Effect of Hibiscus sabdariffa L. on the Metabolism of Arachidonic Acid in the Isolated Kidney of a Rat Model of Metabolic Syndrome
Abstract
1. Introduction
2. Results
2.1. Determinations of Total Flavonoids, Anthocyanins, Polyphenols, and Vitamin C
2.2. Biochemical Markers in Serum
2.3. Markers of the Renal Function
2.4. Prostaglandins
2.5. Delta of the Perfusion Pression
2.6. Coxs’activities
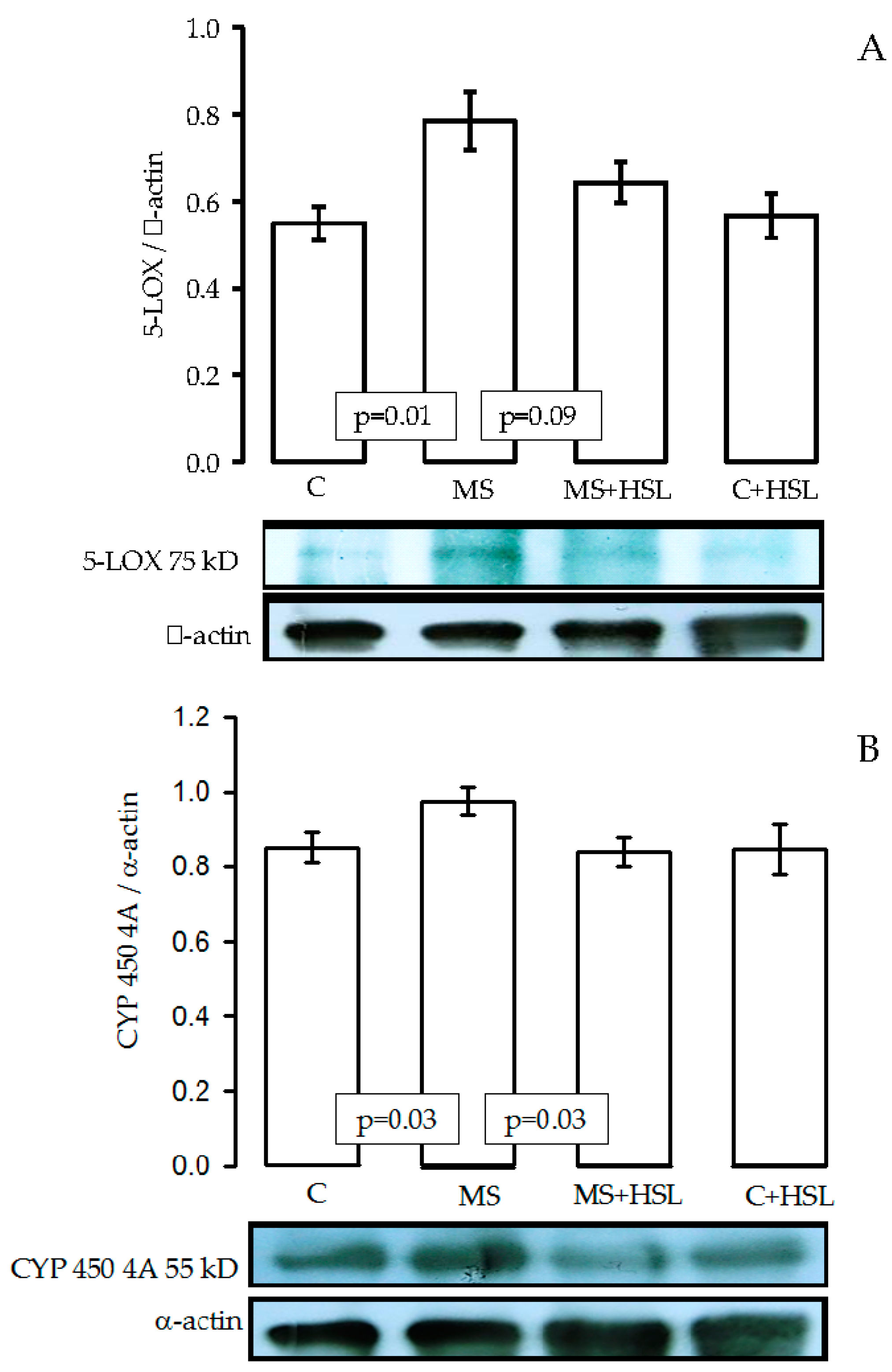
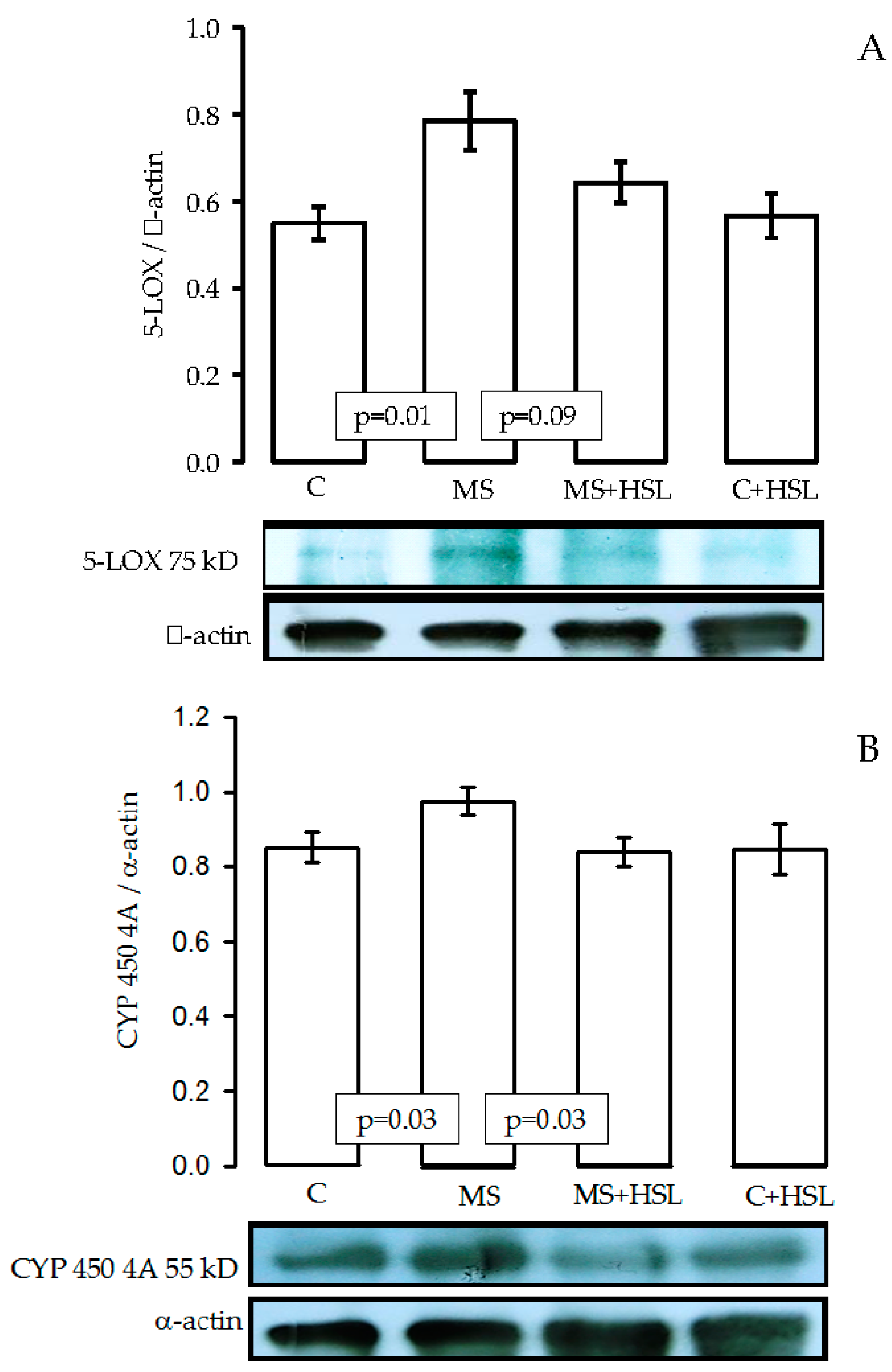
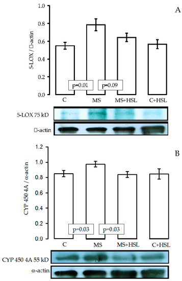
2.7. Enzymatic Expressions
2.8. Histological Changes
3. Discussion
4. Materials and Methods
4.1. Systolic Blood Pressure (SBP)
4.2. Preparation of the HSL Infusion
4.3. Determinations of Polyphenols, Total Flavonoids, Total Anthocyanins, and Vitamin C in HSL Infusion
4.4. Biochemical Variables
4.5. Albuminuria and Creatinine Depuration
4.6. Isolated Perfused Kidney
4.7. Kidney Homogenate
4.8. Microsomes
4.9. Cyclooxygenase Activity Assays
4.10. Prostaglandins
4.11. Extraction and Derivatization of the AA of the Phospholipids
4.12. Western Blotting for COXs’Isoforms, CYP4A, 5-LOX, and PLA2
4.13. Histopathological Analysis
4.14. Statistical Analysis
5. Conclusions
6. Study Limitations
Author Contributions
Funding
Institutional Review Board Statement
Informed Consent Statement
Data Availability Statement
Acknowledgments
Conflicts of Interest
References
- Rubio-Ruiz, M.E.; Hafidi, M.E.; Pérez-Torres, I.; Baños, G.; Guarner, V. Medicinal agents and metabolic syndrome. Curr. Med. Chem. 2013, 20, 2626–2640. [Google Scholar] [CrossRef] [PubMed]
- Imig, J.D. Eicosanoids and renal vascular function in diseases. Clin. Sci. 2006, 111, 21–34. [Google Scholar] [CrossRef] [PubMed]
- Hao, C.M.; Breyer, M.D. Roles of lipid mediators in kidney injury. Semin. Nephrol. 2007, 27, 338–351. [Google Scholar] [CrossRef] [PubMed]
- Chakrabarti, S.K.; Cole, B.K.; Wen, Y.; Keller, S.R.; Nadler, J.L. 12/15-lipoxygenase products induce inflammation and impair insulin signaling in 3T3-L1 adipocytes. Obesity 2009, 17, 1657–1663. [Google Scholar] [CrossRef] [PubMed]
- Zúñiga-Muñoz, A.M.; Guarner-Lans, V.; Soria-Castro, E.; Diaz-Diaz, E.; Torrico-Lavayen, R.; Tena-Betancourt, E.; Pérez-Torres, I. 17β Estradiol modulates perfusion pressure and expression of 5-LOX and CYP450 4A in the isolated kidney of metabolic syndrome female rats. Int. J. Endocrinol. 2015, 2015, 149408. [Google Scholar] [CrossRef]
