Identification of a Pm4 Allele as a Powdery Mildew Resistance Gene in Wheat Line Xiaomaomai
Abstract
:1. Introduction
2. Materials and Method
2.1. Plant Materials
2.2. Resistance Evaluation
2.3. Genotyping of F2:3 Lines Using BSR-Seq Analysis
2.4. Marker Analysis
2.5. Data Analysis and Linkage Map Construction
2.6. BSMV Virus-Induced Gene Silencing
2.7. RNA Isolation and RT-PCR
2.8. Real-Time Quantitative PCR
3. Results
3.1. Resistance of Xiaomaomai to Different Bgt Isolates
3.2. Inheritance of the Powdery Mildew Resistance in Xiaomaomai
3.3. RNA-Seq Analysis of the RNA Bulks with Distinct Reactions to Bgt1
3.4. Polymorphic Analysis of SNP Markers and Construction of Genetic Linkage Map
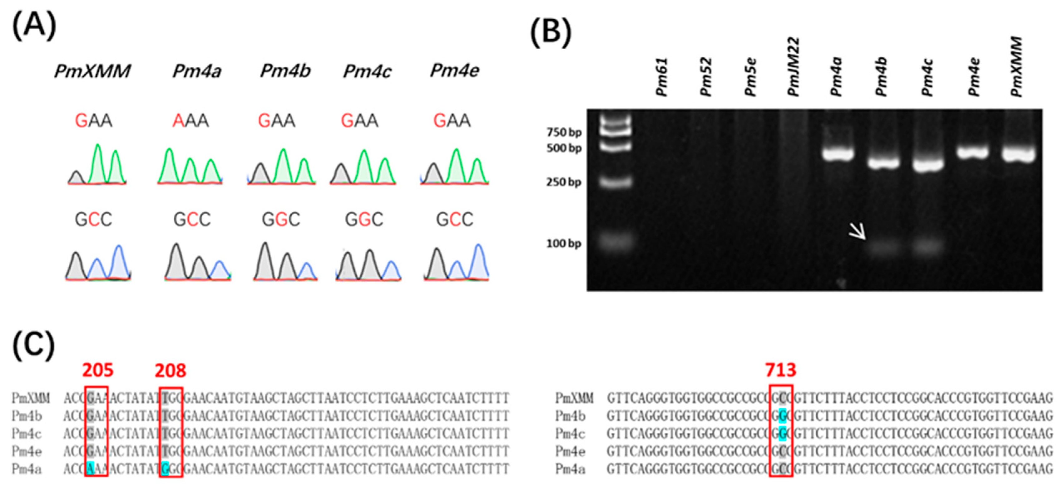
3.5. Identification of the pmXMM Candidate Gene
3.6. Silencing of pmXMM Using BSMV-VIGS
4. Discussion
Supplementary Materials
Author Contributions
Funding
Data Availability Statement
Conflicts of Interest
References
- Li, H.; Dong, Z.; Ma, C.; Xia, Q.; Tian, X.; Sehgal, S.; Koo, D.-H.; Friebe, B.; Ma, P.; Liu, W. A spontaneous wheat-aegilops longissima translocation carrying Pm66 confers resistance to powdery mildew. Theor. Appl. Genet. 2020, 133, 1149–1159. [Google Scholar] [CrossRef] [PubMed]
- Sánchez-Martín, J.; Steuernagel, B.; Ghosh, S.; Herren, G.; Hurni, S.; Adamski, N.; Vrána, J.; Kubaláková, M.; Krattinger, S.G.; Wicker, T. Rapid gene isolation in barley and wheat by mutant chromosome sequencing. Genome Biol. 2016, 17, 1–7. [Google Scholar] [CrossRef] [Green Version]
- Yahiaoui, N.; Srichumpa, P.; Dudler, R.; Keller, B. Genome analysis at different ploidy levels allows cloning of the powdery mildew resistance gene Pm3b from hexaploid wheat. Plant J. 2004, 37, 528–538. [Google Scholar] [CrossRef] [PubMed]
- Xie, J.; Guo, G.; Wang, Y.; Hu, T.; Wang, L.; Li, J.; Qiu, D.; Li, Y.; Wu, Q.; Lu, P. A rare single nucleotide variant in Pm5e confers powdery mildew resistance in common wheat. New Phytol. 2020, 228, 1011–1026. [Google Scholar] [CrossRef] [PubMed]
- Hurni, S.; Brunner, S.; Buchmann, G.; Herren, G.; Jordan, T.; Krukowski, P.; Wicker, T.; Yahiaoui, N.; Mago, R.; Keller, B. Rye Pm8 and wheat Pm3 are orthologous genes and show evolutionary conservation of resistance function against powdery mildew. Plant J. 2013, 76, 957–969. [Google Scholar] [CrossRef]
- Zou, S.; Wang, H.; Li, Y.; Kong, Z.; Tang, D. The NB-LRR gene Pm60 confers powdery mildew resistance in wheat. New Phytol. 2018, 218, 298–309. [Google Scholar] [CrossRef] [PubMed] [Green Version]
- He, H.; Zhu, S.; Zhao, R.; Jiang, Z.; Ji, Y.; Ji, J.; Qiu, D.; Li, H.; Bie, T. Pm21, encoding a typical CC-NBS-LRR protein, confers broad-spectrum resistance to wheat powdery mildew disease. Mol. Plant 2018, 11, 879–882. [Google Scholar] [CrossRef] [Green Version]
- Dodds, P.N.; Rathjen, J.P. Plant immunity: Towards an integrated view of plant-pathogen interactions. Nat. Rev. Genet. 2010, 11, 539–548. [Google Scholar] [CrossRef]
- Kourelis, J.; Van Der Hoorn, R.A. Defended to the nines: 25 years of resistance gene cloning identifies nine mechanisms for R protein function. Plant Cell 2018, 30, 285–299. [Google Scholar] [CrossRef] [Green Version]
