The Premetastatic Lymph Node Niche in Gynecologic Cancer
Abstract
1. Introduction
2. Results
2.1. Cohort Studied
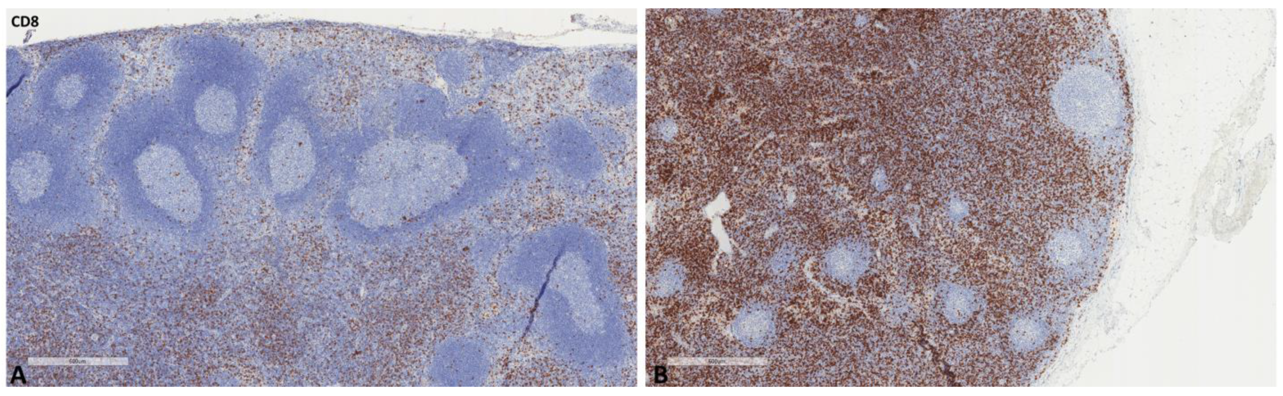
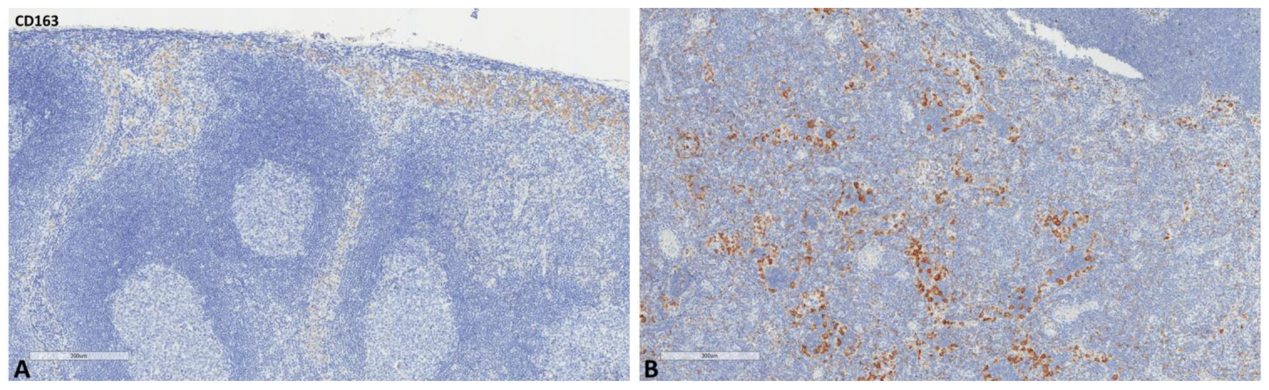
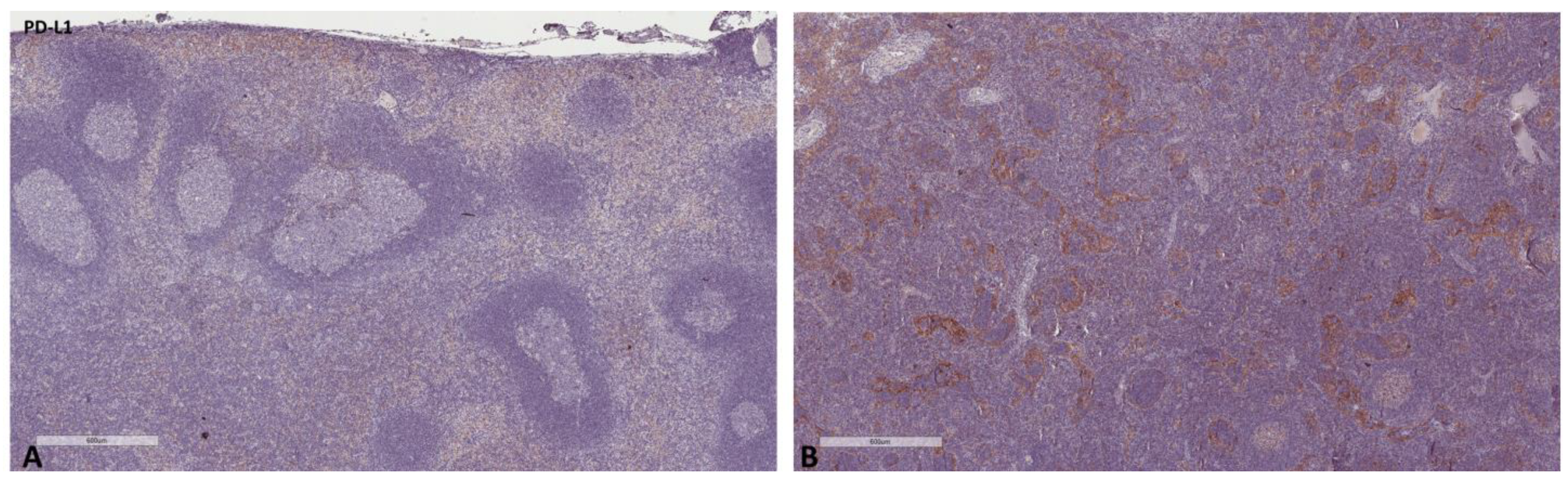
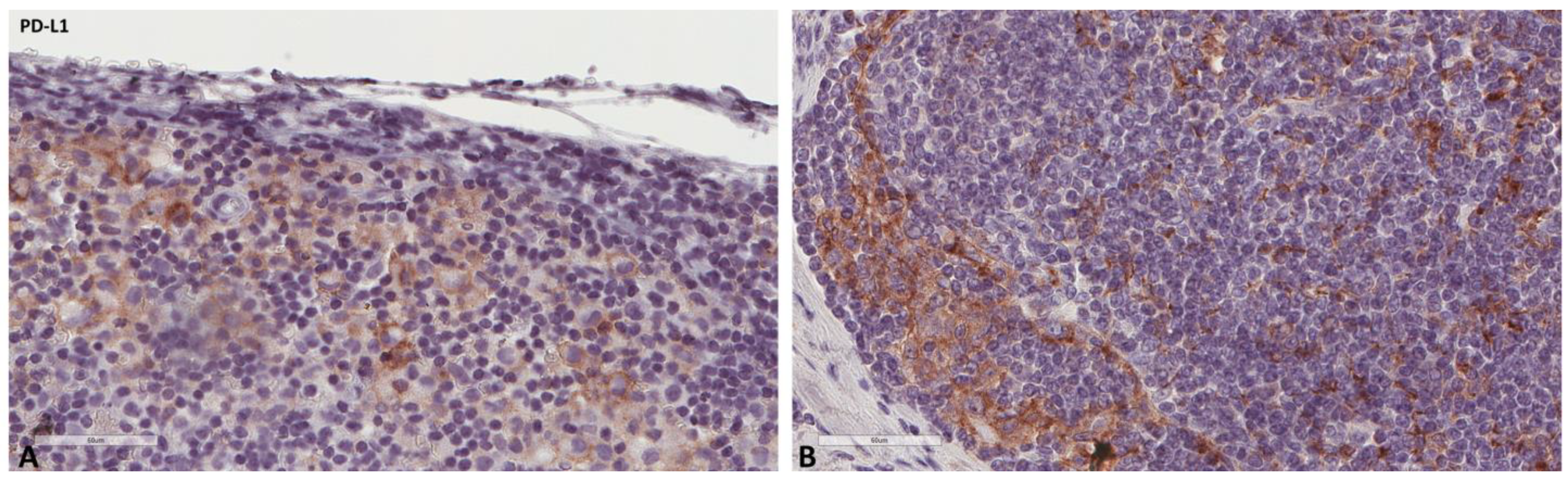
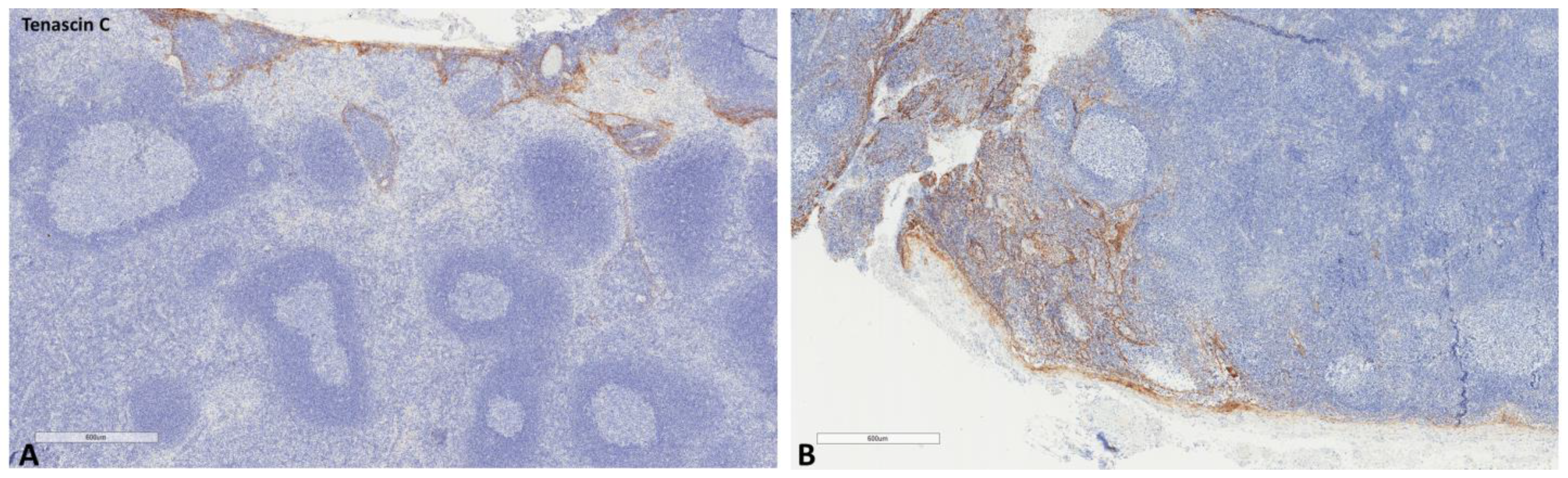
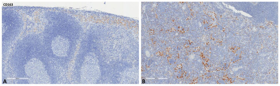
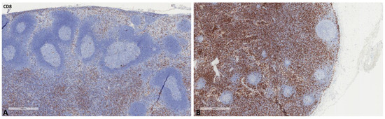
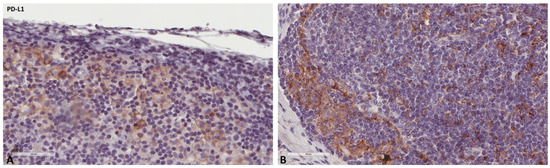
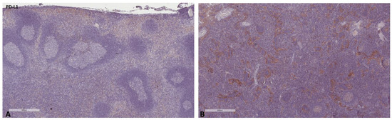
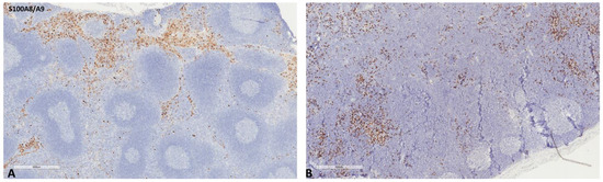
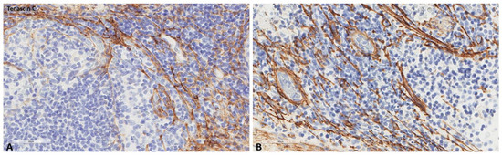
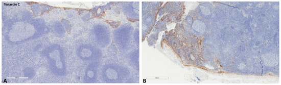
2.2. Immunohistochemical Results
3. Discussion
4. Materials and Methods
4.1. Study Design—Population
4.2. Immunohistochemistry
4.3. Statistical Analysis
Author Contributions
Funding
Institutional Review Board Statement
Informed Consent Statement
Data Availability Statement
Acknowledgments
Conflicts of Interest
References
- Francis, D.M.; Manspeaker, M.P.; Schudel, A.; Sestito, L.F.; O’Melia, M.J.; Kissick, H.T.; Pollack, B.P.; Waller, E.K. Thomas SN: Blockade of immune checkpoints in lymph nodes through locoregional delivery augments cancer immunotherapy. Sci. Transl. Med. 2020, 12, eaay3575. [Google Scholar] [CrossRef] [PubMed]
- Fransen, M.F.; Schoonderwoerd, M.; Knopf, P.; Camps, M.G.; Hawinkels, L.J.; Kneilling, M.; van Hall, T. Ossendorp F: Tumor-draining lymph nodes are pivotal in PD-1/PD-L1 checkpoint therapy. JCI Insight 2018, 3, e124507. [Google Scholar] [CrossRef] [PubMed]
- Rotman, J.; Koster, B.D.; Jordanova, E.S.; Heeren, A.M.; de Gruijl, T.D. Unlocking the therapeutic potential of primary tumor-draining lymph nodes. Cancer Immunol. Immunother. 2019, 68, 1681–1688. [Google Scholar] [CrossRef] [PubMed]
