Immunohistochemical Pattern of Histone H2A Variant Expression in an Experimental Model of Ischemia–Reperfusion-Induced Acute Kidney Injury
Abstract
1. Introduction
2. Results
2.1. Determining the Estimated Glomerular Filtaration Rate (eGFR)
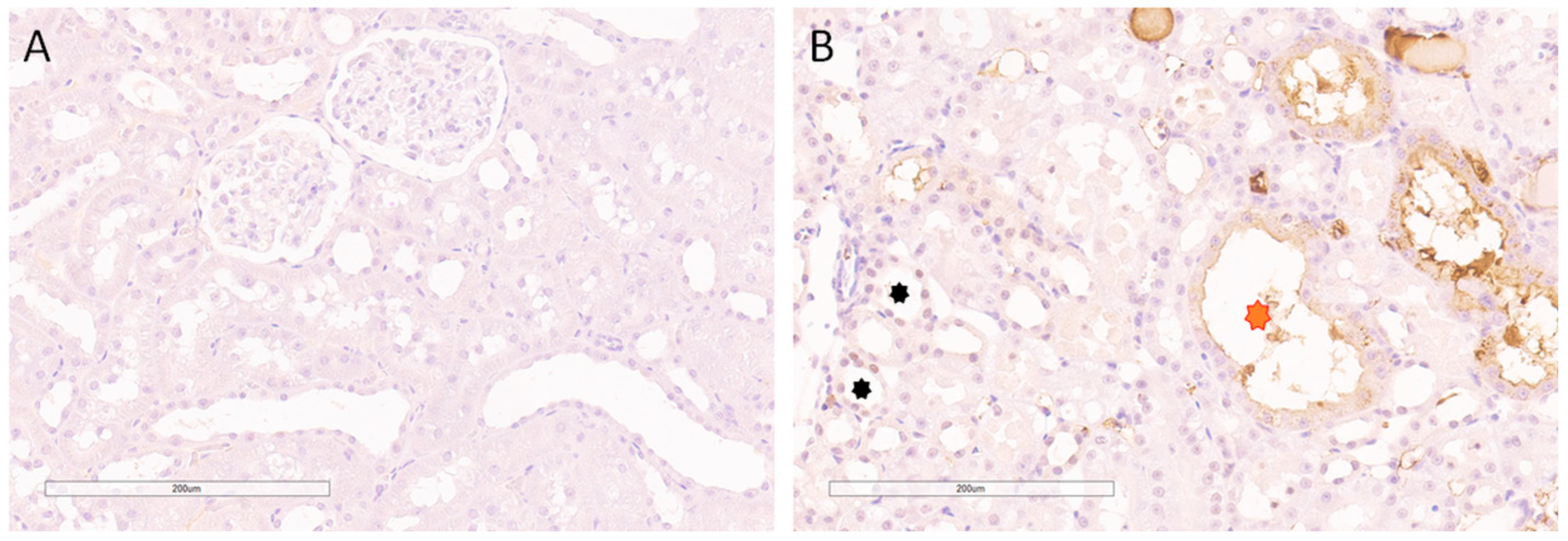
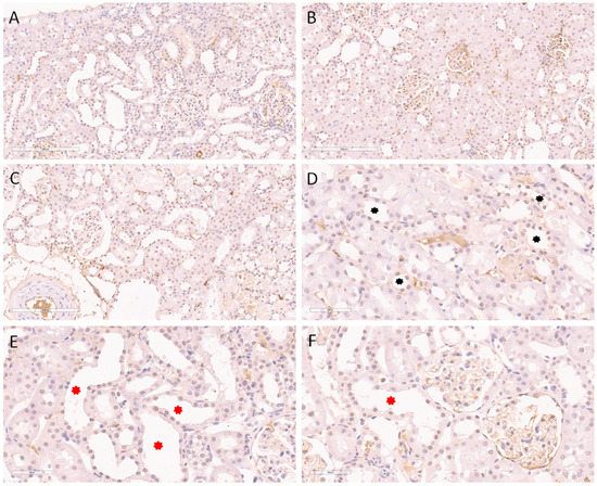
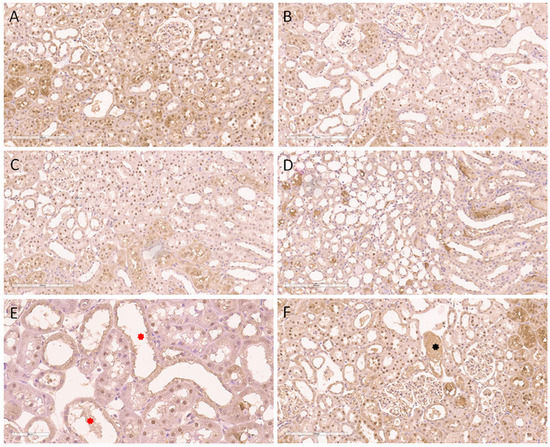
2.2. Immunohistochemical Nuclear Expression of Histone γH2AX(S139) in SHR Kidneys and during AKI
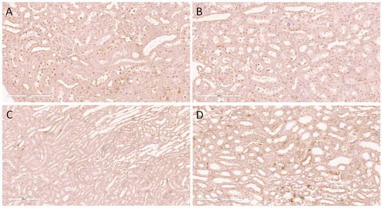
2.3. Immunohistochemical Nuclear Expression of Histone H2AXY142ph in Normal SHR Kidneys and during AKI
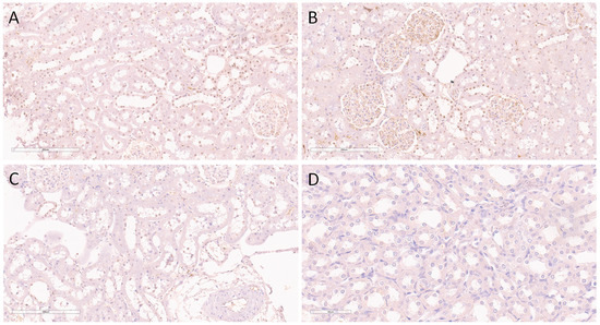
2.4. Immunohistochemical Nuclear Expression of Histone H2AX in Normal SHR Kidneys and during AKI
2.5. Immunohistochemical Nuclear Expression of Histone H2AZ in Normal SHR Kidneys and during AKI
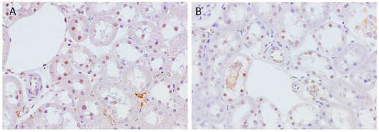
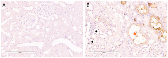
2.6. Negative Controls for Immunohistochemical Analyses in Investigated Animal Groups
3. Discussion
4. Materials and Methods
4.1. Ethics Statement
4.2. Animals
4.3. Experimental Design
4.4. Estimated Glomerular Filtaration Rate (eGFR)
4.5. Immunochistochemical Analysis
4.6. Statistical Analysis
5. Conclusions
Supplementary Materials
Author Contributions
Funding
Institutional Review Board Statement
Informed Consent Statement
Data Availability Statement
Conflicts of Interest
References
- Makris, K.; Spanou, L. Acute Kidney Injury: Definition, Pathophysiology and Clinical Phenotypes. Clin. Biochem. Rev. 2016, 37, 85–98. [Google Scholar] [PubMed]
- Hoste, E.A.; Schurgers, M. Epidemiology of acute kidney injury: How big is the problem? Crit. Care Med. 2008, 36, S146–S151. [Google Scholar] [CrossRef] [PubMed]
- Chertow, G.M.; Burdick, E.; Honour, M.; Bonventre, J.V.; Bates, D.W. Acute kidney injury, mortality, length of stay, and costs in hospitalized patients. J. Am. Soc. Nephrol. 2005, 16, 3365–3370. [Google Scholar] [CrossRef] [PubMed]
- Ishani, A.; Xue, J.L.; Himmelfarb, J.; Eggers, P.W.; Kimmel, P.L.; Molitoris, B.A.; Collins, A.J. Acute kidney injury increases risk of ESRD among elderly. J. Am. Soc. Nephrol. 2009, 20, 223–228. [Google Scholar] [CrossRef]
- Levy, E.M.; Viscoli, C.M.; Horwitz, R.I. The effect of acute renal failure on mortality. A cohort analysis. JAMA 1996, 275, 1489–1494. [Google Scholar] [CrossRef]
- Dylewska, M.; Chomicka, I.; Malyszko, J. Hypertension in patients with acute kidney injury. Wiad. Lek. 2019, 72, 2199–2201. [Google Scholar] [CrossRef]
- Bonventre, J.V. Pathophysiology of acute kidney injury: Roles of potential inhibitors of inflammation. Contrib. Nephrol. 2007, 156, 39–46. [Google Scholar]
