The Influence of Soy Isoflavones and Soy Isoflavones with Inulin on Kidney Morphology, Fatty Acids, and Associated Parameters in Rats with and without Induced Diabetes Type 2
Abstract
1. Introduction
2. Results
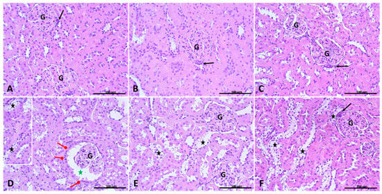
2.1. Histological Evaluation of the Kidney
2.2. The Percentage of Bowman’s Capsule with Cuboidal Epithelium of the Parietal Cell Layer
2.3. Morphometric Analysis
2.4. Body Mass, Body Weight Change, Kidney Mass
2.5. Water Intake
2.6. Blood Glucose, the Area under the Blood Glucose Curve
2.7. Blood Ketone Bodies
2.8. Plasma Urea, Creatinine, Glycated Hemoglobin, and Urea/Creatinine Ratio
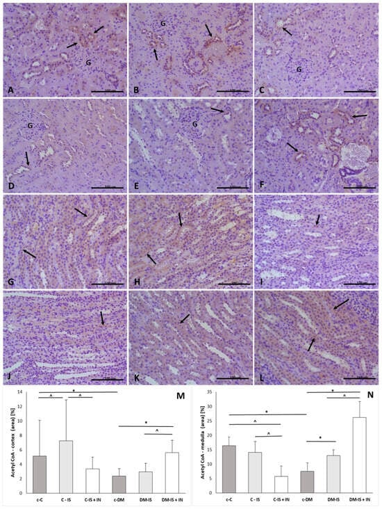
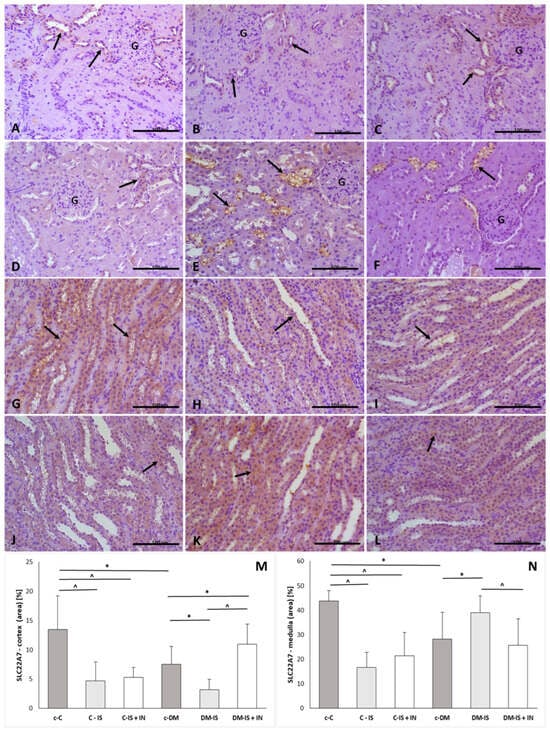
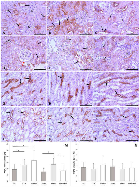
2.9. Analysis of Immunohistochemistry (IHC)
2.9.1. Aqp1 Expression
2.9.2. Aqp2 Expression
2.9.3. AVPR2 Expression
2.9.4. OAT2 (SLC22A7) Expression
2.9.5. Acetyl CoA Expression
2.9.6. SREBP-1 Expression
2.10. Fatty Acid Profile
3. Discussion
4. Materials and Methods
4.1. Animal Care and Study Design
4.2. Oral Glucose Tolerance Test (OGTT)
4.3. Morphological Analysis and Immunohistochemistry (IHC)
- -
- Mouse monoclonal anti-AQP1 antibody (Abcam, Cambridge, UK, cat. no. ab9566); 1:100.
- -
- Rabbit monoclonal anti-AQP2 antibody (Abcam, Cambridge, UK, cat. no. ab199975); 1:100.
- -
- Rabbit polyclonal anti-AVPR2 antibody (LSBio an Absolute Biotech Company, Shirley, MA, USA; cat. no. LS-A272); 26 µg/mL.
- -
- SLC22A2 antibody (Abcam; cat. no. ab230629); 1:100.
- -
- Mouse monoclonal anti-ACC-alfa antibody (Santa Cruz Biotechnology, Santa Cruz, CA, USA; cat. co. sc137104); 1:200.
- -
- Mouse monoclonal anti-SREBP-1 antibody (Santa Cruz Biotechnology, Santa Cruz, CA, USA; cat. no. sc13551); 1:200.
