MIF Increases sFLT1 Expression in Early Uncomplicated Pregnancy and Preeclampsia
Abstract
1. Introduction
2. Results
2.1. High Expression of sFLT1 in EVTs and STB in Placentas during First Trimester
2.2. sFLT1 and MIF Expression Increases upon Human Primary Cytotrophoblast Differentiation into EVTs and STBs
2.3. MIF Inhibitor Reduces sFLT1 Expression during Differentiation of CTBs into EVTs and STB
2.4. MIF Increases sFLT1 Expression in a Human Trophoblast Cell Line
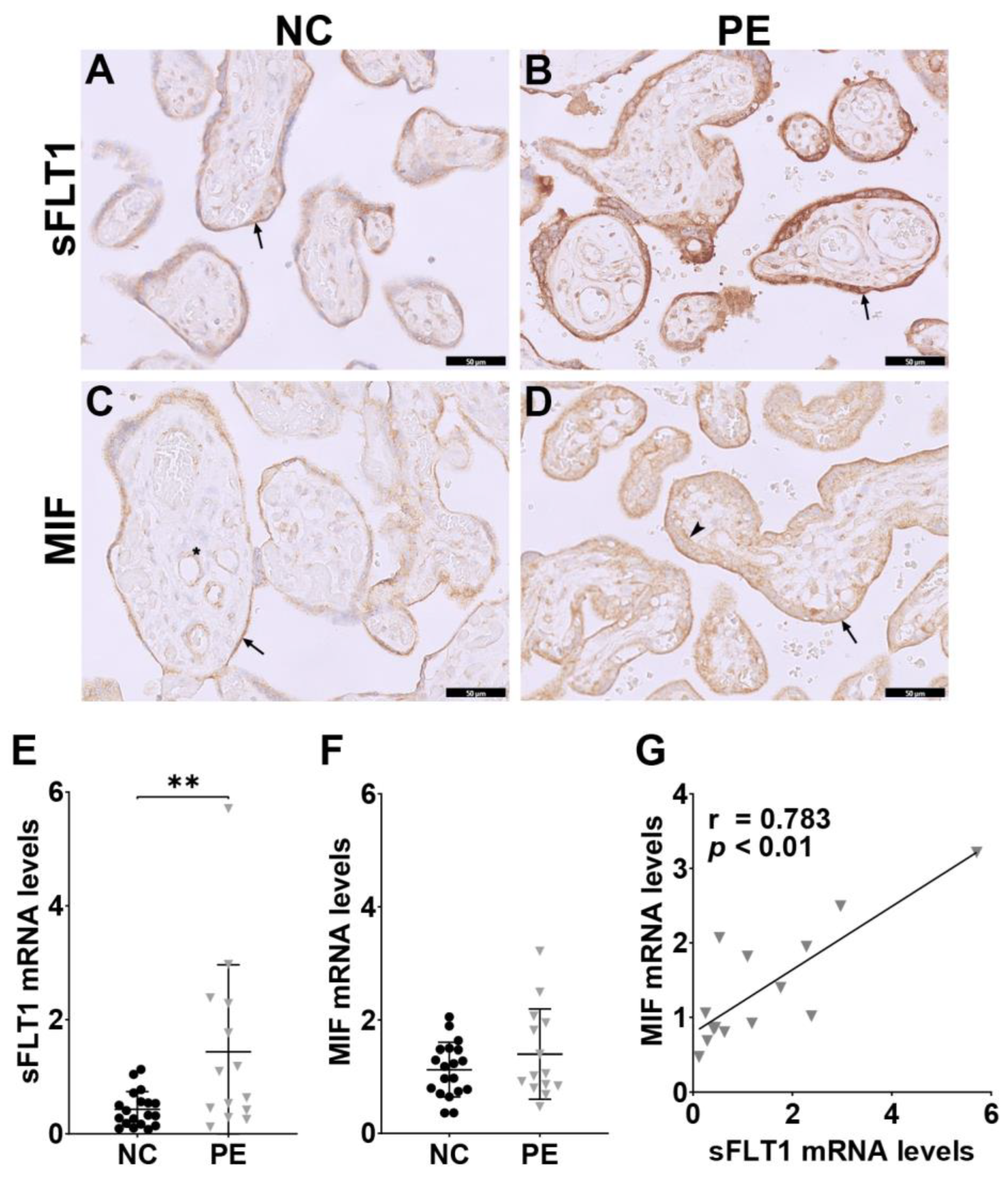
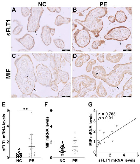
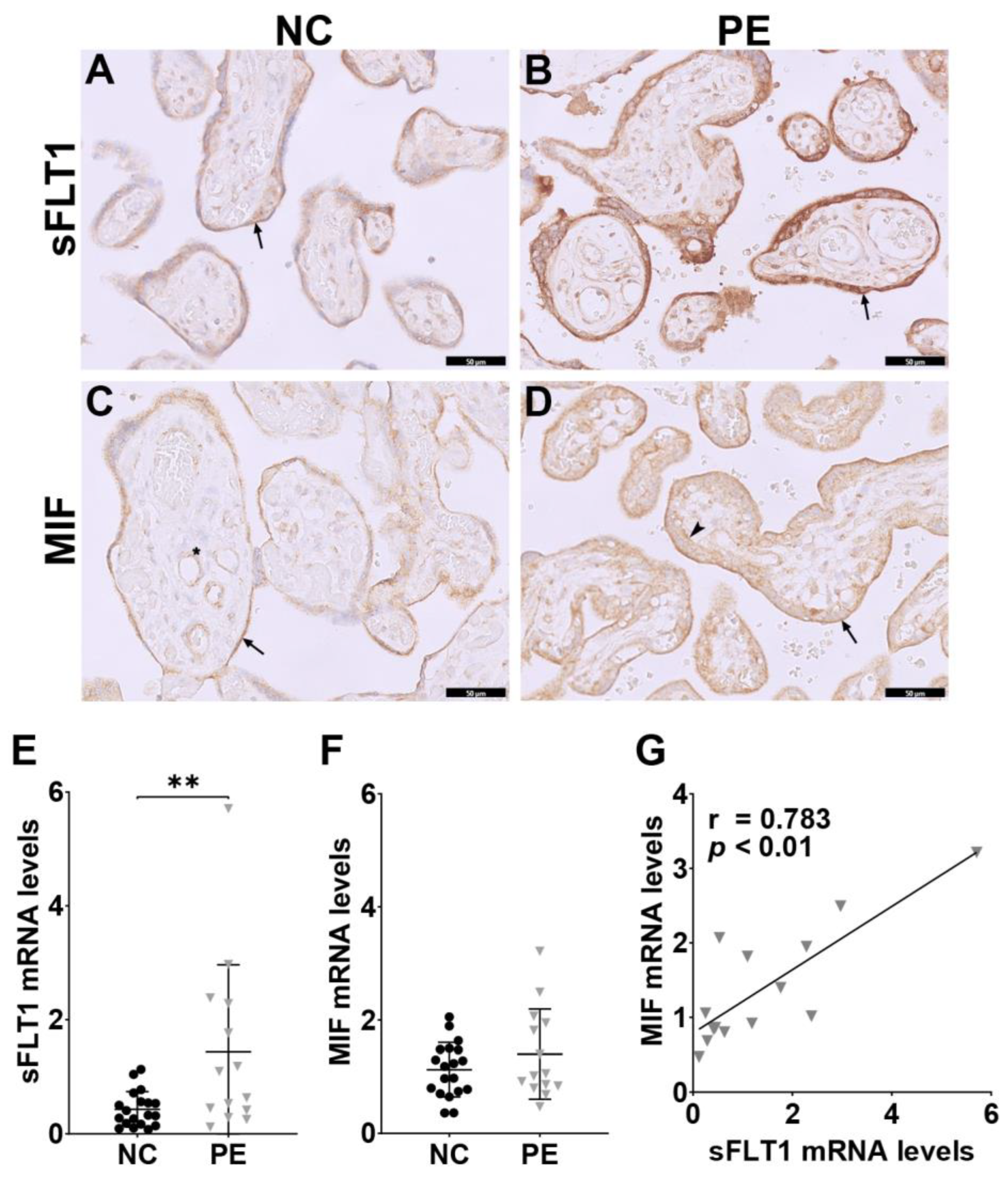
2.5. MIF Expression Correlates with sFLT1 Expression in Placentas from Preeclamptic Women
3. Discussion
4. Materials and Methods
4.1. Human Tissue Collection
4.2. Cell Culture and Differentiation
4.3. Quantitative PCR
4.4. Immunochemistry
4.5. Scoring of Sections
4.6. Statistical Analysis
Author Contributions
Funding
Institutional Review Board Statement
Informed Consent Statement
Data Availability Statement
Acknowledgments
Conflicts of Interest
References
- Hustin, J.; Jauniaux, E.; Schaaps, J.P. Histological study of the materno-embryonic interface in spontaneous abortion. Placenta 1990, 11, 477–486. [Google Scholar] [CrossRef]
- Labarrere, C.A.; Althabe, O.H. Inadequate maternal vascular response to placentation in pregnancies complicated by preeclampsia and by small-for-gestational-age infants. Br. J. Obstet. Gynaecol. 1987, 94, 1113–1116. [Google Scholar] [CrossRef]
- Farah, O.; Nguyen, C.; Tekkatte, C.; Parast, M.M. Trophoblast lineage-specific differentiation and associated alterations in preeclampsia and fetal growth restriction. Placenta 2020, 102, 4–9. [Google Scholar] [CrossRef]
- Xiao, Z.; Yan, L.; Liang, X.; Wang, H. Progress in deciphering trophoblast cell differentiation during human placentation. Curr. Opin. Cell Biol. 2020, 67, 86–91. [Google Scholar] [CrossRef] [PubMed]
- Xu, L.; Li, Y.; Sang, Y.; Li, D.J.; Du, M. Crosstalk Between Trophoblasts and Decidual Immune Cells: The Cornerstone of Maternal-Fetal Immunotolerance. Front. Immunol. 2021, 12, 642392. [Google Scholar] [CrossRef] [PubMed]
- Fuhler, G.M. The immune system and microbiome in pregnancy. Best Pract. Res. Clin. Gastroenterol. 2020, 44–45, 101671. [Google Scholar] [CrossRef] [PubMed]
