Enhanced Carotenoid Production in Chlamydomonas reinhardtii by Overexpression of Endogenousand Exogenous Beta-Carotene Ketolase (BKT) Genes
Abstract
1. Introduction
2. Results
2.1. Vector Construction
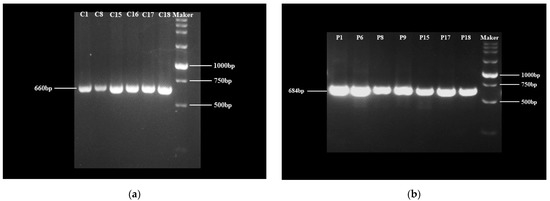
2.2. Transformation of CrBKT and PrBKT
2.3. Growth and Carotenoid Production in C. reinhardtii Colonies and Wild Type
2.4. Transcriptome Results
2.4.1. Construction and Analysis of the Transcriptome Library
2.4.2. Differential Expression of Genes of C18 and P1 Colonies
2.4.3. Analysis of Differentially Expressed Genes
2.4.4. qRT-PCR Validation of Key Enzyme Results
2.5. Metabolome Results
2.5.1. Qualitative versus Relative Quantification of Metabolites
2.5.2. Main Differential Metabolite Comparisons
2.5.3. Pathway Enrichment of Differential Metabolites
3. Discussion
3.1. Association and Differences between Exogenous and Exogenous BKT Gene Overexpression
3.2. Transcriptome and Metabolome Analysis and Discussion of the Carotenoid Metabolic Pathways in the C18 and P1 Strain
3.3. Other Metabolic Pathway Changes in C18 and P1 Strain
3.3.1. Porphyrin and Chlorophyll Metabolism
3.3.2. Terpenoid Backbone Biosynthesis
3.3.3. Biosynthesis of Amino Acids
3.3.4. Glycolysis and Unsaturated Fatty Acids
3.4. The Combination of Genetic Engineering and Heterotrophy for the Commercialization of Chlamydomonas reinhardtii
4. Materials and Methods
4.1. Culture Conditions of Chlamydomonas reinhardtii
4.2. Vector Construction
4.3. Transformation
4.4. Quantification of Overexpression in C. reinhardtii Colonies
4.5. Growth Measurement
4.6. Carotenoid Extraction and Analysis
4.7. Processing of C. reinhardtii Colonies for Transcriptome and Metabolome
4.8. Determination of Total Protein Content and Soluble Sugar Content
4.9. Quantitative Real-Time Quantitative PCR (qRT-PCR)
4.10. Statistical Analysis
5. Conclusions
Supplementary Materials
Author Contributions
Funding
Data Availability Statement
Conflicts of Interest
References
- Takaichi, S. Carotenoids in Algae: Distributions, biosyntheses and functions. Mar. Drugs 2011, 9, 1101–1118. [Google Scholar] [CrossRef]
- Cezare-Gomes, E.A.; Mejia-da-Silva, L.d.C.; Pérez-Mora, L.S.; Matsudo, M.C.; Ferreira-Camargo, L.S.; Singh, A.K.; de Carvalho, J.C.M. Potential of microalgae carotenoids for industrial application. Appl. Biochem. Biotechnol. 2019, 188, 602–634. [Google Scholar] [CrossRef]
- Ambati, R.R.; Siew Moi, P.; Ravi, S.; Ravishankar, G.A. Astaxanthin: Sources, Extraction, Stability, Biological Activities and Its Commercial Applications A Review. Mar. Drugs 2014, 12, 128–152. [Google Scholar] [CrossRef]
- Dose, J.; Matsugo, S.; Yokokawa, H.; Koshida, Y.; Okazaki, S.; Seidel, U.; Eggersdorfer, M.; Rimbach, G.; Esatbeyoglu, T. Free Radical Scavenging and Cellular Antioxidant Properties of Astaxanthin. Int. J. Mol. Sci. 2016, 17, 103. [Google Scholar] [CrossRef] [PubMed]
