In Vitro and In Vivo Studies of Antibacterial Coatings on Titanium Alloy Implants for Veterinary Application
Abstract
1. Introduction
2. Results
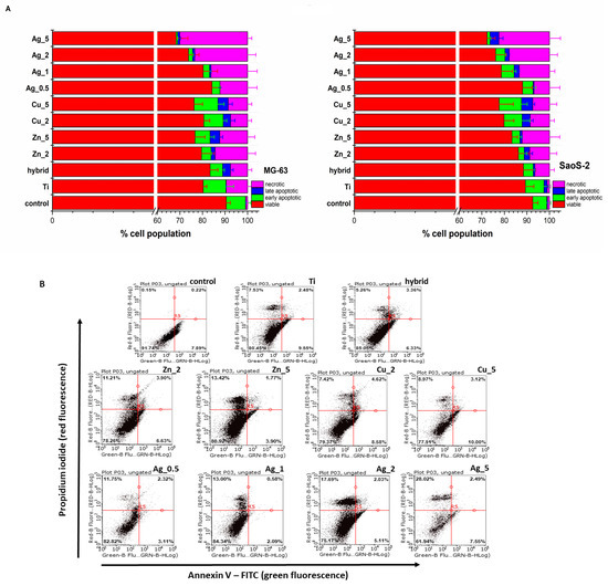
2.1. In Vitro Examinations
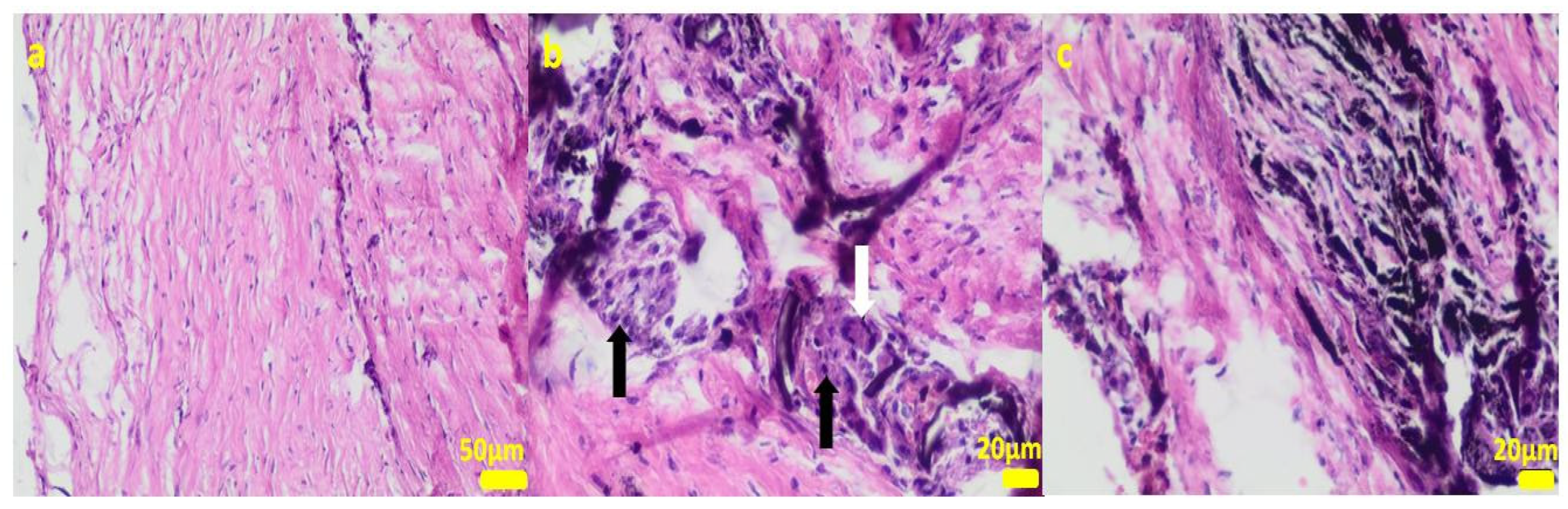
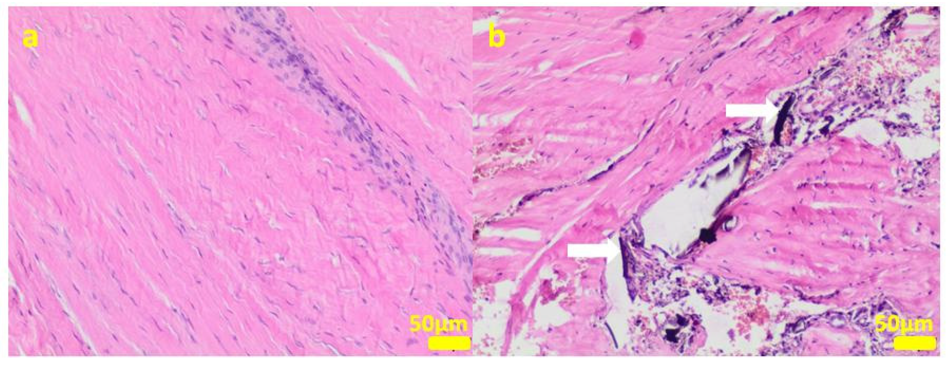
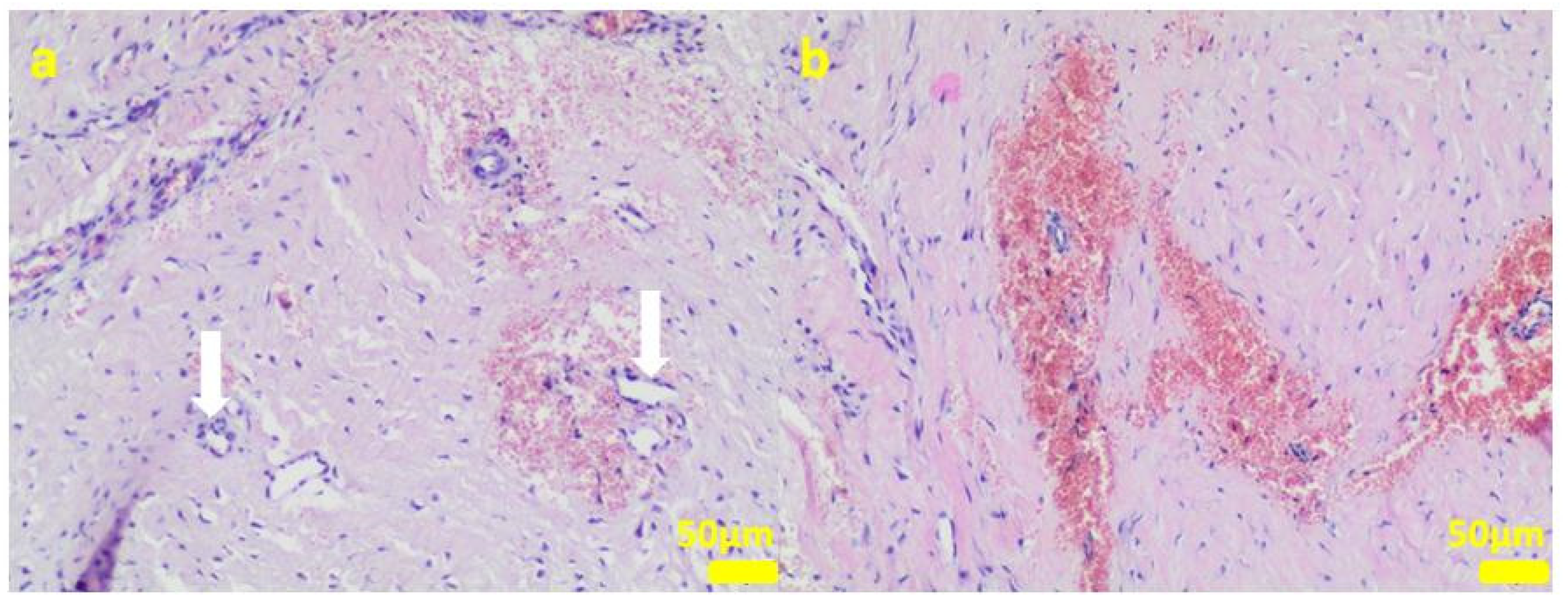
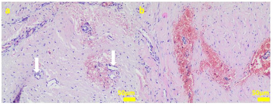
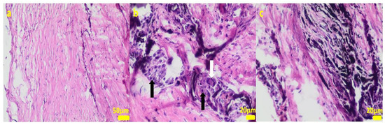
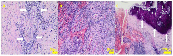
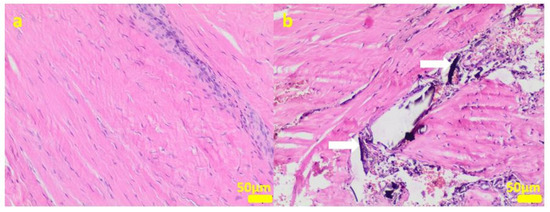
2.2. In Vivo Study
3. Discussion
4. Materials and Methods
4.1. Material Manufacturing
4.2. Methods of Examinations
In Vitro Bactericidal Efficacy Tests
4.3. Cell Cultures
4.4. Cell Viability Assay
4.5. Cell Death Assay via Flow Cytometry
4.6. Cell Attachment and Growth Assay via Scanning Electron Microscopy (SEM)
4.7. Ion Concentration Release Test
4.8. Tibial Plateau Leveling Osteotomy (TPLO)
4.9. Radiological Examinations
4.10. Bacteriological Examination
4.11. Histopathological Examination
4.12. The Animal’s Owner’s Informed Consent form for Conducting In Vivo Research
- The vet is free to choose the methods of diagnosis, treatment, and prevention if it does not oppose the general rules;
- The vets use, in their workplace, scientifically recognized methods of diagnosis and toxicity;
- The vet should limit their activities only to those necessary. This rule does not apply to experiments;
- In the event of the application of new, unproven methods of treatment, the vet should inform the animals’ owner and gain their permission for the treatment.
