Ranolazine Attenuates Brain Inflammation in a Rat Model of Type 2 Diabetes
Abstract
1. Introduction
2. Results
2.1. Histology
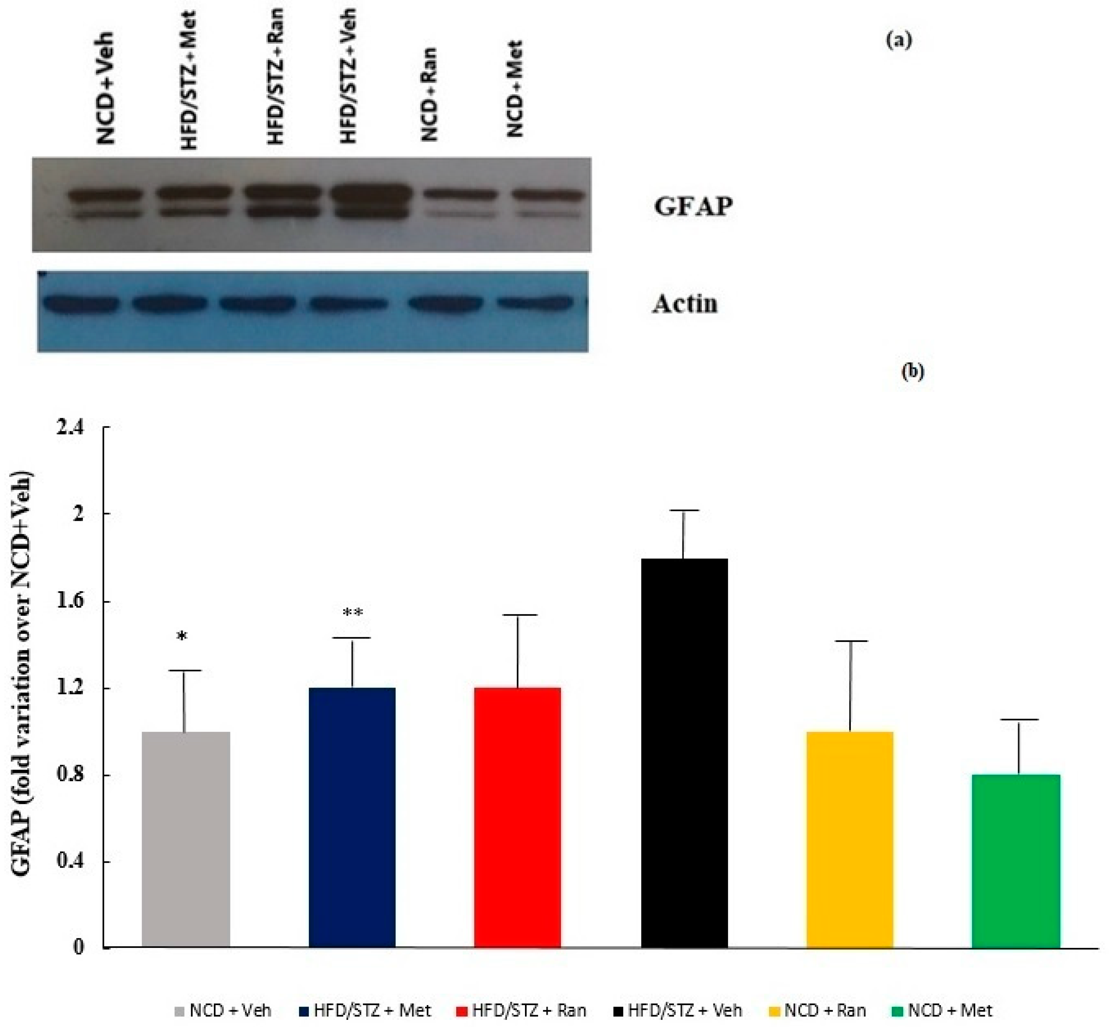
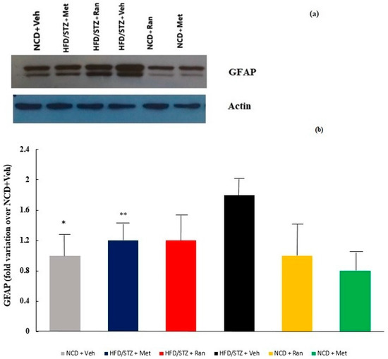
2.2. GFAP Expression
2.3. Tumor Necrosis Factor α (TNF α) mRNA Levels
3. Discussion
4. Material and Methods
4.1. Animals
4.2. Tissue Preparation
4.3. Histological Examination
4.4. Western Blotting for GFAP Expression
4.5. Real-Time RT-PCR for TNFα Expression
4.6. Statistical Analysis
Supplementary Materials
Author Contributions
Funding
Institutional Review Board Statement
Data Availability Statement
Conflicts of Interest
References
- De La Monte, S.M.; Wands, J.R. Alzheimer’s disease is type 3 diabetes-evidence reviewed. J. Diabetes Sci. Technol. 2008, 2, 1101–1113. [Google Scholar] [CrossRef]
- Noor, A.; Zahid, S. Alterations in adult hippocampal neurogenesis, aberrant protein s-nitrosylation, and associated spatial memory loss in streptozotocin-induced diabetes mellitus type 2 mice. Iran. J. Basic Med. Sci. 2017, 20, 1159–1165. [Google Scholar] [PubMed]
- Ahmed, S.; Mahmood, Z.; Zahid, S. Linking insulin with Alzheimer’s disease: Emergence as type III diabetes. Neurol. Sci. 2015, 36, 1763–1769. [Google Scholar] [CrossRef] [PubMed]
- Moroz, N.; Tong, M.; Longato, L.; Xu, H.; De La Monte, S.M. Limited Alzheimer-type neurodegeneration in experimental obesity and type 2 diabetes mellitus. J. Alzheimer’s Dis. 2008, 15, 29–44. [Google Scholar] [CrossRef]
- Van Harten, B.; De Leeuw, F.E.; Weinstein, H.C.; Scheltens, P.; Biessels, G.J. Brain imaging in patients with diabetes: A systematic review. Diabetes Care 2006, 29, 2539–2548. [Google Scholar] [CrossRef] [PubMed]
- Biessels, G.J.; Strachan, M.W.J.; Visseren, F.L.J.; Kappelle, L.J.; Whitmer, R.A. Dementia and cognitive decline in type 2 diabetes and prediabetic stages: Towards targeted interventions. Lancet Diabetes Endocrinol. 2014, 2, 246–255. [Google Scholar] [CrossRef] [PubMed]
- Last, D.; Alsop, D.C.; Abduljalil, A.M.; Marquis, R.P.; De Bazelaire, C.; Hu, K.; Cavallerano, J.; Novak, V. Global and regional effects of type 2 diabetes on brain tissue volumes and cerebral vasoreactivity. Diabetes Care 2007, 30, 1193–1199. [Google Scholar] [CrossRef] [PubMed]
