FISH Diagnostic Assessment of MDM2 Amplification in Liposarcoma: Potential Pitfalls and Troubleshooting Recommendations
Abstract
1. Introduction
2. Results
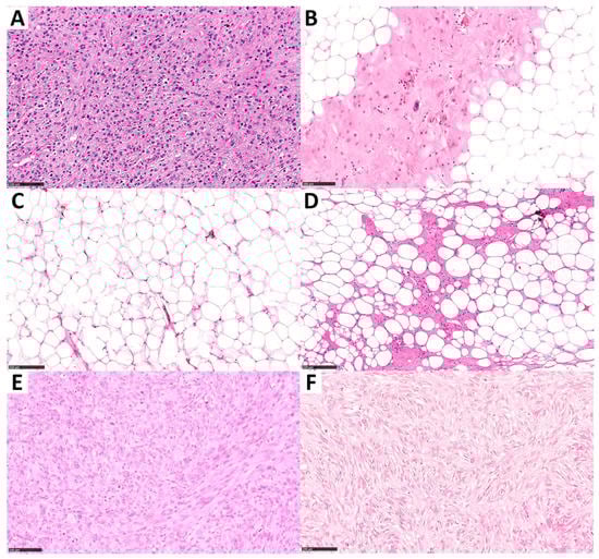
2.1. MDM2 Amplification Accurately Stratify Our Series
2.2. MDM2 Amplification Patterns
2.3. Literature Review and Analysis
3. Discussion
4. Materials and Methods
4.1. Case Series Construction and FISH Analysis
4.2. Literature Analysis
5. Conclusions
Author Contributions
Funding
Institutional Review Board Statement
Informed Consent Statement
Data Availability Statement
Conflicts of Interest
References
- Marino-Enriquez, A.; Hornick, J.L.; Dal Cin, P.; Cibas, E.S.; Qian, X. Dedifferentiated liposarcoma and pleomorphic liposarcoma: A comparative study of cytomorphology and MDM2/CDK4 expression on fine-needle aspiration. Cancer Cytopathol. 2014, 122, 128–137. [Google Scholar] [CrossRef]
- De Vita, A.; Mercatali, L.; Recine, F.; Pieri, F.; Riva, N.; Bongiovanni, A.; Liverani, C.; Spadazzi, C.; Miserocchi, G.; Amadori, D.; et al. Current classification, treatment options, and new perspectives in the management of adipocytic sarcomas. OncoTargets Ther. 2016, 9, 6233–6246. [Google Scholar] [CrossRef] [PubMed]
- Mack, T.M. Sarcomas and other malignancies of soft tissue, retroperitoneum, peritoneum, pleura, heart, mediastinum, and spleen. Cancer 1995, 75 (Suppl. 1), 211–244. [Google Scholar] [CrossRef]
- Sbaraglia, M.; Bellan, E.; Tos, A.P.D. The 2020 WHO Classification of Soft Tissue Tumours: News and perspectives. Pathologica 2020, 113, 70–84. [Google Scholar] [CrossRef] [PubMed]
- Choi, J.H.; Ro, J.Y. The 2020 WHO Classification of Tumors of Soft Tissue: Selected Changes and New Entities. Adv. Anat. Pathol. 2021, 28, 44–58. [Google Scholar] [CrossRef]
- Kallen, M.E.; Hornick, J.L. The 2020 WHO Classification: What’s New in Soft Tissue Tumor Pathology? Am. J. Surg. Pathol. 2021, 45, e1–e23. [Google Scholar] [CrossRef] [PubMed]
- Nascimento, A.G. Dedifferentiated liposarcoma. Semin. Diagn. Pathol. 2001, 18, 263–266. [Google Scholar]
- Weaver, J.; Downs-Kelly, E.; Goldblum, J.R.; Turner, S.; Kulkarni, S.; Tubbs, R.R.; Rubin, B.P.; Skacel, M. Fluorescence in situ hybridization for MDM2 gene amplification as a diagnostic tool in lipomatous neoplasms. Mod. Pathol. 2008, 21, 943–949. [Google Scholar] [CrossRef]
- Weaver, J.; Goldblum, J.R.; Turner, S.; Tubbs, R.R.; Wang, W.L.; Lazar, A.J.; Rubin, B.P. Detection of MDM2 gene amplification or protein expression distinguishes sclerosing mesenteritis and retroperitoneal fibrosis from inflammatory well-differentiated liposarcoma. Mod. Pathol. 2009, 22, 66–70. [Google Scholar] [CrossRef] [PubMed]
- Kimura, H.; Dobashi, Y.; Nojima, T.; Nakamura, H.; Yamamoto, N.; Tsuchiya, H.; Ikeda, H.; Sawada-Kitamura, S.; Oyama, T.; Ooi, A. Utility of fluorescence in situ hybridization to detect MDM2 amplification in liposarcomas and their morphological mimics. Int. J. Clin. Exp. Pathol. 2013, 6, 1306–1316. [Google Scholar] [PubMed]
