Exploring the Genetic Diversity of Epstein–Barr Virus among Patients with Gastric Cancer in Southern Chile
Abstract
1. Introduction
2. Results
2.1. Cohort Description
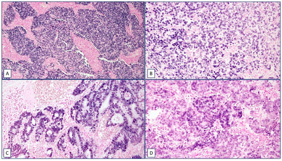
2.2. Frequency of EBV and Its Association with Clinicopathological Features
2.3. Phylogenetic Classification of the EBV Strains
3. Discussion
4. Materials and Methods
4.1. Patients, Sample Collection, and Ethics Approval
4.2. Determination of EBV through EBER-ISH Analysis
4.3. DNA Extraction, PCR Amplification, and Sequencing
4.4. Sequence Datasets and Alignments
4.5. Phylogenetic Analyses
4.6. Statistical Analysis
5. Conclusions
Supplementary Materials
Author Contributions
Funding
Institutional Review Board Statement
Informed Consent Statement
Data Availability Statement
Acknowledgments
Conflicts of Interest
References
- Sung, H.; Ferlay, J.; Siegel, R.L.; Laversanne, M.; Soerjomataram, I.; Jemal, A.; Bray, F. Global cancer statistics 2020: GLOBOCAN estimates of incidence and mortality worldwide for 36 cancers in 185 countries. CA Cancer J. Clin. 2021, 71, 209–249. [Google Scholar] [CrossRef]
- Qiu, M.; Cai, M.; Zhang, D.; Wang, Z.; Wang, D.; Li, Y. Clinicopathological characteristics and prognostic analysis of Lauren classification in gastric adenocarcinoma in China. J. Transl. Med. 2013, 11, 1. [Google Scholar] [CrossRef]
- Laurelrz, P.A.; Nevalainen, T.J. Epidemiology of Intestinal and Diffuse Types of Gastric Carcinoma A Time-Trend Study in Finland with Comparison between Studies from High- and Low-Risk Areas. Cancer 1989, 71, 2926–2933. [Google Scholar]
- Cancer Genome Atlas Research Network. Comprehensive molecular characterization of gastric adenocarcinoma. Nature 2014, 513, 202–209. [Google Scholar] [CrossRef] [PubMed]
- Zhang, W. TCGA divides gastric cancer into four molecular subtypes: Implications for individualized therapeutics. Chin. J. Cancer 2014, 33, 469–470. [Google Scholar] [CrossRef]
- He, D.; Zhang, Y.W.; Zhang, N.N.; Zhou, L.; Chen, J.N.; Jiang, Y.; Shao, C.K. Aberrant gene promoter methylation of p16, FHIT, CRBP1, WWOX, and DLC-1 in Epstein–Barr virus-associated gastric carcinomas. Med. Oncol. 2015, 32, 92. [Google Scholar] [CrossRef]
- Saito, R.; Abe, H.; Kunita, A.; Yamashita, H.; Seto, Y.; Fukayama, M. Overexpression and gene amplification of PD-L1 in cancer cells and PD-L1 + immune cells in Epstein-Barr virus-associated gastric cancer: The prognostic implications. Mod. Pathol. 2017, 30, 427–439. [Google Scholar] [CrossRef]
- Kwok, H.; Tong, A.H.Y.; Lin, C.H.; Lok, S.; Farrell, P.J.; Kwong, D.L.W.; Chiang, A.K.S. Genomic sequencing and comparative analysis of Epstein-Barr virus genome isolated from primary nasopharyngeal carcinoma biopsy. PLoS ONE 2012, 7, e36939. [Google Scholar] [CrossRef]
- Balfour, H.H.; Dunmire, S.K.; Hogquist, K.A. Infectious mononucleosis. Clin. Transl. Immunol. 2015, 4, e33. [Google Scholar] [CrossRef] [PubMed]
- Al Hamed, R.; Bazarbachi, A.H.; Mohty, M. Epstein-Barr virus-related post-transplant lymphoproliferative disease (EBV-PTLD) in the setting of allogeneic stem cell transplantation: A comprehensive review from pathogenesis to forthcoming treatment modalities. Bone Marrow Transplant. 2020, 55, 25–39. [Google Scholar] [CrossRef] [PubMed]
- Soldan, S.S.; Lieberman, P.M. Epstein–Barr virus and multiple sclerosis. Nat. Rev. Microbiol. 2023, 21, 51–64. [Google Scholar] [CrossRef] [PubMed]
