Spinal Cord Injury Causes Marked Tissue Rearrangement in the Urethra—Experimental Study in the Rat
Abstract
1. Introduction
2. Results
2.1. Complete Spinal Cord Transection Alters Bladder Reflex Activity
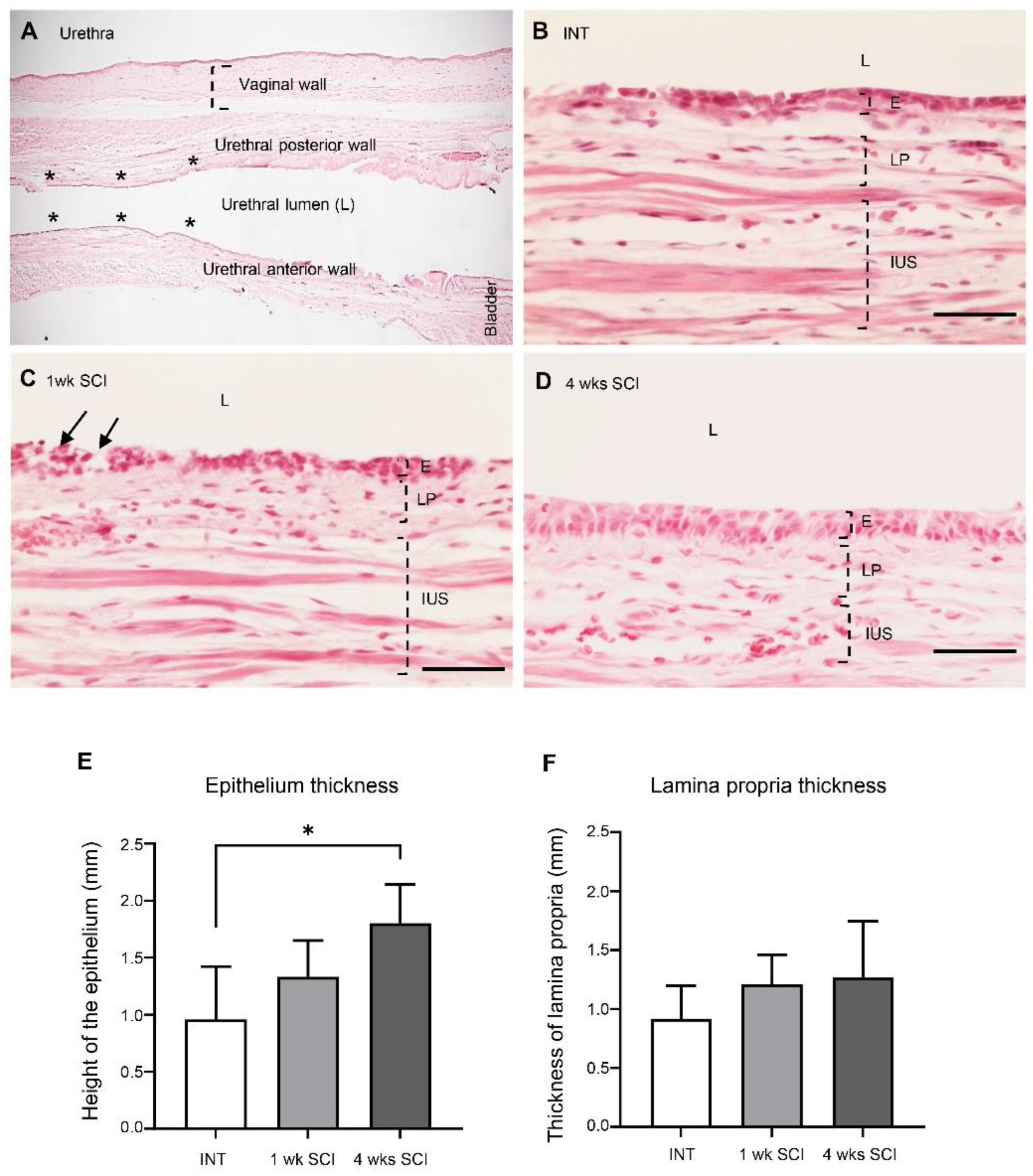
2.2. Spinal Cord Transection Affects the Organization of the Urethral Epithelium
2.3. Changes in the Urethral Sphincter after SCI
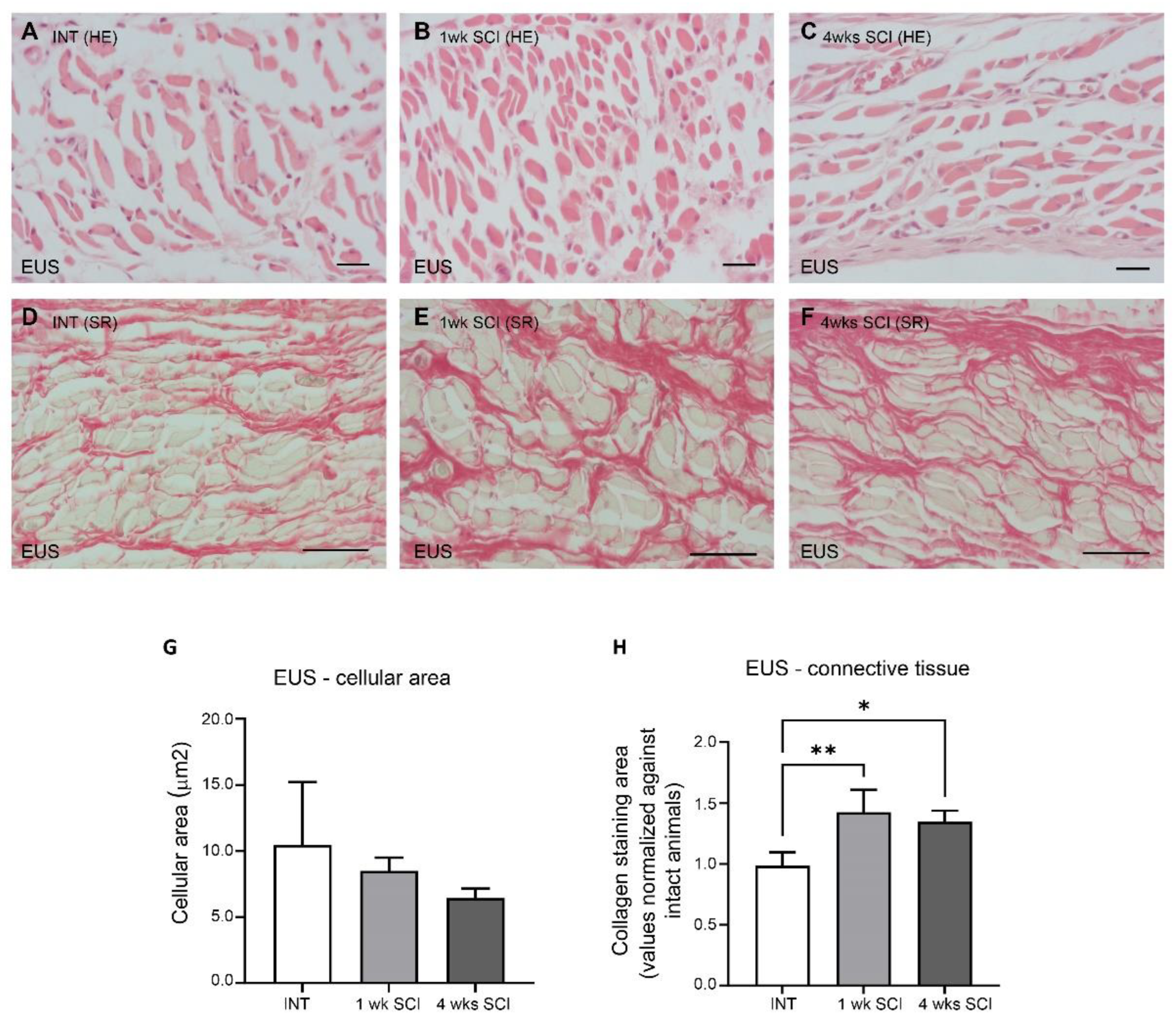
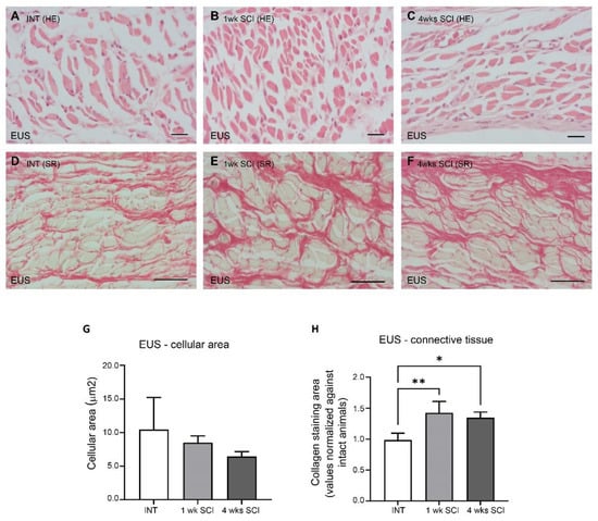
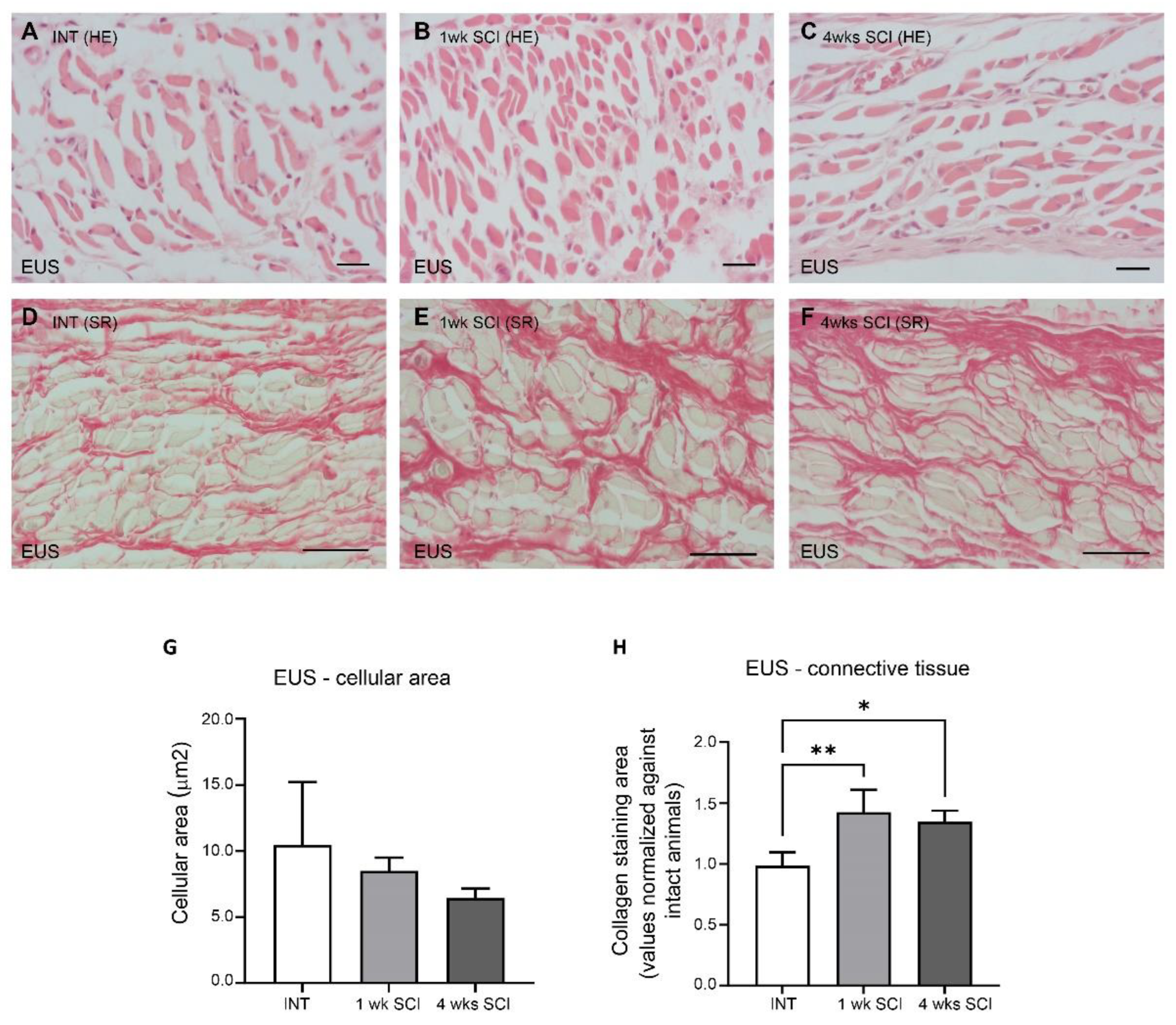
2.3.1. Internal Urethral Sphincter
2.3.2. External Urethral Sphincter
2.4. Urethral Innervation after SCI
2.4.1. General Innervation
2.4.2. Sensory Innervation
2.4.3. Sympathetic Innervation
2.4.4. Parasympathetic Innervation
2.4.5. Sprouting of Nerve Fibers
3. Discussion
4. Materials and Methods
4.1. Animals and Drugs
4.2. Complete Spinal Cord Transection
4.3. Cystometries and Terminal Handling
4.4. Histological Analysis
4.5. Immunohistochemical Tissue Assessment
4.6. Quantifications and Statistics
5. Conclusions
Author Contributions
Funding
Institutional Review Board Statement
Conflicts of Interest
References
- De Groat, W.C.; Yoshimura, N. Changes in afferent activity after spinal cord injury. Neurourol. Urodyn. 2010, 29, 63–76. [Google Scholar] [CrossRef] [PubMed]
- Cruz, C.D.; Cruz, F. Spinal cord injury and bladder dysfunction: New ideas about an old problem. Sci. World J. 2011, 11, 214–234. [Google Scholar] [CrossRef] [PubMed]
- Bywater, M.; Tornic, J.; Mehnert, U.; Kessler, T.M. Detrusor Acontractility after Acute Spinal Cord Injury-Myth or Reality? J. Urol. 2018, 199, 1565–1570. [Google Scholar] [CrossRef] [PubMed]
- Ditunno, J.F.; Little, J.W.; Tessler, A.; Burns, A.S. Spinal shock revisited: A four-phase model. Spinal Cord 2004, 42, 383–395. [Google Scholar] [CrossRef]