- Lu, P.; Guo, L.; Wang, Z.; Li, B.; Li, J.; Li, Y.; Qiu, D.; Shi, W.; Yang, L.; Wang, N. A rare gain of function mutation in a wheat tandem kinase confers resistance to powdery mildew. Nat. Commun. 2020, 11, 1–11. [Google Scholar] [CrossRef] [Green Version]
- Cao, A.; Xing, L.; Wang, X.; Yang, X.; Wang, W.; Sun, Y.; Qian, C.; Ni, J.; Chen, Y.; Liu, D. Serine/threonine kinase gene stpk-v, a key member of powdery mildew resistance gene Pm21, confers powdery mildew resistance in wheat. Proc. Natl. Acad. Sci. USA 2011, 108, 7727–7732. [Google Scholar] [CrossRef] [Green Version]
- Krattinger, S.G.; Lagudah, E.S.; Spielmeyer, W.; Singh, R.P.; Huerta-Espino, J.; McFadden, H.; Bossolini, E.; Selter, L.L.; Keller, B. A putative ABC transporter confers durable resistance to multiple fungal pathogens in wheat. Science 2009, 323, 1360–1363. [Google Scholar] [CrossRef] [Green Version]
- Moore, J.W.; Herrera-Foessel, S.; Lan, C.; Schnippenkoetter, W.; Ayliffe, M.; Huerta-Espino, J.; Lillemo, M.; Viccars, L.; Milne, R.; Periyannan, S. A recently evolved hexose transporter variant confers resistance to multiple pathogens in wheat. Nat. Genet. 2015, 47, 1494–1498. [Google Scholar] [CrossRef] [PubMed]
- Huang, X.; Hsam, S.; Zeller, F. Identification of powdery mildew resistance genes in common wheat (Triticum aestivum L. em Thell.). Ix. Cultivars, land races and breeding lines grown in china. Plant Breed. 1997, 116, 233–238. [Google Scholar] [CrossRef]
- Sánchez-Martín, J.; Widrig, V.; Herren, G.; Wicker, T.; Zbinden, H.; Gronnier, J.; Spörri, L.; Praz, C.R.; Heuberger, M.; Kolodziej, M.C. Wheat Pm4 resistance to powdery mildew is controlled by alternative splice variants encoding chimeric proteins. Nat. Plants 2021, 7, 327–341. [Google Scholar] [CrossRef] [PubMed]
- Briggle, L. Transfer of resistance to Erysiphe graminis f. sp. tritici from Khapli Emmer and Yuma Durum to Hexaploid Wheat 1. Crop Sci. 1966, 6, 459–461. [Google Scholar] [CrossRef]
- McIntosh, R.; Bennett, F.G. Cytogenetical studies in wheat. IX. Monosomic analyses, telocentric mapping and linkage relationships of genes Sr21, Pm4 and Mle. Aust. J. Biol. Sci. 1979, 32, 115–126. [Google Scholar]
- Hao, Y.; Liu, A.; Wang, Y.; Feng, D.; Gao, J.; Li, X.; Liu, S.; Wang, H. Pm23: A new allele of Pm4 located on chromosome 2AL in wheat. Theor. Appl. Genet. 2008, 117, 1205–1212. [Google Scholar] [CrossRef]
- Li, N.; Jia, H.; Kong, Z.; Tang, W.; Ding, Y.; Liang, J.; Ma, H.; Ma, Z. Identification and marker-assisted transfer of a new powdery mildew resistance gene at the Pm4 locus in common wheat. Mol. Breed. 2017, 37, 1–9. [Google Scholar] [CrossRef]
- Zhu, Z.; Zhou, R.; Kong, X.; Dong, Y.; Jia, J. Microsatellite markers linked to 2 powdery mildew resistance genes introgressed from Triticum carthlicum accession PS5 into common wheat. Genome 2005, 48, 585–590. [Google Scholar] [CrossRef]
