ZmDRR206 Regulates Nutrient Accumulation in Endosperm through Its Role in Cell Wall Biogenesis during Maize Kernel Development
Abstract
1. Introduction
2. Results
2.1. Natural Variations of ZmDRR206 Are Significantly Associated with Maize Hundred-Kernel Weight
2.2. ZmDRR206 Overexpression Affects Storage Products Accumulation in Maize Kernel
2.3. ZmDRR206 Acts as a Dominant Regulator for Storage Nutrient Accumulation in Maize Kernel
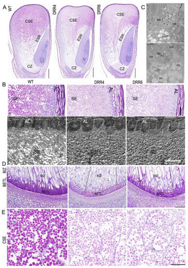
2.4. ZmDRR206 Regulates the Development of the BETL and AL Cells in Maize Kernel
2.5. ZmDRR206 Alters the Expression of Defense-Related Genes in Developing Maize Kernel
2.6. The Kernel Development- or Starch Synthesis-Related Genes were Not Affected in Developing DRR-OE Kernels
2.7. The BETL Development- and Auxin Signal-Related Genes were Down-Regulated in Developing BETL of DRR-OE Kernel
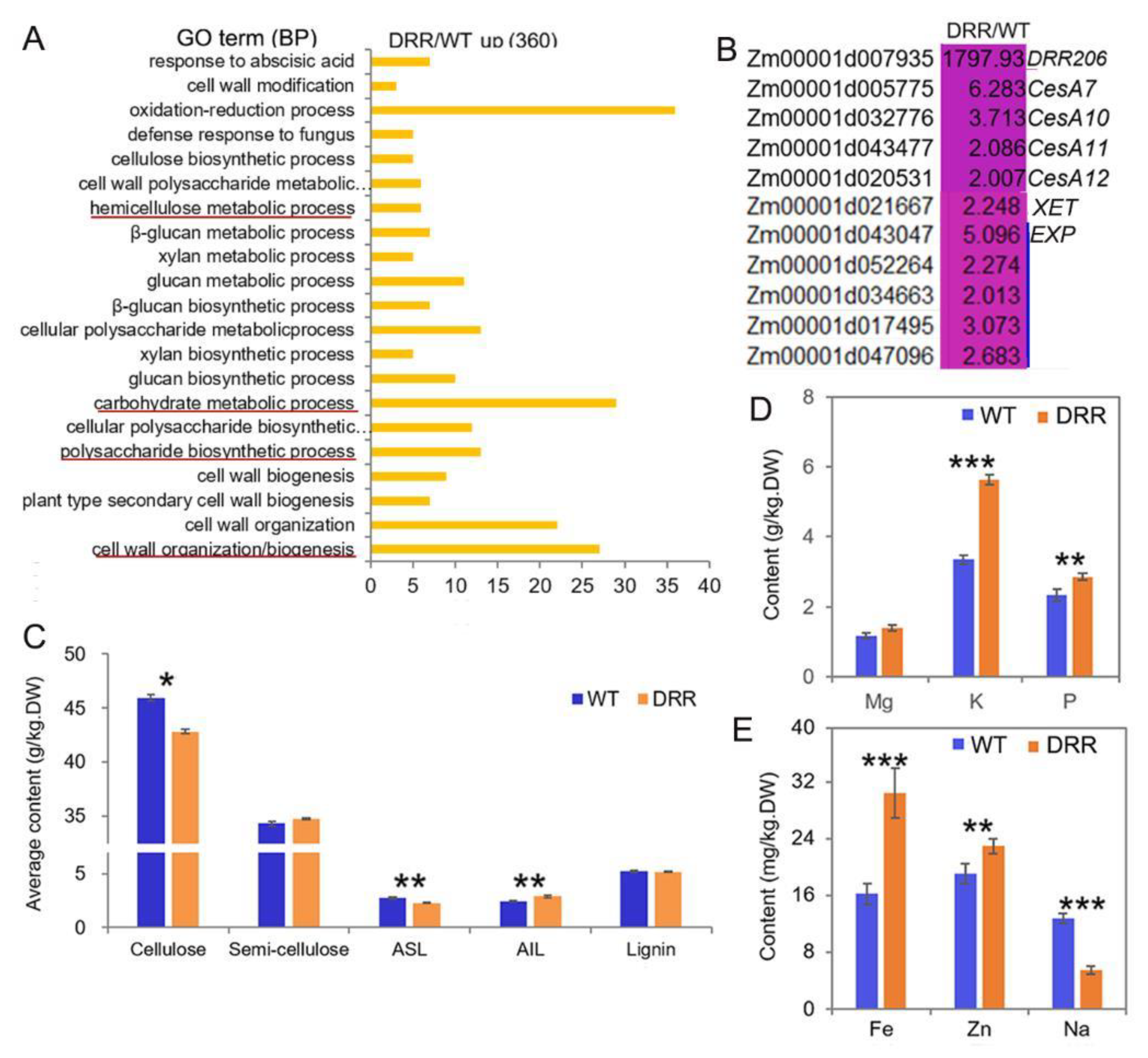
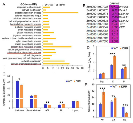
2.8. The Cell Wall Organization/Biogenesis was Altered in the Developing BETL of DRR-OE Kernels
3. Discussions
3.1. ZmDRR206 Plays a Role in Regulation of Endosperm Development in Maize Kernel
3.2. ZmDRR206 Regulates Maize Endosperm Development through Its Role in Cell Wall Biogenesis and Defense Response
4. Materials and Methods
4.1. Association Analysis
4.2. Plant Materials
4.3. Cytological Observations
4.4. Phenotypic Analysis of Maize
4.5. Measurement of Starch, Protein and Lipids
4.6. RNA-seq and qRT-PCR Assays
4.7. Analysis the Contents of Cell Wall Components in Developing Maize Kernels
4.8. Measurement of the Mineral Element Content
4.9. Statistical Analysis
5. Conclusions
Supplementary Materials
Author Contributions
Funding
Institutional Review Board Statement
Informed Consent Statement
Data Availability Statement
Conflicts of Interest
References
- Sosso, D.; Luo, D.; Li, Q.-B.; Sasse, J.; Yang, J.; Gendrot, G.; Suzuki, M.; Koch, K.E.; Mccarty, D.R.; Chourey, P.S.; et al. Seed filling in domesticated maize and rice depends on SWEET-mediated hexose transport. Nat. Genet. 2015, 47, 1489–1493. [Google Scholar] [CrossRef]
- Santandrea, G.; Guo, Y.; O’Connell, T.; Thompson, R.D. Post-phloem protein trafficking in the maize caryopsis: ZmTRXh1, a thioredoxin specifically expressed in the pedicel parenchyma of Zea mays L., is found predominantly in the placentochalaza. Plant Mol. Biol. 2002, 50, 743–756. [Google Scholar] [CrossRef] [PubMed]
- Kladnik, A.; Chamusco, K.; Dermastia, M.; Chourey, P. Evidence of Programmed Cell Death in Post-Phloem Transport Cells of the Maternal Pedicel Tissue in Developing Caryopsis of Maize. Plant Physiol. 2004, 136, 3572–3581. [Google Scholar] [CrossRef] [PubMed]