- Basile, D.P.; Anderson, M.D.; Sutton, T.A. Pathophysiology of acute kidney injury. Compr. Physiol. 2012, 2, 1303–1353. [Google Scholar] [CrossRef]
- Pressly, J.D.; Park, F. DNA repair in ischemic acute kidney injury. Am. J. Physiol. Renal Physiol. 2017, 213, F551–F555. [Google Scholar] [CrossRef]
- Oberdoerffer, P.; Miller, K.M. Histone H2A variants: Diversifying chromatin to ensure to genome integrity. Semin. Cell Dev. Biol. 2023, 135, 59–72. [Google Scholar] [CrossRef]
- Ding, H.; Zhang, L.; Yang, Q.; Zhang, X.; Li, X. Epigenetics in kidney diseases. Adv. Clin. Chem. 2021, 104, 233–297. [Google Scholar] [PubMed]
- Luger, K.; Mader, A.W.; Richmond, R.K.; Sargent, D.F.; Richmond, T.J. Crystal structure of the nucleosome core particle at 2.8 A resolution. Nature 1997, 389, 251–260. [Google Scholar] [CrossRef] [PubMed]
- Bonisch, C.; Hake, S.B. Histone H2A variants in nucleosomes and chromatin: More or less stable? Nucleic Acids Res. 2012, 40, 10719–10741. [Google Scholar] [CrossRef] [PubMed]
- Binda, O.; Sevilla, A.; LeRoy, G.; Lemischka, I.R.; Garcia, B.A.; Richard, S. SETD6 mono-methylates H2AZ on lysine 7 and is required for the maintenance of embryonic stem cell self-renewal. Epigenetics 2013, 8, 177–183. [Google Scholar] [CrossRef] [PubMed]
- Fernandez-Capetillo, O.; Lee, A.; Nussenzweig, M.; Nussenzweig, A. H2AX: The histone guardian of the genome. DNA Repair 2004, 3, 959–967. [Google Scholar] [CrossRef]
- Rogakou, E.P.; Pilch, D.R.; Orr, A.H.; Ivanova, V.S.; Bonner, W.M. DNA double-stranded breaks induce histone H2AX phosphorylation on serine 139. J. Biol. Chem. 1998, 273, 5858–5868. [Google Scholar] [CrossRef]
- Kuo, L.J.; Yang, L.X. γH2AX—A novel biomarker for DNA for DNA double-strand breaks. In Vivo 2008, 22, 305–310. [Google Scholar]
- Dickey, J.S.; Redon, C.E.; Nakamura, A.J.; Baird, B.J.; Sedelnikova, O.A.; Bonner, W.M. H2AX: Functional roles and potential applications. Chromosoma 2009, 118, 683–692. [Google Scholar] [CrossRef]
- Halicka, H.D.; Ozkaynak, M.F.; Levendoglu-Tugal, O.; Sandoval, C.; Seiter, K.; Kajstura, M.; Traganos, F.; Jayabose, S.; Darzynkiewiecz, Z. DNA damage response as a biomarker in treatment of leukemias. Cell Cycle 2009, 8, 1720–1724. [Google Scholar] [CrossRef]
- Kao, J.; Milano, M.T.; Javaheri, A.; Garofalo, M.C.; Chmura, S.J.; Weichselbaum, R.R.; Kron, S.J. Gamma-H2AX as a therapeutic target for improving the efficacy of radiation therapy. Curr. Cancer Drug Targets 2006, 6, 197–205. [Google Scholar] [CrossRef]
