Identification of the Major Protein Components of Human and Cow Saliva
Abstract
:1. Introduction
2. Results
2.1. Sample Collection of Cow and Human Saliva
2.2. SDS-PAGE Separation of Mouth Drippings from One Cow
2.3. LC-MS/MS Analysis of Individual Protein Bands from the SDS-PAGE Separation
2.4. Carbohydrate Content of the Salivary Components
2.5. Analysis of the Protein Bands in the Second Sampling of Drippings from Three Cows from the Commercial Farm
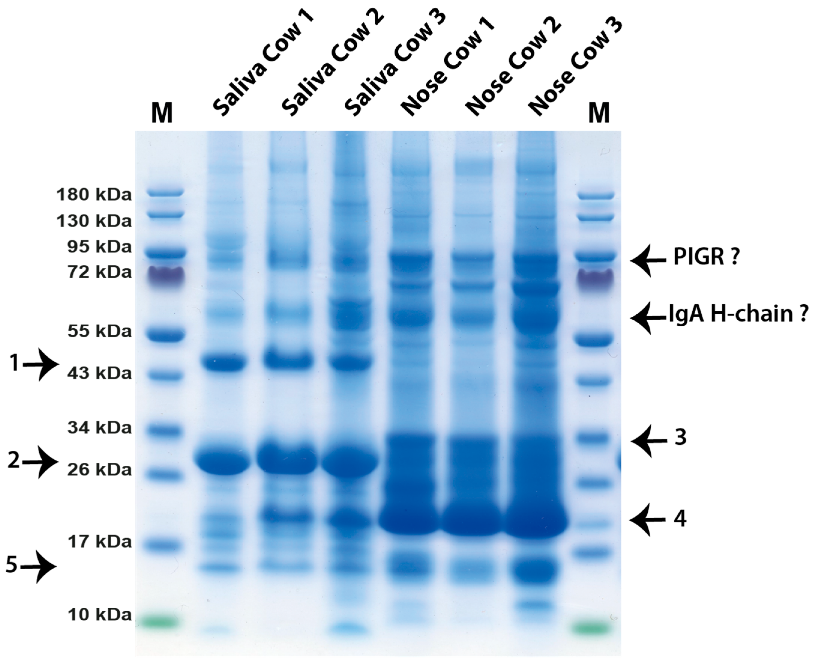
2.6. Analysis of the Protein Bands from Saliva and Nose of Three Cows
2.7. Analysis of the Protein Bands from Human Saliva of Five Different Persons
3. Discussion
4. Materials and Methods
4.1. SDS-PAGE Separation of Cow Salivary Proteins
4.2. Analysis of Major Gel Bands from the SDS-PAGE Separation with LC-MS/MS
4.3. Mass Spectrometry Acquisition
4.4. Data Analysis
Author Contributions
Funding
Data Availability Statement
Acknowledgments
Conflicts of Interest
Abbreviations
| IgA | immunoglobulin A |
| PIGR | poly Ig receptor |
References
- Lo, N.; Watanabe, H.; Sugimura, M. Evidence for the presence of a cellulase gene in the last common ancestor of bilaterian animals. Proc. Biol. Sci. 2003, 270 (Suppl. S1), S69–S72. [Google Scholar] [CrossRef] [PubMed]
- Reid, J.T.; Huffman, C.F. Some physical and chemical properties of bovine saliva which may affect rumen digestion and synthesis. J. Dairy Sci. 1949, 32, 123–132. [Google Scholar] [CrossRef]
- Saitou, M.; Gaylord, E.A.; Xu, E.; May, A.J.; Neznanova, L.; Nathan, S.; Grawe, A.; Chang, J.; Ryan, W.; Ruhl, S.; et al. Functional Specialization of Human Salivary Glands and Origins of Proteins Intrinsic to Human Saliva. Cell Rep. 2020, 33, 108402. [Google Scholar] [CrossRef] [PubMed]
- Bandhakavi, S.; Stone, M.D.; Onsongo, G.; Van Riper, S.K.; Griffin, T.J. A dynamic range compression and three-dimensional peptide fractionation analysis platform expands proteome coverage and the diagnostic potential of whole saliva. J. Proteome Res. 2009, 8, 5590–5600. [Google Scholar] [CrossRef]
- Messana, I.; Inzitari, R.; Fanali, C.; Cabras, T.; Castagnola, M. Facts and artifacts in proteomics of body fluids. What proteomics of saliva is telling us. J. Sep. Sci. 2008, 31, 1948–1963. [Google Scholar] [CrossRef]
- Cabras, T.; Iavarone, F.; Manconi, B.; Olianas, A.; Sanna, M.T.; Castagnola, M.; Messana, I. Top-down analytical platforms for the characterization of the human salivary proteome. Bioanalyisi 2014, 6, 563–581. [Google Scholar] [CrossRef]
- Bingle, C.D.; Seal, R.L.; Craven, C.J. Systematic nomenclature for the PLUNC/PSP/BSP30/SMGB proteins as a subfamily of the BPI fold-containing superfamily. Biochem. Soc. Trans. 2011, 39, 977–983. [Google Scholar] [CrossRef]
