Benefits and Meaning of Lipids Profile in Relation to Oxidative Balance and Brain Morphology in Schizophrenia
Abstract
1. Introduction
2. Results
2.1. Clinical Characteristics of Schizophrenia Patients
2.2. Biochemical Blood Analysis
2.3. Correlation between PON-1 and Lipids in Both Observed Groups (the Control Group and Patients with Schizophrenia)
2.4. MR Spectroscopy and Laboratory Measurements
3. Discussion
4. Materials and Methods
4.1. Participants of the Study
4.2. The Assessment of the Clinical Status and Pharmacotherapy
4.3. Pharmacotherapy
4.4. Metabolic Profiles
4.5. Measurement of the Activity of Paraoxonase 1 (PON-1) in the Blood
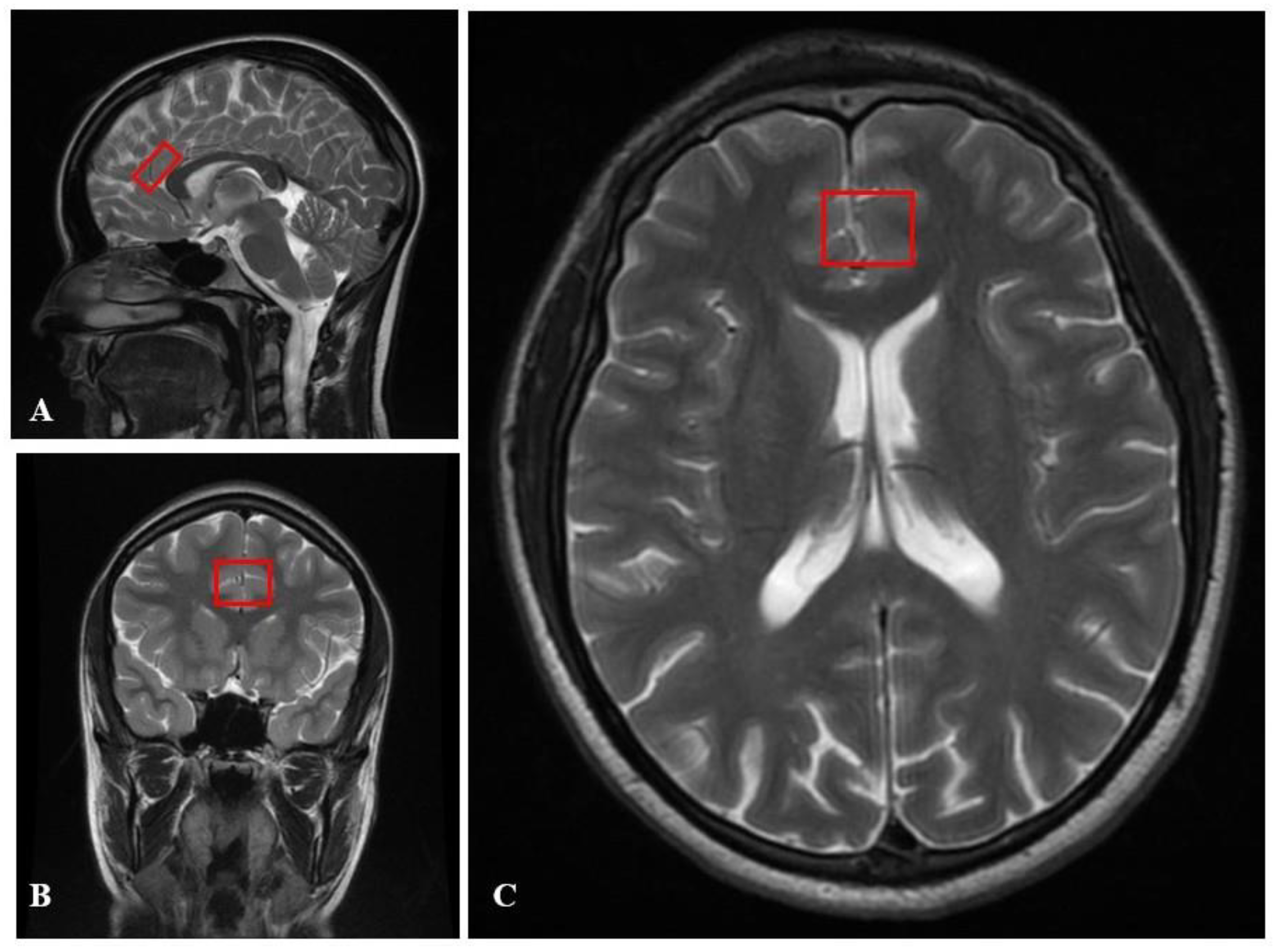
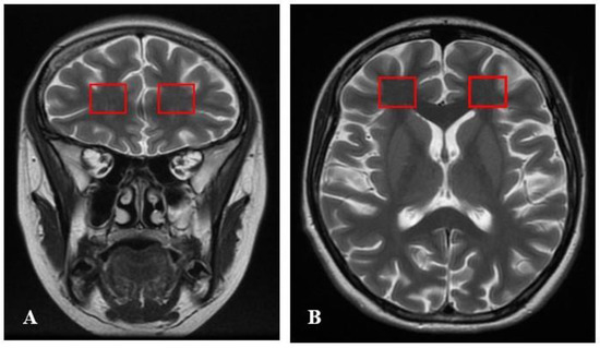
4.6. Neuroimaging Analysis
4.7. Statistical Analysis
4.8. Limitations
5. Conclusions
Author Contributions
Funding
Institutional Review Board Statement
Informed Consent Statement
Data Availability Statement
Conflicts of Interest
References
- Freedman, R. Schizophrenia. N. Engl. J. Med. 2003, 349, 1738–1749. [Google Scholar] [CrossRef]
- Buosi, P.; Borghi, F.A.; Lopes, A.M.; Facincani, I.; Fernandes-Ferreira, R.; Oliveira-Brancati, C.; do Carmo, T.S.; Souza, D.; da Silva, D.; de Almeida, E.A.; et al. Oxidative stress biomarkers in treatment-responsive and treatment-resistant schizophrenia patients. Trends Psychiatry Psychother. 2021, 43, 278–285. [Google Scholar] [CrossRef] [PubMed]
- Zhang, X.Y.; Zhou, D.F.; Cao, L.Y.; Zhang, P.Y.; Wu, G.Y.; Shen, Y.C. Changes in serum interleukin-2, -6, and -8 levels before and during treatment with risperidone and haloperidol: Relationship to outcome in schizophrenia. J. Clin. Psychiatry 2004, 65, 940–947. [Google Scholar] [CrossRef] [PubMed]
- Lucero, D.; Islam, P.; Freeman, L.A.; Jin, X.; Pryor, M.; Tang, J.; Kruth, H.S.; Remaley, A.T. Interleukin 10 promotes macrophage uptake of HDL and LDL by stimulating fluid-phase endocytosis. Biochim. Biophys. Acta Mol. Cell Biol. Lipids 2020, 1865, 158537. [Google Scholar] [CrossRef] [PubMed]
- Ermakov, E.A.; Dmitrieva, E.M.; Parshukova, D.A.; Kazantseva, D.V.; Vasilieva, A.R.; Smirnova, L.P. Oxidative Stress-Related Mechanisms in Schizophrenia Pathogenesis and New Treatment Perspectives. Oxidative Med. Cell. Longev. 2021, 2021, 8881770. [Google Scholar] [CrossRef]
- Ogłodek, E.A. The role of PON-1, GR, IL-18, and OxLDL in depression with and without posttraumatic stress disorder. Pharmacol. Rep. PR 2017, 69, 837–845. [Google Scholar] [CrossRef]
- Zhang, J.; Liu, Q. Cholesterol metabolism and homeostasis in the brain. Protein Cell 2015, 6, 254–264. [Google Scholar] [CrossRef]
- Björkhem, I.; Meaney, S.; Fogelman, A.M. Brain cholesterol: Long secret life behind a barrier. Arterioscler. Thromb. Vasc. Biol. 2004, 24, 806–815. [Google Scholar] [CrossRef]
