Polyvalent Bacterial Lysate with Potential Use to Treatment and Control of Recurrent Urinary Tract Infections
Abstract
1. Introduction
2. Results
2.1. Selected Bacteria to Elaborate UNAM-HIMFG Lysate
2.2. Procedures for Preparing Lysates
2.3. Antigenicity of UNAM-HIMFG and Monovalent Lysates
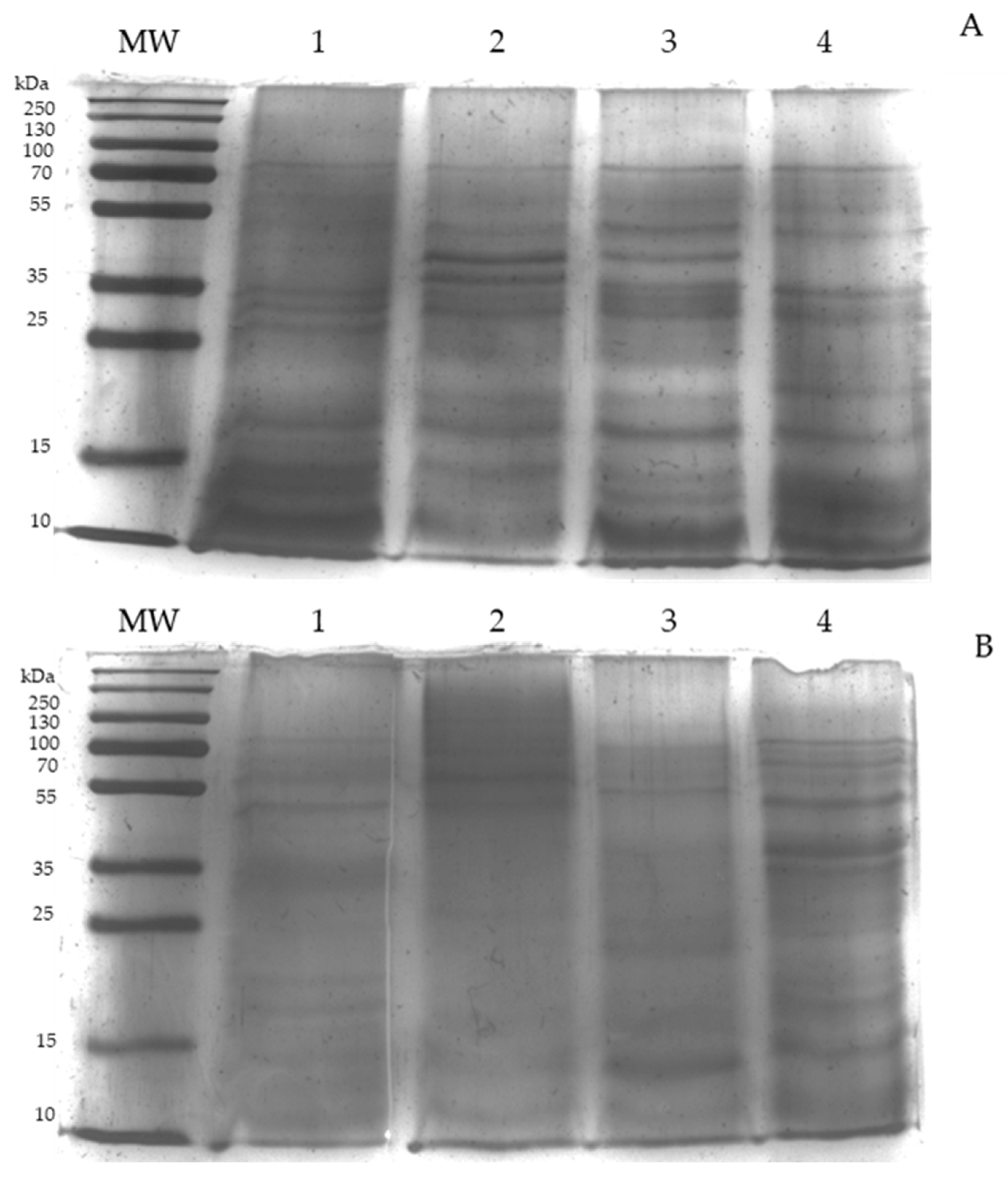
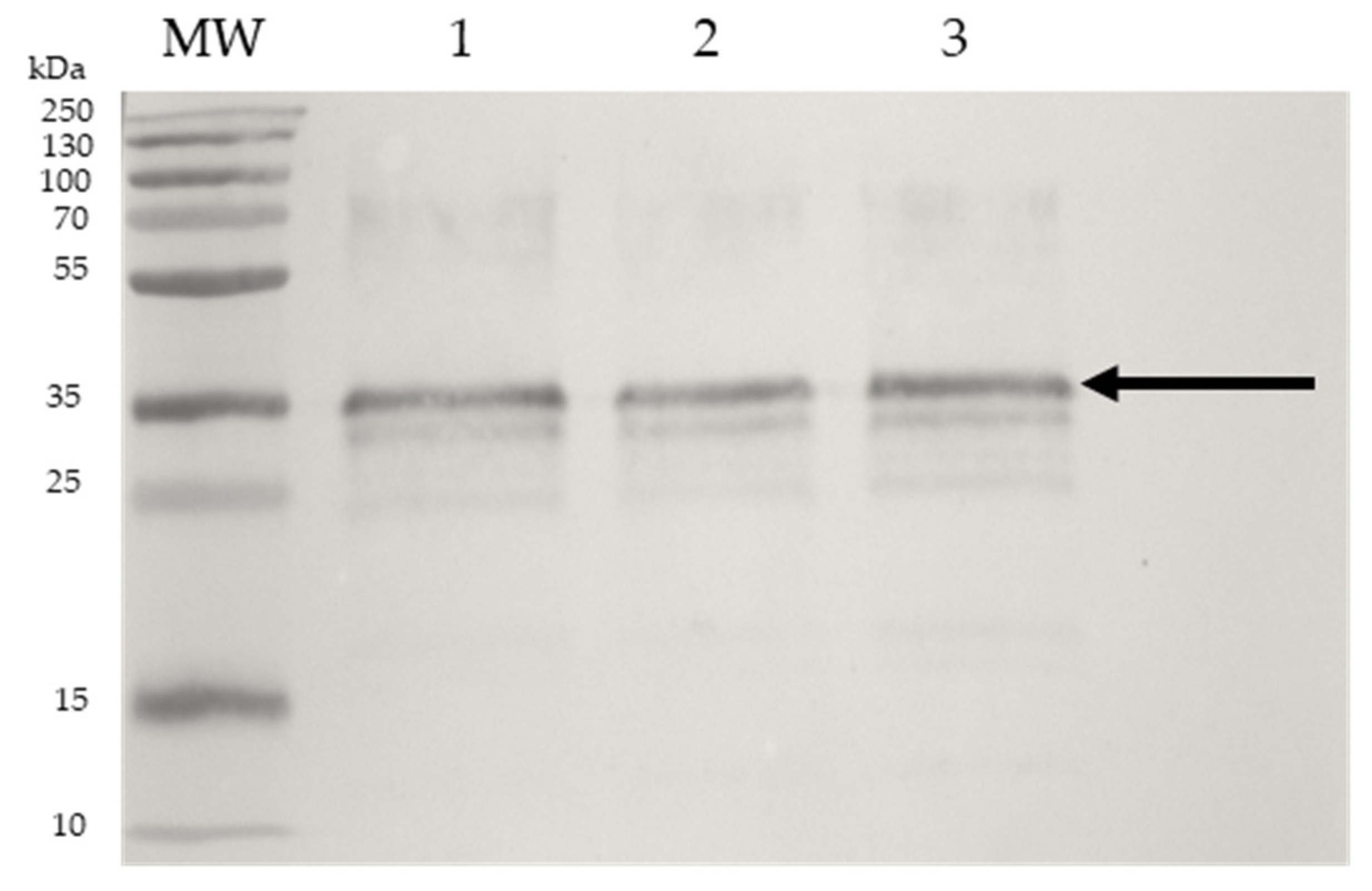
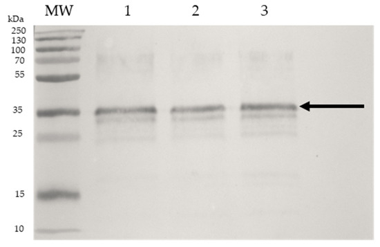
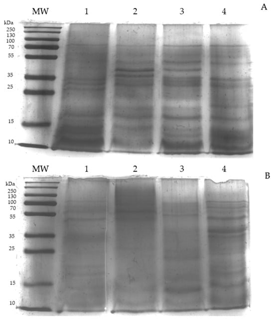
2.4. Protein Detection
2.5. Cytotoxic Activity of Lysates
2.6. Effect of UNAM-HIMFG Lysate on a Mouse Model
2.7. Immunostimulatory Activity of Lysates
3. Discussion
4. Materials and Methods
4.1. Ethics Agreements
4.2. Microorganisms
4.2.1. Virulence Genes and Phylogroups of Escherichia coli
4.2.2. Antimicrobial Sensitivity
4.3. UNAM-HIMFG Lysate
Growth Curves of Selected Bacteria
4.4. Polyvalent Lysate Components
Lysates SDS-PAGE Analysis
4.5. Lysates Immunogenicity
4.6. Cytotoxic Activity of Lysates Evaluated with Trypan Blue
Cytotoxicity Activity Evaluated with MTT and XTT
4.7. In Vivo Effect of UNAM-HIMFG Lysate
4.8. Stimulatory Activity of UNAM-HIMFG and Monovalent Lysates in Mouse Macrophage Cell Lines and Primary Human Macrophage Cultures
4.9. Statistical Analysis
5. Conclusions
Supplementary Materials
Author Contributions
Funding
Institutional Review Board Statement
Informed Consent Statement
Data Availability Statement
Acknowledgments
Conflicts of Interest
References
- De Kraker, M.E.A.; Stewardson, A.J.; Harbarth, S. Will 10 Million People Die a Year Due to Antimicrobial Resistance by 2050? PLoS Med. 2016, 13, e1002184. [Google Scholar] [CrossRef] [PubMed]
- Wagenlehner, F.M.E.; Bjerklund Johansen, T.E.; Cai, T.; Koves, B.; Kranz, J.; Pilatz, A.; Tandogdu, Z. Epidemiology, Definition and Treatment of Complicated Urinary Tract Infections. Nat. Rev. Urol. 2020, 17, 586–600. [Google Scholar] [CrossRef] [PubMed]
- Foxman, B. The Epidemiology of Urinary Tract Infection. Nat. Rev. Urol. 2010, 7, 653–660. [Google Scholar] [CrossRef]
- Davis, W.H.; Magee, M.R.; Monks, S.M.; Geno, K.A.; Crawford, S.B. Assessment of Nationally Recommended Antibiotics for Treatment of UTI in U.S.-Mexico Border Emergency Departments. Am. J. Emerg. Med. 2022, 61, 12–17. [Google Scholar] [CrossRef] [PubMed]
- Wawrysiuk, S.; Naber, K.; Rechberger, T.; Miotla, P. Prevention and Treatment of Uncomplicated Lower Urinary Tract Infections in the Era of Increasing Antimicrobial Resistance—Non-Antibiotic Approaches: A Systemic Review. Arch. Gynecol. Obstet. 2019, 300, 821–828. [Google Scholar] [CrossRef] [PubMed]
- Ballesteros-Monrreal, M.G.; Mendez-Pfeiffer, P.; Barrios-Villa, E.; Arenas-Hernández, M.M.P.; Enciso-Martínez, Y.; Sepúlveda-Moreno, C.O.; Bolado-Martínez, E.; Valencia, D. Uropathogenic Escherichia coli in Mexico, an Overview of Virulence and Resistance Determinants: Systematic Review and Meta-Analysis. Arch. Med. Res. 2023, 54, 247–260. [Google Scholar] [CrossRef] [PubMed]
- Sierra-Díaz, E.; Hernández-Ríos, C.J.; Bravo-Cuellar, A. Antibiotic Resistance: Microbiological Profile of Urinary Tract Infections in Mexico. Cir. Cir. Engl. Ed. 2019, 87, 176–182. [Google Scholar] [CrossRef]
