Synthesis and Biological Activity of a New Indenoisoquinoline Copper Derivative as a Topoisomerase I Inhibitor
Abstract
:1. Introduction
2. Results
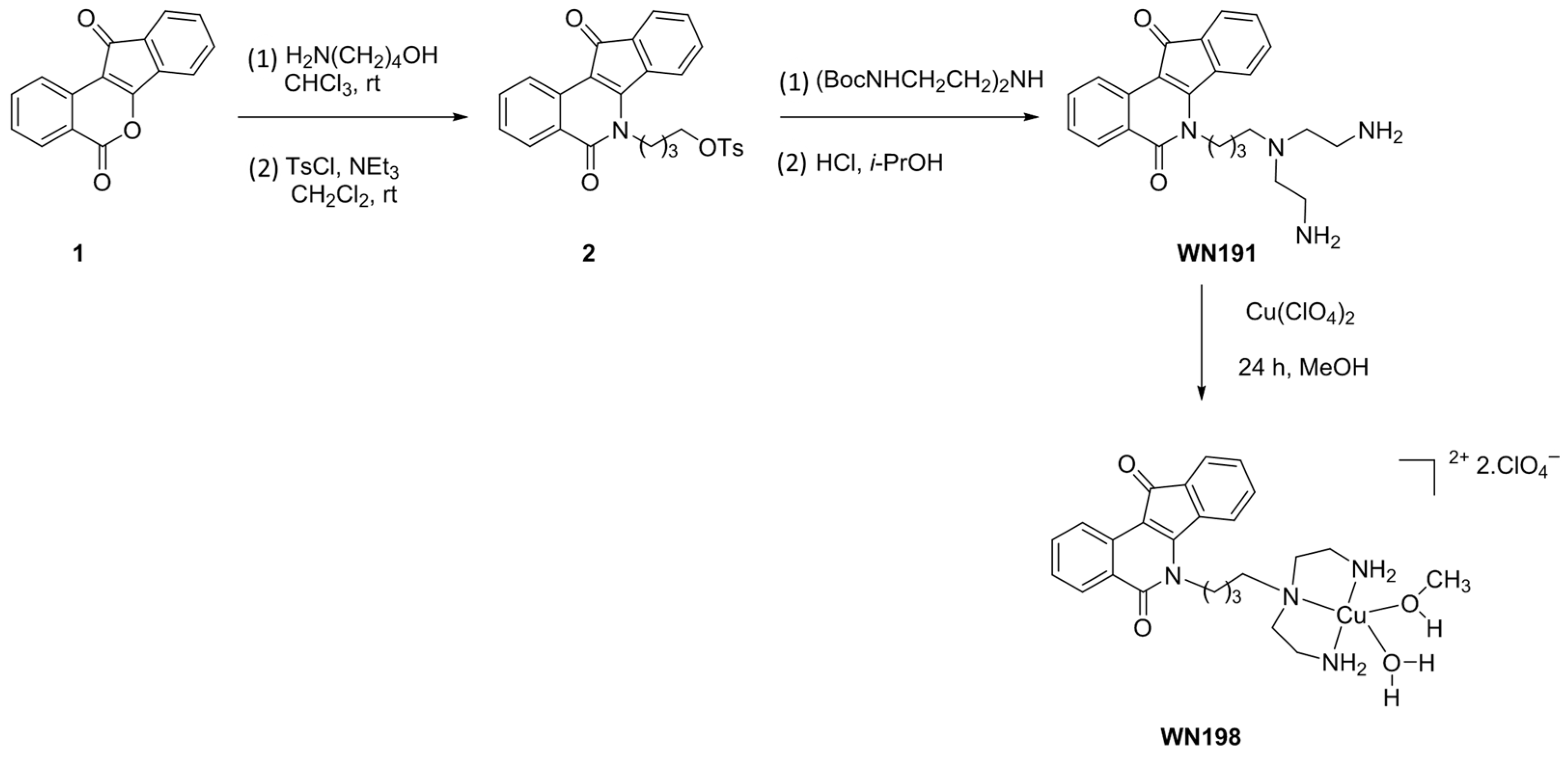
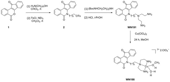
2.1. Synthesis and Characterization
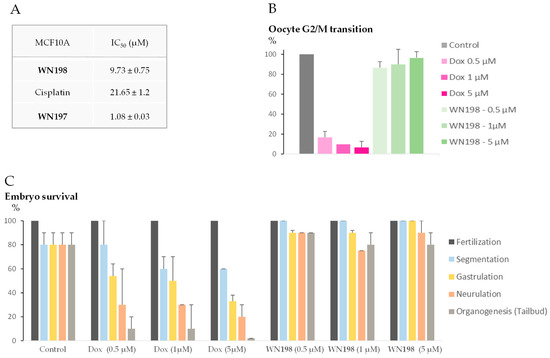
2.2. WN191 and WN198 Display Cytotoxic Activity on Five Adenocarcinoma Cell Lines at Low Doses
2.3. WN191 and WN198 Are Concentration-Dependent Topoisomerase Inhibitors
2.4. WN198 Intercalates in DNA
2.5. Modeling of the Interaction between WN170, WN191, and WN198 and Top1
2.6. WN198 Induces Autophagy but Not Apoptosis
3. Discussion
4. Materials and Methods
4.1. Chemistry
4.1.1. Synthesis of WN191
- 6-(4-(Bis(2-aminoethyl)amino)butyl)-5H-indeno[1,2-c]isoquinoline-5,11(6H)-dione WN191
4.1.2. Synthesis of Cu(II) Complex WN198
4.2. Cell Culture
4.3. Cell Viability Assay
4.4. Human Topoisomerase I In Vitro Activity
4.5. Ethidium Bromide Competition Test
4.6. Molecular Modeling
4.7. Xenopus laevis Oocyte and Embryo Handling
4.8. Electrophoresis and Western Blot
5. Conclusions
Author Contributions
Funding
Institutional Review Board Statement
Informed Consent Statement
Data Availability Statement
Acknowledgments
Conflicts of Interest
References
- Jaouen, G.; Vessières, A.; Top, S. Ferrocifen type anticancer drugs. Chem. Soc. Rev. 2015, 44, 8802–8817. [Google Scholar] [CrossRef] [PubMed]
- Dilruba, S.; Kalayda, G.V. Platinum-based drugs: Past, present and future. Cancer Chemother. Pharmacol. 2016, 77, 1103–1124. [Google Scholar] [CrossRef] [PubMed]
- Zhang, P.; Sadler, P.J. Advances in the design of organometallic anticancer complexes. J. Organomet. Chem. 2017, 839, 5–14. [Google Scholar] [CrossRef]
- Anthony, E.J.; Bolitho, E.M.; Bridgewater, H.E.; Carter, O.W.L.; Donnelly, J.M.; Imberti, C.; Lant, E.C.; Lermyte, F.; Needham, R.J.; Palau, M.; et al. Metallodrugs are unique: Opportunities and challenges of discovery and development. Chem. Sci. 2020, 11, 12888–12917. [Google Scholar] [CrossRef]
- Komeda, S.; Casini, A. Next-Generation Anticancer Metallodrugs. Curr. Top. Med. Chem. 2012, 12, 219–235. [Google Scholar] [CrossRef]
- Mejía, C.; Ortega-Rosales, S.; Ruiz-Azuara, L. Mechanism of action of anticancer metallodrugs. In Biomedical Applications of Metals; Springer: Cham, Switzerland, 2018; pp. 213–234. [Google Scholar] [CrossRef]
- Santini, C.; Pellei, M.; Gandin, V.; Porchia, M.; Tisato, F.; Marzano, C. Advances in copper complexes as anticancer agents. Chem. Rev. 2014, 114, 815–862. [Google Scholar] [CrossRef]