- Etiene, D.; Kraft, J.; Ganju, N.; Gomez-Isla, T.; Gemelli, B.; Hyman, B.T.; Hedley-Whyte, E.T.; Wands, J.R.; De la Monte, S.M. Cerebrovascular pathology contributes to the heterogeneity of Alzheimer’s disease. J. Alzheimer’s Dis. 1998, 1, 119–134. [Google Scholar] [CrossRef] [PubMed]
- Korf, E.S.C.; White, L.R.; Scheltens, P.H.; Launer, L.J. Brain aging in very old men with type 2 diabetes: The Honolulu-Asia Aging Study. Diabetes Care 2006, 29, 2268–2274. [Google Scholar] [CrossRef]
- Whitmer, R.A. Type 2 diabetes and risk of cognitive impairment and dementia. Curr. Neurol. Neurosci. Rep. 2007, 7, 373–380. [Google Scholar] [CrossRef] [PubMed]
- Takeda, S.; Sato, N.; Uchio-Yamada, K.; Sawada, K.; Kunieda, T.; Takeuchi, D.; Kurinami, H.; Shinohara, M.; Rakugi, H.; Morishita, R. Diabetes-accelerated memory dysfunction via cerebrovascular inflammation and Aβ deposition in an Alzheimer mouse model with diabetes. Proc. Natl. Acad. Sci. USA 2010, 107, 7036–7041. [Google Scholar] [CrossRef] [PubMed]
- Qiu, C.; De Ronchi, D.; Fratiglioni, L. The epidemiology of the dementias: An update. Curr. Opin. Psychiatry 2007, 20, 380–385. [Google Scholar] [CrossRef] [PubMed]
- Thadani, U. Should ranolazine be used for all patients with ischemic heart disease or only for symptomatic patients with stable angina or for those with refractory angina pectoris? A critical appraisal. Expert Opin. Pharmacother. 2012, 13, 2555–2563. [Google Scholar] [CrossRef] [PubMed]
- Kosiborod, M.; Arnold, S.V.; Spertus, J.A.; McGuire, D.K.; Li, Y.; Yue, P.; Ben-Yehuda, O.; Katz, A.; Jones, P.G.; Olmsted, A.; et al. Evaluation of ranolazine in patients with type 2 diabetes mellitus and chronic stable angina: Results from the TERISA randomized clinical trial (Type 2 Diabetes Evaluation of Ranolazine in Subjects with Chronic Stable Angina). J. Am. Coll. Cardiol. 2013, 61, 2038–2045. [Google Scholar] [CrossRef]
- Ging, K.W.; Calderon, J.; Wang, S.Y. State- and use-dependent block of muscle Nav1.4 and neuronal Nav1.7 voltage-gated Na+ channel isoforms by ranolazine. Mol. Pharmacol. 2008, 73, 940–948. [Google Scholar]
