Patient with PSEN1 Glu318Gly and Other Possible Disease Risk Mutations, Diagnosed with Early Onset Alzheimer’s Disease
Abstract
1. Introduction
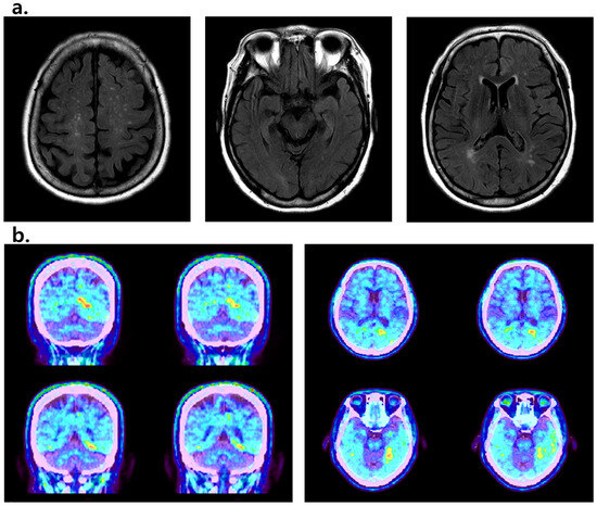
2. Case Presentation
3. Methods
4. Results
5. Discussion
Supplementary Materials
Author Contributions
Funding
Institutional Review Board Statement
Informed Consent Statement
Data Availability Statement
Conflicts of Interest
References
- Van der Flier, W.M. Clinical heterogeneity in familial Alzheimer’s disease. Lancet Neurol. 2016, 15, 1296–1298. [Google Scholar] [CrossRef] [PubMed]
- Yang, Y.; Bagyinszky, E.; An, S.S.A. Presenilin-1 (PSEN1) Mutations: Clinical Phenotypes beyond Alzheimer’s Disease. Int. J. Mol. Sci. 2023, 24, 8417. [Google Scholar] [CrossRef] [PubMed]
- Cuccaro, M.L.; Carney, R.M.; Zhang, Y.; Bohm, C.; Kunkle, B.W.; Vardarajan, B.N.; Whitehead, P.L.; Cukier, H.N.; Mayeux, R.; George-Hyslop, P.S.; et al. SORL1 mutations in early- and late-onset Alzheimer disease. Neurol. Genet. 2016, 2, e116. [Google Scholar] [CrossRef] [PubMed]
- Aikawa, T.; Holm, M.-L.; Kanekiyo, T. ABCA7 and Pathogenic Pathways of Alzheimer’s Disease. Brain Sci. 2018, 8, 27. [Google Scholar] [CrossRef] [PubMed]
- Charbonnier, C.; Quenez, O.; Bellenguez, C.; Grenier-Boley, B.; Rousseau, S.; Richard, A.-C.; Rovelet-Lecrux, A.; Le Guennec, K.; Bacq, D.; Garnier, J.-G.; et al. SORL1 rare variants: A major risk factor for familial early-onset Alzheimer’s disease. Mol. Psychiatry 2016, 21, 831–836. [Google Scholar] [CrossRef]
- Lee, J.H.; Barral, S.; Reitz, C. The neuronal sortilin-related receptor gene SORL1 and late-onset Alzheimer’s disease. Curr. Neurol. Neurosci. Rep. 2008, 8, 384–391. [Google Scholar] [CrossRef]
- Bossaerts, L.; Van de Craen, E.H.; Cacace, R.; Asselbergh, B.; Van Broeckhoven, C. Rare missense mutations in ABCA7 might increase Alzheimer’s disease risk by plasma membrane exclusion. Acta Neuropathol. Commun. 2022, 10, 43. [Google Scholar] [CrossRef]
- Chou, C.-T.; Liao, Y.-C.; Lee, W.-J.; Wang, S.-J.; Fuh, J.-L. SORL1 gene, plasma biomarkers, and the risk of Alzheimer’s disease for the Han Chinese population in Taiwan. Alzheimer’s Res. Ther. 2016, 8, 53. [Google Scholar] [CrossRef]
- Chen, Y.-C.; Chang, S.-C.; Lee, Y.-S.; Ho, W.-M.; Huang, Y.-H.; Wu, Y.-Y.; Chu, Y.-C.; Wu, K.-H.; Wei, L.-S.; Wang, H.-L.; et al. TOMM40 Genetic Variants Cause Neuroinflammation in Alzheimer’s Disease. Int. J. Mol. Sci. 2023, 24, 4085. [Google Scholar] [CrossRef]
- Lee, E.-G.; Chen, S.; Leong, L.; Tulloch, J.; Yu, C.-E. TOMM40 RNA Transcription in Alzheimer’s Disease Brain and Its Implication in Mitochondrial Dysfunction. Genes 2021, 12, 871. [Google Scholar] [CrossRef]
- Ashleigh, T.; Swerdlow, R.H.; Beal, M.F. The role of mitochondrial dysfunction in Alzheimer’s disease pathogenesis. Alzheimers Dement. 2023, 19, 333–342. [Google Scholar] [CrossRef] [PubMed]
- Misrani, A.; Tabassum, S.; Yang, L. Mitochondrial Dysfunction and Oxidative Stress in Alzheimer’s Disease. Front. Aging Neurosci. 2021, 13, 617588. [Google Scholar] [CrossRef] [PubMed]