- Gillot, L.; Baudin, L.; Rouaud, L.; Kridelka, F.; Noel, A. The pre-metastatic niche in lymph nodes: Formation and characteristics. Cell Mol. Life Sci. 2021, 78, 5987–6002. [Google Scholar] [CrossRef] [PubMed]
- Lu, Z.; Zou, J.; Li, S.; Topper, M.J.; Tao, Y.; Zhang, H.; Jiao, X.; Xie, W.; Kong, X.; Vaz, M. Epigenetic therapy inhibits metastases by disrupting premetastatic niches. Nature 2020, 579, 284–290. [Google Scholar] [CrossRef] [PubMed]
- Mabuchi, S.; Sasano, T. Myeloid-Derived Suppressor Cells as Therapeutic Targets in Uterine Cervical and Endometrial Cancers. Cells 2021, 10, 1073. [Google Scholar] [CrossRef] [PubMed]
- Silvers, C.R.; Messing, E.M.; Miyamoto, H.; Lee, Y.F. Tenascin-C expression in the lymph node pre-metastatic niche in muscle-invasive bladder cancer. Br. J. Cancer 2021, 125, 1399–1407. [Google Scholar] [CrossRef]
- Heeren, A.M.; Rotman, J.; Samuels, S.; Zijlmans, H.; Fons, G.; van de Vijver, K.K.; Bleeker, M.C.G.; Kenter, G.G.; Jordanova, E.J.; de Gruijl, T.D. Immune landscape in vulvar cancer-draining lymph nodes indicates distinct immune escape mechanisms in support of metastatic spread and growth. J. Immunother. Cancer 2021, 9, e003623. [Google Scholar] [CrossRef]
- Mabuchi, S.; Komura, N.; Sasano, T.; Shimura, K.; Yokoi, E.; Kozasa, K.; Kuroda, H.; Takahashi, R.; Kawano, M.; Matsumoto, Y.; et al. Pretreatment tumor-related leukocytosis misleads positron emission tomography-computed tomography during lymph node staging in gynecological malignancies. Nat. Commun. 2020, 11, 1364. [Google Scholar] [CrossRef]
- Balsat, C.; Blacher, S.; Herfs, M.; Van de Velde, M.; Signolle, N.; Sauthier, P.; Pottier, C.; Gofflot, S.; De Cuypere, M.; Delvenne, P.; et al. A specific immune and lymphatic profile characterizes the pre-metastatic state of the sentinel lymph node in patients with early cervical cancer. Oncoimmunology 2017, 6, e1265718. [Google Scholar] [CrossRef]