- Johnston, J.B.; Nickerson, J.G.; Daroszewski, J.; Mogg, T.J.; Burton, G.W. Biologically Active Polymers from Spontaneous Carotenoid Oxidation: A New Frontier in Carotenoid Activity. PLoS ONE 2014, 9, e111346. [Google Scholar] [CrossRef]
- Borowitzka, M.A. Dunaliella: Biology, Production, and Markets. In Handbook of Microalgal Culture; Wiley Blackwell: Hoboken, NJ, USA, 2013; pp. 359–368. [Google Scholar]
- Han, D.; Li, Y.; Hu, Q. Biology and Commercial Aspects of Haematococcus pluvialis. In Handbook of Microalgal Culture; Wiley Blackwell: Hoboken, NJ, USA, 2013; pp. 388–405. [Google Scholar]
- Shi, F.; Zhan, W.; Li, Y.; Wang, X. Temperature influences β-carotene production in recombinant Saccharomyces cerevisiae expressing carotenogenic genes from Phaffia rhodozyma. World J. Microbiol. Biotechnol. 2014, 30, 125–133. [Google Scholar] [CrossRef] [PubMed]
- Morales-Sanchez, D.; Martinez-Rodriguez, O.A.; Kyndt, J.; Martinez, A. Heterotrophic growth of microalgae: Metabolic aspects. World J. Microbiol. Biotechnol. 2015, 31, 1–9. [Google Scholar] [CrossRef]
- Chen, Y.; Liang, H.; Du, H.; Jesumani, V.; He, W.; Cheong, K.-L.; Li, T.; Hong, T. Industry chain and challenges of microalgal food industry—A review. Crit. Rev. Food Sci. Nutr. 2022, 1–28. [Google Scholar] [CrossRef]
- Ding, W.; Cui, J.; Zhao, Y.; Han, B.; Li, T.; Zhao, P.; Xu, J.-W.; Yu, X. Enhancing Haematococcus pluvialis biomass and γ-aminobutyric acid accumulation by two-step cultivation and salt supplementation. Bioresour. Technol. 2019, 285, 121334. [Google Scholar] [CrossRef] [PubMed]
- Vega, J.M. Nitrogen and Sulfur Metabolism in Microalgae and Plants: 50 Years of Research. In Progress in Botany; Cánovas, F.M., Lüttge, U., Leuschner, C., Risueño, M.-C., Eds.; Springer International Publishing: Cham, Switzerland, 2020; Volume 81, pp. 1–40. [Google Scholar]
- Zhang, Z.; Tan, Y.; Wang, W.; Bai, W.; Fan, J.; Huang, J.; Wan, M.; Li, Y. Efficient heterotrophic cultivation of Chlamydomonas reinhardtii. J. Appl. Phycol. 2019, 31, 1545–1554. [Google Scholar] [CrossRef]
- Grossman, A.R.; Lohr, M.; Im, C.S. Chlamydomonas reinhardtii in the landscape of pigments. Ann. Rev. Genet. 2004, 38, 119. [Google Scholar] [CrossRef]
- Baek, K.; Yu, J.; Jeong, J.; Sim, S.J.; Bae, S.; Jin, E. Photoautotrophic production of macular pigment in a Chlamydomonas reinhardtii strain generated by using DNA-free CRISPR-Cas9 RNP-mediated mutagenesis. Biotechnol. Bioeng. 2018, 115, 719–728. [Google Scholar] [CrossRef]
- Morikawa, T.; Uraguchi, Y.; Sanda, S.; Nakagawa, S.; Sawayama, S. Overexpression of DnaJ-Like Chaperone Enhances Carotenoid Synthesis in Chlamydomonas reinhardtii. Appl. Biochem. Biotechnol. 2018, 184, 80–91. [Google Scholar] [CrossRef]