- Mendsaikhan, A.; Tooyama, I.; Walker, D.G. Microglial Progranulin: Involvement in Alzheimer’s Disease and Neurodegenerative Diseases. Cells 2019, 8, 230. [Google Scholar] [CrossRef] [PubMed]
- Cooper, Y.A.; Nachun, D.; Dokuru, D.; Yang, Z.; Karydas, A.M.; Serrero, G.; Yue, B.; Alzheimer’s Disease Neuroimaging Initiative; Boxer, A.L.; Miller, B.L.; et al. Progranulin levels in blood in Alzheimer’s disease and mild cognitive impairment. Ann. Clin. Transl. Neurol. 2018, 5, 616–629. [Google Scholar] [CrossRef]
- de Oliveira, J.; Kucharska, E.; Garcez, M.L.; Rodrigues, M.S.; Quevedo, J.; Moreno-Gonzalez, I.; Budni, J. Inflammatory Cascade in Alzheimer’s Disease Pathogenesis: A Review of Experimental Findings. Cells 2021, 10, 2581. [Google Scholar] [CrossRef]
- Bagyinszky, E.; Kang, M.J.; Pyun, J.; Van Giau, V.; An, S.S.A.; Kim, S. Early-onset Alzheimer’s disease patient with prion (PRNP) p.Val180Ile mutation. Neuropsychiatr. Dis. Treat. 2019, 15, 2003–2013. [Google Scholar] [CrossRef]
- Bindea, G.; Mlecnik, B.; Hackl, H.; Charoentong, P.; Tosolini, M.; Kirilovsky, A.; Fridman, W.-H.; Pagès, F.; Trajanoski, Z.; Galon, J. ClueGO: A Cytoscape plug-in to decipher functionally grouped gene ontology and pathway annotation networks. Bioinformatics 2009, 25, 1091–1093. [Google Scholar] [CrossRef]
- Szklarczyk, D.; Gable, A.L.; Nastou, K.C.; Lyon, D.; Kirsch, R.; Pyysalo, S.; Doncheva, N.T.; Legeay, M.; Fang, T.; Bork, P.; et al. The STRING database in 2021: Customizable protein-protein networks, and functional characterization of us-er-uploaded gene/measurement sets. Nucleic Acids Res. 2021, 49, D605–D612. [Google Scholar] [CrossRef]
- Bindea, G.; Galon, J.; Mlecnik, B. CluePedia Cytoscape plugin: Pathway insights using integrated experimental and in silico data. Bioinformatics 2013, 29, 661–663. [Google Scholar] [CrossRef]
- Schmidt, B. Aspartic Proteases Involved in Alzheimer’s Disease. ChemBioChem 2003, 34, 366–378. [Google Scholar] [CrossRef]
- Moreland, S.; Moreland, R.S. Effects of calcium channel activators on contractile behavior in vascular smooth muscle. Prog. Clin. Biol. Res. 1990, 327, 525–534. [Google Scholar] [PubMed]
- Bagaria, J.; Bagyinszky, E.; An, S.S.A. Genetics, Functions, and Clinical Impact of Presenilin-1 (PSEN1) Gene. Int. J. Mol. Sci. 2022, 23, 10970. [Google Scholar] [CrossRef] [PubMed]
- Mattila, K.M.; Forsell, C.; Pirttila, T.; Rinne, J.O.; Lehtimaki, T.; Roytta, M.; Lilius, L.; Eerola, A.; George-Hyslop, P.H.S.; Frey, H.; et al. The Glu318Gly mutation of the presenilin-1 gene does not necessarily cause Alzheimer’s disease. Ann. Neurol. 1998, 44, 965–967. [Google Scholar] [CrossRef]
- Dermaut, B.; Cruts, M.; Slooter, A.J.; Van Gestel, S.; De Jonghe, C.; Vanderstichele, H.; Vanmechelen, E.; Breteler, M.M.; Hofman, A.; van Duijn, C.M.; et al. The Glu318Gly Substitution in Presenilin 1 Is Not Causally Related to Alzheimer Disease. Am. J. Hum. Genet. 1999, 64, 290–292. [Google Scholar] [CrossRef][Green Version]
- Perrone, F.; Bjerke, M.; Hens, E.; Sieben, A.; Timmers, M.; De Roeck, A.; Vandenberghe, R.; Sleegers, K.; Martin, J.-J.; De Deyn, P.P.; et al. Amyloid-β1–43 cerebrospinal fluid levels and the interpretation of APP, PSEN1 and PSEN2 mutations. Alzheimer’s Res. Ther. 2020, 12, 108. [Google Scholar] [CrossRef]