- Akula, S.; Hellman, L. The Appearance and Diversification of Receptors for IgM During Vertebrate Evolution. Curr. Top. Microbiol. Immunol. 2017, 408, 1–23. [Google Scholar]
- Akula, S.; Mohammadamin, S.; Hellman, L. Fc receptors for immunoglobulins and their appearance during vertebrate evolution. PLoS ONE 2014, 9, e96903. [Google Scholar] [CrossRef]
- Kivela, J.; Parkkila, S.; Parkkila, A.K.; Leinonen, J.; Rajaniemi, H. Salivary carbonic anhydrase isoenzyme VI. J. Physiol. 1999, 520 Pt 2, 315–320. [Google Scholar] [CrossRef]
- Asari, M.; Miura, K.; Ichihara, N.; Nishita, T.; Amasaki, H. Distribution of carbonic anhydrase isozyme VI in the developing bovine parotid gland. Cells Tissues Organs 2000, 167, 18–24. [Google Scholar] [CrossRef] [PubMed]
- Pevsner, J.; Sklar, P.B.; Snyder, S.H. Odorant-binding protein: Localization to nasal glands and secretions. Proc. Natl. Acad. Sci. USA 1986, 83, 4942–4946. [Google Scholar] [CrossRef] [PubMed]
- Wheeler, T.T.; Haigh, B.J.; Broadhurst, M.K.; Hood, K.A.; Maqbool, N.J. The BPI-like/PLUNC family proteins in cattle. Biochem. Soc. Trans. 2011, 39, 1006–1011. [Google Scholar] [CrossRef] [PubMed]
- Jackson, B.C.; Thompson, D.C.; Wright, M.W.; McAndrews, M.; Bernard, A.; Nebert, D.W. Update of the human secretoglobin (SCGB) gene superfamily and an example of ‘evolutionary bloom’ of androgen-binding protein genes within the mouse Scgb gene superfamily. Hum. Genom. 2011, 5, 691–702. [Google Scholar] [CrossRef]
- Mootz, M.; Jakwerth, C.A.; Schmidt-Weber, C.B.; Zissler, U.M. Secretoglobins in the big picture of immunoregulation in airway diseases. Allergy 2021, 77, 767–777. [Google Scholar] [CrossRef]
- Ambatipudi, K.S.; Lu, B.; Hagen, F.K.; Melvin, J.E.; Yates, J.R. Quantitative analysis of age specific variation in the abundance of human female parotid salivary proteins. J. Proteome Res. 2009, 8, 5093–5102. [Google Scholar] [CrossRef]
- Prodan, A.; Brand, H.S.; Ligtenberg, A.J.M.; Imangaliyev, S.; Tsivtsivadze, E.; van der Weijden, F.; Crielaard, W.; Keijser, B.J.F.; Veerman, E.C.I. Interindividual variation, correlations, and sex-related differences in the salivary biochemistry of young healthy adults. Eur. J. Oral Sci. 2015, 123, 149–157. [Google Scholar] [CrossRef]
- Nandula, S.R.; Huxford, I.; Wheeler, T.T.; Aparicio, C.; Gorr, S.U. The parotid secretory protein BPIFA2 is a salivary surfactant that affects lipopolysaccharide action. Exp. Physiol. 2020, 105, 1280–1292. [Google Scholar] [CrossRef]
- Cross, B.W.; Ruhl, S. Glycan recognition at the saliva-oral microbiome interface. Cell Immunol. 2018, 333, 19–33. [Google Scholar] [CrossRef]
- Fouhse, J.M.; Smiegielski, L.; Tuplin, M.; Guan, L.L.; Willing, B.P. Host Immune Selection of Rumen Bacteria through Salivary Secretory IgA. Front. Microbiol. 2017, 8, 848. [Google Scholar] [CrossRef]