- Lagunas-Rangel, F.A. Antimicrobial Susceptibility Profiles of Bacteria Causing Urinary Tract Infections in Mexico: Single-Centre Experience with 10 Years of Results. J. Glob. Antimicrob. Resist. 2018, 14, 90–94. [Google Scholar] [CrossRef] [PubMed]
- Miranda-Novales, G.; Flores-Moreno, K.; López-Vidal, Y.; Ponce de León-Rosales, S. Limited Therapeutic Options in Mexico for the Treatment of Urinary Tract Infections. Antibiotics 2022, 11, 1656. [Google Scholar] [CrossRef]
- Hernández-Chiñas, U.; Ahumada-Cota, R.E.; Navarro-Ocaña, A.; Chávez-Berrocal, M.E.; Molina-López, J.; Rocha-Ramírez, L.M.; del Prado, A.; Eslava, C.A. Phenotypic and Genotypic Characteristics of Escherichia coli Strains Isolated during a Longitudinal Follow-up Study of Chronic Urinary Tract Infections. Front. Public Health 2023, 11, 1240392. [Google Scholar] [CrossRef]
- Patangia, D.V.; Anthony Ryan, C.; Dempsey, E.; Paul Ross, R.; Stanton, C. Impact of Antibiotics on the Human Microbiome and Consequences for Host Health. MicrobiologyOpen 2022, 11, e1260. [Google Scholar] [CrossRef] [PubMed]
- Sekirov, I.; Tam, N.M.; Jogova, M.; Robertson, M.L.; Li, Y.; Lupp, C.; Finlay, B.B. Antibiotic-Induced Perturbations of the Intestinal Microbiota Alter Host Susceptibility to Enteric Infection. Infect. Immun. 2008, 76, 4726–4736. [Google Scholar] [CrossRef] [PubMed]
- Duan, H.; Yu, L.; Tian, F.; Zhai, Q.; Fan, L.; Chen, W. Antibiotic-Induced Gut Dysbiosis and Barrier Disruption and the Potential Protective Strategies. Crit. Rev. Food Sci. Nutr. 2022, 62, 1427–1452. [Google Scholar] [CrossRef]
- Buffie, C.G.; Jarchum, I.; Equinda, M.; Lipuma, L.; Gobourne, A.; Viale, A.; Ubeda, C.; Xavier, J.; Pamer, E.G. Profound Alterations of Intestinal Microbiota following a Single Dose of Clindamycin Results in Sustained Susceptibility to Clostridium difficile-Induced Colitis. Infect. Immun. 2012, 80, 62–73. [Google Scholar] [CrossRef] [PubMed]
- Bassis, C.M.; Theriot, C.M.; Young, V.B. Alteration of the Murine Gastrointestinal Microbiota by Tigecycline Leads to Increased Susceptibility to Clostridium difficile Infection. Antimicrob. Agents Chemother. 2014, 58, 2767–2774. [Google Scholar] [CrossRef] [PubMed]
- de Nies, L.; Kobras, C.M.; Stracy, M. Antibiotic-Induced Collateral Damage to the Microbiota and Associated Infections. Nat. Rev. Microbiol. 2023, 21, 789–804. [Google Scholar] [CrossRef] [PubMed]
- Volkova, A.; Ruggles, K.; Schulfer, A.; Gao, Z.; Ginsberg, S.D.; Blaser, M.J. Effects of Early-Life Penicillin Exposure on the Gut Microbiome and Frontal Cortex and Amygdala Gene Expression. iScience 2021, 24, 102797. [Google Scholar] [CrossRef] [PubMed]
- Ahumada-Cota, R.E.; Hernandez-Chiñas, U.; Milián-Suazo, F.; Chávez-berrocal, M.E.; Navarro-Ocaña, A.; Martínez-Gómez, D.; Patiño-lópez, G.; Salazar-Jiménez, E.P.; Eslava, C.A. Effect and Analysis of Bacterial Lysates for the Treatment of Recurrent Urinary Tract Infections in Adults. Pathogens 2020, 9, 102. [Google Scholar] [CrossRef] [PubMed]