- Anjum, A.; Yazid, M.D.; Fauzi Daud, M.; Idris, J.; Ng, A.M.H.; Selvi Naicker, A.; Ismail, O.H.R.; Athi Kumar, R.K.; Lokanathan, Y. Spinal Cord Injury: Pathophysiology, Multimolecular Interactions, and Underlying Recovery Mechanisms. Int. J. Mol. Sci. 2020, 21, 7533. [Google Scholar] [CrossRef]
- Silva, N.A.; Sousa, N.; Reis, R.L.; Salgado, A.J. From basics to clinical: A comprehensive review on spinal cord injury. Prog. Neurobiol. 2014, 114, 25–57. [Google Scholar] [CrossRef]
- De Groat, W.C.; Yoshimura, N. Mechanisms underlying the recovery of lower urinary tract function following spinal cord injury. Prog. Brain Res. 2006, 152, 59–84. [Google Scholar]
- Chambel, S.S.; Ferreira, A.; Oliveira, R.; Miranda, R.; Vale, L.; Reguenga, C.; Schwab, M.E.; Cruz, C.D. Development of Neurogenic Detrusor Overactivity after Thoracic Spinal Cord Injury Is Accompanied by Time-Dependent Changes in Lumbosacral Expression of Axonal Growth Regulators. Int. J. Mol. Sci. 2022, 23, 15. [Google Scholar] [CrossRef]
- Panicker, J.N.; Fowler, C.J.; Kessler, T.M. Lower urinary tract dysfunction in the neurological patient: Clinical assessment and management. Lancet Neurol. 2015, 14, 720–732. [Google Scholar] [CrossRef]
- Groen, J.; Pannek, J.; Castro Diaz, D.; Del Popolo, G.; Gross, T.; Hamid, R.; Karsenty, G.; Kessler, T.M.; Schneider, M.; Hoen, L.; et al. Summary of European Association of Urology (EAU) Guidelines on Neuro-Urology. Eur. Urol. 2016, 69, 324–333. [Google Scholar] [CrossRef]
- Welk, B.; Schneider, M.P.; Thavaseelan, J.; Traini, L.R.; Curt, A.; Kessler, T.M. Early urological care of patients with spinal cord injury. World J. Urol. 2018, 36, 1537–1544. [Google Scholar] [CrossRef] [PubMed]
