LvCD14L Acts as a Novel Pattern Recognition Receptor and a Regulator of the Toll Signaling Pathway in Shrimp
Abstract
1. Introduction
2. Results
2.1. LvCD14L Encodes a Secretory LRR-Only PROTEIN
2.2. LvCD14L Participates in V. parahaemolyticus Infection
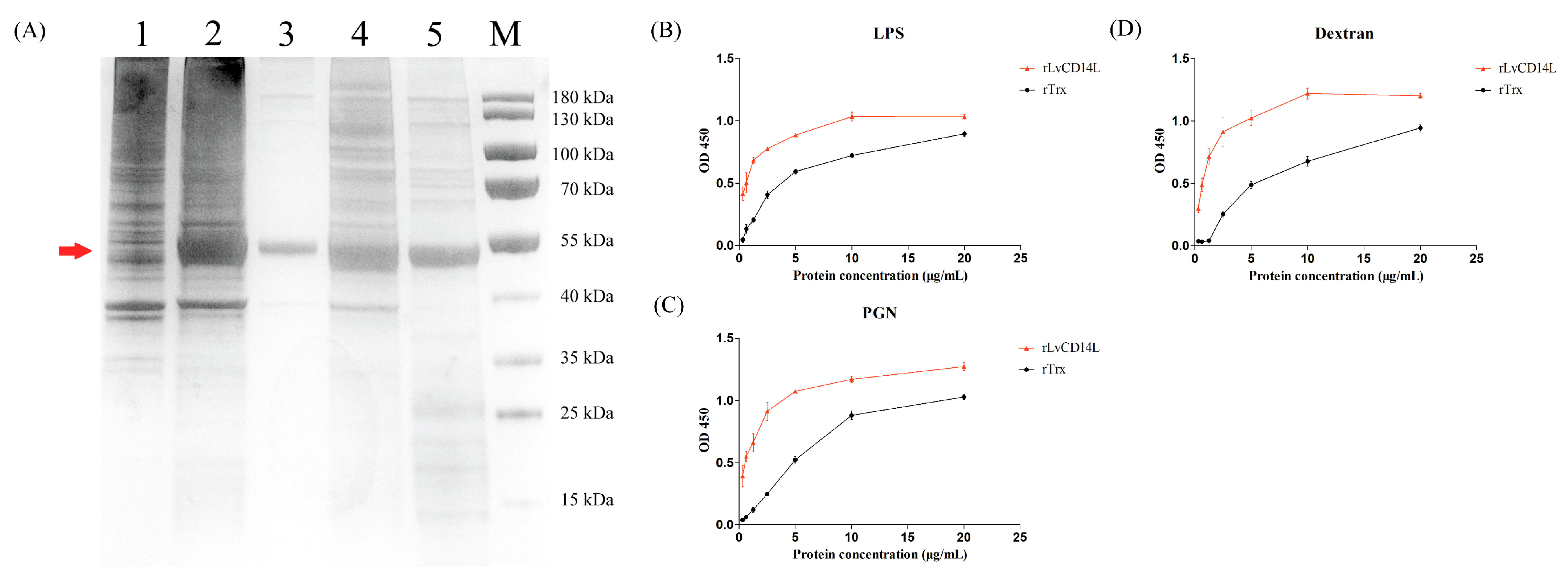
2.3. LvCD14L Acts as a Pattern Recognition Receptor
2.4. LvCD14L Activates the TLR-Dorsal Pathway through Binding to LvTolls
3. Discussion
4. Materials and Methods
4.1. Animal and Tissues Collection
4.2. Total RNA Extraction and cDNA Synthesis
4.3. Gene Cloning
4.4. Sequence Analysis
4.5. Tissue Distribution Analysis
4.6. Pathogen Challenge and Gene Expression Analysis
4.7. DsRNA Synthesis and Knockdown of LvCD14L
4.8. Gene Expression and Bacteria Detection in Shrimp after LvCD14L Knockdown and V. parahaemolyticus Infection
4.9. Recombinant Expression and Purification of LvCD14L
4.10. Microbial Cell Wall Polysaccharides Binding Assay
4.11. Minimal Inhibitory Concentration (MIC) Assay
4.12. Bacterial Agglutination Experiment
4.13. Cellular Localization
4.14. Recombinant Protein Injection and Bacterial Infection
4.15. Co-Immunoprecipitation (Co-IP)
Supplementary Materials
Author Contributions
Funding
Institutional Review Board Statement
Informed Consent Statement
Data Availability Statement
Conflicts of Interest
References
- Buchanan, S.G.; Gay, N.J. Structural and functional diversity in the leucine-rich repeat family of proteins. Prog. Biophys. Mol. Biol. 1996, 65, 1–44. [Google Scholar] [CrossRef] [PubMed]
- Bella, J.; Hindle, K.L.; McEwan, P.A.; Lovell, S.C. The leucine-rich repeat structure. Cell Mol. Life Sci. 2008, 65, 2307–2333. [Google Scholar] [CrossRef]
- Enkhbayar, P.; Kamiya, M.; Osaki, M.; Matsumoto, T.; Matsushima, N. Structural principles of leucine-rich repeat (LRR) proteins. Proteins Struct. Funct. Bioinform. 2003, 54, 394–403. [Google Scholar] [CrossRef] [PubMed]
- Kobe, B.; Kajava, A.V. The leucine-rich repeat as a protein recognition motif. Curr. Opin. Struct. Biol. 2001, 11, 725–732. [Google Scholar] [CrossRef]
- Wen, D.; Wildes, C.P.; Silvian, L.; Walus, L.; Mi, S.; Lee, D.H.S.; Meier, W.; Pepinsky, R.B. Disulfide Structure of the Leucine-Rich Repeat C-Terminal Cap and C-Terminal Stalk Region of Nogo-66 Receptor. Biochemistry 2005, 44, 16491–16501. [Google Scholar] [CrossRef]
- Park, H.; Huxley-Jones, J.; Boot-Handford, R.P.; Bishop, P.N.; Attwood, T.K.; Bella, J. LRRCE: A leucine-rich repeat cysteine cap-ping motif unique to the chordate lineage. BMC Genom. 2008, 9, 599. [Google Scholar] [CrossRef]
- Ng, A.C.Y.; Eisenberg, J.M.; Heath, R.J.W.; Huett, A.; Robinson, C.M.; Nau, G.J.; Xavier, R.J. Human leucine-rich repeat proteins: A genome-wide bioinformatic categorization and functional analysis in innate immunity. Proc. Natl. Acad. Sci. USA 2010, 108, 4631–4638. [Google Scholar] [CrossRef] [PubMed]