- Mesaros, C.; Lee, S.H.; Blair, I.A. Targeted quantitative analysis of eicosanoid lipids in biological samples using liquid chromatography-tandem mass spectrometry. J. Chromatogr. B Analyt. Technol. Biomed. Life. Sci. 2009, 877, 2736–2745. [Google Scholar] [CrossRef]
- Hu, Y.; Li, T.T.; Zhou, W.; Lu, T.T.; Li, F.F.; Ding, B.; Liu, B.L.; Xie, X.J.; Ma, J.H. Lipoprotein-associated phospholipase A2 is a risk factor for diabetic kidney disease. Diabetes Res. Clin. Pract. 2019, 150, 194–201. [Google Scholar] [CrossRef]
- Amin, A.; Lotfy, M.; Mahmoud-Ghoneim, D.; Adeghate, E.; Al-Akhras, M.A.; Al-Saadi, M.; Al-Rahmoun, A.; Hameed, R. Pancreas-protective effects of chlorella in STZ-induced diabetic animal model: Insights into the mechanism. J. Diab.Mel. 2011, 1, 36–45. [Google Scholar] [CrossRef]
- Hamza, A.A.; Mohamed, G.M.; Mohamed, F.; Amin, L.A. Dandelion prevents liver fibrosis, inflammatory response, and oxidative stress in rats. J. Basic App. Zool. 2020, 81, 43. [Google Scholar] [CrossRef]
- Bouabdallah, S.; Al-Maktoum, A.; Amin, A. Steroidal saponins: Naturally occurring compounds as inhibitors of the hallmarks of cancer. Cancers 2023, 15, 3900. [Google Scholar] [CrossRef]
- Mohammad, N.S.; Nazli, R.; Zafar, H.; Fatima, S. Effects of lipid based Multiple Micronutrients Supplement on the birth outcome of underweight pre-eclamptic women: A randomized clinical trial. Pak. J. Med. Sci. 2022, 38, 219–226. [Google Scholar] [PubMed]
- Riaz, G.; Chopra, R. A review on phytochemistry and therapeutic uses of Hibiscussabdariffa L. Biomed. Pharmacother. 2018, 102, 575–586. [Google Scholar] [CrossRef] [PubMed]
- Herrera-Arellano, A.; Flores-Romero, S.; Chávez-Soto, M.A.; Tortoriello, J. Effectiveness and tolerability of a standardized extract from Hibiscus sabdariffa in patients with mild to moderate hypertension: A controlled and randomized clinical trial. Phytomedicine 2004, 11, 375–382. [Google Scholar] [CrossRef] [PubMed]
