Identification and Functional Verification of CITED2 Gene Promoter Region in Patients with Patent Ductus Arteriosus
Abstract
:1. Introduction
2. Results
2.1. Variant Analysis of CITED2 Gene Promoter Region
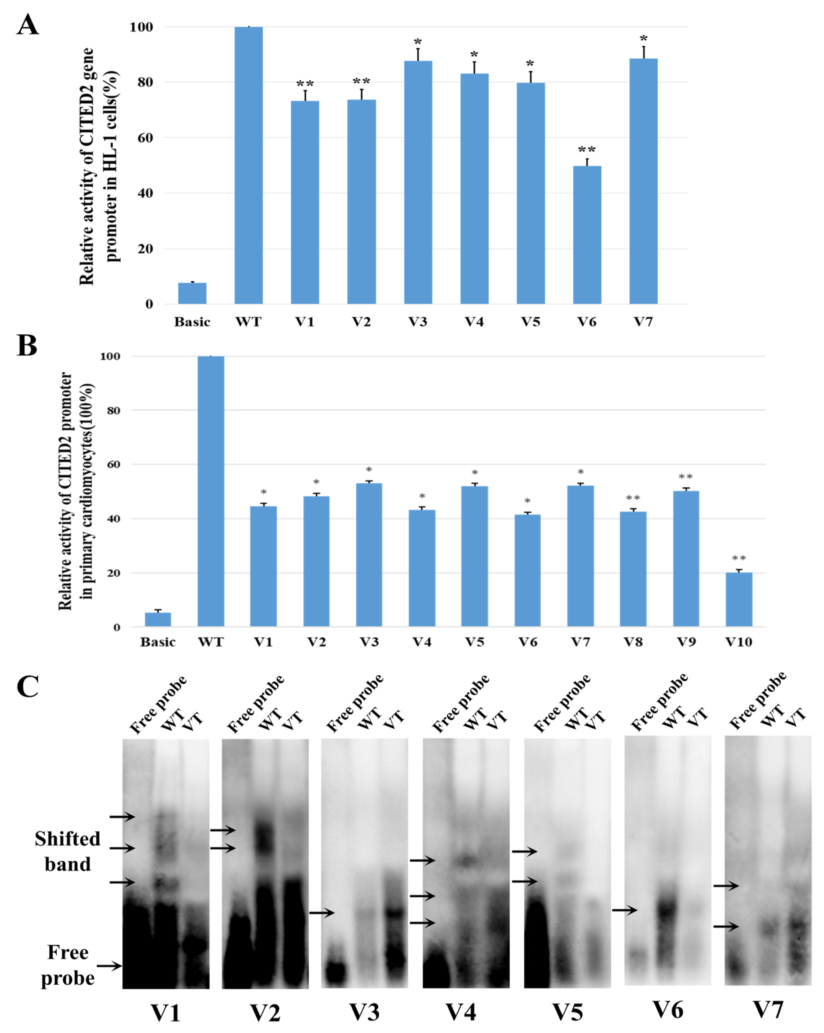
2.2. Effect of CITED2 Promoter Variant on Dual-Luciferase Assay
2.3. Changes in Transcription Factor Binding Sites Are Affected by Genetic Variant
3. Discussion
4. Methods
4.1. Participants
4.2. Genomic DNA Extraction and Sequence Analysis
4.3. Site-Directed Mutagenesis and Plasmid Construction
4.4. Cell Culture, Transfection, and Dual-Luciferase Assays
4.5. Transcription Factor Binding Site Prediction
4.6. Electrophoretic Mobility Shift Assay
4.7. Statistical Analysis
5. Conclusions
Supplementary Materials
Author Contributions
Funding
Institutional Review Board Statement
Informed Consent Statement
Data Availability Statement
Acknowledgments
Conflicts of Interest
References
- Mos, C. Patent ductus arteriosus. Med. Ultrason. 2010, 12, 153–156. [Google Scholar] [PubMed]
- Reller, M.D.; Strickland, M.J.; Riehle-Colarusso, T.; Mahle, W.T.; Correa, A. Prevalence of congenital heart defects in metropolitan Atlanta, 1998–2005. J. Pediatr. 2008, 153, 807–813. [Google Scholar] [CrossRef] [PubMed]
- Lemons, J.A.; Bauer, C.R.; Oh, W.; Korones, S.B.; Papile, L.A.; Stoll, B.J.; Verter, J.; Temprosa, M.; Wright, L.L.; Ehrenkranz, R.A.; et al. Very low birth weight outcomes of the National Institute of Child health and human development neonatal research network, January 1995 through December 1996. NICHD Neonatal Research Network. Pediatrics 2001, 107, E1. [Google Scholar] [CrossRef] [PubMed]
- Hundscheid, T.; Onland, W.; Kooi, E.; Vijlbrief, D.C.; de Vries, W.B.; Dijkman, K.P.; van Kaam, A.H.; Villamor, E.; Kroon, A.A.; Visser, R.; et al. Expectant Management or Early Ibuprofen for Patent Ductus Arteriosus. N. Engl. J. Med. 2023, 388, 980–990. [Google Scholar] [CrossRef] [PubMed]
- Hung, Y.C.; Yeh, J.L.; Hsu, J.H. Molecular Mechanisms for Regulating Postnatal Ductus Arteriosus Closure. Int. J. Mol. Sci. 2018, 19, 1861. [Google Scholar] [CrossRef] [PubMed]
- Zhou, Z.; Gu, Y.; Zheng, H.; Yan, C.; Liu, Q.; Li, S.; Song, H.; Xu, Z.; Jin, J.; Hu, H.; et al. Interventional Occlusion of Large Patent Ductus Arteriosus in Adults with Severe Pulmonary Hypertension. J. Clin. Med. 2023, 12, 354. [Google Scholar] [CrossRef] [PubMed]
- Sallmon, H.; Weber, S.C.; Huning, B.; Stein, A.; Horn, P.A.; Metze, B.C.; Dame, C.; Buhrer, C.; Felderhoff-Muser, U.; Hansmann, G.; et al. Thrombocytopenia in the first 24 hours after birth and incidence of patent ductus arteriosus. Pediatrics 2012, 130, e623–e630. [Google Scholar] [CrossRef] [PubMed]
- Benitz, W.E. Patent Ductus Arteriosus in Preterm Infants. Pediatrics 2016, 137, e20153730. [Google Scholar] [CrossRef]
- Weninger, W.J.; Lopes, F.K.; Bennett, M.B.; Withington, S.L.; Preis, J.I.; Barbera, J.P.; Mohun, T.J.; Dunwoodie, S.L. Cited2 is required both for heart morphogenesis and establishment of the left-right axis in mouse development. Development 2005, 132, 1337–1348. [Google Scholar] [CrossRef]
