevent adiposity or bone deterioration in obese mice. J. Nutr. 2020, 150, 1370–1378. [Google Scholar] [CrossRef]
- Mak, I.L.; Cohen, T.R.; Vanstone, C.A.; Weiler, H.A. Arachidonic acid status negatively associates with forearm bone outcomes and glucose homeostasis in children with an overweight condition or obesity. Appl. Physiol. Nutr. Metab. 2019, 45, 146–154. [Google Scholar] [CrossRef]
- Smith, A.N.; Muffley, L.A.; Bell, A.N.; Numhom, S.; Hocking, A.M. Unsaturated fatty acids induce mesenchymal stem cells to increase secretion of angiogenic mediators. J. Cell Physiol. 2012, 227, 3225–3233. [Google Scholar] [CrossRef]
- Watkins, B.A.; Li, Y.; Lippman, H.E.; Feng, S. Modulatory effect of omega-3 polyunsaturated fatty acids on osteoblast function and bone metabolism. Prostaglandins Leukot. Essent. Fatty Acids 2003, 68, 387–398. [Google Scholar] [CrossRef]
- Benova, A.; Ferencakova, M.; Bardova, K.; Funda, J.; Prochazka, J.; Spoutil, F.; Cajka, T.; Dzubanova, T.; Balcaen, T.; Kerckhofs, G.; et al. Omega-3 PUFAs prevent bone impairment and bone marrow adiposity in mouse model of obesity. Commun. Biol. 2023, 6, 1043. [Google Scholar] [CrossRef]
- Dou, Y.; Wang, Y.; Chen, Z.; Yu, X.; Ma, D. Effect of n-3 polyunsaturated fatty acid on bone health: A systematic review and meta-analysis of randomized controlled trials. Food Sci. Nutr. 2021, 10, 145–154. [Google Scholar] [CrossRef]
- Ozaki, Y.; Morozumi, T.; Watanabe, K.; Toyama, T.; Sasaki, H.; Sato, T.; Yamamoto, Y.; To, M.; Inaba, K.; Tsukinoki, K.; et al. Inhibitory effect of omega-3 fatty acids on alveolar bone resorption and osteoclast differentiation. J. Oral Sci. 2020, 62, 298–302. [Google Scholar] [CrossRef]
- Deshimaru, R.; Ishitani, K.; Makita, K.; Horiguchi, F.; Nozawa, S. Analysis of fatty acid composition in human bone marrow aspirates. Keio. J. Med. 2005, 54, 150–155. [Google Scholar] [CrossRef]
- Omer, M.; Ali, H.; Orlovskaya, N.; Ballesteros, A.; Cheong, V.S.; Martyniak, K.; Wei, F.; Collins, B.E.; Yarmolenko, S.N.; Asiatico, J.; et al. Omega-9 modifies viscoelasticity and augments bone strength and architecture in a high-fat diet-fed murine model. Nutrients 2022, 14, 3165. [Google Scholar] [CrossRef]
- Omer, M.; Ngo, C.; Ali, H.; Orlovskaya, N.; Cheong, V.S.; Ballesteros, A.; Garner, M.T.; Wynn, A.; Martyniak, K.; Wei, F.; et al. The effect of omega-9 on bone viscoelasticity and strength in an ovariectomized diet-fed murine model. Nutrients 2023, 15, 1209. [Google Scholar] [CrossRef]
- Sharma, A.; Sati, S.C.; Sati, O.P.; Sati, M.D.; Kothiyal, S.K. Triterpenoid Saponins from the pericarps of Sapindus mukorossi. J. Chem. 2013, 2013, 613190. [Google Scholar]
- Shah, A.H.; Dutta, K.; Deka, D.C. Fatty acid composition of Sapindus mukorossi seed oil. Adv. Appl. Sci. Res. 2014, 5, 43–50. [Google Scholar]
- Chen, F.; Wang, Y.; Wang, H.; Dong, Z.; Wang, Y.; Zhang, M.; Li, J.; Shao, S.; Yu, C.; Huan, Z.; et al. Flaxseed oil ameliorated high-fat-diet-induced bone loss in rats by promoting osteoblastic function in rat primary osteoblasts. Nutr. Metab. 2019, 16, 71. [Google Scholar] [CrossRef]
- Lin, S.K.; Wu, Y.F.; Chang, W.J.; Feng, S.W.; Huang, H.M. The treating efficiency and microbiota analysis of Sapindus mukorossi seed oil on the ligature-induced periodontitis rat model. Int. J. Mol. Sci. 2022, 23, 8560. [Google Scholar] [CrossRef]