- Sirvent, N.; Coindre, J.-M.; Maire, G.; Hostein, I.; Keslair, F.; Guillou, L.; Ranchere-Vince, D.; Terrier, P.; Pedeutour, F. Detection of MDM2-CDK4 Amplification by Fluorescence In Situ Hybridization in 200 Paraffin-embedded Tumor Samples: Utility in Diagnosing Adipocytic Lesions and Comparison With Immunohistochemistry and Real-time PCR. Am. J. Surg. Pathol. 2007, 31, 1476–1489. [Google Scholar] [CrossRef] [PubMed]
- Shi, D.; Gu, W. Dual Roles of MDM2 in the Regulation of p53: Ubiquitination Dependent and Ubiquitination Independent Mechanisms of MDM2 Repression of p53 Activity. Genes Cancer 2012, 3, 240–248. [Google Scholar] [CrossRef] [PubMed]
- Jarboe, E.A.; Layfield, L.J. Cytologic features of pancreatic intraepithelial neoplasia and pancreatitis: Potential pitfalls in the diagnosis of pancreatic ductal carcinoma. Diagn. Cytopathol. 2011, 39, 575–581. [Google Scholar] [CrossRef]
- Kato, S.; Ross, J.S.; Gay, L.; Dayyani, F.; Roszik, J.; Subbiah, V.; Kurzrock, R. Analysis of MDM2 Amplification: Next-Generation Sequencing of Patients with Diverse Malignancies. JCO Precis. Oncol. 2018, 2, 1–14. [Google Scholar] [CrossRef]
- Dembla, V.; Somaiah, N.; Barata, P.; Hess, K.; Fu, S.; Janku, F.; Karp, D.D.; Naing, A.; Piha-Paul, S.A.; Subbiah, V.; et al. Prevalence of MDM2 amplification and coalterations in 523 advanced cancer patients in the MD Anderson phase 1 clinic. Oncotarget 2018, 9, 33232–33243. [Google Scholar] [CrossRef] [PubMed]
- Sciot, R. MDM2 Amplified Sarcomas: A Literature Review. Diagnostics 2021, 11, 496. [Google Scholar] [CrossRef]
- Urso, L.; Calabrese, F.; Favaretto, A.; Conte, P.; Pasello, G. Critical review about MDM2 in cancer: Possible role in malignant mesothelioma and implications for treatment. Crit. Rev. Oncol. 2015, 97, 220–230. [Google Scholar] [CrossRef]
- Ito, M.; Barys, L.; O’Reilly, T.; Young, S.; Gorbatcheva, B.; Monahan, J.; Zumstein-Mecker, S.; Choong, P.F.; Dickinson, I.; Crowe, P.; et al. Comprehensive Mapping of p53 Pathway Alterations Reveals an Apparent Role for Both SNP309 and MDM2 Amplification in Sarcomagenesis. Clin. Cancer Res. 2011, 17, 416–426. [Google Scholar] [CrossRef]
- Momand, J.; Jung, D.; Wilczynski, S.; Niland, J. The MDM2 gene amplification database. Nucleic Acids Res. 1998, 26, 3453–3459. [Google Scholar] [CrossRef]
- Traweek, R.S.; Cope, B.M.; Roland, C.L.; Keung, E.Z.; Nassif, E.F.; Erstad, D.J. Targeting the MDM2-p53 pathway in dedifferentiated liposarcoma. Front. Oncol. 2022, 12, 1006959. [Google Scholar] [CrossRef]
- Wade, M.; Li, Y.-C.; Wahl, G.M. MDM2, MDMX and p53 in oncogenesis and cancer therapy. Nat. Rev. Cancer 2013, 13, 83–96. [Google Scholar] [CrossRef]
- Fakharzadeh, S.S.; Rosenblum-Vos, L.; Murphy, M.; Hoffman, E.K.; George, D.L. Structure and Organization of Amplified DNA on Double Minutes Containing the mdm2 Oncogene. Genomics 1993, 15, 283–290. [Google Scholar] [CrossRef]
- Hahn, P.J. Molecular biology of double-minute chromosomes. Bioessays 1993, 15, 477–484. [Google Scholar] [CrossRef]