- Fung, K.Y.; Wang, C.; Nyegaard, S.; Heit, B.; Fairn, G.D.; Lee, W.L. SR-BI Mediated Transcytosis of HDL in Brain Microvascular Endothelial Cells Is Independent of Caveolin, Clathrin, and PDZK1. Front. Physiol. 2017, 8, 841. [Google Scholar] [CrossRef]
- Tosheska Trajkovska, K.; Topuzovska, S. High-density lipoprotein metabolism and reverse cholesterol transport: Strategies for raising HDL cholesterol. Anatol. J. Cardiol. 2017, 18, 149–154. [Google Scholar] [CrossRef]
- Iqbal, F.; Baker, W.S.; Khan, M.I.; Thukuntla, S.; McKinney, K.H.; Abate, N.; Tuvdendorj, D. Current and future therapies for addressing the effects of inflammation on HDL cholesterol metabolism. Br. J. Pharmacol. 2017, 174, 3986–4006. [Google Scholar] [CrossRef] [PubMed]
- Hottman, D.A.; Chernick, D.; Cheng, S.; Wang, Z.; Li, L. HDL and cognition in neurodegenerative disorders. Neurobiol. Dis. 2014, 72 Pt A, 22–36. [Google Scholar] [CrossRef]
- Jauhar, S.; Johnstone, M.; McKenna, P.J. Schizophrenia. Lancet 2022, 399, 473–486. [Google Scholar] [CrossRef]
- Ochoa, S.; Usall, J.; Cobo, J.; Labad, X.; Kulkarni, J. Gender differences in schizophrenia and first-episode psychosis: A comprehensive literature review. Schizophr. Res. Treat. 2012, 2012, 916198. [Google Scholar] [CrossRef] [PubMed]
- Kaliuzhna, M.; Kirschner, M.; Carruzzo, F.; Hartmann-Riemer, M.N.; Bischof, M.; Seifritz, E.; Tobler, P.N.; Kaiser, S. Clinical, behavioural and neural validation of the PANSS amotivation factor. Schizophr. Res. 2020, 220, 38–45. [Google Scholar] [CrossRef] [PubMed]
- Wildgust, H.J.; Hodgson, R.; Beary, M. The paradox of premature mortality in schizophrenia: New research questions. J. Psychopharmacol. 2010, 24, 9–15. [Google Scholar] [CrossRef] [PubMed]
- Koman-Wierdak, E.; Róg, J.; Brzozowska, A.; Toro, M.D.; Bonfiglio, V.; Załuska-Ogryzek, K.; Karakuła-Juchnowicz, H.; Rejdak, R.; Nowomiejska, K. Analysis of the Peripapillary and Macular Regions Using OCT Angiography in Patients with Schizophrenia and Bipolar Disorder. J. Clin. Med. 2021, 10, 4131. [Google Scholar] [CrossRef]
- Murray, A.J.; Rogers, J.C.; Katshu, M.; Liddle, P.F.; Upthegrove, R. Oxidative Stress and the Pathophysiology and Symptom Profile of Schizophrenia Spectrum Disorders. Front. Psychiatry 2021, 12, 703452. [Google Scholar] [CrossRef]
- Kott, A.; Daniel, D. T56. An Exploratory Analysis Converting Scores between the Panss and Bnss. Schizophr. Bull. 2018, 44 (Suppl. S1), S135–S136. [Google Scholar] [CrossRef]
- De-Oliveira, J.L.; da-Silva, I.R.; Ramis, T.R.; Ferreira, C.V.; Soares, S.M.; Ribeiro, J.L.; Dorneles, G.P.; Wagner, L.C. Endothelial function and lipid profile of individuals with schizophrenia participating in a supported employment program. Rev. Bras. Med. Trab. 2018, 16, 167–174. [Google Scholar]