- Leroux, B.M.; Goodyke, A.J.; Schumacher, K.I.; Abbott, C.P.; Clore, A.M.; Yadegari, R.; Larkins, B.A.; Dannenhoffer, J.M. Maize early endosperm growth and development: From fertilization through cell type differentiation. Am. J. Bot. 2014, 101, 1259–1274. [Google Scholar] [CrossRef]
- Song, W.; Zhu, J.; Zhao, H.; Li, Y.; Liu, J.; Zhang, X.; Huang, L.; Lai, J. OS1 functions in the allocation of nutrients between the endosperm and embryo in maize seeds. J. Integr. Plant Biol. 2018, 61, 706–727. [Google Scholar] [CrossRef]
- Olsen, O.-A. The Modular Control of Cereal Endosperm Development. Trends Plant Sci. 2020, 25, 279–290. [Google Scholar] [CrossRef]
- Zhan, J.; Li, G.; Ryu, C.-H.; Ma, C.; Zhang, S.; Lloyd, A.; Hunter, B.G.; Larkins, B.A.; Drews, G.N.; Wang, X.; et al. Opaque-2 Regulates a Complex Gene Network Associated with Cell Differentiation and Storage Functions of Maize Endosperm. Plant Cell 2018, 30, 2425–2446. [Google Scholar] [CrossRef]
- Doll, N.M.; Just, J.; Brunaud, V.; Caïus, J.; Grimault, A.; Depège-Fargeix, N.; Esteban, E.; Pasha, A.; Provart, N.J.; Ingram, G.C.; et al. Transcriptomics at Maize Embryo/Endosperm Interfaces Identifies a Transcriptionally Distinct Endosperm Subdomain Adjacent to the Embryo Scutellum. Plant Cell 2020, 32, 833–852. [Google Scholar] [CrossRef] [PubMed]
- Bihmidine, S.; Hunter, C.T., III; Johns, C.E.; Koch, K.E.; Braun, D.M. Regulation of assimilate import into sink organs: Update on molecular drivers of sink strength. Front. Plant Sci. 2013, 4, 177. [Google Scholar] [CrossRef] [PubMed]
- Dai, D.; Ma, Z.; Song, R. Maize endosperm development. J. Integr. Plant Biol. 2021, 63, 613–627. [Google Scholar] [CrossRef]
- Lopato, S.; Borisjuk, N.; Langridge, P.; Hrmova, M. Endosperm transfer cell-specific genes and proteins: Structure, function and applications in biotechnology. Front. Plant Sci. 2014, 5, 64. [Google Scholar] [CrossRef]
- Muñiz, L.M.; Royo, J.; Gómez, E.; Barrero, C.; Bergareche, D.; Hueros, G. The maize transfer cell-specific type-A response regulator ZmTCRR-1 appears to be involved in intercellular signaling. Plant J. 2006, 48, 17–27. [Google Scholar] [CrossRef]
- Muñiz, L.M.; Royo, J.; Gómez, E.; Baudot, G.; Paul, W.; Hueros, G. Atypical response regulators expressed in the maize endosperm transfer cells link canonical two component systems and seed biology. BMC Plant Biol. 2010, 10, 84. [Google Scholar] [CrossRef]
