The Effects of Caloric Restriction on Inflammatory Targets in the Prostates of Aged Rats
Abstract
1. Introduction
2. Results
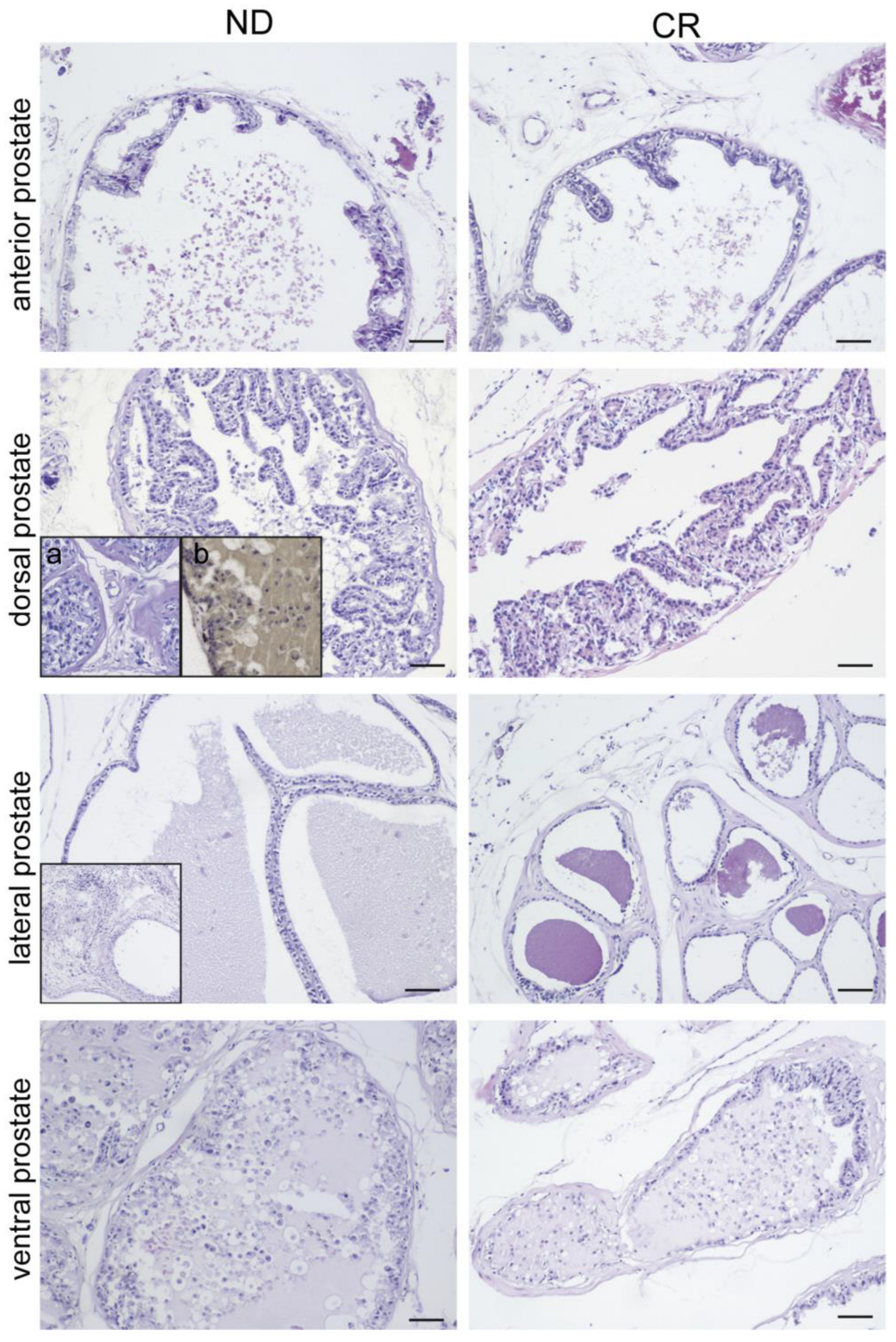
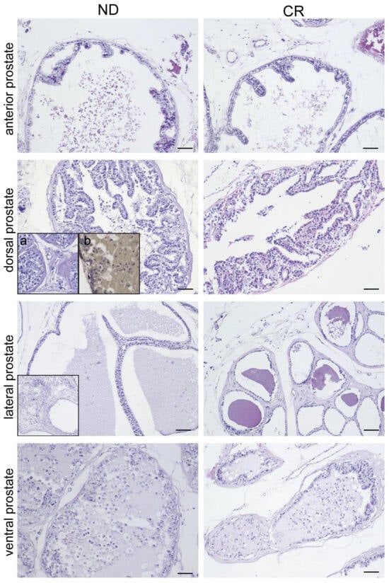
2.1. Analysis of the Morphological Effects of Caloric Restriction on Aged Prostate Tissues
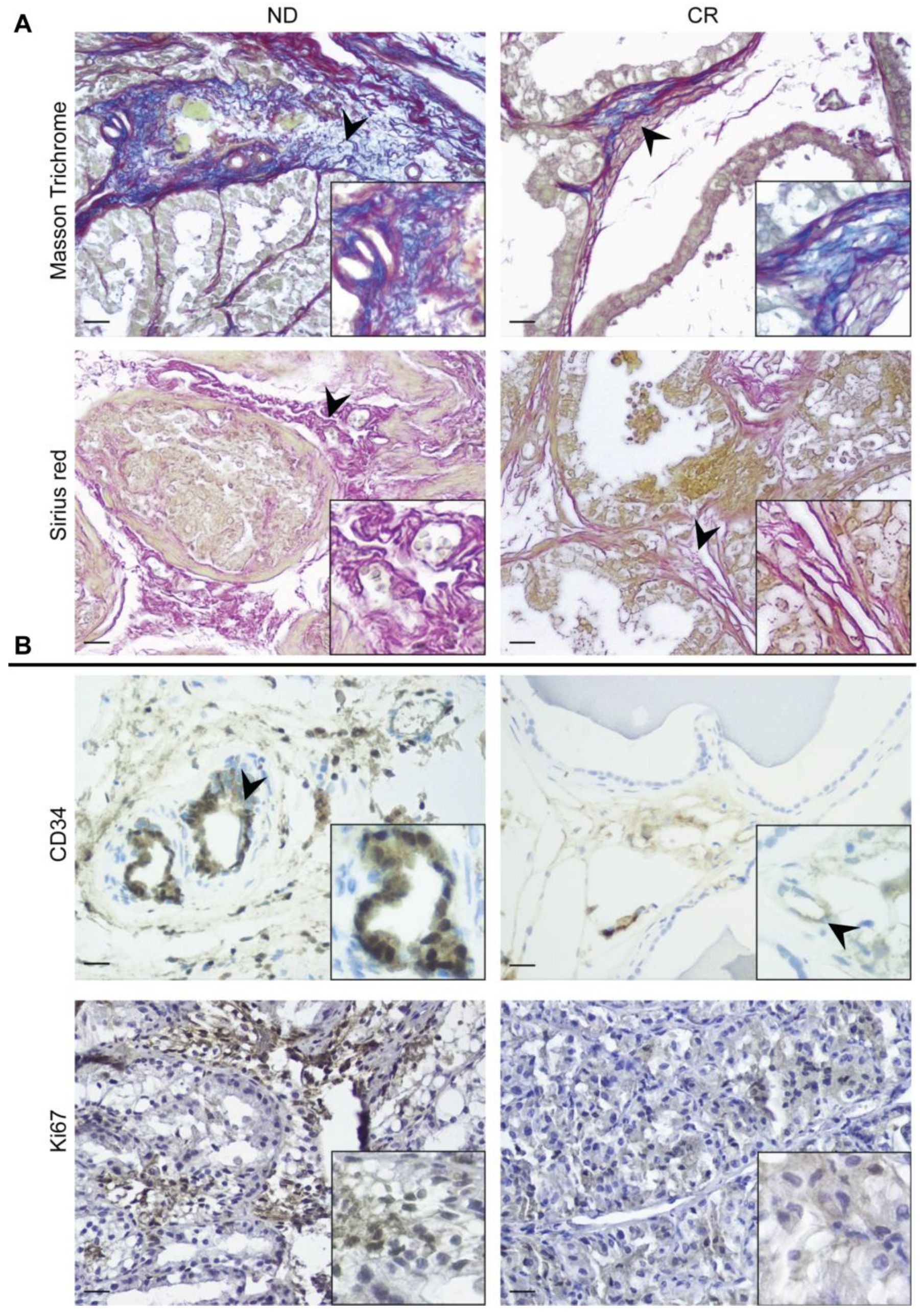
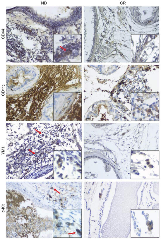
2.2. Caloric Restriction Regimen Decreases the Presence of Inflammatory Cells in Aged Prostate Tissues
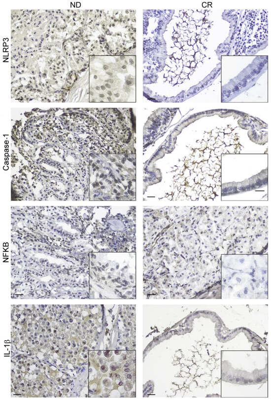
2.3. Caloric Restriction Regimen Modulates the NLRP3 Inflammasome Pathway in Aged Prostate Tissues
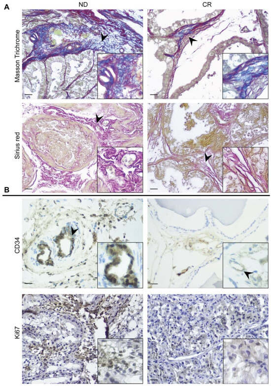
2.4. Prostatic Fibrosis Shows Improvement under Caloric Restriction Conditions
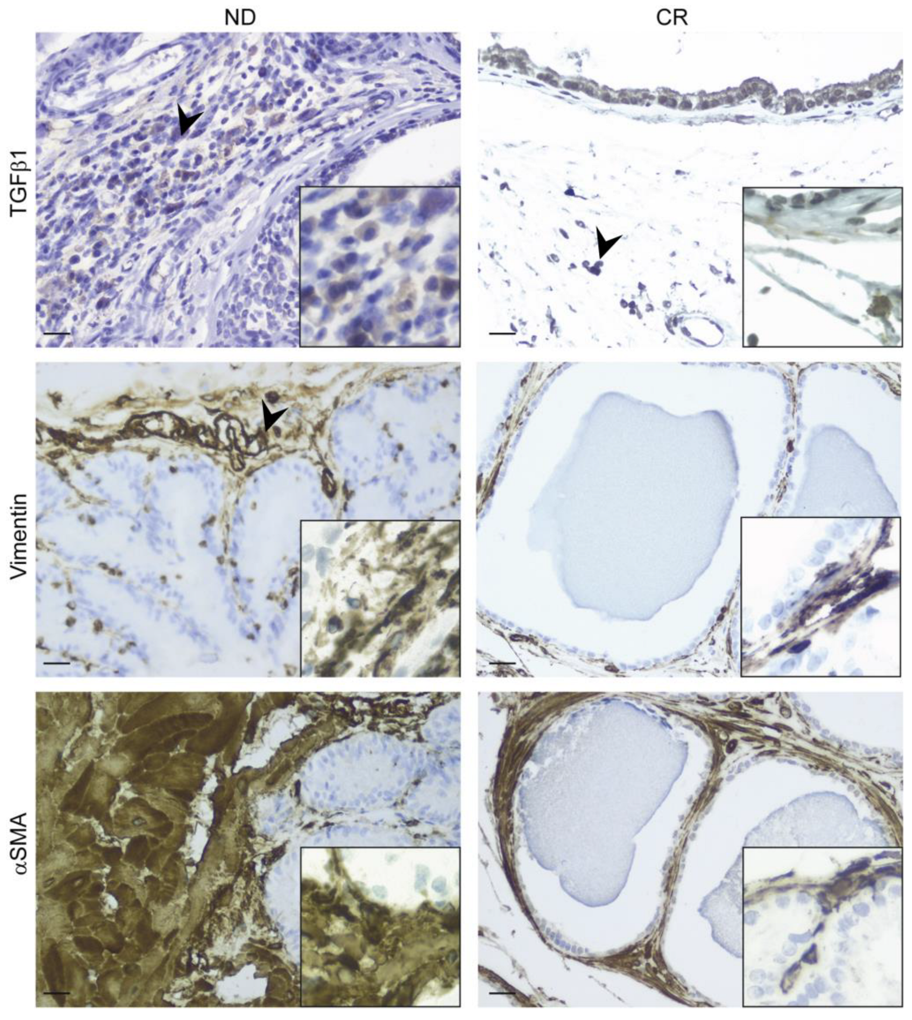
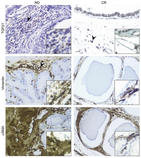
2.5. Caloric Restriction Attenuates Prostate Fibrosis by Inhibiting Epithelial–Mesenchymal Transition Players
2.6. Caloric Restriction Enhances Prostate Antioxidant Defense Mechanisms and Mitigates Estrogenic Receptor Alpha Expression
3. Discussion
4. Materials and Methods
4.1. Animals
4.2. Prostate Tissues
4.3. Chemicals and Antibodies
4.4. Histology and Immunohistochemistry Analysis
4.5. Imaging and Scoring
4.6. Western Blot and Densitometric Analysis
4.7. Statistical Analysis
5. Conclusions
Supplementary Materials
Author Contributions
Funding
Institutional Review Board Statement
Informed Consent Statement
Data Availability Statement
Conflicts of Interest
References
- Kanasi, E.; Ayilavarapu, S.; Jones, J. The Aging Population: Demographics and the Biology of Aging. Periodontol. 2000 2016, 72, 13–18. [Google Scholar] [CrossRef] [PubMed]
- Holmannova, D.; Borsky, P.; Parova, H.; Stverakova, T.; Vosmik, M.; Hruska, L.; Fiala, Z.; Borska, L. Non-Genomic Hallmarks of Aging-The Review. Int. J. Mol. Sci. 2023, 24, 15468. [Google Scholar] [CrossRef] [PubMed]
- López-Otín, C.; Blasco, M.A.; Partridge, L.; Serrano, M.; Kroemer, G. Hallmarks of Aging: An Expanding Universe. Cell 2023, 186, 243–278. [Google Scholar] [CrossRef] [PubMed]
- Hernandez-Segura, A.; Nehme, J.; Demaria, M. Hallmarks of Cellular Senescence. Trends Cell Biol. 2018, 28, 436–453. [Google Scholar] [CrossRef] [PubMed]
- Durieux, J.; Wolff, S.; Dillin, A. The Cell-Non-Autonomous Nature of Electron Transport Chain-Mediated Longevity. Cell 2011, 144, 79–91. [Google Scholar] [CrossRef] [PubMed]
- Pinke, K.H.; Calzavara, B.; Faria, P.F.; do Nascimento, M.P.P.; Venturini, J.; Lara, V.S. Proinflammatory Profile of in Vitro Monocytes in the Ageing Is Affected by Lymphocytes Presence. Immun. Ageing 2013, 10, 22. [Google Scholar] [CrossRef] [PubMed]
- Callender, L.A.; Carroll, E.C.; Beal, R.W.J.; Chambers, E.S.; Nourshargh, S.; Akbar, A.N.; Henson, S.M. Human CD8+ EMRA T Cells Display a Senescence-Associated Secretory Phenotype Regulated by P38 MAPK. Aging Cell 2018, 17, e12675. [Google Scholar] [CrossRef] [PubMed]
- Blevins, H.M.; Xu, Y.; Biby, S.; Zhang, S. The NLRP3 Inflammasome Pathway: A Review of Mechanisms and Inhibitors for the Treatment of Inflammatory Diseases. Front. Aging Neurosci. 2022, 14, 879021. [Google Scholar] [CrossRef] [PubMed]