- Inohara, N.; Nuñez, G. NODs: Intracellular proteins involved in inflammation and apoptosis. Nat. Rev. Immunol. 2003, 3, 371–382. [Google Scholar] [CrossRef]
- Medzhitov, R.; Preston-Hurlburt, P.; Janeway, C.A., Jr. A human homologue of the Drosophila Toll protein signals activation of adaptive immunity. Nature 1997, 388, 394–397. [Google Scholar] [CrossRef] [PubMed]
- Bažil, V.; Baudyš, M.; Hilgert, I.; Štefanová, I.; Low, M.G.; Zbrožek, J.; Hořejší, V. Structural relationship between the soluble and membrane-bound forms of human monocyte surface glycoprotein CD 14. Mol. Immunol. 1989, 26, 657–662. [Google Scholar] [CrossRef]
- Pancer, Z.; Amemiya, C.T.; Ehrhardt, G.R.A.; Ceitlin, J.; Gartland, G.L.; Cooper, M.D. Somatic diversification of variable lym-phocyte receptors in the agnathan sea lamprey. Nature 2004, 430, 174–180. [Google Scholar] [CrossRef]
- Ciesielska, A.; Matyjek, M.; Kwiatkowska, K. TLR4 and CD14 Trafficking and Its Influence on LPS-Induced Pro-Inflammatory Signaling; Littman, D.R., Yokoyama, W.M., Eds.; Annual Review of Immunology: San Mateo, CA, USA, 2020; Volume 78, pp. 1233–1261. [Google Scholar] [CrossRef]
- Boehm, T.; Hirano, M.; Holland, S.J.; Das, S.; Schorpp, M.; Cooper, M.D. Evolution of Alternative Adaptive Immune Systems in Vertebrates. Annu. Rev. Immunol. 2018, 36, 19–42. [Google Scholar] [CrossRef] [PubMed]
- Wang, X.-W.; Gao, J.; Xu, Y.-H.; Xu, J.-D.; Fan, Z.-X.; Zhao, X.-F.; Wang, J.-X. Novel Pattern Recognition Receptor Protects Shrimp by Preventing Bacterial Colonization and Promoting Phagocytosis. J. Immunol. 2017, 198, 3045–3057. [Google Scholar] [CrossRef]
- Chen, H.; Wang, M.; Zhang, H.; Wang, H.; Lv, Z.; Zhou, L.; Zhong, Z.; Lian, C.; Cao, L.; Li, C. An LRR-domain containing protein identified in Bathymodiolus platifrons serves as intracellular recognition receptor for the endosymbiotic methane-oxidation bacteria. Fish Shellfish. Immunol. 2019, 93, 354–360. [Google Scholar] [CrossRef] [PubMed]
- Wang, M.; Wang, L.; Guo, Y.; Yi, Q.; Song, L. An LRR-only protein representing a new type of pattern recognition receptor in Chlamys farreri. Dev. Comp. Immunol. 2016, 54, 145–155. [Google Scholar] [CrossRef] [PubMed]
- Yang, L.; Yao, F.; Ba, H.; Qin, T.; Luan, H.; Li, Z.; Hou, L.; Zou, X. Identification, expression pattern and potential role of variable lymphocyte receptor Aj-VLRA from Apostichopus japonicus in response to bacterial challenge. Fish Shellfish. Immunol. 2015, 45, 221–230. [Google Scholar] [CrossRef] [PubMed]
- Zhang, H.; Li, S.; Wang, F.; Xiang, J.; Li, F. Identification and functional study of an LRR domain containing membrane protein in Litopenaeus vannamei. Dev. Comp. Immunol. 2020, 109, 103713. [Google Scholar] [CrossRef]
- Zhang, A.; Liu, Y.; Guo, N.; Li, S.; Li, F. Two LRR-Only Proteins Involved in Antibacterial Defense and Prophenoloxidase System of Swimming Crab Portunus trituberculatus. Front. Mar. Sci. 2022, 9, 946182. [Google Scholar] [CrossRef]