4.4. Morphometry
4.5. The Percentage of Bowman’s Capsule with Cuboidal Epithelium of the Parietal Cell Layer
4.6. Semi-Quantitative Determination of Protein Expression
4.7. Isolation of Fatty Acids
4.8. Analysis of Fatty Acid Methyl Esters
4.9. Statistical Analysis
5. Conclusions
6. Limitations
Supplementary Materials
Author Contributions
Funding
Institutional Review Board Statement
Informed Consent Statement
Data Availability Statement
Conflicts of Interest
References
- Mitrofanova, A.; Burke, G.; Merscher, S.; Fornoni, A. New Insights into Renal Lipid Dysmetabolism in Diabetic Kidney Disease. WJD 2021, 12, 524–540. [Google Scholar] [CrossRef] [PubMed]
- Bikbov, B.; Purcell, C.A.; Levey, A.S.; Smith, M.; Abdoli, A.; Abebe, M.; Adebayo, O.M.; Afarideh, M.; Agarwal, S.K.; Agudelo-Botero, M.; et al. Global, Regional, and National Burden of Chronic Kidney Disease, 1990–2017: A Systematic Analysis for the Global Burden of Disease Study 2017. Lancet 2020, 395, 709–733. [Google Scholar] [CrossRef]
- Pavkov, M.E.; Collins, A.J.; Coresh, J.; Nelson, R.G. Kidney Disease in Diabetes. In Diabetes in America; Cowie, C.C., Casagrande, S.S., Menke, A., Cissell, M.A., Eberhardt, M.S., Meigs, J.B., Gregg, E.W., Knowler, W.C., Barrett-Connor, E., Becker, D.J., et al., Eds.; National Institute of Diabetes and Digestive and Kidney Diseases (US): Bethesda, MD, USA, 2018. [Google Scholar]
- Palygin, O.; Spires, D.; Levchenko, V.; Bohovyk, R.; Fedoriuk, M.; Klemens, C.A.; Sykes, O.; Bukowy, J.D.; Cowley, A.W.; Lazar, J.; et al. Progression of Diabetic Kidney Disease in T2DN Rats. Am. J. Physiol. Ren. Physiol. 2019, 317, F1450–F1461. [Google Scholar] [CrossRef]
- Gonzalez Suarez, M.L.; Thomas, D.B.; Barisoni, L.; Fornoni, A. Diabetic Nephropathy: Is It Time yet for Routine Kidney Biopsy? World J. Diabetes 2013, 4, 245–255. [Google Scholar] [CrossRef]
- Tonneijck, L.; Muskiet, M.H.A.; Smits, M.M.; van Bommel, E.J.; Heerspink, H.J.L.; van Raalte, D.H.; Joles, J.A. Glomerular Hyperfiltration in Diabetes: Mechanisms, Clinical Significance, and Treatment. JASN 2017, 28, 1023–1039. [Google Scholar] [CrossRef]
- Vergès, B. Pathophysiology of Diabetic Dyslipidaemia: Where Are We? Diabetologia 2015, 58, 886–899. [Google Scholar] [CrossRef]
- Falkevall, A.; Mehlem, A.; Palombo, I.; Heller Sahlgren, B.; Ebarasi, L.; He, L.; Ytterberg, A.J.; Olauson, H.; Axelsson, J.; Sundelin, B.; et al. Reducing VEGF-B Signaling Ameliorates Renal Lipotoxicity and Protects against Diabetic Kidney Disease. Cell Metab. 2017, 25, 713–726. [Google Scholar] [CrossRef] [PubMed]
- Chen, R.; Jonker, J.W.; Nelson, J.A. Renal Organic Cation and Nucleoside Transport. Biochem. Pharmacol. 2002, 64, 185–190. [Google Scholar] [CrossRef] [PubMed]
- Thomas, M.C.; Tikellis, C.; Burns, W.C.; Thallas, V.; Forbes, J.M.; Cao, Z.; Osicka, T.M.; Russo, L.M.; Jerums, G.; Ghabrial, H.; et al. Reduced Tubular Cation Transport in Diabetes: Prevented by ACE Inhibition. Kidney Int. 2003, 63, 2152–2161. [Google Scholar] [CrossRef]
- Kuryłowicz, A. The Role of Isoflavones in Type 2 Diabetes Prevention and Treatment—A Narrative Review. Int. J. Mol. Sci. 2020, 22, 218. [Google Scholar] [CrossRef]
- Gilbert, E.R.; Liu, D. Anti-Diabetic Functions of Soy Isoflavone Genistein: Mechanisms Underlying Its Effects on Pancreatic β-Cell Function. Food Funct. 2013, 4, 200–212. [Google Scholar] [CrossRef]