- Liang, R.; Qi, X.; Cai, Q.; Niu, L.; Huang, X.; Zhang, D.; Ling, J.; Wu, Y.; Chen, Y.; Yang, P.; et al. The Role of NLRP3 Inflammasome in Aging and Age-Related Diseases. Immun. Ageing 2024, 21, 14. [Google Scholar] [CrossRef]
- Navarro-Pando, J.M.; Alcocer-Gómez, E.; Castejón-Vega, B.; Navarro-Villarán, E.; Condés-Hervás, M.; Mundi-Roldan, M.; Muntané, J.; Pérez-Pulido, A.J.; Bullon, P.; Wang, C.; et al. Inhibition of the NLRP3 Inflammasome Prevents Ovarian Aging. Sci. Adv. 2021, 7, eabc7409. [Google Scholar] [CrossRef]
- Li, D.; Liu, M.; Li, Z.; Zheng, G.; Chen, A.; Zhao, L.; Yang, P.; Wei, L.; Chen, Y.; Ruan, X.Z. Sterol-Resistant SCAP Overexpression in Vascular Smooth Muscle Cells Accelerates Atherosclerosis by Increasing Local Vascular Inflammation through Activation of the NLRP3 Inflammasome in Mice. Aging Dis. 2021, 12, 747–763. [Google Scholar] [CrossRef] [PubMed]
- Murakami, T.; Nakaminami, Y.; Takahata, Y.; Hata, K.; Nishimura, R. Activation and Function of NLRP3 Inflammasome in Bone and Joint-Related Diseases. Int. J. Mol. Sci. 2022, 23, 5365. [Google Scholar] [CrossRef] [PubMed]
- Guerra, L.H.A.; Campos, S.G.P.; Taboga, S.R.; Vilamaior, P.S.L. Prostatic Morphological Changes throughout Life: Cytochemistry as a Tool to Reveal Tissue Aging Markers. Microsc. Res. Tech. 2024, 87, 1020–1030. [Google Scholar] [CrossRef] [PubMed]
- Krušlin, B.; Tomas, D.; Džombeta, T.; Milković-Periša, M.; Ulamec, M. Inflammation in Prostatic Hyperplasia and Carcinoma-Basic Scientific Approach. Front. Oncol. 2017, 7, 77. [Google Scholar] [CrossRef] [PubMed]
- Untergasser, G.; Madersbacher, S.; Berger, P. Benign Prostatic Hyperplasia: Age-Related Tissue-Remodeling. Exp. Gerontol. 2005, 40, 121–128. [Google Scholar] [CrossRef] [PubMed]
- Naiyila, X.; Li, J.; Huang, Y.; Chen, B.; Zhu, M.; Li, J.; Chen, Z.; Yang, L.; Ai, J.; Wei, Q.; et al. A Novel Insight into the Immune-Related Interaction of Inflammatory Cytokines in Benign Prostatic Hyperplasia. J. Clin. Med. 2023, 12, 1821. [Google Scholar] [CrossRef] [PubMed]
- Al-Regaiey, K.A. The Effects of Calorie Restriction on Aging: A Brief Review. Eur. Rev. Med. Pharmacol. Sci. 2016, 20, 2468–2473. [Google Scholar] [PubMed]
- Balasubramanian, P.; Howell, P.R.; Anderson, R.M. Aging and Caloric Restriction Research: A Biological Perspective With Translational Potential. EBioMedicine 2017, 21, 37–44. [Google Scholar] [CrossRef] [PubMed]
- Luo, J.; Zha, S.; Gage, W.R.; Dunn, T.A.; Hicks, J.L.; Bennett, C.J.; Ewing, C.M.; Platz, E.A.; Ferdinandusse, S.; Wanders, R.J.; et al. Alpha-Methylacyl-CoA Racemase: A New Molecular Marker for Prostate Cancer. Cancer Res. 2002, 62, 2220–2226. [Google Scholar]
- Kang, Q.; Li, L.; Pang, Y.; Zhu, W.; Meng, L. An Update on Ym1 and Its Immunoregulatory Role in Diseases. Front. Immunol. 2022, 13, 891220. [Google Scholar] [CrossRef]
- Tsai, M.; Valent, P.; Galli, S.J. KIT as a Master Regulator of the Mast Cell Lineage. J. Allergy Clin. Immunol. 2022, 149, 1845–1854. [Google Scholar] [CrossRef] [PubMed]
