mTOR Regulation of N-Myc Downstream Regulated 1 (NDRG1) Phosphorylation in Clear Cell Renal Cell Carcinoma
Abstract
1. Introduction
2. Results
2.1. Differentially Expressed Proteins and Phospho-Proteins in ccRCC
2.2. Total NDRG1 Protein and Phospho-NDRG1 (Thr346) Are Increased in ccRCC
2.3. Reducing RICTOR Causes a Reduction in Total NDRG1 Protein and Phospho-NDRG1 (Thr346) in ccRCC Cells
2.4. Concurrent Inhibition of mTOR in Complex 1 and Complex 2 Decreases the Levels of Phospho-NDRG1 (Thr346) in ccRCC Cells
Inhibition of mTORC1 Has No Impact on the Levels of Phospho-NDRG1 (Thr346)
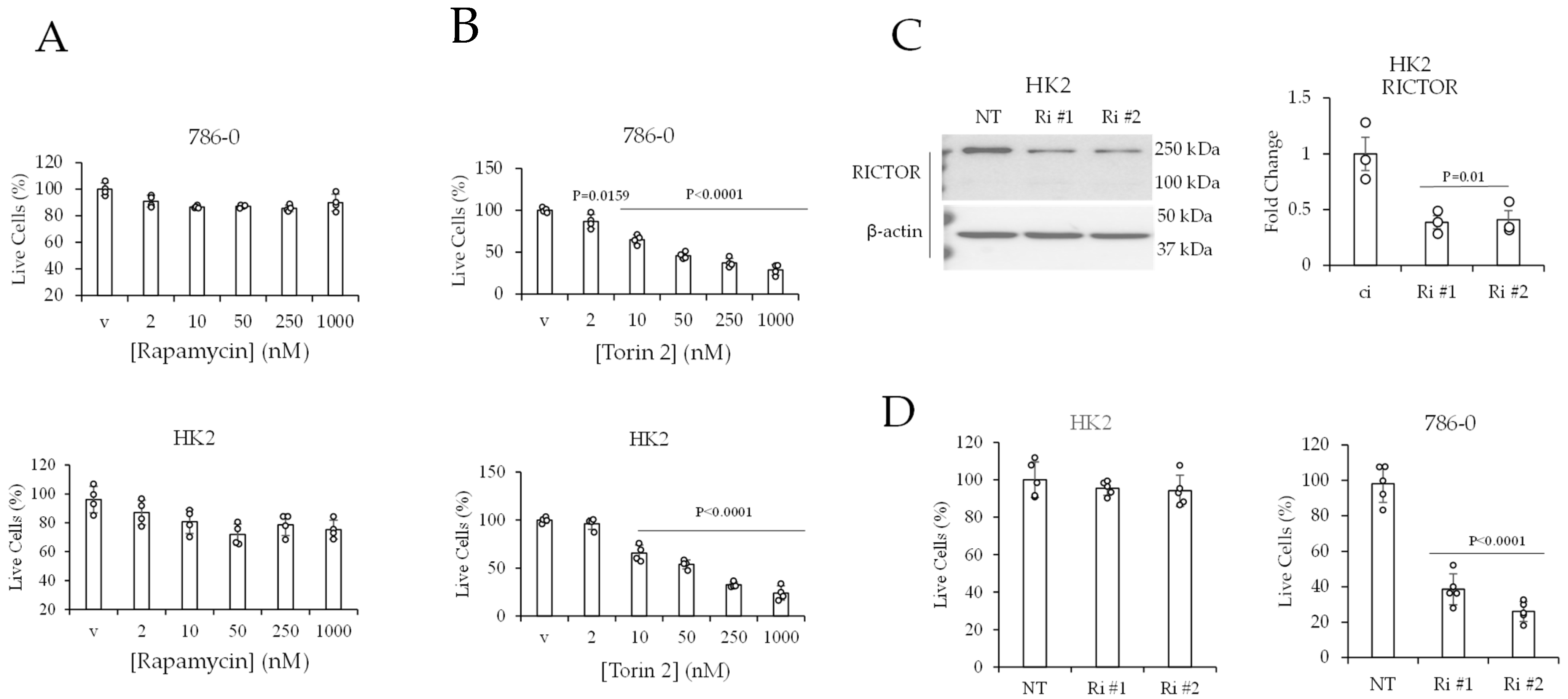
2.5. mTOR and RICTOR Promote the Viability of ccRCC Cells
Torin 2 Stimulates Apoptosis in 786-0 Cells
3. Discussion
4. Materials and Methods
4.1. Reagents and Cell Culture
4.2. Tissue Samples
4.3. Reverse-Phase Protein Array
4.4. Western Blot
4.5. Reverse Transcription and Real-Time Polymerase Chain Reaction (RT-qPCR)
4.6. Live–Dead Assays
4.7. Statistical Methods
Author Contributions
Funding
Institutional Review Board Statement
Informed Consent Statement
Data Availability Statement
Conflicts of Interest
References
- Saad, A.M.; Gad, M.M.; Al-Husseini, M.J.; Ruhban, I.A.; Sonbol, M.B.; Ho, T.H. Trends in Renal-Cell Carcinoma Incidence and Mortality in the United States in the Last 2 Decades: A SEER-Based Study. Clin. Genitourin. Cancer 2019, 17, 46–57.e5. [Google Scholar] [CrossRef] [PubMed]
- Motzer, R.J.; Bander, N.H.; Nanus, D.M. Renal-cell carcinoma. N. Engl. J. Med. 1996, 335, 865–875. [Google Scholar] [CrossRef]
- Muglia, V.F.; Prando, A. Renal cell carcinoma: Histological classification and correlation with imaging findings. Radiol. Bras. 2015, 48, 166–174. [Google Scholar] [CrossRef] [PubMed]
- Choueiri, T.K.; Motzer, R.J. Systemic Therapy for Metastatic Renal-Cell Carcinoma. N. Engl. J. Med. 2017, 376, 354–366. [Google Scholar] [CrossRef] [PubMed]
- Mancini, M.; Righetto, M.; Baggio, G. Gender-Related Approach to Kidney Cancer Management: Moving Forward. Int. J. Mol. Sci. 2020, 21, 3378. [Google Scholar] [CrossRef] [PubMed]
- Peired, A.J.; Campi, R.; Angelotti, M.L.; Antonelli, G.; Conte, C.; Lazzeri, E.; Becherucci, F.; Calistri, L.; Serni, S.; Romagnani, P. Sex and Gender Differences in Kidney Cancer: Clinical and Experimental Evidence. Cancers 2021, 13, 4588. [Google Scholar] [CrossRef]
- Cohen, H.T.; McGovern, F.J. Renal-cell carcinoma. N. Engl. J. Med. 2005, 353, 2477–2490. [Google Scholar] [CrossRef]