- Qiu, L.-X. Novel Insights into the Mechanisms Whereby Isoflavones Protect against Fatty Liver Disease. WJG 2015, 21, 1099. [Google Scholar] [CrossRef]
- El-Kordy, E.A.; Alshahrani, A.M. Effect of Genistein, a Natural Soy Isoflavone, on Pancreatic β-Cells of Streptozotocin-Induced Diabetic Rats: Histological and Immunohistochemical Study. J. Microsc. Ultrastruct. 2015, 3, 108–119. [Google Scholar] [CrossRef] [PubMed]
- Fu, Z.; Zhang, W.; Zhen, W.; Lum, H.; Nadler, J.; Bassaganya-Riera, J.; Jia, Z.; Wang, Y.; Misra, H.; Liu, D. Genistein Induces Pancreatic β-Cell Proliferation through Activation of Multiple Signaling Pathways and Prevents Insulin-Deficient Diabetes in Mice. Endocrinology 2010, 151, 3026–3037. [Google Scholar] [CrossRef]
- Kim, M.-S.; Jung, Y.S.; Jang, D.; Cho, C.H.; Lee, S.-H.; Han, N.S.; Kim, D.-O. Antioxidant Capacity of 12 Major Soybean Isoflavones and Their Bioavailability under Simulated Digestion and in Human Intestinal Caco-2 Cells. Food Chem. 2022, 374, 131493. [Google Scholar] [CrossRef]
- Piazza, C.; Privitera, M.G.; Melilli, B.; Incognito, T.; Marano, M.R.; Leggio, G.M.; Roxas, M.A.; Drago, F. Influence of Inulin on Plasma Isoflavone Concentrations in Healthy Postmenopausal Women. Am. J. Clin. Nutr. 2007, 86, 775–780. [Google Scholar] [CrossRef] [PubMed]
- Bonsu, N.K.A.; Johnson, S. Effects of Inulin Fibre Supplementation on Serum Glucose and Lipid Concentration in Patients with Type 2 Diabetes. Int. J. Diabetes Metab. 2019, 20, 80–86. [Google Scholar]
- Modulatory Effect of Inulin with Soya Isoflavones on Plasma Lipid Profile and Liver SCD-18 Index in Rats with Induced Type-2 Diabetes Mellitus. Histol. Histopathol. 2019, 34, 1131–1140. [CrossRef]
- Guo, X.; Wang, Y.; Wang, K.; Ji, B.; Zhou, F. Stability of a Type 2 Diabetes Rat Model Induced by High-Fat Diet Feeding with Low-Dose Streptozotocin Injection. J. Zhejiang Univ. Sci. B 2018, 19, 559–569. [Google Scholar] [CrossRef]
- Rossmeisl, M.; Rim, J.S.; Koza, R.A.; Kozak, L.P. Variation in Type 2 Diabetes-Related Traits in Mouse Strains Susceptible to Diet-Induced Obesity. Diabetes 2003, 52, 1958–1966. [Google Scholar] [CrossRef]
- Akhlaghi, M.; Zare, M.; Nouripour, F. Effect of Soy and Soy Isoflavones on Obesity-Related Anthropometric Measures: A Systematic Review and Meta-Analysis of Randomized Controlled Clinical Trials. Adv. Nutr. 2017, 8, 705–717. [Google Scholar] [CrossRef]
- Shim, J.-Y.; Kim, K.-O.; Seo, B.-H.; Lee, H.-S. Soybean Isoflavone Extract Improves Glucose Tolerance and Raises the Survival Rate in Streptozotocin-Induced Diabetic Rats. Nutr. Res. Pr. 2007, 1, 266. [Google Scholar] [CrossRef] [PubMed]
- Rasch, R.; Dørup, J. Quantitative Morphology of the Rat Kidney during Diabetes Mellitus and Insulin Treatment. Diabetologia 1997, 40, 802–809. [Google Scholar] [CrossRef] [PubMed]
- Naaz, A.; Yellayi, S.; Zakroczymski, M.A.; Bunick, D.; Doerge, D.R.; Lubahn, D.B.; Helferich, W.G.; Cooke, P.S. The Soy Isoflavone Genistein Decreases Adipose Deposition in Mice. Endocrinology 2003, 144, 3315–3320. [Google Scholar] [CrossRef] [PubMed]
- Taft, J.L.; Nolan, C.J.; Yeung, S.P.; Hewitson, T.D.; Martin, F.I. Clinical and Histological Correlations of Decline in Renal Function in Diabetic Patients With Proteinuria. Diabetes 1994, 43, 1046–1051. [Google Scholar] [CrossRef] [PubMed]