- Kuttler, F.; Mai, S. Formation of non-random extrachromosomal elements during development, differentiation and oncogenesis. Semin. Cancer Biol. 2007, 17, 56–64. [Google Scholar] [CrossRef]
- Gebhart, E. Double minutes, cytogenetic equivalents of gene amplification, in human neoplasia—A review. Clin. Transl. Oncol. 2005, 7, 477–485. [Google Scholar] [CrossRef]
- Wahl, G.M. The importance of circular DNA in mammalian gene amplification. Cancer Res. 1989, 49, 1333–1340. [Google Scholar] [PubMed]
- Anderson, W.J.; Hornick, J.L. Immunohistochemical correlates of recurrent genetic alterations in sarcomas. Genes Chromosomes Cancer 2019, 58, 111–123. [Google Scholar] [CrossRef]
- Hornick, J.L. Limited biopsies of soft tissue tumors: The contemporary role of immunohistochemistry and molecular diagnostics. Mod. Pathol. 2019, 32, 27–37. [Google Scholar] [CrossRef] [PubMed]
- Machado, I.; Vargas, A.C.; Maclean, F.; Llombart-Bosch, A. Negative MDM2/CDK4 immunoreactivity does not fully exclude MDM2/CDK4 amplification in a subset of atypical lipomatous tumor/ well differentiated liposarcoma. Pathol. Res. Pract. 2022, 232, 153839. [Google Scholar] [CrossRef] [PubMed]
- Thway, K.; Wang, J.; Swansbury, J.; Min, T.; Fisher, C. Fluorescence In Situ Hybridization for MDM2 Amplification as a Routine Ancillary Diagnostic Tool for Suspected Well-Differentiated and Dedifferentiated Liposarcomas: Experience at a Tertiary Center. Sarcoma 2015, 2015, 812089. [Google Scholar] [CrossRef]
- Vargas, A.C.; Joy, C.; Cheah, A.L.; Jones, M.; Bonar, F.; Brookwell, R.; Garrone, B.; Talbot, J.; Harraway, J.; Gill, A.J.; et al. Lessons learnt from MDM2 fluorescence in-situ hybridisation analysis of 439 mature lipomatous lesions with an emphasis on atypical lipomatous tumour/well-differentiated liposarcoma lacking cytological atypia. Histopathology 2021, 80, 369–380. [Google Scholar] [CrossRef] [PubMed]
- Sugiyama, K.; Washimi, K.; Sato, S.; Hiruma, T.; Sakai, M.; Okubo, Y.; Miyagi, Y.; Yokose, T. Differential diagnosis of lipoma and atypical lipomatous tumor/well-differentiated liposarcoma by cytological analysis. Diagn. Cytopathol. 2022, 50, 112–122. [Google Scholar] [CrossRef] [PubMed]
- Pei, J.; Flieder, D.B.; Talarchek, J.N.; Cooper, H.S.; Patchefsky, A.S.; Wei, S. Clinical Application of Chromosome Microarray Analysis in the Diagnosis of Lipomatous Tumors. Appl. Immunohistochem. Mol. Morphol. 2021, 29, 592–598. [Google Scholar] [CrossRef]
- Lopez-Gines, C.; Gil-Benso, R.; Ferrer-Luna, R.; Benito, R.; Serna, E.; Gonzalez-Darder, J.; Quilis, V.; Monleon, D.; Celda, B.; Cerdá-Nicolas, M. New pattern of EGFR amplification in glioblastoma and the relationship of gene copy number with gene expression profile. Mod. Pathol. 2010, 23, 856–865. [Google Scholar] [CrossRef]
- Aygun, N.; Altungoz, O. MYCN is amplified during S phase, and c-myb is involved in controlling MYCN expression and amplification in MYCN-amplified neuroblastoma cell lines. Mol. Med. Rep. 2019, 19, 345–361. [Google Scholar] [CrossRef] [PubMed]