- Ginsberg, D.; Cruz, F.; Herschorn, S.; Gousse, A.; Keppenne, V.; Aliotta, P.; Sievert, K.D.; Brin, M.F.; Jenkins, B.; Thompson, C.; et al. OnabotulinumtoxinA is effective in patients with urinary incontinence due to neurogenic detrusor overactivity [corrected] regardless of concomitant anticholinergic use or neurologic etiology. Adv. Ther. 2013, 30, 819–833. [Google Scholar] [CrossRef] [PubMed]
- Costachescu, B.; Niculescu, A.G.; Dabija, M.G.; Teleanu, R.I.; Grumezescu, A.M.; Eva, L. Novel Strategies for Spinal Cord Regeneration. Int. J. Mol. Sci. 2022, 23, 4552. [Google Scholar] [CrossRef]
- Kaur, J.; Ghosh, S.; Sahani, A.K.; Sinha, J.K. Mental Imagery as a Rehabilitative Therapy for Neuropathic Pain in People With Spinal Cord Injury: A Randomized Controlled Trial. Neurorehabilit. Neural Repair 2020, 34, 1038–1049. [Google Scholar] [CrossRef] [PubMed]
- Pajak, R.; Kamboj, S.K. Experimental single-session imagery rescripting of distressing memories in bowel/bladder-control anxiety: A case series. Front. Psychiatry 2014, 5, 182. [Google Scholar] [CrossRef]
- Johnston, L.; Cunningham, R.M.; Young, J.S.; Fry, C.H.; McMurray, G.; Eccles, R.; McCloskey, K.D. Altered distribution of interstitial cells and innervation in the rat urinary bladder following spinal cord injury. J. Cell. Mol. Med. 2012, 16, 1533–1543. [Google Scholar] [CrossRef]
- Apodaca, G.; Kiss, S.; Ruiz, W.; Meyers, S.; Zeidel, M.; Birder, L. Disruption of bladder epithelium barrier function after spinal cord injury. Am. J. Physiol. Ren. Physiol. 2003, 284, F966–F976. [Google Scholar] [CrossRef]