- Perucci, L.O.; Correa, M.D.; Dusse, L.M.; Gomes, K.B.; Sousa, L.P. Resolution of inflammation pathways in preeclampsia–A narrative review. Immunol. Res. 2017, 65, 774–789. [Google Scholar] [CrossRef]
- Maynard, S.E.; Min, J.Y.; Merchan, J.; Lim, K.H.; Li, J.; Mondal, S.; Libermann, T.A.; Morgan, J.P.; Sellke, F.W.; Stillman, I.E.; et al. Excess placental soluble fms-like tyrosine kinase 1 (sFlt1) may contribute to endothelial dysfunction, hypertension, and proteinuria in preeclampsia. J. Clin. Investig. 2003, 111, 649–658. [Google Scholar] [CrossRef]
- Thadhani, R.; Kisner, T.; Hagmann, H.; Bossung, V.; Noack, S.; Schaarschmidt, W.; Jank, A.; Kribs, A.; Cornely, O.A.; Kreyssig, C.; et al. Pilot study of extracorporeal removal of soluble fms-like tyrosine kinase 1 in preeclampsia. Circulation 2011, 124, 940–950. [Google Scholar] [CrossRef]
- Levine, R.J.; Maynard, S.E.; Qian, C.; Lim, K.H.; England, L.J.; Yu, K.F.; Schisterman, E.F.; Thadhani, R.; Sachs, B.P.; Epstein, F.H.; et al. Circulating angiogenic factors and the risk of preeclampsia. N. Engl. J. Med. 2004, 350, 672–683. [Google Scholar] [CrossRef]
- Fan, X.; Rai, A.; Kambham, N.; Sung, J.F.; Singh, N.; Petitt, M.; Dhal, S.; Agrawal, R.; Sutton, R.E.; Druzin, M.L.; et al. Endometrial VEGF induces placental sFLT1 and leads to pregnancy complications. J. Clin. Investig. 2014, 124, 4941–4952. [Google Scholar] [CrossRef] [PubMed]
- Schonthaler, H.B.; Huggenberger, R.; Wculek, S.K.; Detmar, M.; Wagner, E.F. Systemic anti-VEGF treatment strongly reduces skin inflammation in a mouse model of psoriasis. Proc. Natl. Acad. Sci. USA 2009, 106, 21264–21269. [Google Scholar] [CrossRef]
- Bus, P.; Scharpfenecker, M.; Van Der Wilk, P.; Wolterbeek, R.; Bruijn, J.A.; Baelde, H.J. The VEGF-A inhibitor sFLT-1 improves renal function by reducing endothelial activation and inflammation in a mouse model of type 1 diabetes. Diabetologia 2017, 60, 1813–1821. [Google Scholar] [CrossRef] [PubMed]
- Nevo, O.; Soleymanlou, N.; Wu, Y.; Xu, J.; Kingdom, J.; Many, A.; Zamudio, S. Increased expression of sFlt-1 in in vivo and in vitro models of human placental hypoxia is mediated by HIF-1. Am. J. Physiol. Regul. Integr. Comp. Physiol. 2006, 291, R1085–R1093. [Google Scholar] [CrossRef]