- Perozeni, F.; Cazzaniga, S.; Baier, T.; Zanoni, F.; Zoccatelli, G.; Lauersen, K.J.; Wobbe, L.; Ballottari, M. Turning a green alga red: Engineering astaxanthin biosynthesis by intragenic pseudogene revival in Chlamydomonas reinhardtii. Plant Biotechnol. J. 2020, 18, 2053–2067. [Google Scholar] [CrossRef] [PubMed]
- Prasad, B.; Lein, W.; Lindenberger, C.P.; Buchholz, R.; Vadakedath, N. An optimized method and a dominant selectable marker for genetic engineering of an industrially promising microalga-Pavlova lutheri. J. Appl. Phycol. 2019, 31, 1163–1174. [Google Scholar] [CrossRef]
- Ng, D.H.P.; Ng, Y.K.; Shen, H.; Lee, Y.K. Microalgal biotechnology: The way forward. In Handbook of Marine Microalgae; Kim, S.-K., Ed.; Academic Press: Boston, MA, USA, 2015; pp. 69–80. [Google Scholar]
- Darwish, R.; Gedi, M.A.; Akepach, P.; Assaye, H.; Zaky, A.S.; Gray, D. Chlamydomonas reinhardtii Is a potential food supplement with the capacity to outperform Chlorella and Spirulina. Appl. Sci. 2020, 10, 6736. [Google Scholar] [CrossRef]
- Jin, L.; Gerken, H.; Huang, J.; Feng, C. Engineering of an endogenous phytoene desaturase gene as a dominant selectable marker for Chlamydomonas reinhardtii transformation and enhanced biosynthesis of carotenoids. Process Biochem. 2013, 48, 788–795. [Google Scholar]
- Pourkarimi, S.; Hallajisani, A.; Alizadehdakhel, A.; Nouralishahi, A.; Golzary, A. Factors affecting production of beta-carotene from Dunaliella salina microalgae. Biocatal. Agric. Biotechnol. 2020, 29, 101771. [Google Scholar] [CrossRef]
- Srinivasan, R.; Babu, S.; Gothandam, K.M. Accumulation of phytoene, a colorless carotenoid by inhibition of phytoene desaturase (PDS) gene in Dunaliella salina V-101. Bioresour. Technol. 2017, 242, 311–318. [Google Scholar] [CrossRef] [PubMed]
- Li, Z.; Chen, L.; Yang, H.; Li, T.; Du, X.; He, N.; Jiang, Z.; Li, L.; Ni, H. The role of key genes in astaxanthin biosynthesis in Phaffia rhodozyma by transcript level and gene knockout. Process Biochem. 2022, 113, 158–166. [Google Scholar] [CrossRef]
- Miao, L.-L.; Chi, S.; Hou, T.-T.; Liu, Z.-P.; Li, Y. The damage and tolerance mechanisms of Phaffia rhodozyma mutant strain MK19 grown at 28 °C. Microb. Cell Factories 2021, 20, 5. [Google Scholar] [CrossRef]
- Liu, Z.H.; Li, T.; He, Q.Y.; Sun, Z.; Jiang, Y. Role of mitochondria in regulating lutein and chlorophyll biosynthesis in Chlorella pyrenoidosa under heterotrophic conditions. Mar. Drugs 2018, 16, 354. [Google Scholar] [CrossRef] [PubMed]
- Zhang, S.; Heyes, D.J.; Feng, L.; Sun, W.; Johannissen, L.O.; Liu, H.; Levy, C.W.; Li, X.; Yang, J.; Yu, X.; et al. Structural basis for enzymatic photocatalysis in chlorophyll biosynthesis. Nature 2019, 574, 722–725. [Google Scholar] [CrossRef]
- Song, S.; Jin, R.; Chen, Y.; He, S.; Li, K.; Tang, Q.; Wang, Q.; Wang, L.; Kong, M.; Dudareva, N.; et al. The functional evolution of architecturally different plant geranyl diphosphate synthases from geranylgeranyl diphosphate synthase. Plant Cell 2023, 35, 2293–2315. [Google Scholar] [CrossRef]