- Callahan, C.L.; Schwartz, K.; Corley, D.A.; Ruterbusch, J.J.; Zhao, W.K.; Shuch, B.; Graubard, B.I.; Rothman, N.; Chow, W.H.; Silverman, D.T.; et al. Understanding racial disparities in renal cell carcinoma incidence: Estimates of population attributable risk in two US populations. Cancer Causes Control 2020, 31, 85–93. [Google Scholar] [CrossRef]
- Lipworth, L.; McLaughlin, J.K.; Tarone, R.E.; Blot, W.J. Renal cancer paradox: Higher incidence but not higher mortality among African-Americans. Eur. J. Cancer Prev. 2011, 20, 331–333. [Google Scholar] [CrossRef]
- Zoncu, R.; Efeyan, A.; Sabatini, D.M. mTOR: From growth signal integration to cancer, diabetes and ageing. Nat. Rev. Mol. Cell Biol. 2011, 12, 21–35. [Google Scholar] [CrossRef]
- Saxton, R.A.; Sabatini, D.M. mTOR Signaling in Growth, Metabolism, and Disease. Cell 2017, 168, 960–976. [Google Scholar] [CrossRef] [PubMed]
- Liu, G.Y.; Sabatini, D.M. mTOR at the nexus of nutrition, growth, ageing and disease. Nat. Rev. Mol. Cell Biol. 2020, 21, 183–203. [Google Scholar] [CrossRef] [PubMed]
- Laplante, M.; Sabatini, D.M. mTOR Signaling. Cold Spring Harb. Perspect. Biol. 2012, 4, a011593. [Google Scholar] [CrossRef] [PubMed]
- Aylett, C.H.; Sauer, E.; Imseng, S.; Boehringer, D.; Hall, M.N.; Ban, N.; Maier, T. Architecture of human mTOR complex 1. Science 2016, 351, 48–52. [Google Scholar] [CrossRef] [PubMed]
- Bracho-Valdés, I.; Moreno-Alvarez, P.; Valencia-Martínez, I.; Robles-Molina, E.; Chávez-Vargas, L.; Vázquez-Prado, J. mTORC1- and mTORC2-interacting proteins keep their multifunctional partners focused. IUBMB Life 2011, 63, 896–914. [Google Scholar] [CrossRef] [PubMed]
- Jewell, J.L.; Russell, R.C.; Guan, K.L. Amino acid signalling upstream of mTOR. Nat. Rev. Mol. Cell Biol. 2013, 14, 133–139. [Google Scholar] [CrossRef] [PubMed]
- Fu, W.; Hall, M.N. Regulation of mTORC2 Signaling. Genes 2020, 11, 1045. [Google Scholar] [CrossRef]
- Kim, D.H.; Sarbassov, D.D.; Ali, S.M.; King, J.E.; Latek, R.R.; Erdjument-Bromage, H.; Tempst, P.; Sabatini, D.M. mTOR interacts with raptor to form a nutrient-sensitive complex that signals to the cell growth machinery. Cell 2002, 110, 163–175. [Google Scholar] [CrossRef]
- Sarbassov, D.D.; Ali, S.M.; Kim, D.H.; Guertin, D.A.; Latek, R.R.; Erdjument-Bromage, H.; Tempst, P.; Sabatini, D.M. Rictor, a novel binding partner of mTOR, defines a rapamycin-insensitive and raptor-independent pathway that regulates the cytoskeleton. Curr. Biol. 2004, 14, 1296–1302. [Google Scholar] [CrossRef]
- Mitchell, T.J.; Turajlic, S.; Rowan, A.; Nicol, D.; Farmery, J.H.R.; O’Brien, T.; Martincorena, I.; Tarpey, P.; Angelopoulos, N.; Yates, L.R.; et al. Timing the Landmark Events in the Evolution of Clear Cell Renal Cell Cancer: TRACERx Renal. Cell 2018, 173, 611–623.e617. [Google Scholar] [CrossRef]