- Huang, M.; Chadha, M.; Musa, F.; Friedmann, P.; Kolev, V.; Holcomb, K. Lymph nodes: Is total number or station number a better predictor of lymph node metastasis in endometrial cancer? Gynecol. Oncol. 2010, 119, 295–298. [Google Scholar] [CrossRef]
- Burg, L.C.; Hengeveld, E.M.; Bulten, J.; Bult, P.; Zusterzeel, P.L. Ultrastaging methods of sentinel lymph nodes in endometrial cancer—A systematic review. Int. J. Gynecol. Cancer 2021, 31, 744–753. [Google Scholar] [CrossRef]
- Ortoft, G.; Hogdall, C.; Hansen, E.S.; Dueholm, M. The 10-year results after national introduction of pelvic lymph node staging in Danish intermediate-risk endometrial cancer patients not given postoperative radiotherapy. Eur. J. Obstet. Gynecol. Reprod. Biol. 2021, 263, 239–246. [Google Scholar] [CrossRef] [PubMed]
- Diestro, M.D.; Berjon, A.; Zapardiel, I.; Yebenes, L.; Ruiz, I.; Lekuona, A.; Rezola, M.; Jaunarena, I.; Siegrist, J.; Sanchez-Pastor, M.; et al. One-Step Nucleic Acid Amplification (OSNA) of Sentinel Lymph Node in Early-Stage Endometrial Cancer: Spanish Multicenter Study (ENDO-OSNA). Cancers 2021, 13, 4465. [Google Scholar] [CrossRef] [PubMed]
- Marchocki, Z.; Cusimano, M.C.; Clarfield, L.; Kim, S.R.; Fazelzad, R.; Espin-Garcia, O.; Bouchard-Fortier, G.; Rossi, E.C.; Stewart, K.I.; Soliman, P.T.; et al. Sentinel lymph node biopsy in high-grade endometrial cancer: A systematic review and meta-analysis of performance characteristics. Am. J. Obstet. Gynecol. 2021, 225, 367.e1–367.e39. [Google Scholar] [CrossRef] [PubMed]
- Zhou, W.; Bai, Y.; Yue, Y. Safety and Benefit Of Sentinel Lymph Nodes Biopsy Compared to Regional Lymph Node Dissection in Primary Vulvar Cancer Patients Without Distant Metastasis and Adjacent Organ Invasion: A Retrospective Population Study. Front. Oncol. 2021, 11, 676038. [Google Scholar] [CrossRef]
