Anti-Inflammatory Effects of Spirodela polyrhiza (L.) SCHLEID. Extract on Contact Dermatitis in Mice—Its Active Compounds and Molecular Targets
Abstract
1. Introduction
2. Result
2.1. Fourteen Active Compounds Were Found in S. polyrhiza
2.2. Twenty-Nine CD-Related Targets Were Found in S. polyrhiza
2.3. Fourteen Active Compounds and Twenty-One CD-Related Targets Were Closely Associated
2.4. Eleven and Eight Active Compounds Showed Strong Binding Affinity to TNF or IL-6, Rrespectively
2.5. Apigenin and Luteolin Were Identified in EESP
2.6. EESP Ameliorated Skin Lesions and Inhibited Skin Thickening in CD Mice
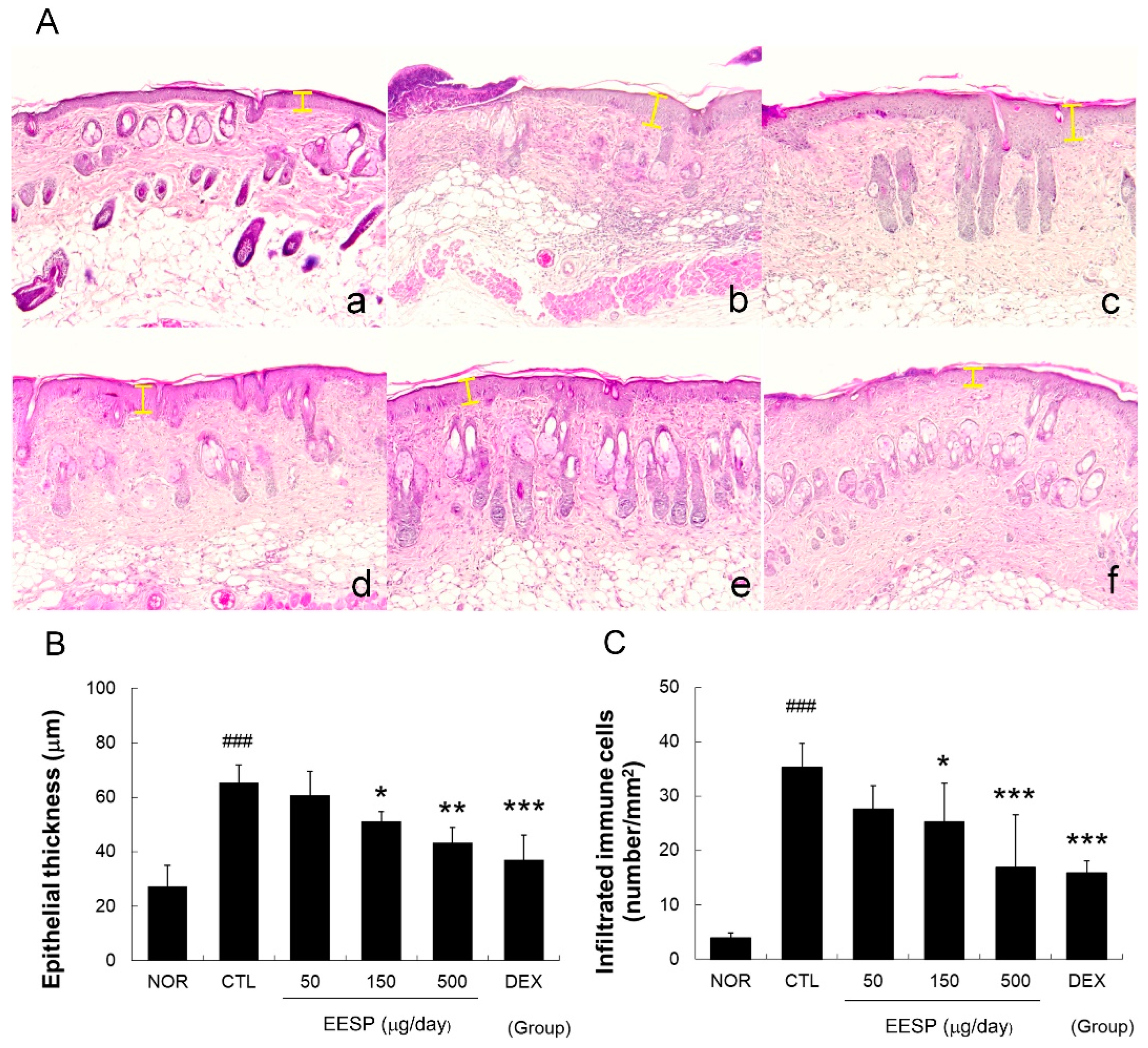
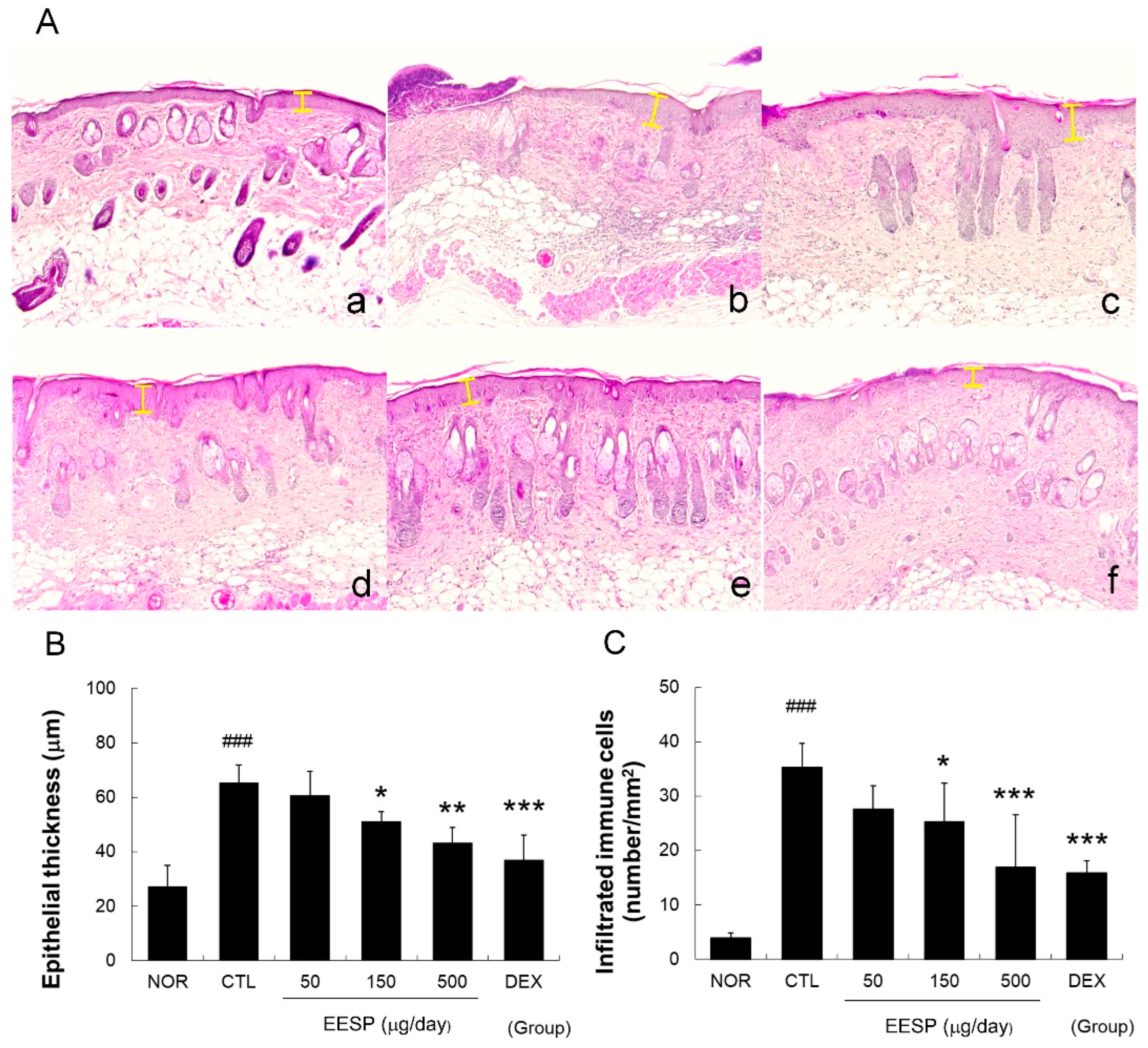
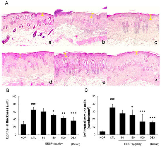
2.7. EESP Prevented DNFB-Induced Histopathological Abnormalities
2.8. EESP Effectively Reduced DNFB-Induced Increases in TNF-α, IFN-γ, IL-6, and MCP-1 Levels in Inflamed Tissues
2.9. EESP Suppressed the DNFB-Induced Phosphorylation of ERK
3. Discussion
4. Materials and Methods
4.1. Network-Based Pharmacological Analysis of S. polyrhiza
4.1.1. Screening of Active Compounds and Related Targets in S. polyrhiza
4.1.2. Network Analysis
4.1.3. Docking Analysis
4.2. The Identification of Apigenin and Luteolin
4.2.1. Preparation of EESP and the Standard Mixture
4.2.2. Chromatographic Conditions
4.3. The Anti-Inflammatory Effects of EESP in Mice with CD
4.3.1. Preparation of S. polyrhiza Extract
4.3.2. Animals
4.3.3. CD Induction and Experimental Schedule
4.3.4. Skin Surface Scores and Thicknesses Measurements
4.3.5. Erythema and Melanin Indices
4.3.6. Histopathological Examinations
4.3.7. Evaluations of Epidermal Hyperplasia and Immune Cell Infiltration
4.3.8. Measurement of Inflammatory Cytokines and Chemokine
4.3.9. Western Blot Analysis
4.3.10. Statistical Analysis
5. Conclusions
Supplementary Materials
Author Contributions
Funding
Institutional Review Board Statement
Informed Consent Statement
Data Availability Statement
Conflicts of Interest
Abbreviations
References
- Enos, C.; Fioranelli, M.; França, K.; Castillo, D.; Lotti, T.; Wollina, U.; Roccia, M.G. Contact dermatitis: A historical perspective. Wiener Med. Wochenschr. 2017, 167, 2–4. [Google Scholar] [CrossRef] [PubMed]