| Statement: the owner/guardian of the animal consent to perform medical and veterinary treatment | |
| Owner or Guardian Details | |
| Surname and name: | |
| Designation and ID number identity: | |
| Address: | |
| Telephone number or other contact: | |
| Description of an animal with the name: | |
| Species: | |
| Race: | |
| Sex: | |
| Age: | |
| Ointment: | |
| Ointment: | |
| I, the undersigned, after having received comprehensive and exhaustive information, including the possibility of asking the questions, hereby fully consciously and irrevocably consent to the application of the above-mentioned anesthesia and to perform the treatments listed above, including any other necessary treatment. | |
| I have been informed that the anesthesia and the procedures performed involve a risk to life and health of the animal. | |
| I declare that I have complied with the fasting recommended for the animal, and after the procedure I undertake to care for it in accordance with the guidelines given to me that are understandable to me. | |
| Signature | Signature |
| (Animal owner/guardian) | (Veterinarian) |
5. Conclusions
Author Contributions
Funding
Institutional Review Board Statement
Informed Consent Statement
Data Availability Statement
Acknowledgments
Conflicts of Interest
References
- Böddeker, J.; Drüen, S.; Meyer-Lindenberg, A.; Fehr, M.; Nolte, I.; Wefstaedt, P. Computer-assisted gait analysis of the dog: Comparison of two surgical techniques for the ruptured cranial cruciate ligament. Vet. Comp. Orthop. Traumatol. 2012, 25, 11–21. [Google Scholar] [CrossRef] [PubMed]
- Macrì, F.; Cicero, L.; Angileri, V.; Biondi, V.; Miele, P.; Scaletta, L.; Costa, G.L.; Cassata, G.; Di Pietro, S. Locking compression plates versus locking plates for tibial plateau levelling osteotomy in dogs: Progression of osteoarthritis, bone healing score and lameness degree. BMC Vet. Res. 2021, 17, 193. [Google Scholar] [CrossRef] [PubMed]
- David, F.H.; Grierson, J.; Lamb, C.R. Effects of surgical implants on high-field magnetic resonance images of the normal canine stifle. Vet. Radiol. Ultrasound 2012, 53, 280–288. [Google Scholar] [CrossRef] [PubMed]
- Evans, E.J.; Thomas, L.T. The in vitro toxicity of cobalt-chrome-molybdenum alloy and its constituent metals. Biomaterials 1986, 7, 25–29. [Google Scholar] [CrossRef] [PubMed]
- Boudrieau, R.J.; McCarthy, R.J.; Sprecher, C.M.; Künzler, T.P.; Keating, J.H.; Milz, S. Material properties of and tissue reaction to the Slocum TPLO plate. Am. J. Vet. Res. 2006, 67, 1258–1265. [Google Scholar] [CrossRef]
- Solano, M.A.; Danielski, A.; Kovach, K.; Fitzpatrick, N.; Farrell, M. Locking plate and screw fixation after tibial plateau leveling osteotomy reduces postoperative infection rate in dogs over 50 kg. Vet. Surg. 2015, 44, 59–64. [Google Scholar] [CrossRef]
- Pratesi, A.; Moores, A.P.; Downes, C.; Grierson, J.; Maddox, T.W. Efficacy of Postoperative Antimicrobial Use for Clean Orthopedic Implant Surgery in Dogs: A Prospective Randomized Study in 100 Consecutive Cases. Vet. Surg. 2015, 44, 653–660. [Google Scholar] [CrossRef]