- Kuefner, M.A.; Grudzenski, S.; Schwab, S.A.; Wiederseiner, M.; Heckmann, M.; Bautz, W.; Lobrich, M.; Uder, M. DNA double-strand breaks and their repair in blood lymphocytes of patients undergoing angiographic procedures. Investig. Radiol. 2009, 44, 440–446. [Google Scholar] [CrossRef] [PubMed]
- Xiao, A.; Li, H.; Shechter, D.; Ahn, S.H.; Fabrizio, L.A.; Erdjument-Bromage, H.; Ishibe-Murakami, S.; Wang, B.; Tempst, P.; Hofmann, K.; et al. WSTF regulates the H2A.X DNA damage response via a novel tyrosine kinase activity. Nature 2009, 457, 57–62. [Google Scholar] [CrossRef]
- Cook, P.J.; Ju, B.G.; Telese, F.; Wang, X.; Glass, C.K.; Rosenfeld, M.G. Tyrosine dephosphorylation of H2AX modulates apoptosis and survival decisions. Nature 2009, 458, 591–596. [Google Scholar] [CrossRef] [PubMed]
- Krishnan, N.; Jeong, D.G.; Jung, S.K.; Ryu, S.E.; Xiao, A.; Allis, C.D.; Kim, S.J.; Tonks, N.K. Dephosphorylation of the C-terminal tyrosyl residue of the DNA damage-related histone H2A.X is mediated by the protein phosphatase eyes absent. J. Biol. Chem. 2009, 284, 16066–16070. [Google Scholar] [CrossRef] [PubMed]
- Brown, J.A.L.; Eykelenboom, J.; Lowndes, N.F. Co-mutation of histone H2AX S139A with Y142A rescues Y142A-induced ionizing radiation sensitivity. FEBS Open Bio 2012, 2, 313–317. [Google Scholar] [CrossRef] [PubMed]
- Li, S.; Wei, T.; Panchenko, A.R. Histone H2A.Z modulates nucleosome dynamics to promote DNA accessibility. Nat. Commun. 2023, 14, 769. [Google Scholar] [CrossRef] [PubMed]
- Domaschenz, R.; Kurscheid, S.; Nekrasov, M.; Han, S.; Tremethick, D.J. The histone variant H2A.Z is a master regulator of the epithelial-mesenchimal transition. Cell Rep. 2017, 21, 943–952. [Google Scholar] [CrossRef]
- Costanzo, V.; D’Apolito, L.; Sardella, D.; Jervolino, A.; La Manna, G.; Capasso, G.; Frische, S.; Trepiccione, F. Single nephron glomerular filtration rate measured by linescan multiphoton microscopy compared to conventional micropuncture. Pflug. Arch. Eur. J. Physiol. 2022, 474, 733–741. [Google Scholar] [CrossRef]
- Bird, J.E.; Milhoan, K.; Wilson, C.B.; Young, S.G.; Mundy, C.A.; Parthasarathy, S.; Blanz, R.C. Ischemic acute renal failure and antioxidant therapy in rat. J. Clin. Investig. 1988, 81, 1630–1638. [Google Scholar] [CrossRef]
- Sedelnikova, O.A.; Bonner, W.M. Gamma-H2AX in cancer cells: A potential biomarker for cancer diagnostics, prediction and recurrence. Cell Cycle 2006, 5, 2909–2913. [Google Scholar]
- Niida, H.; Nakanishi, M. DNA damage checkpoints in mammals. Mutagenesis 2006, 21, 3–9. [Google Scholar] [CrossRef] [PubMed]
