Atraric Acid Ameliorates Hyperpigmentation through the Downregulation of the PKA/CREB/MITF Signaling Pathway
Abstract
1. Introduction
2. Results
2.1. Atraric Acid Has No Cytotoxicity in α-MSH-Induced PIG1 Cells
2.2. AA Suppresses Melanin Synthesis and Tyrosinase in α-MSH-Induced PIG1 Cells
2.3. Molecular Docking of Relation Proteins of Melanogenesis
2.4. Effects of AA on the Expression Levels of Key Mediators of Melanogenesis in α-MSH-Induced PIG1 Cells
2.5. Effects of AA on the Phosphorylation of CREB and PKA in α-MSH-Induced PIG1 Cells
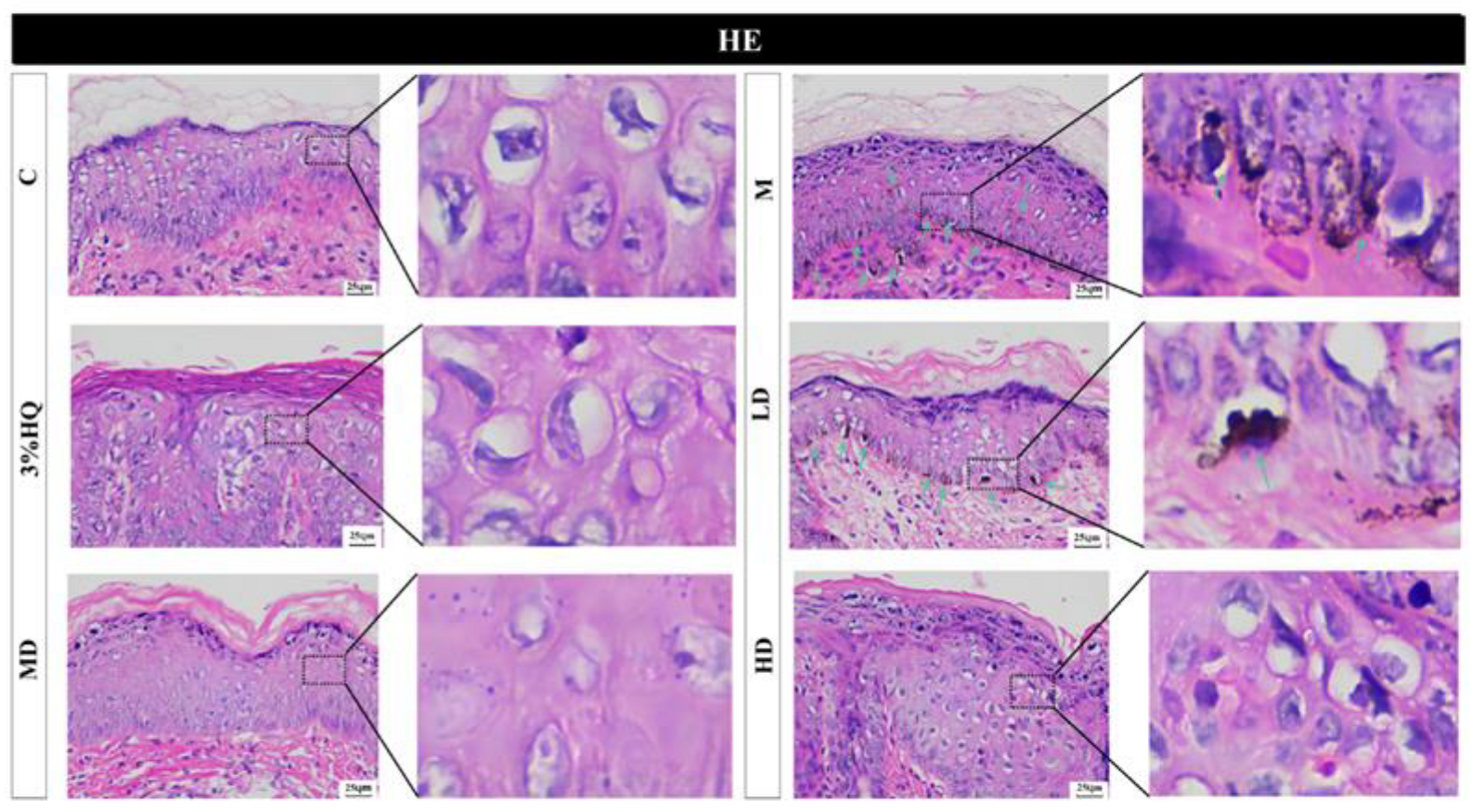
2.6. Effects of AA on UVB-Induced Hyperpigmentation in Guinea Pigs
2.7. Effects of AA on Expression Levels of Melanogenesis-Related Genes In Vivo
2.8. Effects of AA on the PKA/CREB/MITF Signaling Pathway
3. Discussion
4. Materials and Methods
4.1. Materials
4.2. Preparation of Atraric Acid
4.3. Molecular Docking Analysis
4.4. Cell Culture and Cell Viability Assay
4.5. Animals
4.6. Melanin Contents and Tyrosinase Activity Assay
4.7. Immunofluorescence Staining
4.8. Histology Analyses of the Skin, Liver and Kidney
4.9. Western Blot Analysis
4.10. Quantitative Reverse Transcription Polymerase Chain Reaction (RT-qPCR)
4.11. Statistical Analysis
5. Conclusions
Supplementary Materials
Author Contributions
Funding
Institutional Review Board Statement
Informed Consent Statement
Conflicts of Interest
References
- Hearing, V.J.; Jiménez, M. Mammalian tyrosinase--the critical regulatory control point in melanocyte pigmentation. Int. J. Biochem. 1987, 19, 1141–1147. [Google Scholar] [CrossRef] [PubMed]
- Orlow, S.J.; Zhou, B.K.; Chakraborty, A.K.; Drucker, M.; Pifko-Hirst, S.; Pawelek, J.M. High-molecular-weight forms of tyrosinase and the tyrosinase-related proteins: Evidence for a melanogenic complex. J. Investig. Dermatol. 1994, 103, 196–201. [Google Scholar] [CrossRef] [PubMed]
- Slominski, A.; Tobin, D.J.; Shibahara, S.; Wortsman, J. Melanin pigmentation in mammalian skin and its hormonal regulation. Physiol. Rev. 2004, 84, 1155–1228. [Google Scholar] [CrossRef] [PubMed]
- D’Mello, S.A.; Finlay, G.J.; Baguley, B.C.; Askarian-Amiri, M.E. Signaling Pathways in Melanogenesis. Int. J. Mol. Sci. 2016, 17, 1144. [Google Scholar] [CrossRef] [PubMed]
- Kim, J.H.; Kim, D.H.; Cho, K.M.; Kim, K.H.; Kang, N.J. Effect of 3,6-anhydro-l-galactose on α-melanocyte stimulating hormone-induced melanogenesis in human melanocytes and a skin-equivalent model. J. Cell. Biochem. 2018, 119, 7643–7656. [Google Scholar] [CrossRef]
- Xu, W.; Gong, L.; Haddad, M.M.; Bischof, O.; Campisi, J.; Yeh, E.T.; Medrano, E.E. Regulation of microphthalmia-associated transcription factor MITF protein levels by association with the ubiquitin-conjugating enzyme hUBC9. Exp. Cell. Res. 2000, 255, 135–143. [Google Scholar] [CrossRef]