- Pruett, B.S.; Meador-Woodruff, J.H. Evidence for altered energy metabolism, increased lactate, and decreased pH in schizophrenia brain: A focused review and meta-analysis of human postmortem and magnetic resonance spectroscopy studies. Schizophr. Res. 2020, 223, 29–42. [Google Scholar] [CrossRef]
- Rambaud, V.; Marzo, A.; Chaumette, B. Oxidative Stress and Emergence of Psychosis. Antioxidants 2022, 11, 1870. [Google Scholar] [CrossRef] [PubMed]
- Pillinger, T.; Beck, K.; Stubbs, B.; Howes, O.D. Cholesterol and triglyceride levels in first-episode psychosis: Systematic review and meta-analysis. Br. J. Psychiatry J. Ment. Sci. 2017, 211, 339–349. [Google Scholar] [CrossRef] [PubMed]
- McNamara, R.K.; Welge, J.A. Meta-analysis of erythrocyte polyunsaturated fatty acid biostatus in bipolar disorder. Bipolar Disord. 2016, 18, 300–306. [Google Scholar] [CrossRef] [PubMed]
- Perry, B.I.; McIntosh, G.; Weich, S.; Singh, S.; Rees, K. The association between first-episode psychosis and abnormal glycaemic control: Systematic review and meta-analysis. Lancet Psychiatry 2016, 3, 1049–1058. [Google Scholar] [CrossRef]
- Kriisa, K.; Haring, L.; Vasar, E.; Koido, K.; Janno, S.; Vasar, V.; Zilmer, K.; Zilmer, M. Antipsychotic Treatment Reduces Indices of Oxidative Stress in First-Episode Psychosis Patients. Oxidative Med. Cell. Longev. 2016, 2016, 9616593. [Google Scholar] [CrossRef]
- Sukumar, N.; Sabesan, P.; Anazodo, U.; Palaniyappan, L. Neurovascular Uncoupling in Schizophrenia: A Bimodal Meta-Analysis of Brain Perfusion and Glucose Metabolism. Front. Psychiatry 2020, 11, 754. [Google Scholar] [CrossRef]
- Lahutsina, A.; Spaniel, F.; Mrzilkova, J.; Morozova, A.; Brabec, M.; Musil, V.; Zach, P. Morphology of Anterior Cingulate Cortex and Its Relation to Schizophrenia. J. Clin. Med. 2022, 12, 33. [Google Scholar] [CrossRef]
- Kondo, M.A.; Norris, A.L.; Yang, K.; Cheshire, M.; Newkirk, I.; Chen, X.; Ishizuka, K.; Jaffe, A.E.; Sawa, A.; Pevsner, J. Dysfunction of mitochondria and GABAergic interneurons in the anterior cingulate cortex of individuals with schizophrenia. Neurosci. Res. 2022, 185, 67–72. [Google Scholar] [CrossRef]
- Park, H.J.; Choi, I.; Leem, K.H. Decreased Brain pH and Pathophysiology in Schizophrenia. Int. J. Mol. Sci. 2021, 22, 8358. [Google Scholar] [CrossRef]
- Bryll, A.; Krzyściak, W.; Karcz, P.; Pilecki, M.; Śmierciak, N.; Szwajca, M.; Skalniak, A.; Popiela, T.J. Determinants of Schizophrenia Endophenotypes Based on Neuroimaging and Biochemical Parameters. Biomedicines 2021, 9, 372. [Google Scholar] [CrossRef] [PubMed]
- Zhai, D.; Lang, Y.; Feng, Y.; Liu, Y.; Dong, G.; Wang, X.; Cao, Y.; Cui, T.; Ni, C.; Ji, Y.; et al. Early onset of cardiometabolic risk factor profiles in drug naïve adolescents and young adults with first-episode schizophrenia. Schizophr. Res. 2017, 190, 60–62. [Google Scholar] [CrossRef]