- Bonventre, J.V.; Weinberg, J.M. Recent advances in the pathophysiology of ischemic acute renal failure. J. Am. Soc. Nephrol. 2003, 14, 2199–2210. [Google Scholar] [CrossRef] [PubMed]
- Brady, H.; Brenner, B.; Clarkson, M.; Lieberthal, W. Acute Renal Failure. In The Kidney; Brenner, B., Ed.; WB Saunders: Philadelphia, PA, USA, 2000; pp. 1201–1262. [Google Scholar]
- Lewy, P.R.; Quintanilla, A.; Levin, N.W.; Kessler, R.H. Renal Energy Metabolism and Sodium Reabsorption. Annu. Rev. Med. 1973, 24, 365–384. [Google Scholar] [CrossRef] [PubMed]
- Venkatachalam, M.A.; Bernard, D.B.; Donohoe, J.F.; Levinsky, N. Ischemic damage and repair in the rat proximal tubule: Differences among S1, S2 and S3 segments. Kidney Int. 1978, 14, 31–49. [Google Scholar] [CrossRef]
- Mah, L.J.; El-Osta, A.; Karagiannis, T.C. Gamma-H2AX: A sensitive molecular marker of DNA damage and repair. Leukemia 2010, 24, 679–686. [Google Scholar] [CrossRef]
- Porter-Goff, M.E.; Rhind, N. The role of MRN in the S-phase DNA damage checkpoint is independent of its Ctp1-dependent roles in double-strand break repair and checkpoint signaling. Mol. Biol. Cell. 2009, 20, 2096–2107. [Google Scholar] [CrossRef][Green Version]
- Morgan, S.E.; Kastan, M.B. p53 and ATM: Cell cycle, cell death, and cancer. Adv. Cancer Res. 1997, 71, 1–25. [Google Scholar] [CrossRef]
- Xiao, G.; Kue, P.; Bhosle, R.; Bargonetti, J. Decarbamoyl mitomycin C (DMC) activates p53-independent ataxia telangiectasia and rad3 related protein (ATR) chromatin eviction. Cell Cycle 2015, 14, 744–754. [Google Scholar] [CrossRef]
- van Attikum, H.; Gasser, S.M. Crosstalk between histone modifications during the DNA damage response. Trends Cell Biol. 2009, 19, 207–217. [Google Scholar] [CrossRef]
- Iyama, T.; Wilson, D.M., 3rd. DNA repair mechanisms in dividing and non-dividing cells. DNA Repair 2013, 12, 620–636. [Google Scholar] [CrossRef]
- Sancar, A.; Lindsey-Boltz, L.A.; Unsal-Kaçmaz, K.; Linn, S. Molecular mechanisms of mammalian DNA repair and the DNA damage checkpoints. Annu. Rev. Biochem. 2004, 73, 39–85. [Google Scholar] [CrossRef] [PubMed]
- Priante, G.; Gianesello, L.; Ceol, M.; Prette, D.D.; Anglani, F. Cell death and the kidney. Int. J. Mol. Sci. 2019, 20, 3598. [Google Scholar] [CrossRef] [PubMed]
- Rogakou, E.P.; Nieves-Neira, W.; Boon, C.; Pommier, Y.; Bonner, W.M. Initiation of DNA fragmentation during apoptosis induces phosphorylation of H2AX histone at serine 139. J. Biol. Chem. 2000, 275, 9390–9395. [Google Scholar] [CrossRef] [PubMed]
- Solier, S.; Pommier, Y. The apoptotic ring: A novel entity with phosphorylated histones H2AX and H2B, and activated DNA damage response kinases. Cell Cycle 2009, 8, 1853–1859. [Google Scholar] [CrossRef] [PubMed]