- Gutieérrez-Marcos, J.F.; Costa, L.M.; Biderre-Petit, C.; Khbaya, B.; O’Sullivan, D.M.; Wormald, M.; Perez, P.; Dickinson, H.G. Maternally expressed gene1 Is a Novel Maize Endosperm Transfer Cell–Specific Gene with a Maternal Parent-of-Origin Pattern of Expression. Plant Cell 2004, 16, 1288–1301. [Google Scholar] [CrossRef]
- Gómez, E.; Royo, J.; Guo, Y.; Thompson, R.; Hueros, G. Establishment of cereal endosperm expression domains: Identification and properties of a maize transfer cell-specific transcription factor, ZmMRP-1. Plant Cell 2002, 14, 599–610. [Google Scholar] [CrossRef] [PubMed]
- Gómez, E.; Royo, J.; Muñiz, L.M.; Sellam, O.; Paul, W.; Gerentes, D.; Barrero, C.; Loópez, M.; Perez, P.; Hueros, G. The Maize Transcription Factor Myb-Related Protein-1 Is a Key Regulator of the Differentiation of Transfer Cells. Plant Cell 2009, 21, 2022–2035. [Google Scholar] [CrossRef]
- Costa, L.M.; Yuan, J.; Rouster, J.; Paul, W.; Dickinson, H.; Gutierrez-Marcos, J.F. Maternal Control of Nutrient Allocation in Plant Seeds by Genomic Imprinting. Curr. Biol. 2012, 22, 160–165. [Google Scholar] [CrossRef] [PubMed]
- Xiong, Y.; Mei, W.; Kim, E.-D.; Mukherjee, K.; Hassanein, H.; Barbazuk, W.B.; Sung, S.; Kolaczkowski, B.; Kang, B.-H. Adaptive expansion of the maize maternally expressed gene (Meg) family involves changes in expression patterns and protein secondary structures of its members. BMC Plant Biol. 2014, 14, 204. [Google Scholar] [CrossRef] [PubMed]
- Marshall, E.; Costa, L.M.; Gutierrez-Marcos, J. Cysteine-Rich Peptides (CRPs) mediate diverse aspects of cell-cell communication in plant reproduction and development. J. Exp. Bot. 2011, 62, 1677–1686. [Google Scholar] [CrossRef] [PubMed]
- Hueros, G.; Varotto, S.; Salamini, F.; Thompson, R.D. Molecular characterization of Bet1, a gene expressed in the endosperm transfer cells of maize. Plant Cell 1995, 7, 747–757. [Google Scholar] [PubMed]
- Hueros, G.; Royo, J.; Maitz, M.; Salamini, F.; Thompson, R.D. Evidence for factors regulating transfer cell-specific expression in maize endosperm. Plant Mol. Biol. 1999, 41, 403–414. [Google Scholar] [CrossRef]
- Zheng, Y. Molecular mechanisms of maize endosperm transfer cell development. Plant Cell Rep. 2022, 41, 1171–1180. [Google Scholar] [CrossRef] [PubMed]
- Cheng, W.H.; Taliercio, E.W.; Chourey, P.S. The miniature1 seed locus of maize encodes a cell wall invertase required for normal development of endosperm and maternal cells in the pedicel. Plant Cell 1996, 8, 971–983. [Google Scholar] [CrossRef]
- Li, B.; Liu, H.; Zhang, Y.; Kang, T.; Zhang, L.; Tong, J.; Xiao, L.; Zhang, H. Constitutive expression of cell wall invertase genes increases grain yield and starch content in maize. Plant Biotechnol. J. 2013, 11, 1080–1091. [Google Scholar] [CrossRef] [PubMed]