- Niu, J.; Wang, B.; Wang, Y.; Cao, A.; Qi, Z.; Shen, T. Chromosome location and microsatellite markers linked to a powdery mildew resistance gene in wheat line ‘lankao 90 (6)’. Plant Breed. 2008, 127, 346–349. [Google Scholar] [CrossRef]
- Xu, W.; Li, C.; Hu, L.; Wang, H.; Dong, H.; Zhang, J.; Zan, X. Identification and molecular mapping of PmHNK54: A novel powdery mildew resistance gene in common wheat. Plant Breed. 2011, 130, 603–607. [Google Scholar] [CrossRef]
- Fu, B.; Chen, Y.; Li, N.; Ma, H.; Kong, Z.; Zhang, L.; Jia, H.; Ma, Z. pmX: A recessive powdery mildew resistance gene at the Pm4 locus identified in wheat landrace Xiaohongpi. Theor. Appl. Genet. 2013, 126, 913–921. [Google Scholar] [CrossRef] [PubMed]
- Mohler, V.; Bauer, C.; Schweizer, G.; Kempf, H.; Hartl, L. Pm50: A new powdery mildew resistance gene in common wheat derived from cultivated emmer. J. Appl. Genet. 2013, 54, 259–263. [Google Scholar] [CrossRef] [PubMed]
- Michelmore, R.W.; Paran, I.; Kesseli, R. Identification of markers linked to disease-resistance genes by bulked segregant analysis: A rapid method to detect markers in specific genomic regions by using segregating populations. Proc. Natl. Acad. Sci. USA 1991, 88, 9828–9832. [Google Scholar] [CrossRef] [Green Version]
- Bolger, A.M.; Lohse, M.; Usadel, B. Trimmomatic: A flexible trimmer for Illumina sequence data. Bioinformatics 2014, 30, 2114–2120. [Google Scholar] [CrossRef] [Green Version]
- Dobin, A.; Davis, C.A.; Schlesinger, F.; Drenkow, J.; Zaleski, C.; Jha, S.; Batut, P.; Chaisson, M.; Gingeras, T.R. STAR: Ultrafast universal RNA-seq aligner. Bioinformatics 2013, 29, 15–21. [Google Scholar] [CrossRef]
- Appels, R.; Eversole, K.; Stein, N.; Feuillet, C.; Keller, B.; Rogers, J.; Pozniak, C.J.; Choulet, F.; Distelfeld, A.; Poland, J. Shifting the limits in wheat research and breeding using a fully annotated reference genome. Science 2018, 361. [Google Scholar]
- Kim, S.; Scheffler, K.; Halpern, A.L.; Bekritsky, M.A.; Noh, E.; Källberg, M.; Chen, X.; Kim, Y.; Beyter, D.; Krusche, P. Strelka2: Fast and accurate calling of germline and somatic variants. Nat. Methods 2018, 15, 591–594. [Google Scholar] [CrossRef]
- Ma, Z.-Q.; Wei, J.-B.; Cheng, S.-H. PCR-based markers for the powdery mildew resistance gene Pm4a in wheat. Theor. Appl. Genet. 2004, 109, 140–145. [Google Scholar] [CrossRef]
- Schmolke, M.; Mohler, V.; Hartl, L.; Zeller, F.J.; Hsam, S.L. A new powdery mildew resistance allele at the Pm4 wheat locus transferred from einkorn (Triticum monococcum). Mol. Breed. 2012, 29, 449–456. [Google Scholar] [CrossRef]
- Wu, P.; Xie, J.; Hu, J.; Qiu, D.; Liu, Z.; Li, J.; Li, M.; Zhang, H.; Yang, L.; Liu, H. Development of molecular markers linked to powdery mildew resistance gene Pm4b by combining SNP discovery from transcriptome sequencing data with bulked segregant analysis (BSR-Seq) in wheat. Front. Plant Sci. 2018, 9, 95. [Google Scholar] [CrossRef] [PubMed] [Green Version]
- Liu, R.-H.; Meng, J.L. Mapdraw: A microsoft excel macro for drawing genetic linkage maps based on given genetic linkage data. Yi Chuan Hered. 2003, 25, 317–321. [Google Scholar]
