Emission and Migration of Nanoscale Particles during Osseointegration and Disintegration of Dental Implants in the Clinic and Experiment and the Influence on Cytokine Production
Abstract
1. Introduction
2. Results
2.1. Results of Clinical Case Investigation
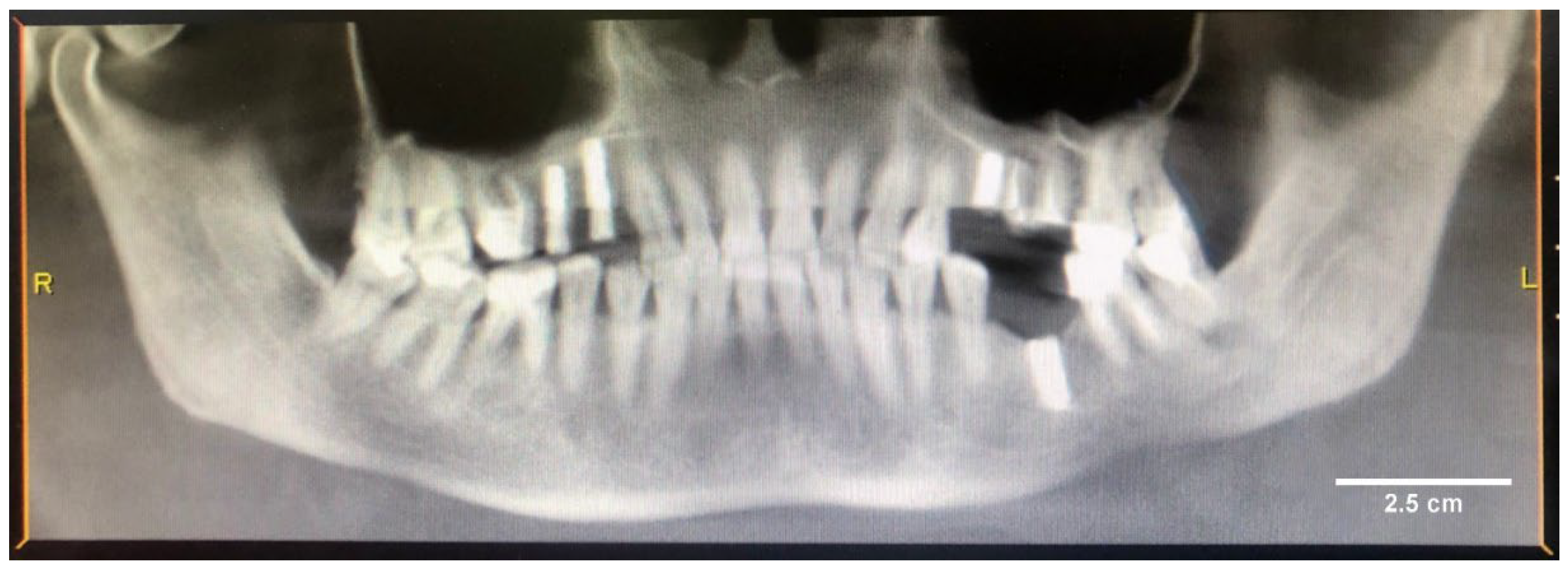
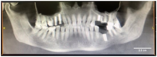
2.1.1. Results of X-ray and Electron Microscopic Studies
2.1.2. Results of Oral Microbiological Examination of Patient Sh. (Female, 52 Years Old)
2.1.3. Results of the Basophil Test of Patient Sh. (Female, 52 Years Old)
2.2. Results of Cytokine Production Studies, When Co-Culturing NSMP with Inflammatory Peritoneal Cell Exudate Obtained in the Mice Model of C57Bl/6J Inbred Line
3. Discussion
4. Materials and Methods
4.1. Clinical Case
4.2. X-ray Microtomography (XMCT)
- Mo tube (focus size 12 × 0.4 mm), 40 kV × 40 mA mode;
- Monochromator—Pyrolytic graphite, reflection (0002);
- Wavelength—0.71 Å (E = 17.5 keV);
- Detector—Ximea XiRay11 (pixel size 9 × 9 microns, field of view 36 × 24 mm);
- Exposure—4 s per projection;
- Measuring range—800 projections in 0.25° increments (0°–200°).