- Parrish, M.R.; Murphy, S.R.; Rutland, S.; Wallace, K.; Wenzel, K.; Wallukat, G.; Keiser, S.; Ray, L.F.; Dechend, R.; Martin, J.N.; et al. The effect of immune factors, tumor necrosis factor-alpha, and agonistic autoantibodies to the angiotensin II type I receptor on soluble fms-like tyrosine-1 and soluble endoglin production in response to hypertension during pregnancy. Am. J. Hypertens. 2010, 23, 911–916. [Google Scholar] [CrossRef] [PubMed]
- Eubank, T.D.; Roberts, R.; Galloway, M.; Wang, Y.; Cohn, D.E.; Marsh, C.B. GM-CSF induces expression of soluble VEGF receptor-1 from human monocytes and inhibits angiogenesis in mice. Immunity 2004, 21, 831–842. [Google Scholar] [CrossRef]
- Xia, L.; Dong, Z.; Zhang, Y.; Zhang, X.; Song, X.; Sun, M.; Hu, Y.; Liu, S.; Wang, K.; Qu, X.; et al. Interleukin-4 and granulocyte-macrophage colony-stimulating factor mediates the upregulation of soluble vascular endothelial growth factor receptor-1 in RAW264.7 cells—A process in which p38 mitogen-activated protein kinase signaling has an important role. J. Microbiol. Immunol. Infect. 2016, 49, 344–351. [Google Scholar]
- Harris, J.; VanPatten, S.; Deen, N.S.; Al-Abed, Y.; Morand, E.F. Rediscovering MIF: New Tricks for an Old Cytokine. Trends Immunol. 2019, 40, 447–462. [Google Scholar] [CrossRef]
- Jankauskas, S.S.; Wong, D.W.L.; Bucala, R.; Djudjaj, S.; Boor, P. Evolving complexity of MIF signaling. Cell Signal 2019, 57, 76–88. [Google Scholar] [CrossRef]
- Krivokuca, M.J.; Vilotic, A.; Stefanoska, I.; Bojic-Trbojevic, Z.; Vicovac, L. Macrophage migration inhibitory factor in human early pregnancy events and association with placental pathologies. Placenta 2021, 116, 51–57. [Google Scholar] [CrossRef]
- Perveen, S.; Ayasolla, K.; Zagloul, N.; Patel, H.; Ochani, K.; Orner, D.; Benveniste, H.; Salerno, M.; Vaska, P.; Zuo, Z.; et al. MIF inhibition enhances pulmonary angiogenesis and lung development in congenital diaphragmatic hernia. Pediatr. Res. 2019, 85, 711–718. [Google Scholar] [CrossRef] [PubMed]