- Brady, C.M.; Apostolidis, A.N.; Harper, M.; Yiangou, Y.; Beckett, A.; Jacques, T.S.; Freeman, A.; Scaravilli, F.; Fowler, C.J.; Anand, P. Parallel changes in bladder suburothelial vanilloid receptor TRPV1 and pan-neuronal marker PGP9.5 immunoreactivity in patients with neurogenic detrusor overactivity after intravesical resiniferatoxin treatment. BJU Int. 2004, 93, 770–776. [Google Scholar] [CrossRef]
- Woock, J.P.; Yoo, P.B.; Grill, W.M. Intraurethral stimulation evokes bladder responses via 2 distinct reflex pathways. J. Urol. 2009, 182, 366–373. [Google Scholar] [CrossRef]
- Peng, C.-W.; Chen, J.-J.J.; Cheng, C.-L.; Grill, W.M. Improved bladder emptying in urinary retention by electrical stimulation of pudendal afferents. J. Neural Eng. 2008, 5, 144. [Google Scholar] [CrossRef]
- Robain, G.; Combrisson, H.; Mazieres, L. Bladder response to urethral flow in the awake ewe. Neurourol. Urodyn. 2001, 20, 641–649. [Google Scholar] [CrossRef] [PubMed]
- Shafik, A.; Shafik, A.A.; El-Sibai, O.; Ahmed, I. Role of positive urethrovesical feedback in vesical evacuation. The concept of a second micturition reflex: The urethrovesical reflex. World J. Urol. 2003, 21, 167–170. [Google Scholar] [CrossRef] [PubMed]
- Coelho, A.; Oliveira, R.; Cavaleiro, H.; Cruz, C.D.; Cruz, F. Evidence for an urethro-vesical crosstalk mediated by serotonin. Neurourol. Urodyn. 2018, 37, 2389–2397. [Google Scholar] [CrossRef] [PubMed]
- Kullmann, F.A.; Chang, H.H.; Gauthier, C.; McDonnell, B.M.; Yeh, J.C.; Clayton, D.R.; Kanai, A.J.; de Groat, W.C.; Apodaca, G.L.; Birder, L.A. Serotonergic paraneurones in the female mouse urethral epithelium and their potential role in peripheral sensory information processing. Acta Physiol. 2018, 222, 2. [Google Scholar] [CrossRef]
- Vizzard, M.A. Alterations in growth-associated protein (GAP-43) expression in lower urinary tract pathways following chronic spinal cord injury. Somatosens. Mot. Res. 1999, 16, 369–381. [Google Scholar] [CrossRef]