- Xu, Z.; Wang, H.; Qin, Z.; Zhao, F.; Zhou, L.; Xu, L.; Jia, R. NLRP3 Inflammasome Promoted the Malignant Progression of Prostate Cancer via the Activation of Caspase-1. Cell Death Discov. 2021, 7, 399. [Google Scholar] [CrossRef] [PubMed]
- Pu, X.; Zhu, P.; Zhou, X.; He, Y.; Wu, H.; Du, L.; Gong, H.; Sun, X.; Chen, T.; Zhu, J.; et al. CD34+ Cell Atlas of Main Organs Implicates Its Impact on Fibrosis. Cell Mol. Life Sci. 2022, 79, 576. [Google Scholar] [CrossRef] [PubMed]
- Kavitha, L.; Ranganathan, K.; Shyam, S.; Fathima, J.H.S.; Umesh, W.; Warnakulasuriya, S. Immunohistochemical Biomarkers in Oral Submucous Fibrosis: A Scoping Review. J. Oral Pathol. Med. 2022, 51, 594–602. [Google Scholar] [CrossRef] [PubMed]
- Chung, J.Y.-F.; Chan, M.K.-K.; Li, J.S.-F.; Chan, A.S.-W.; Tang, P.C.-T.; Leung, K.-T.; To, K.-F.; Lan, H.-Y.; Tang, P.M.-K. TGF-β Signaling: From Tissue Fibrosis to Tumor Microenvironment. Int. J. Mol. Sci. 2021, 22, 7575. [Google Scholar] [CrossRef] [PubMed]
- López-Lluch, G.; Navas, P. Calorie Restriction as an Intervention in Ageing. J. Physiol. 2016, 594, 2043–2060. [Google Scholar] [CrossRef] [PubMed]
- Bianchi-Frias, D.; Vakar-Lopez, F.; Coleman, I.M.; Plymate, S.R.; Reed, M.J.; Nelson, P.S. The Effects of Aging on the Molecular and Cellular Composition of the Prostate Microenvironment. PLoS ONE 2010, 5, e12501. [Google Scholar] [CrossRef] [PubMed]
- Untergasser, G.; Gander, R.; Lilg, C.; Lepperdinger, G.; Plas, E.; Berger, P. Profiling Molecular Targets of TGF-Beta1 in Prostate Fibroblast-to-Myofibroblast Transdifferentiation. Mech. Ageing Dev. 2005, 126, 59–69. [Google Scholar] [CrossRef] [PubMed]
- Begley, L.; Monteleon, C.; Shah, R.B.; Macdonald, J.W.; Macoska, J.A. CXCL12 Overexpression and Secretion by Aging Fibroblasts Enhance Human Prostate Epithelial Proliferation in Vitro. Aging Cell 2005, 4, 291–298. [Google Scholar] [CrossRef]
- Bavik, C.; Coleman, I.; Dean, J.P.; Knudsen, B.; Plymate, S.; Nelson, P.S. The Gene Expression Program of Prostate Fibroblast Senescence Modulates Neoplastic Epithelial Cell Proliferation through Paracrine Mechanisms. Cancer Res. 2006, 66, 794–802. [Google Scholar] [CrossRef]
- Kramer, G.; Marberger, M. Could Inflammation Be a Key Component in the Progression of Benign Prostatic Hyperplasia? Curr. Opin. Urol. 2006, 16, 25–29. [Google Scholar] [CrossRef] [PubMed]
- Kramer, G.; Mitteregger, D.; Marberger, M. Is Benign Prostatic Hyperplasia (BPH) an Immune Inflammatory Disease? Eur. Urol. 2007, 51, 1202–1216. [Google Scholar] [CrossRef] [PubMed]
- Cao, D.; Sun, R.; Peng, L.; Li, J.; Huang, Y.; Chen, Z.; Chen, B.; Li, J.; Ai, J.; Yang, L.; et al. Immune Cell Proinflammatory Microenvironment and Androgen-Related Metabolic Regulation During Benign Prostatic Hyperplasia in Aging. Front. Immunol. 2022, 13, 842008. [Google Scholar] [CrossRef] [PubMed]
- Bostanci, Y.; Kazzazi, A.; Momtahen, S.; Laze, J.; Djavan, B. Correlation between Benign Prostatic Hyperplasia and Inflammation. Curr. Opin. Urol. 2013, 23, 5–10. [Google Scholar] [CrossRef] [PubMed]