4.3. X-ray Fluorescence Analysis (XRF)
- Cu tube (focus size 12×2.0 mm), 40 kV × 40 mA mode;
- Monochromator—silicon (symmetrical), reflection (111);
- Wavelength—1.54 Å (E = 8.047 keV);
- Beam size—10.0×1.0 mm (slits adjustable);
- Detector—Amptek 123SDD (Amptek, Bedford, MA, USA);
- Exposure—1200 s per measurement.
- Ag tube (focus size 10 × 1.0 mm), 40 kV × 40 mA mode;
- Monochromator—silicon (symmetrical), reflection (111);
- Wavelength—0.55 Å (E = 22.162 keV);
- Beam size—10.0 × 1.0 mm (slits adjustable);
- Detector—Amptek 123SDD (Amptek, Bedford, MA, USA);
- Exposure—1200 s per measurement.
4.4. Methods of Scanning Electron Microscopy (SEM) and Transmission Electron Microscopy (TEM) with Energy Dispersive (ED) Analysis
4.5. Microbiological Study of the Oral Microbiota of Patient Sh. (Female, 52 Years Old)
4.6. Methodology for the Basophil Test
4.7. Experimental Laboratory Study
4.7.1. Preparation of a Suspension of Nanoscale Particles from the Surface of Dental Implant System Nobel Replace
4.7.2. Dynamic Light Scattering (DLS)
4.7.3. Experiment on the Interaction of NSMP with Cells of Proinflammatory Exudate Obtained by Reproducing a Classical Model of Peritonitis in a Mice Model Using Peptone Broth
5. Conclusions
Supplementary Materials
Author Contributions
Funding
Institutional Review Board Statement
Informed Consent Statement
Data Availability Statement
Conflicts of Interest
References
- Albrektsson, T.; Becker, W.; Coli, P.; Jemt, T.; Mölne, J.; Sennerby, L. Bone loss around oral and orthopedic implants: An immunologically based condition. Clin. Implant Dent. Relat. Res. 2019, 21, 786–795. [Google Scholar] [CrossRef]
- Albrektsson, T.; Tengvall, P.; Amengual, L.; Coli, P.; Kotsakis, G.A.; Cochran, D. Osteoimmune regulation underlies oral implant osseointegration and its perturbation. Front. Immunol. 2023, 13, 1056914. [Google Scholar] [CrossRef]
- Pettersson, M.; Almlin, S.; Romanos, G.E.; Johansson, A. Ti Ions Induce IL-1β Release by Activation of the NLRP3 Inflammasome in a Human Macrophage Cell Line. Inflammation 2022, 45, 2027–2037. [Google Scholar] [CrossRef] [PubMed]
- Asa’ad, F.; Thomsen, P.; Kunrath, M.F. The Role of Titanium Particles and Ions in the Pathogenesis of Peri-Implantitis. J. Bone Metab. 2022, 29, 145–154. [Google Scholar] [CrossRef]
- Callejas, J.A.; Brizuela, A.; Ríos-Carrasco, B.; Gil, J. The Characterization of Titanium Particles Released from Bone-Level Titanium Dental Implants: Effect of the Size of Particles on the Ion Release and Cytotoxicity Behaviour. Materials 2022, 15, 3636. [Google Scholar] [CrossRef]
- Suárez-López del Amo, F.; Garaicoa-Pazmiño, C.; Fretwurst, T.; Castilho, R.M.; Squarize, C.H. Dental implants-associated release of titanium particles: A systematic review. Clin. Oral Implant. Res. 2018, 29, 1085–1100. [Google Scholar] [CrossRef]
- Deepika, K.; Gupta, R.; Gill, S.; Dua, M. Risk Of Titanium Use In Dentistry-A Review Of Literature. Int. J. Med. Sci. Curr. Res. 2022, 5, 1061–1070. [Google Scholar]