- Wójciak, P.; Domowicz, K.; Rybakowski, J.K. Metabolic indices in schizophrenia: Association of negative symptoms with higher HDL cholesterol in female patients. World J. Biol. Psychiatry Off. J. World Fed. Soc. Biol. Psychiatry 2021, 22, 552–556. [Google Scholar] [CrossRef] [PubMed]
- Balõtšev, R.; Koido, K.; Vasar, V.; Janno, S.; Kriisa, K.; Mahlapuu, R.; Ljubajev, U.; Parksepp, M.; Veiksaar, P.; Volke, V.; et al. Inflammatory, cardio-metabolic and diabetic profiling of chronic schizophrenia. Eur. Psychiatry J. Assoc. Eur. Psychiatr. 2017, 39, 1–10. [Google Scholar] [CrossRef] [PubMed]
- Na, K.S.; Jung, H.Y.; Kim, Y.K. The role of pro-inflammatory cytokines in the neuroinflammation and neurogenesis of schizophrenia. Prog. Neuro-Psychopharmacol. Biol. Psychiatry 2014, 48, 277–286. [Google Scholar] [CrossRef] [PubMed]
- Cechnicki, A.; Hanuszkiewicz, I.; Polczyk, R.; Bielańska, A. Prospektywna ocena wpływu czasu nie leczonej psychozy na przebieg schizofrenii. Psychiatr. Pol. 2010, 44, 381–394. [Google Scholar]
- Śmierciak, N.; Szwajca, M.; Popiela, T.J.; Bryll, A.; Karcz, P.; Donicz, P.; Turek, A.; Krzyściak, W.; Pilecki, M. Redefining the Cut-Off Ranges for TSH Based on the Clinical Picture, Results of Neuroimaging and Laboratory Tests in Unsupervised Cluster Analysis as Individualized Diagnosis of Early Schizophrenia. J. Pers. Med. 2022, 12, 247. [Google Scholar] [CrossRef]
- Moreira, E.G.; Boll, K.M.; Correia, D.G.; Soares, J.F.; Rigobello, C.; Maes, M. Why Should Psychiatrists and Neuroscientists Worry about Paraoxonase 1? Curr. Neuropharmacol. 2019, 17, 1004–1020. [Google Scholar] [CrossRef]
- Salazar, J.G.; Marsillach, J.; Reverte, I.; Mackness, B.; Mackness, M.; Joven, J.; Camps, J.; Colomina, M.T. Paraoxonase-1 and -3 Protein Expression in the Brain of the Tg2576 Mouse Model of Alzheimer’s Disease. Antioxidants 2021, 10, 339. [Google Scholar] [CrossRef]
- Maes, M.; Vojdani, A.; Geffard, M.; Moreira, E.G.; Barbosa, D.S.; Michelin, A.P.; Semeão, L.O.; Sirivichayakul, S.; Kanchanatawan, B. Schizophrenia phenomenology comprises a bifactorial general severity and a single-group factor, which are differently associated with neurotoxic immune and immune-regulatory pathways. Biomol. Concepts 2019, 10, 209–225. [Google Scholar] [CrossRef]
- Connelly, P.W.; Yan, A.T.; Nash, M.M.; Wald, R.M.; Lok, C.; Gunaratnam, L.; Kirpalani, A.; Prasad, G. The Increase in Paraoxonase 1 Is Associated With Decrease in Left Ventricular Volume in Kidney Transplant Recipients. Front. Cardiovasc. Med. 2021, 8, 763389. [Google Scholar] [CrossRef] [PubMed]