- Gross, M.L.; Ritz, E.; Schoof, A.; Adamczak, M.; Koch, A.; Tulp, O.; Parkman, A.; El-Shakmak, A.; Szabo, A.; Amann, K. Comparison of Renal Morphology in the Streptozotocin and the SHR/N-Cp Models of Diabetes. Lab. Investig. 2004, 84, 452–464. [Google Scholar] [CrossRef][Green Version]
- Schmitz, A.; Nyengaard, J.R.; Bendtsen, T.F. Glomerular Volume in Type 2 (Noninsulin-Dependent) Diabetes Estimated by a Direct and Unbiased Stereologic Method. Lab. Investig. 1990, 62, 108–113. [Google Scholar] [PubMed]
- White, K.E.; Marshall, S.M.; Bilous, R.W. Are Glomerular Volume Differences between Type 1 and Type 2 Diabetic Patients Pathologically Significant? Diabetologia 2007, 50, 906–912. [Google Scholar] [CrossRef] [PubMed][Green Version]
- Altunkaynak, M.E.; Özbek, E.; Altunkaynak, B.Z.; Can, İ.; Unal, D.; Unal, B. The Effects of High-Fat Diet on the Renal Structure and Morphometric Parametric of Kidneys in Rats. J. Anat. 2008, 212, 845–852. [Google Scholar] [CrossRef]
- Haensly, W.E.; Granger, H.J.; Morris, A.C.; Cioffe, C. Proximal-Tubule-like Epithelium in Bowman’s Capsule in Spontaneously Hypertensive Rats. Changes with Age. Am. J. Pathol. 1982, 107, 92–97. [Google Scholar]
- Crabtree, C. The Structure of Bowman’s Capsule as an Index of Age and Sex Variations in Normal Mice. Anat. Rec. 1941, 79, 395–413. [Google Scholar] [CrossRef]
- Tabatabai, N.M.; North, P.E.; Regner, K.R.; Kumar, S.N.; Duris, C.B.; Blodgett, A.B. De Novo Expression of Sodium-Glucose Cotransporter SGLT2 in Bowman’s Capsule Coincides with Replacement of Parietal Epithelial Cell Layer with Proximal Tubule-like Epithelium. J. Membr. Biol. 2014, 247, 675–683. [Google Scholar] [CrossRef] [PubMed][Green Version]
- Dombrowski, F.; Klotz, L.; Bannasch, P.; Evert, M. Renal Carcinogenesis in Models of Diabetes in Rats—Metabolic Changes Are Closely Related to Neoplastic Development. Diabetologia 2007, 50, 2580–2590. [Google Scholar] [CrossRef] [PubMed][Green Version]
- Ribback, S.; Cigliano, A.; Kroeger, N.; Pilo, M.G.; Terracciano, L.; Burchardt, M.; Bannasch, P.; Calvisi, D.F.; Dombrowski, F. PI3K/AKT/MTOR Pathway Plays a Major Pathogenetic Role in Glycogen Accumulation and Tumor Development in Renal Distal Tubules of Rats and Men. Oncotarget 2015, 6, 13036–13048. [Google Scholar] [CrossRef] [PubMed]
- Zhou, C.; Yool, A.J.; Nolan, J.; Byard, R.W. Armanni–Ebstein Lesions: A Need for Clarification. J. Forensic Sci. 2013, 58, 33. [Google Scholar] [CrossRef]
- Smith, J.C.; Gannon, K.S. Ingestion Patterns of Food, Water, Saccharin and Sucrose in Streptozotocin-Induced Diabetic Rats. Physiol. Behav. 1991, 49, 189–199. [Google Scholar] [CrossRef] [PubMed]
- Zou, J.; Reddivari, L.; Shi, Z.; Li, S.; Wang, Y.; Bretin, A.; Ngo, V.L.; Flythe, M.; Pellizzon, M.; Chassaing, B.; et al. Inulin Fermentable Fiber Ameliorates Type I Diabetes via IL22 and Short-Chain Fatty Acids in Experimental Models. Cell. Mol. Gastroenterol. Hepatol. 2021, 12, 983–1000. [Google Scholar] [CrossRef] [PubMed]
- Sakaguchi, K.; Takeda, K.; Maeda, M.; Ogawa, W.; Sato, T.; Okada, S.; Ohnishi, Y.; Nakajima, H.; Kashiwagi, A. Glucose Area under the Curve during Oral Glucose Tolerance Test as an Index of Glucose Intolerance. Diabetol. Int. 2016, 7, 53–58. [Google Scholar] [CrossRef]