- Paulsson, K.; Lassen, C.; Kuric, N.; Billström, R.; Fioretos, T.; Tanke, H.J.; Johansson, B. MYC is not overexpressed in a case of chronic myelomonocytic leukemia with MYC-containing double minutes. Leukemia 2003, 17, 813–815. [Google Scholar] [CrossRef] [PubMed]
- Cuthbert, G.; Thompson, K.; McCullough, S.; Watmore, A.; Dickinson, H.; Telford, N.; Mugneret, F.; Harrison, C.; Griffiths, M.; Bown, N. MLL amplification in acute leukaemia: A United Kingdom Cancer Cytogenetics Group (UKCCG) study. Leukemia 2000, 14, 1885–1891. [Google Scholar] [CrossRef] [PubMed]
- Rekhi, B.; Karnik, N.; Agrawal, R.; Shetty, O.; Patkar, S. Detection of MDM2 gene amplification on tissue microarray-based Fluorescence In-Situ Hybridization (FISH) in well-differentiated and dedifferentiated liposarcomas, displaying a wide morphological spectrum: A validation study at a tertiary cancer referral centre. Indian J. Pathol. Microbiol. 2022, 65, 65–75. [Google Scholar]
- Sarwar, S.; Mushtaq, S.; Hassan, U.; Maqbool, H.; Qazi, R. Diagnostic Utility of Fish for MDM2 in Adipocytic Neoplasms. J. Ayub. Med. Coll. Abbottabad. 2021, 33, 563–567. [Google Scholar]
- Knebel, C.; Neumann, J.; Schwaiger, B.J.; Karampinos, D.C.; Pfeiffer, D.; Specht, K.; Lenze, U.; Von Eisenhart-Rothe, R.; Rummeny, E.J.; Woertler, K.; et al. Differentiating atypical lipomatous tumors from lipomas with magnetic resonance imaging: A comparison with MDM2 gene amplification status. BMC Cancer 2019, 19, 309. [Google Scholar] [CrossRef]
- Stojanov, I.J.; Mariño-Enriquez, A.; Bahri, N.; Jo, V.Y.; Woo, S.-B. Lipomas of the Oral Cavity: Utility of MDM2 and CDK4 in Avoiding Overdiagnosis as Atypical Lipomatous Tumor. Head Neck Pathol. 2018, 13, 169–176. [Google Scholar] [CrossRef]
- Vargas, A.C.; Selinger, C.; Satgunaseelan, L.; Cooper, W.A.; Gupta, R.; Stalley, P.; Brown, W.; Soper, J.; Schatz, J.; Boyle, R.; et al. FISH analysis of selected soft tissue tumors: Diagnostic experience in a tertiary center. Asia-Pac. J. Clin. Oncol. 2018, 15, 38–47. [Google Scholar] [CrossRef]
- Michal, M.; Agaimy, A.; Contreras, A.L.; Svajdler, M.; Kazakov, D.V.; Steiner, P.; Grossmann, P.; Martinek, P.; Hadravsky, L.; Michalova, K.; et al. Dysplastic Lipoma: A Distinctive Atypical Lipomatous Neoplasm with Anisocytosis, Focal Nuclear Atypia, p53 Overexpression, and a Lack of MDM2 Gene Amplification by FISH.; A Report of 66 Cases Demonstrating Occasional Multifocality and a Rare Association with Retinoblastoma. Am. J. Surg. Pathol. 2018, 42, 1530–1540. [Google Scholar]
- Asif, A.; Mushtaq, S.; Hassan, U.; Akhter, N.; Hussain, M.; Azam, M.; Qazi, R. Fluorescence in Situ Hybridization (FISH) for Differential Diagnosis of Soft Tissue Sarcomas. Asian Pac. J. Cancer Prev. 2018, 19, 655–660. [Google Scholar] [CrossRef] [PubMed]
- Marino-Enriquez, A.; Nascimento, A.F.; Ligon, A.H.; Liang, C.; Fletcher, C.D. Atypical Spindle Cell Lipomatous Tumor: Clinicopathologic Characterization of 232 Cases Demonstrating a Morphologic Spectrum. Am. J. Surg. Pathol. 2017, 41, 234–244. [Google Scholar] [CrossRef] [PubMed]