- Nazarali, A.; Singh, A.; Moens, N.M.; Gatineau, M.; Sereda, C.; Fowler, D.; Kim, S.E.; Kisiel, A.; Reynolds, D.; Ringwood, B.R.; et al. Association between methicillin-resistant Staphylococcus pseudintermedius carriage and the development of surgical site infections following tibial plateau leveling osteotomy in dogs. J. Am. Vet. Med. Assoc. 2015, 247, 909–916. [Google Scholar] [CrossRef]
- Bleakley, S.; Palmer, R.; Miller, N.; McGilvray, K.; Tepic, S. Biomechanical Comparison of Tibial Plateau Leveling Osteotomy Performed with a Novel Titanium Alloy Locking Plate Construct vs. an Established Stainless-Steel Locking Plate Construct. Front. Vet. Sci. 2021, 8, 698159. [Google Scholar] [CrossRef]
- Ferraris, S.; Spriano, S. Antibacterial titanium surfaces for medical implants. Mater. Sci. Eng. C 2016, 61, 965–978. [Google Scholar] [CrossRef]
- Wan, Y.Z.; Raman, S.; He, F.; Huang, Y. Surface modification of medical metals by ionimplantation of silver and copper. Vacuum 2007, 81, 1114–1118. [Google Scholar] [CrossRef]
- Zhao, L.; Wang, H.; Huo, K.; Cui, L.; Zhang, W.; Ni, H.; Zhang, Y.; Wu, Z.; Chu, P.K. Antibacterial nano-structured titania coating incorporated with silver nanoparticles. Biomaterials 2011, 32, 5706–5716. [Google Scholar] [CrossRef] [PubMed]
- Djošić, M.; Janković, A.; Mišković-Stanković, V. Electrophoretic Deposition of Biocompatible and Bioactive Hydroxyapatite-Based Coatings on Titanium. Materials 2021, 14, 5391. [Google Scholar] [CrossRef]
- Aliofkhazraei, M.; Macdonald, D.D.; Matykina, E.; Parfenov, E.V.; Egorkin, V.S.; Curran, J.A.; Troughton, S.C.; Sinebryukhov, S.L.; Gnedenkov, S.V.; Lampke, T.; et al. Review of plasma electrolytic oxidation of titanium substrates: Mechanism, properties, applications and limitations. Appl. Surf. Sci. Adv. 2021, 5, 100121. [Google Scholar] [CrossRef]
- Gollwitzer, H.; Haenle, M.; Mittelmeier, W.; Heidenau, F.; Harrasser, N. A biocompatible sol-gel derived titania coating for medical implants with antibacterial modification by copper integration. AMB Express. 2018, 8, 24. [Google Scholar] [CrossRef] [PubMed]
- Stranak, V.; Wulff, H.; Rebl, H.; Zietz, C.; Arndt, K.; Bogdanowicz, R.; Nebe, B.; Bader, R.; Podbielski, A.; Hubicka, Z.; et al. Deposition of thin titanium–copper films with antimicrobial effect by advanced magnetron sputtering methods. Mater. Sci. Eng. C 2011, 31, 1512–1519. [Google Scholar] [CrossRef]
- Li, B.; Liu, X.; Meng, F.; Chang, J.; Ding, C. Preparation and antibacterial properties of plasma sprayed nano-titania/silver coatings. Mater. Chem. Phys. 2009, 118, 99–104. [Google Scholar] [CrossRef]
- Radin, S.; Ducheyne, P. Controlled release of vancomycin from thin sol-gel films on titanium alloy fracture plate material. Biomaterials 2007, 28, 1721–1729. [Google Scholar] [CrossRef]
- González, E.A.; Leiva, N.; Vejar, N.; Sancy, M.; Gulppi, M.; Azócar, M.; Gomez, G.; Tamayo, L.; Zhou, X.; Thompson, G.; et al. Sol–gel coatings doped with encapsulated silver nanoparticles: Inhibition of biocorrosion on 2024-T3 aluminum alloy promoted by Pseudomonas aeruginosa. J. Mater. Res. Technol. 2019, 8, 1809–1818. [Google Scholar] [CrossRef]
- Kyziol, K.; Rajczyk, J.; Wolski, K.; Kyziol, A.; Handke, B.; Kaczmarek, L.; Grzesik, Z. Dual-purpose surface functionalization of Ti-6Al-7Nb involving oxygen plasma treatment and Si-DLC or chitosan-based coatings. Mater. Sci. Eng. C 2021, 121, 111848. [Google Scholar] [CrossRef]