- Solier, S.; Sordet, O.; Kohn, K.W.; Pommier, Y. Death receptor-induced activation of the Chk2- and histone H2AX-associated DNA damage response pathways. Mol. Cell. Biol. 2009, 29, 68–82. [Google Scholar] [CrossRef]
- Solier, S.; Pommier, Y. The nuclear γ-H2AX apoptotic ring: Implications for cancers and autoimmune diseases. Cell. Mol. Life Sci. 2014, 71, 2289–2297. [Google Scholar] [CrossRef]
- Bourton, E.C.; Plowman, P.N.; Smith, D.; Arlett, C.F.; Parris, C.N. Prolonged expression of the cH2AX DNA repair biomarker correlateswith excess acute and chronic toxicity from radiotherapy treatment. Int. J. Cancer 2011, 129, 2928–2934. [Google Scholar] [CrossRef]
- Rogakou, E.P.; Boon, C.; Redon, C.; Bonner, W.M. Megabase chromatin domains involved in DNA double strand breaks in vivo. J. Cell Biol. 1999, 146, 905–916. [Google Scholar] [CrossRef]
- Hamasaki, K.; Imai, K.; Nakachi, K.; Takahashi, N.; Kodama, Y.; Kusunoki, Y. Short-term culture and gammaH2AX flow cytometry determine differences in individual radiosensitivity in human peripheral T lymphocytes. Environ. Mol. Mutagen. 2007, 48, 38–47. [Google Scholar] [CrossRef]
- Porcedda, P.; Turinetto, V.; Lantelme, E.; Fontanella, E.; Chrzanowska, K.; Ragona, R.; De Marchi, M.; Delia, D.; Giachino, C. Impaired elimination of DNA double-strand break-containing lymphocytes in ataxia telangiectasia and Nijmegen breakage syndrome. DNA Repair 2006, 5, 904–913. [Google Scholar] [CrossRef]
- Taneja, N.; Davis, M.; Choy, J.S.; Beckett, M.A.; Singh, R.; Kron, S.J.; Weichselbaum, R.R. Histone H2AX phosphorylation as a predictor of radiosensitivity and target for radiotherapy. J. Biol. Chem. 2004, 279, 2273–2280. [Google Scholar] [CrossRef] [PubMed]
- Bakkenist, C.J.; Drissi, R.; Wu, J.; Kastan, M.B.; Dome, J.S. Disappearance of the telomere dysfunction-induced stress response in fully senescent cells. Cancer Res. 2004, 64, 3748–3752. [Google Scholar] [CrossRef] [PubMed][Green Version]
- d’Adda di Fagagna, F.; Reaper, P.M.; Clay-Farrace, L.; Fiegler, H.; Carr, P.; Von Zglinicki, T.; Saretzki, G.; Carter, N.P.; Jackson, S. A DNA damage checkpoint response in telomere-initiated senescence. Nature 2003, 426, 194–198. [Google Scholar] [CrossRef] [PubMed]
- Jeyapalan, J.C.; Ferreira, M.; Sedivy, J.M.; Herbig, U. Accumulation of senescent cells in mitotic tissue of aging primates. Mech. Ageing Dev. 2007, 128, 36–44. [Google Scholar] [CrossRef]