- Oliveira, R.; Coelho, A.; Franquinho, F.; Sousa, M.M.; Cruz, F.; Cruz, D.C. Effects of early intravesical administration of resiniferatoxin to spinal cord-injured rats in neurogenic detrusor overactivity. Neurourol. Urodyn. 2019, 38, 1540–1550. [Google Scholar] [CrossRef]
- Kullmann, F.A.; Clayton, D.R.; Ruiz, W.G.; Wolf-Johnston, A.; Gauthier, C.; Kanai, A.; Birder, L.A.; Apodaca, G. Urothelial proliferation and regeneration after spinal cord injury. Am. J. Physiol. Ren. Physiol. 2017, 313, F85–F102. [Google Scholar] [CrossRef]
- Toosi, K.K.; Nagatomi, J.; Chancellor, M.B.; Sacks, M.S. The effects of long-term spinal cord injury on mechanical properties of the rat urinary bladder. Ann. Biomed. Eng. 2008, 36, 1470–1480. [Google Scholar] [CrossRef]
- Deveaud, C.M.; Macarak, E.J.; Kucich, U.; Ewalt, D.H.; Abrams, W.R.; Howard, P.S. Molecular analysis of collagens in bladder fibrosis. J. Urol. 1998, 160, 1518–1527. [Google Scholar] [CrossRef]
- Eggermont, M.; De Wachter, S.; Eastham, J.; Gillespie, J. Innervation of the Epithelium and Lamina Propria of the Urethra of the Female Rat. Anat. Rec. 2019, 302, 201–214. [Google Scholar] [CrossRef]
- Avelino, A.; Cruz, C.; Nagy, I.; Cruz, F. Vanilloid receptor 1 expression in the rat urinary tract. Neuroscience 2002, 109, 787–798. [Google Scholar] [CrossRef] [PubMed]
- Frias, B.; Santos, J.; Morgado, M.; Sousa, M.M.; Gray, S.M.Y.; McCloskey, K.D.; Allen, S.; Cruz, F.; Cruz, C.D. The Role of Brain-Derived Neurotrophic Factor (BDNF) in the Development of Neurogenic Detrusor Overactivity (NDO). J. Neurosci. 2015, 35, 2146–2160. [Google Scholar] [CrossRef] [PubMed]