- De Nunzio, C.; Presicce, F.; Tubaro, A. Inflammatory Mediators in the Development and Progression of Benign Prostatic Hyperplasia. Nat. Rev. Urol. 2016, 13, 613–626. [Google Scholar] [CrossRef] [PubMed]
- Mishra, V.C.; Allen, D.J.; Nicolaou, C.; Sharif, H.; Hudd, C.; Karim, O.M.A.; Motiwala, H.G.; Laniado, M.E. Does Intraprostatic Inflammation Have a Role in the Pathogenesis and Progression of Benign Prostatic Hyperplasia? BJU Int. 2007, 100, 327–331. [Google Scholar] [CrossRef] [PubMed]
- Qian, Q.; He, W.; Liu, D.; Yin, J.; Ye, L.; Chen, P.; Xu, D.; Liu, J.; Li, Y.; Zeng, G.; et al. M2a Macrophage Can Rescue Proliferation and Gene Expression of Benign Prostate Hyperplasia Epithelial and Stroma Cells from Insulin-like Growth Factor 1 Knockdown. Prostate 2021, 81, 530–542. [Google Scholar] [CrossRef] [PubMed]
- Robert, G.; Descazeaud, A.; Nicolaïew, N.; Terry, S.; Sirab, N.; Vacherot, F.; Maillé, P.; Allory, Y.; de la Taille, A. Inflammation in Benign Prostatic Hyperplasia: A 282 Patients’ Immunohistochemical Analysis. Prostate 2009, 69, 1774–1780. [Google Scholar] [CrossRef]
- Torkko, K.C.; Wilson, R.S.; Smith, E.E.; Kusek, J.W.; van Bokhoven, A.; Lucia, M.S. Prostate Biopsy Markers of Inflammation Are Associated with Risk of Clinical Progression of Benign Prostatic Hyperplasia: Findings from the MTOPS Study. J. Urol. 2015, 194, 454–461. [Google Scholar] [CrossRef]
- Nickel, J.C.; Roehrborn, C.G.; Castro-Santamaria, R.; Freedland, S.J.; Moreira, D.M. Chronic Prostate Inflammation Is Associated with Severity and Progression of Benign Prostatic Hyperplasia, Lower Urinary Tract Symptoms and Risk of Acute Urinary Retention. J. Urol. 2016, 196, 1493–1498. [Google Scholar] [CrossRef]
- Mukai, K.; Tsai, M.; Saito, H.; Galli, S.J. Mast Cells as Sources of Cytokines, Chemokines, and Growth Factors. Immunol. Rev. 2018, 282, 121–150. [Google Scholar] [CrossRef] [PubMed]
- Beghdadi, W.; Madjene, L.C.; Benhamou, M.; Charles, N.; Gautier, G.; Launay, P.; Blank, U. Mast Cells as Cellular Sensors in Inflammation and Immunity. Front. Immunol. 2011, 2, 37. [Google Scholar] [CrossRef] [PubMed]
- Ou, Z.; He, Y.; Qi, L.; Zu, X.; Wu, L.; Cao, Z.; Li, Y.; Liu, L.; Dube, D.A.; Wang, Z.; et al. Infiltrating Mast Cells Enhance Benign Prostatic Hyperplasia through IL-6/STAT3/Cyclin D1 Signals. Oncotarget 2017, 8, 59156–59164. [Google Scholar] [CrossRef] [PubMed]
- Pattabiraman, G.; Bell-Cohn, A.J.; Murphy, S.F.; Mazur, D.J.; Schaeffer, A.J.; Thumbikat, P. Mast Cell Function in Prostate Inflammation, Fibrosis, and Smooth Muscle Cell Dysfunction. Am. J. Physiol. Renal Physiol. 2021, 321, F466–F479. [Google Scholar] [CrossRef] [PubMed]
- Funahashi, Y.; O’Malley, K.J.; Kawamorita, N.; Tyagi, P.; DeFranco, D.B.; Takahashi, R.; Gotoh, M.; Wang, Z.; Yoshimura, N. Upregulation of Androgen-Responsive Genes and Transforming Growth Factor-Β1 Cascade Genes in a Rat Model of Non-Bacterial Prostatic Inflammation. Prostate 2014, 74, 337–345. [Google Scholar] [CrossRef]
- Hamakawa, T.; Sasaki, S.; Shibata, Y.; Imura, M.; Kubota, Y.; Kojima, Y.; Kohri, K. Interleukin-18 May Lead to Benign Prostatic Hyperplasia via Thrombospondin-1 Production in Prostatic Smooth Muscle Cells. Prostate 2014, 74, 590–601. [Google Scholar] [CrossRef]