- Ohnishi, K.; Yamaguchi, M.; Erdenebaatar, C.; Saito, F.; Tashiro, H.; Katabuchi, H.; Takeya, M.; Komohara, Y. Prognostic significance of CD169-positive lymph node sinus macrophages in patients with endometrial carcinoma. Cancer Sci. 2016, 107, 846–852. [Google Scholar] [CrossRef]
- Medeiros, B.; Goodale, D.; Postenka, C.; Lowes, L.E.; Kiser, P.; Hearn, S.; Salmond, N.; Williams, K.C.; Allan, A.L. Triple-Negative Primary Breast Tumors Induce Supportive Premetastatic Changes in the Extracellular Matrix and Soluble Components of the Lung Microenvironment. Cancers 2020, 12, 172. [Google Scholar] [CrossRef]
- Gasparri, M.L.; Attar, R.; Palaia, I.; Perniola, G.; Marchetti, C.; Di Donato, V.; Farooqi, A.A.; Papadia, A.; Panici, P.B. Tumor infiltrating lymphocytes in ovarian cancer. Asian Pac. J. Cancer Prev. 2015, 16, 3635–3638. [Google Scholar] [CrossRef]
- Dridi, M.; Papoudou-Bai, A.; Kanavaros, P.; Perard, M.; Clemenson, A.; Chauleur, C.; Peoc’h, M.; Karpathiou, G. The immune microenvironment of the hydatidiform mole. Hum. Pathol. 2022, 120, 35–45. [Google Scholar] [CrossRef]
- Wu, H.M.; Chen, L.H.; Hsu, L.T.; Lai, C.H. Immune Tolerance of Embryo Implantation and Pregnancy: The Role of Human Decidual Stromal Cell- and Embryonic-Derived Extracellular Vesicles. Int. J. Mol. Sci. 2022, 23, 13382. [Google Scholar] [CrossRef]
- Karpathiou, G.; Chauleur, C.; Mobarki, M.; Peoc’h, M. The immune checkpoints CTLA-4 and PD-L1 in carcinomas of the uterine cervix. Pathol. Res. Pract. 2020, 216, 152782. [Google Scholar] [CrossRef]
- Ghoniem, K.; Larish, A.M.; Dinoi, G.; Zhou, X.C.; Alhilli, M.; Wallace, S.; Wohlmuth, C.; Baiocchi, G.; Tokgozoglu, N.; Raspagliesi, F.; et al. Oncologic outcomes of endometrial cancer in patients with low-volume metastasis in the sentinel lymph nodes: An international multi-institutional study. Gynecol. Oncol. 2021, 162, 590–598. [Google Scholar] [CrossRef]