- Taddei, K.; Fisher, C.; Laws, S.M.; Martins, G.; Paton, A.; Clarnette, R.M.; Chung, C.; Brooks, W.S.; Hallmayer, J.; Miklossy, J.; et al. Association between presenilin-1 Glu318Gly mutation and familial Alzheimer’s disease in the Australian population. Mol. Psychiatry 2002, 7, 776–781. [Google Scholar] [CrossRef]
- Albani, D.; Roiter, I.; Artuso, V.; Batelli, S.; Prato, F.; Pesaresi, M.; Galimberti, D.; Scarpini, E.; Bruni, A.; Franceschi, M.; et al. Presenilin-1 mutation E318G and familial Alzheimer’s disease in the Italian population. Neurobiol. Aging 2007, 28, 1682–1688. [Google Scholar] [CrossRef] [PubMed]
- Nho, K.; Horgusluoglu, E.; Kim, S.; Risacher, S.L.; Kim, D.; Foroud, T.; Aisen, P.S.; Petersen, R.C.; Jack, C.R., Jr.; Shaw, L.M.; et al. Integration of bioinformatics and imaging informatics for identifying rare PSEN1 variants in Alzheimer’s disease. BMC Med. Genom. 2016, 9 (Suppl. S1), 11–18. [Google Scholar] [CrossRef]
- Benitez, B.A.; Karch, C.M.; Cai, Y.; Jin, S.C.; Cooper, B.; Carrell, D.; Bertelsen, S.; Chibnik, L.; Schneider, J.A.; Bennett, D.A.; et al. The PSEN1, p.E318G variant increases the risk of Alzheimer’s disease in APOE-ε4 carriers. PLoS Genet. 2013, 9, e1003685. [Google Scholar] [CrossRef]
- Abdala, B.B.; dos Santos, J.M.; Gonçalves, A.P.; da Motta, L.B.; Laks, J.; de Borges, M.B.; Pimentel, M.M.G.; Santos-Rebouças, C.B. Influence of low frequency PSEN1 variants on familial Alzheimer’s disease risk in Brazil. Neurosci. Lett. 2017, 653, 341–345. [Google Scholar] [CrossRef]
- Geiger, J.T.; Ding, J.; Crain, B.; Pletnikova, O.; Letson, C.; Dawson, T.M.; Rosenthal, L.S.; Pantelyat, A.; Gibbs, J.R.; Albert, M.S.; et al. Next-generation sequencing reveals substantial genetic contribution to dementia with Lewy bodies. Neurobiol. Dis. 2016, 94, 55–62. [Google Scholar] [CrossRef]
- Coppola, C.; Saracino, D.; Oliva, M.; Cipriano, L.; Puoti, G.; Pappatà, S.; Di Fede, G.; Catania, M.; Ricci, M.; Cimini, S.; et al. Singular cases of Alzheimer’s disease disclose new and old genetic “acquaintances”. Neurol. Sci. 2021, 42, 2021–2029. [Google Scholar] [CrossRef]
- Eryilmaz, I.E.M.; Bakar, M.; Egeli, U.; Cecener, G.; Yurdacan, B.M.; Colak, D.K.M.; Tunca, B. Evaluation of the Clinical Features Accompanied by the Gene Mutations: The 2 Novel PSEN1 Variants in a Turkish Early-onset Alzheimer Disease Cohort. Alzheimer Dis. Assoc. Disord. 2021, 35, 214–222. [Google Scholar] [CrossRef]
- Bisceglia, P.; Vecchio, F.L.; Latino, R.R.; Gravina, C.; Urbano, M.; la Torre, A.; Desina, G.; Greco, A.; Leone, M.; Antonioni, A. Italian Case Report with a Double Mutation in PSEN1 (K311R and E318G). Neurol. Int. 2022, 14, 417–422. [Google Scholar] [CrossRef]
- Frank, A.; Valdivieso, F.; Aldudo, J.; Bullido, M.J. Missense mutation E318G of the presenilin-1 gene appears to be a nonpathogenic polymorphism. Ann. Neurol. 1998, 44, 985–986. [Google Scholar] [CrossRef]