- Bamforth, S.D.; Braganca, J.; Farthing, C.R.; Schneider, J.E.; Broadbent, C.; Michell, A.C.; Clarke, K.; Neubauer, S.; Norris, D.; Brown, N.A.; et al. Cited2 controls left-right patterning and heart development through a Nodal-Pitx2c pathway. Nat. Genet. 2004, 36, 1189–1196. [Google Scholar] [CrossRef]
- Bamforth, S.D.; Braganca, J.; Eloranta, J.J.; Murdoch, J.N.; Marques, F.I.; Kranc, K.R.; Farza, H.; Henderson, D.J.; Hurst, H.C.; Bhattacharya, S. Cardiac malformations, adrenal agenesis, neural crest defects and exencephaly in mice lacking Cited2, a new Tfap2 co-activator. Nat. Genet. 2001, 29, 469–474. [Google Scholar] [CrossRef] [PubMed]
- Sperling, S.; Grimm, C.H.; Dunkel, I.; Mebus, S.; Sperling, H.P.; Ebner, A.; Galli, R.; Lehrach, H.; Fusch, C.; Berger, F.; et al. Identification and functional analysis of CITED2 mutations in patients with congenital heart defects. Hum. Mutat. 2005, 26, 575–582. [Google Scholar] [CrossRef] [PubMed]
- Yang, X.F.; Wu, X.Y.; Li, M.; Li, Y.G.; Dai, J.T.; Bai, Y.H.; Tian, J. Mutation analysis of Cited2 in patients with congenital heart disease. Zhonghua Er Ke Za Zhi 2010, 48, 293–296. [Google Scholar]
- Xu, M.; Wu, X.; Li, Y.; Yang, X.; Hu, J.; Zheng, M.; Tian, J. CITED2 mutation and methylation in children with congenital heart disease. J. Biomed. Sci. 2014, 21, 7. [Google Scholar] [CrossRef] [PubMed]
- Smale, S.T.; Kadonaga, J.T. The RNA polymerase II core promoter. Annu. Rev. Biochem. 2003, 72, 449–479. [Google Scholar] [CrossRef] [PubMed]
- Kazachkova, N.; Raposo, M.; Ramos, A.; Montiel, R.; Lima, M. Promoter Variant Alters Expression of the Autophagic BECN1 Gene: Implications for Clinical Manifestations of Machado-Joseph Disease. Cerebellum 2017, 16, 957–963. [Google Scholar] [CrossRef] [PubMed]
- Chen, Z.; Chen, H.X.; Hou, H.T.; Yin, X.Y.; Yang, Q.; Han, J.; He, G.W. Genetic Variants of CITED2 Gene Promoter in Human Atrial Septal Defects: Case-Control Study and Cellular Functional Verification. J. Cardiovasc. Dev. Dis. 2022, 9, 321. [Google Scholar] [CrossRef] [PubMed]
- Chen, Z.; Chen, H.X.; Hou, H.T.; Yin, X.Y.; Yang, Q.; He, G.W. Pathophysiological Role of Variants of the Promoter Region of CITED2 Gene in Sporadic Tetralogy of Fallot Patients with Cellular Function Verification. Biomolecules 2022, 12, 1644. [Google Scholar] [CrossRef]
- Fahed, A.C.; Gelb, B.D.; Seidman, J.G.; Seidman, C.E. Genetics of congenital heart disease: The glass half empty. Circ. Res. 2013, 112, 707–720. [Google Scholar] [CrossRef]
- Withington, S.L.; Scott, A.N.; Saunders, D.N.; Lopes, F.K.; Preis, J.I.; Michalicek, J.; Maclean, K.; Sparrow, D.B.; Barbera, J.P.; Dunwoodie, S.L. Loss of Cited2 affects trophoblast formation and vascularization of the mouse placenta. Dev. Biol. 2006, 294, 67–82. [Google Scholar] [CrossRef]