- Jog, N.R.; Young, K.A.; Munroe, M.E.; Harmon, M.T.; Guthridge, J.M.; Kelly, J.A.; Kamen, D.L.; Gilkeson, G.S.; Weisman, M.H.; Karp, D.R.; et al. Association of Epstein-Barr virus serological reactivation with transitioning to systemic lupus erythematosus in at-risk individuals. Ann. Rheum. Dis. 2019, 78, 1235–1241. [Google Scholar] [CrossRef] [PubMed]
- Brady, G.; Macarthur, G.J.; Farrell, P.J. Epstein-Barr virus and Burkitt lymphoma. Postgrad. Med. J. 2008, 84, 372–377. [Google Scholar] [CrossRef]
- Massini, G.; Siemer, D.; Hohaus, S. EBV in Hodgkin Lymphoma. Mediterr. J. Hematol. Infect. Dis. 2009, 1, e2009013. [Google Scholar] [CrossRef]
- Kenneth, L.; McClain, M.; Charles, T.; Al, E. Association of epstein–Barr virus with leiomyosarcomas in young people with aids. N. Engl. J. Med. 1995, 332, 12–18. [Google Scholar]
- Li, C.; Tian, Y.; Wang, J.; Zhu, L.; Huang, L.; Wang, N.; Xu, D.; Cao, Y.; Li, J.; Zhou, J. Abnormal immunophenotype provides a key diagnostic marker: A report of 29 cases of de novo aggressive natural killer cell leukemia. Transl. Res. 2014, 163, 565–577. [Google Scholar] [CrossRef] [PubMed]
- Chen, Y.P.; Chan, A.T.C.; Le, Q.T.; Blanchard, P.; Sun, Y.; Ma, J. Nasopharyngeal carcinoma. Lancet 2019, 394, 64–80. [Google Scholar] [CrossRef]
- Shannon-Lowe, C.; Rickinson, A. The Global Landscape of EBV-Associated Tumors. Front. Oncol. 2019, 9, 713. [Google Scholar] [CrossRef]
- Sample, J.; Young, L.; Martin, B.; Chatman, T.; Kieff, E.; Rickinson, A.; Kieffl, E. Epstein-Barr Virus Types 1 and 2 Differ in Their EBNA-3A, EBNA-3B, and EBNA-3C Genes. J. Virol. 1990, 64, 4084–4092. [Google Scholar] [CrossRef]
- Rowlands, D.C.; Ito, M.; Mangham, D.C.; Reynolds, G.; Herbst, H.; Hallissey, M.T.; Fielding, J.W.L.; Newbold, K.M.; Jones, E.L.; Young, L.S.; et al. Epstein-Barr virus and carcinomas: Rare association of the virus with gastric adenocarcinomas. Br. J. Cancer 1993, 68, 1014–1019. [Google Scholar] [CrossRef][Green Version]
- Buschle, A.; Fischer, N.; Hammerschmidt, W. Epigenetic lifestyle of Epstein-Barr virus. Semin. Immunopathol. 2020, 42, 131–142. [Google Scholar] [CrossRef] [PubMed]
- Zanella, L.; Riquelme, I.; Buchegger, K.; Abanto, M.; Ili, C.; Brebi, P. A reliable Epstein-Barr Virus classification based on phylogenomic and population analyses. Sci. Rep. 2019, 9, 9829. [Google Scholar] [CrossRef] [PubMed]
- Chiara, M.; Manzari, C.; Lionetti, C.; Mechelli, R.; Anastasiadou, E.; Buscarinu, M.C.; Ristori, G.; Salvetti, M.; Picardi, E.; Erchia, A.M.D. Geographic population structure in Epstein-Barr Virus revealed by comparative genomics. Genome Biol. Evol. Adv. 2016, 8, 3284–3291. [Google Scholar] [CrossRef] [PubMed]
- Ministerio de Salud de Chile (MINSAL). Plan Nacional de Cáncer. In Plan Nacional de Cáncer 2018–2028; Documento de Consulta Pública; MINSAL: Santiago, Chile, 2018. [Google Scholar]
- Corvalan, A.; Koriyama, C.; Akiba, S.; Eizuru, Y.; Backhouse, C.; Palma, M.; Argandoña, J.; Tokunaga, M. Epstein-Barr virus in gastric carcinoma is associated with location in the cardia and with a diffuse histology: A study in one area of Chile. Int. J. Cancer 2001, 94, 527–530. [Google Scholar] [CrossRef]
- Ministerio de Salud (MINSAL). Plan Nacional de Cáncer 2018–2028, Documento de Consulta Pública. Minsal Chile. 2018, pp. 1–184. Available online: https://cdn.digital.gob.cl/filer_public/d3/0a/d30a1f5e-53d9-4a31-a4fe-e90d8d9a2348/documento_plan_nacional_de_cancer.pdf (accessed on 29 June 2023).
