Torilis japonica Extract Suppresses the Induction of Atopic Inflammation
Abstract
1. Introduction
2. Results
2.1. Identifying Torilin in TJE
2.2. Verifying the Cytotoxicity of TJE
2.3. Skin Cell Cycle and Regeneration Regulation by TJE
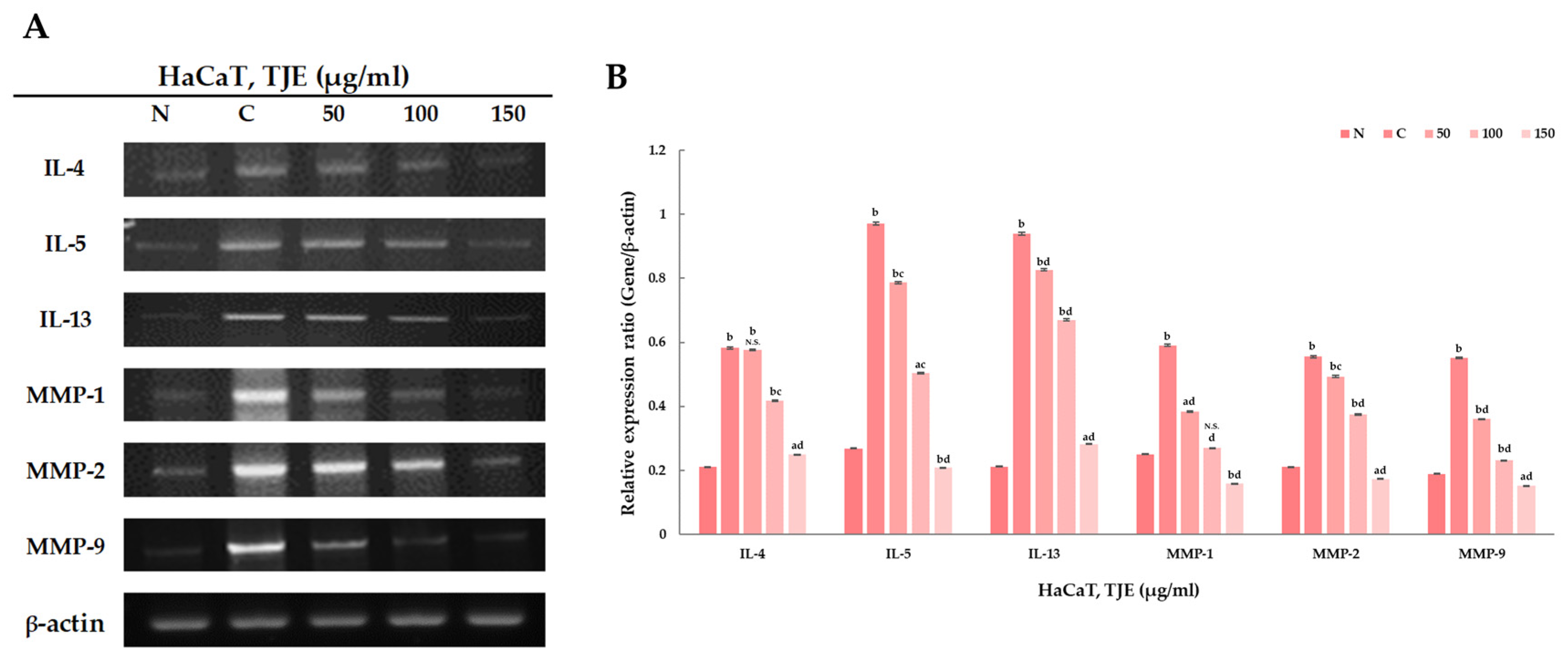
2.4. TJE Treatment Regulated the Indicator of Atopic Inflammation in HaCaT Keratinocytes
2.5. TJE Was Associated with Anti-Atopic Dermatitis Effect in an Ex Vivo Model
3. Discussion
4. Materials and Methods
4.1. Plant Material and Preparation of TJE
4.2. High-Performance Liquid Chromatography (HPLC) and NMR Analysis
4.2.1. Torilis japonica Extract HPLC Analysis
4.2.2. The Marker Components HPLC Analysis
4.2.3. NMR Analysis
4.3. Cell Culture
4.4. Cell Proliferation Assay (MTT Assay)
4.5. Cell Migration Assay
4.6. Cell Viability Assay (Flow Cytometry)
4.7. Determination of Cell Cycle (Flow Cytometry)
4.8. ELISA Assay
4.9. Reverse Transcription Polymerase Chain Reaction (RT-PCR)
4.10. RhCE Assay (Eye Irritation Test)
4.11. Organotypic 3D Cell Culture Model
4.12. H&E (Harris’ Hematoxylin and Eosin) Stain
4.13. Statistical Analysis
Author Contributions
Funding
Institutional Review Board Statement
Informed Consent Statement
Data Availability Statement
Conflicts of Interest
References
- Nam, G.H.; Jo, K.J.; Park, Y.S.; Kawk, H.W.; Yoo, J.G.; Jang, J.D.; Kang, S.M.; Kim, S.Y.; Kim, Y.M. Bacillus/Trapa japonica Fruit Extract Ferment Filtrate enhances human hair follicle dermal papilla cell proliferation via the Akt/ERK/GSK-3β signaling pathway. BMC Complement. Altern. Med. 2019, 19, 104. [Google Scholar] [CrossRef]
- Nutten, S. Atopic dermatitis: Global epidemiology and risk factors. Ann. Nutr. Metab. 2015, 66, 8–16. [Google Scholar] [CrossRef] [PubMed]
- Werfel, T.; Allam, J.P.; Biedermann, T.; Eyerich, K.; Gilles, S.; Guttman-Yassky, E.; Hoetzenecker, W.; Knol, E.; Simon, H.U.; Wolenberg, A.; et al. Cellular and molecular immunologic mechanisms in patients with atopic dermatitis. J. Allergy Clin. Immunol. 2016, 138, 336–349. [Google Scholar] [CrossRef] [PubMed]
- Nakatsuji, T.; Chen, T.H.; Narala, S.; Chun, K.A.; Two, A.M.; Yun, T.; Shafiq, F.; Kotol, P.F.; Bouslimani, A.; Melnik, A.V.; et al. Antimicrobials from human skin commensal bacteria protect against Staphylococcus aureus and are deficient in atopic dermatitis. Sci. Transl. Med. 2017, 9, eaah4680. [Google Scholar] [CrossRef]
- Choi, J.K.; Jang, Y.H.; Lee, S.; Lee, S.R.; Choi, Y.A.; Jin, M.; Choi, J.H.; Park, J.H.; Park, P.H.; Choi, H.J.; et al. Chrysin attenuates atopic dermatitis by suppressing inflammation of keratinocytes. Food Chem. Toxicol. 2017, 110, 142–150. [Google Scholar] [CrossRef] [PubMed]