- Laffel, L. Ketone Bodies: A Review of Physiology, Pathophysiology and Application of Monitoring to Diabetes. Diabetes Metab. Res. Rev. 1999, 15, 412–426. [Google Scholar] [CrossRef]
- Kolb, H.; Kempf, K.; Röhling, M.; Lenzen-Schulte, M.; Schloot, N.C.; Martin, S. Ketone Bodies: From Enemy to Friend and Guardian Angel. BMC Med. 2021, 19, 313. [Google Scholar] [CrossRef]
- Carroll, K.K.; Kurowska, E.M. Soy Consumption and Cholesterol Reduction: Review of Animal and Human Studies. J. Nutr. 1995, 125, 594S–597S. [Google Scholar] [PubMed]
- Tamaru, S.; Kurayama, T.; Sakono, M.; Fukuda, N.; Nakamori, T.; Furuta, H.; Tanaka, K.; Sugano, M. Effects of Dietary Soybean Peptides on Hepatic Production of Ketone Bodies and Secretion of Triglyceride by Perfused Rat Liver. Biosci. Biotechnol. Biochem. 2007, 71, 2451–2457. [Google Scholar] [CrossRef] [PubMed]
- Demonty, I.; Lamarche, B.; Jones, P.J.H. Role of Isoflavones in the Hypocholesterolemic Effect of Soy. Nutr. Rev. 2003, 61, 189–203. [Google Scholar] [CrossRef] [PubMed]
- Demonty, I.; Lamarche, B.; Deshaies, Y.; Jacques, H. Role of Soy Isoflavones in the Hypotriglyceridemic Effect of Soy Protein in the Rat. J. Nutr. Biochem. 2002, 13, 671–677. [Google Scholar] [CrossRef] [PubMed]
- Ward, D.T.; Yau, S.K.; Mee, A.P.; Mawer, E.B.; Miller, C.A.; Garland, H.O.; Riccardi, D. Functional, Molecular, and Biochemical Characterization of Streptozotocin-Induced Diabetes. J. Am. Soc. Nephrol. 2001, 12, 779–790. [Google Scholar] [CrossRef] [PubMed]
- Seyahian, E.A.; Cacciagiu, L.; Damiano, A.E.; Zotta, E. AQP1 Expression in the Proximal Tubule of Diabetic Rat Kidney. Heliyon 2020, 6, e03192. [Google Scholar] [CrossRef] [PubMed]
- Hassouneh, R.; Nasrallah, R.; Zimpelmann, J.; Gutsol, A.; Eckert, D.; Ghossein, J.; Burns, K.D.; Hébert, R.L. PGE2 Receptor EP3 Inhibits Water Reabsorption and Contributes to Polyuria and Kidney Injury in a Streptozotocin-Induced Mouse Model of Diabetes. Diabetologia 2016, 59, 1318–1328. [Google Scholar] [CrossRef] [PubMed]
- Leung, J.C.; Chan, L.Y.; Tsang, A.W.; Tang, S.C.; Lai, K.N. Differential Expression of Aquaporins in the Kidneys of Streptozotocin-Induced Diabetic Mice. Nephrology 2005, 10, 63–72. [Google Scholar] [CrossRef]
- Wang, X.; Zhang, Y.; Zhou, X.; Xia, X.; Teng, W.; Sheng, L.; Ding, J. Soy Isoflavone Reduces LPS-Induced Acute Lung Injury via Increasing Aquaporin 1 and Aquaporin 5 in Rats. Open Life Sci. 2023, 18, 20220560. [Google Scholar] [CrossRef]
- Möller, F.J.; Diel, P.; Zierau, O.; Hertrampf, T.; Maaß, J.; Vollmer, G. Long-Term Dietary Isoflavone Exposure Enhances Estrogen Sensitivity of Rat Uterine Responsiveness Mediated through Estrogen Receptor α. Toxicol. Lett. 2010, 196, 142–153. [Google Scholar] [CrossRef]
- Klein, J.D.; Price, S.R.; Bailey, J.L.; Jacobs, J.D.; Sands, J.M. Glucocorticoids Mediate a Decrease in AVP-Regulated Urea Transporter in Diabetic Rat Inner Medulla. Am. J. Physiol.-Ren. Physiol. 1997, 273, F949–F953. [Google Scholar] [CrossRef]
- Nejsum, L.N.; Kwon, T.-H.; Marples, D.; Flyvbjerg, A.; Knepper, M.A.; Frøkiær, J.; Nielsen, S. Compensatory Increase in AQP2, p-AQP2, and AQP3 Expression in Rats with Diabetes Mellitus. Am. J. Physiol.-Ren. Physiol. 2001, 280, F715–F726. [Google Scholar] [CrossRef]