- Labis, V.; Bazikyan, E.; Zhigalina, O.; Sizova, S.; Oleinikov, V.; Khmelenin, D.; Dyachkova, I.; Zolotov, D.; Buzmakov, A.; Asadchikov, V.; et al. Assessment of dental implant surface stability at the nanoscale level. Dent. Mater. 2022, 38, 924–934. [Google Scholar] [CrossRef] [PubMed]
- Labis, V.; Bazikyan, E.; Sizova, S.; Oleinikov, V.; Trulioff, A.; Serebriakova, M.; Kudryavtsev, I.; Zhigalina, O.; Khmelenin, D.; Dyachkova, I.; et al. Immunopathological Inflammation in the Evolution of Mucositis and Peri-Implantitis. Int. J. Mol. Sci. 2022, 23, 15797. [Google Scholar] [CrossRef]
- Labis, V.; Bazikyan, E.; Demin, D.; Dyachkova, I.; Zolotov, D.; Volkov, A.; Asadchikov, V.; Zhigalina, O.; Khmelenin, D.; Kuptsova, D.; et al. Cell-Molecular Interactions of Nano- and Microparticles in Dental Implantology. Int. J. Mol. Sci. 2023, 24, 2267. [Google Scholar] [CrossRef]
- Labis, V.V.; Bazikyan, E.A.; Volkov, A.V.; Sizova, S.V.; Khaydukov, S.V.; Asadchikov, V.E.; Buzmakov, A.V.; Kozlov, I.G. Role of immune mechanisms in oral microflora in the pathogenesis of periimplantitis. Bull. Orenbg. Sci. Center Ural branch Russ. Acad. Sci. 2019, 3, 1–15. [Google Scholar]
- Labis, V.; Bazikyan, E.; Manskih, V.; Sizova, S.; Khaidukov, S.; Kozlov, I. Study of migration of nano-dimensional metallic particles in the composition of supernatants on the model of inbreed mobiles BALB-CJ. Russ. J. Immunol. 2018, 12, 342–347. [Google Scholar] [CrossRef]
- Labis, V.V.; Manskikh, V.N.; Bazikyan, E.A.; Sizova, S.V.; Khajdukov, S.V.; Kozlov, I.G. Method for Modeling Aseptic Peritonitis. Patent for Invention. RU Patent 2737878C2, 4 December 2020. Available online: https://yandex.ru/patents/doc/RU2737878C2_20201204 (accessed on 24 April 2023).
- Fonseca, F.J.P.O.; Junior, M.M.; Lourenço, E.J.V.; de Moraes Teles, D.; Figueredo, C.M. Cytokines expression in saliva and peri-implant crevicular fluid of patients with peri-implant disease. Clin. Oral Implant. Res. 2014, 25, e68–e72. [Google Scholar] [CrossRef] [PubMed]
- Teixeira, M.K.S.; Lira-Junior, R.; Telles, D.M.; Lourenço, E.J.V.; Figueredo, C.M. Th17-related cytokines in mucositis: Is there any difference between peri-implantitis and periodontitis patients? Clin. Oral Implant. Res. 2017, 28, 816–822. [Google Scholar] [CrossRef]
- Jarczak, D.; Nierhaus, A. Cytokine Storm—Definition, Causes, and Implications. Int. J. Mol. Sci. 2022, 23, 11740. [Google Scholar] [CrossRef]
- Knox, S.; Hagvall, L.; Malmberg, P.; O’Boyle, N.M. Topical Application of Metal Allergens Induces Changes to Lipid Composition of Human Skin. Front. Toxicol. 2022, 4, 867163. [Google Scholar] [CrossRef] [PubMed]
- Müller-Heupt, L.K.; Schiegnitz, E.; Kaya, S.; Jacobi-Gresser, E.; Kämmerer, P.W.; Al-Nawas, B. Diagnostic tests for titanium hypersensitivity in implant dentistry: A systematic review of the literature. Int. J. Implant. Dent. 2022, 8, 29. [Google Scholar] [CrossRef]