- Kholmanskikh, O.; van-Baren, N.; Brasseur, F.; Ottaviani, S.; Vanacker, J.; Arts, N.; van-der-Bruggen, P.; Coulie, P.; De-Plaen, E. Interleukins 1alpha and 1beta secreted by some melanoma cell lines strongly reduce expression of MITF-M and melanocyte differentiation antigens. Int. J. Cancer. 2010, 127, 1625–1636. [Google Scholar] [CrossRef]
- Su, T.R.; Lin, J.J.; Tsai, C.C.; Huang, T.K.; Yang, Z.Y.; Wu, M.O.; Zheng, Y.Q.; Su, C.C.; Wu, Y.J. Inhibition of melanogenesis by gallic acid: Possible involvement of the PI3K/Akt, MEK/ERK and Wnt/β-catenin signaling pathways in B16F10 cells. Int. J. Mol. Sci. 2013, 14, 20443–20458. [Google Scholar] [CrossRef]
- Huang, H.C.; Liao, C.C.; Peng, C.C.; Lim, J.M.; Siao, J.H.; Wei, C.M.; Chen, C.C.; Wu, C.S.; Chang, T.M. Dihydromyricetin from Ampelopsis grossedentata inhibits melanogenesis through down-regulation of MAPK, PKA and PKC signaling pathways. Chem. Biol. Interact. 2016, 258, 166–174. [Google Scholar] [CrossRef]
- Qian, W.; Liu, W.; Zhu, D.; Cao, Y.; Tang, A.; Gong, G.; Su, H. Natural skin-whitening compounds for the treatment of melanogenesis (Review). Exp. Ther. Med. 2020, 20, 173–185. [Google Scholar] [CrossRef]
- Kanlayavattanakul, M.; Lourith, N. Plants and Natural Products for the Treatment of Skin Hyperpigmentation—A Review. Planta. Med. 2018, 84, 988–1006. [Google Scholar] [CrossRef] [PubMed]
- Silvestri, M.; Bennardo, L.; Zappia, E.; Tamburi, F.; Cameli, N.; Cannarozzo, G.; Nisticò, S.P. Q-Switched 1064/532 nm Laser with Picosecond Pulse to Treat Benign Hyperpigmentations: A Single-Center Retrospective Study. Appl. Sci. 2021, 11, 7478. [Google Scholar] [CrossRef]
- Hawksworth, D.L. Lichen Secondary Metabolites: Bioactive Properties and Pharmaceutical Potential. Lichenologist 2015, 47, 277–278. [Google Scholar] [CrossRef]
- Stojanović, G.; Zrnzević, I.; Zlatanović, I.; Stanković, M.; Stankov-Jovanović, V.; Mitić, V.; Đorđević, A. Chemical profile and biological activities of Peltigera horizontalis (Hudson) Baumg. thallus and apothecia extracts. Nat. Prod. Res. 2020, 34, 549–552. [Google Scholar] [CrossRef] [PubMed]
- Mendili, M.; Khadhri, A.; Mediouni-Ben Jemâa, J.; Andolfi, A.; Tufano, I.; Aschi-Smiti, S.; DellaGreca, M. Anti-Inflammatory Potential of Compounds Isolated from Tunisian Lichens Species. Chem. Biodivers. 2022, 19, e202200134. [Google Scholar] [CrossRef] [PubMed]
- Mun, S.K.; Kang, K.Y.; Jang, H.Y.; Hwang, Y.H.; Hong, S.G.; Kim, S.J.; Cho, H.W.; Chang, D.J.; Hur, J.S.; Yee, S.T. Atraric Acid Exhibits Anti-Inflammatory Effect in Lipopolysaccharide-Stimulated RAW264.7 Cells and Mouse Models. Int. J. Mol. Sci. 2020, 21, 7070. [Google Scholar] [CrossRef]