- Wright, S.D.; Ramos, R.A.; Tobias, P.S.; Ulevitch, R.J.; Mathison, J.C. CD14, a receptor for complexes of lipopolysaccharide (LPS) and LPS binding protein. Science 1990, 249, 1431–1433. [Google Scholar] [CrossRef]
- Schroder, N.W.J.; Morath, S.; Alexander, C.; Hamann, L.; Hartung, T.; Zahringer, U.; Gobel, U.B.; Weber, J.R.; Schumann, R.R. Lipoteichoic acid (LTA) of Streptococcus pneumoniae and Staphylococcus aureus activates immune cells via toll-like receptor (TLR)-2, lipopolysaccharide-binding protein (LBP), and CD14, whereas TLR-4 and MD-2 are not involved. J. Biol. Chem. 2003, 278, 15587–15594. [Google Scholar] [CrossRef]
- Gupta, D.; Kirkland, T.N.; Viriyakosol, S.; Dziarski, R. CD14 Is a Cell-activating Receptor for Bacterial Peptidoglycan. J. Biol. Chem. 1996, 271, 23310–23316. [Google Scholar] [CrossRef]
- Collins, B.C.; Gunn, R.J.; McKitrick, T.R.; Cummings, R.D.; Cooper, M.D.; Herrin, B.R.; Wilson, I.A. Structural Insights into VLR Fine Specificity for Blood Group Carbohydrates. Structure 2017, 25, 1667–1678.e4. [Google Scholar] [CrossRef] [PubMed]
- Akira, S.; Takeda, K. Toll-like receptor signalling. Nat. Rev. Immunol. 2004, 4, 499–511. [Google Scholar] [CrossRef]
- Fritz, J.H.; Ferrero, R.L.; Philpott, D.J.; Girardin, S.E. Nod-like proteins in immunity, inflammation and disease. Nat. Immunol. 2006, 7, 1250–1257. [Google Scholar] [CrossRef]
- Inforzato, A.; Doni, A.; Barajon, I.; Leone, R.; Garlanda, C.; Bottazzi, B.; Mantovani, A. PTX3 as a paradigm for the interaction of pentraxins with the Complement system. Semin. Immunol. 2013, 25, 79–85. [Google Scholar] [CrossRef] [PubMed]
- Bottazzi, B.; Doni, A.; Garlanda, C.; Mantovani, A. An Integrated View of Humoral Innate Immunity: Pentraxins as a Paradigm. Annu. Rev. Immunol. 2010, 28, 157–183. [Google Scholar] [CrossRef] [PubMed]
- Mantovani, A.; Garlanda, C.; Doni, A.; Bottazzi, B. Pentraxins in innate immunity: From C-reactive protein to the long pen-traxin PTX3. J. Clin. Immunol. 2008, 28, 1–13. [Google Scholar] [CrossRef]
- Zhang, P.; Liu, X.; Cao, X. Extracellular pattern recognition molecules in health and diseases. Cell Mol. Immunol. 2014, 12, 255–257. [Google Scholar] [CrossRef]
- Henrick, B.M.; Yao, X.-D.; Taha, A.Y.; German, J.B.; Rosenthal, K.L. Insights into Soluble Toll-Like Receptor 2 as a Downregulator of Virally Induced Inflammation. Front. Immunol. 2016, 7, 291. [Google Scholar] [CrossRef] [PubMed]
- Frey, E.A.; Miller, D.S.; Jahr, T.G.; Sundan, A.; Bazil, V.; Espevik, T.; Finlay, B.B.; Wright, S.D. Soluble CD14 participates in the re-sponse of cells to lipopolysaccharide. J. Exp. Med. 1992, 176, 1665–1671. [Google Scholar] [CrossRef]
- Wang, M.; Wang, B.; Liu, M.; Jiang, K.; Wang, L. A novel LRR-only protein mediates bacterial proliferation in hemolymph through regulating expression of antimicrobial peptides in mollusk Chlamys farreri. Dev. Comp. Immunol. 2018, 92, 223–229. [Google Scholar] [CrossRef]