- Żekanowski, C.; Pepłońska, B.; Styczyńska, M.; Religa, D.; Pfeffer, A.; Czyżewski, K.; Gabryelewicz, T.; Szybińska, A.; Kijanowska-Haładyna, B.; Kotapka-Minc, S.; et al. The E318G substitution in PSEN1 gene is not connected with Alzheimer’s disease in a large Polish cohort. Neurosci. Lett. 2004, 357, 167–170. [Google Scholar] [CrossRef] [PubMed]
- Helisalmi, S.; Hiltunen, M.; Mannermaa, A.; Koivisto, A.M.; Lehtovirta, M.; Alafuzoff, I.; Ryynänen, M.; Soininen, H. Is the presenilin-1 E318G missense mutation a risk factor for Alzheimer’s disease? Neurosci. Lett. 2000, 278, 65–68. [Google Scholar] [CrossRef] [PubMed]
- Mathioudakis, L.; Dimovasili, C.; Bourbouli, M.; Latsoudis, H.; Kokosali, E.; Gouna, G.; Vogiatzi, E.; Basta, M.; Kapetanaki, S.; Panagiotakis, S.; et al. Study of Alzheimer’s disease- and frontotemporal dementia-associated genes in the Cretan Aging Cohort. Neurobiol. Aging 2023, 123, 111–128. [Google Scholar] [CrossRef]
- Hippen, A.A.; Ebbert, M.T.; Norton, M.C.; Tschanz, J.T.; Munger, R.G.; Corcoran, C.D.; Kauwe, J.S. Presenilin E318G variant and Alz-heimer’s disease risk: The Cache County study. BMC Genom. 2016, 17 (Suppl. S3), 438. [Google Scholar] [CrossRef]
- Jin, S.C.; Pastor, P.; Cooper, B.; Cervantes, S.; A Benitez, B.; Razquin, C.; Goate, A.; Ibero-American Alzheimer Disease Genetics Group Researchers; Cruchaga, C. Pooled-DNA sequencing identifies novel causative variants in PSEN1, GRN and MAPT in a clinical early-onset and familial Alzheimer’s disease Ibero-American cohort. Alzheimer’s Res. Ther. 2012, 4, 34. [Google Scholar] [CrossRef] [PubMed]
- Frigerio, C.S.; Lau, P.; Troakes, C.; Deramecourt, V.; Gele, P.; Van Loo, P.; Voet, T.; De Strooper, B. On the identification of low allele frequency mosaic mutations in the brains of Alzheimer’s disease patients. Alzheimer’s Dement. 2015, 11, 1265–1276. [Google Scholar] [CrossRef] [PubMed]
- Lee, J.H.; Kahn, A.; Cheng, R.; Reitz, C.; Vardarajan, B.; Lantigua, R.; Medrano, M.; Jiménez-Velázquez, I.Z.; Williamson, J.; Nagy, P.; et al. Disease-related mutations among Caribbean Hispanics with familial dementia. Mol. Genet. Genom. Med. 2014, 2, 430–437. [Google Scholar] [CrossRef]
- Day, G.S.; Cruchaga, C.; Wingo, T.; Schindler, S.E.; Coble, D.; Morris, J.C. Association of Acquired and Heritable Factors with Intergenerational Differences in Age at Symptomatic Onset of Alzheimer Disease Between Offspring and Parents with Dementia. JAMA Netw. Open 2019, 2, e1913491. [Google Scholar] [CrossRef] [PubMed]
- Fernández, M.V.; Black, K.; Carrell, D.; Saef, B.; Budde, J.; Deming, Y.; Howells, B.; Del-Aguila, J.L.; Ma, S.; Bi, C.; et al. SORL1 variants across Alzheimer’s disease European American cohorts. Eur. J. Hum. Genet. 2016, 24, 1828–1830. [Google Scholar] [CrossRef] [PubMed]
- Verheijen, J.; Bossche, T.V.D.; van der Zee, J.; Engelborghs, S.; Sanchez-Valle, R.; Lladó, A.; Graff, C.; Thonberg, H.; Pastor, P.; Ortega-Cubero, S.; et al. A comprehensive study of the genetic impact of rare variants in SORL1 in European early-onset Alzheimer’s disease. Acta Neuropathol. 2016, 132, 213–224. [Google Scholar] [CrossRef]