 - Alinaghi, F.; Bennike, N.H.; Egeberg, A.; Thyssen, J.P.; Johansen, J.D. Prevalence of contact allergy in the general population: A systematic review and meta-analysis. Contact Dermat. 2019, 80, 77–85. [Google Scholar] [CrossRef] [PubMed]
 - Peate, W.E. Occupational skin disease. Am. Fam. Physician 2002, 66, 1025–1032. [Google Scholar] [PubMed]
 - Malik, M.; English, J. Irritant hand dermatitis in health care workers. Occup. Med. 2015, 65, 474–476. [Google Scholar] [CrossRef][Green Version]
 - Usatine, R.P.; Riojas, M. Diagnosis and management of contact dermatitis. Am. Fam. Physician 2010, 82, 249–255. [Google Scholar]
 - Seeff, L.B.; Bonkovsky, H.L.; Navarro, V.J.; Wang, G. Herbal products and the liver: A review of adverse effects and mechanisms. Gastroenterology 2015, 148, 517–532. [Google Scholar] [CrossRef]
 - Wen, M.C.; Wei, C.H.; Hu, Z.Q.; Srivastava, K.; Ko, J.; Xi, S.T.; Mu, D.Z.; Du, J.B.; Li, G.H.; Wallenstein, S.; et al. Efficacy and tolerability of anti-asthma herbal medicine intervention in adult patients with moderate-severe allergic asthma. J. Allergy Clin. Immunol. 2005, 116, 517–524. [Google Scholar] [CrossRef]
 - Rahman, M.A.; Hasegawa, H. Aquatic arsenic: Phytoremediation using floating macrophytes. Chemosphere 2011, 83, 633–646. [Google Scholar] [CrossRef]
 - Kim, C.M.; Shin, M.K.; An, D.G.; Lee, K.S. The encyclopedia of oriental herbal medicine. Seoul. Jeongdam 1997, 1, 1859–1862. [Google Scholar]
 - Seo, C.S.; Lee, M.Y.; Shin, I.S.; Lee, J.A.; Ha, H.; Shin, H.K. Spirodela polyrhiza (L.) Sch. ethanolic extract inhibits LPS-induced inflammation in RAW264.7 cells. Immunopharmacol. Immunotoxicol. 2012, 34, 794–802. [Google Scholar] [CrossRef]
 - Kim, H.J.; Nam, Y.R.; Kim, E.J.; Nam, J.H.; Kim, W.K. Spirodela polyrhiza and its Chemical Constituent Vitexin Exert Anti-Allergic Effect via ORAI1 Channel Inhibition. Am. J. Chin. Med. 2018, 46, 1243–1261. [Google Scholar] [CrossRef]
 - Nam, J.H.; Jung, H.W.; Chin, Y.W.; Yang, W.M.; Bae, H.S.; Kim, W.K. Spirodela polyrhiza extract modulates the activation of atopic dermatitis-related ion channels, Orai1 and TRPV3, and inhibits mast cell degranulation. Pharm. Biol. 2017, 55, 1324–1329. [Google Scholar] [CrossRef]
 - Lee, H.J.; Kim, M.H.; Choi, Y.Y.; Kim, E.H.; Hong, J.; Kim, K.; Yang, W.M. Improvement of atopic dermatitis with topical application of Spirodela polyrhiza. J. Ethnopharmacol. 2016, 180, 12–17. [Google Scholar] [CrossRef]