- Corvalan, A.; Akiba, S.; Valenzuela, M.T.; Cumsille, M.A.; Koriyama, C.; Argandona, J.; Backhouse, C.; Bal, M.; Mena, F.; Palma, M.; et al. Características clínico-moleculares del cáncer gástrico cardial asociado al virus Epstein Barr. Rev. Med. Chil. 2005, 133, 753–760. [Google Scholar] [CrossRef]
- Corvalan, A.; Ding, S.; Koriyama, C.; Carrascal, E.; Carrasquilla, G.; Backhouse, C.; Urzua, L.; Argandoña, J.; Palma, M.; Eizuru, Y.; et al. Association of a distinctive strain of Epstein-Barr virus with gastric cancer. Int. J. Cancer 2006, 118, 1736–1742. [Google Scholar] [CrossRef] [PubMed]
- Li, C.; Romero-masters, J.C.; Huebner, S.; Ohashi, M.; Hayes, M.; Bristol, J.A.; Nelson, S.E.; Eichelberg, M.R.; Van, N.; Ranheim, E.A.; et al. EBNA2-deleted Epstein-Barr virus (EBV) isolate, P3HR1, causes Hodgkin-like lymphomas and diffuse large B cell lymphomas with type II and Wp-restricted latency types in humanized mice. PLoS Pathog. 2020, 16, e1008590. [Google Scholar] [CrossRef] [PubMed]
- Tsai, C.; Tsai, C.; Tse, K.; Chang, H.; Chang, Y. The Epstein—Barr virus oncogene product, latent membrane protein 1, induces the down- regulation of E-cadherin gene expression via activation of DNA methyltransferases. Proc. Natl. Acad. Sci. USA 2002, 99, 10084–10089. [Google Scholar] [CrossRef]
- Vidal-Realpe, A.; Dueñas-Cuellar, R.A.; Niño-Castaño, V.E.; Mora-Obando, D.L.; Arias-Agudelo, J.J.; Bolaños, H.J. Características clínico-patológicas del adenocarcinoma gástrico asociado al virus de Epstein-Barr en una región de alta incidencia de cáncer gástrico en Colombia. Rev. Gastroenterol. México 2022, in press. [Google Scholar] [CrossRef]
- Kim, T.S.; da Silva, E.; Coit, D.G.; Tang, L.H. Intratumoral Immune Response to Gastric Cancer Varies by Molecular and Histologic Subtype. Am. J. Surg. Pathol. 2019, 43, 851–860. [Google Scholar] [CrossRef]
- Tanabe, H.; Mizukami, Y.; Takei, H.; Tamamura, N.; Omura, Y.; Kobayashi, Y.; Murakami, Y.; Kunogi, T.; Sasaki, T.; Takahashi, K.; et al. Clinicopathological characteristics of Epstein–Barr virus and microsatellite instability subtypes of early gastric neoplasms classified by the Japanese and the World Health Organization criteria. J. Pathol. Clin. Res. 2021, 7, 397–409. [Google Scholar] [CrossRef]
- Pereira, M.A.; Ramos, M.F.K.P.; Faraj, S.F.; Dias, A.R.; Yagi, O.K.; Zilberstein, B.; Cecconello, I.; Alves, V.A.F.; de Mello, E.S.; Ribeiro, U., Jr. Clinicopathological and prognostic features of Epstein-Barr virus infection, microsatellite instability, and PD-L1 expression in gastric cancer. J. Surg. Oncol. 2018, 117, 829–839. [Google Scholar] [CrossRef] [PubMed]
- Yang, N.; Wu, Y.; Jin, M.; Jia, Z.; Wang, Y.; Cao, D.; Qin, L.; Wang, X.; Zheng, M.; Cao, X.; et al. Microsatellite instability and Epstein-Barr virus combined with PD-L1 could serve as a potential strategy for predicting the prognosis and efficacy of postoperative chemotherapy in gastric cancer. PeerJ 2021, 9, e11481. [Google Scholar] [CrossRef]
