Implementation of Copy Number Variations-Based Diagnostics in Morphologically Challenging EWSR1/FUS::NFATC2 Neoplasms of the Bone and Soft Tissue
Abstract
1. Introduction
2. Results
2.1. A Simple Bone Cyst (Case #1)
2.2. Complex Cystic Bone Lesions (Cases #2 & 3)
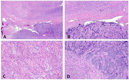
2.3. EWSR1::NFATC2-Rearranged Soft Tissue Sarcoma (Case #4)
2.4. EWSR1::NFATC2-Rearranged Bone Sarcoma (Case #5)
3. Discussion
4. Materials and Methods
4.1. Patients and Tumor Characteristics
4.2. Immunohistochemical Analysis
4.3. Fluorescence In Situ Hybridization
4.4. RNA and DNA Workflow
4.5. Tumor-Associated Copy Number Variation Analysis
5. Conclusions
Supplementary Materials
Author Contributions
Funding
Institutional Review Board Statement
Informed Consent Statement
Data Availability Statement
Conflicts of Interest
References
- de Álava, E.; Lessnick, S.L.; Stamenkovic, I.; Le Loarer, F.; Szuhai, K.; Tirode, E.; Antonescu, C.R.; Yoshida, A.; Puls, F. Undifferentiated small round cell sarcomas of bone and soft tissue. In WHO Classification of Tumours Editorial Board. Soft Tissue and Bone Tumors, 5th ed.; International Agency for Research on Cancer: Lyon, France, 2020; pp. 321–336. [Google Scholar]
- Dashti, N.K.; Dickson, B.C.; Zhang, L.; Xie, Z.; Nielsen, G.P.; Antonescu, C.R. A unique epithelioid vascular neoplasm of bone characterized by EWSR1/FUS-NFATC1/2 fusions. Genes Chromosomes Cancer 2021, 60, 762–771. [Google Scholar] [CrossRef] [PubMed]
- Ong, S.L.M.; Lam, S.W.; van den Akker, B.E.W.M.; Kroon, H.M.; Briaire-de Bruijn, I.H.; Cleven, A.H.G.; Savci-Heijink, D.C.; Cleton-Jansen, A.M.; Baumhoer, D.; Szuhai, K.; et al. Expanding the Spectrum of EWSR1-NFATC2-rearranged Benign Tumors: A Common Genomic Abnormality in Vascular Malformation/Hemangioma and Simple Bone Cyst. Am. J. Surg. Pathol. 2021, 45, 1669–1681. [Google Scholar] [CrossRef] [PubMed]
- Hung, Y.P.; Fisch, A.S.; Diaz-Perez, J.A.; Iafrate, A.J.; Lennerz, J.K.; Nardi, V.; Bredella, M.A.; Raskin, K.A.; Lozano-Calderon, S.A.; Rosenberg, A.E.; et al. Identification of EWSR1-NFATC2 fusion in simple bone cysts. Histopathology 2021, 78, 849–856. [Google Scholar] [CrossRef] [PubMed]
- Pižem, J.; Šekoranja, D.; Zupan, A.; Boštjančič, E.; Matjašič, A.; Mavčič, B.; Contreras, J.A.; Gazič, B.; Martinčič, D.; Snoj, Ž.; et al. FUS-NFATC2 or EWSR1-NFATC2 Fusions Are Present in a Large Proportion of Simple Bone Cysts. Am. J. Surg. Pathol. 2020, 44, 1623–1634. [Google Scholar] [CrossRef] [PubMed]
- Szuhai, K.; Ijszenga, M.; de Jong, D.; Karseladze, A.; Tanke, H.J.; Hogendoorn, P.C. The NFATc2 gene is involved in a novel cloned translocation in a Ewing sarcoma variant that couples its function in immunology to oncology. Clin. Cancer Res. 2009, 15, 2259–2268. [Google Scholar] [CrossRef] [PubMed]