- Kahlig, K.M.; Lepist, I.; Leung, K.; Rajamani, S.; George, A.L. Ranolazine selectively blocks persistent current evoked by epilepsy-associated Na V1.1 mutations. Br. J. Pharmacol. 2010, 161, 1414–1426. [Google Scholar] [CrossRef]
- Aldasoro, M.; Guerra-Ojeda, S.; Aguirre-Rueda, D.; Mauricio, M.D.; Vila, J.M.; Marchio, P.; Iradi, A.; Aldasoro, C.; Jorda, A.; Obrador, E.; et al. Effects of ranolazine on astrocytes and neurons in primary culture. PLoS ONE 2016, 11, e0150619. [Google Scholar] [CrossRef]
- Elkholy, S.E.; Elaidy, S.M.; El-Sherbeeny, N.A.; Toraih, E.A.; El-Gawly, H.W. Neuroprotective effects of ranolazine versus pioglitazone in experimental diabetic neuropathy: Targeting Nav1.7 channels and PPAR-γ. Life Sci. 2020, 250, 117557. [Google Scholar] [CrossRef]
- Cassano, V.; Leo, A.; Tallarico, M.; Nesci, V.; Cimellaro, A.; Fiorentino, T.V.; Citraro, R.; Hribal, M.L.; De Sarro, G.; Perticone, F.; et al. Metabolic and cognitive effects of ranolazine in type 2 diabetes mellitus: Data from an in vivo model. Nutrients 2020, 12, 382. [Google Scholar] [CrossRef]
- Olmos, G.; Llado, J. Neuroinflammation and excitotoxicity. Cytokines Dis. 2014, 1865, 1098–1112. [Google Scholar]
- Campbell, J.M.; Stephenson, M.D.; de Courten, B.; Chapman, I.; Bellman, S.M.; Aromataris, E. Metformin and Alzheimer’s disease, dementia and cognitive impairment: A systematic review protocol. JBI Database Syst. Rev. Implement. Rep. 2017, 15, 2055–2059. [Google Scholar] [CrossRef] [PubMed]
- Bettcher, B.M.; Olson, K.E.; Carlson, N.E.; McConnell, B.V.; Boyd, T.; Adame, V.; Solano, D.A.; Anton, P.; Markham, N.; Thaker, A.A.; et al. Astrogliosis and episodic memory in late life: Higher GFAP is related to worse memory and white matter microstructure in healthy aging and Alzheimer’s disease. Neurobiol. Aging 2021, 103, 68–77. [Google Scholar] [CrossRef] [PubMed]
- Munger, E.L.; Edler, M.K.; Hopkins, W.D.; Ely, J.J.; Erwin, J.M.; Perl, D.P.; Mufson, E.J.; Hof, P.R.; Sherwood, C.C.; Raghanti, M.A. Astrocytic changes with aging and Alzheimer’s disease-type pathology in chimpanzees. J. Comp. Neurol. 2019, 527, 1179–1195. [Google Scholar] [CrossRef] [PubMed]
- Bagetta, G.; Chiappetta, O.; Amantea, D.; Iannone, M.; Rotiroti, D.; Costa, A.; Nappi, G.; Corasaniti, M.T. Estradiol reduces cytochrome c translocation and minimizes hippocampal damage caused by transient global ischemia in rat. Neurosci. Lett. 2004, 368, 87–91. [Google Scholar] [CrossRef] [PubMed]