- Nakamura, A.J.; Chiang, Y.J.; Hathcock, K.S.; Horikawa, I.; Sedelnikova, O.A.; Hodes, R.J.; Bonner, W.M. Both telomeric and non-telomeric DNA damage are determinants of mammalian cellular senescence. Epigenet. Chromatin 2008, 1, 6. [Google Scholar] [CrossRef] [PubMed]
- Sedelnikova, O.A.; Horikawa, I.; Zimonjic, D.B.; Popescu, N.C.; Bonner, W.M.; Barrett, J.C. Senescing human cells and ageing mice accumulate DNA lesions with unrepairable double-strand breaks. Nat. Cell Biol. 2004, 6, 168–170. [Google Scholar] [CrossRef]
- Sedelnikova, O.A.; Panyutin, I.V.; Neumann, R.D.; Bonner, W.M.; Panyutin, I.G. Assessment of DNA damage produced by 125I-triplex-forming oligonucleotides in cells. Int. J. Radiat. Biol. 2004, 80, 927–931. [Google Scholar] [CrossRef]
- Tiwari, S.; Ndisang, J.F. Heme oxygenase system and hypertension: A comprehensive insight. Curr. Pharm. Des. 2014, 20, 1354–1369. [Google Scholar] [CrossRef]
- Zha, S.; Sekiguchi, J.; Brush, J.W.; Bassing, C.H.; Alt, F.W. Complementary functions of ATM and H2AX in development and suppression of genomic instability. Proc. Natl. Acad. Sci. USA 2008, 105, 9302–9306. [Google Scholar] [CrossRef]
- Banerjee, T.; Chakravarti, D. A peek into the complex realm of histone phosphorylation. Mol. Cell. Biol. 2011, 31, 4858–4873. [Google Scholar] [CrossRef]
- Guder, W.G.; Ross, B.D. Enzyme distribution along the nephron. Kidney Int. 1984, 26, 101–111. [Google Scholar] [CrossRef] [PubMed]
- Schumer, M.; Colombel, M.C.; Sawczuk, T.S.; Globe, G.; Connor, J.; O’Toole, K.M.; Olsson, C.A.; Wise, G.J.; Buttyan, R. Morphologic, biochemical and molecular evidence of apoptosis during the reperfusion phase after brief periods of renal ischemia. Am. J. Pathol. 1992, 140, 831–838. [Google Scholar] [PubMed]
- Oberbauer, R.; Rohrmoser, M.; Regele, H.; Muhlbacher, F.; Mayer, G. Apoptosis of tubular epithelial cells in donor kidney biopsies predicts early renal allograft function. J. Am. Soc. Nehprol. 1999, 10, 2006–2013. [Google Scholar] [CrossRef] [PubMed]
- Rodriguez-Romo, R.; Berman, N.; Gomez, A.; Bobadilla, N.A. Epigenetic regulation in the acute kidney injury to chronic kidney injury. Nephrology 2015, 20, 736–743. [Google Scholar] [CrossRef]
- Lewington, A.J.; Cerda, J.; Mehta, R.L. Raising awareness of acute kidney injury: A global perspective of a silent killer. Kidney Int. 2013, 84, 457–467. [Google Scholar] [CrossRef] [PubMed]
- Zager, R.A.; Johnson, A.C. Renal ischemia-reperfusion injury upregulates histone-modifying enzyme systems and alters histone expression at proinflammatory/profibrotic genes. Am. J. Physiol. Renal Physiol. 2009, 296, F1032–F1041. [Google Scholar] [CrossRef] [PubMed]
