Congenital LMNA-Related Muscular Dystrophy in Paediatrics: Cardiac Management in Monozygotic Twins
Abstract
1. Introduction
2. Results
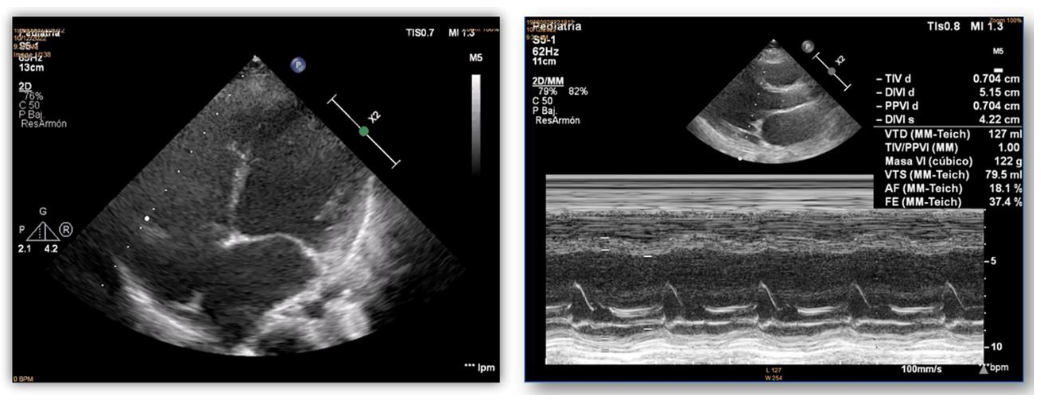
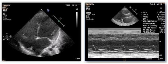
2.1. Clinical Data
2.2. Genetic Data
3. Discussion
Limitations
4. Materials and Methods
5. Conclusions
Author Contributions
Funding
Institutional Review Board Statement
Informed Consent Statement
Data Availability Statement
Conflicts of Interest
References
- Tiwari, V.; Alam, M.J.; Bhatia, M.; Navya, M.; Banerjee, S.K. The structure and function of lamin A/C: Special focus on cardiomyopathy and therapeutic interventions. Life Sci. 2024, 341, 122489. [Google Scholar] [CrossRef]
 - Quijano-Roy, S.; Mbieleu, B.; Bonnemann, C.G.; Jeannet, P.Y.; Colomer, J.; Clarke, N.F.; Cuisset, J.M.; Roper, H.; De Meirleir, L.; D’Amico, A.; et al. De novo LMNA mutations cause a new form of congenital muscular dystrophy. Ann. Neurol. 2008, 64, 177–186. [Google Scholar] [CrossRef] [PubMed]
 - Owens, D.J.; Messeant, J.; Moog, S.; Viggars, M.; Ferry, A.; Mamchaoui, K.; Lacene, E.; Romero, N.; Brull, A.; Bonne, G.; et al. Lamin-Related Congenital Muscular Dystrophy Alters Mechanical Signaling and Skeletal Muscle Growth. Int. J. Mol. Sci. 2020, 22, 306. [Google Scholar] [CrossRef] [PubMed]
 - Cesar, S.; Campuzano, O.; Cruzalegui, J.; Fiol, V.; Moll, I.; Martinez-Barrios, E.; Zschaeck, I.; Natera-de Benito, D.; Ortez, C.; Carrera, L.; et al. Characterization of cardiac involvement in children with LMNA-related muscular dystrophy. Front. Cell Dev. Biol. 2023, 11, 1142937. [Google Scholar] [CrossRef] [PubMed]
 - Fan, Y.; Tan, D.; Song, D.; Zhang, X.; Chang, X.; Wang, Z.; Zhang, C.; Chan, S.H.; Wu, Q.; Wu, L.; et al. Clinical spectrum and genetic variations of LMNA-related muscular dystrophies in a large cohort of Chinese patients. J. Med. Genet. 2021, 58, 326–333. [Google Scholar] [CrossRef] [PubMed]
 - Cesar, S.; Coll, M.; Fiol, V.; Fernandez-Falgueras, A.; Cruzalegui, J.; Iglesias, A.; Moll, I.; Perez-Serra, A.; Martinez-Barrios, E.; Ferrer-Costa, C.; et al. LMNA-related muscular dystrophy: Identification of variants in alternative genes and personalized clinical translation. Front. Genet. 2023, 14, 1135438. [Google Scholar] [CrossRef]
 - Kang, P.B.; Jorand-Fletcher, M.; Zhang, W.; McDermott, S.W.; Berry, R.; Chambers, C.; Wong, K.N.; Mohamed, Y.; Thomas, S.; Venkatesh, Y.S.; et al. Genetic Patterns of Selected Muscular Dystrophies in the Muscular Dystrophy Surveillance, Tracking, and Research Network. Neurol. Genet. 2023, 9, e200113. [Google Scholar] [CrossRef] [PubMed]