 - Nunomura, S.; Ejiri, N.; Kitajima, M.; Nanri, Y.; Arima, K.; Mitamura, Y.; Yoshihara, T.; Fujii, K.; Takao, K.; Imura, J.; et al. Establishment of a Mouse Model of Atopic Dermatitis by Deleting Ikk2 in Dermal Fibroblasts. J. Investig. Dermatol. 2019, 139, 1274–1283. [Google Scholar] [CrossRef]
 - Wang, Z.; Jiang, C.; Yao, H.; Chen, O.; Rahman, S.; Gu, Y.; Zhao, J.; Huh, Y.; Ji, R.R. Central opioid receptors mediate morphine-induced itch and chronic itch via disinhibition. Brain 2021, 144, 665–681. [Google Scholar] [CrossRef]
 - Qiao, X.; He, W.N.; Xiang, C.; Han, J.; Wu, L.J.; Guo, D.A.; Ye, M. Qualitative and Quantitative Analyses of Flavonoids in Spirodela polyrrhiza by High-performance Liquid Chromatography Coupled with Mass Spectrometry. Phytochem. Analysis 2011, 22, 475–483. [Google Scholar] [CrossRef]
 - Blauvelt, A.; Hwang, S.T.; Udey, M.C. 11. Allergic and immunologic diseases of the skin. J. Allergy Clin. Immunol. 2003, 111, S560–S570. [Google Scholar] [CrossRef]
 - An, S.M.; Kim, H.J.; Kim, J.E.; Boo, Y.C. Flavonoids, taxifolin and luteolin attenuate cellular melanogenesis despite increasing tyrosinase protein levels. Phytother. Res. 2008, 22, 1200–1207. [Google Scholar] [CrossRef]
 - Groves, R.W.; Allen, M.H.; Ross, E.L.; Barker, J.N.; MacDonald, D.M. Tumour necrosis factor alpha is pro-inflammatory in normal human skin and modulates cutaneous adhesion molecule expression. Br. J. Dermatol. 1995, 132, 345–352. [Google Scholar] [CrossRef]
 - Xu, R.; Li, X.; Huang, X.; Lin, Z.; Xiong, Y.; Chen, X.; Chu, C.; Han, J.; Wang, F. Translation-dependent skin hyperplasia is promoted by type 1/17 inflammation in psoriasis. J. Dermatol. Sci. 2023, 110, 10–18. [Google Scholar] [CrossRef]
 - Ilves, T.; Tiitu, V.; Suttle, M.M.; Saarinen, J.V.; Harvima, I.T. Epidermal Expression of Filaggrin/Profilaggrin Is Decreased in Atopic Dermatitis: Reverse Association with Mast Cell Tryptase and IL-6 but Not with Clinical Severity. Dermatitis 2015, 26, 260–267. [Google Scholar] [CrossRef]
 - Sebastiani, S.; Albanesi, C.; De, P.O.; Puddu, P.; Cavani, A.; Girolomoni, G. The role of chemokines in allergic contact dermatitis. Arch. Dermatol. Res. 2002, 293, 552–559. [Google Scholar] [CrossRef]