- Kammerer-Jacquet, S.-F.; Thierry, S.; Cabillic, F.; Lannes, M.; Burtin, F.; Henno, S.; Dugay, F.; Bouzillé, G.; Rioux-Leclercq, N.; Belaud-Rotureau, M.-A.; et al. Differential diagnosis of atypical lipomatous tumor/well-differentiated liposarcoma and dedifferentiated liposarcoma: Utility of p16 in combination with MDM2 and CDK4 immunohistochemistry. Hum. Pathol. 2017, 59, 34–40. [Google Scholar] [CrossRef] [PubMed]
- Yamashita, K.; Kohashi, K.; Yamada, Y.; Nishida, Y.; Urakawa, H.; Oda, Y.; Toyokuni, S. Primary extraskeletal osteosarcoma: A clinicopathological study of 18 cases focusing on MDM2 amplification status. Hum. Pathol. 2017, 63, 63–69. [Google Scholar] [CrossRef] [PubMed]
- Wong, D.D.; Low, I.C.; Peverall, J.; Robbins, P.D.; Spagnolo, D.V.; Nairn, R.; Wood, D. MDM2/CDK4 gene amplification in large/deep-seated ‘lipomas’: Incidence, predictors and clinical significance. Pathology 2016, 48, 203–209. [Google Scholar] [CrossRef]
- Zhang, G.; Lanigan, C.P.; Goldblum, J.R.; Tubbs, R.R.; Downs-Kelly, E. Automated Bright-Field Dual-Color In Situ Hybridization for MDM2: Interobserver Reproducibility and Correlation With Fluorescence In Situ Hybridization in a Series of Soft Tissue Consults. Arch. Pathol. Lab. Med. 2016, 140, 1111–1115. [Google Scholar] [CrossRef]
- Setsu, N.; Miyake, M.; Wakai, S.; Nakatani, F.; Kobayashi, E.; Chuman, H.; Hiraoka, N.; Kawai, A.; Yoshida, A. Primary Retroperitoneal Myxoid Liposarcomas. Am. J. Surg. Pathol. 2016, 40, 1286–1290. [Google Scholar] [CrossRef]
- Inyang, A.; Thomas, D.G.; Jorns, J. Heterologous Liposarcomatous Differentiation in Malignant Phyllodes Tumor is Histologically Similar but Immunohistochemically and Molecularly Distinct from Well-differentiated Liposarcoma of Soft Tissue. Breast J. 2016, 22, 282–286. [Google Scholar] [CrossRef] [PubMed]
- Lyle, P.L.; Bridge, J.A.; Simpson, J.F.; Cates, J.M.; Sanders, M.E. Liposarcomatous differentiation in malignant phyllodes tumors is unassociated with MDM2 or CDK4 amplification. Histopathology 2015, 68, 1040–1045. [Google Scholar] [CrossRef] [PubMed]
- Creytens, D.; van Gorp, J.; Ferdinande, L.; Speel, E.J.; Libbrecht, L. Detection of MDM2/CDK4 amplification in lipomatous soft tissue tumors from formalin-fixed, paraffin-embedded tissue: Comparison of multiplex ligation-dependent probe amplification (MLPA) and fluorescence in situ hybridization (FISH). Appl. Immunohistochem. Mol. Morphol. 2015, 23, 126–133. [Google Scholar] [CrossRef] [PubMed]
- Jour, G.; Gullet, A.; Liu, M.; Hoch, B.L. Prognostic relevance of Fédération Nationale des Centres de Lutte Contre le Cancer grade and MDM2 amplification levels in dedifferentiated liposarcoma: A study of 50 cases. Mod. Pathol. 2014, 28, 37–47. [Google Scholar] [CrossRef] [PubMed]
- Clay, M.R.; Martinez, A.P.; Weiss, S.W.; Edgar, M.A. MDM2 Amplification in Problematic Lipomatous Tumors: Analysis of FISH Testing Criteria. Am. J. Surg. Pathol. 2015, 39, 1433–1439. [Google Scholar] [CrossRef] [PubMed]