- Hernández-Chiñas, U.; Chávez-Berrocal, M.E.; Ahumada-Cota, R.E.; Navarro-Ocaña, A.; Rocha-Ramírez, L.M.; Pérez-Del Mazo, Y.; Alvarado-Cabello, M.; Pérez-Soto, G.; León-Alamilla, L.A.; Acevedo-Monroy, S.E.; et al. Prospective Study in Children with Complicated Urinary Tract Infection Treated with Autologous Bacterial Lysates. Microorganisms 2021, 9, 1811. [Google Scholar] [CrossRef]
- Westcott, M.M.; Morse, A.E.; Troy, G.; Blevins, M.; Wierzba, T.; Sanders, J.W. Photochemical Inactivation as an Alternative Method to Produce a Whole-Cell Vaccine for Uropathogenic Escherichia coli (UPEC). Microbiol. Spectr. 2024, 12, e03661-23. [Google Scholar] [CrossRef]
- Henriques-Normark, B.; Normark, S. Bacterial Vaccines and Antibiotic Resistance. Ups. J. Med. Sci. 2014, 119, 205–208. [Google Scholar] [CrossRef] [PubMed]
- Stenutz, R.; Weintraub, A.; Widmalm, G. The Structures of Escherichia coli O-Polysaccharide Antigens. FEMS Microbiol. Rev. 2006, 30, 382–403. [Google Scholar] [CrossRef] [PubMed]
- Rodríguez-Muñoz, L.; Solórzano-Santos, F.; Flores-Reyes, E.A.; Escalante-López, J.; Rodríguez-Balderas, D.E.; Echániz-Avilés, G.; Carnalla-Barajas, M.N. Invasive Infections by Non-Vaccine Serotypes of Streptococcus Pneumoniae: A Growing Threat. Bol. Med. Hosp. Infant. Mex. 2019, 76, 281–286. [Google Scholar] [CrossRef] [PubMed]
- Aziminia, N.; Hadjipavlou, M.; Philippou, Y.; Pandian, S.S.; Malde, S.; Hammadeh, M.Y. Vaccines for the Prevention of Recurrent Urinary Tract Infections: A Systematic Review. BJU Int. 2019, 123, 753–768. [Google Scholar] [CrossRef] [PubMed]
- Habibi, M.; Asadi Karam, M.R.; Bouzari, S. Transurethral Instillation with Fusion Protein MrpH. FimH Induces Protective Innate Immune Responses against Uropathogenic Escherichia coli and Proteus mirabilis. APMIS J. Pathol. Microbiol. Immunol. 2016, 124, 444–452. [Google Scholar] [CrossRef] [PubMed]
- Giedrys-Kalemba, S.; Czernomysy-Furowicz, D.; Fijałkowski, K.; Jursa-Kulesza, J. Chapter 19—Autovaccines in Individual Therapy of Staphylococcal Infections. In Pet-To-Man Travelling Staphylococci; Savini, V., Ed.; Academic Press: Cambridge, MA, USA, 2018; pp. 253–264. ISBN 978-0-12-813547-1. [Google Scholar]
- Li, W.; Joshi, M.D.; Singhania, S.; Ramsey, K.H.; Murthy, A.K. Peptide Vaccine: Progress and Challenges. Vaccines 2014, 2, 515–536. [Google Scholar] [CrossRef] [PubMed]
- Woolverton, C.J.; Holt, L.C.; Sartor, R.B. Oral Peptidoglycan-Polysaccharide Stimulates Systemic Immunocompetency in Germ-Free Mice. Microb. Ecol. Health Dis. 1994, 7, 183–190. [Google Scholar] [CrossRef]
- Verdiguel-Fernández, L.; Oropeza-Navarro, R.; Basurto-Alcántara, F.J.; Castañeda-Ramírez, A.; Verdugo-Rodríguez, A. Omp31 Plays an Important Role on Outer Membrane Properties and Intracellular Survival of Brucella melitensis in Murine Macrophages and HeLa Cells. Arch. Microbiol. 2017, 199, 971–978. [Google Scholar] [CrossRef] [PubMed]
- Aguiniga, L.M.; Yaggie, R.E.; Schaeffer, A.J.; Klumpp, D.J. Lipopolysaccharide Domains Modulate Urovirulence. Infect. Immun. 2016, 84, 3131–3140. [Google Scholar] [CrossRef]