- Kao, E.S.; Hsu, J.D.; Wang, C.J.; Yang, S.H.; Cheng, S.Y.; Lee, H.J. Polyphenols extracted from Hibiscus sabdariffa L. inhibited lipopolysaccharide-induced inflammation by improving antioxidative conditions and regulating cyclooxygenase-2 expression. Biosci. Biotechnol. Biochem. 2009, 73, 385–390. [Google Scholar] [CrossRef]
- Hase, M.; Babazono, T.; Karibe, S.; Kinae, N.; Iwamoto, Y. Renoprotective effects of tea catechin in streptozotocin- induced diabetic rats. Int. Urol. Nephrol. 2006, 38, 693–699. [Google Scholar] [CrossRef]
- Rodríguez-Fierros, F.L.; Guarner-Lans, V.; Soto, M.E.; Manzano-Pech, L.; Díaz-Díaz, E.; Soria-Castro, E.; Rubio-Ruiz, M.E.; Jiménez-Trejo, F.; Pérez-Torres, I. Modulation of renal function in a metabolic syndrome rat model by antioxidants in Hibiscus sabdariffa L. Molecules 2021, 26, 2074. [Google Scholar] [CrossRef]
- Pérez-Torres, I.; El Hafidi, M.; Pavón, N.; Infante, O.; Avila-Casado, M.C.; Baños, G. Effect of gonadectomy on the metabolism of arachidonic acid in isolated kidney of a rat model of metabolic syndrome. Metabolism 2010, 59, 414–423. [Google Scholar] [CrossRef]
- Currie, M.G.; Needleman, P. Renal arachidonic acid metabolism. Annu. Rev. Physiol. 1984, 46, 327–341. [Google Scholar] [CrossRef]
- Zheoat, A.M.; Gray, A.I.; Igoli, J.O.; Ferro, V.A.; Drummond, R.M. Hibiscus acid from Hibiscus sabdariffa (Malvaceae) has a vasorelaxant effect on the rat aorta. Fitoterapia 2019, 134, 5–13. [Google Scholar] [CrossRef]
- Johnson, S.S.; Oyelola, F.T.; Ari, T.; Juho, H. In vitro inhibitory activities of the extract of Hibiscus sabdariffa L. (family Malvaceae) on selected cytochrome P450 isoforms. Afr. J. Tradit. Complement. Altern. Med. 2013, 10, 533–540. [Google Scholar] [CrossRef][Green Version]
- Nzikou, J.M.; Bouanga-Kalou, G.; Matos, L.; Ganongo-Po, F.B.; Mboungou-Mboussi, P.S.; Moutoula, F.E.; Panyoo-Akdowa, E.; Silou, T.H.; Desobry, S. Characteristics and nutritional evaluation of seed oil from roselle (Hibiscus sabdariffa L.) in congo-Brazzaville. Curr. Res. J. Sci. 2011, 3, 141–146. [Google Scholar]
- Zhen, J.; Villani, T.S.; Guo, Y.; Qi, Y.; Chin, K.; Pan, M.H.; Ho, C.T.; Simon, J.E.; Wu, Q. Phytochemistry, antioxidant capacity, total phenolic content and anti-inflammatory activity of Hibiscus sabdariffa leaves. Food Chem. 2016, 190, 673–680. [Google Scholar] [CrossRef] [PubMed]