- Boennelycke, M.; Peters, E.E.M.; Leon-Castillo, A.; Smit, V.; Bosse, T.; Christensen, I.J.; Ortoft, G.; Hogdall, C.; Hogdall, E. Prognostic impact of histological review of high-grade endometrial carcinomas in a large Danish cohort. Virchows Arch. 2021, 479, 507–514. [Google Scholar] [CrossRef]
- Abu-Rustum, N.R.; Khoury-Collado, F.; Pandit-Taskar, N.; Soslow, R.A.; Dao, F.; Sonoda, Y.; Levine, D.A.; Brown, C.L.; Chi, D.S.; Barakat, R.R.; et al. Sentinel lymph node mapping for grade 1 endometrial cancer: Is it the answer to the surgical staging dilemma? Gynecol. Oncol. 2009, 113, 163–169. [Google Scholar] [CrossRef] [PubMed]
- Karpathiou, G.; Benli, J.; Désage, A.L.; Jacob, M.; Tiffet, O.; Peoc’h, M.; Froudarakis, M.E. Prognostic role of immune microenvironment in pleural metastases from breast and lung adenocarcinomas. Ann. Transl. Med. 2022, 10, 430. [Google Scholar] [CrossRef] [PubMed]
- Green, S.B. How Many Subjects Does It Take To Do A Regression Analysis. Multivar. Behav. Res. 1991, 26, 499–510. [Google Scholar] [CrossRef] [PubMed]








| Parameter | |
|---|---|
| Cohort studied (n = 107) | |
| Cancer patients | 86 (80.4%) |
| Non-cancer patients | 21 (19.6%) |
| Age | |
| Range | 34–91 |
| Mean ± SD | 65.68 ± 11.77 |
| Cancer patients (n = 86) | |
| Non-metastatic lymph nodes | 73 (84.9%) |
| Metastatic lymph nodes | 13 (15.1%) |
| Primary-tumor localization (n = 86) | |
| Endometrium | 42 (48.8%) |
| Vulva | 22 (25.6%) |
| Uterine cervix | 22 (25.6%) |
| Primary-tumor histologic type (n = 86) | |
| Low-grade endometrial adenocarcinoma (grade 1 endometrioid adenocarcinoma) | 22 (25.6%) |
| High-grade endometrial carcinoma | 20 (23.2%) |
| Squamous cell carcinoma of the cervix | 22 (25.6%) |
| Squamous cell carcinoma of the vulva | 22 (25.6%) |