- Tamma, G.; Goswami, N.; Reichmuth, J.; De Santo, N.G.; Valenti, G. Aquaporins, Vasopressin, and Aging: Current Perspectives. Endocrinology 2015, 156, 777–788. [Google Scholar] [CrossRef]
- Kong, Y.; Feng, W.; Zhao, X.; Zhang, P.; Li, S.; Li, Z.; Lin, Y.; Liang, B.; Li, C.; Wang, W.; et al. Statins Ameliorate Cholesterol-Induced Inflammation and Improve AQP2 Expression by Inhibiting NLRP3 Activation in the Kidney. Theranostics 2020, 10, 10415–10433. [Google Scholar] [CrossRef]
- Sohn, E.-J.; Kang, D.-G.; Lee, H.-S. Protective Effects of Glycyrrhizin on Gentamicin-Induced Acute Renal Failure in Rats. Pharmacol. Toxicol. 2003, 93, 116–122. [Google Scholar] [CrossRef] [PubMed]
- Michałek, K.; Kolasa-Wołosiuk, A.; Staśkiewicz, Ł. Renal expression of Aquaporin 2 (AQP2) of growing piglets fed diet supplemented with inulin and probiotics. Folia Pomer. Univ. Technol. Stetin. Agric. Aliment. Pisc. Zootech. 2016, 328, 171–180. [Google Scholar] [CrossRef]
- Sun, L.; Halaihel, N.; Zhang, W.; Rogers, T.; Levi, M. Role of Sterol Regulatory Element-Binding Protein 1 in Regulation of Renal Lipid Metabolism and Glomerulosclerosis in Diabetes Mellitus. J. Biol. Chem. 2002, 277, 18919–18927. [Google Scholar] [CrossRef] [PubMed]
- Kim, C.-W.; Addy, C.; Kusunoki, J.; Anderson, N.N.; Deja, S.; Fu, X.; Burgess, S.C.; Li, C.; Ruddy, M.; Chakravarthy, M.; et al. Acetyl CoA Carboxylase Inhibition Reduces Hepatic Steatosis but Elevates Plasma Triglycerides in Mice and Humans: A Bedside to Bench Investigation. Cell Metab. 2017, 26, 576. [Google Scholar] [CrossRef]
- Kayampilly, P.; Roeser, N.; Rajendiran, T.M.; Pennathur, S.; Afshinnia, F. Acetyl Co-A Carboxylase Inhibition Halts Hyperglycemia Induced Upregulation of De Novo Lipogenesis in Podocytes and Proximal Tubular Cells. Metabolites 2022, 12, 940. [Google Scholar] [CrossRef]
- Yenilmez, B.; Kelly, M.; Zhang, G.-F.; Wetoska, N.; Ilkayeva, O.R.; Min, K.; Rowland, L.; DiMarzio, C.; He, W.; Raymond, N.; et al. Paradoxical Activation of Transcription Factor SREBP1c and de Novo Lipogenesis by Hepatocyte-Selective ATP-Citrate Lyase Depletion in Obese Mice. J. Biol. Chem. 2022, 298, 102401. [Google Scholar] [CrossRef]
- Huang, C.; Pang, D.; Luo, Q.; Chen, X.; Gao, Q.; Shi, L.; Liu, W.; Zou, Y.; Li, L.; Chen, Z. Soy Isoflavones Regulate Lipid Metabolism through an AKT/MTORC1 Pathway in Diet-Induced Obesity (DIO) Male Rats. Molecules 2016, 21, 586. [Google Scholar] [CrossRef] [PubMed]
- Xiao, C.W. Effect of Soy Proteins and Isoflavones on Lipid Metabolism and Involved Gene Expression. Front Biosci. 2008, 13, 2660. [Google Scholar] [CrossRef] [PubMed]
- Huang, C.; Freake, H.C. Thyroid Hormone Regulates the Acetyl-CoA Carboxylase PI Promoter. Biochem. Biophys. Res. Commun. 1998, 249, 704–708. [Google Scholar] [CrossRef]
- Delzenne, N.M.; Daubioul, C.; Neyrinck, A.; Lasa, M.; Taper, H.S. Inulin and Oligofructose Modulate Lipid Metabolism in Animals: Review of Biochemical Events and Future Prospects. Br. J. Nutr. 2002, 87, 255–259. [Google Scholar] [CrossRef] [PubMed]
- Szczuko, M.; Kaczkan, M.; Małgorzewicz, S.; Rutkowski, P.; Dębska-Ślizień, A.; Stachowska, E. The C18:3n6/C22:4n6 Ratio Is a Good Lipid Marker of Chronic Kidney Disease (CKD) Progression. Lipids Health Dis. 2020, 19, 77. [Google Scholar] [CrossRef]