- Dunn, M. The role of arachidonic acid metabolites in renal homeostasis. Non-steroidal anti-inflammatory drugs renal function and biochemical, histological and clinical effects and drug interactions. Drugs 1987, 33, 56–66. [Google Scholar] [CrossRef] [PubMed]
- Ochan, P.C.; D’Mello, P. Antioxidant and antihyperlipidemic activity of Hibiscus sabdariffa Linn. leaves and calyces extracts in rats. Indian. J. Exp Biol. 2009, 47, 276–282. [Google Scholar]
- Krajka-Kuźniak, V.; Szaefer, H.; Baer-Dubowska, W. Modulation of cytochrome P450 and phaseIIenzymes by protocatechuicacid in mouse liver and kidney. Toxicology 2005, 216, 24–31. [Google Scholar] [CrossRef] [PubMed]
- Costa, V.; Costa, M.; Videira, R.A.; Branquinho, P.; Paiva-Martins, A.F. Anti-Inflammatory activity of olive oil polyphenols-the role of oleacein and Its metabolites. Biomedicines 2022, 10, 2990. [Google Scholar] [CrossRef] [PubMed]
- Nakano, Y.; Nakatani, Y.; Takami, M.; Taniyama, Y.; Arima, S. Diverse associations between oxidative stress and thromboxane A2 in hypertensive glomerular injury. Hypertens. Res. 2019, 42, 450–458. [Google Scholar] [CrossRef]
- Hong, J.; Smith, T.J.; Ho, C.T.; August, D.A.; Yang, C.S. Effects of purified green and black tea polyphenols on cyclooxygenase- and lipoxygenase-dependent metabolism of arachidonic acid in human colon mucosa and colon tumor tissues. Biochem. Pharmacol. 2001, 62, 1175–1183. [Google Scholar] [CrossRef]
- Tublin, M.; Tessier, F.; Murphy, M. Correlation between renal vascular resistente, pulse pressure, and the resistive index in isolated perfusedrabbit kidneys. Radiology 1999, 23, 258–264. [Google Scholar] [CrossRef]
- Li, C.; Kim, M.; Choi, H.; Choi, J. Effects of baicalein on the pharmacokinetics of tamoxifen and its main metabolite, 4-hydroxytamoxifen, in rats: Possible role of cytochrome P450 3A4 and P-glycoprotein inhibition by baicalein. Arch. Pharm. Res. 2011, 34, 1965–1972. [Google Scholar] [CrossRef]
- Ojulari, O.V.; Gi, L.S.; Nam, J.O. Beneficial effects of natural bioactive compounds from Hibiscus sabdariffa L on obesity. Molecules 2019, 24, 210. [Google Scholar] [CrossRef] [PubMed]
- Sasaki, R.; Nishimura, N.; Hoshino, H.; Isa, Y.; Kadowaki, M.; Ichi, T.; Tanaka, A.; Shin, N.; Fukuda, I.; Ashida, H.; et al. Cyanidin 3-glucoside ameliorates hyperglycemia and insulin sensitivity due to downregulation of retinol binding protein 4 expression in diabetic mice. Biochem. Pharmacol. 2007, 74, 1619–1627. [Google Scholar] [CrossRef] [PubMed]