- Cabanillas, B.; Novak, N. Atopic dermatitis and filaggrin. Curr. Opin. Immunol. 2016, 42, 1–8. [Google Scholar] [CrossRef] [PubMed]
- Gallegos-Alcalá, P.; Jiménez, M.; Cervantes-García, D.; Salinas, E. The Keratinocyte as a Crucial Cell in the Predisposition, Onset, Progression, Therapy and Study of the Atopic Dermatitis. Int. J. Mol. Sci. 2021, 22, 10661. [Google Scholar] [CrossRef] [PubMed]
- Furue, M.; Chiba, T.; Tsuji, G.; Ulzii, D.; Kido-Nakahara, M.; Nakahara, T.; Kadono, T. Atopic dermatitis: Immune deviation, barrier dysfunction, IgE autoreactivity and new therapies. Allergol. Int. 2017, 66, 398–403. [Google Scholar] [CrossRef]
- Mittermann, I.; Wikberg, G.; Johansson, C.; Lupinek, C.; Lundeberg, L.; Crameri, R.; Valenta, R.; Scheynius, A. IgE sensitization profiles differ between adult patients with severe and moderate atopic dermatitis. PLoS ONE 2016, 11, e0156077. [Google Scholar] [CrossRef]
- Nakatsuji, T.; Chen, T.H.; Two, A.M.; Chun, K.A.; Narala, S.; Geha, R.S.; Hata, T.R.; Gallo, R.L. Staphylococcus aureus exploits epidermal barrier defects in atopic dermatitis to trigger cytokine expression. J. Investig. Dermatol. 2016, 136, 2192–2200. [Google Scholar] [CrossRef]
- Batista, D.I.S.; Perez, L.; Orfali, R.L.; Zaniboni, M.C.; Samorano, L.P.; Pereira, N.V.; Sotto, M.N.; Ishizaki, A.S.; Oliveira, L.M.S.; Sato, M.N.; et al. Profile of skin barrier proteins (filaggrin, claudins 1 and 4) and Th1/Th2/Th17 cytokines in adults with atopic dermatitis. J. Eur. Acad. Dermatol. Venereol. 2015, 29, 1091–1095. [Google Scholar] [CrossRef] [PubMed]
- Thijs, J.L.; Herath, A.; de Bruin-Weller, M.S.; Hijnen, D. Multiplex platform technology and bioinformatics are essential for development of biomarkers in atopic dermatitis. J. Allergy Clin. Immunol. 2017, 139, 1065. [Google Scholar] [CrossRef] [PubMed]
- Thijs, J.; Krastev, T.; Weidinger, S.; Buckens, C.F.; de Bruin-Weller, M.; Bruijnzeel-Koomen, C.; Flohr, C.; Hijnen, D. Biomarkers for atopic dermatitis: A systematic review and meta-analysis. Curr. Opin. Allergy Clin. Immunol. 2015, 15, 453–460. [Google Scholar] [CrossRef] [PubMed]
- Tamagawa-Mineoka, R. Biomarkers for Atopic Dermatitis in Children. Pediatr. Allergy Immunol. Pulmonol. 2016, 29, 164–169. [Google Scholar] [CrossRef]
- Lim, S.J.; Kim, M.; Randy, A.; Nam, E.J.; Nho, C.W. Effects of Hovenia dulcis Thunb. extract and methyl vanillate on atopic dermatitis-like skin lesions and TNF-α/IFN-γ-induced chemokines production in HaCaT cells. J. Pharm. Pharmacol. 2016, 68, 1465–1479. [Google Scholar] [CrossRef]