 - Heinrich, P.C.; Behrmann, I.; Haan, S.; Hermanns, H.M.; Müller-Newen, G.; Schaper, F. Principles of interleukin (IL)-6-type cytokine signalling and its regulation. Biochem. J. 2003, 374 Pt 1, 1–20. [Google Scholar] [CrossRef]
 - Sabio, G.; Davis, R.J. TNF and MAP kinase signalling pathways. Semin. Immunol. 2014, 26, 237–245. [Google Scholar] [CrossRef]
 - Gendrisch, F.; Esser, P.R.; Schempp, C.M.; Wölfle, U. Luteolin as a modulator of skin aging and inflammation. Biofactors 2021, 47, 170–180. [Google Scholar] [CrossRef]
 - Yang, B.; Kim, S.; Kim, J.H.; Lim, C.; Kim, H.; Cho, S. Gentiana scabra Bunge roots alleviates skin lesions of contact dermatitis in mice. J. Ethnopharmacol. 2019, 233, 141–147. [Google Scholar] [CrossRef]
 - Kang, Y.; Oh, S.; Son, Y.; Yang, w.; Kim, S.; Lyu, J.-H.; Kim, H. Therapeutic Effects of Pinus koraiensis on 1-Fluoro-2,4-Dinitrofluorobenzene-induced Contact Dermatitis in Mice. Pharmacog. Mag. 2023, 19, 168–175. [Google Scholar] [CrossRef]
 - Kim, S.; Lyu, J.-H.; Yang, B.; Kim, S.; Kim, J.-H.; Kim, H.; Cho, S. The Related Mechanisms Predicted through Network-Based Pharmacological Analysis and the Anti-Inflammatory Effects of Fraxinus rhynchophylla Hance Bark on Contact Dermatitis in Mice. Int. J. Mol. Sci. 2023, 24, 6091. [Google Scholar] [CrossRef]
 - Lv, Q.; Chen, G.; He, H.; Yang, Z.; Zhao, L.; Zhang, K.; Chen, C.Y. TCMBank-the largest TCM database provides deep learning-based Chinese-Western medicine exclusion prediction. Signal. Transduct. Target Ther. 2023, 8, 127. [Google Scholar] [CrossRef]
 - Consortium, T.U. UniProt: The universal protein knowledgebase in 2021. Nucleic Acids Res. 2020, 49, D480–D489. [Google Scholar] [CrossRef]
 - Piñero, J.; Bravo, À.; Queralt-Rosinach, N.; Gutiérrez-Sacristán, A.; Deu-Pons, J.; Centeno, E.; García-García, J.; Sanz, F.; Furlong, L.I. DisGeNET: A comprehensive platform integrating information on human disease-associated genes and variants. Nucleic Acids Res. 2017, 45, D833–D839. [Google Scholar] [CrossRef] [PubMed]
 - Daina, A.; Michielin, O.; Zoete, V. SwissADME: A free web tool to evaluate pharmacokinetics, drug-likeness and medicinal chemistry friendliness of small molecules. Sci. Rep. 2017, 7, 42717. [Google Scholar] [CrossRef] [PubMed]
 - Chin, C.H.; Chen, S.H.; Wu, H.H.; Ho, C.W.; Ko, M.T.; Lin, C.Y. cytoHubba: Identifying hub objects and sub-networks from complex interactome. BMC. Syst. Biol. 2014, 8 (Suppl. S4), S11. [Google Scholar] [CrossRef]