- Perret, R.; Escuriol, J.; Velasco, V.; Mayeur, L.; Soubeyran, I.; Delfour, C.; Aubert, S.; Polivka, M.; Karanian, M.; Meurgey, A.; et al. NFATc2-rearranged sarcomas: Clinicopathologic, molecular, and cytogenetic study of 7 cases with evidence of AGGRECAN as a novel diagnostic marker. Mod. Pathol. 2020, 33, 1930–1944. [Google Scholar] [CrossRef] [PubMed]
- Diaz-Perez, J.A.; Nielsen, G.P.; Antonescu, C.; Taylor, M.S.; Lozano-Calderon, S.A.; Rosenberg, A.E. EWSR1/FUS-NFATc2 rearranged round cell sarcoma: Clinicopathological series of 4 cases and literature review. Hum. Pathol. 2019, 90, 45–53. [Google Scholar] [CrossRef] [PubMed]
- Bode-Lesniewska, B.; Fritz, C.; Exner, G.U.; Wagner, U.; Fuchs, B. EWSR1-NFATC2 and FUS-NFATC2 Gene Fusion-Associated Mesenchymal Tumors: Clinicopathologic Correlation and Literature Review. Sarcoma 2019, 2019, 9386390. [Google Scholar] [CrossRef] [PubMed]
- Wang, G.Y.; Thomas, D.G.; Davis, J.L.; Ng, T.; Patel, R.M.; Harms, P.W.; Betz, B.L.; Schuetze, S.M.; McHugh, J.B.; Horvai, A.E.; et al. EWSR1-NFATC2 Translocation-associated Sarcoma Clinicopathologic Findings in a Rare Aggressive Primary Bone or Soft Tissue Tumor. Am. J. Surg. Pathol. 2019, 43, 1112–1122. [Google Scholar] [CrossRef]
- Yau, D.T.W.; Chan, J.K.C.; Bao, S.; Zheng, Z.; Lau, G.T.C.; Chan, A.C.L. Bone Sarcoma with EWSR1-NFATC2 Fusion: Sarcoma with Varied Morphology and Amplification of Fusion Gene Distinct from Ewing Sarcoma. Int. J. Surg. Pathol. 2019, 27, 561–567. [Google Scholar] [CrossRef]
- Cohen, J.N.; Sabnis, A.J.; Krings, G.; Cho, S.J.; Horvai, A.E.; Davis, J.L. EWSR1-NFATC2 gene fusion in a soft tissue tumor with epithelioid round cell morphology and abundant stroma: A case report and review of the literature. Hum. Pathol. 2018, 81, 281–290. [Google Scholar] [CrossRef]
- Koelsche, C.; Kriegsmann, M.; Kommoss, F.K.F.; Stichel, D.; Kriegsmann, K.; Vokuhl, C.; Grünewald, T.G.P.; Romero-Pérez, L.; Kirchner, T.; de Alava, E.; et al. DNA methylation profiling distinguishes Ewing-like sarcoma with EWSR1-NFATc2 fusion from Ewing sarcoma. J. Cancer Res. Clin. Oncol. 2019, 145, 1273–1281. [Google Scholar] [CrossRef] [PubMed]
- Watson, S.; Perrin, V.; Guillemot, D.; Reynaud, S.; Coindre, J.M.; Karanian, M.; Guinebretière, J.M.; Freneaux, P.; Le Loarer, F.; Bouvet, M.; et al. Transcriptomic definition of molecular subgroups of small round cell sarcomas. J. Pathol. 2018, 245, 29–40. [Google Scholar] [CrossRef] [PubMed]







| Case | Age | Gender | Location | Size | Fusion | CD99 | EMA | CNV | FISH EWSR1 | Therapie | Follow-Up (Months) |
|---|---|---|---|---|---|---|---|---|---|---|---|
| 1 | 17 | m | femur diaphysis | 3.2 cm | FUS::NFATC2 | NP | NP | none | NA | curettage | NSD (12) |
| 2 | 10 | m | proximal femur | 6.7 cm | FUS::NFATC2 | positive | focal | none | NA | curettage/resection | NSD (12) |
| 3 | 14 | m | proximal humerus diaphysis | 2.9 cm | EWSR1::NFATC2 | positive | positive | none | no amplification | curettage | NSD (10) |
| 4 | 69 | m | lower leg (distal fibularis brevis muscle) | 3.2 cm | EWSR1::NFATC2 | positive | positive | gain 22q1.1-13.2 loss 22q1.21-1.23 gain 22q1.23-2.2 loss 22q2.2-3.33 | amplification | resection | NSD (24) |