- Zhu, Y.; Ragan, E.J.; Kanost, M.R. Leureptin: A soluble, extracellular leucine-rich repeat protein from Manduca sexta that binds lipopolysaccharide. Insect Biochem. Mol. Biol. 2010, 40, 713–722. [Google Scholar] [CrossRef] [PubMed]
- Sun, J.-J.; Xu, S.; He, Z.-H.; Shi, X.-Z.; Zhao, X.-F.; Wang, J.-X. Activation of Toll Pathway Is Different between Kuruma Shrimp and Drosophila. Front. Immunol. 2017, 8, 1151. [Google Scholar] [CrossRef] [PubMed]
- Diebolder, C.A.; Halff, E.F.; Koster, A.J.; Huizinga, E.G.; Koning, R.I. Cryoelectron Tomography of the NAIP5/NLRC4 Inflam-masome: Implications for NLR Activation. Structure 2015, 23, 2349–2357. [Google Scholar] [CrossRef]
- Habib, Y.J.; Wan, H.; Sun, Y.; Shi, J.; Yao, C.; Lin, J.; Ge, H.; Wang, Y.; Zhang, Z. Genome-wide identification of toll-like receptors in Pacific white shrimp (Litopenaeus vannamei) and expression analysis in response to Vibrio parahaemolyticus invasion. Aquaculture 2021, 532, 735996. [Google Scholar] [CrossRef]
- Wang, P.-H.; Liang, J.-P.; Gu, Z.-H.; Wan, D.-H.; Weng, S.-P.; Yu, X.-Q.; He, J.-G. Molecular cloning, characterization and expression analysis of two novel Tolls (LvToll2 and LvToll3) and three putative Spatz le-like Toll ligands (LvSpz1-3) from Litopenaeus vannamei. Dev. Comp. Immunol. 2012, 36, 359–371. [Google Scholar] [CrossRef]
- Wang, K.C.H.-C.; Tseng, C.-W.; Lin, H.-Y.; Chen, I.T.; Chen, Y.-H.; Chen, Y.-M.; Chen, T.-Y.; Yang, H.-L. RNAi knock-down of the Litopenaeus vannamei Toll gene (LvToll) significantly increases mortality and reduces bacterial clearance after challenge with Vibrio harveyi. Dev. Comp. Immunol. 2010, 34, 49–58. [Google Scholar] [CrossRef] [PubMed]
- Hou, F.; He, S.; Liu, Y.; Zhu, X.; Sun, C.; Liu, X. RNAi knock-down of shrimp Litopenaeus vannamei Toll gene and immune deficiency gene reveals their difference in regulating antimicrobial peptides transcription. Dev. Comp. Immunol. 2014, 44, 255–260. [Google Scholar] [CrossRef] [PubMed]
- Qiu, W.; Geng, R.; Zuo, H.; Weng, S.; He, J.; Xu, X. Toll receptor 2 (Toll2) positively regulates antibacterial immunity but promotes white spot syndrome virus (WSSV) infection in shrimp. Dev. Comp. Immunol. 2020, 115, 103878. [Google Scholar] [CrossRef]
- Weber, A.N.R.; Tauszig-Delamasure, S.; Hoffmann, J.A.; Lelièvre, E.; Gascan, H.; Ray, K.P.; Morse, M.A.; Imler, J.-L.; Gay, N.J. Binding of the Drosophila cytokine Spätzle to Toll is direct and establishes signaling. Nat. Immunol. 2003, 4, 794–800. [Google Scholar] [CrossRef]
- Valanne, S.; Wang, J.-H.; Rämet, M. The Drosophila Toll Signaling Pathway. J. Immunol. 2011, 186, 649–656. [Google Scholar] [CrossRef]
- Li, C.Z.; Wang, S.; He, J.G. The Two NF-kappa B Pathways Regulating Bacterial and WSSV Infection of Shrimp. Front. Immunol. 2019, 10, 26. [Google Scholar]