- Vardarajan, B.N.; Zhang, Y.; Lee, J.H.; Cheng, R.; Bohm, C.; Ghani, M.; Reitz, C.; Reyes-Dumeyer, D.; Shen, Y.; Rogaeva, E.; et al. Coding mutations in SORL1 and Alzheimer disease. Ann. Neurol. 2015, 77, 215–227. [Google Scholar] [CrossRef]
- Sassi, C.; Ridge, P.G.; Nalls, M.A.; Gibbs, R.; Ding, J.; Lupton, M.K.; Troakes, C.; Lunnon, K.; Al-Sarraj, S.; Brown, K.S.; et al. Influence of Coding Variability in APP-Aβ Metabolism Genes in Sporadic Alzheimer’s Disease. PLoS ONE 2016, 11, e0150079. [Google Scholar] [CrossRef]
- Campion, D.; Charbonnier, C.; Nicolas, G. SORL1 genetic variants and Alzheimer disease risk: A literature review and meta-analysis of sequencing data. Acta Neuropathol. 2019, 138, 173–186. [Google Scholar] [CrossRef]
- Holstege, H.; de Waal, M.W.J.; Tesi, N.; van der Lee, S.J.; ADES consortium; ADSP consortium; StEP-AD consortium; Knight-ADRC; UCSF/NYGC/UAB; Vogel, M.; et al. Effect of prioritized SORL1 missense variants supports clinical consideration for familial Alzheimer′ s Disease. medRxiv 2023. [Google Scholar] [CrossRef]
- Gómez-Tortosa, E.; Ruggiero, M.; Sainz, M.J.; Villarejo-Galende, A.; Prieto-Jurczynska, C.; Pérez, B.V.; Ordás, C.; Agüero, P.; Guerrero-López, R.; Pérez-Pérez, J. SORL1 Variants in Familial Alzheimer’s Disease. J. Alzheimer’s Dis. 2018, 61, 1275–1281. [Google Scholar] [CrossRef]
- Andersen, O.M.; Rudolph, I.-M.; Willnow, T.E. Risk factor SORL1: From genetic association to functional validation in Alzheimer’s disease. Acta Neuropathol. 2016, 132, 653–665. [Google Scholar] [CrossRef] [PubMed]
- Knupp, A.; Mishra, S.; Martinez, R.; Braggin, J.E.; Szabo, M.; Kinoshita, C.; Hailey, D.W.; Small, S.A.; Jayadev, S.; Young, J.E. Depletion of the AD Risk Gene SORL1 Selectively Impairs Neuronal Endosomal Traffic Independent of Amyloidogenic APP Processing. Cell Rep. 2020, 31, 107719. [Google Scholar] [CrossRef] [PubMed]
- Bossaerts, L.; Cacace, R.; Van Broeckhoven, C. The role of ATP-binding cassette subfamily A in the etiology of Alzheimer’s disease. Mol. Neurodegener. 2022, 17, 31. [Google Scholar] [CrossRef] [PubMed]
- Dib, S.; Pahnke, J.; Gosselet, F. Role of ABCA7 in Human Health and in Alzheimer’s Disease. Int. J. Mol. Sci. 2021, 22, 4603. [Google Scholar] [CrossRef] [PubMed]
- Ruiz, J.L.; Fernandes, L.R.; Levy, D.; Bydlowski, S.P. Interrelationship between ATP-binding cassette transporters and oxysterols. Biochem. Pharmacol. 2013, 86, 80–88. [Google Scholar] [CrossRef]
- Nagao, K.; Takahashi, K.; Azuma, Y.; Takada, M.; Kimura, Y.; Matsuo, M.; Kioka, N.; Ueda, K. ATP hydrolysis-dependent conforma-tional changes in the extracellular domain of ABCA1 are associated with apoA-I binding. J. Lipid Res. 2012, 53, 126–136. [Google Scholar] [CrossRef]
- Chan, S.L.; Kim, W.S.; Kwok, J.B.; Hill, A.F.; Cappai, R.; Rye, K.A.; Garner, B. ATP-binding cassette transporter A7 regulates processing of amyloid precursor protein in vitro. J. Neurochem. 2008, 106, 793–804. [Google Scholar] [CrossRef]
- Chen, S.; Sarasua, S.M.; Davis, N.J.; DeLuca, J.M.; Boccuto, L.; Thielke, S.M.; Yu, C.-E. TOMM40 genetic variants associated with healthy aging and longevity: A systematic review. BMC Geriatr. 2022, 22, 667. [Google Scholar] [CrossRef]