- Shiu, S.T.; Lew, W.Z.; Lee, S.Y.; Feng, S.W.; Huang, H.M. Effects of Sapindus mukorossi seed oil on proliferation, osteogenetic/ odontogenetic differentiation and matrix vesicle secretion of human dental pulp mesenchymal stem cells. Materials 2020, 13, 4063. [Google Scholar] [CrossRef]
- Mikolajczak, K.L. Cyanolipids. Prog. Chem. Fats Other Lipids 1977, 15, 97–130. [Google Scholar] [CrossRef]
- Hariharan, V.; Toole, T.; Klarquist, J.; Mosenson, J.; Longley, B.J.; Le Poole, I.C. Topical application of bleaching phenols; in-vivo studies and mechanism of action relevant to melanoma treatment. Melanoma Res. 2011, 21, 115–126. [Google Scholar] [CrossRef]
- Agrawal, S.S.; Sharma, P. Current status of mercury level in skin whitening creams. Curr. Med. Res. Pract. 2017, 7, 47–50. [Google Scholar] [CrossRef]
- Hu, Z.M.; Zhou, Q.; Lei, T.C.; Ding, S.F.; Xu, S.Z. Effects of hydroquinone and its glucoside derivatives on melanogenesis and antioxidation: Biosafety as skin whitening agents. J. Dermatol. Sci. 2009, 55, 179–184. [Google Scholar] [CrossRef]
- Huang, H.M.; Lee, S.Y.; Yao, W.C.; Lin, C.T.; Yeh, C.Y. Static magnetic fields up-regulate osteoblast maturity by affecting local differentiation factors. Clin. Orthop. Relat. Res. 2006, 447, 201–208. [Google Scholar] [CrossRef]
- Stein, G.S.; Lian, J.B. Molecular mechanisms mediating proliferation/differentiation interrelationships during progressive development of the osteoblast phenotype. Endocr. Rev. 1993, 14, 424–442. [Google Scholar] [CrossRef]
- Symmank, J.; Chorus, M.; Appel, S.; Marciniak, J.; Knaup, I.; Bastian, A.; Hennig, C.L.; Döding, A.; Schulze-Späte, U.; Jacobs, C.; et al. Distinguish fatty acids impact survival, differentiation and cellular function of periodontal ligament fibroblasts. Sci. Rep. 2010, 10, 15706. [Google Scholar] [CrossRef]
- Lin, Y.H.; Nien, C.J.; Chen, L.G.; Lee, S.Y.; Chang, W.J.; Pan, Y.H.; Hsieh, S.C.; Huang, H.M. Sapindus mukorossi seed oil changes tyrosinase activity of α-MSH-induced B16F10 cells via the anti-melanogenesic effect of eicosenoic acid. Nat. Prod. Commun. 2020, 15, 1934578X20972295. [Google Scholar] [CrossRef]
- de Abreu Maíra, D.C.; Letícia, R.P.; da Costa, L.R.; da Camara Boueri, B.F.; Carolina, R.P.; Pereira, A.D.; Ribeiro, D.C.; da Silva, E.M.; da Costa, C.A.S.; Gilson, T.B. Flaxseed (Linum usitatissimum) flour contributes to bone health in adult male rats. Nutrition 2018, 49, 48–50. [Google Scholar] [CrossRef]
- Baggio, B.; Budakovic, A.; Nassuato, M.A.; Vezzoli, G.; Manzato, E.; Luisetto, G.; Zaninotto, M. Plasma phospholipid arachidonic acid content and calcium metabolism in idiopathic calcium nephrolithiasis. Kidney Int. 2000, 58, 1278–1284. [Google Scholar] [CrossRef]
- Levental, K.R.; Surma, M.A.; Skinkle, A.D.; Lorent, J.H.; Zhou, Y.; Klose, C.; Chang, J.T.; Hancock, J.F.; Levental, I. ω-3 polyunsaturated fatty acids direct differentiation of the membrane phenotype in mesenchymal stem cells to potentiate osteogenesis. Sci. Adv. 2017, 3, eaao1193. [Google Scholar] [CrossRef]
- Das, U.N. Essential fatty acids and osteoporosis. Nutrition 2000, 16, 386–390. [Google Scholar] [CrossRef]