- Ware, P.L.; Snow, A.N.; Gvalani, M.; Pettenati, M.J.; Qasem, S.A. MDM2 copy numbers in well-differentiated and dedifferentiated liposarcoma: Characterizing progression to high-grade tumors. Am. J. Clin. Pathol. 2014, 141, 334–341. [Google Scholar] [CrossRef]
- Horn, H.; Allmanritter, J.; Doglioni, C.; Marx, A.; Müller, J.; Gattenlöhner, S.; Staiger, A.M.; Rosenwald, A.; Ott, G.; Ott, M.M. Fluorescence in situ analysis of soft tissue tumor associated genetic alterations in formalin-fixed paraffin-embedded tissue. Pathol. Res. Pract. 2014, 210, 804–811. [Google Scholar] [CrossRef]
- Cho, J.; Lee, S.E.; Choi, Y.-L. Diagnostic Value of MDM2 and DDIT3 Fluorescence In Situ Hybridization in Liposarcoma Classification: A Single-Institution Experience. Korean J. Pathol. 2012, 46, 115–122. [Google Scholar] [CrossRef]
- Kashima, T.; Halai, D.; Ye, H.; Hing, S.N.; Delaney, D.; Pollock, R.; O’Donnell, P.; Tirabosco, R.; Flanagan, A.M. Sensitivity of MDM2 amplification and unexpected multiple faint alphoid 12 (alpha 12 satellite sequences) signals in atypical lipomatous tumor. Mod. Pathol. 2012, 25, 1384–1396. [Google Scholar] [CrossRef]
- Mariño-Enríquez, A.; Fletcher, C.D.; Cin, P.D.; Hornick, J.L. Dedifferentiated Liposarcoma With “Homologous” Lipoblastic (Pleomorphic Liposarcoma-like) Differentiation: Clinicopathologic and Molecular Analysis of a Series Suggesting Revised Diagnostic Criteria. Am. J. Surg. Pathol. 2010, 34, 1122–1131. [Google Scholar] [CrossRef]
- Weaver, J.; Rao, P.; Goldblum, J.R.; Joyce, M.J.; Turner, S.L.; Lazar, A.J.; Lopez-Terada, D.; Tubbs, R.R.; Rubin, B.P. Can MDM2 analytical tests performed on core needle biopsy be relied upon to diagnose well-differentiated liposarcoma? Mod. Pathol. 2010, 23, 1301–1306. [Google Scholar] [CrossRef] [PubMed]
- Shimada, S.; Ishizawa, T.; Ishizawa, K.; Matsumura, T.; Hasegawa, T.; Hirose, T. The value of MDM2 and CDK4 amplification levels using real-time polymerase chain reaction for the differential diagnosis of liposarcomas and their histologic mimickers. Hum. Pathol. 2006, 37, 1123–1129. [Google Scholar] [CrossRef] [PubMed]
- Pilotti, S.; Della Torre, G.; Mezzelani, A.; Tamborini, E.; Azzarelli, A.; Sozzi, G.; Pierotti, M.A. The expression of MDM2/CDK4 gene product in the differential diagnosis of well differentiated liposarcoma and large deep-seated lipoma. Br. J. Cancer 2000, 82, 1271–1275. [Google Scholar] [CrossRef] [PubMed]
- Wolff, A.C.; Hammond, M.E.; Schwartz, J.N.; Hagerty, K.L.; Allred, D.C.; Cote, R.J.; Dowsett, M.; Fitzgibbons, P.L.; Hanna, W.M.; Langer, A.; et al. American Society of Clinical Oncology/College of American Pathologists guideline recommendations for human epidermal growth factor receptor 2 testing in breast cancer. Arch. Pathol. Lab. Med. 2007, 131, 18–43. [Google Scholar] [CrossRef]
- Dashti, N.K.; Fritchie, K.J.; Folpe, A.L. Perinephric myxoid pseudotumor of fat: A distinctive pseudoneoplasm most often associated with non-neoplastic renal disease. Hum. Pathol. 2019, 87, 37–43. [Google Scholar] [CrossRef]