- Kellett, A.; Molphy, Z.; McKee, V.; Slator, C. Recent advances in anticancer copper compounds. In Metal-Based Anticancer Agents; Vessieres, I.A., Meier-Menches, S.M., Casini, A., Eds.; Royal Society of Chemistry, RSC Metallobiology: London, UK, 2019; Volume 14, pp. 91–119. [Google Scholar]
- Molinaro, C.; Martoriati, A.; Pelinski, L.; Cailliau, K. Copper complexes as anticancer agents targeting topoisomerases i and ii. Cancers 2020, 12, 2863. [Google Scholar] [CrossRef]
- Baldari, S.; Di Rocco, G.; Toietta, G. Current biomedical use of copper chelation therapy. Int. J. Mol. Sci. 2020, 21, 1069. [Google Scholar] [CrossRef]
- Denoyer, D.; Clatworthy, S.A.S.; Cater, M.A. Copper Complexes in Cancer Therapy; NIH: Bethesda, MD, USA, 2018; Volume 18, ISBN 9783110470734. [Google Scholar]
- Zhang, Z.; Wang, H.; Yan, M.; Wang, H.; Zhang, C. Novel copper complexes as potential proteasome inhibitors for cancer treatment (Review). Mol. Med. Rep. 2017, 15, 3–11. [Google Scholar] [CrossRef]
- Liang, X.; Wu, Q.; Luan, S.; Yin, Z.; He, C.; Yin, L.; Zou, Y.; Yuan, Z.; Li, L.; Song, X.; et al. A comprehensive review of topoisomerase inhibitors as anticancer agents in the past decade. Eur. J. Med. Chem. 2019, 171, 129–168. [Google Scholar] [CrossRef]
- Molinaro, C.; Martoriati, A.; Cailliau, K. Proteins from the DNA Damage Response: Regulation, Dysfunction, and Anticancer Strategies. Cancers 2021, 13, 3819. [Google Scholar] [CrossRef] [PubMed]
- Molinaro, C.; Wambang, N.; Bousquet, T.; Vercoutter-Edouart, A.S.; Pélinski, L.; Cailliau, K.M.A. A Novel Copper(II) Indenoisoquinoline Complex Inhibits Topoisomerase I, Induces G2 Phase Arrest, and Autophagy in Three Adenocarcinomas. Front. Oncol. 2022, 12, 837373. [Google Scholar] [CrossRef] [PubMed]
- Pommier, Y.; Cushman, M.; Doroshow, J.H. Novel clinical indenoisoquinoline topoisomerase I inhibitors: A twist around the camptothecins. Oncotarget 2018, 9, 37286–37288. [Google Scholar] [CrossRef] [PubMed]
- Thomas, A.; Pommier, Y. Targeting topoisomerase I in the era of precision medicine. Clin. Cancer Res. 2019, 25, 6581–6589. [Google Scholar] [CrossRef] [PubMed]
- Pommier, Y.; Kiselev, E.; Marchand, C. Interfacial inhibitors. Bioorganic Med. Chem. Lett. 2015, 25, 3961–3965. [Google Scholar] [CrossRef]
- Cushman, M. Design and Synthesis of Indenoisoquinolines Targeting Topoisomerase I and Other Biological Macromolecules for Cancer Chemotherapy. J. Med. Chem. 2021, 64, 17572–17600. [Google Scholar] [CrossRef]