- Sato, Y.; Yoshizato, T.; Shiraishi, Y.; Maekawa, S.; Okuno, Y.; Kamura, T.; Shimamura, T.; Sato-Otsubo, A.; Nagae, G.; Suzuki, H.; et al. Integrated molecular analysis of clear-cell renal cell carcinoma. Nat. Genet. 2013, 45, 860–867. [Google Scholar] [CrossRef] [PubMed]
- Ricketts, C.J.; De Cubas, A.A.; Fan, H.; Smith, C.C.; Lang, M.; Reznik, E.; Bowlby, R.; Gibb, E.A.; Akbani, R.; Beroukhim, R.; et al. The Cancer Genome Atlas Comprehensive Molecular Characterization of Renal Cell Carcinoma. Cell Rep. 2018, 23, 313–326.e315. [Google Scholar] [CrossRef] [PubMed]
- Kaelin, W.G., Jr. The VHL Tumor Suppressor Gene: Insights into Oxygen Sensing and Cancer. Trans. Am. Clin. Climatol. Assoc. 2017, 128, 298–307. [Google Scholar] [PubMed]
- Krieg, M.; Haas, R.; Brauch, H.; Acker, T.; Flamme, I.; Plate, K.H. Up-regulation of hypoxia-inducible factors HIF-1alpha and HIF-2alpha under normoxic conditions in renal carcinoma cells by von Hippel-Lindau tumor suppressor gene loss of function. Oncogene 2000, 19, 5435–5443. [Google Scholar] [CrossRef]
- Yao, X.; Tan, J.; Lim, K.J.; Koh, J.; Ooi, W.F.; Li, Z.; Huang, D.; Xing, M.; Chan, Y.S.; Qu, J.Z.; et al. VHL Deficiency Drives Enhancer Activation of Oncogenes in Clear Cell Renal Cell Carcinoma. Cancer Discov. 2017, 7, 1284–1305. [Google Scholar] [CrossRef]
- Pezzuto, A.; Carico, E. Role of HIF-1 in Cancer Progression: Novel Insights. A Review. Curr. Mol. Med. 2018, 18, 343–351. [Google Scholar] [CrossRef]
- Trinh, X.B.; Tjalma, W.A.; Vermeulen, P.B.; Van den Eynden, G.; Van der Auwera, I.; Van Laere, S.J.; Helleman, J.; Berns, E.M.; Dirix, L.Y.; van Dam, P.A. The VEGF pathway and the AKT/mTOR/p70S6K1 signalling pathway in human epithelial ovarian cancer. Br. J. Cancer 2009, 100, 971–978. [Google Scholar] [CrossRef]
- Duran, I.; Lambea, J.; Maroto, P.; González-Larriba, J.L.; Flores, L.; Granados-Principal, S.; Graupera, M.; Sáez, B.; Vivancos, A.; Casanovas, O. Resistance to Targeted Therapies in Renal Cancer: The Importance of Changing the Mechanism of Action. Target Oncol. 2017, 12, 19–35. [Google Scholar] [CrossRef]
- Rodriguez-Pascual, J.; Cheng, E.; Maroto, P.; Duran, I. Emergent toxicities associated with the use of mTOR inhibitors in patients with advanced renal carcinoma. Anticancer Drugs 2010, 21, 478–486. [Google Scholar] [CrossRef]
- Rugo, H.S.; Hortobagyi, G.N.; Yao, J.; Pavel, M.; Ravaud, A.; Franz, D.; Ringeisen, F.; Gallo, J.; Rouyrre, N.; Anak, O.; et al. Meta-analysis of stomatitis in clinical studies of everolimus: Incidence and relationship with efficacy. Ann. Oncol. 2016, 27, 519–525. [Google Scholar] [CrossRef]
