Neuroprotection and Neuroregeneration Strategies Using the rNAION Model: Theory, Histology, Problems, Results and Analytical Approaches
Abstract
1. Introduction
The rNAION Model: Histology and Comparison with Human Disease
2. Results
2.1. Analytical Approaches and Correlation
2.2. ONH Vascular Leakage in the rNAION Model
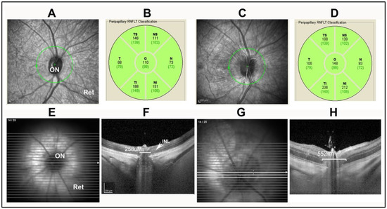
2.3. ONH Edema-Based Expansion Predicts rNAION Severity
2.4. RGC Quantification
2.5. Measuring Visual Function Loss following rNAION Induction
2.6. RGC Loss Variability in rNAION Using Different Induction Times
2.7. Early Ischemic Stress-Related Changes in RGCs
2.8. Soluble and Cellular Inflammatory ONH Responses
2.9. Neuroprotective Treatment Approaches to rNAION
2.9.1. Edema/Vascular
- PGJ2. 15-Deoxy delta 12,14-Prostaglandin J2 (PGJ2) is a natural, non-enzymatically generated product of prostaglandin D2 (PGD2). We selected this prostaglandin because early studies revealed that PGD synthase gene expression declined dramatically after rNAION induction and then rebounded to supernormal levels precisely when post-stroke edema resolved, suggesting that the loss of either PGD2 or one of its metabolites might play a major role in edema development and its rebound have a role in edema resolution.
- 2.
- TRPM4/Sur-1 inhibition. Following CNS ischemia, astrocytes express the transient receptor potential cation-family M/sulfonylurea receptor-1 (TRPM4/SUR1). This results in opening of a water channel, with resulting intracellular astrocytic edema contributing to ischemic damage. SUR1 inhibitors such as glibenclamide have been shown to be neuroprotective after hemorrhagic and ischemic strokes as well as after spinal cord injury in humans [32,33,34]. Interestingly, SUR-1 is not expressed in early (<1d) ONH exhibiting edema after rNAION induction [35], and there is minimal elevation in ONH-SUR1 mRNA expression even 3d post-induction compared with naïve ONH (DS-Seq: naïve 9.34 vs. 3d post-induction: 9.85). We performed a limited sighting study (n = 4 animals), utilizing rNAION induction in both eyes of each animal, with each animal serving as its own induction control. Animals were induced in one eye (11 s/50 mW/1 mg/kg 2.5 mM rose Bengal). Immediately following induction, we administered glibenclamide (50 ug/kg) daily via intraperitoneal injection for the next 5 days. One week post-induction of the first eye, the contralateral eye was induced to an identical level, and vehicle (PBS) was administered intraperitoneally. ONH edema was evaluated using SD-OCT at 2d post-induction in each eye (Figure 6A). We also evaluated RGC survival in both eyes of all animals. Because of the small number of animals used, no statistically valid analysis was possible.
2.9.2. Other rNAION-Neuroprotective Mechanisms
- Astrocyte-associated neuroprotective mechanisms. Astrocytes exert neuroprotective effects directly via both edema-related mechanisms [36,37,38] and mechanisms related to ischemic preconditioning and that are associated with A1-Adenosine agonist activity [39]. In addition to TRPM4/SUR-1-mediated channels, Adenosine receptor-1 and -3 (A1R, A1e) agonists have been shown to be neuroprotective in cerebral ischemia [40] and are expressed in A2B5(+) glia, which include astrocytes [41]. A1R are also strongly expressed in RGCs [42,43]. Activation of A1Rs is at least partially responsible for neuroprotection associated with ischemic preconditioning [44]. Deep sequencing of rat ONH reveals moderately high levels of the A1R and nearly 8-fold less of A3Rs (Ds-Seq analysis in naïve ONH 12.53 (A1R) vs. 3.84 (A3R)(data provided on mdpi website https://www.mdpi.com/article/10.3390/cells10061440/s1, accessed on 5 June 2022 Table S1). This suggests that A1 or A1R agonists might be useful in RGC neuroprotection. We evaluated topical administration of Trabodenoson, a highly selective, topical A1R agonist. Although Trabodenoson only moderately suppressed ONH edema (564 ± 14.52 um sem for vehicle vs. 512.15 ±20.12 um sem for Trabodenoson; n = 13), the difference was significant (two-tailed t-test: p = 0.05). Even more importantly, however, Trabodenoson was potently RGC neuroprotective, with RGC loss reduced from 53.2 ± 7.1% sem in vehicle-treated animals to 27.9 ± 6.5% sem RGC loss in animals treated with Trabodenoson (Figure 7B; data derived from [45]). These results also were statistically significant (two-tailed t-test; p = 0.01) and suggest that adenosine receptor agonism is potently neuroprotective, with effects only partly exerted through edema reduction. It should be noted that Trabodenoson treatment in this study was begun 3d before rNAION induction. Thus, the ability of A1 agonists to exert a neuroprotective effect in post-ischemic events is still an open question. We are now evaluating the ability of other A1 agonists to exert neuroprotective effects post-rNAION.
- 2.