- Gandhi, N.A.; Pirozzi, G.; Graham, N.M. Commonality of the IL-4/IL-13 pathway in atopic diseases. Expert Rev. Clin. Immunol. 2017, 13, 425–437. [Google Scholar] [CrossRef] [PubMed]
- Meng, J.; Moriyama, M.; Feld, M.; Buddenkotte, J.; Buhl, T.; Szöllösi, A.; Zhang, J.; Miller, P.; Ghetti, A.; Fischer, M.; et al. New mechanism underlying IL-31–induced atopic dermatitis. J. Allergy Clin. Immunol. 2018, 141, 1677–1689. [Google Scholar] [CrossRef]
- Rizzo, J.M.; Oyelakin, A.; Min, S.; Smalley, K.; Bard, J.; Luo, W.; Nyquist, J.; Guttman-Yassky, E.; Yoshida, T.; De Benedetto, A.; et al. ΔNp63 regulates IL-33 and IL-31 signaling in atopic dermatitis. Cell Death Differ. 2016, 23, 1073. [Google Scholar] [CrossRef]
- Piipponen, M.; Li, D.; Landén, N.X. The immune functions of keratinocytes in skin wound healing. Int. J. Mol. Sci. 2020, 21, 8790. [Google Scholar] [CrossRef]
- Chiricozzi, A.; Maurelli, M.; Peris, K.; Girolomoni, G. Targeting IL-4 for the treatment of atopic dermatitis. Immunotargets Ther. 2020, 9, 151. [Google Scholar] [CrossRef]
- Turkeli, A.; Yilmaz, O.; Taneli, F.; Horasan, G.D.; Kanik, E.T.; Kizilkaya, M.; Gozukara, C.; Yuksel, H. IL-5, IL-8 and MMP-9 levels in exhaled breath condensate of atopic and nonatopic asthmatic children. Respir. Med. 2015, 109, 680–688. [Google Scholar] [CrossRef]
- Brunner, P.M.; Suárez-Fariñas, M.; He, H.; Malik, K.; Wen, H.C.; Gonzalez, J.; Chan, T.C.C.; Estrada, Y.; Zheng, X.; Khattri, S.; et al. The atopic dermatitis blood signature is characterized by increases in inflammatory and cardiovascular risk proteins. Sci. Rep. 2017, 7, 8707. [Google Scholar] [CrossRef] [PubMed]
- Ramezani, M.; Shamsara, J. An integrated structure-and pharmacophore-based MMP-12 virtual screening. Mol. Divers. 2018, 22, 383–395. [Google Scholar] [CrossRef] [PubMed]
- Hass, V.; Luque-Martinez, I.V.; Gutierrez, M.F.; Moreira, C.G.; Gotti, V.B.; Feitosa, V.P.; Koller, G.; Otuki, M.F.; Loguercio, A.D.; Reis, A. Collagen cross-linkers on dentin bonding: Stability of the adhesive interfaces, degree of conversion of the adhesive, cytotoxicity and in situ MMP inhibition. Dent. Mater. 2016, 32, 732–741. [Google Scholar] [CrossRef] [PubMed]
- Van Hove, I.; Lefevere, E.; De Groef, L.; Sergeys, J.; Salinas-Navarro, M.; Libert, C.; Vandenbroucke, R.; Moons, L. MMP-3 deficiency alleviates endotoxin-induced acute inflammation in the posterior eye segment. Int. J. Mol. Sci. 2016, 17, 1825. [Google Scholar] [CrossRef] [PubMed]
