Subcellular Expression Patterns of FKBP Prolyl Isomerase 10 (FKBP10) in Colorectal Cancer and Its Clinical Significance
Abstract
1. Introduction
2. Results
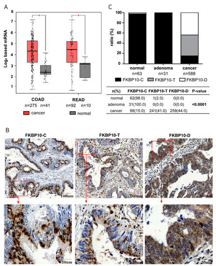
2.1. FKBP10 Exhibited Different Subcellular Expression Patterns in CRC Tissues
2.2. Subcellular Expression Patterns of FKBP10 Were Correlated with Differentiation Grade, TNM Stage and Serum Tumor Markers of CRC Patients
2.3. Dispersive Expression of FKBP10 Was an Independent Risk Factor Which Predicted Unfavorable Disease-Free Survival in CRC
2.4. Elevation of Concentrated FKBP10 Indicated Poor Prognosis in CRC
3. Discussion
4. Materials and Methods
4.1. Bioinformatics
4.2. Patients and Specimens
4.3. Immunohistochemistry
4.4. Quantitative Evaluation of FKBP10 Immunostaining
4.5. Statistical Analysis
5. Conclusions
Supplementary Materials
Author Contributions
Funding
Institutional Review Board Statement
Informed Consent Statement
Data Availability Statement
Conflicts of Interest
References
- Siegel, R.L.; Miller, K.D.; Wagle, N.S.; Jemal, A. Cancer statistics 2023. CA A Cancer J. Clin. 2023, 73, 17–48. [Google Scholar] [CrossRef] [PubMed]
- Dekker, E.; Tanis, P.J.; Vleugels, J.L.A.; Kasi, P.M.; Wallace, M.B. Colorectal cancer. Lancet 2019, 394, 1467–1480. [Google Scholar] [CrossRef] [PubMed]
- Solassol, J.; Mange, A.; Maudelonde, T. FKBP family proteins as promising new biomarkers for cancer. Curr. Opin. Pharmacol. 2011, 11, 320–325. [Google Scholar] [CrossRef] [PubMed]
- Wang, C.; Shen, W.J.; Anuraga, G.; Hsieh, Y.H.; Khoa Ta, H.D.; Xuan, D.T.M.; Shen, C.F.; Wang, C.Y.; Wang, W.J. Penetrating Exploration of Prognostic Correlations of the FKBP Gene Family with Lung Adenocarcinoma. J. Pers. Med. 2023, 13, 49. [Google Scholar] [CrossRef]
- Tong, M.; Jiang, Y. FK506-Binding Proteins and Their Diverse Functions. Curr. Mol. Pharmacol. 2015, 9, 48. [Google Scholar] [CrossRef]
- Patterson, C.E.; Schaub, T.; Coleman, E.J.; Davis, E.C. Developmental regulation of FKBP65. An ER-localized extracellular matrix binding-protein. Mol. Biol. Cell 2000, 11, 3925–3935. [Google Scholar] [CrossRef]
- Garrido, M.F.; Martin, N.J.P.; Bertrand, M.; Gaudin, C.; Commo, F.; El Kalaany, N.; Al Nakouzi, N.; Fazli, L.; Del Nery, E.; Camonis, J.; et al. Regulation of eIF4F Translation Initiation Complex by the Peptidyl Prolyl Isomerase FKBP7 in Taxane-resistant Prostate Cancer. Clin. Cancer Res. 2019, 25, 710–723. [Google Scholar] [CrossRef]
- Sun, Z.; Qin, X.; Fang, J.; Tang, Y.; Fan, Y. Multi-Omics Analysis of the Expression and Prognosis for FKBP Gene Family in Renal Cancer. Front. Oncol. 2021, 11, 697534. [Google Scholar] [CrossRef]
- Ibusuki, M.; Fu, P.; Yamamoto, S.; Fujiwara, S.; Yamamoto, Y.; Honda, Y.; Iyama, K.; Iwase, H. Establishment of a standardized gene-expression analysis system using formalin-fixed, paraffin-embedded, breast cancer specimens. Breast Cancer 2013, 20, 159–166. [Google Scholar] [CrossRef]