- Sarkeeva, A.A.; Kruglov, A.A.; Ya Lutfullin, R.; Gladkovskiy, S.V.; Zhilyaev, A.P.; Mulyukov, R.R. Characteristics of the mechanical behavior of Ti–6Al–4V multilayer laminate under impact loading. Compos. Part B Eng. 2020, 187, 107838. [Google Scholar] [CrossRef]
- Gaikwad, A.; Vázquez-Martínez, J.M.; Salguero, J.; Iglesias, P. Tribological Properties of Ti6Al4V Titanium Textured Surfaces Created by Laser: Effect of Dimple Density. Lubricants 2022, 10, 138. [Google Scholar] [CrossRef]
- Costa, B.C.; Tokuhara, C.K.; Rocha, L.A.; Oliveira, R.C.; Lisboa-Filho, P.N.; Pessoa, J.C. Vanadium ionic species from degradation of Ti-6Al-4V metallic implants: In vitro cytotoxicity and speciation evaluation. Mater. Sci. Eng. C 2019, 96, 730–739. [Google Scholar] [CrossRef] [PubMed]
- Korbecki, J.; Baranowska-Bosiacka, I.; Gutowska, I.; Chlubek, D. Vanadium Compounds as Pro-Inflammatory Agents: Effects on Cyclooxygenases. Int. J. Mol. Sci. 2015, 16, 12648–12668. [Google Scholar] [CrossRef] [PubMed]
- Ziąbka, M.; Matysiak, K.; Walczak, K.; Gajek, M.; Cholewa-Kowalska, K. Modification of TiAlV alloys with hybrid layers containing metallic nanoparticles obtained by the sol-gel method: Surface and structural properties. Int. J. Mol. Sci. 2022, 23, 2283. [Google Scholar] [CrossRef]
- Anderson, H.C.; Hsu, H.H.; Raval, P.; Hunt, T.R.; Schwappach, J.R.; Morris, D.C.; Schneider, D.J. The mechanism of bone induction and bone healing by human osteosarcoma cell extracts. Clin. Orthop. Relat. Res. 1995, 313, 129–134. [Google Scholar] [CrossRef]
- Cannella, V.; Altomare, R.; Chiaramonte, G.; Di Bella, S.; Mira, F.; Russotto, L.; Pisano, P.; Guercio, A. Cytotoxicity Evaluation of Endodontic Pins on L929 Cell Line. Biomed Res. Int. 2019, 2019, 3469525. [Google Scholar] [CrossRef] [PubMed]
- ISO 10993-5; Biological Evaluation of Medical Devices-Part 5: Tests for In Vitro Cytotoxicity. International Organization for Standardization: Geneve, Switzerland, 2009.
- Reif, U.; Dejardin, L.M.; Probst, C.W.; DeCamp, C.E.; Flo, G.L.; Johnson, A.L. Influence of limb positioning and measurement method on the magnitude of the tibial plateau angle. Vet. Surg. 2004, 33, 368–375. [Google Scholar] [CrossRef]
- Zare, E.; Pourseyedi, S.; Khatami, M.; Darezereshki, E. Simple biosynthesis of zinc oxide nanoparticles using nature’s source, and it’sinvitro bio-activity. J. Mol. Struct. 2017, 1146, 96–103. [Google Scholar] [CrossRef]
- Bala, N.; Saha, S.; Chakraborty, M.; Maiti, M.; Das, S.; Basu, R.; Nandy, P. Green synthesis of zinc oxide nanoparticles using Hibiscus subdariffa leaf extract: Effect of temperature on synthesis, anti-bacterial activity and anti-diabetic activity. RSC Adv. 2015, 5, 4993–5003. [Google Scholar] [CrossRef]
- Hoseinzadeh, E.; Alikhani, M.Y.; Samarghandi, M.R.; Shirzad-Siboni, M. Antimicrobial potential of synthesized zinc oxide nanoparticles against gram positive and gram negative bacteria. Desalination Water Treat. 2014, 52, 4969–4976. [Google Scholar] [CrossRef]