- Nam, G.H.; Jo, K.J.; Park, Y.S.; Kawk, H.W.; Kim, S.Y.; Kim, Y.M. In vitro and in vivo Induction of p53-Dependent Apoptosis by Extract of Euryale ferox Salisb in A549 Human Caucasian Lung Carcinoma Cancer Cells Is Mediated Through Akt Signaling Pathway. Front. Oncol. 2019, 9, 406. [Google Scholar] [CrossRef]
- Kim, G.T.; Lee, S.H.; Kim, Y.M. Torilis japonica extract-generated intracellular ROS induces apoptosis by reducing the mitochondrial membrane potential via regulation of the AMPK-p38 MAPK signaling pathway in HCT116 colon cancer. Int. J. Oncol. 2016, 49, 1088–1098. [Google Scholar] [CrossRef]
- Jang, J.D.; Kim, M.K.; Nam, G.H.; Kim, Y.M.; Kang, S.M.; Lee, K.Y.; Park, Y.J. Antiaging Activity of Peptide Identified from Fermented Trapa japonica Fruit Extract in Human Dermal Fibroblasts. Evid. Based Complement. Altern. Med. 2020, 2020, 5895029. [Google Scholar] [CrossRef]
- Jo, Y.H.; Ahn, J.H.; Kim, S.B.; Yun, C.Y.; Kim, Y.; Hwang, B.Y.; Lee, M.K. Sesquiterpenes from fruits of Torilis japonica with inhibitory activity on melanin synthesis in B16 cells. J. Nat. Med. 2018, 72, 155–160. [Google Scholar]
- Bieber, T.; Angelo, M.D.; Akdis, C.A.; Traidl-Hoffmann, C.; Lauener, R.; Schäppi, G.; Schmid-Grendelmeier, P. Clinical phenotypes and endophenotypes of atopic dermatitis: Where are we, and where should we go? J. Allergy Clin. Immunol. 2017, 139, S58–S64. [Google Scholar] [CrossRef]
- Venkatesan, J.; Anil, S.; Kim, S.K.; Shim, M. Marine fish proteins and peptides for cosmeceuticals: A review. Mar. Drugs 2017, 15, 143. [Google Scholar] [CrossRef] [PubMed]
- Kwon, S.S.; Kim, S.Y.; Kong, B.J.; Kim, K.J.; Noh, G.Y.; Im, N.R.; Lim, J.W.; Ha, J.H.; Kim, J.O.; Park, S.N. Cell penetrating peptide conjugated liposomes as transdermal delivery system of Polygonum aviculare L. extract. Int. J. Pharm. 2015, 483, 26–37. [Google Scholar] [CrossRef] [PubMed]
- Chen, Y.; Xian, Y.; Lai, Z.; Loo, S.; Chan, W.Y.; Lin, Z.X. Anti-inflammatory and anti-allergic effects and underlying mechanisms of Huang-Lian-Jie-Du extract: Implication for atopic dermatitis treatment. J. Ethnopharmacol. 2016, 185, 41–52. [Google Scholar] [CrossRef] [PubMed]
- Tsang, M.S.M.; Jiao, D.; Chan, B.C.L.; Hon, K.L.; Leung, P.C.; Lau, C.B.S.; Wong, E.C.W.; Cheng, L.; Chan, C.K.M.; Lam, C.W.K.; et al. Anti-inflammatory activities of pentaherbs formula, berberine, gallic acid and chlorogenic acid in atopic dermatitis-like skin inflammation. Molecules 2016, 21, 519. [Google Scholar] [CrossRef] [PubMed]






| HPLC Condition | |
|---|---|
| HPLC | Agilent 1200 series |
| Column | YMC J’sphere ODS-H80 (4.6 × 250 mm), S-4 μm, 8 nm |
| Detector | UV (254 nm) |