- Sun, T.; Rao, S.; Zhou, X.; Li, L. Plant carotenoids: Recent advances and future perspectives. Mol. Hortic. 2022, 2, 3. [Google Scholar] [CrossRef]
- Nisar, N.; Li, L.; Lu, S.; Khin, N.C.; Pogson, B.J. Carotenoid Metabolism in Plants. Mol. Plant 2015, 8, 68–82. [Google Scholar] [CrossRef]
- Liu, L.; Shao, Z.; Zhang, M.; Wang, Q. Regulation of carotenoid metabolism in tomato. Mol. Plant 2015, 8, 28–39. [Google Scholar] [CrossRef] [PubMed]
- Yang, L.E.; Huang, X.Q.; Lu, Q.Q.; Zhu, J.Y.; Lu, S. Cloning and characterization of the geranylgeranyl diphosphate synthase (GGPS) responsible for carotenoid biosynthesis in Pyropia umbilicalis. J. Appl. Phycol. 2016, 28, 671–678. [Google Scholar] [CrossRef]
- Henry, L.K.; Thomas, S.T.; Widhalm, J.R.; Lynch, J.H.; Davis, T.C.; Kessler, S.A.; Jörg, B.; Noel, J.P.; Natalia, D. Contribution of isopentenyl phosphate to plant terpenoid metabolism. Nat. Plants 2018, 4, 721–729. [Google Scholar] [CrossRef]
- Bai, F.; Yu, L.; Shi, J.; Li-Beisson, Y.; Liu, J. Long-chain acyl-CoA synthetases activate fatty acids for lipid synthesis, remodeling and energy production in Chlamydomonas. New Phytol. 2022, 233, 823–837. [Google Scholar] [CrossRef]
- Shi, M.; Yu, L.; Shi, J.; Liu, J. A conserved MYB transcription factor is involved in regulating lipid metabolic pathways for oil biosynthesis in green algae. New Phytol. 2022, 235, 576–594. [Google Scholar] [CrossRef]
- Jin, H.; Zhang, H.; Zhou, Z.; Li, K.; Hou, G.; Xu, Q.; Chuai, W.; Zhang, C.; Han, D.; Hu, Q. Ultrahigh-cell-density heterotrophic cultivation of the unicellular green microalga Scenedesmus acuminatus and application of the cells to photoautotrophic culture enhance biomass and lipid production. Biotechnol. Bioeng. 2020, 117, 96–108. [Google Scholar] [CrossRef]
- Kato, Y.; Oyama, T.; Inokuma, K.; Vavricka, C.J.; Matsuda, M.; Hidese, R.; Satoh, K.; Oono, Y.; Chang, J.-S.; Hasunuma, T.; et al. Enhancing carbohydrate repartitioning into lipid and carotenoid by disruption of microalgae starch debranching enzyme. Commun. Biol. 2021, 4, 450. [Google Scholar] [CrossRef] [PubMed]
- Sun, X.-M.; Ren, L.-J.; Zhao, Q.-Y.; Ji, X.-J.; Huang, H. Microalgae for the production of lipid and carotenoids: A review with focus on stress regulation and adaptation. Biotechnol. Biofuels 2018, 11, 272. [Google Scholar] [CrossRef]
- Walsh, R.; Bartlett, H.; Eperjesi, F. Variation in carotenoid content of kale and other vegetables: A review of pre- and post-harvest effects. J. Agric. Food Chem. 2015, 63, 9677–9682. [Google Scholar] [CrossRef] [PubMed]
- Barkia, I.; Saari, N.; Manning, S.R. Microalgae for high-value products towards human health and nutrition. Mar. Drugs 2019, 17, 304. [Google Scholar] [CrossRef] [PubMed]