- Slaby, S.; Hanotel, J.; Marchand, G.; Lescuyer, A.; Bodart, J.; Leprêtre, A.; Lemière, S.; Marin, M. Maturation of Xenopus laevis oocytes under cadmium and lead exposures: Cell biology investigations. Aquat. Toxicol. 2017, 193, 110–115. [Google Scholar] [CrossRef]
- Slaby, S.; Lemière, S.; Hanotel, J.; Lescuyer, A.; Demuynck, S.; Bodart, J.F.; Leprêtre, A.; Marin, M. Cadmium but not lead exposure affects Xenopus laevis fertilization and embryo cleavage. Aquat. Toxicol. 2017, 177, 1–7. [Google Scholar] [CrossRef]
- Slaby, S.; Marin, M.; Marchand, G.; Lemiere, S. Exposures to chemical contaminants: What can we learn from reproduction and development endpoints in the amphibian toxicology literature? Environ. Pollut. 2019, 248, 478–495. [Google Scholar] [CrossRef]
- Marchand, G.; Wambang, N.; Pellegrini, S.; Molinaro, C.; Martoriati, A.; Bousquet, T.; Markey, A.; Lescuyer-Rousseau, A.; Bodart, J.F.; Cailliau, K.; et al. Effects of Ferrocenyl 4-(Imino)-1,4-Dihydro-quinolines on Xenopus laevis Prophase I—Arrested Oocytes: Survival and Hormonal-Induced M-Phase Entry. Int. J. Mol. Sci. 2020, 21, 3049. [Google Scholar] [CrossRef]
- Nieuwkoop, P.D.; Faber, J. A Systematical and Chronological Survey of the Development from the Fertilized Egg till the End of Metamorphosis; Faber, P.D.J., Ed.; Nieuwkoop, Garland Publishing Inc.: New York, NY, USA, 1994; ISBN 0-8153-1896-0. [Google Scholar]
- Larsen, A.K.; Escargueil, A.E.; Skladanowski, A. From DNA Damage to G2 Arrest: The Many Roles of Topoisomerase II. Prog. Cell Cycle Res. 2003, 5, 295–300. [Google Scholar] [PubMed]
- Pommier, Y. Drugging Topoisomerases: Lessons and Challenges. ACS Chem. Biol. 2013, 8, 82–95. [Google Scholar] [CrossRef] [PubMed]
- Kim, K.W.; Mutter, R.W.; Cao, C.; Albert, J.M.; Freeman, M.; Hallahan, D.E.; Lu, B. Autophagy for cancer therapy through inhibition of pro-apoptotic proteins and mammalian target of rapamycin signaling. J. Biol. Chem. 2006, 281, 36883–36890. [Google Scholar] [CrossRef]
- Heestand, G.M.; Schwaederle, M.; Gatalica, Z.; Arguello, D.; Kurzrock, R. Topoisomerase expression and amplification in solid tumours: Analysis of 24,262 patients. Eur. J. Cancer 2017, 83, 80–87. [Google Scholar] [CrossRef]
- Villman, K.; Ståhl, E.; Liljegren, G.; Tidefelt, U.; Karlsson, M.G. Topoisomerase II-α expression in different cell cycle phases in fresh human breast carcinomas. Mod. Pathol. 2002, 15, 486–491. [Google Scholar] [CrossRef]