- Raj, A.; Lawrence, R.S.; Jalees, M.; Lawrence, K. Anti-bacterial activity of zinc oxide nanoparticles pre-paredfrom Brassica oleraceaeleaves extract. Int. J. Adv. Res. 2015, 3, 322–328. [Google Scholar]
- Ali, K.; Dwivedi, S.; Azam, A.; Saquib, Q.; Al-Said, M.S.; Alkhedhairy, A.A.; Musarrat, J. Aloe vera extract functionalized zinc oxide nanoparticles as nanoantibiotics against multi-drug resistant clinical bacterial isolates. J. Colloid Interface Sci. 2016, 472, 145–156. [Google Scholar] [CrossRef] [PubMed]
- Elumalai, K.; Velmurugan, S. Green synthesis, characterization and antimicrobial activities of zinc oxide nanoparticles from the leaf extract of Azadirachtaindica (L.). Appl. Surf. Sci. 2015, 345, 329–336. [Google Scholar] [CrossRef]
- Liu, Y.; He, L.; Mustapha, A.; Li, H.; Hu, Z.Q.; Lin, M. Antibacterial activities of zinc oxide nanoparticles against Escherichia coli O157:H7. J. Appl. Microbiol. 2009, 107, 1193–1201. [Google Scholar] [CrossRef] [PubMed]
- Crisan, M.C.; Teodora, M.; Lucian, M. Copper Nanoparticles: Synthesis and Characterization, Physiology, Toxicity and Antimicrobial Applications. Appl. Sci. 2022, 12, 141. [Google Scholar] [CrossRef]
- Ruparelia, J.P.; Chatterjee, A.K.; Duttagupta, S.P.; Mukherji, S. Strain specificity in antimicrobial activity of silver and copper nanoparticles. Acta Biomater. 2008, 4, 707–716. [Google Scholar] [CrossRef]
- Martínez, A.; Apip, C.; Meléndrez, M.F.; Domínguez, M.; Sánchez-Sanhueza, G.; Marzialetti, T.; Catalán, A. Dual antifungal activity against Candida albicans of copper metallic nanostructures and hierarchical copper oxide marigold-like nanostructures grown in situ in the culture medium. J. Appl. Microbiol. 2021, 130, 1883–1892. [Google Scholar] [CrossRef]
- Longano, D.; Ditaranto, N.; Sabbatini, L.; Torsi, L.; Cioffi, N. Synthesis and Antimicrobial Activity of Copper Nanomaterials. Nano-Antimicrobials 2011, 26, 85–117. [Google Scholar] [CrossRef]
- Sampath, M.; Vijayan, R.; Tamilarasu, E.; Tamilselvan, A.; Sengottuvelan, B. Greensynthesis of novel jasmine bud-shaped copper nanoparticles. J. Nanotechnol. 2014, 2014, 626523. [Google Scholar] [CrossRef]
- Chatterjee, T.; Chatterjee, B.K.; Majumdar, D.; Chakrabarti, P. Antibacterial effect of silver nanoparticles and the modeling of bacterial growth kinetics using a modified Gompertz model. Biochim. Biophys. Acta 2015, 1850, 299–306. [Google Scholar] [CrossRef] [PubMed]
- Panpaliya, N.P.; Dahake, P.T.; Kale, Y.J.; Dadpe, M.V.; Kendre, S.B.; Siddiqi, A.G.; Maggavi, U.R. In vitro evaluation of antimicrobial property of silver nanoparticles and chlorhexidine against five different oral pathogenic bacteria. Saudi Dent J. 2019, 31, 76–83. [Google Scholar] [CrossRef] [PubMed]
- Tang, S.; Zheng, J. Antibacterial Activity of Silver Nanoparticles: Structural Effects. Adv. Healthc. Mater. 2018, 7, e1701503. [Google Scholar] [CrossRef] [PubMed]
- Begum, A.N.; Aguilar, J.S.; Elias, L.; Hong, Y. Silver nanoparticles exhibit coating and dose-dependent neurotoxicity in glutamatergic neurons derived from human embryonic stem cells. Neurotoxicology 2016, 57, 45–53. [Google Scholar] [CrossRef]