- Habara, M.; Sato, Y.; Goshima, T.; Sakurai, M.; Imai, H.; Shimizu, H.; Katayama, Y.; Hanaki, S.; Masaki, T.; Morimoto, M.; et al. FKBP52 and FKBP51 differentially regulate the stability of estrogen receptor in breast cancer. Proc. Natl. Acad. Sci. USA 2022, 119, e2110256119. [Google Scholar] [CrossRef]
- Jiang, F.N.; Dai, L.J.; Yang, S.B.; Wu, Y.D.; Liang, Y.X.; Yin, X.L.; Zou, C.Y. Increasing of FKBP9 can predict poor prognosis in patients with prostate cancer. Pathol. Res. Pract. 2020, 216, 152732. [Google Scholar] [CrossRef]
- Xu, H.; Liu, P.; Yan, Y.; Fang, K.; Liang, D.; Hou, X.; Zhang, X.; Wu, S.; Ma, J.; Wang, R.; et al. FKBP9 promotes the malignant behavior of glioblastoma cells and confers resistance to endoplasmic reticulum stress inducers. J. Exp. Clin. Cancer Res. 2020, 39, 44. [Google Scholar] [CrossRef] [PubMed]
- Ge, Y.; Xu, A.; Zhang, M.; Xiong, H.; Fang, L.; Zhang, X.; Liu, C.; Wu, S. FK506 Binding Protein 10 Is Overexpressed and Promotes Renal Cell Carcinoma. Urol. Int. 2017, 98, 169–176. [Google Scholar] [CrossRef] [PubMed]
- Cai, H.Q.; Zhang, M.J.; Cheng, Z.J.; Yu, J.; Yuan, Q.; Zhang, J.; Cai, Y.; Yang, L.Y.; Zhang, Y.; Hao, J.J.; et al. FKBP10 promotes proliferation of glioma cells via activating AKT-CREB-PCNA axis. J. Biomed. Sci. 2021, 28, 13. [Google Scholar] [CrossRef]
- Wang, R.G.; Zhang, D.; Zhao, C.H.; Wang, Q.L.; Qu, H.; He, Q.S. FKBP10 functioned as a cancer-promoting factor mediates cell proliferation, invasion, and migration via regulating PI3K signaling pathway in stomach adenocarcinoma. Kaohsiung J. Med. Sci. 2020, 36, 311–317. [Google Scholar] [CrossRef]
- Liang, L.; Zhao, K.; Zhu, J.H.; Chen, G.; Qin, X.G.; Chen, J.Q. Comprehensive evaluation of FKBP10 expression and its prognostic potential in gastric cancer. Oncol. Rep. 2019, 42, 615–628. [Google Scholar] [CrossRef]
- Ramadori, G.; Ioris, R.M.; Villanyi, Z.; Firnkes, R.; Panasenko, O.O.; Allen, G.; Konstantinidou, G.; Aras, E.; Brenachot, X.; Biscotti, T.; et al. FKBP10 Regulates Protein Translation to Sustain Lung Cancer Growth. Cell Rep. 2020, 30, 3851–3863.e6. [Google Scholar] [CrossRef]
- Zhao, J.; Wang, Y.; Gao, J.; Wang, Y.; Zhong, X.; Wu, X.; Li, H. A nine-gene signature to improve prognosis prediction of colon carcinoma. Cell Cycle 2021, 20, 1021–1032. [Google Scholar] [CrossRef]
- Zhang, Z.; Huang, L.; Li, J.; Wang, P. Bioinformatics analysis reveals immune prognostic markers for overall survival of colorectal cancer patients: A novel machine learning survival predictive system. BMC Bioinform. 2022, 23, 124. [Google Scholar] [CrossRef]
- Chen, Z.; He, L.; Zhao, L.; Zhang, G.; Wang, Z.; Zhu, P.; Liu, B. circREEP3 Drives Colorectal Cancer Progression via Activation of FKBP10 Transcription and Restriction of Antitumor Immunity. Adv. Sci. 2022, 9, 2105160. [Google Scholar] [CrossRef]