- Lopez, S.; Bermudez, B.; Montserrat-de la Paz, S.; Jaramillo, S.; Varela, L.M.; Ortega-Gomez, A.; Abia, R.; Muriana, F.J.G. Membrane composition and dynamics: A target of bioactive virgin olive oil constituents. Biochim. Biophys. Acta Biomembr. 2014, 838, 1638–1656. [Google Scholar] [CrossRef]
- Cardoso, G.B.C.; Chacon, E.; Chacon, P.G.L.; Bordeaux-Rego, P.; Duarte, A.S.S.; Saad, S.T.O.; Zavaglia, C.A.C.; Cunha, M.R. Fatty acid is a potential agent for bone tissue induction: In vitro and in vivo approach. Exp. Biol. Med. 2017, 242, 1765–1771. [Google Scholar] [CrossRef]
- Tatara, M.R.; Sierakowska, I.L.; Pyz-Łukasik, R. Serum fatty acid contents and their relationships with bone quality indices and bone metabolism markers in male and female silver foxes (Vulpes vulpes). Folia Biol. 2019, 67, 84–96. [Google Scholar] [CrossRef]
- Das, U.N. “Cell membrane theory of senescence” and the role of bioactive lipids in aging, and aging associated diseases and their therapeutic implications. Biomolecules 2021, 11, 241. [Google Scholar] [CrossRef]
- Maulucci, G.; Cohen, O.; Daniel, B.; Sansone, A.; Petropoulou, P.I.; Filou, S.; Spyridonidis, A.; Pani, G.; De Spirito, M.; Chatgilialoglu, C.; et al. Fatty acid-related modulations of membrane fluidity in cells: Detection and implications. Free Rad. Res. 2016, 50, S40–S50. [Google Scholar] [CrossRef]
- Kashirina, A.S.; López-Duarte, I.; Kubánková, M.; Gulin, A.A.; Dudenkova, V.V.; Rodimovac, S.A.; Torgomyan, H.G.; Zagaynova, E.V.; Meleshina, A.V.; Kuimova, M.K. Monitoring membrane viscosity in differentiating stem cells using BODIPY-based molecular rotors and FLIM. Sci. Rep. 2020, 10, 14063. [Google Scholar] [CrossRef]
- Leekumjorn, S.; Cho, H.J.; Wu, Y.; Wright, N.T.; Sum, A.K.; Chan, C. The role of fatty acid unsaturation in minimizing biophysical changes on the structure and local effects of bilayer membranes. Biochim. Biophys. Acta Biomembr. 2009, 1788, 1508–1516. [Google Scholar] [CrossRef]
- González-Cruz, R.D.; Fonseca, V.C.; Darling, E.M. Cellular mechanical properties reflect the differentiation potential of adipose-derived mesenchymal stem cells. Proc. Natl. Acad. Sci. USA 2012, 109, E1523–E1529. [Google Scholar] [CrossRef]
- Matsuzaki, T.; Matsumoto, S.; Kasai, T.; Yoshizawa, E.; Okamoto, S.; Yoshikawa, H.Y.; Taniguchi, H.; Takebe, T. Defining lineage-specific membrane fluidity signatures that regulate adhesion kinetics. Stem Cell Rep. 2018, 11, 852–860. [Google Scholar] [CrossRef]
- Lew, W.Z.; Huang, Y.C.; Huang, K.Y.; Lin, C.T.; Tsai, M.Z.; Chang, Y.L.; Huang, H.M. Static magnetic fields enhance dental pulp stem cell proliferation by activating the p38 MAPK pathway as its putative mechanism. J. Tissue. Eng. Reg. Med. 2018, 12, 19–29. [Google Scholar] [CrossRef]
- Lew, W.Z.; Feng, S.W.; Lee, S.Y.; Huang, H.M. The review of bioeffects of static magnetic fields on the oral tissue-derived cells and its application in regenerative medicine. Cells 2021, 10, 2662. [Google Scholar] [CrossRef]
- Kurniawan, J.; Suga, K.; Kuhl, T.L. Interaction forces and membrane charge tunability: Oleic acid containing membranes in different pH conditions. Biochim. Biophys. Acta Biomembr. 2017, 1859, 211–217. [Google Scholar] [CrossRef]