- Pinto, M.P.; Córdova-Delgado, M.; Retamal, I.N.; Muñoz-Medel, M.; Bravo, M.L.; Durán, D.; Villanueva, F.; Sanchez, C.; Acevedo, F.; Mondaca, S.; et al. A molecular stratification of chilean gastric cancer patients with potential clinical applicability. Cancers 2020, 12, 1863. [Google Scholar] [CrossRef] [PubMed]
- Servicio Nacional de Migrantes. Informe de Resultados de la Estimación de Personas Extranjeras Residentes en Chile al 31 de Diciembre de 2021; Instituto Nacional de Estadísticas: Santiago, Chile, 2022; pp. 1–35. [Google Scholar]
- Caglevic, C.; Silva, S.; Mahave, M.; Rolfo, C.; Gallardo, J. The current situation for gastric cancer in Chile. Ecancermedicalscience 2016, 10, 8–15. [Google Scholar] [CrossRef] [PubMed][Green Version]
- Olivares, L.V. Cancer of the gallbladder—Chilean statistics. Ecancermedicalscience 2016, 10, 704. [Google Scholar] [CrossRef][Green Version]
- Hirabayashi, M.; Georges, D.; Clifford, G.M.; de Martel, C. Estimating the Global Burden of Epstein-Barr Virus–Associated Gastric Cancer: A Systematic Review and Meta-Analysis. Clin. Gastroenterol. Hepatol. 2022, 21, 922–930.e21. [Google Scholar] [CrossRef]
- Alarcón, A.; Figueroa, U.; Espinoza, B.; Sandoval, A.; Carrasco-Aviño, G.; Aguayo, F.R.; Corvalan, A.H. Epstein-Barr Virus–Associated Gastric Carcinoma: The Americas’ Perspective. In Gastric Cancer; IntechOpen: London, UK, 2017; pp. 9–20. [Google Scholar]
- Dunford, A.; Weinstock, D.M.; Savova, V.; Schumacher, S.E.; Cleary, J.P.; Yoda, A.; Sullivan, T.J.; Hess, J.M.; Gimelbrant, A.A.; Beroukhim, R.; et al. Tumor-suppressor genes that escape from X-inactivation contribute to cancer sex bias. Nat. Genet. 2017, 49, 10–16. [Google Scholar] [CrossRef]
- Chen, C.; Gong, X.; Yang, X.; Shang, X.; Du, Q.; Liao, Q.; Xie, R.; Chen, Y.; Jingyu, X.U. The roles of estrogen and estrogen receptors in gastrointestinal disease (Review). Oncol. Lett. 2019, 18, 5673–5680. [Google Scholar] [CrossRef]
- Lee, J.H.; Kim, S.H.; Han, S.H.; An, J.S.; Lee, E.S.; Kim, Y.S. Clinicopathological and molecular characteristics of Epstein-Barr virus-associated gastric carcinoma: A meta-analysis. J. Gastroenterol. Hepatol. 2009, 24, 354–365. [Google Scholar] [CrossRef]
- Rihane, F.E.; Erguibi, D.; Elyamine, O.; Abumsimir, B.; Ennaji, M.M.; Chehab, F. Helicobacter pylori co-infection with Epstein-Barr virus and the risk of developing gastric adenocarcinoma at an early age: Observational study infectious agents and cancer. Ann. Med. Surg. 2021, 68, 102651. [Google Scholar] [CrossRef]
- Catalano, V.; Labianca, R.; Beretta, G.D.; Gatta, G.; de Braud, F.; Van Cutsem, E. Gastric cancer. Crit. Rev. Oncol. Hematol. 2009, 71, 127–164. [Google Scholar] [CrossRef]
- Ansari, S.; Gantuya, B.; Tuan, V.P.; Yamaoka, Y. Diffuse gastric cancer: A summary of analogous contributing factors for its molecular pathogenicity. Int. J. Mol. Sci. 2018, 19, 2424. [Google Scholar] [CrossRef] [PubMed]