- Ryan, S.; Visgauss, J.; Kerr, D.; Helmkamp, J.; Said, N.; Vinson, E.; O’Donnell, P.; Li, X.; Jung, S.-H.; Cardona, D.; et al. The Value of MRI in Distinguishing Subtypes of Lipomatous Extremity Tumors Needs Reassessment in the Era of MDM2 and CDK4 Testing. Sarcoma 2018, 2018, 1901896. [Google Scholar] [CrossRef]
- Vicario, R.; Peg, V.; Morancho, B.; Zacarías-Fluck, M.; Zhang, J.; Martínez-Barriocanal, A.; Jiménez, A.N.; Aura, C.; Burgués, O.; Lluch, A.; et al. Patterns of HER2 Gene Amplification and Response to Anti-HER2 Therapies. PLoS ONE 2015, 10, e0129876. [Google Scholar] [CrossRef]
- Nuciforo, P.; Thyparambil, S.; Aura, C.; Garrido-Castro, A.; Vilaro, M.; Peg, V.; Jimenez, J.; Vicario, R.; Cecchi, F.; Hoos, W.; et al. High HER2 protein levels correlate with increased survival in breast cancer patients treated with anti-HER2 therapy. Mol. Oncol. 2015, 10, 138–147. [Google Scholar] [CrossRef]
- Rondón-Lagos, M.; Di Cantogno, L.V.; Rangel, N.; Mele, T.; Ramírez-Clavijo, S.R.; Scagliotti, G.; Marchio, C.; Sapino, A. Unraveling the chromosome 17 patterns of FISH in interphase nuclei: An in-depth analysis of the HER2 amplicon and chromosome 17 centromere by karyotyping, FISH and M-FISH in breast cancer cells. BMC Cancer 2014, 14, 922. [Google Scholar] [CrossRef]
- Starczynski, J.; Atkey, N.; Connelly, Y.; O’Grady, T.; Campbell, F.M.; di Palma, S.; Wencyk, P.; Jasani, B.; Gandy, M.; Bartlett, J.M.S. HER2 gene amplification in breast cancer: A rogues’ gallery of challenging diagnostic cases: UKNEQAS interpretation guidelines and research recommendations. Am. J. Clin. Pathol. 2012, 137, 595–605. [Google Scholar] [CrossRef]






| Case Series | MDM2 Amplification | ||
|---|---|---|---|
| Amplified | Not Amplified | Ratio (%) | |
| DDLPS | 25 | 2 | 25/27 (93) |
| ALT/WDLPS | 18 | 1 | 18/19 (95) |
| PLPS | 0 | 3 | 0/3 (0) |
| MLPS | 0 | 2 | 0/2 (0) |
| SCL/PL | 0 | 5 | 0/5 (0) |
| ASCLT | 0 | 2 | 0/2 (0) |
| Lipoma | 0 | 25 | 0/25 (0) |
| Total | 43 | 40 | 43/83 (52) |
| Sample Size | FISH Probes | N° Nuclei Evaluated | Amplification Diagnostic Cut Off | Year of Publication | Reference |
|---|---|---|---|---|---|
| 38 | DCP | 40 | MDM2/CEP12 ≥ 2 | 2022 | [38] |
| 439 | DCP | 200 | MDM2/CEP12 ≥ 2 | 2022 | [31] |
| 20 | DCP | 20 | MDM2/CEP12 ≥ 2 | 2022 | [32] |
| 55 | DCP | n.a. | n.a. | 2021 | [39] |
| 35 | DCP | n.a. | n.a. | 2021 | [33] |
| 113 | DCP | n.a. | n.a. | 2019 | [40] |
| 17 | DCP | 100 | MDM2/CEP12 > 2 | 2019 | [41] |
| 180 | DCP | n.a. | MDM2/CEP12 ≥ 2 | 2018 | [42] |
| 66 | DCP | 100 | MDM2/CEP12 ≥ 2 | 2018 | [43] |
| 25 | DCP | n.a. | MDM2/CEP12 > 2 | 2018 | [44] |
| 232 | DCP | 200 | n.a. | 2017 | [45] |
| 101 | DCP | 40 | MDM2/CEP12 > 2 | 2017 | [46] |
| 18 | DCP | n.a. | MDM2/CEP12 > 2 | 2017 | [47] |
| 140 | IHP-DCP | 200 | MDM2/CEP12 ≥ 2 | 2016 | [48] |
| 102 | DCP | 40 | MDM2/CEP12 ≥ 2 | 2016 | [49] |
| 5 | DCP | 100 | MDM2/CEP12 > 2.0 | 2016 | [50] |
| 5 | DCP | n.a. | MDM2 ≥ 3 CEP12 = 2 | 2016 | [51] |
| 347 | DCP | n.a. | 2–4 CEP12 signals with ≥6 extra MDM2 signals. | 2015 | [30] |
| 10 | DCP | 100-200 | MDM2 ≥ 10 Polysomy CEP12: MDM2/CEP12 ≤ 2 | 2015 | [52] |
| 77 | DCP | 60 | MDM2/CEP12 > 2 | 2015 | [53] |