- Chhetri, A.B.; Tango, M.S.; Budge, S.M.; Watts, K.C.; Islam, M.R. Non-edible plant oils as new sources for biodiesel production. Int. J. Mol. Sci. 2008, 9, 169–180. [Google Scholar] [CrossRef]
- Huang, Y.C.; Huang, K.Y.; Yang, B.Y.; Ko, C.H.; Huang, H.M. Fabrication of novel hydrogel with berberine-enriched carboxymethylcellulose and hyaluronic acid as an anti-inflammatory barrier membrane. Biomed. Res. Int. 2016, 2016, 3640182. [Google Scholar] [CrossRef]
- Lin, C.Y.; Kuo, P.J.; Lin, Y.H.; Lin, C.Y.; Lin, C.Y.J.; Chiu, H.C.; Hung, T.F.; Lin, H.Y.; Huang, H.M. Fabrication of low molecular weight hyaluronic acid-carboxymethyl cellulose hybrid to promote bone regeneration. Polymers 2022, 14, 3211. [Google Scholar] [CrossRef]
- Chan, Y.H.; Ho, K.N.; Lee, Y.C.; Chou, M.J.; Lew, W.Z.; Huang, H.M.; Lai, P.C.; Feng, S.W. Melatonin enhances osteogenic differentiation of dental pulp mesenchymal stem cells by regulating MAPK pathways and promotes the efficiency of bone regeneration in calvarial bone defects. Stem Cell. Res. Ther. 2022, 13, 73. [Google Scholar] [CrossRef]









| Retention Time (min) | Amount (%) | Fatty Acid | Type |
|---|---|---|---|
| 6.793 | 3.25 | Palmitic acid (16:0) | SFA |
| 8.528 | 0.93 | Stearic acid (18:0) | SFA |
| 8.973 | 55.20 | Oleic acid (18:1) | ω-9 MUFA |
| 9.506 | 7.52 | Linoleic acid (18:2) | ω-6 PUFA |
| 10.332 | 2.04 | Linolenic acid (18:3) | ω-3 PUFA |
| 10.638 | 5.24 | Arachidic acid (20:0) | SFA |
| 11.094 | 24.08 | Eicosenic acid (20:1) | ω-9 MUFA |
| 13.106 | 1.03 | Behenic acid (22:0) | SFA |
| 13.590 | 0.7 | Erucic acid (22:1) | ω-9 MUFA |
Disclaimer/Publisher’s Note: The statements, opinions and data contained in all publications are solely those of the individual author(s) and contributor(s) and not of MDPI and/or the editor(s). MDPI and/or the editor(s) disclaim responsibility for any injury to people or property resulting from any ideas, methods, instructions or products referred to in the content. |
© 2024 by the authors. Licensee MDPI, Basel, Switzerland. This article is an open access article distributed under the terms and conditions of the Creative Commons Attribution (CC BY) license (https://creativecommons.org/licenses/by/4.0/).
Share and Cite
Kuo, P.-J.; Lin, Y.-H.; Huang, Y.-X.; Lee, S.-Y.; Huang, H.-M. Effects of Sapindus mukorossi Seed Oil on Bone Healing Efficiency: An Animal Study. Int. J. Mol. Sci. 2024, 25, 6749. https://doi.org/10.3390/ijms25126749
Kuo P-J, Lin Y-H, Huang Y-X, Lee S-Y, Huang H-M. Effects of Sapindus mukorossi Seed Oil on Bone Healing Efficiency: An Animal Study. International Journal of Molecular Sciences. 2024; 25(12):6749. https://doi.org/10.3390/ijms25126749
Chicago/Turabian StyleKuo, Po-Jan, Yu-Hsiang Lin, Yu-Xuan Huang, Sheng-Yang Lee, and Haw-Ming Huang. 2024. "Effects of Sapindus mukorossi Seed Oil on Bone Healing Efficiency: An Animal Study" International Journal of Molecular Sciences 25, no. 12: 6749. https://doi.org/10.3390/ijms25126749
APA StyleKuo, P.-J., Lin, Y.-H., Huang, Y.-X., Lee, S.-Y., & Huang, H.-M. (2024). Effects of Sapindus mukorossi Seed Oil on Bone Healing Efficiency: An Animal Study. International Journal of Molecular Sciences, 25(12), 6749. https://doi.org/10.3390/ijms25126749