- Skomorokhova, E.A.; Sankova, T.P.; Orlov, I.A.; Savelev, A.N.; Magazenkova, D.N.; Pliss, M.G.; Skvortsov, A.N.; Sosnin, I.M.; Kirilenko, D.A.; Grishchuk, I.V.; et al. Size-Dependent Bioactivity of Silver Nanoparticles: Antibacterial Properties, Influence on Copper Status in Mice, and Whole-Body Turnover. Nanotechnol. Sci. Appl. 2020, 13, 137–157. [Google Scholar] [CrossRef]
- Wang, L.; Periyasami, G.; Aldalbahi, A.; Fogliano, V. The antimicrobial activity of silver nanoparticles biocomposite films depends on the silver ions release behaviour. Food Chem. 2021, 359, 129859. [Google Scholar] [CrossRef]
- Xie, H.; Wang, P.; Wu, J. Effect of exposure of osteoblast-like cells to low-dose silver nanoparticles: Uptake, retention and osteogenic activity. Artif. Cells Nanomed. Biotechnol. 2019, 47, 260–267. [Google Scholar] [CrossRef]
- Zhang, T.; Wang, L.; Chen, Q.; Chen, C. Cytotoxic potential of silver nanoparticles. Yonsei Med. J. 2014, 55, 283–291. [Google Scholar] [CrossRef]
- Stoehr, L.C.; Gonzalez, E.; Stampfl, A.; Casals, E.; Duschl, A.; Puntes, V.; Oostingh, G.J. Shape matters: Effects of silver nanospheres and wires on human alveolar epithelial cells. Part FibreToxicol. 2011, 8, 36. [Google Scholar] [CrossRef]
- Vergara-Llanos, D.; Koning, T.; Pavicic, M.F.; Bello-Toledo, H.; Díaz-Gómez, A.; Jaramillo, A.; Melendrez-Castro, M.; Ehrenfeld, P.; Sánchez-Sanhueza, G. Antibacterial and cytotoxic evaluation of copper and zinc oxide nanoparticles as a potential disinfectant material of connections in implant provisional abutments: An in-vitro study. Arch. Oral Biol. 2021, 122, 105031. [Google Scholar] [CrossRef]
- Pati, R.; Das, I.; Mehta, R.K.; Sahu, R.; Sonawane, A. Zinc-Oxide Nanoparticles Exhibit Genotoxic, Clastogenic, Cytotoxic and Actin Depolymerization Effects by Inducing Oxidative Stress Responses in Macrophages and Adult Mice. Toxicol. Sci. 2016, 150, 454–472. [Google Scholar] [CrossRef] [PubMed]
- Ziąbka, M.; Menaszek, E.; Tarasiuk, J.; Wroński, S. Biocompatible Nanocomposite Implant with Silver Nanoparticles for Otology-In Vivo Evaluation. Nanomaterials 2018, 8, 764. [Google Scholar] [CrossRef] [PubMed]
- Hardes, J.; Streitburger, A.; Ahrens, H.; Nusselt, T.; Gebert, C.; Winkelmann, W.; Battmann, A.; Gosheger, G. The influence of elementary silver versus titanium on osteoblasts behaviour in vitro using human osteosarcoma cell lines. Sarcoma 2007, 2007, 26539. [Google Scholar] [CrossRef] [PubMed]
- Kramer, S.J.; Spadaro, J.A.; Webster, D.A. Antibacterial and osteoinductive properties of demineralized bone matrix treated with silver. Clin. Orthop. Relat. Res. 1981, 161, 154–162. [Google Scholar] [CrossRef]
- Kleszcz, K.; Hebda, M.; Kyziol, A.; Krawiec, H.; Kyziol, K. Towards prevention of biofilm formation: Ti6Al7Nb modified with nanocomposite layers of chitosan and Ag/Au nanoparticles. App. Surf. Sci. 2021, 557, 149795. [Google Scholar] [CrossRef]
- Kumar, S.S.D.; Rajendran, N.K.; Houreld, N.N.; Abrahamse, H. Recent advances on silver nanoparticle and biopolymer-based biomaterials for wound healing applications. Int. J. Biol. Macromol. 2018, 115, 165–175. [Google Scholar] [CrossRef]
- ASTM E 2180-07; Standard Test Method for Determining the Activity of Incorporated Antimicrobial Agent(s) In Polymeric or Hydrophobic Materials). ASTM International: West Conshohocken, PA, USA, 2012.