- Viji Nair, K.M.S.; Pradeep Kayampilly, J.B.; Jharna Saha, H.Z. Targeted Lipidomic and Transcriptomic Analysis Identifies Dysregulated Renal Ceramide Metabolism in a Mouse Model of Diabetic Kidney Disease. J. Proteom. Bioinform. 2015, s14-002. [Google Scholar] [CrossRef] [PubMed]
- Woo, C.-Y.; Baek, J.Y.; Kim, A.-R.; Hong, C.H.; Yoon, J.E.; Kim, H.S.; Yoo, H.J.; Park, T.-S.; Kc, R.; Lee, K.-U.; et al. Inhibition of Ceramide Accumulation in Podocytes by Myriocin Prevents Diabetic Nephropathy. Diabetes Metab. J. 2020, 44, 581. [Google Scholar] [CrossRef] [PubMed]
- Paton, C.M.; Ntambi, J.M. Loss of Stearoyl-CoA Desaturase Activity Leads to Free Cholesterol Synthesis through Increased Xbp-1 Splicing. Am. J. Physiol.-Endocrinol. Metab. 2010, 299, E1066–E1075. [Google Scholar] [CrossRef] [PubMed][Green Version]
- Iwai, T.; Kume, S.; Chin-Kanasaki, M.; Kuwagata, S.; Araki, H.; Takeda, N.; Sugaya, T.; Uzu, T.; Maegawa, H.; Araki, S. Stearoyl-CoA Desaturase-1 Protects Cells against Lipotoxicity-Mediated Apoptosis in Proximal Tubular Cells. Int. J. Mol. Sci. 2016, 17, 1868. [Google Scholar] [CrossRef]
- Igal, R.A. Stearoyl-CoA Desaturase-1: A Novel Key Player in the Mechanisms of Cell Proliferation, Programmed Cell Death and Transformation to Cancer. Carcinogenesis 2010, 31, 1509–1515. [Google Scholar] [CrossRef]
- Kang, H.M.; Ahn, S.H.; Choi, P.; Ko, Y.-A.; Han, S.H.; Chinga, F.; Park, A.S.D.; Tao, J.; Sharma, K.; Pullman, J.; et al. Defective Fatty Acid Oxidation in Renal Tubular Epithelial Cells Has a Key Role in Kidney Fibrosis Development. Nat. Med. 2015, 21, 37–46. [Google Scholar] [CrossRef]
- Sieber, J.; Weins, A.; Kampe, K.; Gruber, S.; Lindenmeyer, M.T.; Cohen, C.D.; Orellana, J.M.; Mundel, P.; Jehle, A.W. Susceptibility of Podocytes to Palmitic Acid Is Regulated by Stearoyl-CoA Desaturases 1 and 2. Am. J. Pathol. 2013, 183, 735–744. [Google Scholar] [CrossRef] [PubMed]
- Du, Y.; Xu, B.; Deng, X.; Wu, X.; Li, Y.; Wang, S.; Wang, Y.; Ji, S.; Guo, M.; Yang, D.; et al. Predictive Metabolic Signatures for the Occurrence and Development of Diabetic Nephropathy and the Intervention of Ginkgo Biloba Leaves Extract Based on Gas or Liquid Chromatography with Mass Spectrometry. J. Pharm. Biomed. Anal. 2019, 166, 30–39. [Google Scholar] [CrossRef]
- Paton, C.M.; Ntambi, J.M. Biochemical and Physiological Function of Stearoyl-CoA Desaturase. Am. J. Physiol. Endocrinol. Metab. 2009, 297, E28–E37. [Google Scholar] [CrossRef]
- Wei-Yun, B.; Cailin, Z. Genistein Ameliorates Hyperuricemia-Associated Nephropathy in Hyperuricemic Mice. Food Agric. Immunol. 2021, 32, 778–797. [Google Scholar] [CrossRef]
- Lepist, E.-I.; Zhang, X.; Hao, J.; Huang, J.; Kosaka, A.; Birkus, G.; Murray, B.P.; Bannister, R.; Cihlar, T.; Huang, Y.; et al. Contribution of the Organic Anion Transporter OAT2 to the Renal Active Tubular Secretion of Creatinine and Mechanism for Serum Creatinine Elevations Caused by Cobicistat. Kidney Int. 2014, 86, 350–357. [Google Scholar] [CrossRef]
- Zhao, J.; He, K.; Du, H.; Wei, G.; Wen, Y.; Wang, J.; Zhou, X.; Wang, J. Bioinformatics Prediction and Experimental Verification of Key Biomarkers for Diabetic Kidney Disease Based on Transcriptome Sequencing in Mice. PeerJ 2022, 10, e13932. [Google Scholar] [CrossRef]
- Brookes, E.M.; Power, D.A. Elevated Serum Urea-to-Creatinine Ratio Is Associated with Adverse Inpatient Clinical Outcomes in Non-End Stage Chronic Kidney Disease. Sci. Rep. 2022, 12, 20827. [Google Scholar] [CrossRef] [PubMed]