- Synold, T.W.; Plets, M.; Tangen, C.M.; Heath, E.I.; Palapattu, G.S.; Mack, P.C.; Stein, M.N.; Meng, M.V.; Lara, P.; Vogelzang, N.J.; et al. Everolimus Exposure as a Predictor of Toxicity in Renal Cell Cancer Patients in the Adjuvant Setting: Results of a Pharmacokinetic Analysis for SWOG S0931 (EVEREST), a Phase III Study (NCT01120249). Kidney Cancer 2019, 3, 111–118. [Google Scholar] [CrossRef]
- Jhanwar-Uniyal, M.; Amin, A.G.; Cooper, J.B.; Das, K.; Schmidt, M.H.; Murali, R. Discrete signaling mechanisms of mTORC1 and mTORC2: Connected yet apart in cellular and molecular aspects. Adv. Biol. Regul. 2017, 64, 39–48. [Google Scholar] [CrossRef]
- Shi, Z.; Wulfkuhle, J.; Nowicka, M.; Gallagher, R.I.; Saura, C.; Nuciforo, P.G.; Calvo, I.; Andersen, J.; Passos-Coelho, J.L.; Gil-Gil, M.J.; et al. Functional Mapping of AKT Signaling and Biomarkers of Response from the FAIRLANE Trial of Neoadjuvant Ipatasertib plus Paclitaxel for Triple-Negative Breast Cancer. Clin. Cancer Res. 2022, 28, 993–1003. [Google Scholar] [CrossRef] [PubMed]
- Weiler, M.; Blaes, J.; Pusch, S.; Sahm, F.; Czabanka, M.; Luger, S.; Bunse, L.; Solecki, G.; Eichwald, V.; Jugold, M.; et al. mTOR target NDRG1 confers MGMT-dependent resistance to alkylating chemotherapy. Proc. Natl. Acad. Sci. USA 2014, 111, 409–414. [Google Scholar] [CrossRef] [PubMed]
- Brodaczewska, K.K.; Szczylik, C.; Fiedorowicz, M.; Porta, C.; Czarnecka, A.M. Choosing the right cell line for renal cell cancer research. Mol. Cancer 2016, 15, 83. [Google Scholar] [CrossRef] [PubMed]
- Sarbassov, D.D.; Ali, S.M.; Sengupta, S.; Sheen, J.H.; Hsu, P.P.; Bagley, A.F.; Markhard, A.L.; Sabatini, D.M. Prolonged rapamycin treatment inhibits mTORC2 assembly and Akt/PKB. Mol. Cell 2006, 22, 159–168. [Google Scholar] [CrossRef] [PubMed]
- Liu, Q.; Wang, J.; Kang, S.A.; Thoreen, C.C.; Hur, W.; Ahmed, T.; Sabatini, D.M.; Gray, N.S. Discovery of 9-(6-aminopyridin-3-yl)-1-(3-(trifluoromethyl)phenyl)benzo[h][1,6]naphthyridin-2(1H)-one (Torin2) as a potent, selective, and orally available mammalian target of rapamycin (mTOR) inhibitor for treatment of cancer. J. Med. Chem. 2011, 54, 1473–1480. [Google Scholar] [CrossRef]
- Oliver, F.J.; de la Rubia, G.; Rolli, V.; Ruiz-Ruiz, M.C.; de Murcia, G.; Murcia, J.M. Importance of poly(ADP-ribose) polymerase and its cleavage in apoptosis. Lesson from an uncleavable mutant. J. Biol. Chem. 1998, 273, 33533–33539. [Google Scholar] [CrossRef]