| 5 (low-grade) | 39 | m | femur | 14.5 cm | EWSR1::NFATC2 | positive | focal | gain 20p gain 20q11.1-13.13 gain 22q11.21-12.1 | amplification | resection | NSD (30) |
| 5 (high-grade) | gain 2 gain 5 gain 10 gain 12 gain 15q23-26.3 gain 20q11.1-11.22 gain 20q13.11-13.13 loss q21.11-22.33 loss 20q12 |
| Simple Bone Cyst | EWSR1/FUS::NFATc2 Complex Cystic Lesions | |
|---|---|---|
| Location | central; proximal long bone (humerus, femur) | central; proximal long bone |
| Osteolysis | geographic | geographic |
| Border | well defined | well defined |
| Zone of transition | narrow | narrow |
| Reactive interface/margin | thin sclerotic margin | surrounding sclerosis discontinuous or absent |
| Cortical involvement | endosteal scalopping possible | endosteal scalopping |
| Periosteal reaction | no | no |
| Soft tissue component | no | yes |
| Fracture | yes | yes |
Publisher’s Note: MDPI stays neutral with regard to jurisdictional claims in published maps and institutional affiliations. |
© 2022 by the authors. Licensee MDPI, Basel, Switzerland. This article is an open access article distributed under the terms and conditions of the Creative Commons Attribution (CC BY) license (https://creativecommons.org/licenses/by/4.0/).
Share and Cite
Brcic, I.; Scheipl, S.; Bergovec, M.; Leithner, A.; Szkandera, J.; Sotlar, K.; Suda, A.J.; Smolle, M.A.; Kraus, T.; Rosenberg, A.E.; et al. Implementation of Copy Number Variations-Based Diagnostics in Morphologically Challenging EWSR1/FUS::NFATC2 Neoplasms of the Bone and Soft Tissue. Int. J. Mol. Sci. 2022, 23, 16196. https://doi.org/10.3390/ijms232416196
Brcic I, Scheipl S, Bergovec M, Leithner A, Szkandera J, Sotlar K, Suda AJ, Smolle MA, Kraus T, Rosenberg AE, et al. Implementation of Copy Number Variations-Based Diagnostics in Morphologically Challenging EWSR1/FUS::NFATC2 Neoplasms of the Bone and Soft Tissue. International Journal of Molecular Sciences. 2022; 23(24):16196. https://doi.org/10.3390/ijms232416196
Chicago/Turabian StyleBrcic, Iva, Susanne Scheipl, Marko Bergovec, Andreas Leithner, Joanna Szkandera, Karl Sotlar, Arnold J. Suda, Maria Anna Smolle, Tanja Kraus, Andrew Eric Rosenberg, and et al. 2022. "Implementation of Copy Number Variations-Based Diagnostics in Morphologically Challenging EWSR1/FUS::NFATC2 Neoplasms of the Bone and Soft Tissue" International Journal of Molecular Sciences 23, no. 24: 16196. https://doi.org/10.3390/ijms232416196
APA StyleBrcic, I., Scheipl, S., Bergovec, M., Leithner, A., Szkandera, J., Sotlar, K., Suda, A. J., Smolle, M. A., Kraus, T., Rosenberg, A. E., Liegl-Atzwanger, B., & Igrec, J. (2022). Implementation of Copy Number Variations-Based Diagnostics in Morphologically Challenging EWSR1/FUS::NFATC2 Neoplasms of the Bone and Soft Tissue. International Journal of Molecular Sciences, 23(24), 16196. https://doi.org/10.3390/ijms232416196