- Secundino, I.; López-Macías, C.; Cervantes-Barragán, L.; Gil-Cruz, C.; Ríos-Sarabia, N.; Pastelin-Palacios, R.; Villasis-Keever, M.A.; Becker, I.; Puente, J.L.; Calva, E.; et al. Salmonella Porins Induce a Sustained, Lifelong Specific Bactericidal Antibody Memory Response. Immunology 2006, 117, 59–70. [Google Scholar] [CrossRef]
- Verdiguel-Fernández, L.; Oropeza-Navarro, R.; Ortiz, A.; Robles-Pesina, M.G.; Ramírez-Lezama, J.; Castañeda-Ramírez, A.; Verdugo-Rodríguez, A. Brucella melitensis Omp31 Mutant Is Attenuated and Confers Protection against Virulent Brucella melitensis Challenge in BALB/c Mice. J. Microbiol. Biotechnol. 2020, 30, 497–504. [Google Scholar] [CrossRef]
- Verdugo-Rodríguez, A.; López-Vidal, Y.; Puente, J.L.; Ruíz-Placios, G.M.; Calva, E. Early Diagnosis of Typhoid Fever by an Enzyme Immunoassay Using Salmonella Typhi Outer Membrane Protein Preparations. Eur. J. Clin. Microbiol. Infect. Dis. Off. Publ. Eur. Soc. Clin. Microbiol. 1993, 12, 248–254. [Google Scholar] [CrossRef]
- Nielubowicz, G.R.; Mobley, H.L.T. Host-Pathogen Interactions in Urinary Tract Infection. Nat. Rev. Urol. 2010, 7, 430–441. [Google Scholar] [CrossRef]
- Eleftheriadis, T.; Pissas, G.; Liakopoulos, V.; Stefanidis, I.; Lawson, B.R. Toll-like Receptors and Their Role in Renal Pathologies. Inflamm. Allergy-Drug Targets 2012, 11, 464–477. [Google Scholar] [CrossRef]
- Sivick, K.E.; Mobley, H.L.T. Waging War against Uropathogenic Escherichia coli: Winning back the Urinary Tract. Infect. Immun. 2010, 78, 568–585. [Google Scholar] [CrossRef]
- Ambite, I.; Butler, D.; Wan, M.L.Y.; Rosenblad, T.; Tran, T.H.; Chao, S.M.; Svanborg, C. Molecular Determinants of Disease Severity in Urinary Tract Infection. Nat. Rev. Urol. 2021, 18, 468–486. [Google Scholar] [CrossRef] [PubMed]
- Lutay, N.; Ambite, I.; Hernandez, J.G.; Rydström, G.; Ragnarsdóttir, B.; Puthia, M.; Nadeem, A.; Zhang, J.; Storm, P.; Dobrindt, U.; et al. Bacterial Control of Host Gene Expression through RNA Polymerase II. J. Clin. Investig. 2013, 123, 2366–2379. [Google Scholar] [CrossRef] [PubMed]
- Ambite, I.; Filenko, N.A.; Zaldastanishvili, E.; Butler, D.S.C.; Tran, T.H.; Chaudhuri, A.; Esmaeili, P.; Ahmadi, S.; Paul, S.; Wullt, B.; et al. Active Bacterial Modification of the Host Environment through RNA Polymerase II Inhibition. J. Clin. Investig. 2021, 131, e140333. [Google Scholar] [CrossRef] [PubMed]
- Zschaler, J.; Schlorke, D.; Arnhold, J. Differences in Innate Immune Response between Man and Mouse. Crit. Rev. Immunol. 2014, 34, 433–454. [Google Scholar] [CrossRef]
- Schryvers, A.B.; Schollaardt, T.; Woods, D.E.; Williams, K.; Bryan, L.E. Efficacy of Oral Immunization with Pseudomonas Aeruginosa Lipopolysaccharide. Serodiagn. Immunother. Infect. Dis. 1987, 1, 379–392. [Google Scholar] [CrossRef]
- Benoit, R.; Rowe, S.; Watkins, S.C.; Boyle, P.; Garrett, M.; Alber, S.; Wiener, J.; Rowe, M.I.; Ford, H.R. Pure Endotoxin Does Not Pass across the Intestinal Epithelium in Vitro. Shock 1998, 10, 43–48. [Google Scholar] [CrossRef]