- Kumar, A.; Singh, J.S. Chapter 17—Microalgal bio-fertilizers. In Handbook of Microalgae-Based Processes and Products; Jacob-Lopes, E., Maroneze, M.M., Queiroz, M.I., Zepka, L.Q., Eds.; Academic Press: Cambridge, MA, USA, 2020; pp. 445–463. [Google Scholar]
- Hu, J.; Nagarajan, D.; Zhang, Q.; Chang, J.-S.; Lee, D.-J. Heterotrophic cultivation of microalgae for pigment production: A review. Biotechnol. Adv. 2018, 36, 54–67. [Google Scholar] [CrossRef]
- Barclay, W.; Apt, K.; Dong, X.D. Commercial production of microalgae via fermentation. In Handbook of Microalgal Culture; Wiley Blackwell: Hoboken, NJ, USA, 2013; pp. 134–145. [Google Scholar]
- Eriksen, N.T. The technology of microalgal culturing. Biotechnol. Lett. 2008, 30, 1525–1536. [Google Scholar] [CrossRef]
- Gorman, D.S.; Levine, R.P. Cytochrome f and plastocyanin: Their sequence in the photosynthetic electron transport chain of Chlamydomonas reinhardii. Proc. Natl. Acad. Sci. USA 1965, 54, 1665–1669. [Google Scholar] [CrossRef] [PubMed]
- Lichtenthaler, H.K.; Wellburn, A.R. Determinations of total carotenoids and chlorophylls a and b of leaf extracts in different solvents. Biochem. Soc. Trans. 1983, 11, 591–592. [Google Scholar] [CrossRef]
- Want, E.J.; Masson, P.; Michopoulos, F.; Wilson, I.D.; Theodoridis, G.; Plumb, R.S.; Shockcor, J.; Loftus, N.; Holmes, E.; Nicholson, J.K. Global metabolic profiling of animal and human tissues via UPLC-MS. Nat. Protoc. 2012, 8, 17–32. [Google Scholar] [CrossRef] [PubMed]
- Want, E.J.; O’Maille, G.; Smith, C.A.; Brandon, T.R.; Uritboonthai, W.; Qin, C.; Trauger, S.A.; Siuzdak, G. Solvent-Dependent Metabolite Distribution, Clustering, and Protein Extraction for Serum Profiling with Mass Spectrometry. Anal. Chem. 2005, 78, 743–752. [Google Scholar] [CrossRef] [PubMed]
- Barri, T.; Dragsted, L.O. UPLC-ESI-QTOF/MS and multivariate data analysis for blood plasma and serum metabolomics: Effect of experimental artefacts and anticoagulant. Anal. Chim. Acta 2013, 768, 118–128. [Google Scholar] [CrossRef] [PubMed]
- Sellick, C.A.; Hansen, R.; Stephens, G.M.; Goodacre, R.; Dickson, A.J. Metabolite extraction from suspension-cultured mammalian cells for global metabolite profiling. Nat. Protoc. 2011, 6, 1241–1249. [Google Scholar] [CrossRef] [PubMed]
- Yuan, M.; Breitkopf, S.B.; Yang, X.; Asara, J.M. A positive/negative ion-switching, targeted mass spectrometry-based metabolomics platform for bodily fluids, cells, and fresh and fixed tissue. Nat. Protoc. 2012, 7, 872–881. [Google Scholar] [CrossRef] [PubMed]
- Wen, B.; Mei, Z.; Zeng, C.; Liu, S. metaX: A flexible and comprehensive software for processing metabolomics data. BMC Bioinform. 2017, 18, 183. [Google Scholar] [CrossRef]

















| Sample | Raw Reads 1 | Raw Bases 2 | Clean Reads 3 | Clean Bases 4 | Error Rate 5 | Q30 (%) 6 | GC Pct 7 | Total Map Pct 8 | Unique Map 9 |
|---|---|---|---|---|---|---|---|---|---|
| WT-1 | 45,897,466 | 6.88 G | 43,481,436 | 6.52 G | 0.03 | 90.57 | 62.75 | 95.04% | 92.66% |