- Kashyap, M.; Pore, S.; Wang, Z.; Gingrich, J.; Yoshimura, N.; Tyagi, P. Inflammasomes Are Important Mediators of Prostatic Inflammation Associated with BPH. J. Inflamm. 2015, 12, 37. [Google Scholar] [CrossRef] [PubMed]
- Deng, Z.; Lu, L.; Li, B.; Shi, X.; Jin, H.; Hu, W. The Roles of Inflammasomes in Cancer. Front. Immunol. 2023, 14, 1195572. [Google Scholar] [CrossRef] [PubMed]
- Tengesdal, I.W.; Dinarello, C.A.; Marchetti, C. NLRP3 and Cancer: Pathogenesis and Therapeutic Opportunities. Pharmacol. Ther. 2023, 251, 108545. [Google Scholar] [CrossRef]
- Bauman, T.M.; Nicholson, T.M.; Abler, L.L.; Eliceiri, K.W.; Huang, W.; Vezina, C.M.; Ricke, W.A. Characterization of Fibrillar Collagens and Extracellular Matrix of Glandular Benign Prostatic Hyperplasia Nodules. PLoS ONE 2014, 9, e109102. [Google Scholar] [CrossRef]
- Luo, L.; Zhang, W.; You, S.; Cui, X.; Tu, H.; Yi, Q.; Wu, J.; Liu, O. The Role of Epithelial Cells in Fibrosis: Mechanisms and Treatment. Pharmacol. Res. 2024, 202, 107144. [Google Scholar] [CrossRef]
- Alonso-Magdalena, P.; Brössner, C.; Reiner, A.; Cheng, G.; Sugiyama, N.; Warner, M.; Gustafsson, J.-A. A Role for Epithelial-Mesenchymal Transition in the Etiology of Benign Prostatic Hyperplasia. Proc. Natl. Acad. Sci. USA 2009, 106, 2859–2863. [Google Scholar] [CrossRef]
- Xu, D.; Chen, P.; Xiao, H.; Wang, X.; DiSanto, M.E.; Zhang, X. Upregulated Interleukin 21 Receptor Enhances Proliferation and Epithelial-Mesenchymal Transition Process in Benign Prostatic Hyperplasia. Front. Endocrinol. 2019, 10, 4. [Google Scholar] [CrossRef]
- Fraga, C.H.; True, L.D.; Kirk, D. Enhanced Expression of the Mesenchymal Marker, Vimentin, in Hyperplastic versus Normal Human Prostatic Epithelium. J. Urol. 1998, 159, 270–274. [Google Scholar] [CrossRef] [PubMed]
- Hu, S.; Yu, W.; Lv, T.-J.; Chang, C.-S.; Li, X.; Jin, J. Evidence of TGF-Β1 Mediated Epithelial-Mesenchymal Transition in Immortalized Benign Prostatic Hyperplasia Cells. Mol. Membr. Biol. 2014, 31, 103–110. [Google Scholar] [CrossRef] [PubMed]
- He, Y.; Ou, Z.; Chen, X.; Zu, X.; Liu, L.; Li, Y.; Cao, Z.; Chen, M.; Chen, Z.; Chen, H.; et al. LPS/TLR4 Signaling Enhances TGF-β Response Through Downregulating BAMBI During Prostatic Hyperplasia. Sci. Rep. 2016, 6, 27051. [Google Scholar] [CrossRef]
- Slabáková, E.; Pernicová, Z.; Slavíčková, E.; Staršíchová, A.; Kozubík, A.; Souček, K. TGF-Β1-Induced EMT of Non-Transformed Prostate Hyperplasia Cells Is Characterized by Early Induction of SNAI2/Slug. Prostate 2011, 71, 1332–1343. [Google Scholar] [CrossRef]
- Tong, S.; Mo, M.; Hu, X.; Wu, L.; Chen, M.; Zhao, C. MIR663AHG as a Competitive Endogenous RNA Regulating TGF-β-Induced Epithelial Proliferation and Epithelial-Mesenchymal Transition in Benign Prostate Hyperplasia. J. Biochem. Mol. Toxicol. 2023, 37, e23391. [Google Scholar] [CrossRef] [PubMed]
- Ding, L.; Dolgachev, V.; Wu, Z.; Liu, T.; Nakashima, T.; Wu, Z.; Ullenbruch, M.; Lukacs, N.W.; Chen, Z.; Phan, S.H. Essential Role of Stem Cell Factor-c-Kit Signalling Pathway in Bleomycin-Induced Pulmonary Fibrosis. J. Pathol. 2013, 230, 205–214. [Google Scholar] [CrossRef]