- Kannampuzha, J.; Darling, P.B.; Maguire, G.F.; Donnelly, S.; McFarlane, P.C.T.; Chan, C.T.; Connely, P.W. Paraoxonase 1 arylesterase activity and mass are reduced and inversely related to C-reactive protein in patients on either standard or home nocturnal hemodialysis. Clin. Nephrol. 2010, 73, 131–138. [Google Scholar] [PubMed]
- Taylor, D.M.; Barnes, T.R.E.; Young, A.H. The Maudsley Prescribing Guidelines in Psychiatry; John Wiley & Sons: Hoboken, NJ, USA, 2021. [Google Scholar]
- Eckerson, H.W.; Romson, J.; Wyte, C.; La Du, B.N. The human serum paraoxonase polymorphism: Identification of phenotypes by their response to salts. Am. J. Hum. Genet. 1983, 35, 214–227. [Google Scholar]
- Moniczewski, A.; Gawlik, M.; Smaga, I.; Niedzielska, E.; Krzek, J.; Przegaliński, E.; Pera, J.; Filip, M. Oxidative stress as an etiological factor and a potential treatment target of psychiatric disorders. Part 2. Depression, anxiety, schizophrenia and autism. Pharmacol. Rep. 2015, 67, 569–580. [Google Scholar] [CrossRef] [PubMed]
- Prabakaran, S.; Swatton, J.E.; Ryan, M.M.; Huffaker, S.J.; Huang, J.T.-J.; Griffin, J.L.; Wayland, M.; Freeman, T.; Dudbridge, F.; Lilley, K.S.; et al. Mitochondrial dysfunction in schizophrenia: Evidence for compromised brain metabolism and oxidative stress. Mol. Psychiatry 2004, 9, 684–697. [Google Scholar] [CrossRef] [PubMed]
- Wills, A.-M.; Landers, J.E.; Zhang, H.; Richter, R.J.; Caraganis, A.J.; Cudkowicz, M.E.; Furlong, C.E.; Brown, R.H. Paraoxonase 1 (PON1) Organophosphate Hydrolysis Is Not Reduced in ALS. Neurology 2008, 70, 929–934. [Google Scholar] [CrossRef]
- Li, C.; Yang, T.; Ou, R.; Shang, H. Overlapping Genetic Architecture Between Schizophrenia and Neurodegenerative Disorders. Front. Cell Dev. Biol. 2021, 9, 797072. [Google Scholar] [CrossRef]
- Misiak, B.; Stańczykiewicz, B.; Łaczmański, Ł.; Frydecka, D. Lipid profile disturbances in antipsychotic-naive patients with first-episode non-affective psychosis: A systematic review and meta-analysis. Schizophr. Res. 2017, 190, 18–27. [Google Scholar] [CrossRef]
- Mighdoll, M.I.; Tao, R.; Kleinman, J.E.; Hyde, T.M. Myelin, myelin-related disorders, and psychosis. Schizophr. Res. 2015, 161, 85–93. [Google Scholar] [CrossRef]
- Vitali, C.; Wellington, C.L.; Calabresi, L. HDL and cholesterol handling in the brain. Cardiovasc. Res. 2014, 103, 405–413. [Google Scholar] [CrossRef]
- Holven, K.B.; Retterstøl, K.; Ueland, T.; Ulven, S.M.; Nenseter, M.S.; Sandvik, M.; Narverud, I.; Berge, K.E.; Ose, L.; Aukrust, P.; et al. Subjects with low plasma HDL cholesterol levels are characterized by an inflammatory and oxidative phenotype. PLoS ONE 2013, 8, e78241. [Google Scholar] [CrossRef] [PubMed]
- Gjerde, P.B.; Dieset, I.; Simonsen, C.; Hoseth, E.Z.; Iversen, T.; Lagerberg, T.V.; Lyngstad, S.H.; Mørch, R.H.; Skrede, S.; Andreassen, O.A.; et al. Increase in serum HDL level is associated with less negative symptoms after one year of antipsychotic treatment in first-episode psychosis. Schizophr. Res. 2018, 197, 253–260. [Google Scholar] [CrossRef] [PubMed]