- Lee, J.Y.; Gong, E.J.; Chung, E.J.; Park, H.W.; Bae, S.E.; Kim, E.H.; Kim, J.; Do, Y.S.; Kim, T.H.; Chang, H.S.; et al. The characteristics and prognosis of diffuse-type early gastric cancer diagnosed during health check-ups. Gut Liver 2017, 11, 807–812. [Google Scholar] [CrossRef]
- Park, E.S.; Do, I.G.; Park, C.K.; Kang, W.K.; Noh, J.H.; Sohn, T.S.; Kim, S.; Kim, M.J.; Kim, K.M. Cyclooxygenase-2 is an independent prognostic factor in gastric carcinoma patients receiving adjuvant chemotherapy and is not associated with EBV infection. Clin. Cancer Res. 2009, 15, 291–298. [Google Scholar] [CrossRef]
- Chiaravalli, A.M.; Feltri, M.; Bertolini, V.; Bagnoli, E.; Furlan, D.; Cerutti, R.; Novario, R.; Capella, C. Intratumour T cells, their activation status and survival in gastric carcinomas characterised for microsatellite instability and Epstein-Barr virus infection. Virchows Arch. 2006, 448, 344–353. [Google Scholar] [CrossRef] [PubMed]
- Constanza Camargo, M.; Kim, W.H.; Chiaravalli, A.M.; Kim, K.M.; Corvalan, A.H.; Matsuo, K.; Yu, J.; Sung, J.J.Y.; Herrera-Goepfert, R.; Meneses-Gonzalez, F.; et al. Improved survival of gastric cancer with tumour Epstein-Barr virus positivity: An international pooled analysis. Gut 2014, 63, 236–243. [Google Scholar] [CrossRef] [PubMed]
- Song, H.J.; Srivastava, A.; Lee, J.; Kim, Y.S.; Kim, K.M.; Ki Kang, W.; Kim, M.; Kim, S.; Park, C.K.; Kim, S. Host Inflammatory Response Predicts Survival of Patients With Epstein-Barr Virus-Associated Gastric Carcinoma. Gastroenterology 2010, 139, 84–92. [Google Scholar] [CrossRef]
- Akiba, S.; Koriyama, C.; Herrera-Goepfert, R.; Eizuru, Y. Epstein-Barr virus associated gastric carcinoma: Epidemiological and clinicopathological features. Cancer Sci. 2008, 99, 195–201. [Google Scholar] [CrossRef]
- Kattoor, J.; Koriyama, C.; Akiba, S.; Itoh, T.; Ding, S.; Eizuru, Y.; Abraham, E.K.; Chandralekha, B.; Amma, N.S.; Nair, M.K. Epstein-Barr virus-associated gastric carcinoma in southern India: A comparison with a large-scale Japanese series. J. Med. Virol. 2002, 68, 384–389. [Google Scholar] [CrossRef]
- Trimeche, M.; Ksiĝa, F.; Ziadi, S.; Mestiri, S.; Hachana, M.; Gacem, R.B.; Sriha, B.; Korbi, S. Prevalence and characteristics of Epstein-Barr virus-associated gastric carcinomas in Tunisia. Eur. J. Gastroenterol. Hepatol. 2009, 21, 1001–1007. [Google Scholar] [CrossRef]
- Kijima, Y.; Ishigami, S.; Hokita, S.; Koriyama, C.; Akiba, S.; Eizuru, Y.; Aikou, T. The comparison of the prognosis between Epstein-Barr virus (EBV)-positive gastric carcinomas and EBV-negative ones. Cancer Lett. 2003, 200, 33–40. [Google Scholar] [CrossRef]
- Truong, C.D.; Feng, W.; Li, W.; Khoury, T.; Li, Q.; Alrawi, S.; Yu, Y.; Xie, K.; Yao, J.; Tan, D. Characteristics of Epstein-Barr virus-associated gastric cancer: A study of 235 cases at a comprehensive cancer center in U.S.A. J. Exp. Clin. Cancer Res. 2009, 28, 14. [Google Scholar] [CrossRef] [PubMed]