- Hua, S. Advances in Oral Drug Delivery for Regional Targeting in the Gastrointestinal Tract—Influence of Physiological, Pathophysiological and Pharmaceutical Factors. Front. Pharmacol. 2020, 11, 524. [Google Scholar] [CrossRef] [PubMed]
- Fukushi, K. Electron Microscopic Studies of Endotoxins with Alkaline and Acid Reagents. Microbiol. Immuol. 1984, 28, 161–168. [Google Scholar]
- Gong, W.; Liang, Y.; Wu, X. Animal Models of Tuberculosis Vaccine Research: An Important Component in the Fight against Tuberculosis. BioMed Res. Int. 2020, 2020, 4263079. [Google Scholar] [CrossRef] [PubMed]
- Chiarot, E.; Pizza, M. Animal Models in Vaccinology: State of the Art and Future Perspectives for an Animal-Free Approach. Curr. Opin. Microbiol. 2022, 66, 46–55. [Google Scholar] [CrossRef]
- Gerdts, V.; Little-van den Hurk, S.V.D.; Griebel, P.J.; Babiuk, L.A. Use of Animal Models in the Development of Human Vaccines. Future Microbiol. 2007, 2, 667–675. [Google Scholar] [CrossRef]
- Gao, J.J.; Xue, Q.; Papasian, C.J.; Morrison, D.C. Bacterial DNA and Lipopolysaccharide Induce Synergistic Production of TNF-α Through a Post-Transcriptional Mechanism. J. Immunol. 2001, 166, 6855–6860. [Google Scholar] [CrossRef] [PubMed]
- Wang, J.E.; JØrgensen, P.F.; Almlöf, M.; Thiemermann, C.; Foster, S.J.; Aasen, A.O.; Solberg, R. Pepti-doglycan and Lipoteichoic Acid from Staphylococcus Aureus Induce Tumor Necrosis Factor Alpha, Interleukin 6 (IL-6), and IL-10 Production in Both T Cells and Monocytes in a Human Whole Blood Model. Infect. Immun. 2000, 68, 3965–3970. [Google Scholar] [CrossRef] [PubMed]
- Xu, Z.; Dziarski, R.; Wang, Q.; Swartz, K.; Sakamoto, K.M.; Gupta, D. Bacterial Peptidoglycan-Induced Tnf-α Transcription Is Mediated Through the Transcription Factors Egr-1, Elk-1, and NF-ΚB1. J. Immunol. 2001, 167, 6975–6982. [Google Scholar] [CrossRef]
- Gupta, D.; Jin, Y.-P.; Dziarski, R. Peptidoglycan Induces Transcription and Secretion of TNF-Alpha and Ac-tivation of Lyn, Extracellular Signal-Regulated Kinase, and Rsk Signal Transduction Proteins in Mouse Mac-rophages. J. Immunol. 1995, 155, 2620–2630. [Google Scholar] [CrossRef]
- Pokharel, P.; Dhakal, S.; Dozois, C.M. The Diversity of Escherichia coli Pathotypes and Vaccination Strategies against This Versatile Bacterial Pathogen. Microorganisms 2023, 11, 344. [Google Scholar] [CrossRef] [PubMed]
- Pillay, S.; Zishiri, O.T.; Adeleke, M.A. Prevalence of Virulence Genes in Enterococcus Species Isolated from Companion Animals and Livestock. Onderstepoort J. Vet. Res. 2018, 85, a1583. [Google Scholar] [CrossRef] [PubMed]
- Ciacci-woolwine, F.; Blomfield, I.A.N.C.; Richardson, S.H.; Mizel, S.B.; Carolina, N. Salmonella Flagellin Induces Tumor Necrosis Factor Alpha in A. Infect. Immun. 1998, 66, 1127–1134. [Google Scholar] [CrossRef] [PubMed]
- Deane, K.D.; Demoruelle, M.K.; Kelmenson, L.B.; Kuhn, K.A.; Norris, J.M.; Holers, V.M. Genetic and Environmental Risk Factors for Rheumatoid Arthritis. Best Pract. Res. Clin. Rheumatol. 2017, 31, 3–18. [Google Scholar] [CrossRef] [PubMed]