- Rolletschek, H.; Borisjuk, L.; Hennen-Bierwagen, T.A.; Myers, A.M. Central Metabolism and Its Spatial Heterogeneity in Maize Endosperm; Larkins, B.A., Ed.; Maize Kernel Development, CABI: Boston, MA, USA, 2017; pp. 134–148. [Google Scholar]
- Kang, B.-H.; Xiong, Y.; Williams, D.S.; Pozueta-Romero, D.; Chourey, P.S. Miniature1-Encoded Cell Wall Invertase Is Essential for Assembly and Function of Wall-in-Growth in the Maize Endosperm Transfer Cell. Plant Physiol. 2009, 151, 1366–1376. [Google Scholar] [CrossRef] [PubMed]
- LeClere, S.; Schmelz, E.; Chourey, P.S. Sugar Levels Regulate Tryptophan-Dependent Auxin Biosynthesis in Developing Maize Kernels. Plant Physiol. 2010, 153, 306–318. [Google Scholar] [CrossRef]
- Forestan, C.; Meda, S.; Varotto, S. ZmPIN1-Mediated Auxin Transport Is Related to Cellular Differentiation during Maize Embryogenesis and Endosperm Development. Plant Physiol. 2010, 152, 1373–1390. [Google Scholar] [CrossRef] [PubMed]
- Bernardi, J.; Lanubile, A.; Li, Q.-B.; Kumar, D.; Kladnik, A.; Cook, S.D.; Ross, J.J.; Marocco, A.; Chourey, P.S. Impaired Auxin Biosynthesis in the defective endosperm18 Mutant Is Due to Mutational Loss of Expression in the ZmYuc1 Gene Encoding Endosperm-Specific YUCCA1 Protein in Maize. Plant Physiol. 2012, 160, 1318–1328. [Google Scholar] [CrossRef]
- Correa, S.M.; Fernie, A.R.; Nikoloski, Z.; Brotman, Y. Towards model-driven characterization and manipulation of plant lipid metabolism. Prog. Lipid Res. 2020, 80, 101051. [Google Scholar] [CrossRef] [PubMed]
- Hu, M.; Zhao, H.; Yang, B.; Yang, S.; Liu, H.; Tian, H.; Shui, G.; Chen, Z.; E, L.; Lai, J.; et al. ZmCTLP1 is required for the maintenance of lipid homeostasis and the basal endosperm transfer layer in maize kernels. New Phytol. 2021, 232, 2384–2399. [Google Scholar] [CrossRef]
- Wang, Q.; Wang, M.; Chen, J.; Qi, W.; Lai, J.; Ma, Z.; Song, R. ENB1 encodes a cellulose synthase 5 that directs synthesis of cell wall ingrowths in maize basal endosperm transfer cells. Plant Cell 2022, 34, 1054–1074. [Google Scholar] [CrossRef] [PubMed]
- Boerjan, W.; Ralph, J.; Baucher, M. Lignin biosynthesis. Annu. Rev. Plant Biol. 2003, 54, 519–546. [Google Scholar] [CrossRef]
- Xu, L.; Zhu, L.; Tu, L.; Liu, L.; Yuan, D.; Jin, L.; Long, L.; Zhang, X. Lignin metabolism has a central role in the resistance of cotton to the wilt fungus Verticillium dahliae as revealed by RNA-Seq-dependent transcriptional analysis and histochemistry. J. Exp. Bot. 2011, 62, 5607–5621. [Google Scholar] [CrossRef]