- van Beek, J.; zur Hausen, A.; Kranenbarg, E.K.; van de Velde, C.J.H.; Middeldorp, J.M.; van den Brule, A.J.C.; Meijer, C.J.L.M.; Bloemena, E. EBV-positive gastric adenocarcinomas: A distinct clinicopathologic entity with a low frequency of lymph node involvement. J. Clin. Oncol. 2004, 22, 664–670. [Google Scholar] [CrossRef] [PubMed]
- Koriyama, C.; Akiba, S.; Itoh, T.; Kijima, Y.; Sueyoshi, K.; Corvalan, A.; Herrera-Goepfer, R.; Eizuru, Y. Prognostic significance of Epstein-Barr virus involvement in gastric carcinoma in Japan. Int. J. Mol. Med. 2002, 10, 635–639. [Google Scholar] [CrossRef]
- Hassan, R.; White, L.R.; Stefanoff, C.G.; De Oliveira, D.E.; Felisbino, F.E.; Klumb, C.E.; Bacchi, C.E.; Seuánez, H.N.; Zalcberg, I.R. Epstein-Barr Virus (EBV) detection and typing by PCR: A contribution to diagnostic screening of EBV-positive Burkitt’s lymphoma. Diagn. Pathol. 2006, 1, 17. [Google Scholar] [CrossRef][Green Version]
- Qi, Z.L.; Han, X.Q.; Hu, J.; Wang, G.H.; Gao, J.W.; Wang, X.; Liang, D.Y. Comparison of three methods for the detection of Epstein-Barr virus in Hodgkin’s lymphoma in paraffin-embedded tissues. Mol. Med. Rep. 2013, 7, 89–92. [Google Scholar] [CrossRef]
- Gulley, M.L.; Glaser, S.L.; Craig, F.E.; Borowitz, M.; Mann, R.B.; Shema, S.J.; Ambinder, R.F. Guidelines for interpreting EBER in situ hybridization and LMP1 immunohistochemical tests for detecting Epstein-Barr virus in Hodgkin lymphoma. Am. J. Clin. Pathol. 2002, 117, 259–267. [Google Scholar] [CrossRef]
- Lee, J.; Park, M.; Lee, M.H.; Woo, H.J.; Kim, H.W.; Yang, J.Y.; Eom, Y.B.; Kim, S.H.; Yoo, C.; Kim, J.B. Development of EBV-encoded small RNA targeted PCR to classify EBV positive diffuse large B-cell lymphoma (DLBCL) of the elderly. Int. J. Clin. Exp. Pathol. 2015, 8, 7859–7868. [Google Scholar]
- Ruf, I.K.; Lackey, K.A.; Warudkar, S.; Sample, J.T. Protection from Interferon-Induced Apoptosis by Epstein-Barr Virus Small RNAs Is Not Mediated by Inhibition of PKR. J. Virol. 2005, 79, 14562–14569. [Google Scholar] [CrossRef] [PubMed]
- Samanta, M.; Takada, K. Modulation of innate immunity system by Epstein-Barr virus-encoded non-coding RNA and oncogenesis. Cancer Sci. 2010, 101, 29–35. [Google Scholar] [CrossRef]
- Iwakiri, D.; Takada, K. Role of EBERs in the pathogenesis of EBV infection. Adv. Cancer Res. 2010, 107, 119–136. [Google Scholar] [CrossRef] [PubMed]
- Czader, M. (Ed.) Hematological Malignancies—Methods and Protocols; Humana Press: New York, NY, USA, 2013; Volume 999, pp. 223–230. [Google Scholar] [CrossRef]
- Hertle, M.L.; Popp, C.; Petermann, S.; Maier, S.; Kremmer, E.; Lang, R.; Mages, J.; Kempkes, B. Differential gene expression patterns of EBV infected EBNA-3A positive and negative human B lymphocytes. PLoS Pathog. 2009, 5, e1000506. [Google Scholar] [CrossRef] [PubMed]
- Vera-Sempere, F.; Burgos, J.; Botella, M.S.; Morera, C. Comparative analysis of Epstein-Barr virus (EBV) detection by nested-PCR and non-isotopic in situ hybridization in nasopharyngeal carcinoma (NPC). Clin. Chim. Acta 1998, 271, 119–132. [Google Scholar] [CrossRef] [PubMed]