| Primary-tumor necrosis (n = 86) | |
| Yes | 13 (15.1%) |
| No | 73 (84.9%) |
| Primary-tumor lymphovascular invasion (n = 86) | |
| Yes | 18 (21%) |
| No | 68 (79%) |
| Lymph-node size (range, mean ± SD, mm) | |
| Regional | 3–37, 11.53 ± 5.52 |
| Distant | 4–21, 10.46 ± 5.22 |
| Follow up (months) | |
| Range | 12–72 |
| Mean ± SD | 41.27 ± 19.37 |
| Disease stage | |
| I | 56, 65.1% |
| II | 11, 12.8% |
| III | 17, 19.8% |
| IV | 2, 2.3% |
| Patients’ status | |
| Alive | 75, 87.2% |
| Dead | 11, 12.8% |
| Treatment | |
| Surgical treatment | 30, 34.9% |
| Surgical and adjuvant treatments | 56, 65.1% |
| Non-Metastatic Regional Lymph Nodes (n = 63) | Control Lymph Nodes (n = 21) | p | |
|---|---|---|---|
| S100A/S100B | 4.619 ± 5.428 | 4.857 ± 7.683 | 0.8771 |
| PD-L1 | 2.921 ± 5.796 | 11.190 ± 10.902 | 0.0001 |
| CD163 | 4.889 ± 5.778 | 7.619 ±6.136 | 0.0725 |
| CD8 | 15.651 ± 11.83 | 18.095 ± 16.239 | 0.4656 |
| Tenascin-C | 2.429 ± 3.901 | 4.333 ± 4.757 | 0.1775 |
| Distant Lymph Nodes (n = 25) | Control Lymph Nodes (n = 21) | p | |
|---|---|---|---|
| S100A/S100B | 3.708 ± 5.96 | 4.857 ± 7.683 | 0.5687 |
| PD-L1 | 1.44 ± 3.267 | 11.190 ± 10.902 | <0.0001 |
| CD163 | 6.84 ± 6.27 | 7.619 ±6.136 | 0.6646 |
| CD8 | 17.72 ± 14.073 | 18.095 ± 16.239 | 0.9318 |
| Tenascin-C | 1.84 ± 2.095 | 4.333 ± 4.757 | 0.0222 |
| Non-Metastatic Regional Lymph Nodes (n = 63) | Metastatic Lymph Nodes (n = 13) | p | |
|---|---|---|---|
| S100A/S100B | 4.619 ± 5.428 | 5 ± 6.461 | 0.8611 |
| PD-L1 | 2.921 ± 5.796 | 8.444 ± 13.621 | 0.0597 |
| CD163 | 4.889 ± 5.778 | 4.111 ± 6.864 | 0.7152 |
| CD8 | 15.651 ± 11.83 | 24.444 ± 15.092 | 0.0656 |
| Tenascin-C | 2.429 ± 3.901 | 15.444 ± 13.173 | <0.0001 |
| Control Lymph Nodes (n = 21) | Metastatic Lymph Nodes (n = 13) | p | |
|---|---|---|---|
| S100A/S100B | 4.857 ± 7.683 | 5 ± 6.461 | 0.9532 |