- Zhang, M.; Lv, X.-Y.; Li, J.; Xu, Z.-G.; Chen, L. The Characterization of High-Fat Diet and Multiple Low-Dose Streptozotocin Induced Type 2 Diabetes Rat Model. Exp. Diabetes Res. 2008, 2008, 1–9. [Google Scholar] [CrossRef]
- Misiakiewicz-Has, K.; Maciejewska-Markiewicz, D.; Rzeszotek, S.; Pilutin, A.; Kolasa, A.; Szumilas, P.; Stachowska, E.; Wiszniewska, B. The Obscure Effect of Tribulus Terrestris Saponins Plus Inulin on Liver Morphology, Liver Fatty Acids, Plasma Glucose, and Lipid Profile in SD Rats with and without Induced Type 2 Diabetes Mellitus. Int. J. Mol. Sci. 2021, 22, 8680. [Google Scholar] [CrossRef] [PubMed]
- Crowe, A.; Yue, W. Semi-Quantitative Determination of Protein Expression Using Immunohistochemistry Staining and Analysis: An Integrated Protocol. Bio-Protoc. 2019, 9, e3465. [Google Scholar] [CrossRef] [PubMed]
- Folch, J.; Lees, M.; Sloane Stanley, G.H. A Simple Method for the Isolation and Purification of Total Lipides from Animal Tissues. J. Biol. Chem. 1957, 226, 497–509. [Google Scholar] [CrossRef] [PubMed]












Disclaimer/Publisher’s Note: The statements, opinions and data contained in all publications are solely those of the individual author(s) and contributor(s) and not of MDPI and/or the editor(s). MDPI and/or the editor(s) disclaim responsibility for any injury to people or property resulting from any ideas, methods, instructions or products referred to in the content. |
© 2024 by the authors. Licensee MDPI, Basel, Switzerland. This article is an open access article distributed under the terms and conditions of the Creative Commons Attribution (CC BY) license (https://creativecommons.org/licenses/by/4.0/).
Share and Cite
Misiakiewicz-Has, K.; Maciejewska-Markiewicz, D.; Szypulska-Koziarska, D.; Kolasa, A.; Wiszniewska, B. The Influence of Soy Isoflavones and Soy Isoflavones with Inulin on Kidney Morphology, Fatty Acids, and Associated Parameters in Rats with and without Induced Diabetes Type 2. Int. J. Mol. Sci. 2024, 25, 5418. https://doi.org/10.3390/ijms25105418
Misiakiewicz-Has K, Maciejewska-Markiewicz D, Szypulska-Koziarska D, Kolasa A, Wiszniewska B. The Influence of Soy Isoflavones and Soy Isoflavones with Inulin on Kidney Morphology, Fatty Acids, and Associated Parameters in Rats with and without Induced Diabetes Type 2. International Journal of Molecular Sciences. 2024; 25(10):5418. https://doi.org/10.3390/ijms25105418
Chicago/Turabian StyleMisiakiewicz-Has, Kamila, Dominika Maciejewska-Markiewicz, Dagmara Szypulska-Koziarska, Agnieszka Kolasa, and Barbara Wiszniewska. 2024. "The Influence of Soy Isoflavones and Soy Isoflavones with Inulin on Kidney Morphology, Fatty Acids, and Associated Parameters in Rats with and without Induced Diabetes Type 2" International Journal of Molecular Sciences 25, no. 10: 5418. https://doi.org/10.3390/ijms25105418
APA StyleMisiakiewicz-Has, K., Maciejewska-Markiewicz, D., Szypulska-Koziarska, D., Kolasa, A., & Wiszniewska, B. (2024). The Influence of Soy Isoflavones and Soy Isoflavones with Inulin on Kidney Morphology, Fatty Acids, and Associated Parameters in Rats with and without Induced Diabetes Type 2. International Journal of Molecular Sciences, 25(10), 5418. https://doi.org/10.3390/ijms25105418