- Collier, A.R.Y.; Zsengeller, Z.; Pernicone, E.; Salahuddin, S.; Khankin, E.V.; Karumanchi, S.A. Placental sFLT1 is associated with complement activation and syncytiotrophoblast damage in preeclampsia. Hypertens. Pregnancy 2019, 38, 193–199. [Google Scholar] [CrossRef] [PubMed]
- Gaccioli, F.; Sovio, U.; Gong, S.; Cook, E.; Charnock-Jones, D.S.; Smith, G.C.S. Increased Placental sFLT1 (Soluble fms-Like Tyrosine Kinase Receptor-1) Drives the Antiangiogenic Profile of Maternal Serum Preceding Preeclampsia but Not Fetal Growth Restriction. Hypertension 2023, 80, 325–334. [Google Scholar] [CrossRef] [PubMed]
- Aletta, B.; Marlies, P.; Frans, P.; Joke, S.; Jan Antonie, B.; Augustine, R.; Kitty, B.; Ananth, K.; Hans, B. OP005. Preeclampsia is associated with the presence of transcriptionally active placental fragments in the maternal lung. Pregnancy Hypertens. 2013, 3, 64. [Google Scholar] [CrossRef] [PubMed]
- McMahon, K.; Karumanchi, S.A.; Stillman, I.E.; Cummings, P.; Patton, D.; Easterling, T. Does soluble fms-like tyrosine kinase-1 regulate placental invasion? Insight from the invasive placenta. Am. J. Obstet. Gynecol. 2014, 210, 68.e1–68.e4. [Google Scholar] [CrossRef] [PubMed]
- Nakakita, B.; Mogami, H.; Kondoh, E.; Tsukamoto, T.; Yanagita, M.; Konishi, I. Case of soluble fms-like tyrosine kinase 1 apheresis in severe pre-eclampsia developed at 15 weeks’ gestation. J. Obstet. Gynaecol. Res. 2015, 41, 1661–1663. [Google Scholar] [CrossRef]
- Parchem, J.G.; Kanasaki, K.; Kanasaki, M.; Sugimoto, H.; Xie, L.; Hamano, Y.; Lee, S.B.; Gattone, V.H.; Parry, S.; Strauss, J.F.; et al. Loss of placental growth factor ameliorates maternal hypertension and preeclampsia in mice. J. Clin. Investig. 2018, 128, 5008–5017. [Google Scholar] [CrossRef]
- Veras, E.; Kurman, R.J.; Wang, T.L.; Shih, I.M. PD-L1 Expression in Human Placentas and Gestational Trophoblastic Diseases. Int. J. Gynecol. Pathol. 2017, 36, 146–153. [Google Scholar] [CrossRef]
- Williams, M.M.; Richer, J.K. Revealing Molecular Mechanisms Supporting Trophoblast-Mediated Maternal Immune Tolerance. Endocrinology 2022, 163, bqac099. [Google Scholar] [CrossRef]
- Zhuang, B.; Shang, J.; Yao, Y. HLA-G: An Important Mediator of Maternal-Fetal Immune-Tolerance. Front. Immunol. 2021, 12, 744324. [Google Scholar] [CrossRef]