- Livak, K.J.; Schmittgen, T.D. Analysis of relative gene expression data using real-time quantitative PCR and the 2(-delta delta c(t)) method. Methods 2001, 25, 402–408. [Google Scholar] [CrossRef]
- Wang, Z.; Li, L.; He, Z.; Duan, X.; Zhou, Y.; Chen, X.; Lillemo, M.; Singh, R.; Wang, H.; Xia, X. Seedling and adult plant resistance to powdery mildew in chinese bread wheat cultivars and lines. Plant Dis. 2005, 89, 457–463. [Google Scholar] [CrossRef] [PubMed] [Green Version]
- Parks, R.; Carbone, I.; Murphy, J.P.; Marshall, D.; Cowger, C. Virulence structure of the eastern US wheat powdery mildew population. Plant Dis. 2008, 92, 1074–1082. [Google Scholar] [CrossRef]
- Singh, S.P.; Hurni, S.; Ruinelli, M.; Brunner, S.; Sanchez-Martin, J.; Krukowski, P.; Peditto, D.; Buchmann, G.; Zbinden, H.; Keller, B. Evolutionary divergence of the rye Pm17 and Pm8 resistance genes reveals ancient diversity. Plant Mol. Biol. 2018, 98, 249–260. [Google Scholar] [CrossRef]
- Xing, L.; Hu, P.; Liu, J.; Witek, K.; Zhou, S.; Xu, J.; Zhou, W.; Gao, L.; Huang, Z.; Zhang, R. Pm21 from Haynaldia villosa encodes a CC-NBS-LRR protein conferring powdery mildew resistance in wheat. Mol. Plant 2018, 11, 874–878. [Google Scholar] [CrossRef] [Green Version]
- Li, M.; Dong, L.; Li, B.; Wang, Z.; Xie, J.; Qiu, D.; Li, Y.; Shi, W.; Yang, L.; Wu, Q. A CNL protein in wild emmer wheat confers powdery mildew resistance. New Phytol. 2020, 228, 1027–1037. [Google Scholar] [CrossRef] [PubMed]
- Fu, D.; Uauy, C.; Distelfeld, A.; Blechl, A.; Epstein, L.; Chen, X.; Sela, H.; Fahima, T.; Dubcovsky, J. A kinase-start gene confers temperature-dependent resistance to wheat stripe rust. Science 2009, 323, 1357–1360. [Google Scholar] [CrossRef] [PubMed] [Green Version]
- Brueggeman, R.; Druka, A.; Nirmala, J.; Cavileer, T.; Drader, T.; Rostoks, N.; Mirlohi, A.; Bennypaul, H.; Gill, U.; Kudrna, D. The stem rust resistance gene Rpg5 encodes a protein with nucleotide-binding-site, leucine-rich, and protein kinase domains. Proc. Natl. Acad. Sci. USA 2008, 105, 14970–14975. [Google Scholar] [CrossRef] [Green Version]
- Yi, Y.; Liu, H.; Huang, X.; An, L.; Wang, F.; Wang, X. Development of molecular markers linked to the wheat powdery mildew resistance gene Pm4b and marker validation for molecular breeding. Plant Breed. 2008, 127, 116–120. [Google Scholar] [CrossRef]
- Niu, J.-S.; Jia, H.-Y.; Jun, Y.; Wang, B.-Q.; Shen, T.-M. Development of an STS marker linked to powdery mildew resistance genes PmLK906 and Pm4a by gene chip hybridization. Agric. Sci. China 2010, 9, 331–336. [Google Scholar] [CrossRef]
- Ullah, K.N.; Li, N.; Shen, T.; Wang, P.; Tang, W.; Ma, S.; Zhang, Z.; Jia, H.; Kong, Z.; Ma, Z. Fine mapping of powdery mildew resistance gene Pm4e in bread wheat (Triticum aestivum L.). Planta 2018, 248, 1319–1328. [Google Scholar] [CrossRef] [PubMed]





| Parents/ Cross | Generation | Total Numbers of Plants/Families | Phenotype and Number of the Tested F2:3 Families | Expected Ratio | χ2 | p-Value | ||
|---|---|---|---|---|---|---|---|---|
| Resistant | Segregating | Susceptible | ||||||
| Xiaomaomai | Pr | 20 | 20 | |||||