- Morris, G.; Puri, B.K.; Bortolasci, C.C.; Carvalho, A.; Berk, M.; Walder, K.; Moreira, E.G.; Maes, M. The role of high-density lipoprotein cholesterol, apolipoprotein A and paraoxonase-1 in the pathophysiology of neuroprogressive disorders. Neurosci. Biobehav. Rev. 2021, 125, 244–263. [Google Scholar] [CrossRef] [PubMed]
- Smith, J.; Griffiths, L.A.; Band, M.; Horne, D. Cardiometabolic Risk in First Episode Psychosis Patients. Front. Endocrinol. 2020, 11, 564240. [Google Scholar] [CrossRef] [PubMed]
- Marthoenis, M.; Martina, M.; Alfiandi, R.; Dahniar, D.; Asnurianti, R.; Sari, H.; Nassimbwa, J.; Arafat, S.M.Y. Investigating Body Mass Index and Body Composition in Patients with Schizophrenia: A Case-Control Study. Schizophr. Res. Treat. 2022, 2022, 1381542. [Google Scholar] [CrossRef]
- Seidman, L.J.; Kremen, W.S.; Koren, D.; Faraone, S.V.; Goldstein, J.M.; Tsuang, M.T. A comparative profile analysis of neuropsychological functioning in patients with schizophrenia and bipolar psychoses. Schizophr. Res. 2002, 53, 31–44. [Google Scholar] [CrossRef]
- Sodero, A.O.; Vriens, J.; Ghosh, D.; Stegner, D.; Brachet, A.; Pallotto, M.; Sassoè-Pognetto, M.; Brouwers, J.F.; Helms, J.B.; Nieswandt, B.; et al. Cholesterol loss during glutamate-mediated excitotoxicity. EMBO J. 2012, 31, 1764–1773. [Google Scholar] [CrossRef]
- Zhang, X.; Xu, N.; Li, J.; Ma, Z.; Wei, L.; Liu, Q.; Liu, J. Engineering of L-glutamate oxidase as the whole-cell biocatalyst for the improvement of α-ketoglutarate production. Enzym. Microb. Technol. 2020, 136, 109530. [Google Scholar] [CrossRef]
- Wu, Y.; Chen, M.; Jiang, J. Mitochondrial dysfunction in neurodegenerative diseases and drug targets via apoptotic signaling. Mitochondrion 2019, 49, 35–45. [Google Scholar] [CrossRef]
- Notter, T. Astrocytes in schizophrenia. Brain Neurosci. Adv. 2021, 5, 23982128211009148. [Google Scholar] [CrossRef]
- Mahadik, S.P.; Mukherjee, S.; Correnti, E.E.; Kelkar, H.S.; Wakade, C.G.; Costa, R.M.; Scheffer, R. Plasma membrane phospholipid and cholesterol distribution of skin fibroblasts from drug-naive patients at the onset of psychosis. Schizophr. Res. 1994, 13, 239–247. [Google Scholar] [CrossRef] [PubMed]
- Andreasen, N.C.; Liu, D.; Ziebell, S.; Vora, A.; Ho, B.C. Relapse duration, treatment intensity, and brain tissue loss in schizophrenia: A prospective longitudinal MRI study. Am. J. Psychiatry 2013, 170, 609–615. [Google Scholar] [CrossRef] [PubMed]
- Rachel, W.; Siwek, M.; Dudek, D.; Zięba, A.; Werewka-Maczuga, A.; Herman-Sucharska, I.; Urbanik, A. Magnetic resonance proton spectroscopy in affective disorders. Neuropsychiatr. Neuropsychol./Neuropsychiatry Neuropsychol. 2008, 3, 29–36. [Google Scholar]