- Baldwin, E.L.; Osheroff, N. Etoposide, topoisomerase II and cancer. Curr. Med. Chem. Anticancer Agents 2005, 5, 363–372. [Google Scholar] [CrossRef]
- Bae, D.H.; Jansson, P.J.; Huang, M.L.; Kovacevic, Z.; Kalinowski, D.; Lee, C.S.; Sahni, S.; Richardson, D.R. The role of NDRG1 in the pathology and potential treatment of human cancers. J. Clin. Pathol. 2013, 66, 911–917. [Google Scholar] [CrossRef]
- Guo, D.D.; Xie, K.F.; Luo, X.J. Hypoxia-induced elevated NDRG1 mediates apoptosis through reprograming mitochondrial fission in HCC. Gene 2020, 741, 144552. [Google Scholar] [CrossRef] [PubMed]
- Jung, E.U.; Yoon, J.H.; Lee, Y.J.; Lee, J.H.; Kim, B.H.; Yu, S.J.; Myung, S.J.; Kim, Y.J.; Lee, H.S. Hypoxia and retinoic acid-inducible NDRG1 expression is responsible for doxorubicin and retinoic acid resistance in hepatocellular carcinoma cells. Cancer Lett. 2010, 298, 9–15. [Google Scholar] [CrossRef]
- García-Martínez, J.M.; Alessi, D.R. mTOR complex 2 (mTORC2) controls hydrophobic motif phosphorylation and activation of serum- and glucocorticoid-induced protein kinase 1 (SGK1). Biochem. J. 2008, 416, 375–385. [Google Scholar] [CrossRef] [PubMed]
- Zhang, Z.Y.; Zhang, S.L.; Chen, H.L.; Mao, Y.Q.; Li, Z.M.; Kong, C.Y.; Han, B.; Zhang, J.; Chen, Y.H.; Xue, W.; et al. The up-regulation of NDRG1 by HIF counteracts the cancer-promoting effect of HIF in VHL-deficient clear cell renal cell carcinoma. Cell Prolif. 2020, 53, e12853. [Google Scholar] [CrossRef] [PubMed]
- Hosoya, N.; Sakumoto, M.; Nakamura, Y.; Narisawa, T.; Bilim, V.; Motoyama, T.; Tomita, Y.; Kondo, T. Proteomics identified nuclear N-myc downstream-regulated gene 1 as a prognostic tissue biomarker candidate in renal cell carcinoma. Biochim. Biophys. Acta 2013, 1834, 2630–2639. [Google Scholar] [CrossRef] [PubMed]
- Kovacevic, Z.; Chikhani, S.; Lovejoy, D.B.; Richardson, D.R. Novel thiosemicarbazone iron chelators induce up-regulation and phosphorylation of the metastasis suppressor N-myc down-stream regulated gene 1: A new strategy for the treatment of pancreatic cancer. Mol. Pharmacol. 2011, 80, 598–609. [Google Scholar] [CrossRef] [PubMed]
- Chekmarev, J.; Azad, M.G.; Richardson, D.R. The Oncogenic Signaling Disruptor, NDRG1: Molecular and Cellular Mechanisms of Activity. Cells 2021, 10, 2382. [Google Scholar] [CrossRef]
- Gkountakos, A.; Pilotto, S.; Mafficini, A.; Vicentini, C.; Simbolo, M.; Milella, M.; Tortora, G.; Scarpa, A.; Bria, E.; Corbo, V. Unmasking the impact of Rictor in cancer: Novel insights of mTORC2 complex. Carcinogenesis 2018, 39, 971–980. [Google Scholar] [CrossRef]






| Protein | Fold Change | FDR (BH) 1 |
|---|---|---|