| PD-L1 | 11.190 ± 10.902 | 8.444 ± 13.621 | 0.3986 |
| CD163 | 7.619 ± 6.136 | 4.111 ± 6.864 | 0.1433 |
| CD8 | 18.095 ± 16.239 | 24.444 ± 15.092 | 0.2318 |
| Tenascin-C | 4.333 ± 4.757 | 15.444 ± 13.173 | <0.0001 |
Disclaimer/Publisher’s Note: The statements, opinions and data contained in all publications are solely those of the individual author(s) and contributor(s) and not of MDPI and/or the editor(s). MDPI and/or the editor(s) disclaim responsibility for any injury to people or property resulting from any ideas, methods, instructions or products referred to in the content. |
© 2023 by the authors. Licensee MDPI, Basel, Switzerland. This article is an open access article distributed under the terms and conditions of the Creative Commons Attribution (CC BY) license (https://creativecommons.org/licenses/by/4.0/).
Share and Cite
Karpathiou, G.; Orlando, F.; Dumollard, J.M.; Mobarki, M.; Chauleur, C.; Péoc’h, M. The Premetastatic Lymph Node Niche in Gynecologic Cancer. Int. J. Mol. Sci. 2023, 24, 4171. https://doi.org/10.3390/ijms24044171
Karpathiou G, Orlando F, Dumollard JM, Mobarki M, Chauleur C, Péoc’h M. The Premetastatic Lymph Node Niche in Gynecologic Cancer. International Journal of Molecular Sciences. 2023; 24(4):4171. https://doi.org/10.3390/ijms24044171
Chicago/Turabian StyleKarpathiou, Georgia, Fabio Orlando, Jean Marc Dumollard, Mousa Mobarki, Celine Chauleur, and Michel Péoc’h. 2023. "The Premetastatic Lymph Node Niche in Gynecologic Cancer" International Journal of Molecular Sciences 24, no. 4: 4171. https://doi.org/10.3390/ijms24044171
APA StyleKarpathiou, G., Orlando, F., Dumollard, J. M., Mobarki, M., Chauleur, C., & Péoc’h, M. (2023). The Premetastatic Lymph Node Niche in Gynecologic Cancer. International Journal of Molecular Sciences, 24(4), 4171. https://doi.org/10.3390/ijms24044171