- Hashimoto, S.; Maoka, T.; Kawata, T.; Mochizuki, T.; Koike, T.; Shigematsu, T. Roles of insulin receptor substrates (IRS) in renal function and renal hemodynamics. PLoS ONE 2020, 15, e0242332. [Google Scholar] [CrossRef]
- Soto, M.E.; Zuñiga-Muñoz, A.; Guarner-Lans, V.; Duran-Hernández, E.J.; Pérez-Torres, I. Infusion of Hibiscus sabdariffa L. Modulates oxidative stress in patients with Marfan syndrome. Mediators. Inflamm. 2016, 2016, 8625203. [Google Scholar] [CrossRef] [PubMed]
- Jia, Z.; Tang, M.; Wu, J. The determination of flavonoid contents in mulberry and their scavenging effects on superoxide radicals. Food. Chem. 1999, 64, 555–559. [Google Scholar]
- Sánchez-Rangel, J.C.; Benavides, J.; Heredia, J.B.; Cisneros-Zevallos, L.; Jacobo-Velázquez, D.A. The Folin-Ciocalteu assay revisited: Improvement of its specificity for total phenolic content determination. Anal. Method 2013, 5, 5990–5999. [Google Scholar] [CrossRef]
- Lee, J.; Durst, R.; Wrolstad, R. Determination of total monomeric anthocyanin pigment content of fruit juices, beverages, natural colorants, and wines by the Ph differential method: Collaborative study. J. AOAC Int. 2005, 88, 1269–1278. [Google Scholar] [CrossRef]
- Jagota, S.K.; Dani, H.M. A new colorimetric technique for the estimation of vitamin C using Folin phenol reagent. Anal. Biochem. 1982, 127, 178–182. [Google Scholar] [CrossRef]
- BenGershôm, E. Screening for albuminuria: A case for estimation of albumin in urine. Clin. Chem. 1975, 21, 1795–1798. [Google Scholar] [CrossRef]
- Jaffe, M. Ueber den niederschlag welchen pikrinsäure in normalen harn erzeugt und über eine neue reaction des kreatinins. Z. Physiol. Chem. 1886, 10, 391–400. [Google Scholar]
- Pérez-Torres, I.; Ibarra, B.; Soria-Castro, E.; Torrico-Lavayen, R.; Pavón, N.; Diaz-Diaz, E.; Flores, P.L.; Infante, O.; Baños, G. Effect of glycine on the cyclooxygenase pathway of the kidney arachidonic acid metabolism in a rat model of metabolic syndrome. Can. J. Physiol. Pharmacol. 2011, 89, 899–910. [Google Scholar] [CrossRef] [PubMed]