- Sun, R.; Wang, M.; Wang, L.; Yue, F.; Yi, Q.; Huang, M.; Liu, R.; Qiu, L.; Song, L. The immune responses triggered by CpG ODNs in shrimp Litopenaeus vannamei are associated with LvTolls. Dev. Comp. Immunol. 2014, 43, 15–22. [Google Scholar] [CrossRef]
- Wang, F.; Li, S.; Xiang, J.; Li, F. Transcriptome analysis reveals the activation of neuroendocrine-immune system in shrimp hemocytes at the early stage of WSSV infection. BMC Genom. 2019, 20, 1–14. [Google Scholar] [CrossRef]
- Livak, K.J.; Schmittgen, T.D. Analysis of relative gene expression data using real-time quantitative PCR and the 2(-Delta Delta C(T)) Method. Methods 2001, 25, 402–408. [Google Scholar] [CrossRef] [PubMed]
- Su, Y.; Liu, Y.; Gao, F.; Cui, Z. A novel C-type lectin with a YPD motif from Portunus trituberculatus (PtCLec1) mediating pathogen recognition and opsonization. Dev. Comp. Immunol. 2020, 106, 103609. [Google Scholar] [CrossRef]
- Xie, S.; Zhang, X.; Zhang, J.; Li, F.; Xiang, J. Envelope Proteins of White Spot Syndrome Virus (WSSV) Interact with Litopenaeus vannamei Peritrophin-Like Protein (LvPT). PLoS ONE 2015, 10, e0144922. [Google Scholar] [CrossRef] [PubMed]






Disclaimer/Publisher’s Note: The statements, opinions and data contained in all publications are solely those of the individual author(s) and contributor(s) and not of MDPI and/or the editor(s). MDPI and/or the editor(s) disclaim responsibility for any injury to people or property resulting from any ideas, methods, instructions or products referred to in the content. |
© 2023 by the authors. Licensee MDPI, Basel, Switzerland. This article is an open access article distributed under the terms and conditions of the Creative Commons Attribution (CC BY) license (https://creativecommons.org/licenses/by/4.0/).
Share and Cite
Lv, X.; Li, S.; Yu, Y.; Jin, S.; Zhang, X.; Li, F. LvCD14L Acts as a Novel Pattern Recognition Receptor and a Regulator of the Toll Signaling Pathway in Shrimp. Int. J. Mol. Sci. 2023, 24, 7770. https://doi.org/10.3390/ijms24097770
Lv X, Li S, Yu Y, Jin S, Zhang X, Li F. LvCD14L Acts as a Novel Pattern Recognition Receptor and a Regulator of the Toll Signaling Pathway in Shrimp. International Journal of Molecular Sciences. 2023; 24(9):7770. https://doi.org/10.3390/ijms24097770
Chicago/Turabian StyleLv, Xinjia, Shihao Li, Yang Yu, Songjun Jin, Xiaojun Zhang, and Fuhua Li. 2023. "LvCD14L Acts as a Novel Pattern Recognition Receptor and a Regulator of the Toll Signaling Pathway in Shrimp" International Journal of Molecular Sciences 24, no. 9: 7770. https://doi.org/10.3390/ijms24097770
APA StyleLv, X., Li, S., Yu, Y., Jin, S., Zhang, X., & Li, F. (2023). LvCD14L Acts as a Novel Pattern Recognition Receptor and a Regulator of the Toll Signaling Pathway in Shrimp. International Journal of Molecular Sciences, 24(9), 7770. https://doi.org/10.3390/ijms24097770