- Müller-Heupt, L.K.; Schiegnitz, E.; Kaya, S.; Jacobi-Gresser, E.; Kämmerer, P.W.; Al-Nawas, B. The German S3 guideline on titanium hypersensitivity in implant dentistry: Consensus statements and recommendations. Int. J. Implant. Dent. 2022, 8, 51. [Google Scholar] [CrossRef]
- Zhou, Z.; Shi, Q.; Wang, J.; Chen, X.; Hao, Y.; Zhang, Y.; Wang, X. The unfavorable role of titanium particles released from dental implants. Nanotheranostics 2021, 5, 321–332. [Google Scholar] [CrossRef]
- Borgonovo, A.E.; Censi, R.; Vavassori, V.; Savio, M.; Re, D. A Possible Relationship between Peri-Implantitis, Titanium Hypersensitivity, and External Tooth Resorption: Metal-Free Alternative to Titanium Implants. Case Rep. Dent. 2021, 2021, 1–8. [Google Scholar] [CrossRef]
- Freitag, L.; Spinell, T.; Kröger, A.; Würfl, G.; Lauseker, M.; Hickel, R.; Kebschull, M. Dental implant material related changes in molecular signatures in peri-implantitis—A systematic review and integrative analysis of omics in-vitro studies. Dent. Mater. 2023, 39, 101–113. [Google Scholar] [CrossRef]
- Bazikyan, E.A.; Labis, V.V.; Kozlov, I.G.; Khaydukov, S.V.; Labis, Y.V. Patent for Invention. RU Patent 2611013 C, 17 February 2017. Available online: https://patentdb.ru/patent/2611013 (accessed on 24 April 2023).
- Materials of the Straumann Dental Implant System. Available online: https://www.straumann.com/en/dental-professionals/products-and-solutions/dental-implants/dental-implant-materials.html/ (accessed on 24 April 2023).
- Gong, J.; Forster, R.J.; Yu, H.; Chambers, J.R.; Wheatcroft, R.; Sabour, P.M.; Chen, S. Molecular analysis of bacterial populations in the ileum of broiler chickens and comparison with bacteria in the cecum. FEMS Microbiol. Ecol. 2002, 41, 171–179. [Google Scholar] [CrossRef]
- Jung, A.; Metzner, M.; Ryll, M. Comparison of pathogenic and non-pathogenic Enterococcus cecorum strains from different animal species. BMC Microbiol. 2017, 17, 33. [Google Scholar] [CrossRef]
- Warnke, P.; Köller, T.; Stoll, P.; Podbielski, A. Nosocomial infection due to Enteroccus cecorum identified by MALDI-TOF MS and Vitek 2 from a blood culture of a septic patient. Eur. J. Microbiol. Immunol. 2015, 5, 177–179. [Google Scholar] [CrossRef]
- Lundy, A.; Claudinon, A.; Tirolien, J.-A.; Plantefève, G.; Contou, D. Purpura fulminans due to Enterococcus cecorum in an asplenic patient. IDCases 2022, 29, e01522. [Google Scholar] [CrossRef] [PubMed]
- Buzmakov, A.V.; Asadchikov, V.E.; Zolotov, D.A.; Roshchin, B.S.; Dymshits, Y.M.; Shishkov, V.A.; Chukalina, M.V.; Ingacheva, A.S.; Ichalova, D.E.; Krivonosov, Y.S.; et al. Laboratory Microtomographs: Design and Data Processing Algorithms. Crystallogr. Rep. 2018, 63, 1057–1061. [Google Scholar] [CrossRef]
- Asadchikov, V.E.; Buzmakov, A.V.; Dymshits, Y.M.; Zolotov, D.A.; Shishkov, V.A. Installation For Topo-Tomographic Studies of Samples. Patent for Invention. RU Patent 2674584 C1, 15 December 2018. Available online: https://yandex.ru/patents/doc/RU2674584C1_20181211 (accessed on 24 April 2023).