 - Shannon, P.; Markiel, A.; Ozier, O.; Baliga, N.S.; Wang, J.T.; Ramage, D.; Amin, N.; Schwikowski, B.; Ideker, T. Cytoscape: A software environment for integrated models of biomolecular interaction networks. Genome Res. 2003, 13, 2498–2504. [Google Scholar] [CrossRef]
 - Trott, O.; Olson, A.J. AutoDock Vina: Improving the speed and accuracy of docking with a new scoring function, efficient optimization, and multithreading. J. Comput. Chem. 2010, 31, 455–461. [Google Scholar] [CrossRef]
 - Amano, H.; Negishi, I.; Akiyama, H.; Ishikawa, O. Psychological stress can trigger atopic dermatitis in NC/Nga mice: An inhibitory effect of corticotropin-releasing factor. Neuropsychopharmacology 2008, 33, 566–573. [Google Scholar] [CrossRef] [PubMed]
 - Yaltirik, M.; Ozbas, H.; Bilgic, B.; Issever, H. Reactions of connective tissue to mineral trioxide aggregate and amalgam. J. Endod. 2004, 30, 95–99. [Google Scholar] [CrossRef]
 








| No. | Molecule Name | PubChem CID | DrugBank Accession No. | Molecular Formula | Structure | Molecular Weight (g/mol) | 
|---|---|---|---|---|---|---|
| 1 | (+)-Armepavine | 680292 | - | C19H23NO3 | ![]()  | 313.39 | 
| 2 | (R)-N-Methylcoclaurine | 440595 | - | C18H21NO3 | ![]()  | 299.36 | 
| 3 | 2-Hexadecenoic acid | 5282743 | - | C16H30O2 | ![]()  | 254.41 | 
| 4 | Anonaine | 160597 | - | C17H15NO2 | ![]()  | 265.31 | 
| 5 | Apigenin | 5280443 | DB07352 | C15H10O5 | ![]()  | 270.24 | 
| 6 | Butylated Hydroxytoluene | 31404 | DB16863 | C15H24O | ![]()  | 220.35 | 
| 7 | D-ascorbic acid | 54690394 | DB00126 | C6H8O6 | ![]()  | 176.12 | 
| 8 | Higenamine | 114840 | DB12779 | C16H17NO3 | ![]()  | 271.31 | 
| 9 | Isoliensinine | 5274591 | - | C39H45NO6 | ![]()  | 610.7 | 
| 10 | Luteolin | 5280445 | DB15584 | C15H10O6 | ![]()  | 286.236 | 
| 11 | Nornuciferine | 41169 | - | C18H19NO2 | ![]()  | 281.35 | 
| 12 | Nuciferine | 10146 | - | C19H21NO2 | ![]()  | 295.4 | 
| 13 | Palmitic Acid | 985 | DB03796 | C16H32O2 | ![]()  | 256.42 | 
| 14 | Roemerine | 119204 | - | C18H17NO2 | ![]()  | 279.3 | 
| Molecule Name | Affinity (kcal/mol) | |
|---|---|---|
| TNF (PDB ID, 2AZ5) | IL-6 (PDB ID, 1ALU) | |
| Roemerine | −9.6 | −6.6 | 
| Anonaine | −9.4 | −7.0 | 
| Luteolin | −8.9 | −6.4 | 
| Nornuciferine | −8.9 | −5.9 | 
| Nuciferine | −8.7 | −6.5 | 