- Lee, Y.C.; Lee, C.H.; Tsai, H.P.; An, H.W.; Lee, C.M.; Wu, J.C.; Chen, C.S.; Huang, S.H.; Hwang, J.; Cheng, K.T.; et al. Targeting of Topoisomerase I for Prognoses and Therapeutics of Camptothecin-Resistant Ovarian Cancer. PLoS ONE 2015, 10, e0132579. [Google Scholar] [CrossRef] [PubMed]
- Ali, Y.; Abd Hamid, S. Human topoisomerase II alpha as a prognostic biomarker in cancer chemotherapy. Tumor Biol. 2016, 37, 47–55. [Google Scholar] [CrossRef] [PubMed]
- Zhong, W.; Yang, Y.; Zhang, A.; Lin, W.; Liang, G.; Ling, Y.; Zhong, J.; Yong, J.; Liu, Z.; Tian, Z.; et al. Prognostic and predictive value of the combination of TOP2A and HER2 in node-negative tumors 2 cm or smaller (T1N0) breast cancer. Breast Cancer 2020, 27, 1147–1157. [Google Scholar] [CrossRef]
- Rosenberg, B.; VanCamp, L.; Trosko, J.E.; Mansour, V.H. Platinum Compounds: A New Class of Potent Antitumour Agents. Nature 1969, 5191, 385–386. [Google Scholar] [CrossRef]
- Szczepaniak, A.; Fichna, J. Organometallic Compounds and Metal Complexes in Current and Future Treatments of Inflammatory Bowel Disease and Colorectal Cancer—A Critical Review. Biomolecules 2019, 9, 398. [Google Scholar] [CrossRef]
- Ndagi, U.; Mhlongo, N.; Soliman, M.E. Metal Complexes in Cancer Therapy—An Update from Drug Design Perspective. Drug Des. Devel. Ther. 2017, 11, 599–616. [Google Scholar] [CrossRef] [PubMed]
- Kondratskyi, A.; Kondratska, K.; Vanden Abeele, F.; Gordienko, D.; Dubois, C.; Toillon, R.A.; Slomianny, C.; Lemière, S.; Delcourt, P.; Dewailly, E.; et al. Ferroquine, the next generation antimalarial drug, has antitumor activity. Sci. Rep. 2017, 7, 15896. [Google Scholar] [CrossRef] [PubMed]
- Wambang, N.; Schifano-Faux, N.; Martoriati, A.; Henry, N.; Baldeyrou, B.; Bal-Mahieu, C.; Bousquet, T.; Pellegrini, S.; Meignan, S.; Cailliau, K.; et al. Synthesis, Structure, and Antiproliferative Activity of Ruthenium(II) Arene Complexes of Indenoisoquinoline Derivatives. Organometallics 2016, 35, 2868–2872. [Google Scholar] [CrossRef]
- Pragti; Kundu, B.K.; Mukhopadhyay, S. Target based chemotherapeutic advancement of ruthenium complexes. Coord. Chem. Rev. 2021, 448, 214169. [Google Scholar] [CrossRef]
- Brown, A.; Kumar, S.; Tchounwou, P.B. Cisplatin-Based Chemotherapy of Human Cancers. J. Cancer Sci. Ther. 2019, 11, 97. [Google Scholar]
- Ceramella, J.; Mariconda, A.; Iacopetta, D.; Saturnino, C.; Barbarossa, A.; Caruso, A.; Rosano, C.; Sinicropi, M.S.; Longo, P. From coins to cancer therapy: Gold, silver and copper complexes targeting human topoisomerases. Bioorg. Med. Chem. Lett. 2020, 30, 126905. [Google Scholar] [CrossRef]