- Quinn, M.C.; Wojnarowicz, P.M.; Pickett, A.; Provencher, D.M.; Mes-Masson, A.M.; Davis, E.C.; Tonin, P.N. FKBP10/FKBP65 expression in high-grade ovarian serous carcinoma and its association with patient outcome. Int. J. Oncol. 2013, 42, 912–920. [Google Scholar] [CrossRef] [PubMed]
- Alqudah, A.; AbuDalo, R.; Qnais, E.; Wedyan, M.; Oqal, M.; McClements, L. The emerging importance of immunophilins in fibrosis development. Mol. Cell Biochem. 2022, 478, 1281–1291. [Google Scholar] [CrossRef] [PubMed]
- Petrosyan, A. Unlocking Golgi: Why Does Morphology Matter? Biochemistry 2019, 84, 1490–1501. [Google Scholar] [CrossRef]
- Coleman, O.I.; Haller, D. ER Stress and the UPR in Shaping Intestinal Tissue Homeostasis and Immunity. Front. Immunol. 2019, 10, 2825. [Google Scholar] [CrossRef] [PubMed]
- Song, M.; Li, Y.; Miao, M.; Zhang, F.; Yuan, H.; Cao, F.; Chang, W.; Shi, H.; Song, C. High stromal nicotinamide N-methyltransferase (NNMT) indicates poor prognosis in colorectal cancer. Cancer Med. 2020, 9, 2030–2038. [Google Scholar] [CrossRef]



| Variables | All (n = 588) | |||
|---|---|---|---|---|
| FKBP10-C | FKBP10-T | FKBP10-D | p-Value | |
| (n = 91) | (n = 238) | (n = 259) | ||
| Age, mean ± SD | 60.31 ± 11.67 | 60.21 ± 12.38 | 61.62 ± 12.55 | 0.398 |
| Sex, n (%) | 0.256 | |||
| Male | 59 (64.8) | 137 (57.6) | 166 (64.1) | |
| Female | 32 (35.2) | 101 (42.4) | 93 (35.9) | |
| Differential grade, n (%) | <0.0001 | |||
| Well | 2 (2.2) | 2 (0.8) | 0 (0.0) | |
| Moderate | 89 (97.8) | 234 (98.3) | 244 (94.2) | |
| Poor | 0 (0.0) | 2 (0.8) | 15 (5.8) | |
| TNM stage, n (%) | <0.0001 | |||
| I | 23 (25.3) | 60 (25.2) | 36 (13.9) | |
| II | 43 (43.7) | 109 (45.8) | 97 (37.5) | |
| III | 25 (27.5) | 69 (29.0) | 126 (48.6) | |
| Chemotherapy, n (%) | 0.077 | |||
| Yes | 56 (61.5) | 157 (66.0) | 189 (73.0) | |
| No | 35 (38.5) | 81 (34.0) | 70 (27.0) | |
| Serum CEA, n (%) | 0.0002 | |||
| <5 ng/mL | 66 (72.5) | 163 (68.8) | 147 (57.6) | |
| ≥5 ng/mL | 25 (27.5) | 74 (31.2) | 108 (42.4) | |
| Serum CA19-9, n (%) | 0.021 | |||
| <37 U/mL | 79 (86.8) | 216 (91.5) | 212 (83.1) | |
| ≥37 U/mL | 12 (13.2) | 20 (8.5) | 43 (16.9) | |
| Location, n (%) | 0.173 | |||
| Rectum | 66 (72.5) | 147 (61.8) | 163 (62.9) | |
| Colon | 25 (27.5) | 91 (38.2) | 96 (37.1) | |
| Characteristics | Disease-Specific Survival | Disease-Free Survival | ||||||
|---|---|---|---|---|---|---|---|---|
| Univariate | Multivariate | Univariate | Multivariate | |||||
| HR (95% CI) | p-Value | HR (95% CI) | p-Value | HR (95% CI) | p-Value | HR (95% CI) | p-Value | |
| Dispersion vs. concentration + transition | 1.962 (1.117–3.447) | 0.019 | 1.794 (1.012–3.180) | 0.046 | 2.013 (1.421–2.852) | <0.0001 | 1.599 (1.111–2.200) | 0.011 |