- Wightman, D.P.; Savage, J.E.; de Leeuw, C.A.; Jansen, I.E.; Posthuma, D. Rare variant aggregation in 148,508 exomes identifies genes associated with proxy dementia. Sci. Rep. 2023, 13, 2179. [Google Scholar] [CrossRef]
- Bartoletti-Stella, A.; De Pasqua, S.; Baiardi, S.; Bartolomei, I.; Mengozzi, G.; Orio, G.; Pastorelli, F.; Piras, S.; Poda, R.; Raggi, A.; et al. Characterization of novel progranulin gene variants in Italian patients with neurodegenerative diseases. Neurobiol. Aging 2020, 97, 145.e7–145.e15. [Google Scholar] [CrossRef]
- Bartoletti-Stella, A.; Mometto, N.; Mengozzi, G.; De Pasqua, S.; Bartolomei, I.; Pastorelli, F.; Baiardi, S.; Piras, S.; Barone, F.; Poda, R.; et al. Mutations ANALYSIS of the GRN Gene in an Emilia-Romagna Cohort of Dementia Patients; Congresso AINPeNC–AIRIC; University of Bologna: Bologna, Italy, 2019. [Google Scholar]
- Lan, Y.-J.; Sam, N.B.; Cheng, M.-H.; Pan, H.-F.; Gao, J. Progranulin as a Potential Therapeutic Target in Immune-Mediated Diseases. J. Inflamm. Res. 2021, 14, 6543–6556. [Google Scholar] [CrossRef] [PubMed]
- Jian, J.; Konopka, J.; Liu, C. Insights into the role of progranulin in immunity, infection, and inflammation. J. Leukoc. Biol. 2013, 93, 199–208. [Google Scholar] [CrossRef] [PubMed]
- de Majo, M.; Koontz, M.; Marsan, E.; Salinas, N.; Ramsey, A.; Kuo, Y.-M.; Seo, K.; Li, H.; Dräger, N.; Leng, K.; et al. Granulin loss of function in human mature brain organoids implicates astrocytes in TDP-43 pathology. Stem Cell Rep. 2023, 18, 706–719. [Google Scholar] [CrossRef]
- Wang, J.; Lai, S.; Zhou, T.; Xia, Z.; Li, W.; Sha, W.; Liu, J.; Chen, Y. Progranulin from different gliocytes in the nucleus accumbens exerts distinct roles in FTD- and neuroinflammation-induced depression-like behaviors. J. Neuroinflamm. 2022, 19, 318. [Google Scholar] [CrossRef]
- Saura, C.A. Presenilin/γ-secretase and inflammation. Front. Aging Neurosci. 2010, 2, 16. [Google Scholar] [CrossRef]
- Tanaka, Y.; Sabharwal, L.; Ota, M.; Nakagawa, I.; Jiang, J.J.; Arima, Y.; Ogura, H.; Okochi, M.; Ishii, M.; Kamimura, D.; et al. Presenilin 1 Regulates NF-κB Activation via Association with Breakpoint Cluster Region and Casein Kinase II. J. Immunol. 2018, 201, 2256–2263. [Google Scholar] [CrossRef]
- Ledo, J.H.; Liebmann, T.; Zhang, R.; Chang, J.C.; Azevedo, E.P.; Wong, E.; Silva, H.M.; Troyanskaya, O.G.; Bustos, V.; Greengard, P. Presenilin 1 phosphorylation regulates amyloid-β degradation by microglia. Mol. Psychiatry 2021, 26, 5620–5635. [Google Scholar] [CrossRef]
- Oksanen, M.; Petersen, A.J.; Naumenko, N.; Puttonen, K.; Lehtonen, Š.; Olivé, M.G.; Shakirzyanova, A.; Leskelä, S.; Sarajärvi, T.; Viitanen, M.; et al. PSEN1 Mutant iPSC-Derived Model Reveals Severe Astrocyte Pathology in Alzheimer’s Disease. Stem Cell Rep. 2017, 9, 1885–1897. [Google Scholar] [CrossRef]
- Youn, Y.C.; Lee, B.S.; Kim, G.J.; Ryu, J.S.; Lim, K.; Lee, R.; Suh, J.; Park, Y.H.; Pyun, J.-M.; Ryu, N.; et al. Blood Amyloid-β Oligomerization as a Biomarker of Alzheimer’s Disease: A Blinded Validation Study. J. Alzheimer’s Dis. 2020, 75, 493–499. [Google Scholar] [CrossRef]