- Andreozzi, F.; Procopio, C.; Greco, A.; Mannino, G.C.; Miele, C.; Raciti, G.A.; Iadicicco, C.; Beguinot, F.; Pontiroli, A.E.; Hribal, M.L.; et al. Increased levels of the Akt-specific phosphatase PH domain leucine-rich repeat protein phosphatase (PHLPP)-1 in obese participants are associated with insulin resistance. Diabetologia 2011, 54, 1879–1887. [Google Scholar] [CrossRef] [PubMed]





Publisher’s Note: MDPI stays neutral with regard to jurisdictional claims in published maps and institutional affiliations. |
© 2022 by the authors. Licensee MDPI, Basel, Switzerland. This article is an open access article distributed under the terms and conditions of the Creative Commons Attribution (CC BY) license (https://creativecommons.org/licenses/by/4.0/).
Share and Cite
Cassano, V.; Tallarico, M.; Armentaro, G.; De Sarro, C.; Iannone, M.; Leo, A.; Citraro, R.; Russo, E.; De Sarro, G.; Hribal, M.L.; et al. Ranolazine Attenuates Brain Inflammation in a Rat Model of Type 2 Diabetes. Int. J. Mol. Sci. 2022, 23, 16160. https://doi.org/10.3390/ijms232416160
Cassano V, Tallarico M, Armentaro G, De Sarro C, Iannone M, Leo A, Citraro R, Russo E, De Sarro G, Hribal ML, et al. Ranolazine Attenuates Brain Inflammation in a Rat Model of Type 2 Diabetes. International Journal of Molecular Sciences. 2022; 23(24):16160. https://doi.org/10.3390/ijms232416160
Chicago/Turabian StyleCassano, Velia, Martina Tallarico, Giuseppe Armentaro, Caterina De Sarro, Michelangelo Iannone, Antonio Leo, Rita Citraro, Emilio Russo, Giovambattista De Sarro, Marta Letizia Hribal, and et al. 2022. "Ranolazine Attenuates Brain Inflammation in a Rat Model of Type 2 Diabetes" International Journal of Molecular Sciences 23, no. 24: 16160. https://doi.org/10.3390/ijms232416160
APA StyleCassano, V., Tallarico, M., Armentaro, G., De Sarro, C., Iannone, M., Leo, A., Citraro, R., Russo, E., De Sarro, G., Hribal, M. L., & Sciacqua, A. (2022). Ranolazine Attenuates Brain Inflammation in a Rat Model of Type 2 Diabetes. International Journal of Molecular Sciences, 23(24), 16160. https://doi.org/10.3390/ijms232416160