- Pathmasiri, K.C.; Pergande, M.R.; Tobias, F.; Rebiai, R.; Rosenhouse-Dantsker, A.; Bongarzone, E.R.; Cologna, S.M. Mass spectrometry imaging and LC/MS reveal decreased cerebellar phosphoinositides in Niemann-Pick type C1-null mice. J. Lipid Res. 2020, 61, 1004–1013. [Google Scholar] [CrossRef]
- Sibtain, N.A.; Howe, F.A.; Saunders, D.E. The clinical value of proton magnetic resonance spectroscopy in adult brain tumours. Clin. Radiol. 2007, 62, 109–119. [Google Scholar] [CrossRef]
- Kato, T.; Inubushi, T.; Kato, N. Magnetic resonance spectroscopy in affective disorders. J. Neuropsychiatry Clin. Neurosci. 1998, 10, 133–147. [Google Scholar] [CrossRef]









| Minimum | Maximum | Mean | SD | |
|---|---|---|---|---|
| DUP (weeks) | 3 | 140 | 24.3 | 27.59 |
| Hospitalization (days) | 14 | 171 | 64.23 | 33.16 |
| Age of first episode | 12 | 29 | 18.78 | 3.75 |
| Number of episodes | 1 | 15 | 3.45 | 3.79 |
| Duration of illness (years) | 0.5 | 21 | 3.84 | 5.66 |
| PANSS P | 25 | 70 | 54.12 | 10.56 |
| PANSS N | 15 | 38 | 27.87 | 6.68 |
| PANSS G | 12 | 39 | 25.70 | 5.53 |
| PANSS Total | 69 | 141 | 107.70 | 20.23 |
| Variable | M | SD | Me | Result of a Statistical Test | |||
|---|---|---|---|---|---|---|---|
| Control Group | SZ | Control Group | SZ | Control Group | SZ | ||
| Sodium [mmoL/L] | 138.73 | 140.05 | 1.74 | 1.93 | 139 | 140 | g2(2) = 23.34; p < 0.001 |
| HDL [mmoL/L] | 1.62 | 1.35 | 0.43 | 0.4 | 1.63 | 1.29 | g2(2) = 9.52; p = 0.002 |
| PON-1 [UI/L] | 117.5 | 102.54 | 2.21 | 1.73 | 117.4 | 101.8 | g2(2) = 76.4; p = 0.03 |
| Variable | Scale P | Scale N | Scale T | Scale G |
|---|---|---|---|---|
| Neut [×103/µL] | 0.4; p = 0.01 | 0.4; p = 0.01 | 0.4; p = 0.01 | 0.49; p < 0.001 |
| Neut [%] | 0.46; p <0.001 | 0.47; p < 0.001 | 0.48; p < 0.00 | 0.55; p < 0.001 |
| Lymph [%] | −0.4; p = 0.01 | −0.45; p < 0.001 | −0.46; p < 0.001 | −0.51; p < 0.001 |
| CRP [mg/L] | 0.32; p = 0.04 | 0.19 | 0.31 | 0.3 |
| Potassium [mM/L] | −0.04 | −0.9 | −0.03 | −0.36; p = 0.03 |
| Cholesterol [mM/L] | 0.08 | 0.35; p = 0.03 | −0.07 | 0.09 |
| HDL | LDL | Cholesterol | Triglycerides | |
|---|---|---|---|---|
| PON-1 | 816 ** | −0.424 ** | −0.134 | −0.442 ** |
| Variable | ACC/LIP 0.9–1.0 | ACC/Lip/Cr | GLC | Mi 3.56 | CHO/CR |
|---|---|---|---|---|---|
| HDL | 0.477 ** | 0.406 * | 0.396 * | 0.5 | −0.360 * |
| ALA/CR | GLU/CR | CHO 3.22 | GLU + GLN + GSH 3.7 | GLN 2.45 | |
|---|---|---|---|---|---|
| LDL [mmoL/L] | −0.376 * | −0.420 * | 0.367 * | −0.235 | −0.068 |
| Cholesterol [mmoL/L] | 0.01 | − 0.14 | −0.195 | 0.198 | 0.029 |
| Triglycerides [mmoL/L] | 0.066 | −0.154 | −0.164 | −0.404 * | −0.389 * |
| FA_ACC_LEFT_AVG | ADC_ACC_RIGHT_DEV | |
|---|---|---|
| HDL | −0.402 * | 0.346 * |