 - Tan, D.; Yang, H.; Yuan, Y.; Bonnemann, C.; Chang, X.; Wang, S.; Wu, Y.; Wu, X.; Xiong, H. Phenotype-Genotype Analysis of Chinese Patients with Early-Onset LMNA-Related Muscular Dystrophy. PLoS ONE 2015, 10, e0129699. [Google Scholar] [CrossRef] [PubMed]
 - Sarikaya Uzan, G.; Yilmaz Uzman, C.; Cinleti, T.; Gunay, C.; Ulgenalp, A.; Hiz Kurul, S.; Yis, U. Molecular Diagnosis of Limb-Girdle Muscular Dystrophy Using Next-Generation Sequencing Panels. Mol. Syndromol. 2024, 15, 14–21. [Google Scholar] [CrossRef] [PubMed]
 - Cavdarli, B.; Koken, O.Y.; Satilmis, S.B.A.; Bilen, S.; Ardicli, D.; Ceylan, A.C.; Gunduz, C.N.S.; Topaloglu, H. High diagnostic yield of targeted next-generation sequencing panel as a first-tier molecular test for the patients with myopathy or muscular dystrophy. Ann. Hum. Genet. 2023, 87, 104–114. [Google Scholar] [CrossRef] [PubMed]
 - Ben Yaou, R.; Yun, P.; Dabaj, I.; Norato, G.; Donkervoort, S.; Xiong, H.; Nascimento, A.; Maggi, L.; Sarkozy, A.; Monges, S.; et al. International retrospective natural history study of LMNA-related congenital muscular dystrophy. Brain Commun. 2021, 3, fcab075. [Google Scholar] [CrossRef]
 - Topf, A.; Cox, D.; Zaharieva, I.T.; Di Leo, V.; Sarparanta, J.; Jonson, P.H.; Sealy, I.M.; Smolnikov, A.; White, R.J.; Vihola, A.; et al. Digenic inheritance involving a muscle-specific protein kinase and the giant titin protein causes a skeletal muscle myopathy. Nat. Genet. 2024, 56, 395–407. [Google Scholar] [CrossRef] [PubMed]
 - Richards, S.; Aziz, N.; Bale, S.; Bick, D.; Das, S.; Gastier-Foster, J.; Grody, W.W.; Hegde, M.; Lyon, E.; Spector, E.; et al. Standards and guidelines for the interpretation of sequence variants: A joint consensus recommendation of the American College of Medical Genetics and Genomics and the Association for Molecular Pathology. Genet. Med. 2015, 17, 405–424. [Google Scholar] [CrossRef]
 






| Case | Gender | Neuromuscular  Phenotype  | Age  Diagnosis  | Early Onset | DCM | ICD  /PM  | Sudden Death | Variants | 
|---|---|---|---|---|---|---|---|---|
| I.1 | M | N | ND | N | N | N | N | AGRN p.Pro325Arg | 
| I.2 | F | N | ND | N | N | N | N | DMD p.Gln206Leu CHRND p.Pro307Ser  | 
| II.1 | M | N | ND | N | N | N | N | AGRN p.Pro325Arg CHRND p.Pro307Ser  | 
| II.2 | F | L-CMD | 3 years | Y | N | N | Y | LMNA p.Asn39Lys AGRN p.Pro325Arg DMD p.Gln206Leu CHRND p.Pro307Ser  | 
| II.3 | F | L-CMD | 3 years | Y | N | N | Y | LMNA p.Asn39Lys AGRN p.Pro325Arg DMD p.Gln206Leu CHRND p.Pro307Ser  | 