- Marzano, C.; Pellei, M.; Tisato, F.; Santini, C. Copper Complexes as Anticancer Agents. Anticancer Agents Med. Chem. 2012, 9, 185–211. [Google Scholar] [CrossRef]
- Shobha Devi, C.; Thulasiram, B.; Aerva, R.R.; Nagababu, P. Recent Advances in Copper Intercalators as Anticancer Agents. J. Fluoresc. 2018, 28, 1195–1205. [Google Scholar] [CrossRef]
- Marzi, L.; Sun, Y.; Huang, S.Y.N.; James, A.; Difilippantonio, S.; Pommier, Y. The indenoisoquinoline LMP517: A novel antitumor agent targeting both TOP1 and TOP2. Mol. Cancer Ther. 2020, 19, 1589–1597. [Google Scholar] [CrossRef]
- Beck, D.E.; Agama, K.; Marchand, C.; Chergui, A.; Pommier, Y.; Cushman, M. Synthesis and biological evaluation of new carbohydrate-substituted indenoisoquinoline topoisomerase I inhibitors and improved syntheses of the experimental anticancer agents indotecan (LMP400) and indimitecan (LMP776). J. Med. Chem. 2014, 57, 1495–1512. [Google Scholar] [CrossRef]
- Wambang, N.; Schifano-Faux, N.; Aillerie, A.; Baldeyrou, B.; Jacquet, C.; Bal-Mahieu, C.; Bousquet, T.; Pellegrini, S.; Ndifon, P.T.; Meignan, S.; et al. Synthesis and biological activity of ferrocenyl indeno[1,2-c]isoquinolines as topoisomerase II inhibitors. Bioorganic Med. Chem. 2016, 24, 651–660. [Google Scholar] [CrossRef]
- Sharma, A.; Singh, K.; Almasan, A. Histone H2AX Phosphorylation: A Marker for DNA Damage. Methods Mol. Biol. 2012, 920, 613–626. [Google Scholar] [CrossRef] [PubMed]
- Smith, H.L.; Southgate, H.; Tweddle, D.A.; Curtin, N.J. DNA Damage Checkpoint Kinases in Cancer. Expert. Rev. Mol. Med. 2020, 8, e2. [Google Scholar] [CrossRef] [PubMed]
- Deng, J.H.; Luo, J.; Mao, Y.L.; Lai, S.; Gong, Y.N.; Zhong, D.C.; Lu, T.B. Π-π stacking interactions: Non-negligible forces for stabilizing porous supramolecular frameworks. Sci. Adv. 2020, 6, eaax9976. [Google Scholar] [CrossRef] [PubMed]
- Thakuria, R.; Nath, N.K.; Saha, B.K. The Nature and Applications of π-π Interactions: A Perspective. Cryst. Growth Des. 2019, 19, 523–528. [Google Scholar] [CrossRef]
- Atwal, M.; Swan, R.L.; Rowe, C.; Lee, K.C.; Armstrong, L.; Cowell, I.G.; Austin, C.A.; Lee, D.C. Intercalating TOP2 Poisons Attenuate Topoisomerase Action at Higher Concentrations. Mol. Pharmacol. 2019, 96, 475–484. [Google Scholar] [CrossRef] [PubMed]
- Marinello, J.; Delcuratolo, M.; Capranico, G. Anthracyclines as Topoisomerase II Poisons: From Early Studies to New Perspectives. Int. J. Mol. Sci. 2018, 19, 3480. [Google Scholar] [CrossRef]