- Schiwon, M.; Weisheit, C.; Franken, L.; Gutweiler, S.; Dixit, A.; Meyer-Schwesinger, C.; Pohl, J.M.; Maurice, N.J.; Thiebes, S.; Lorenz, K.; et al. Crosstalk between Sentinel and Helper Macrophages Permits Neutrophil Migration into Infected Uroepithelium. Cell 2014, 156, 456–468. [Google Scholar] [CrossRef] [PubMed]
- Mysorekar, I.U.; Mulvey, M.A.; Hultgren, S.J.; Gordon, J.I. Molecular Regulation of Urothelial Renewal and Host Defenses during Infection with Uropathogenic Escherichia coli. J. Biol. Chem. 2002, 277, 7412–7419. [Google Scholar] [CrossRef] [PubMed]
- Shelburne, C.P.; Nakano, H.; St. John, A.L.; Chan, C.; McLachlan, J.B.; Gunn, M.D.; Staats, H.F.; Abraham, S.N. Mast Cells Augment Adaptive Immunity by Orchestrating Dendritic Cell Trafficking through Infected Tissues. Cell Host Microbe 2009, 6, 331–342. [Google Scholar] [CrossRef] [PubMed]
- Byrne, A.; Reen, D.J. Lipopolysaccharide Induces Rapid Production of IL-10 by Monocytes in the Presence of Apoptotic Neutrophils. J. Immunol. 2002, 168, 1968–1977. [Google Scholar] [CrossRef] [PubMed]
- Duell, B.L.; Carey, A.J.; Dando, S.J.; Schembri, M.A.; Ulett, G.C. Human Bladder Uroepithelial Cells Syn-ergize with Monocytes to Promote IL-10 Synthesis and Other Cytokine Responses to Uropathogenic Escherichia coli. PLoS ONE 2013, 8, e78013. [Google Scholar] [CrossRef]
- Vega-Hernández, R.; Ochoa, S.A.; Valle-Rios, R.; Jaimes-Ortega, G.A.; Arellano-Galindo, J.; Aparicio-Ozores, G.; Ibarra, J.A.; Hernández-Castro, R.; Cruz-Córdova, A.; Xicohtencatl-Cortes, J. Flagella, Type i Fimbriae and Curli of Uropathogenic Escherichia coli Promote the Release of Proinflammatory Cytokines in a Coculture System. Microorganisms 2021, 9, 2233. [Google Scholar] [CrossRef]
- Luna-Pineda, V.M.; Ochoa, S.; Cruz-Córdova, A.; Cázares-Domínguez, V.; Vélez-González, F.; Hernández-Castro, R.; Xicohtencatl-Cortes, J. Infecciones Del Tracto Urinario, Inmunidad y Vacunación. Bol. Med. Hosp. Infant. Mex. 2018, 75, 67–78. [Google Scholar] [CrossRef] [PubMed]
- Ametaj, B.N.; Sivaraman, S.; Dunn, S.M.; Zebeli, Q. Repeated Oral Administration of Lipopolysaccharide from Escherichia coli 0111:B4 Modulated Humoral Immune Responses in Periparturient Dairy Cows. Innate Immun. 2012, 18, 638–647. [Google Scholar] [CrossRef] [PubMed]
- Iqbal, S.; Zebeli, Q.; Mansmann, D.A.; Dunn, S.M.; Ametaj, B.N. Repeated Oronasal Exposure to Lipopol-ysaccharide Induced Mucosal IgA Responses in Periparturient Dairy Cows. PLoS ONE 2014, 9, e103504. [Google Scholar] [CrossRef]
- Huber, M.; Krauter, K.; Winkelmann, G.; Bauer, H.W.; Rahlfs, V.W.; Lauener, P.A.; Bleßmann, G.S.S.; Bessler, W.G. Immunostimulation by Bacterial Components: II. Efficacy Studies and Meta-Analysis of the Bacterial Extract OM-89. Int. J. Immunopharmacol. 2000, 22, 1103–1111. [Google Scholar] [CrossRef]
- Bauer, J.A.; Salvagni, M.; Leon-Vigroux, J.P.; Chalvet, L.; Chiavaroli, C. Bacterial Extract for Digestive or Urinary Tract Disorders and Process for Its Preparation. U.S. Patent 9,017,743 B2, 28 April 2015. Available online: https://patents.google.com/patent/US9017743B2/en (accessed on 20 August 2022).