- Bradford, M.M. A rapid and sensitive method for the quantitation of microgram quantities of protein utilizing the principle of protein-dye binding. Anal. Biochem. 1976, 72, 248–254. [Google Scholar] [CrossRef] [PubMed]
- Folch, J.; Lees, M.; Sloane-Stanley, G.H. A simple method for the isolation and purification of total lipids from animal tissues. J. Biol. Chem. 1957, 226, 497–509. [Google Scholar] [CrossRef] [PubMed]
- Pérez-Torres, I.; Gutiérrez-Alvarez, Y.; Guarner-Lans, V.; Díaz-Díaz, E.; Manzano-Pech, L.; Caballero-Chacón, S.D.C. Intra-Abdominal fat adipocyte hypertrophy through a progressive alteration of lipolysis and lipogenesis in metabolic syndrome rats. Nutrients 2010, 11, 1529. [Google Scholar] [CrossRef] [PubMed]





| Variables | C | MS | MS+HSL | C+HSL |
|---|---|---|---|---|
| Glucose (mmol/L) | 99.27 ± 5.59 | 161.85 ± 37.07 | 132.85 ± 7.29 | 110.14 ± 5.58 |
| Insulin (μU/mL) | 5.70 ± 0.75 | 20.33 ± 1.68 ** | 11.16 ± 1.21 * | 4.89 ± 0.39 |
| HOMA index | 1.49 ± 0.12 | 15.08 ± 1.7 ** | 5.02 ± 0.32 * | 1.40 ± 0.11 |
| Triglycerides (mg/dL) | 48.85 ± 4.84 | 187.42 ± 45.77 ** | 89.42 ± 4.23 * | 49.57 ± 8.36 |
| Cholesterol (mg/dL) | 47.85 ± 8.05 | 46.71 ± 10.73 | 50.71 ± 1.97 | 43.71 ± 5.67 |
| Intra-abdominal fat (g) | 3.4 ± 0.3 | 11.6 ± 3.3 ** | 7.1 ± 0.8 * | 3.8 ± 0.5 |
| Systolic blood pressure (mmHg) | 118.1 ± 5.7 | 141.2 ± 6.9 * | 132.1 ± 4.1 * | 117.63 ± 8.7 |
| Variables | C | MS | MS+HSL | C+HSL |
|---|---|---|---|---|
| Drinking water (mL/24 h) | 20.52 ± 2.58 | 55.10 ± 5.91 ** | 40.83 ± 4.54 † | 33.33 ± 4.77 |
| Weight of the right kidney (g) | 1.27 ± 0.03 | 1.44 ± 0.05 | 1.28 ± 0.05 | 1.22 ± 0.5 |
| Urine (mL/24 h) | 14.42 ± 2.77 | 26.00 ± 4.27 ** | 24.85 ± 2.95 | 18.71 ± 4.79 |
| CCr (mL/min) | 2.88 ± 0.37 | 1.36 ± 0.14 ** | 2.38 ± 0.42 * | 2.89 ± 0.86 |
| Albuminuria (mg/mL) | 38.30 ± 4.90 | 82.04 ± 9.21 ** | 49.54 ± 7.99 † | 46.74 ± 4.18 |
| Variables | C | MS | MS+HSL | +HSL |
|---|---|---|---|---|
| PGE2 (pg/mL) | 77.58 ± 0.02 | 77.77 ± 0.03 ** | 77.49 ± 0.02 ** | 77.61 ± 0.02 |
| 6-Keto-PGF1α (pg/mL) | 112.45 ± 0.75 | 93.63 ± 1.68 * | 195.15 ± 1.21 * | 182.76 ± 0.39 |
| LKB4 (pg/mL) | 735.45 ± 4.26 | 805.20 ± 41.76 † | 605.80 ± 59.01 * | 819.15 ± 29.36 |
| TxB2 (pg/mL) | 149.48 ± 12.23 | 189.53 ± 12.52 * | 109.44 ± 19.31 * | 154.82 ± 39.05 |