| Mitochondrially Encoded Cytochrome C Oxidase I | 5.861 Decreased | 0.0002079 |
| L1 Cell Adhesion Molecule | 5.786 Decreased | 0.0004514 |
| Hexokinase 2 | 4.826 Increased | 0.0012272 |
| Mucin 1, Cell Surface Associated | 3.37 Decreased | 0.0002613 |
| phospho-N-Myc Downstream Regulated 1 (Thr346) | 3.298 Increased | 0.0027587 |
| phospho-Glycogen Synthase 1 (S641) | 3.189 Increased | 0.0013911 |
| UDP Glucuronosyltransferase Family 1 Member A Complex | 2.79 Decreased | 0.0007309 |
| Succinate Dehydrogenase Complex Iron–Sulfur Subunit B | 2.603 Decreased | 0.0003587 |
| Cadherin 1 | 2.516 Decreased | 0.0000798 |
| Claudin 7 | 2.336 Decreased | 0.0007309 |
| Cyclophilin D | 2.318 Decreased | 0.0007309 |
| Pyruvate Kinase M1/2 | 2.285 Increased | 0.0082690 |
| Lactate Dehydrogenase A | 2.122 Increased | 0.0067436 |
| Cytochrome C Oxidase Subunit 4I1 | 2.11 Decreased | 0.0005251 |
| Glycogen Synthase 1 | 2.076 Increased | 0.0066912 |
| Ladinin 1 | 1.973 Decreased | 0.0010417 |
| Ubiquinol-Cytochrome C Reductase Core Protein 2 | 1.907 Decreased | 0.0005251 |
| Glutaminase | 1.904 Decreased | 0.0007309 |
| RAB25, Member RAS Oncogene Family | 1.868 Decreased | 0.0002079 |
| Succinate Dehydrogenase Complex Flavoprotein Subunit A | 1.851 Decreased | 0.0008878 |
| Heat Shock Protein Family A (Hsp70) Member 1A | 1.833 Increased | 0.0021894 |
| Heat Shock Factor Binding Protein 1 | 1.81 Increased | 0.0028349 |
| Tyrosine 3-Monooxygenase/Tryptophan 5-Monooxygenase Activation Protein Epsilon | 1.8 Decreased | 0.0005230 |
| Carbonic Anhydrase 9 | 1.798 Increased | 0.0013911 |
| ATP Synthase F1 Subunit Alpha | 1.798 Decreased | 0.0006969 |
| phospho-Proline-Rich Akt Substrate, 40 Kd (Thr346) | 1.732 Increased | 0.0008642 |
| Histone-H3 | 1.729 Increased | 0.0064733 |
| Glutamate Dehydrogenase 1 | 1.72 Decreased | 0.0020744 |
| Mitofusin 2 | 1.702 Decreased | 0.0005251 |
| Gap Junction Protein Alpha 1 | 1.672 Increased | 0.0008768 |
| Indoleamine 2,3-Dioxygenase 1 | 1.67 Increased | 0.0327598 |
| phospho-p44/42 MAPK (Erk1/2) (Thr202/Tyr204) | 1.645 Increased | 0.0075331 |
| H2B Clustered Histone 3 | 1.642 Increased | 0.0028756 |
| Solute Carrier Family 16 Member 3 | 1.625 Increased | 0.0030439 |
| Serpin Family E Member 1 | 1.605 Increased | 0.0266041 |
| Dipeptidyl Peptidase 4 | 1.571 Decreased | 0.0050791 |
| Autophagy Related 7 | 1.561 Decreased | 0.0006969 |
| Phosphoglycerate Dehydrogenase | 1.553 Decreased | 0.0029476 |
| XPA, DNA Damage Recognition and Repair Factor | 1.549 Increased | 0.0019721 |
| Fibronectin 1 | 1.545 Increased | 0.0166762 |