- Rojas, A.; Zhang, P.; Wang, Y.; Foo, W.C.; Muñoz, N.M.; Xiao, L.; Wang, J.; Gores, G.J.; Hung, M.-C.; Blechacz, B. A Positive TGF-β/c-KIT Feedback Loop Drives Tumor Progression in Advanced Primary Liver Cancer. Neoplasia 2016, 18, 371–386. [Google Scholar] [CrossRef]
- Oh, A.; Pardo, M.; Rodriguez, A.; Yu, C.; Nguyen, L.; Liang, O.; Chorzalska, A.; Dubielecka, P.M. NF-κB Signaling in Neoplastic Transition from Epithelial to Mesenchymal Phenotype. Cell Commun. Signal 2023, 21, 291. [Google Scholar] [CrossRef] [PubMed]
- Abaurrea, A.; Araujo, A.M.; Caffarel, M.M. The Role of the IL-6 Cytokine Family in Epithelial-Mesenchymal Plasticity in Cancer Progression. Int. J. Mol. Sci. 2021, 22, 8334. [Google Scholar] [CrossRef] [PubMed]
- Yang, H.; Youm, Y.-H.; Dixit, V.D. Inhibition of Thymic Adipogenesis by Caloric Restriction Is Coupled with Reduction in Age-Related Thymic Involution. J. Immunol. 2009, 183, 3040–3052. [Google Scholar] [CrossRef]
- Lenzi, A.; Balercia, G.; Bellastella, A.; Colao, A.; Fabbri, A.; Foresta, C.; Galdiero, M.; Gandini, L.; Krausz, C.; Lombardi, G.; et al. Epidemiology, Diagnosis, and Treatment of Male Hypogonadotropic Hypogonadism. J. Endocrinol. Investig. 2009, 32, 934–938. [Google Scholar] [CrossRef]
- Sasagawa, I.; Nakada, T.; Kazama, T.; Satomi, S.; Terada, T.; Katayama, T. Volume Change of the Prostate and Seminal Vesicles in Male Hypogonadism after Androgen Replacement Therapy. Int. Urol. Nephrol. 1990, 22, 279–284. [Google Scholar] [CrossRef] [PubMed]
- McConnell, J.D.; Bruskewitz, R.; Walsh, P.; Andriole, G.; Lieber, M.; Holtgrewe, H.L.; Albertsen, P.; Roehrborn, C.G.; Nickel, J.C.; Wang, D.Z.; et al. The Effect of Finasteride on the Risk of Acute Urinary Retention and the Need for Surgical Treatment among Men with Benign Prostatic Hyperplasia. Finasteride Long-Term Efficacy and Safety Study Group. N. Engl. J. Med. 1998, 338, 557–563. [Google Scholar] [CrossRef] [PubMed]
- Roehrborn, C.G.; Boyle, P.; Nickel, J.C.; Hoefner, K.; Andriole, G. ARIA3001 ARIA3002 and ARIA3003 Study Investigators Efficacy and Safety of a Dual Inhibitor of 5-Alpha-Reductase Types 1 and 2 (Dutasteride) in Men with Benign Prostatic Hyperplasia. Urology 2002, 60, 434–441. [Google Scholar] [CrossRef] [PubMed]
- Yu, S.; Zhang, C.; Lin, C.-C.; Niu, Y.; Lai, K.-P.; Chang, H.; Yeh, S.-D.; Chang, C.; Yeh, S. Altered Prostate Epithelial Development and IGF-1 Signal in Mice Lacking the Androgen Receptor in Stromal Smooth Muscle Cells. Prostate 2011, 71, 517–524. [Google Scholar] [CrossRef] [PubMed]
- Xu, D.; Wang, X.; Jiang, C.; Ruan, Y.; Xia, S.; Wang, X. The Androgen Receptor Plays Different Roles in Macrophage-Induced Proliferation in Prostate Stromal Cells between Transitional and Peripheral Zones of Benign Prostatic Hypertrophy. EXCLI J. 2017, 16, 939–948. [Google Scholar] [CrossRef]
- Wang, X.; Lin, W.-J.; Izumi, K.; Jiang, Q.; Lai, K.-P.; Xu, D.; Fang, L.-Y.; Lu, T.; Li, L.; Xia, S.; et al. Increased Infiltrated Macrophages in Benign Prostatic Hyperplasia (BPH): Role of Stromal Androgen Receptor in Macrophage-Induced Prostate Stromal Cell Proliferation. J. Biol. Chem. 2012, 287, 18376–18385. [Google Scholar] [CrossRef]