- Ziąbka, M.; Kiszka, J.; Trenczek-Zając, A.; Radecka, M.; Cholewa-Kowalska, K.; Bissenik, I.; Kyzioł, A.; Dziadek, M.; Niemiec, W.; Królicka, A. Antibacterial composite hybrid coatings of veterinary medical implants. Mater. Sci. Eng. C 2020, 112, 110968. [Google Scholar] [CrossRef]











| Sample | Staphylococcus aureus ATCC 25923 | Enterococcus faecalis ATCC 19433 | Escherichia coli ATCC 25922 | Pseudomonas aeruginosa ATCC 27853 | Candida albicans ATCC 90028 |
|---|---|---|---|---|---|
| Ti | 1.8 × 104 | 8 × 103 | 5.1 × 104 | 4.2 × 106 | 2.9 × 104 |
| hybrid | 1.4 × 104 | 4.5 × 103 | 2.2 × 104 | 1.5 × 106 | 1.8 × 104 |
| Ag_0.5 | 5 × 101 | 0 | 0 | 0 | 3.0 × 104 |
| Ag_1 | 0 | 0 | 0 | 0 | 1.3 × 104 |
| Ag_2 | 0 | 0 | 0 | 0 | 1.0 × 104 |
| Ag_5 | 0 | 0 | 0 | 0 | 1.6 × 103 |
| Cu_2 | 9.2 × 103 | 0 | 9.1 × 103 | 1.3 × 106 | 1.7 × 104 |
| Cu_5 | 2.6 × 103 | 0 | 0 | 1.7 × 102 | 1.8 × 103 |
| Zn_2 | 1.1 × 104 | 4.4 × 103 | 4.8 × 104 | 1.5 × 106 | 5 × 103 |
| Zn_5 | 6 × 101 | 4.3 × 103 | 3.2 × 104 | 1.4 × 106 | 2.8 × 102 |
| Sample Characteristic | Sample Nomenclature |
|---|---|
| Titanium alloy Ti-6Al-4V | Ti |
| Titanium alloy Ti-6Al-4V with a pure hybrid layer | Hybrid |
| Titanium alloy Ti-6Al-4V with a hybrid layer containing 0.5% of silver nanoparticles (AgNPs) | Ag_0.5 |
| Titanium alloy Ti-6Al-4V with a hybrid layer containing 1% of silver nanoparticles (AgNPs) | Ag_1 |
| Titanium alloy Ti-6Al-4V with a hybrid layer containing 2% of silver nanoparticles (AgNPs) | Ag_2 |
| Titanium alloy Ti-6Al-4V with a hybrid layer containing 5% of silver nanoparticles (AgNPs) | Ag_5 |
| Titanium alloy Ti-6Al-4V with a hybrid layer containing 2% of copper nanoparticles (CuNPs) | Cu_2 |
| Titanium alloy Ti-6Al-4V with a hybrid layer containing 5% of copper nanoparticles (CuNPs) | Cu_5 |
| Titanium alloy Ti-6Al-4V with a hybrid layer containing 2% of zinc nanoparticles (ZnNPs) | Zn_2 |
| Titanium alloy Ti-6Al-4V with a hybrid layer containing 5% of zinc nanoparticles (ZnNPs) | Zn_5 |
Disclaimer/Publisher’s Note: The statements, opinions and data contained in all publications are solely those of the individual author(s) and contributor(s) and not of MDPI and/or the editor(s). MDPI and/or the editor(s) disclaim responsibility for any injury to people or property resulting from any ideas, methods, instructions or products referred to in the content. |
© 2023 by the authors. Licensee MDPI, Basel, Switzerland. This article is an open access article distributed under the terms and conditions of the Creative Commons Attribution (CC BY) license (https://creativecommons.org/licenses/by/4.0/).
Share and Cite
Ziąbka, M.; Matysiak, K.; Cholewa-Kowalska, K.; Kyzioł, A.; Królicka, A.; Sapierzyński, R.; Januchta-Kurmin, M.; Bissenik, I. In Vitro and In Vivo Studies of Antibacterial Coatings on Titanium Alloy Implants for Veterinary Application. Int. J. Mol. Sci. 2023, 24, 8114. https://doi.org/10.3390/ijms24098114
Ziąbka M, Matysiak K, Cholewa-Kowalska K, Kyzioł A, Królicka A, Sapierzyński R, Januchta-Kurmin M, Bissenik I. In Vitro and In Vivo Studies of Antibacterial Coatings on Titanium Alloy Implants for Veterinary Application. International Journal of Molecular Sciences. 2023; 24(9):8114. https://doi.org/10.3390/ijms24098114
Chicago/Turabian StyleZiąbka, Magdalena, Katarzyna Matysiak, Katarzyna Cholewa-Kowalska, Agnieszka Kyzioł, Aleksandra Królicka, Rafał Sapierzyński, Monika Januchta-Kurmin, and Igor Bissenik. 2023. "In Vitro and In Vivo Studies of Antibacterial Coatings on Titanium Alloy Implants for Veterinary Application" International Journal of Molecular Sciences 24, no. 9: 8114. https://doi.org/10.3390/ijms24098114
APA StyleZiąbka, M., Matysiak, K., Cholewa-Kowalska, K., Kyzioł, A., Królicka, A., Sapierzyński, R., Januchta-Kurmin, M., & Bissenik, I. (2023). In Vitro and In Vivo Studies of Antibacterial Coatings on Titanium Alloy Implants for Veterinary Application. International Journal of Molecular Sciences, 24(9), 8114. https://doi.org/10.3390/ijms24098114