- Besseling, P.J.; Pieters, T.T.; Nguyen, I.T.N.; de Bree, P.M.; Willekes, N.; Dijk, A.H.; Bovee, D.M.; Hoam, E.J.; Rookmaaker, M.B.; Gerritsen, K.G.; et al. A plasma creatinine- and urea-based equation to estimate glomerular filtration rate in rats. Am. J. Physiol. Renal Physiol. 2021, 320, F518–F524. [Google Scholar] [CrossRef] [PubMed]








Disclaimer/Publisher’s Note: The statements, opinions and data contained in all publications are solely those of the individual author(s) and contributor(s) and not of MDPI and/or the editor(s). MDPI and/or the editor(s) disclaim responsibility for any injury to people or property resulting from any ideas, methods, instructions or products referred to in the content. |
© 2023 by the authors. Licensee MDPI, Basel, Switzerland. This article is an open access article distributed under the terms and conditions of the Creative Commons Attribution (CC BY) license (https://creativecommons.org/licenses/by/4.0/).
Share and Cite
Nesovic Ostojic, J.; Zivotic, M.; Kovacevic, S.; Ivanov, M.; Brkic, P.; Mihailovic-Stanojevic, N.; Karanovic, D.; Vajic, U.J.; Miloradovic, Z.; Jovovic, D.; et al. Immunohistochemical Pattern of Histone H2A Variant Expression in an Experimental Model of Ischemia–Reperfusion-Induced Acute Kidney Injury. Int. J. Mol. Sci. 2023, 24, 8085. https://doi.org/10.3390/ijms24098085
Nesovic Ostojic J, Zivotic M, Kovacevic S, Ivanov M, Brkic P, Mihailovic-Stanojevic N, Karanovic D, Vajic UJ, Miloradovic Z, Jovovic D, et al. Immunohistochemical Pattern of Histone H2A Variant Expression in an Experimental Model of Ischemia–Reperfusion-Induced Acute Kidney Injury. International Journal of Molecular Sciences. 2023; 24(9):8085. https://doi.org/10.3390/ijms24098085
Chicago/Turabian StyleNesovic Ostojic, Jelena, Maja Zivotic, Sanjin Kovacevic, Milan Ivanov, Predrag Brkic, Nevena Mihailovic-Stanojevic, Danijela Karanovic, Una Jovana Vajic, Zoran Miloradovic, Djurdjica Jovovic, and et al. 2023. "Immunohistochemical Pattern of Histone H2A Variant Expression in an Experimental Model of Ischemia–Reperfusion-Induced Acute Kidney Injury" International Journal of Molecular Sciences 24, no. 9: 8085. https://doi.org/10.3390/ijms24098085
APA StyleNesovic Ostojic, J., Zivotic, M., Kovacevic, S., Ivanov, M., Brkic, P., Mihailovic-Stanojevic, N., Karanovic, D., Vajic, U. J., Miloradovic, Z., Jovovic, D., & Radojevic Skodric, S. (2023). Immunohistochemical Pattern of Histone H2A Variant Expression in an Experimental Model of Ischemia–Reperfusion-Induced Acute Kidney Injury. International Journal of Molecular Sciences, 24(9), 8085. https://doi.org/10.3390/ijms24098085