- Meng, X.; Li, T.; Wang, X.; Lv, X.; Sun, Z.; Zhang, J.; Su, F.; Kang, S.; Kim, S.; An, S.S.A.; et al. Association between increased levels of amyloid-β oligomers in plasma and episodic memory loss in Alzheimer’s disease. Alzheimer’s Res. Ther. 2019, 11, 89. [Google Scholar] [CrossRef]




| Variant | rsID | 1000Genomes | Conserved? | GnomAD | SIFT | PolyPhen2 | CADD |
|---|---|---|---|---|---|---|---|
| PSEN1 Glu318Gly | rs17125721 | 0.00559105 | No | 0.01813 | 0.135, B | 0.03, B | 22.3 |
| ABCA7 Val1946Met | NA | NA | yes | NA | 0.031, D | 0.805, D | 24.7 |
| SORL1 Glu270Lys | rs117260922 | 0.00778754 | yes | 0.01507113 | 0.008, D | 0.998, D | 31 |
| TOMM40 Arg239Trp | rs142412517 | 0.000199681 | yes | 0.000058 | 0.14, B | 0.648, D | 25.1 |
| GRN Ala505Gly | rs780159686 | NA | yes | 0.0000731 | 0.257, B | 0.444, B | 15.92 |
| Study | Disease | Result | Biomarker Data | Suggestion | Population |
|---|---|---|---|---|---|
| Taddei et al. 2002 [26] | EOAD | More common in EOAD than in controls | NA | Glu318Gly may be similar risk factor like APOE E4 | Australia |
| Albani et al. 2007 [27] | EOAD | Significant association between variant and familial EOAD | Fibroblasts: reduced Ab42/Ab40 ratio | Glu318Gly may be risk factor for EOAD, but further studies were needed | Italy |
| Mattila et al. 1998 [23] | Familial and sporadic AD | Observed in both controls and patients | NA | Not causative factor | Finnish |
| Dermaut et al. 1999 [24] | AD and other dementias | Variant was common in Dutch population | NA | May not be causative or risk factor | Netherlands |
| Aldulo et al. 1998 [35] | AD, LOAD and vascular dementia | Most common in EOAD, but also appeared in controls | NA | May not be causative or risk factor, has low penetrance | Spain |
| Zekanowski et al. 2004 [36] | AD, PD | No significant differences between disease and controls | NA | May not be causative or risk factor, has low penetrance | Poland |
| Helisalmini et al. 2000 [37] | Familial and sporadic AD | Detected in both patients and controls | NA | Possible risk factor in Finnish population | Finland |
| Perrone et al. 2020 [25] | EOAD and LOAD | Detected in patients and controls | CSF Ab1-43 was reduced, sAPPα and sAPPβ reduced | Found mild association with AD, independently from APOE genotype | Belgium |
| Mathioudakis et al. 2023 [38] | AD, MCI | Appeared in patients and controls | NA | May not be causative or risk factor, has low penetrance | Greece |
| Hippen et al. 2016 [39] | AD | APOE E4 carriers with Glu318Gly had higher risk for AD, but not significantly | NA | This study did not provide strong support on association of Glu318Gly and AD | USA |
| Jin et al. 2012 [40] | AD and control | Appeared in patients and controls | NA | May not be causative or risk factor, has low penetrance | Spain |
| Benitez et al. 2013 [29] | AD | More frequent in AD patients than in controls Glu318Gly variant with Aβ deposition was observed in APOE E4 carriers. | High CSF-Tau and P-Tau | Glu318Gly with APOE E4 allele could be associated with more senile plaques and faster cognitive decline | USA |