- DOF. NORMA Oficial Mexicana NOM-062-ZOO-1999, Especificaciones Técnicas para la Producción, Cuidado y Uso de los Animales de Laboratorio; DOF (Diario Oficial de la Federación): Mexico City, Mexico, 2001.
- Jang, S.S. A Diagnostic Manual of Veterinary Clinical Bacteriology and Mycology; University of California: Davis, CA, USA, 1986. [Google Scholar]
- Barrow, G.; Feltham, R. (Eds.) Cowan and Steel’s Manual for the Identification of Medical Bacteria, 3rd ed.; Cambridge University Press: Cambridge, UK, 1993. [Google Scholar] [CrossRef]
- Orskov, I.; Orskov, F.; Jann, B.; Jann, K. Serology, Chemistry, and Genetics of O and K Antigens of Escherichia coli. Bacteriol. Rev. 1977, 41, 667–710. [Google Scholar] [CrossRef] [PubMed]
- Pitcher, D.G.; Saunders, N.A.; Owen, R.J. Rapid Extraction of Bacterial Genomic DNA with Guanidium Thiocyanate. Lett. Appl. Microbiol. 1989, 8, 151–156. [Google Scholar] [CrossRef]
- Acevedo-Monroy, S.E.; Méndez-Alemán, J.M.; Castro-Mendoza, I.; Mojica-Sánchez, M.A.; Verdugo-Rodríguez, A. Use of a Recombinant Positive Control in the Diagnostic of Canine Ehrlichiosis from 16sRNA Gen of Ehrlichia canis in Mexico City. Arch. Microbiol. 2022, 204, 4–11. [Google Scholar] [CrossRef]
- Johnson, J.R.; Stell, A.L. Extended Virulence Genotypes of Escherichia coli Strains from Patients with Urosepsis in Relation to Phylogeny and Host Compromise. J. Infect. Dis. 2000, 181, 261–272. [Google Scholar] [CrossRef]
- Rodriguez-Siek, K.E.; Giddings, C.W.; Doetkott, C.; Johnson, T.J.; Nolan, L.K. Characterizing the APEC pathotype. Vet. Res. 2005, 36, 241–256. [Google Scholar] [CrossRef] [PubMed]
- Boisen, N.; Ruiz-Perez, F.; Scheutz, F.; Krogfelt, K.A.; Nataro, J.P. Short Report: High Prevalence of Serine Protease Autotransporter Cytotoxins among Strains of Enteroaggregative Escherichia coli. Am. J. Trop. Med. Hyg. 2009, 80, 294–301. [Google Scholar] [CrossRef] [PubMed]
- Clermont, O.; Bonacorsi, S.; Bingen, E. Rapid and Simple Determination of the Escherichia coli Phylogenetic Group. Appl. Environ. Microbiol. 2000, 66, 4555–4558. [Google Scholar] [CrossRef]
- [CLSI] Clinical and Laboratory Standards Institute. Performance Standards for Antimicrobial Susceptibility Testing, 30th ed.; Clinical and Laboratory Standards Institute: Dubai, United Arab Emirates, 2020. [Google Scholar]
- Link, A.J.; Labaer, J. Trichloroacetic Acid (TCA) Precipitation of Proteins. Cold Spring Harb. Protoc. 2011, 6, 993–994. [Google Scholar] [CrossRef] [PubMed]
- Laemmli, U.K. Cleavage of Structural Proteins during the Assembly of the Head of Bacteriophage T4. Nature 1970, 227, 680–685. [Google Scholar] [CrossRef]
- DuBois, M.; Gilles, K.A.; Hamilton, J.K.; Rebers, P.A.; Smith, F. Colorimetric Method for Determination of Sugars and Related Substances. Anal. Chem. 1956, 28, 350–356. [Google Scholar] [CrossRef]
- Chevallet, M.; Luche, S.; Rabilloud, T. Silver Staining of Proteins in Polyacrylamide Gels. Nat. Protoc. 2006, 1, 1852–1858. [Google Scholar] [CrossRef] [PubMed]
- Strober, W. Trypan Blue Exclusion Test of Cell Viability. Curr. Protoc. Immunol. 2001, 21, A.3B.1–A.3B.2. [Google Scholar] [CrossRef]
- Lagha, R.; Ben Abdallah, F.; Bakhrouf, A. Influence of the RpoS Gene and Pre-Adaptation in Seawater on the Tolerance to Heavy Metals of Salmonella enterica Serovar Typhimurium. Ann. Microbiol. 2012, 62, 1517–1522. [Google Scholar] [CrossRef]
- Le Naour, J.; Montégut, L.; Joseph, A.; Garbin, K.; Vacchelli, E.; Kroemer, G.; Pol, J.G.; Maiuri, M.C. Improved Swiss-Rolling Method for Histological Analyses of Colon Tissue. MethodsX 2022, 9, 101630. [Google Scholar] [CrossRef]