- Lu, T.; Lin, W.-J.; Izumi, K.; Wang, X.; Xu, D.; Fang, L.-Y.; Li, L.; Jiang, Q.; Jin, J.; Chang, C. Targeting Androgen Receptor to Suppress Macrophage-Induced EMT and Benign Prostatic Hyperplasia (BPH) Development. Mol. Endocrinol. 2012, 26, 1707–1715. [Google Scholar] [CrossRef]
- Gangkak, G.; Bhattar, R.; Mittal, A.; Yadav, S.S.; Tomar, V.; Yadav, A.; Mehta, J. Immunohistochemical Analysis of Estrogen Receptors in Prostate and Clinical Correlation in Men with Benign Prostatic Hyperplasia. Investig. Clin. Urol. 2017, 58, 117–126. [Google Scholar] [CrossRef] [PubMed]
- Chen, B.; Cao, D.; Chen, Z.; Huang, Y.; Lin, T.; Ai, J.; Liu, L.; Wei, Q. Estrogen Regulates the Proliferation and Inflammatory Expression of Primary Stromal Cell in Benign Prostatic Hyperplasia. Transl. Androl. Urol. 2020, 9, 322–331. [Google Scholar] [CrossRef]
- Minciullo, P.L.; Inferrera, A.; Navarra, M.; Calapai, G.; Magno, C.; Gangemi, S. Oxidative Stress in Benign Prostatic Hyperplasia: A Systematic Review. Urol. Int. 2015, 94, 249–254. [Google Scholar] [CrossRef]
- Udensi, U.K.; Tchounwou, P.B. Oxidative Stress in Prostate Hyperplasia and Carcinogenesis. J. Exp. Clin. Cancer Res. 2016, 35, 139. [Google Scholar] [CrossRef]
- Olinski, R.; Zastawny, T.H.; Foksinski, M.; Barecki, A.; Dizdaroglu, M. DNA Base Modifications and Antioxidant Enzyme Activities in Human Benign Prostatic Hyperplasia. Free Radic. Biol. Med. 1995, 18, 807–813. [Google Scholar] [CrossRef] [PubMed]
- Giacomello, E.; Toniolo, L. The Potential of Calorie Restriction and Calorie Restriction Mimetics in Delaying Aging: Focus on Experimental Models. Nutrients 2021, 13, 2346. [Google Scholar] [CrossRef]
- Cui, H.; Kong, Y.; Zhang, H. Oxidative Stress, Mitochondrial Dysfunction, and Aging. J. Signal Transduct. 2012, 2012, 646354. [Google Scholar] [CrossRef] [PubMed]
- La Russa, D.; Barberio, L.; Marrone, A.; Perri, A.; Pellegrino, D. Caloric Restriction Mitigates Kidney Fibrosis in an Aged and Obese Rat Model. Antioxidants 2023, 12, 1778. [Google Scholar] [CrossRef]
- Mura, C.V.; Gong, X.; Taylor, A.; Villalobos-Molina, R.; Scrofano, M.M. Effects of Calorie Restriction and Aging on the Expression of Antioxidant Enzymes and Ubiquitin in the Liver of Emory Mice. Mech. Ageing Dev. 1996, 91, 115–129. [Google Scholar] [CrossRef]
- Scordino, M.; Frinchi, M.; Urone, G.; Nuzzo, D.; Mudò, G.; Di Liberto, V. Manipulation of HSP70-SOD1 Expression Modulates SH-SY5Y Differentiation and Susceptibility to Oxidative Stress-Dependent Cell Damage: Involvement in Oxotremorine-M-Mediated Neuroprotective Effects. Antioxidants 2023, 12, 687. [Google Scholar] [CrossRef] [PubMed]
- Zhang, H.; Gong, W.; Wu, S.; Perrett, S. Hsp70 in Redox Homeostasis. Cells 2022, 11, 829. [Google Scholar] [CrossRef] [PubMed]
- Watanabe, S.; Ageta-Ishihara, N.; Nagatsu, S.; Takao, K.; Komine, O.; Endo, F.; Miyakawa, T.; Misawa, H.; Takahashi, R.; Kinoshita, M.; et al. SIRT1 Overexpression Ameliorates a Mouse Model of SOD1-Linked Amyotrophic Lateral Sclerosis via HSF1/HSP70i Chaperone System. Mol. Brain 2014, 7, 62. [Google Scholar] [CrossRef] [PubMed]