- Bailly, C.; Dassonneville, L.; Colson, P.; Houssier, C.; Fukasawa, K.; Nishimura, S.; Yoshinari, T. Intercalation into DNA is not required for inhibition of topoisomerase I by indolocarbazole antitumor agents. Cancer Res. 1999, 59, 2853–2860. [Google Scholar]
- Grossman, S.; Fishwick, C.W.G.; McPhillie, M.J. Developments in Non-Intercalating Bacterial Topoisomerase Inhibitors: Allosteric and ATPase Inhibitors of DNA Gyrase and Topoisomerase IV. Pharmaceuticals 2023, 16, 261. [Google Scholar] [CrossRef]
- Hu, J.; Liao, C.; Guo, Y.; Yang, F.; Sang, W.; Zhao, J. Copper (II) complexes inducing apoptosis in cancer cells, and demonstrating DNA and HSA interactions. Polyhedron 2017, 132, 28–38. [Google Scholar] [CrossRef]
- Rezaei, A.; Falahati-Pour, S.K.; Mohammadizadeh, F.; Hajizadeh, M.R.; Mirzaei, M.R.; Khoshdel, A.; Fahmidehkar, M.A.; Mahmoodi, M. Effect of a Copper (II) complex on the induction of apoptosis in human hepatocellular carcinoma cells. Asian Pac. J. Cancer Prev. 2018, 19, 2877–2884. [Google Scholar] [CrossRef] [PubMed]
- Gul, N.S.; Khan, T.M.; Chen, M.; Huang, K.B.; Hou, C.; Choudhary, M.I.; Liang, H.; Chen, Z.F. New copper complexes inducing bimodal death through apoptosis and autophagy in A549 cancer cells. J. Inorg. Biochem. 2020, 213, 111260. [Google Scholar] [CrossRef] [PubMed]
- McGowan, J.V.; Chung, R.; Maulik, A.; Piotrowska, I.; Walker, J.M.; Yellon, D.M. Anthracycline Chemotherapy and Cardiotoxicity. Cardiovasc. Drugs Ther. 2017, 31, 63–75. [Google Scholar] [CrossRef] [PubMed]
- Barrett-Lee, P.J.; Dixon, J.M.; Farrell, C.; Jones, A.; Leonard, R.; Murray, N.; Palmieri, C.; Plummer, C.J.; Stanley, A.; Verrill, M.W. Expert opinion on the use of anthracyclines in patients with advanced breast cancer at cardiac risk. Ann. Oncol. 2009, 20, 816–827. [Google Scholar] [CrossRef] [PubMed]
- Park, E.-J.; Kondratyuk, T.P.; Morrell, A.; Kiselev, E.; Conda-Sheridan, M.; Cushman, M.; Ahn, S.; Choi, Y.; White, J.J.; van Breemen, R.B.; et al. Induction of retinoid X receptor activity and consequent upregulation of p21WAF1/CIP1 by indenoisoquinolines in MCF7 cells. Cancer Prev. Res. 2011, 4, 592–607. [Google Scholar] [CrossRef]
- Jones, G.; Willett, P.; Glen, R.C.; Leach, A.R.; Taylor, R. Development and validation of a genetic algorithm for flexible docking. J. Mol. Biol. 1997, 267, 727–748. [Google Scholar] [CrossRef]
- The PyMOL Molecular Graphics System; Version 2.0; Schrödinger, LLC: New York, NY, USA, 2015.