- Zinck, N.D.; Rafuse, V.F.; Downie, J.W. Sprouting of CGRP primary afferents in lumbosacral spinal cord precedes emergence of bladder activity after spinal injury. Exp. Neurol. 2007, 204, 777–790. [Google Scholar] [CrossRef]
- Kadekawa, K.; Majima, T.; Shimizu, T.; Wada, N.; de Groat, W.C.; Kanai, A.J.; Goto, M.; Yoshiyama, M.; Sugaya, K.; Yoshimura, N. The role of capsaicin-sensitive C-fiber afferent pathways in the control of micturition in spinal-intact and spinal cord-injured mice. Am. J. Physiol. Ren. Physiol. 2017, 313, F796–F804. [Google Scholar] [CrossRef]
- Yoshimura, N.; Chancellor, M.B. Neurophysiology of lower urinary tract function and dysfunction. Rev. Urol. 2003, 5 (Suppl. S8), S3–S10. [Google Scholar] [PubMed]
- Fronek, K. Trophic effect of the sympathetic nervous system on vascular smooth muscle. Ann. Biomed. Eng. 1983, 11, 607–615. [Google Scholar] [CrossRef]
- Zhang, H.; Faber, J.E. Trophic effect of norepinephrine on arterial intima-media and adventitia is augmented by injury and mediated by different α1-adrenoceptor subtypes. Circ. Res. 2001, 89, 815–822. [Google Scholar] [CrossRef]
- Clemow, D.B.; Steers, W.D.; Tuttle, J.B. Stretch-activated signaling of nerve growth factor secretion in bladder and vascular smooth muscle cells from hypertensive and hyperactive rats. J. Cell Physiol. 2000, 183, 289–300. [Google Scholar] [CrossRef]
- Persson, K.; Steers, W.D.; Tuttle, J.B. Regulation of nerve growth factor secretion in smooth muscle cells cultured from rat bladder body, base and urethra. J. Urol. 1997, 157, 2000–2006. [Google Scholar] [CrossRef]
- Cruz, C.D. Neurotrophins in bladder function: What do we know and where do we go from here? Neurourol. Urodyn. 2014, 33, 39–45. [Google Scholar] [CrossRef]