- Kunimoto, M.; Tamura, S.; Tabata, T.; Yoshie, O. One-step typing of Epstein-Barr virus by polymerase chain reaction: Predominance of type 1 virus in Japan. J. Gen. Virol. 1992, 73, 455–461. [Google Scholar] [CrossRef] [PubMed]
- Zimber, U.; Adldinger, H.K.; Lenoir, G.M.; Vuillaume, M.; Knebel-Doeberitz, M.V.; Laux, G.; Des̀granges, C.; Wittmann, P.; Freese, U.K.; Schneider, U.; et al. Geographical prevalence of two types of Epstein-Barr virus. Virology 1986, 154, 56–66. [Google Scholar] [CrossRef]
- Cancian, L. Functional Differences between Type 1 and Type 2 Epstein-Barr Virus EBNA-2. Ph.D. Thesis, Imperial College London, London, UK, 2011. [Google Scholar]
- Buck, M.; Cross, S.; Krauer, K.; Kienzle, N.; Sculley, T.B. A-type and B-type Epstein-Barr virus differ in their ability to spontaneously enter the lytic cycle. J. Gen. Virol. 1999, 80, 441–445. [Google Scholar] [CrossRef][Green Version]
- Correia, S.; Palser, A.; Elgueta Karstegl, C.; Middeldorp, J.M.; Ramayanti, O.; Cohen, J.I.; Hildesheim, A.; Fellner, M.D.; Wiels, J.; White, R.E.; et al. Natural Variation of Epstein-Barr Virus Genes, Proteins, and Primary MicroRNA. J. Virol. 2017, 91, 10–1128. [Google Scholar] [CrossRef]
- Yao, Q.Y.; Croom-Carter, D.S.; Tierney, R.J.; Habeshaw, G.; Wilde, J.T.; Hill, F.G.; Conlon, C.; Rickinson, A.B. Epidemiology of infection with Epstein-Barr virus types 1 and 2: Lessons from the study of a T-cell-immunocompromised hemophilic cohort. J. Virol. 1998, 72, 4352–4363. [Google Scholar] [CrossRef]
- Hall, T.A. BioEdit: A user-friendly biological sequence alignment editor and analysis program for Windows 95/98/NT. Nucl. Acids. Symp. Ser. 1999, 41, 95–98. [Google Scholar]
- Lefort, V.; Longueville, J.E.; Gascuel, O. SMS: Smart Model Selection in PhyML. Mol. Biol. Evol. 2017, 34, 2422–2424. [Google Scholar] [CrossRef] [PubMed]



| Staining Intensity | Cell Percentage | Score Sum | Final Score | Expression Level | |
|---|---|---|---|---|---|
| 0 Absent 1 Mild 2 Moderate 3 Strong | 0 0% 1 1–25% 2 26–50% 3 51–75% 4 76–100% | 0–2 | 0 | Negative/Low | Absent/0% cells Mild/1–25% cells |
| 3–4 5–7 | 1 2 | Positive/High | Mild/26–100% cells Moderate/1–100% cells Strong/1–100% cells |
| Total % (n) | EBV+ % (n) | EBV− % (n) | p | |
|---|---|---|---|---|
| Age | 0.220 | |||
| >65 years old | 55.5% (30) | 41.7% (5) | 59.5% (25) | |
| <65 years old | 44.5% (24) | 58.3% (7) | 40.5% (17) | |
| Gender | 0.060 | |||
| Female | 29.6% (16) | 8.3% (1) | 35.7% (15) | |
| Male | 70.4% (38) | 91.7% (11) | 64.3% (27) | |
| Histological diagnosis | 0.003 * | |||
| Diffuse | 37% (20) | 75% (9) | 26.2% (11) | |
| Intestinal | 63% (34) | 25% (3) | 73.8% (31) | |
| Bormann classification | 0.550 | |||
| I–II | 39.2% (20) | 41.7% (5) | 38.5% (15) | |
| III–V | 60.8% (31) | 58.3% (7) | 61.5% (24) | |
| Anatomical classification | 0.418 | |||
| Cardia | 74.5% (35) | 81.8% (9) | 72.2% (26) | |