- van Aanhold, C.C.L.; Bus, P.; Zandbergen, M.; Bos, M.; Berbee, J.F.P.; Quint, K.D.; Bruijn, J.A.; Baelde, H.J. The Vascular Endothelial Growth Factor Inhibitor Soluble FLT-1 Ameliorates Atopic Dermatitis in APOC1 Transgenic Mice. J. Investig. Dermatol. 2020, 140, 491–494.e4. [Google Scholar] [CrossRef] [PubMed]
- Seno, A.; Takeda, Y.; Matsui, M.; Okuda, A.; Nakano, T.; Nakada, Y.; Kumazawa, T.; Nakagawa, H.; Nishida, T.; Onoue, K.; et al. Suppressed Production of Soluble Fms-Like Tyrosine Kinase-1 Contributes to Myocardial Remodeling and Heart Failure. Hypertension 2016, 68, 678–687. [Google Scholar] [CrossRef] [PubMed]
- Biscetti, F.; Flex, A.; Pecorini, G.; Angelini, F.; Arena, V.; Stigliano, E.; Gremese, E.; Tolusso, B.; Ferraccioli, G. The role of high-mobility group box protein 1 in collagen antibody-induced arthritis is dependent on vascular endothelial growth factor. Clin. Exp. Immunol. 2016, 184, 62–72. [Google Scholar] [CrossRef] [PubMed]
- Krivokuca, M.J.; Stefanoska, I.; Abu Rabi, T.; Al-Abed, Y.; Stosic-Grujicic, S.; Vicovac, L. Pharmacological inhibition of MIF interferes with trophoblast cell migration and invasiveness. Placenta 2015, 36, 150–159. [Google Scholar] [CrossRef] [PubMed]
- Vilotic, A.; Krivokuca, M.J.; Stefanoska, I.; Vrzic Petronijevic, S.; Petronijevic, M.; Vicovac, L. Macrophage migration inhibitory factor is involved in endovascular trophoblast cell function in vitro. EXCLI J. 2019, 18, Doc1007. [Google Scholar]
- Ietta, F.; Ferro, E.A.V.; Bevilacqua, E.; Benincasa, L.; Maioli, E.; Paulesu, L. Role of the Macrophage Migration Inhibitory Factor (MIF) in the survival of first trimester human placenta under induced stress conditions. Sci. Rep. 2018, 8, 12150. [Google Scholar] [CrossRef]
- Hristoskova, S.; Holzgreve, W.; Zhong, X.Y.; Hahn, S. Macrophage migration inhibition factor is elevated in pregnancy, but not to a greater extent in preeclampsia. Arch. Gynecol. Obstet. 2006, 274, 25–28. [Google Scholar] [CrossRef]
- Todros, T.; Bontempo, S.; Piccoli, E.; Ietta, F.; Romagnoli, R.; Biolcati, M.; Castellucci, M.; Paulesu, L. Increased levels of macrophage migration inhibitory factor (MIF) in preeclampsia. Eur. J. Obstet. Gynecol. Reprod. Biol. 2005, 123, 162–166. [Google Scholar] [CrossRef]