| DWI_FRONTAL AREA_LEFT_AVG | DWI_FRONTAL AREA_RIGHT_AVG | ADC_ACC_RIGHT_DEV | |
|---|---|---|---|
| LDL [mmoL/L] | 0.373 * | 0.387 * | 0.051 |
| Triglycerides [mmoL/L] | 0.196 | 0.111 | 0.346 * |
| Cholesterol [mmoL/L] | 0.138 | 0.213 | 0.12 |
| Parameter | Value | |
|---|---|---|
| DWI | DTI | |
| Scan plane | AXIAL | AXIAL |
| Sequence | EPI | EPI |
| Number of slice | 22–24 | 22–24 |
| Repetition time TR | 8400 | 8300 |
| Echo time TE | 106 | 110 |
| Field of view | 24 | 20 |
| Slice of thickness | 5.0 | 5.0 |
| Spacing | 1.5 | 1.5 |
| Matrix | 128 × 128 | 128 × 128 |
| Number of acquisition | 2 | 2 |
| Max parameter value | 1500 | 1500 |
| Min parameter value | 0 | 0 |
| Number of dynamic measurement directions | 3 | 25 |
Disclaimer/Publisher’s Note: The statements, opinions and data contained in all publications are solely those of the individual author(s) and contributor(s) and not of MDPI and/or the editor(s). MDPI and/or the editor(s) disclaim responsibility for any injury to people or property resulting from any ideas, methods, instructions or products referred to in the content. |
© 2023 by the authors. Licensee MDPI, Basel, Switzerland. This article is an open access article distributed under the terms and conditions of the Creative Commons Attribution (CC BY) license (https://creativecommons.org/licenses/by/4.0/).
Share and Cite
Śmierciak, N.; Krzyściak, W.; Szwajca, M.; Karcz, P.; Bryll, A.; Popiela, T.J.; Donicz, P.; Turek, A.; Aleksandrovych, V.; Pilecki, M. Benefits and Meaning of Lipids Profile in Relation to Oxidative Balance and Brain Morphology in Schizophrenia. Int. J. Mol. Sci. 2023, 24, 11375. https://doi.org/10.3390/ijms241411375
Śmierciak N, Krzyściak W, Szwajca M, Karcz P, Bryll A, Popiela TJ, Donicz P, Turek A, Aleksandrovych V, Pilecki M. Benefits and Meaning of Lipids Profile in Relation to Oxidative Balance and Brain Morphology in Schizophrenia. International Journal of Molecular Sciences. 2023; 24(14):11375. https://doi.org/10.3390/ijms241411375
Chicago/Turabian StyleŚmierciak, Natalia, Wirginia Krzyściak, Marta Szwajca, Paulina Karcz, Amira Bryll, Tadeusz J. Popiela, Paulina Donicz, Aleksander Turek, Veronika Aleksandrovych, and Maciej Pilecki. 2023. "Benefits and Meaning of Lipids Profile in Relation to Oxidative Balance and Brain Morphology in Schizophrenia" International Journal of Molecular Sciences 24, no. 14: 11375. https://doi.org/10.3390/ijms241411375
APA StyleŚmierciak, N., Krzyściak, W., Szwajca, M., Karcz, P., Bryll, A., Popiela, T. J., Donicz, P., Turek, A., Aleksandrovych, V., & Pilecki, M. (2023). Benefits and Meaning of Lipids Profile in Relation to Oxidative Balance and Brain Morphology in Schizophrenia. International Journal of Molecular Sciences, 24(14), 11375. https://doi.org/10.3390/ijms241411375