- Gould, J.C. Quantity and quality in the diagnosis of urinary tract infections 1. Br. J. Urol. 1965, 37, 7–12. [Google Scholar] [CrossRef] [PubMed]
- Murphy, R.M. Static and dynamic light scattering of biological macromolecules: What can we learn? Curr. Opin. Biotechnol. 1997, 8, 25–30. [Google Scholar] [CrossRef]
- Shread, P.; Donovan, T.J.; Lee, J.V. A survey of the incidence of Aeromonas in human faeces. Soc. Gen. Microbiol. Q. 1981, 8, 184. [Google Scholar]






















| Group 1 Peritoneal Cellular Exudate Obtained on the First Day | Group 2 Peritoneal Cellular Exudate Obtained on the Third Day | ||||||
|---|---|---|---|---|---|---|---|
| Control 1 | Control 2 | Study 3 | Study 4 | Control 5 | Control 6 | Study 7 | Study 8 |
| Neutrophils (NP) | NP+ NSMP | NP+ LPS | NP+ LPS+ NSMP | Macrophages (MP) | MP+ NSMP | MP+ LPS | MP+ LPS+ NSMP |
Disclaimer/Publisher’s Note: The statements, opinions and data contained in all publications are solely those of the individual author(s) and contributor(s) and not of MDPI and/or the editor(s). MDPI and/or the editor(s) disclaim responsibility for any injury to people or property resulting from any ideas, methods, instructions or products referred to in the content. |
© 2023 by the authors. Licensee MDPI, Basel, Switzerland. This article is an open access article distributed under the terms and conditions of the Creative Commons Attribution (CC BY) license (https://creativecommons.org/licenses/by/4.0/).
Share and Cite
Labis, V.; Bazikyan, E.; Sizova, S.; Oleinikov, V.; Trulioff, A.; Serebriakova, M.; Kudryavtsev, I.; Khmelenin, D.; Zhigalina, O.; Dyachkova, I.; et al. Emission and Migration of Nanoscale Particles during Osseointegration and Disintegration of Dental Implants in the Clinic and Experiment and the Influence on Cytokine Production. Int. J. Mol. Sci. 2023, 24, 9678. https://doi.org/10.3390/ijms24119678
Labis V, Bazikyan E, Sizova S, Oleinikov V, Trulioff A, Serebriakova M, Kudryavtsev I, Khmelenin D, Zhigalina O, Dyachkova I, et al. Emission and Migration of Nanoscale Particles during Osseointegration and Disintegration of Dental Implants in the Clinic and Experiment and the Influence on Cytokine Production. International Journal of Molecular Sciences. 2023; 24(11):9678. https://doi.org/10.3390/ijms24119678
Chicago/Turabian StyleLabis, Varvara, Ernest Bazikyan, Svetlana Sizova, Vladimir Oleinikov, Andrey Trulioff, Maria Serebriakova, Igor Kudryavtsev, Dmitry Khmelenin, Olga Zhigalina, Irina Dyachkova, and et al. 2023. "Emission and Migration of Nanoscale Particles during Osseointegration and Disintegration of Dental Implants in the Clinic and Experiment and the Influence on Cytokine Production" International Journal of Molecular Sciences 24, no. 11: 9678. https://doi.org/10.3390/ijms24119678
APA StyleLabis, V., Bazikyan, E., Sizova, S., Oleinikov, V., Trulioff, A., Serebriakova, M., Kudryavtsev, I., Khmelenin, D., Zhigalina, O., Dyachkova, I., Zolotov, D., Asadchikov, V., Mrugova, T., Zurochka, A., Khaidukov, S., & Kozlov, I. G. (2023). Emission and Migration of Nanoscale Particles during Osseointegration and Disintegration of Dental Implants in the Clinic and Experiment and the Influence on Cytokine Production. International Journal of Molecular Sciences, 24(11), 9678. https://doi.org/10.3390/ijms24119678