| Lumai23 | Ps | 20 | 20 | |||||
| Xiaomaomai × Lumai23 | F1 | 25 | 25 | |||||
| F2 | 186 | 51 | 135 | 1:3 | 0.581 | 0.446 | ||
| F2:3 | 177 | 46 | 92 | 39 | 1:2:1 | 0.831 | 0.660 | |
| F2:3 Family Lines | SNP Markers | Phenotype | Pm4-Specific Marker Pm4.1 | SNP Markers | |||||
|---|---|---|---|---|---|---|---|---|---|
| 2AL22 | 2AL19 | 2AL38 | 2AL34 | 2AL15 | 2AL31 | 2AL28 | |||
| 63 | B | B | B | B | B | B | B | B | B |
| 158 | A | A | A | A | A | A/H | A | A | A |
| 87 | A | A | A | A | A | A/H | A | A | H |
| 55 | B | B | B | B | B | B | B | B | H |
| 143 | B | B | B | B | B | B | B | B | H |
| 144 | A | A | A | A | A | A/H | A | A | H |
| 100 | A | A | A | A | A | A/H | A | A | H |
| 111 | A | A | A | A | A | A/H | A | H | H |
| 62 | A | A | A | A | A | A/H | A | H | H |
| 171 | B | B | B | B | B | B | B | H | H |
| 78 | A | A | A | A | A | A/H | H | H | H |
| 127 | A | A | A | A | A | A/H | H | H | H |
| 51 | B | B | B | B | B | B | H | H | H |
| 40 | A | A | A | A | H | A/H | H | H | H |
| 141 | A | A | A | A | H | A/H | H | H | H |
| 160 | H | H | H | H | A | A/H | A | A | A |
| 79 | B | B | B | B | H | A/H | H | H | H |
| 123 | H | H | H | H | H | H | H | H | H |
| Pm4 Protein Isoforms | Pm4_V1 Variance | Pm4_V2 Variance | ||
|---|---|---|---|---|
| Amino acid sites | 205 | 208 | 395 | 713 |
| pmXMM | E | L | T | A |
| Pm4a | K | W | T | A |
| Pm4b | E | L | T | G |
| Pm4c | E | L | T | G |
| Pm4d | E | L | T | A |
| Pm4e | E | L | T | A |
| Pm4h | K | L | A | A |
Publisher’s Note: MDPI stays neutral with regard to jurisdictional claims in published maps and institutional affiliations. |
© 2022 by the authors. Licensee MDPI, Basel, Switzerland. This article is an open access article distributed under the terms and conditions of the Creative Commons Attribution (CC BY) license (https://creativecommons.org/licenses/by/4.0/).
Share and Cite
Yao, D.; Ijaz, W.; Liu, Y.; Hu, J.; Peng, W.; Zhang, B.; Wen, X.; Wang, J.; Qiu, D.; Li, H.; et al. Identification of a Pm4 Allele as a Powdery Mildew Resistance Gene in Wheat Line Xiaomaomai. Int. J. Mol. Sci. 2022, 23, 1194. https://doi.org/10.3390/ijms23031194
Yao D, Ijaz W, Liu Y, Hu J, Peng W, Zhang B, Wen X, Wang J, Qiu D, Li H, et al. Identification of a Pm4 Allele as a Powdery Mildew Resistance Gene in Wheat Line Xiaomaomai. International Journal of Molecular Sciences. 2022; 23(3):1194. https://doi.org/10.3390/ijms23031194
Chicago/Turabian StyleYao, Danyu, Waqas Ijaz, Yi Liu, Jinghuang Hu, Wentao Peng, Bowen Zhang, Xiaolan Wen, Juan Wang, Dan Qiu, Hongjie Li, and et al. 2022. "Identification of a Pm4 Allele as a Powdery Mildew Resistance Gene in Wheat Line Xiaomaomai" International Journal of Molecular Sciences 23, no. 3: 1194. https://doi.org/10.3390/ijms23031194
APA StyleYao, D., Ijaz, W., Liu, Y., Hu, J., Peng, W., Zhang, B., Wen, X., Wang, J., Qiu, D., Li, H., Xiao, S., & Sun, G. (2022). Identification of a Pm4 Allele as a Powdery Mildew Resistance Gene in Wheat Line Xiaomaomai. International Journal of Molecular Sciences, 23(3), 1194. https://doi.org/10.3390/ijms23031194