- Huang, T.; Gonzalez, Y.R.; Qu, D.; Huang, E.; Safarpour, F.; Wang, E.; Joselin, A.; Im, D.S.; Callaghan, S.M.; Boonying, W.; et al. The pro-death role of Cited2 in stroke is regulated by E2F1/4 transcription factors. J. Biol. Chem. 2019, 294, 8617–8629. [Google Scholar] [CrossRef] [PubMed]
- Han, B.; Liu, N.; Yang, X.; Sun, H.B.; Yang, Y.C. MRG1 expression in fibroblasts is regulated by Sp1/Sp3 and an Ets transcription factor. J. Biol. Chem. 2001, 276, 7937–7942. [Google Scholar] [CrossRef] [PubMed]
- Wollenick, K.; Hu, J.; Kristiansen, G.; Schraml, P.; Rehrauer, H.; Berchner-Pfannschmidt, U.; Fandrey, J.; Wenger, R.H.; Stiehl, D.P. Synthetic transactivation screening reveals ETV4 as broad coactivator of hypoxia-inducible factor signaling. Nucleic Acids Res. 2012, 40, 1928–1943. [Google Scholar] [CrossRef] [PubMed]
- Dong, D.; Zhang, Y.; Reece, E.A.; Wang, L.; Harman, C.R.; Yang, P. microRNA expression profiling and functional annotation analysis of their targets modulated by oxidative stress during embryonic heart development in diabetic mice. Reprod. Toxicol. 2016, 65, 365–374. [Google Scholar] [CrossRef] [PubMed]
- Zhu, H.; Li, J.; Li, Y.; Zheng, Z.; Guan, H.; Wang, H.; Tao, K.; Liu, J.; Wang, Y.; Zhang, W.; et al. Glucocorticoid counteracts cellular mechanoresponses by LINC01569-dependent glucocorticoid receptor-mediated mRNA decay. Sci. Adv. 2021, 7, eabd9923. [Google Scholar] [CrossRef] [PubMed]
- Zheng, S.Q.; Chen, H.X.; Liu, X.C.; Yang, Q.; He, G.W. Genetic analysis of the CITED2 gene promoter in isolated and sporadic congenital ventricular septal defects. J. Cell. Mol. Med. 2021, 25, 2254–2261. [Google Scholar] [CrossRef] [PubMed]
- Ravi, V.; Jain, A.; Taneja, A.; Chatterjee, K.; Sundaresan, N.R. Isolation and Culture of Neonatal Murine Primary Cardiomyocytes. Curr. Protoc. 2021, 1, e196. [Google Scholar] [CrossRef]



| Variations | PDA a | Controls a | Position b | Genotypes | Allele Frequency c | p-Value | |
|---|---|---|---|---|---|---|---|
| Only Discovered in PDA Patients and Further Validated | Total | East Asian | |||||
| g.3949 C > T(rs76315931) | 1 | 0 | −1052 bp | CT | A = 0.06612 | A = 0.000 | >0.9999 # |
| g.4461 T > C | 1 | 0 | −540 bp | TC | - | - | >0.9999 # |
| g.4735 T > C | 1 | 0 | −266 bp | TC | - | - | >0.9999 # |
| g.5059 G > A(rs1308068829) | 1 | 0 | +58 bp | GT | T = 0.00001314 | T = 0.000 | >0.9999 # |
| g.4047_4048insC (rs1223604040) | 1 | 0 | −954 bp_−953 bp | InsC | dupG = 0.00000 | dupG = 0.00000 | >0.9999 # |
| g.4330_4331insC (rs1298132522) | 1 | 0 | −671 bp_−670 bp | InsC | dupG = 0.00000 | dupG = 0.00000 | >0.9999 # |
| g.4808_4815delGGGGCGAC (rs983891177) | 1 | 0 | −193 bp_−186 bp | DelGGGGCGAC | - | - | >0.9999 # |
| g.4935C > T(rs111470468) | 1 | 0 | −66 bp | CT | A = 0.015720 | A = 0.0003 | >0.9999 # |
| g.5108 C > T(rs995827210) | 1 | 0 | +107 bp | CT | A = 0.000100 | A = 0.0000 | >0.9999 # |
| g.5027C > T (rs112831934) | 4 | 0 | +26 bp | CT | A = 0.0005846 | A = 0.001541 | 0.1303 |
| Discovered in both PDA patients and control (No Further Validation) | |||||||