| AA (%) | 14.22 ± 1.18 | 9.3 ± 0. 68 ** | 12.67 ± 1.24 * | 13.67 ± 0.73 |
Disclaimer/Publisher’s Note: The statements, opinions and data contained in all publications are solely those of the individual author(s) and contributor(s) and not of MDPI and/or the editor(s). MDPI and/or the editor(s) disclaim responsibility for any injury to people or property resulting from any ideas, methods, instructions or products referred to in the content. |
© 2023 by the authors. Licensee MDPI, Basel, Switzerland. This article is an open access article distributed under the terms and conditions of the Creative Commons Attribution (CC BY) license (https://creativecommons.org/licenses/by/4.0/).
Share and Cite
Pérez-Torres, I.; Soto, M.E.; Manzano-Pech, L.; Díaz-Díaz, E.; Martínez-Memije, R.; Torres-Narváez, J.C.; Guarner-Lans, V.; Castrejón-Téllez, V. Effect of Hibiscus sabdariffa L. on the Metabolism of Arachidonic Acid in the Isolated Kidney of a Rat Model of Metabolic Syndrome. Int. J. Mol. Sci. 2023, 24, 14209. https://doi.org/10.3390/ijms241814209
Pérez-Torres I, Soto ME, Manzano-Pech L, Díaz-Díaz E, Martínez-Memije R, Torres-Narváez JC, Guarner-Lans V, Castrejón-Téllez V. Effect of Hibiscus sabdariffa L. on the Metabolism of Arachidonic Acid in the Isolated Kidney of a Rat Model of Metabolic Syndrome. International Journal of Molecular Sciences. 2023; 24(18):14209. https://doi.org/10.3390/ijms241814209
Chicago/Turabian StylePérez-Torres, Israel, María Elena Soto, Linaloe Manzano-Pech, Eulises Díaz-Díaz, Raúl Martínez-Memije, Juan Carlos Torres-Narváez, Verónica Guarner-Lans, and Vicente Castrejón-Téllez. 2023. "Effect of Hibiscus sabdariffa L. on the Metabolism of Arachidonic Acid in the Isolated Kidney of a Rat Model of Metabolic Syndrome" International Journal of Molecular Sciences 24, no. 18: 14209. https://doi.org/10.3390/ijms241814209
APA StylePérez-Torres, I., Soto, M. E., Manzano-Pech, L., Díaz-Díaz, E., Martínez-Memije, R., Torres-Narváez, J. C., Guarner-Lans, V., & Castrejón-Téllez, V. (2023). Effect of Hibiscus sabdariffa L. on the Metabolism of Arachidonic Acid in the Isolated Kidney of a Rat Model of Metabolic Syndrome. International Journal of Molecular Sciences, 24(18), 14209. https://doi.org/10.3390/ijms241814209