| Flow | 1 mL/min |
| Mobile phase(A: 0.05% TFA in Water, B: MeOH) | 80:20 (0-30.0 min), 0:100 (30.0 min) |
| HPLC Condition | |
|---|---|
| HPLC | Agilent 1200 series |
| Column | InertSustain C18 column (5 μm, 4.6 × 150 mm) |
| Detector | UV (254 nm) |
| Flow | 1 mL/min |
| Mobile phase | 20% to 100% MeOH in Water over 8.0 min followed by 100% MeOH to 13.0 min |
| NMR Condition |
|---|
| Identification by 1H-NMR to Consistent with the above structure |
| Purity tested by HPLC, 1H-NMR (95%) |
| Gene | Primer Sequence |
|---|---|
| IL-4 | F: 5′-GCCACCATGAGAAGGACACT-3′ |
| R: 5′-ACTCTGGTTGGCTTCCTTCA-3′ | |
| IL-5 | F: 5′-GAGACCTTGGCACTGCTTTC-3′ |
| R: 5′CAGTACCCCCTTGCACAGTT-3′ | |
| IL-13 | F: 5′-GTACTGTGCAGCCCTGGAAT-3′ |
| R: 5′-TTTACAAACTGGGCCACCTC-3′ | |
| MMP-1 | F: 5′-GGTCTCTGAGGGTCAAGCAG-3′ |
| R: 5′-AGTTCATGAGCTGCAACACG-3′ | |
| MMP-2 | F: 5′-ATGACAGCTGCACCACTGAG-3′ |
| R: 5′-ATTTGTTGCCCAGGAAAGTG-3′ | |
| MMP-9 | F: 5′-TTGACAGCGACAAGAAGTGG-3′ |
| R: 5′-GCCATTCACGTCGTCCTTAT-3′ |
Disclaimer/Publisher’s Note: The statements, opinions and data contained in all publications are solely those of the individual author(s) and contributor(s) and not of MDPI and/or the editor(s). MDPI and/or the editor(s) disclaim responsibility for any injury to people or property resulting from any ideas, methods, instructions or products referred to in the content. |
© 2023 by the authors. Licensee MDPI, Basel, Switzerland. This article is an open access article distributed under the terms and conditions of the Creative Commons Attribution (CC BY) license (https://creativecommons.org/licenses/by/4.0/).
Share and Cite
Seo, J.-W.; Lee, H.-J.; Youk, Y.-M.; Nam, G.-H.; Kim, Y.-M. Torilis japonica Extract Suppresses the Induction of Atopic Inflammation. Int. J. Mol. Sci. 2023, 24, 2102. https://doi.org/10.3390/ijms24032102
Seo J-W, Lee H-J, Youk Y-M, Nam G-H, Kim Y-M. Torilis japonica Extract Suppresses the Induction of Atopic Inflammation. International Journal of Molecular Sciences. 2023; 24(3):2102. https://doi.org/10.3390/ijms24032102
Chicago/Turabian StyleSeo, Ji-Won, Hyo-Jae Lee, Young-Mi Youk, Gun-He Nam, and Young-Min Kim. 2023. "Torilis japonica Extract Suppresses the Induction of Atopic Inflammation" International Journal of Molecular Sciences 24, no. 3: 2102. https://doi.org/10.3390/ijms24032102
APA StyleSeo, J.-W., Lee, H.-J., Youk, Y.-M., Nam, G.-H., & Kim, Y.-M. (2023). Torilis japonica Extract Suppresses the Induction of Atopic Inflammation. International Journal of Molecular Sciences, 24(3), 2102. https://doi.org/10.3390/ijms24032102