- Rocha, S.; Monjardino, P.; Mendonça, D.; da Câmara Machado, A.; Fernandes, R.; Sampaio, P.; Salema, R. Lignification of developing maize (Zea mays L.) endosperm transfer cells and starchy endosperm cells. Front. Plant Sci. 2014, 20, 102. [Google Scholar] [CrossRef]
- Monjardino, P.; Rocha, S.; Tavares, A.C.; Fernandes, R.; Sampaio, P.; Salema, R.; Machado, A.D.C. Development of flange and reticulate wall ingrowths in maize (Zea mays L.) endosperm transfer cells. Protoplasma 2013, 250, 495–503. [Google Scholar] [CrossRef]
- Talbot, M.J.; Offler, C.E.; McCurdy, D.W. Transfer cell wall architecture: A contribution towards understanding localized wall deposition. Protoplasma 2002, 219, 197–209. [Google Scholar] [CrossRef]
- Prioul, J.L.; Méchin, V.; Lessard, P.; Thévenot, C.; Grimmer, M.; Chateau-Joubert, S.; Coates, S.; Hartings, H.; Kloiber-Maitz, M.; Murigneux, A.; et al. A joint transcriptomic, proteomic and metabolic analysis of maize endosperm development and starch filling. Plant Biotechnol. J. 2008, 6, 855–869. [Google Scholar] [CrossRef] [PubMed]
- Young, T.E.; Gallie, D.R. Programmed cell death during endosperm development. Plant Mol. Biol. 2000, 44, 283–301. [Google Scholar] [CrossRef] [PubMed]
- Zhong, T.; Deng, S.; Li, Y.; Fan, X.; Xu, M.; Ye, J. ZmDRR206 involves in maintaining cell wall integrity during maize seedling growth and interaction with the environment. Commun. Biol. 2023. Waiting for acception. [Google Scholar]
- Yang, N.; Lu, Y.; Yang, X.; Huang, J.; Zhou, Y.; Ali, F.; Wen, W.; Liu, J.; Li, J.; Yan, J. Genome Wide Association Studies Using a New Nonparametric Model Reveal the Genetic Architecture of 17 Agronomic Traits in an Enlarged Maize Association Panel. PLoS Genet. 2014, 10, e1004573. [Google Scholar] [CrossRef]
- Vaahtera, L.; Schulz, J.; Hamann, T. Cell wall integrity maintenance during plant development and interaction with the environment. Nat. Plants 2019, 5, 924–932. [Google Scholar] [CrossRef] [PubMed]
- Miedes, E.; Vanholme, R.; Boerjan, W.; Molina, A. The role of the secondary cell wall in plant resistance to pathogens. Front. Plant Sci. 2014, 5, 358–368. [Google Scholar] [CrossRef]
- Yonekura-Sakakibara, K.; Yamamura, M.; Matsuda, F.; Ono, E.; Nakabayashi, R.; Sugawara, S.; Mori, T.; Tobimatsu, Y.; Umezawa, T.; Saito, K. Seed-coat protective neolignans are produced by the dirigent protein AtDP1 and the laccase AtLAC5 in Arabidopsis. Plant Cell 2021, 33, 129–152. [Google Scholar] [CrossRef] [PubMed]