- Meneau, F.; Dupré, A.; Jessus, C.; Daldello, E.M. Translational Control of Xenopus Oocyte Meiosis: Toward the Genomic Era. Cells 2020, 9, 1502. [Google Scholar] [CrossRef]
- Topatana, W.; Juengpanich, S.; Li, S.; Cao, J.; Hu, J.; Lee, J.; Suliyanto, K.; Ma, D.; Zhang, B.; Chen, M.; et al. Advances in synthetic lethality for cancer therapy: Cellular mechanism and clinical translation. J. Hematol. Oncol. 2020, 13, 118. [Google Scholar] [CrossRef]







| MCF-7 | MDA-MB-231 | HeLa | HT-29 | DU-145 | |
|---|---|---|---|---|---|
| WN191 | 0.58 ± 0.02 | 1.12 ± 0.01 | 0.80 ± 0.09 | 0.53 ± 0.01 | 1.09 ± 0.05 |
| WN198 | 0.89 ± 0.22 | 0.37 ± 0.04 | 0.72 ± 0.06 | 1.06 ± 0.02 | 1.04 ± 0.34 |
| WN170 | 0.46 ± 0.17 | 0.875 ± 0.01 | 0.630 ± 0.09 | 0.479 ± 0.07 | 0.305 ± 0.04 |
| Cisplatin | 40.396 ± 11.9 | 33.802 ± 1.27 | 19.287 ± 5.323 | 21.313 ± 7.475 | 2.308 ± 0.04 |
| Statistical difference (WN191/WN198) | **** | **** | *** | **** | * |
| Compound | Kapp (107 M−1) | EtBr Displacement |
|---|---|---|
| WN191 | 8.964 ± 0.964 | 91% |
| WN198 | 10.791 ± 1.638 | 89% |
| Empirical Formula | C25H34Cl2CuN4O12 |
|---|---|
| Formula weight | 714.98 |
| Temperature/K | 296.15 |
| Crystal system | Triclinic |
| Space group | P-1 |
| a/Å | 9.0523(12) |
| b/Å | 11.6041(14) |
| c/Å | 14.3430(19) |
| α/° | 89.459(8) |
| β/° | 87.775(8) |
| γ/° | 87.345(9) |
| Volume/Å3 | 1503.8(3) |
| Z | 2 |
| ρcalcg/cm3 | 1.579 |
| μ/mm−1 | 0.972 |
| F(000) | 738.0 |
| Crystal size/mm3 | 0.213 × 0.177 × 0.034 |
| Radiation | MoKα (λ = 0.71073) |
| 2Θ range for data collection/° | 2.842 to 51.992 |
| Index ranges | −11 ≤ h ≤ 12, −15 ≤ k ≤ 15, −19 ≤ l ≤ 19 |
| Reflections collected | 24167 |
| Independent reflections | 5754 [Rint = 0.0575, Rsigma = 0.0819] |
| Data/restraints/parameters | 5754/3/350 |
| Goodness-of-fit on F2 | 1.028 |
| Final R indexes [I ≥ 2σ (I)] | R1 = 0.1042, wR2 = 0.2914 |
| Final R indexes [all data] | R1 = 0.1547, wR2 = 0.3380 |
| Largest diff. peak/hole/e Å−3 | 1.49/−1.39 |
Disclaimer/Publisher’s Note: The statements, opinions and data contained in all publications are solely those of the individual author(s) and contributor(s) and not of MDPI and/or the editor(s). MDPI and/or the editor(s) disclaim responsibility for any injury to people or property resulting from any ideas, methods, instructions or products referred to in the content. |
© 2023 by the authors. Licensee MDPI, Basel, Switzerland. This article is an open access article distributed under the terms and conditions of the Creative Commons Attribution (CC BY) license (https://creativecommons.org/licenses/by/4.0/).
Share and Cite
Molinaro, C.; Wambang, N.; Pellegrini, S.; Henry, N.; Lensink, M.F.; Germain, E.; Bousquet, T.; de Ruyck, J.; Cailliau, K.; Pélinski, L.; et al. Synthesis and Biological Activity of a New Indenoisoquinoline Copper Derivative as a Topoisomerase I Inhibitor. Int. J. Mol. Sci. 2023, 24, 14590. https://doi.org/10.3390/ijms241914590
Molinaro C, Wambang N, Pellegrini S, Henry N, Lensink MF, Germain E, Bousquet T, de Ruyck J, Cailliau K, Pélinski L, et al. Synthesis and Biological Activity of a New Indenoisoquinoline Copper Derivative as a Topoisomerase I Inhibitor. International Journal of Molecular Sciences. 2023; 24(19):14590. https://doi.org/10.3390/ijms241914590
Chicago/Turabian StyleMolinaro, Caroline, Nathalie Wambang, Sylvain Pellegrini, Natacha Henry, Marc F. Lensink, Emmanuelle Germain, Till Bousquet, Jérôme de Ruyck, Katia Cailliau, Lydie Pélinski, and et al. 2023. "Synthesis and Biological Activity of a New Indenoisoquinoline Copper Derivative as a Topoisomerase I Inhibitor" International Journal of Molecular Sciences 24, no. 19: 14590. https://doi.org/10.3390/ijms241914590
APA StyleMolinaro, C., Wambang, N., Pellegrini, S., Henry, N., Lensink, M. F., Germain, E., Bousquet, T., de Ruyck, J., Cailliau, K., Pélinski, L., & Martoriati, A. (2023). Synthesis and Biological Activity of a New Indenoisoquinoline Copper Derivative as a Topoisomerase I Inhibitor. International Journal of Molecular Sciences, 24(19), 14590. https://doi.org/10.3390/ijms241914590