| Transcription Factor A, Mitochondrial | 1.532 Decreased | 0.0004514 |
| Phospho-Glycogen Synthase Kinase 3 alpha/beta (Ser21/9) | 1.523 Increased | 0.0003587 |
| Solute Carrier Family 1 Member 5 | 1.516 Decreased | 0.0020998 |
| Vav Guanine Nucleotide Exchange Factor 1 | 1.516 Increased | 0.0180443 |
| Protein Tyrosine Kinase 2 Beta | 1.508 Decreased | 0.0006910 |
| Dual Specificity Phosphatase 4 | 1.502 Decreased | 0.0006005 |
| phospho-Yes1 Associated Transcriptional Regulator (S127) | 1.5 Increased | 0.0098237 |
Disclaimer/Publisher’s Note: The statements, opinions and data contained in all publications are solely those of the individual author(s) and contributor(s) and not of MDPI and/or the editor(s). MDPI and/or the editor(s) disclaim responsibility for any injury to people or property resulting from any ideas, methods, instructions or products referred to in the content. |
© 2023 by the authors. Licensee MDPI, Basel, Switzerland. This article is an open access article distributed under the terms and conditions of the Creative Commons Attribution (CC BY) license (https://creativecommons.org/licenses/by/4.0/).
Share and Cite
Valluri, A.; Wellman, J.; McCallister, C.L.; Brown, K.C.; Lawrence, L.; Russell, R.; Jensen, J.; Denvir, J.; Valentovic, M.A.; Denning, K.L.; et al. mTOR Regulation of N-Myc Downstream Regulated 1 (NDRG1) Phosphorylation in Clear Cell Renal Cell Carcinoma. Int. J. Mol. Sci. 2023, 24, 9364. https://doi.org/10.3390/ijms24119364
Valluri A, Wellman J, McCallister CL, Brown KC, Lawrence L, Russell R, Jensen J, Denvir J, Valentovic MA, Denning KL, et al. mTOR Regulation of N-Myc Downstream Regulated 1 (NDRG1) Phosphorylation in Clear Cell Renal Cell Carcinoma. International Journal of Molecular Sciences. 2023; 24(11):9364. https://doi.org/10.3390/ijms24119364
Chicago/Turabian StyleValluri, Anisha, Jessica Wellman, Chelsea L. McCallister, Kathleen C. Brown, Logan Lawrence, Rebecca Russell, James Jensen, James Denvir, Monica A. Valentovic, Krista L. Denning, and et al. 2023. "mTOR Regulation of N-Myc Downstream Regulated 1 (NDRG1) Phosphorylation in Clear Cell Renal Cell Carcinoma" International Journal of Molecular Sciences 24, no. 11: 9364. https://doi.org/10.3390/ijms24119364
APA StyleValluri, A., Wellman, J., McCallister, C. L., Brown, K. C., Lawrence, L., Russell, R., Jensen, J., Denvir, J., Valentovic, M. A., Denning, K. L., & Salisbury, T. B. (2023). mTOR Regulation of N-Myc Downstream Regulated 1 (NDRG1) Phosphorylation in Clear Cell Renal Cell Carcinoma. International Journal of Molecular Sciences, 24(11), 9364. https://doi.org/10.3390/ijms24119364