| g.4285T > G(rs12333191) | 26 | 33 | −716 bp | TG | C = 0.231281 | C = 0.0467 | 0.7827 |
| g.4357G > A(rs76757432) | 3 | 16 | −644 bp | GA | T = 0.094422 | T = 0.0006 | 0.0084 |
| g.5122C > A(rs570422697) | 2 | 1 | +121 bp | CA | T = 0.000029 | T = 0.0013 | 0.5989 |
| Variations | Binding Sites for Transcription Factors | |
|---|---|---|
| Create | Disrupt | |
| g.3949C > T (rs76315931) | BATF, ISL1, MZF1 | BACH1, BACH2, FOSL2, ISL2, MAFK, NKX2-8, THAP1, ZNF264 |
| g.4461T > C | GATA2, MSGN1, VAX1, VAX2 | BARX1, E2F3, E2F3, ETV2, FOXL1, FOXP3, GSC, GSC2, GSX2, HOXB13, OTX1, OTX2, POU6F1, POU6F2, RAX, RHOXF2, SOX18 |
| g.4735T > C | ERF, ETV2, SPDEF, ETV5, ETV7, FLI1, REL, RELA, RELB, TCF3, VEZF1 | EGR1, NFATC2, PITX2, PITX3, SPI1, ZNF880 |
| g.5059 G > A (rs1308068829) | E2F4, E2F6, ELK1::FOXI1, FOXC1, FOXC2, FOXD2, FOXP3, GATA3, NFATC2, NFATC4, PRDM1, STAT1::STAT2, THAP1, ZNF518A, ZNF98 | CDX4, ETV6, ETV7, GATA3, HOXA10, HOXA7, HOXD13, HOXD9, KLF5, MYB, MZF1, NR2C2, RELB, SP5, VAX2, ZNF264, ZNF674 |
| g.4047_4048insC (rs1223604040) | FOXL1, GL13, ZNF571 | EGR1, GCM2, ZNF460 |
| g.4330_4331insC (rs1298132522) | None | CTCFL, EGR1, TFAP2B, TFAP2C, THAP1 |
| g.4808_4815delGGGGCGAC (rs983891177) | None | SOX18, SP1 |
Disclaimer/Publisher’s Note: The statements, opinions and data contained in all publications are solely those of the individual author(s) and contributor(s) and not of MDPI and/or the editor(s). MDPI and/or the editor(s) disclaim responsibility for any injury to people or property resulting from any ideas, methods, instructions or products referred to in the content. |
© 2023 by the authors. Licensee MDPI, Basel, Switzerland. This article is an open access article distributed under the terms and conditions of the Creative Commons Attribution (CC BY) license (https://creativecommons.org/licenses/by/4.0/).
Share and Cite
Chen, Z.; Chen, H.-X.; Hou, H.-T.; Yin, X.-Y.; Yang, Q.; He, G.-W. Identification and Functional Verification of CITED2 Gene Promoter Region in Patients with Patent Ductus Arteriosus. Int. J. Mol. Sci. 2023, 24, 16204. https://doi.org/10.3390/ijms242216204
Chen Z, Chen H-X, Hou H-T, Yin X-Y, Yang Q, He G-W. Identification and Functional Verification of CITED2 Gene Promoter Region in Patients with Patent Ductus Arteriosus. International Journal of Molecular Sciences. 2023; 24(22):16204. https://doi.org/10.3390/ijms242216204
Chicago/Turabian StyleChen, Zhuo, Huan-Xin Chen, Hai-Tao Hou, Xiu-Yun Yin, Qin Yang, and Guo-Wei He. 2023. "Identification and Functional Verification of CITED2 Gene Promoter Region in Patients with Patent Ductus Arteriosus" International Journal of Molecular Sciences 24, no. 22: 16204. https://doi.org/10.3390/ijms242216204
APA StyleChen, Z., Chen, H.-X., Hou, H.-T., Yin, X.-Y., Yang, Q., & He, G.-W. (2023). Identification and Functional Verification of CITED2 Gene Promoter Region in Patients with Patent Ductus Arteriosus. International Journal of Molecular Sciences, 24(22), 16204. https://doi.org/10.3390/ijms242216204