- Zhan, J.; Thakare, D.; Ma, C.; Lloyd, A.; Nixon, N.M.; Arakaki, A.M.; Burnett, W.J.; Logan, K.O.; Wang, D.; Wang, X.; et al. RNA Sequencing of Laser-Capture Microdissected Compartments of the Maize Kernel Identifies Regulatory Modules Associated with Endosperm Cell Differentiation. Plant Cell 2015, 27, 513–531. [Google Scholar] [CrossRef]
- Xiao, Y.; Thatcher, S.; Wang, M.; Wang, T.; Beatty, M.; Zastrow-Hayes, G.; Li, L.; Li, J.; Li, B.; Yang, X. Transcriptome analysis of near-isogenic lines provides molecular insights into starch biosynthesis in maize kernel: Transcriptome of starch metabolism in maize kernel. J. Integr. Plant Biol. 2016, 58, 713–723. [Google Scholar] [CrossRef]
- Cheah, Z.X.; Kopittke, P.M.; Harper, S.M.; O’Hare, T.J.; Wang, P.; Paterson, D.J.; de Jonge, M.D.; Bell, M.J. In situ analyses of inorganic nutrient distribution in sweetcorn and maize kernels using synchrotron-based X-ray fluorescence microscopy. Ann. Bot. 2019, 123, 543–556. [Google Scholar] [CrossRef]
- He, Y.; Yang, Q.; Yang, J.; Wang, Y.-F.; Sun, X.; Wang, S.; Qi, W.; Ma, Z.; Song, R. Shrunken4 is a mutant allele of ZmYSL2 that affects aleurone development and starch synthesis in maize. Genetics 2021, 218, iyab070. [Google Scholar] [CrossRef]
- Manavski, N.; Guyon, V.; Meurer, J.; Wienand, U.; Brettschneider, R. An Essential Pentatricopeptide Repeat Protein Facilitates 5′ Maturation and Translation Initiation of rps3 mRNA in Maize Mitochondria. Plant Cell 2012, 24, 3087–3105. [Google Scholar] [CrossRef]
- Chen, X.; Feng, F.; Qi, W.; Xu, L.; Yao, D.; Wang, Q.; Song, R. Dek35 Encodes a PPR Protein that Affects cis -Splicing of Mitochondrial nad4 Intron 1 and Seed Development in Maize. Mol. Plant 2017, 10, 427–441. [Google Scholar] [CrossRef] [PubMed]
- Feng, F.; Qi, W.; Lv, Y.; Yan, S.; Xu, L.; Yang, W.; Yuan, Y.; Chen, Y.; Zhao, H.; Song, R. OPAQUE11 Is a Central Hub of the Regulatory Network for Maize Endosperm Development and Nutrient Metabolism. Plant Cell 2018, 30, 375–396. [Google Scholar] [CrossRef]
- Liu, H.; Luo, X.; Niu, L.; Xiao, Y.; Chen, L.; Liu, J.; Wang, X.; Jin, M.; Li, W.; Zhang, Q.; et al. Distant eQTLs and Non-coding Sequences Play Critical Roles in Regulating Gene Expression and Quantitative Trait Variation in Maize. Mol. Plant 2017, 10, 414–426. [Google Scholar] [CrossRef]
- Wang, J.; Zhang, Z. GAPIT Version 3: Boosting Power and Accuracy for Genomic Association and Prediction. Genom. Proteom. Bioinform. 2021, 19, 629–640. [Google Scholar] [CrossRef] [PubMed]
- He, F.; Ding, S.; Wang, H.; Qin, F. IntAssoPlot: An R Package for Integrated Visualization of Genome-Wide Association Study Results with Gene Structure and Linkage Disequilibrium Matrix. Front. Genet. 2020, 11, 260. [Google Scholar] [CrossRef] [PubMed]