| Apigenin | −8.2 | −6.6 | 
| Higenamine | −8.0 | −6.6 | 
| Isoliensinine | −8.0 | −6.4 | 
| (+)-Armepavine | −7.7 | −5.7 | 
| (R)-N-Methylcoclaurine | −7.2 | −6.6 | 
| Butylated Hydroxytoluene | −7.1 | −5.4 | 
| Palmitic Acid | −5.6 | −3.7 | 
| 2-Hexadecenoic acid | −5.4 | −3.7 | 
| D-ascorbic acid | −5.2 | −5.4 | 
Disclaimer/Publisher’s Note: The statements, opinions and data contained in all publications are solely those of the individual author(s) and contributor(s) and not of MDPI and/or the editor(s). MDPI and/or the editor(s) disclaim responsibility for any injury to people or property resulting from any ideas, methods, instructions or products referred to in the content.  | 
© 2023 by the authors. Licensee MDPI, Basel, Switzerland. This article is an open access article distributed under the terms and conditions of the Creative Commons Attribution (CC BY) license (https://creativecommons.org/licenses/by/4.0/).
Share and Cite
Kim, K.; Lee, D.; Kim, H.-Y.; Kim, S.; Lyu, J.-H.; Park, S.; Park, Y.-C.; Kim, H. Anti-Inflammatory Effects of Spirodela polyrhiza (L.) SCHLEID. Extract on Contact Dermatitis in Mice—Its Active Compounds and Molecular Targets. Int. J. Mol. Sci. 2023, 24, 13271. https://doi.org/10.3390/ijms241713271
Kim K, Lee D, Kim H-Y, Kim S, Lyu J-H, Park S, Park Y-C, Kim H. Anti-Inflammatory Effects of Spirodela polyrhiza (L.) SCHLEID. Extract on Contact Dermatitis in Mice—Its Active Compounds and Molecular Targets. International Journal of Molecular Sciences. 2023; 24(17):13271. https://doi.org/10.3390/ijms241713271
Chicago/Turabian StyleKim, Kukhwa, Daniel Lee, Han-Young Kim, Soyeon Kim, Ji-Hyo Lyu, Sujung Park, Young-Chul Park, and Hyungwoo Kim. 2023. "Anti-Inflammatory Effects of Spirodela polyrhiza (L.) SCHLEID. Extract on Contact Dermatitis in Mice—Its Active Compounds and Molecular Targets" International Journal of Molecular Sciences 24, no. 17: 13271. https://doi.org/10.3390/ijms241713271
APA StyleKim, K., Lee, D., Kim, H.-Y., Kim, S., Lyu, J.-H., Park, S., Park, Y.-C., & Kim, H. (2023). Anti-Inflammatory Effects of Spirodela polyrhiza (L.) SCHLEID. Extract on Contact Dermatitis in Mice—Its Active Compounds and Molecular Targets. International Journal of Molecular Sciences, 24(17), 13271. https://doi.org/10.3390/ijms241713271
        

       