- Perri, A.; Rago, V.; Malivindi, R.; Maltese, L.; Lofaro, D.; Greco, E.A.; Tucci, L.; Bonofiglio, R.; Vergine, M.; La Vignera, S.; et al. Overexpression of p75NTR in Human Seminoma: A New Biomarker? Life 2021, 11, 629. [Google Scholar] [CrossRef]







| Marker | Normal Diet | Caloric Restriction |
|---|---|---|
| CD44 | 2.00 (1.25–2.00) | 0.00 (0.00–0.75) * |
| CD11c | 4.00 (3.25–4.00) | 1.50 (1.00–2.00) * |
| CD34 | 3.00 (2.25–3.00) | 0.50 (0.00–1.00) * |
| YM1 | 1.50 (1.00–2.00) | 0.00 (0.00–0.75) * |
| c-Kit | 3.00 (3.00–3.00) | 0.00 (0.00–0.75) * |
| Ki-67 | 2.50 (2.00–3.00) | 1.00 (0.25–1.00) * |
| NLRP3 | 3.00 (3.00–3.00) | 0.50 (0.00–1.00) * |
| Caspase-1 | 3.00 (3.00–3.75) | 1.00 (1.00–1.00) * |
| IL-1β | 3.00 (3.00–3.00) | 1.00 (0.25–1.00) * |
| NFKB | 2.00 (2.00–2.75) | 0.00 (0.00–0.75) * |
| α SMA | 4.00 (4.00–4.00) | 2.00 (2.00–2.00) * |
| Vimentin | 2.00 (2.00–2.75) | 1.00 (1.00–1.75) * |
| TGFβ1 | 1.50 (1.00–2.00) | 0.00 (0.00–0.75) * |
Disclaimer/Publisher’s Note: The statements, opinions and data contained in all publications are solely those of the individual author(s) and contributor(s) and not of MDPI and/or the editor(s). MDPI and/or the editor(s) disclaim responsibility for any injury to people or property resulting from any ideas, methods, instructions or products referred to in the content. |
© 2024 by the authors. Licensee MDPI, Basel, Switzerland. This article is an open access article distributed under the terms and conditions of the Creative Commons Attribution (CC BY) license (https://creativecommons.org/licenses/by/4.0/).
Share and Cite
Rago, V.; Conforti, F.; La Russa, D.; Antonucci, G.; Urlandini, L.; Lofaro, D.; Bossio, S.; Mandalà, M.; Pellegrino, D.; Aversa, A.; et al. The Effects of Caloric Restriction on Inflammatory Targets in the Prostates of Aged Rats. Int. J. Mol. Sci. 2024, 25, 5236. https://doi.org/10.3390/ijms25105236
Rago V, Conforti F, La Russa D, Antonucci G, Urlandini L, Lofaro D, Bossio S, Mandalà M, Pellegrino D, Aversa A, et al. The Effects of Caloric Restriction on Inflammatory Targets in the Prostates of Aged Rats. International Journal of Molecular Sciences. 2024; 25(10):5236. https://doi.org/10.3390/ijms25105236
Chicago/Turabian StyleRago, Vittoria, Francesco Conforti, Daniele La Russa, Gemma Antonucci, Lidia Urlandini, Danilo Lofaro, Sabrina Bossio, Maurizio Mandalà, Daniela Pellegrino, Antonio Aversa, and et al. 2024. "The Effects of Caloric Restriction on Inflammatory Targets in the Prostates of Aged Rats" International Journal of Molecular Sciences 25, no. 10: 5236. https://doi.org/10.3390/ijms25105236
APA StyleRago, V., Conforti, F., La Russa, D., Antonucci, G., Urlandini, L., Lofaro, D., Bossio, S., Mandalà, M., Pellegrino, D., Aversa, A., Di Agostino, S., & Perri, A. (2024). The Effects of Caloric Restriction on Inflammatory Targets in the Prostates of Aged Rats. International Journal of Molecular Sciences, 25(10), 5236. https://doi.org/10.3390/ijms25105236