| Gene | Chromosome | Nucleotide Change | Protein Change | dbSNP | gnomAD | ClinVar | ACMG | 
|---|---|---|---|---|---|---|---|
| LMNA | 1q22 | c.117T>G | p.Asn39Lys | NA | NA | VUS | LP | 
| AGRN | 1p36.33 | c.974C>G | p.Pro325Arg | NA | NA | NA | VUS | 
| DMD | Xp21.1 | c.617A>T | p.Gln206Leu | rs994260472 | NA | NA | VUS | 
| CHRND | 2q37.1 | c.919C>T | p.Pro307Ser | rs142063328 | 0.15% | VUS | LB | 
Disclaimer/Publisher’s Note: The statements, opinions and data contained in all publications are solely those of the individual author(s) and contributor(s) and not of MDPI and/or the editor(s). MDPI and/or the editor(s) disclaim responsibility for any injury to people or property resulting from any ideas, methods, instructions or products referred to in the content.  | 
© 2024 by the authors. Licensee MDPI, Basel, Switzerland. This article is an open access article distributed under the terms and conditions of the Creative Commons Attribution (CC BY) license (https://creativecommons.org/licenses/by/4.0/).
Share and Cite
Martínez Olorón, P.; Alegría, I.; Cesar, S.; del Olmo, B.; Martínez-Barrios, E.; Carrera-García, L.; Natera-de Benito, D.; Nascimento, A.; Campuzano, O.; Sarquella-Brugada, G. Congenital LMNA-Related Muscular Dystrophy in Paediatrics: Cardiac Management in Monozygotic Twins. Int. J. Mol. Sci. 2024, 25, 5836. https://doi.org/10.3390/ijms25115836
Martínez Olorón P, Alegría I, Cesar S, del Olmo B, Martínez-Barrios E, Carrera-García L, Natera-de Benito D, Nascimento A, Campuzano O, Sarquella-Brugada G. Congenital LMNA-Related Muscular Dystrophy in Paediatrics: Cardiac Management in Monozygotic Twins. International Journal of Molecular Sciences. 2024; 25(11):5836. https://doi.org/10.3390/ijms25115836
Chicago/Turabian StyleMartínez Olorón, Patricia, Iosune Alegría, Sergi Cesar, Bernat del Olmo, Estefanía Martínez-Barrios, Laura Carrera-García, Daniel Natera-de Benito, Andrés Nascimento, Oscar Campuzano, and Georgia Sarquella-Brugada. 2024. "Congenital LMNA-Related Muscular Dystrophy in Paediatrics: Cardiac Management in Monozygotic Twins" International Journal of Molecular Sciences 25, no. 11: 5836. https://doi.org/10.3390/ijms25115836
APA StyleMartínez Olorón, P., Alegría, I., Cesar, S., del Olmo, B., Martínez-Barrios, E., Carrera-García, L., Natera-de Benito, D., Nascimento, A., Campuzano, O., & Sarquella-Brugada, G. (2024). Congenital LMNA-Related Muscular Dystrophy in Paediatrics: Cardiac Management in Monozygotic Twins. International Journal of Molecular Sciences, 25(11), 5836. https://doi.org/10.3390/ijms25115836
        