- Pillaiyar, T.; Manickam, M.; Namasivayam, V. Skin whitening agents: Medicinal chemistry perspective of tyrosinase inhibitors. J. Enzyme. Inhib. Med. Chem. 2017, 32, 403–425. [Google Scholar] [CrossRef]
- Ren, L.; Shen, D.; Liu, C.; Ding, Y. Protein Tyrosine and Serine/Threonine Phosphorylation in Oral Bacterial Dysbiosis and Bacteria-Host Interaction. Front. Cell. Infect. Microbiol. 2022, 11, 814659–814670. [Google Scholar] [CrossRef]
- Abdel-Malek, Z.; Scott, M.C.; Suzuki, I.; Tada, A.; Im, S.; Lamoreux, L.; Ito, S.; Barsh, G.; Hearing, V.J. The melanocortin-1 receptor is a key regulator of human cutaneous pigmentation. Pigment Cell Res. 2000, 13, 156–162. [Google Scholar] [CrossRef]
- D’Orazio, J.; Jarrett, S.; Amaro-Ortiz, A.; Scott, T. UV Radiation and the Skin. Int. J. Mol. Sci. 2013, 14, 12222–12248. [Google Scholar] [CrossRef]
- Lee, S.W.; Kim, J.H.; Song, H.; Seok, J.K.; Hong, S.S.; Boo, Y.C. Luteolin 7-Sulfate Attenuates Melanin Synthesis through Inhibition of CREB-and MITF-Mediated Tyrosinase Expression. Antioxidants 2019, 8, 87. [Google Scholar] [CrossRef] [PubMed]
- Nautiyal, A.; Wairkar, S. Management of Hyperpigmentation: Current Treatments and Emerging Therapies. Pigment Cell Melanoma Res. 2021, 34, 1000–1014. [Google Scholar] [CrossRef] [PubMed]
- Maeda, K.; Yokokawa, Y.; Hatao, M.; Naganuma, M.; Tomita, Y. Comparison of the melanogenesis in human black and light brown melanocytes. J. Dermatol. Sci. 1997, 14, 199–206. [Google Scholar] [CrossRef] [PubMed]
- April, C.S.; Barsh, G.S. Distinct pigmentary and melanocortin 1 receptor-dependent components of cutaneous defense against ultraviolet radiation. PLoS Genet. 2007, 3, e9. [Google Scholar] [CrossRef] [PubMed]
- Lee, S.E.; Park, S.H.; Oh, S.W.; Yoo, J.A.; Kwon, K.; Park, S.J.; Kim, J.; Lee, H.S.; Cho, J.Y.; Lee, J. Beauvericin inhibits melanogenesis by regulating cAMP/PKA/CREB and LXR-α/p38 MAPK-mediated pathways. Sci. Rep. 2018, 8, 14958–14969. [Google Scholar] [CrossRef] [PubMed]
- Ko, S.C.; Lee, S.H. Protocatechuic Aldehyde Inhibits α-MSH-Induced Melanogenesis in B16F10 Melanoma Cells via PKA/CREB-Associated MITF Downregulation. Int. J. Mol. Sci. 2021, 22, 3861. [Google Scholar] [CrossRef]
- Wu, K.C.; Hseu, Y.C.; Shih, Y.C.; Sivakumar, G.; Syu, J.T.; Chen, G.L.; Lu, M.T.; Chu, P.C. Calycosin, a Common Dietary Isoflavonoid, Suppresses Melanogenesis through the Downregulation of PKA/CREB and p38 MAPK Signaling Pathways. Int. J. Mol. Sci. 2022, 23, 1358. [Google Scholar] [CrossRef]