- Mahmoud, S.; Nasri, H.; Nasr, A.M.; Adam, I. Maternal and umbilical cord blood level of macrophage migration inhibitory factor and insulin like growth factor in Sudanese women with preeclampsia. J. Obstet. Gynaecol. 2019, 39, 63–67. [Google Scholar] [CrossRef]
- Arcuri, F.; Cintorino, M.; Carducci, A.; Papa, S.; Riparbelli, M.G.; Mangioni, S.; Di Blasio, A.M.; Tosi, P.; Vigano, P. Human decidual natural killer cells as a source and target of macrophage migration inhibitory factor. Reproduction 2006, 131, 175–182. [Google Scholar] [CrossRef]
- Zhou, C.C.; Ahmad, S.; Mi, T.; Xia, L.; Abbasi, S.; Hewett, P.W.; Sun, C.; Ahmed, A.; Kellems, R.E.; Xia, Y. Angiotensin II induces soluble fms-Like tyrosine kinase-1 release via calcineurin signaling pathway in pregnancy. Circ. Res. 2007, 100, 88–95. [Google Scholar] [CrossRef] [PubMed]
- Zhou, C.C.; Ahmad, S.; Mi, T.; Abbasi, S.; Xia, L.; Day, M.C.; Ramin, S.M.; Ahmed, A.; Kellems, R.E.; Xia, Y. Autoantibody from women with preeclampsia induces soluble Fms-like tyrosine kinase-1 production via angiotensin type 1 receptor and calcineurin/nuclear factor of activated T-cells signaling. Hypertension 2008, 51, 1010–1019. [Google Scholar] [CrossRef] [PubMed]
- MacDonald, T.M.; Walker, S.P.; Hannan, N.J.; Tong, S.; Kaitu’u-Lino, T.J. Clinical tools and biomarkers to predict preeclampsia. EBioMedicine 2022, 75, 103780. [Google Scholar] [CrossRef] [PubMed]
- Eikmans, M.; van der Keur, C.; Anholts, J.D.H.; Drabbels, J.J.M.; van Beelen, E.; de Sousa Lopes, S.M.C.; van der Hoorn, M.L. Primary Trophoblast Cultures: Characterization of HLA Profiles and Immune Cell Interactions. Front. Immunol. 2022, 13, 814019. [Google Scholar] [CrossRef]
- Van ‘t Hof, L.J.; Dijkstra, K.L.; van der Keur, C.; Eikmans, M.; Baelde, H.J.; Bos, M.; van der Hoorn, M.L.P. Decreased expression of ligands of placental immune checkpoint inhibitors in uncomplicated and preeclamptic oocyte donation pregnancies. J. Reprod. Immunol. 2020, 142, 103194. [Google Scholar] [CrossRef]
- Okae, H.; Toh, H.; Sato, T.; Hiura, H.; Takahashi, S.; Shirane, K.; Kabayama, Y.; Suyama, M.; Sasaki, H.; Arima, T. Derivation of Human Trophoblast Stem Cells. Cell Stem Cell 2018, 22, 50–63.e6. [Google Scholar] [CrossRef]