- Sun, J.S.; Xiao, S.; Carlson, J.R. The diverse small proteins called odorant-binding proteins. Open Biol. 2018, 8, 180208. [Google Scholar] [CrossRef] [PubMed]
- Muthukumar, S.; Rajesh, D.; Selvam, R.M.; Saibaba, G.; Suvaithenamudhan, S.; Akbarsha, M.A.; Padmanabhan, P.; Gulyas, B.; Archunan, G. Buffalo nasal odorant-binding protein (bunOBP) and its structural evaluation with putative pheromones. Sci. Rep. 2018, 8, 9323. [Google Scholar] [CrossRef] [PubMed]
- Pelosi, P.; Knoll, W. Odorant-binding proteins of mammals. Biol. Rev. Camb. Philos. Soc. 2021, 97, 22–24. [Google Scholar] [CrossRef] [PubMed]
- Zhou, J.J. Odorant-binding proteins in insects. Vitam. Horm. 2010, 83, 241–272. [Google Scholar]
- Bignetti, E.; Cavaggioni, A.; Pelosi, P.; Persaud, K.C.; Sorbi, R.T.; Tirindelli, R. Purification and characterisation of an odorant-binding protein from cow nasal tissue. Eur. J. Biochem./FEBS 1985, 149, 227–231. [Google Scholar] [CrossRef]
- Neuhoff, V.; Arold, N.; Taube, D.; Ehrhardt, W. Improved staining of proteins in polyacrylamide gels including isoelectric focusing gels with clear background at nanogram sensitivity using Coomassie Brilliant Blue G-250 and R-250. Electrophoresis 1988, 9, 255–262. [Google Scholar] [CrossRef]




Disclaimer/Publisher’s Note: The statements, opinions and data contained in all publications are solely those of the individual author(s) and contributor(s) and not of MDPI and/or the editor(s). MDPI and/or the editor(s) disclaim responsibility for any injury to people or property resulting from any ideas, methods, instructions or products referred to in the content. |
© 2023 by the authors. Licensee MDPI, Basel, Switzerland. This article is an open access article distributed under the terms and conditions of the Creative Commons Attribution (CC BY) license (https://creativecommons.org/licenses/by/4.0/).
Share and Cite
Akula, S.; Welinder, C.; Fu, Z.; Olsson, A.-K.; Hellman, L. Identification of the Major Protein Components of Human and Cow Saliva. Int. J. Mol. Sci. 2023, 24, 16838. https://doi.org/10.3390/ijms242316838
Akula S, Welinder C, Fu Z, Olsson A-K, Hellman L. Identification of the Major Protein Components of Human and Cow Saliva. International Journal of Molecular Sciences. 2023; 24(23):16838. https://doi.org/10.3390/ijms242316838
Chicago/Turabian StyleAkula, Srinivas, Charlotte Welinder, Zhirong Fu, Anna-Karin Olsson, and Lars Hellman. 2023. "Identification of the Major Protein Components of Human and Cow Saliva" International Journal of Molecular Sciences 24, no. 23: 16838. https://doi.org/10.3390/ijms242316838
APA StyleAkula, S., Welinder, C., Fu, Z., Olsson, A.-K., & Hellman, L. (2023). Identification of the Major Protein Components of Human and Cow Saliva. International Journal of Molecular Sciences, 24(23), 16838. https://doi.org/10.3390/ijms242316838