- Pierchala, B.A.; Ahrens, R.C.; Paden, A.J.; Johnson, E.M. Nerve growth factor promotes the survival of sympathetic neurons through the cooperative function of the protein kinase C and phosphatidylinositol 3-kinase pathways. J. Biol. Chem. 2004, 279, 27986–27993. [Google Scholar] [CrossRef] [PubMed]
- De Groat, W.C.; Griffiths, D.; Yoshimura, N. Neural control of the lower urinary tract. Compr. Physiol. 2015, 5, 327–396. [Google Scholar] [PubMed]
- Takahara, Y.; Maeda, M.; Nakatani, T.; Kiyama, H. Transient suppression of the vesicular acetylcholine transporter in urinary bladder pathways following spinal cord injury. Brain Res. 2007, 1137, 20–28. [Google Scholar] [CrossRef] [PubMed]
- Benowitz, L.I.; Routtenberg, A. GAP-43: An intrinsic determinant of neuronal development and plasticity. Trends Neurosci. 1997, 20, 84–91. [Google Scholar] [CrossRef]
- Wada, N.; Shimizu, T.; Shimizu, N.; de Groat, W.C.; Kanai, A.J.; Tyagi, P.; Kakizaki, H.; Yoshimura, N. The effect of neutralization of nerve growth factor (NGF) on bladder and urethral dysfunction in mice with spinal cord injury. Neurourol. Urodyn. 2018, 37, 1889–1896. [Google Scholar] [CrossRef]









| Spinal Intact | SCI—1 Week | SCI—4 Weeks | |
|---|---|---|---|
| Frequency | 0.60 ± 0.18 | 0.10 ± 0.08 ** p < 0.01 | 1.14 ± 0.15 ** p < 0.01 #### p < 0.0001 |
| Peak pressure | 44.27 ± 6.34 | 29.77 ± 1.29 ** p < 0.01 | 46.27 ± 4.06 ## p < 0.01 |
| Amplitude | 28.31 ± 10.63 | 3.29 ± 0.68 ** p < 0.01 | 23.65 ± 5.62 ## p < 0.01 |
| Primary Target | Dilution | Host Species | Manufacturer | Reference |
|---|---|---|---|---|
| SMA | 1:1000 | rabbit | Abcam | Ab124964 |
| B-III tubulin | 1:1000 | rabbit | Synaptic systems | Sysy302302 |
| GAP43 | 1:500 | sheep | Novus | NBP1-41123 |
| CGRP | 1:1000 | rabbit | Cell signaling | 14959 |
| VachT | 1:1000 | rabbit | Synaptic systems | Sysy139103 |