| 50 | SP | 40 | MDM2 > 5.0 | 2015 | [54] |
| 347 | DCP | n.a. | MDM2 ≥ 6 CEP12 = 2–4 | 2015 | [30] |
| 301 | DCP | 200 | At least 15% of nuclei presenting at least 15 MDM2 signals per cell | 2015 | [55] |
| 46 | DCP | 60 | MDM2/CEP12 ≥ 2 | 2014 | [56] |
| 64 | DCP | 100 | MDM2 ≥ 5 CEP12 = 1–2 | 2014 | [57] |
| 172 | IHP-DCP | n.a. | MDM2/CEP12 > 2 | 2013 | [10] |
| 38 | SP | n.a. | n.a. | 2013 | [1] |
| 82 | DCP | 100 | MDM2/CEP12 ≥ 2.2 | 2012 | [58] |
| 428 | DCP | 50 | MDM2/CEP12 > 2.0 | 2012 | [59] |
| 12 | IHP-DCP | n.a. | n.a. | 2010 | [60] |
| 54 | DCP | n.a. | MDM2/CEP12 ≥ 2.0 | 2010 | [61] |
| 41 | IHP-DCP | 40 | MDM2/CEP12 ≥ 2.0 | 2009 | [9] |
| 130 | IHP-DCP | 40 | MDM2/CEP12 ≥ 2.0 | 2008 | [8] |
| 200 | SP | 100 | MDM2 > 5 signals/cell | 2007 | [11] |
| 71 | IHP-DCP | 100 | MDM2/CEP12 > 3 | 2006 | [62] |
| 21 | SP | n.a. | MDM2 > 2 signals/cell | 2000 | [63] |
Disclaimer/Publisher’s Note: The statements, opinions and data contained in all publications are solely those of the individual author(s) and contributor(s) and not of MDPI and/or the editor(s). MDPI and/or the editor(s) disclaim responsibility for any injury to people or property resulting from any ideas, methods, instructions or products referred to in the content. |
© 2023 by the authors. Licensee MDPI, Basel, Switzerland. This article is an open access article distributed under the terms and conditions of the Creative Commons Attribution (CC BY) license (https://creativecommons.org/licenses/by/4.0/).
Share and Cite
Gambella, A.; Bertero, L.; Rondón-Lagos, M.; Verdun Di Cantogno, L.; Rangel, N.; Pitino, C.; Ricci, A.A.; Mangherini, L.; Castellano, I.; Cassoni, P. FISH Diagnostic Assessment of MDM2 Amplification in Liposarcoma: Potential Pitfalls and Troubleshooting Recommendations. Int. J. Mol. Sci. 2023, 24, 1342. https://doi.org/10.3390/ijms24021342
Gambella A, Bertero L, Rondón-Lagos M, Verdun Di Cantogno L, Rangel N, Pitino C, Ricci AA, Mangherini L, Castellano I, Cassoni P. FISH Diagnostic Assessment of MDM2 Amplification in Liposarcoma: Potential Pitfalls and Troubleshooting Recommendations. International Journal of Molecular Sciences. 2023; 24(2):1342. https://doi.org/10.3390/ijms24021342
Chicago/Turabian StyleGambella, Alessandro, Luca Bertero, Milena Rondón-Lagos, Ludovica Verdun Di Cantogno, Nelson Rangel, Chiara Pitino, Alessia Andrea Ricci, Luca Mangherini, Isabella Castellano, and Paola Cassoni. 2023. "FISH Diagnostic Assessment of MDM2 Amplification in Liposarcoma: Potential Pitfalls and Troubleshooting Recommendations" International Journal of Molecular Sciences 24, no. 2: 1342. https://doi.org/10.3390/ijms24021342
APA StyleGambella, A., Bertero, L., Rondón-Lagos, M., Verdun Di Cantogno, L., Rangel, N., Pitino, C., Ricci, A. A., Mangherini, L., Castellano, I., & Cassoni, P. (2023). FISH Diagnostic Assessment of MDM2 Amplification in Liposarcoma: Potential Pitfalls and Troubleshooting Recommendations. International Journal of Molecular Sciences, 24(2), 1342. https://doi.org/10.3390/ijms24021342