| WT-2 | 45,372,590 | 6.81 G | 43,300,230 | 6.5 G | 0.03 | 90.04 | 62.97 | 95.08% | 92.72% |
| WT-3 | 47,243,698 | 7.09 G | 45,441,558 | 6.82 G | 0.03 | 90.75 | 62.68 | 94.98% | 92.53% |
| C18-1 | 45,981,798 | 6.9 G | 43,321,074 | 6.5 G | 0.03 | 90.29 | 61.28 | 87.64% | 83.55% |
| C18-2 | 47,989,038 | 7.2 G | 45,152,476 | 6.77 G | 0.03 | 90.53 | 62.04 | 90.40% | 87.63% |
| C18-3 | 49,309,270 | 7.4 G | 46,452,078 | 6.97 G | 0.03 | 89.37 | 63.72 | 93.53% | 90.35% |
| P1-1 | 51,821,018 | 7.77 G | 48,753,422 | 7.31 G | 0.03 | 92.94 | 61.93 | 87.88% | 84.91% |
| P1-2 | 48,975,588 | 7.35 G | 46,310,808 | 6.95 G | 0.03 | 93.22 | 62.65 | 89.23% | 86.45% |
| P1-3 | 42,490,208 | 6.37 G | 39,192,990 | 5.88 G | 0.03 | 91.93 | 61.33 | 82.86% | 80.43% |
| Compared Samples 1 | Num. of Total Ident. 2 | Num. of Total Sig. 3 | Num. of Sig.Up 4 | Num. of Sig.Down 5 |
|---|---|---|---|---|
| C18 vs. WT_pos * | 595 | 240 | 68 | 172 |
| C18 vs. WT_neg # | 335 | 136 | 40 | 96 |
| P1 vs. WT_pos | 595 | 222 | 117 | 105 |
| P1 vs. WT_neg | 335 | 113 | 60 | 53 |
Disclaimer/Publisher’s Note: The statements, opinions and data contained in all publications are solely those of the individual author(s) and contributor(s) and not of MDPI and/or the editor(s). MDPI and/or the editor(s) disclaim responsibility for any injury to people or property resulting from any ideas, methods, instructions or products referred to in the content. |
© 2023 by the authors. Licensee MDPI, Basel, Switzerland. This article is an open access article distributed under the terms and conditions of the Creative Commons Attribution (CC BY) license (https://creativecommons.org/licenses/by/4.0/).
Share and Cite
Chen, Y.; Du, H.; Liang, H.; Hong, T.; Li, T. Enhanced Carotenoid Production in Chlamydomonas reinhardtii by Overexpression of Endogenousand Exogenous Beta-Carotene Ketolase (BKT) Genes. Int. J. Mol. Sci. 2023, 24, 11382. https://doi.org/10.3390/ijms241411382
Chen Y, Du H, Liang H, Hong T, Li T. Enhanced Carotenoid Production in Chlamydomonas reinhardtii by Overexpression of Endogenousand Exogenous Beta-Carotene Ketolase (BKT) Genes. International Journal of Molecular Sciences. 2023; 24(14):11382. https://doi.org/10.3390/ijms241411382
Chicago/Turabian StyleChen, Yuanhao, Hong Du, Honghao Liang, Ting Hong, and Tangcheng Li. 2023. "Enhanced Carotenoid Production in Chlamydomonas reinhardtii by Overexpression of Endogenousand Exogenous Beta-Carotene Ketolase (BKT) Genes" International Journal of Molecular Sciences 24, no. 14: 11382. https://doi.org/10.3390/ijms241411382
APA StyleChen, Y., Du, H., Liang, H., Hong, T., & Li, T. (2023). Enhanced Carotenoid Production in Chlamydomonas reinhardtii by Overexpression of Endogenousand Exogenous Beta-Carotene Ketolase (BKT) Genes. International Journal of Molecular Sciences, 24(14), 11382. https://doi.org/10.3390/ijms241411382