- Liu, Q.; Zhang, D.; Xu, Y.; Gao, S.; Gong, Y.; Cai, X.; Yao, M.; Yang, X. Cloning and Functional Characterization of the Polyketide Synthases Based on Genome Mining of Preussia isomera XL-1326. Front. Microbiol. 2022, 13, 819086–819098. [Google Scholar] [CrossRef]
- Peng, L.H.; Liu, S.; Xu, S.Y.; Chen, L.; Shan, Y.H.; Wei, W.; Liang, W.Q.; Gao, J.Q. Inhibitory effects of salidroside and paeonol on tyrosinase activity and melanin synthesis in mouse B16F10 melanoma cells and ultraviolet B-induced pigmentation in guinea pig skin. Phytomedicine 2013, 20, 1082–1087. [Google Scholar] [CrossRef]
- Zhu, P.Y.; Yin, W.H.; Wang, M.R.; Dang, Y.Y.; Ye, X.Y. Andrographolide suppresses melanin synthesis through Akt/GSK3β/β-catenin signal pathway. J. Dermatol. Sci. 2015, 79, 74–83. [Google Scholar] [CrossRef]
- Li, J.; Zhang, Y.; Zeng, X.; Cheng, Y.; Tang, L.; Ding, H.; Yang, X. Lycopene ameliorates insulin resistance and increases muscle capillary density in aging via activation of SIRT1. J. Nutr. Biochem. 2022, 99, 108862–108871. [Google Scholar] [CrossRef] [PubMed]








| Protein | PDBID | Binding Energy (Kcal/mol) |
|---|---|---|
| CREB | 7KF0 | −23.05 |
| AKT | 7D85 | −1.53 |
| PKA | 4YKO | −12.48 |
| MAPK | 6XQ9 | −0.92 |
| PI3K | 7CIO | −1.53 |
| ERK | 4QTA | −1.08 |
| JNK | 6LOT | −0.97 |
Publisher’s Note: MDPI stays neutral with regard to jurisdictional claims in published maps and institutional affiliations. |
© 2022 by the authors. Licensee MDPI, Basel, Switzerland. This article is an open access article distributed under the terms and conditions of the Creative Commons Attribution (CC BY) license (https://creativecommons.org/licenses/by/4.0/).
Share and Cite
Li, J.; Jiang, S.; Huang, C.; Yang, X. Atraric Acid Ameliorates Hyperpigmentation through the Downregulation of the PKA/CREB/MITF Signaling Pathway. Int. J. Mol. Sci. 2022, 23, 15952. https://doi.org/10.3390/ijms232415952
Li J, Jiang S, Huang C, Yang X. Atraric Acid Ameliorates Hyperpigmentation through the Downregulation of the PKA/CREB/MITF Signaling Pathway. International Journal of Molecular Sciences. 2022; 23(24):15952. https://doi.org/10.3390/ijms232415952
Chicago/Turabian StyleLi, Jing, Shengping Jiang, Chengyun Huang, and Xiaolong Yang. 2022. "Atraric Acid Ameliorates Hyperpigmentation through the Downregulation of the PKA/CREB/MITF Signaling Pathway" International Journal of Molecular Sciences 23, no. 24: 15952. https://doi.org/10.3390/ijms232415952
APA StyleLi, J., Jiang, S., Huang, C., & Yang, X. (2022). Atraric Acid Ameliorates Hyperpigmentation through the Downregulation of the PKA/CREB/MITF Signaling Pathway. International Journal of Molecular Sciences, 23(24), 15952. https://doi.org/10.3390/ijms232415952