| No cardia | 25.5% (12) | 18.2% (2) | 27.8% (10) | |
| Infiltration | 0.384 | |||
| pT0 | 1.9% (1) | 0% (0) | 2.4% (1) | |
| pT1 | 7.5% (4) | 0% (0) | 9.8% (4) | |
| pT2 | 13.2% (7) | 25% (3) | 9.8% (4) | |
| pT3 | 67.9% (36) | 58.3% (7) | 70.7% (29) | |
| pT4 | 9.4% (5) | 16.7% (2) | 7.3% (3) | |
| Lymph nodes | 0.075 | |||
| pN0 | 35.8% (19) | 50% (6) | 31.7% (13) | |
| pN1 | 11.3% (6) | 25% (3) | 7.3% (3) | |
| pN2 | 20.8% (11) | 0% (0) | 26.8% (11) | |
| pN3 | 32.1% (17) | 25% (3) | 34.1% (14) | |
| TNM stage | 0.256 | |||
| 0 | 1.9% (1) | 0% (0) | 2.4% (1) | |
| I | 13.2% (7) | 16.7% (2) | 12.2% (5) | |
| II | 35.8% (19) | 50% (6) | 31.7% (13) | |
| III | 41.5% (22) | 16.7% (2) | 48.8% (20) | |
| IV | 7.5% (4) | 16.7% (2) | 4.9% (2) | |
| Differentiation | 0.196 | |||
| Poor | 61.5% (32) | 83.3% (10) | 55% (22) | |
| Moderate | 34.6% (18) | 16.6% (2) | 40% (16) | |
| Good | 3.9% (2) | 0% (0) | 5% (2) |
Disclaimer/Publisher’s Note: The statements, opinions and data contained in all publications are solely those of the individual author(s) and contributor(s) and not of MDPI and/or the editor(s). MDPI and/or the editor(s) disclaim responsibility for any injury to people or property resulting from any ideas, methods, instructions or products referred to in the content. |
© 2023 by the authors. Licensee MDPI, Basel, Switzerland. This article is an open access article distributed under the terms and conditions of the Creative Commons Attribution (CC BY) license (https://creativecommons.org/licenses/by/4.0/).
Share and Cite
Reyes, M.E.; Zanella, L.; Riquelme, I.; Buchegger, K.; Mora-Lagos, B.; Guzmán, P.; García, P.; Roa, J.C.; Ili, C.G.; Brebi, P. Exploring the Genetic Diversity of Epstein–Barr Virus among Patients with Gastric Cancer in Southern Chile. Int. J. Mol. Sci. 2023, 24, 11276. https://doi.org/10.3390/ijms241411276
Reyes ME, Zanella L, Riquelme I, Buchegger K, Mora-Lagos B, Guzmán P, García P, Roa JC, Ili CG, Brebi P. Exploring the Genetic Diversity of Epstein–Barr Virus among Patients with Gastric Cancer in Southern Chile. International Journal of Molecular Sciences. 2023; 24(14):11276. https://doi.org/10.3390/ijms241411276
Chicago/Turabian StyleReyes, María Elena, Louise Zanella, Ismael Riquelme, Kurt Buchegger, Bárbara Mora-Lagos, Pablo Guzmán, Patricia García, Juan C. Roa, Carmen Gloria Ili, and Priscilla Brebi. 2023. "Exploring the Genetic Diversity of Epstein–Barr Virus among Patients with Gastric Cancer in Southern Chile" International Journal of Molecular Sciences 24, no. 14: 11276. https://doi.org/10.3390/ijms241411276
APA StyleReyes, M. E., Zanella, L., Riquelme, I., Buchegger, K., Mora-Lagos, B., Guzmán, P., García, P., Roa, J. C., Ili, C. G., & Brebi, P. (2023). Exploring the Genetic Diversity of Epstein–Barr Virus among Patients with Gastric Cancer in Southern Chile. International Journal of Molecular Sciences, 24(14), 11276. https://doi.org/10.3390/ijms241411276