| Nho et al. 2016 [28] | AD | Increased risk for AD io E4 carriers | lower CSF Aβ1-42 and higher CSF tau | LOAD risk factor in E4 carriers | USA |
| Sala Frigerio 2015 [41] | AD | Appeared in patients and controls | NA | May not be causative or risk factor, has low penetrance | Belgium |
| Abdala 2014 [30] | AD | Association was found between AD and Glu318Gly | NA | No association between APOE E4 and Glu318Gly Glu318Gly variant may increase AD risk | Brazil |
| Lee et al. 2014 [42] | AD | Associated with dementia in case of cases vs controls | NA | Possible risk factor | Caribbean Hispanic |
| Day et al. 2019 [43] | AD | Age of onset was earlier expected | NA | Possible risk modifier? | USA |
| Geiger et al. 2016 [31] | DLB | Frequency was higher than in controls | NA | Possible association with DLB? | USA |
| Coppola et al. 2021 [32] | AD | Found in two EOAD patients | NA | May interact with other risk factors in SORL1, ABCA7 | Italy |
| Eryilmaz et al. 2021 [33] | AD | Co-existed with a pathogenic L291P mutation in PSEN1 | NA | May impact the disease course in the presence of pathogenic mutation | Turkey |
| Bisceglia et al. 2022 [34] | MCI | Co-existed with PSEN1 Lys311Arg | CSF Tau and amyloid levels were normal | Glu318Gly and Lys311Arg may result in risk to neurodegeneration | Italy |
Disclaimer/Publisher’s Note: The statements, opinions and data contained in all publications are solely those of the individual author(s) and contributor(s) and not of MDPI and/or the editor(s). MDPI and/or the editor(s) disclaim responsibility for any injury to people or property resulting from any ideas, methods, instructions or products referred to in the content. |
© 2023 by the authors. Licensee MDPI, Basel, Switzerland. This article is an open access article distributed under the terms and conditions of the Creative Commons Attribution (CC BY) license (https://creativecommons.org/licenses/by/4.0/).
Share and Cite
Yang, Y.; Bagyinszky, E.; An, S.S.A. Patient with PSEN1 Glu318Gly and Other Possible Disease Risk Mutations, Diagnosed with Early Onset Alzheimer’s Disease. Int. J. Mol. Sci. 2023, 24, 15461. https://doi.org/10.3390/ijms242015461
Yang Y, Bagyinszky E, An SSA. Patient with PSEN1 Glu318Gly and Other Possible Disease Risk Mutations, Diagnosed with Early Onset Alzheimer’s Disease. International Journal of Molecular Sciences. 2023; 24(20):15461. https://doi.org/10.3390/ijms242015461
Chicago/Turabian StyleYang, YoungSoon, Eva Bagyinszky, and Seong Soo A. An. 2023. "Patient with PSEN1 Glu318Gly and Other Possible Disease Risk Mutations, Diagnosed with Early Onset Alzheimer’s Disease" International Journal of Molecular Sciences 24, no. 20: 15461. https://doi.org/10.3390/ijms242015461
APA StyleYang, Y., Bagyinszky, E., & An, S. S. A. (2023). Patient with PSEN1 Glu318Gly and Other Possible Disease Risk Mutations, Diagnosed with Early Onset Alzheimer’s Disease. International Journal of Molecular Sciences, 24(20), 15461. https://doi.org/10.3390/ijms242015461