| Age (>60 vs. ≤60 years) | 0.823 (0.468–1.446) | 0.497 | 0.925 (0.656–1.305) | 0.659 | ||||
| Sex (female | 0.906 (0.503–1.632) | 0.742 | 1.157 (0.816–1.641) | 0.412 | ||||
| vs. male) | ||||||||
| TNM (III vs. I + II) | 1.534 (0.879–2.677) | 1.132 | 2.156 (1.528–3.043) | <0.0001 | 1.686 (1.135–2.506) | 0.01 | ||
| Grade (poor vs. moderate + well) | 1.240 (1.171–8.992) | 0.831 | 4.913 (2.573–9.382) | <0.0001 | 3.451 (1.742–6.834) | <0.0001 | ||
| Chemotherapy (yes vs. no) | 1.199 (0.646–2.227) | 0.565 | 1.753 (1.154–2.664) | 0.006 | 1.050 (0.655–1.681) | 0.84 | ||
| Location | 1.497 (0.582–2.631) | 0.161 | 1.471 (1.038–2.086) | 0.03 | 1.406 (0.984–2.008) | 0.061 | ||
| (colon vs. rectum) | ||||||||
| CEA (high vs. low) | 1.809 (1.036–3.159) | 0.037 | 1.555 (0.865–2.797) | 0.14 | 1.859 (1.317–2.625) | <0.0001 | 1.383 (0.957–1.999) | 0.084 |
| CA19-9 (high vs. low) | 2.097 (1.037–4.240) | 0.039 | 1.553 (0.735–3.280) | 0.249 | 2.435 (1.609–3.684) | <0.0001 | 1.744 (1.106–2.748) | 0.017 |
Disclaimer/Publisher’s Note: The statements, opinions and data contained in all publications are solely those of the individual author(s) and contributor(s) and not of MDPI and/or the editor(s). MDPI and/or the editor(s) disclaim responsibility for any injury to people or property resulting from any ideas, methods, instructions or products referred to in the content. |
© 2023 by the authors. Licensee MDPI, Basel, Switzerland. This article is an open access article distributed under the terms and conditions of the Creative Commons Attribution (CC BY) license (https://creativecommons.org/licenses/by/4.0/).
Share and Cite
Fu, Y.; Chen, J.; Ma, X.; Chang, W.; Zhang, X.; Liu, Y.; Shen, H.; Hu, X.; Ren, A.-J. Subcellular Expression Patterns of FKBP Prolyl Isomerase 10 (FKBP10) in Colorectal Cancer and Its Clinical Significance. Int. J. Mol. Sci. 2023, 24, 11415. https://doi.org/10.3390/ijms241411415
Fu Y, Chen J, Ma X, Chang W, Zhang X, Liu Y, Shen H, Hu X, Ren A-J. Subcellular Expression Patterns of FKBP Prolyl Isomerase 10 (FKBP10) in Colorectal Cancer and Its Clinical Significance. International Journal of Molecular Sciences. 2023; 24(14):11415. https://doi.org/10.3390/ijms241411415
Chicago/Turabian StyleFu, Yating, Jiahui Chen, Xianhua Ma, Wenjun Chang, Xiongbao Zhang, Yu Liu, Hao Shen, Xuefei Hu, and An-Jing Ren. 2023. "Subcellular Expression Patterns of FKBP Prolyl Isomerase 10 (FKBP10) in Colorectal Cancer and Its Clinical Significance" International Journal of Molecular Sciences 24, no. 14: 11415. https://doi.org/10.3390/ijms241411415
APA StyleFu, Y., Chen, J., Ma, X., Chang, W., Zhang, X., Liu, Y., Shen, H., Hu, X., & Ren, A.-J. (2023). Subcellular Expression Patterns of FKBP Prolyl Isomerase 10 (FKBP10) in Colorectal Cancer and Its Clinical Significance. International Journal of Molecular Sciences, 24(14), 11415. https://doi.org/10.3390/ijms241411415