| TH | 1:500 | rabbit | Abcam | Ab137869 |
| Secondary Target | Dilution | Host Species | Manufacturer | Reference |
|---|---|---|---|---|
| Rabbit/Alexa 488 | 1:1000 | donkey | ThermoFisher | Ab21206 |
| Rabbit/biotinylated | 1:200 | swine | Dako Denmark | E0353 |
| Sheep/Alexa 568 | 1:1000 | goat | ThermoFisher | A21206 |
Publisher’s Note: MDPI stays neutral with regard to jurisdictional claims in published maps and institutional affiliations. |
© 2022 by the authors. Licensee MDPI, Basel, Switzerland. This article is an open access article distributed under the terms and conditions of the Creative Commons Attribution (CC BY) license (https://creativecommons.org/licenses/by/4.0/).
Share and Cite
Ferreira, A.; Chambel, S.S.; Avelino, A.; Cruz, C.D. Spinal Cord Injury Causes Marked Tissue Rearrangement in the Urethra—Experimental Study in the Rat. Int. J. Mol. Sci. 2022, 23, 15951. https://doi.org/10.3390/ijms232415951
Ferreira A, Chambel SS, Avelino A, Cruz CD. Spinal Cord Injury Causes Marked Tissue Rearrangement in the Urethra—Experimental Study in the Rat. International Journal of Molecular Sciences. 2022; 23(24):15951. https://doi.org/10.3390/ijms232415951
Chicago/Turabian StyleFerreira, Ana, Sílvia Sousa Chambel, António Avelino, and Célia Duarte Cruz. 2022. "Spinal Cord Injury Causes Marked Tissue Rearrangement in the Urethra—Experimental Study in the Rat" International Journal of Molecular Sciences 23, no. 24: 15951. https://doi.org/10.3390/ijms232415951
APA StyleFerreira, A., Chambel, S. S., Avelino, A., & Cruz, C. D. (2022). Spinal Cord Injury Causes Marked Tissue Rearrangement in the Urethra—Experimental Study in the Rat. International Journal of Molecular Sciences, 23(24), 15951. https://doi.org/10.3390/ijms232415951