| Control (n = 19) | Preeclampsia (n = 14) | |
|---|---|---|
| Maternal age (years), mean ± SD | 32.2 ± 3.5 | 31.0 ± 6.7 |
| Gestational age (days), mean ± SD | 278.1 ± 6.8 | 220.2 ± 17.6 |
| Fetal gender (male), number (%) | 12 (63.2%) | 4 (28.6%) |
| Birth weight (grams), mean ± SD | 3450 ± 488 | 1435 ± 510 |
| Highest diastole (mmHg), mean ± SD | 71.5 ± 8.6 (n = 15) | 105.8 ± 8.2 (n = 14) |
| Proteinuria (present), number (%) | 0 (0%) (n = 4) | 14 (100%) (n = 14) |
Disclaimer/Publisher’s Note: The statements, opinions and data contained in all publications are solely those of the individual author(s) and contributor(s) and not of MDPI and/or the editor(s). MDPI and/or the editor(s) disclaim responsibility for any injury to people or property resulting from any ideas, methods, instructions or products referred to in the content. |
© 2023 by the authors. Licensee MDPI, Basel, Switzerland. This article is an open access article distributed under the terms and conditions of the Creative Commons Attribution (CC BY) license (https://creativecommons.org/licenses/by/4.0/).
Share and Cite
Yong, Q.; Dijkstra, K.L.; van der Keur, C.; Bruijn, J.A.; Eikmans, M.; Baelde, H.J. MIF Increases sFLT1 Expression in Early Uncomplicated Pregnancy and Preeclampsia. Int. J. Mol. Sci. 2023, 24, 10050. https://doi.org/10.3390/ijms241210050
Yong Q, Dijkstra KL, van der Keur C, Bruijn JA, Eikmans M, Baelde HJ. MIF Increases sFLT1 Expression in Early Uncomplicated Pregnancy and Preeclampsia. International Journal of Molecular Sciences. 2023; 24(12):10050. https://doi.org/10.3390/ijms241210050
Chicago/Turabian StyleYong, Qing, Kyra L. Dijkstra, Carin van der Keur, Jan A. Bruijn, Michael Eikmans, and Hans J. Baelde. 2023. "MIF Increases sFLT1 Expression in Early Uncomplicated Pregnancy and Preeclampsia" International Journal of Molecular Sciences 24, no. 12: 10050. https://doi.org/10.3390/ijms241210050
APA StyleYong, Q., Dijkstra, K. L., van der Keur, C., Bruijn, J. A., Eikmans, M., & Baelde, H. J. (2023). MIF Increases sFLT1 Expression in Early Uncomplicated Pregnancy and Preeclampsia. International Journal of Molecular Sciences, 24(12), 10050. https://doi.org/10.3390/ijms241210050