- Rocha-Ramírez, L.M.; Hernández-Chiñas, U.; Baños-Rojas, D.; Xicohtencatl-Cortés, J.; Chávez-Berrocal, M.E.; Rico-Rosillo, G.; Kretschmer, R.; Eslava, C.A. Pet Serine Protease from Enteroaggregative Escherichia coli Stimulates the Inflammatory Response Activating Human Macrophages. BMC Microbiol. 2016, 16, 158. [Google Scholar] [CrossRef]






| Lysate | Protein Concentration (μg/mL) | Peptidoglycan Concentration (ng/mL) | Lipopolysaccharide Concentration (ng/mL) | Carbohydrate Concentration (Hexoses) (μg/mL) | Carbohydrate Concentration (Pentoses) (μg/mL) |
|---|---|---|---|---|---|
| UNAM-HIMFG | 578 | 0.26 | 174 | 7823 | 8657 |
| Escherichia coli O25:H4 | 25.8 | 0.01 | 1.2 | 500 | 569 |
| Escherichia coli O20:H9 | 33.8 | ND | ND | ND | ND |
| Klebsiella pneumoniae | 23 | 0.033 | 1.4 | 1036 | 835 |
| Citrobacter freundii | 37.3 | ND | ND | ND | ND |
| Proteus mirabilis | 38 | ND | ND | ND | ND |
| Enterococcus faecalis | 33.1 | 0.017 | 0 | 409 | 377 |
| Staphylococcus haemolyticus | 20.8 | 0.08 | ND | ND | ND |
Disclaimer/Publisher’s Note: The statements, opinions and data contained in all publications are solely those of the individual author(s) and contributor(s) and not of MDPI and/or the editor(s). MDPI and/or the editor(s) disclaim responsibility for any injury to people or property resulting from any ideas, methods, instructions or products referred to in the content. |
© 2024 by the authors. Licensee MDPI, Basel, Switzerland. This article is an open access article distributed under the terms and conditions of the Creative Commons Attribution (CC BY) license (https://creativecommons.org/licenses/by/4.0/).
Share and Cite
Acevedo-Monroy, S.E.; Rocha-Ramírez, L.M.; Martínez Gómez, D.; Basurto-Alcántara, F.J.; Medina-Contreras, Ó.; Hernández-Chiñas, U.; Quiñones-Peña, M.A.; García-Sosa, D.I.; Ramírez-Lezama, J.; Rodríguez-García, J.A.; et al. Polyvalent Bacterial Lysate with Potential Use to Treatment and Control of Recurrent Urinary Tract Infections. Int. J. Mol. Sci. 2024, 25, 6157. https://doi.org/10.3390/ijms25116157
Acevedo-Monroy SE, Rocha-Ramírez LM, Martínez Gómez D, Basurto-Alcántara FJ, Medina-Contreras Ó, Hernández-Chiñas U, Quiñones-Peña MA, García-Sosa DI, Ramírez-Lezama J, Rodríguez-García JA, et al. Polyvalent Bacterial Lysate with Potential Use to Treatment and Control of Recurrent Urinary Tract Infections. International Journal of Molecular Sciences. 2024; 25(11):6157. https://doi.org/10.3390/ijms25116157
Chicago/Turabian StyleAcevedo-Monroy, Salvador Eduardo, Luz María Rocha-Ramírez, Daniel Martínez Gómez, Francisco Javier Basurto-Alcántara, Óscar Medina-Contreras, Ulises Hernández-Chiñas, María Alejandra Quiñones-Peña, Daniela Itzel García-Sosa, José Ramírez-Lezama, José Alejandro Rodríguez-García, and et al. 2024. "Polyvalent Bacterial Lysate with Potential Use to Treatment and Control of Recurrent Urinary Tract Infections" International Journal of Molecular Sciences 25, no. 11: 6157. https://doi.org/10.3390/ijms25116157
APA StyleAcevedo-Monroy, S. E., Rocha-Ramírez, L. M., Martínez Gómez, D., Basurto-Alcántara, F. J., Medina-Contreras, Ó., Hernández-Chiñas, U., Quiñones-Peña, M. A., García-Sosa, D. I., Ramírez-Lezama, J., Rodríguez-García, J. A., González-Villalobos, E., Castro-Luna, R., Martínez-Cristóbal, L., & Eslava-Campos, C. A. (2024). Polyvalent Bacterial Lysate with Potential Use to Treatment and Control of Recurrent Urinary Tract Infections. International Journal of Molecular Sciences, 25(11), 6157. https://doi.org/10.3390/ijms25116157