- Wang, G.; Sun, X.; Wang, G.; Wang, F.; Gao, Q.; Sun, X.; Tang, Y.; Chang, C.; Lai, J.; Zhu, L.; et al. Opaque7 encodes an acyl-activating enzymelike protein that affects storage protein synthesis in maize endosperm. Genetics 2011, 189, 1281–1295. [Google Scholar] [CrossRef] [PubMed]
- Moreira-Vilar, F.; Siqueira-Soares, R.; Finger-Teixeira, A.; de Oliveira, D.; Ferro, A.; Rocha, G.; Ferrarese, M.L.; dos Santos, W.; Ferrarese-Filho, O. The acetyl bromide method is faster, simpler and presents best recovery of lignin in different herbaceous tissues than Klason and thioglycolic acid methods. PLoS ONE 2014, 169, e110000. [Google Scholar] [CrossRef]







Disclaimer/Publisher’s Note: The statements, opinions and data contained in all publications are solely those of the individual author(s) and contributor(s) and not of MDPI and/or the editor(s). MDPI and/or the editor(s) disclaim responsibility for any injury to people or property resulting from any ideas, methods, instructions or products referred to in the content. |
© 2023 by the authors. Licensee MDPI, Basel, Switzerland. This article is an open access article distributed under the terms and conditions of the Creative Commons Attribution (CC BY) license (https://creativecommons.org/licenses/by/4.0/).
Share and Cite
Li, Y.; Li, D.; E, L.; Yang, J.; Liu, W.; Xu, M.; Ye, J. ZmDRR206 Regulates Nutrient Accumulation in Endosperm through Its Role in Cell Wall Biogenesis during Maize Kernel Development. Int. J. Mol. Sci. 2023, 24, 8735. https://doi.org/10.3390/ijms24108735
Li Y, Li D, E L, Yang J, Liu W, Xu M, Ye J. ZmDRR206 Regulates Nutrient Accumulation in Endosperm through Its Role in Cell Wall Biogenesis during Maize Kernel Development. International Journal of Molecular Sciences. 2023; 24(10):8735. https://doi.org/10.3390/ijms24108735
Chicago/Turabian StyleLi, Yanmei, Dongdong Li, Lizhu E, Jiayi Yang, Wenjing Liu, Mingliang Xu, and Jianrong Ye. 2023. "ZmDRR206 Regulates Nutrient Accumulation in Endosperm through Its Role in Cell Wall Biogenesis during Maize Kernel Development" International Journal of Molecular Sciences 24, no. 10: 8735. https://doi.org/10.3390/ijms24108735
APA StyleLi, Y., Li, D., E, L., Yang, J., Liu, W., Xu, M., & Ye, J. (2023). ZmDRR206 Regulates Nutrient Accumulation in Endosperm through Its Role in Cell Wall Biogenesis during Maize Kernel Development. International Journal of Molecular Sciences, 24(10), 8735. https://doi.org/10.3390/ijms24108735