- Corticosteroids. An initial clinical report suggested that immune suppression in clinical NAION treatment could be beneficial using high-dose/chronic glucocorticoids [47], but this was based on a retrospective study. In current clinical practice, some neuroophthalmologists either give no treatment or, based on the previous report, utilize corticosteroids (with its associated side effects, including steroid dependent glaucoma, diabetes and hip fractures). Most later prospective studies using steroids in clinical NAION did not show visual improvement effects [48,49]. These studies included patients diagnosed within a month of symptom onset. One study utilizing a modified steroid early in treatment suggested some effect [50], but the time from onset of symptoms to beginning treatment was not discussed. Multiple investigators have explored the use of inflammatory suppression to reduce rNAION-associated damage [51], with mixed results. Glucocorticoids were reported to be neuroprotective in a single report involving the rodent NAION model [52], but we have not seen this effect in our own study nor in other reported studies utilizing both methylprednisolone and triamcinolone [53]. No studies have combined corticosteroid administration and other inflammation- or edema-related therapies, such as the tetracyclines (see paragraph below) or PGJ2. This is a reasonable area for further research, and the rNAION model would appear to be ideal for this.
- 3.
- Tetracycline derivatives. Minocycline is a CNS-penetrating tetracycline derivative with CNS neuroprotective effects in some models [54], but not in others, such as closed head trauma [55]. For ON injury, minocycline was reported to preserve RGCs at 2 weeks post-ON transection and at 4 weeks in model of glaucoma [56]. Minocycline treatment begun 3 days prior to rNAION was also reported to be RGC neuroprotective [57]. However, we did not see any neuroprotective effect when minocycline was begun after rNAION induction [58]. This suggests that treatments designed to inhibit inflammation need to be started early in the course of the process.
2.9.3. Potentiated and Synergistic Treatment Approaches
3. Discussion
4. Materials and Methods
5. Patents
Supplementary Materials
Author Contributions
Funding
Institutional Review Board Statement
Data Availability Statement
Acknowledgments
Conflicts of Interest
References
- Tesser, R.A.; Niendorf, E.R.; Levin, L.A. The morphology of an infarct in nonarteritic anterior ischemic optic neuropathy. Ophthalmology 2003, 110, 2031–2035. [Google Scholar] [CrossRef] [PubMed]
- Salomon, O.; Huna-Baron, R.; Kurtz, S.; Steinberg, D.M.; Moisseiev, J.; Rosenberg, N.; Yassur, I.; Vidne, O.; Zivelin, A.; Gitel, S.; et al. Analysis of prothrombotic and vascular risk factors in patients with nonarteritic anterior ischemic optic neuropathy. Ophthalmology 1999, 106, 739–742. [Google Scholar] [CrossRef]
- Miller, N.R.; Arnold, A.C. Current concepts in the diagnosis, pathogenesis and management of nonarteritic anterior ischaemic optic neuropathy. Eye 2014, 29, 65–79. [Google Scholar] [CrossRef] [PubMed]
- Killer, H.E. Compartment syndromes of the optic nerve and open-angle glaucoma. J. Glaucoma. 2013, 22 (Suppl. 5), S19–S20. [Google Scholar] [CrossRef] [PubMed]
- Bernstein, S.L.; Guo, Y.; Kelman, S.E.; Flower, R.W.; Johnson, M.A. Functional and cellular responses in a novel rodent model of anterior ischemic optic neuropathy. Investig. Ophthalmol. Vis. Sci. 2003, 44, 4153–4162. [Google Scholar] [CrossRef] [PubMed]
- Goldenberg-Cohen, N.; Guo, Y.; Margolis, F.L.; Miller, N.R.; Cohen, Y.; Bernstein, S.L. Oligodendrocyte Dysfunction Following Induction of Experimental Anterior Optic Nerve Ischemia. Investig. Ophthalmol. Vis. Sci. 2005, 46, 2716–2725. [Google Scholar] [CrossRef]
- Chen, C.S.; Johnson, M.A.; Flower, R.A.; Slater, B.J.; Miller, N.R.; Bernstein, S.L. A Primate Model of Nonarteritic Anterior Ischemic Optic Neuropathy (pNAION). Investig. Ophthalmol. Vis. Sci. 2008, 49, 2985–2992. [Google Scholar] [CrossRef]
- Gibbs, R.A.; Weinstock, G.M.; Metzker, M.L.; Muzny, D.M.; Sodergren, E.J.; Scherer, S.; Scott, G.; Steffen, D.; Worley, K.C.; Burch, P.E.; et al. Genome sequence of the Brown Norway rat yields insights into mammalian evolution. Nature 2004, 428, 493–521. [Google Scholar] [CrossRef]
- Stys, P.K. White matter injury mechanisms. Curr. Mol. Med. 2004, 4, 113–130. [Google Scholar] [CrossRef]
- Horn, J.; Limburg, M. Calcium antagonists for ischemic stroke: A systematic review. Stroke 2001, 32, 570–576. [Google Scholar] [CrossRef]
- Bernstein, S.L.; Guo, Y.; Peterson, K.; Wistow, G. Expressed sequence tag analysis of adult human optic nerve for NEIBank: Identification of cell type and tissue markers. BMC Neurosci. 2009, 10, 121. [Google Scholar] [CrossRef] [PubMed]
- Johnson, M.A.; Miller, N.R.; Nolan, T.; Bernstein, S.L. Peripapillary Retinal Nerve Fiber Layer Swelling Predicts Peripapillary Atrophy in a Primate Model of Nonarteritic Anterior Ischemic Optic Neuropathy. Investig. Ophthalmol. Vis. Sci. 2016, 57, 527–532. [Google Scholar] [CrossRef] [PubMed]
- Bernstein, S.L.; Guo, Y. Changes in cholinergic amacrine cells after rodent anterior ischemic optic neuropathy (rAION). Investig. Ophthalmol. Vis. Sci. 2011, 52, 904–910. [Google Scholar] [CrossRef] [PubMed]
- Kapupara, K.; Huang, T.-L.; Wen, Y.-T.; Huang, S.-P.; Tsai, R.-K. Optic nerve head width and retinal nerve fiber layer changes are proper indexes for validating the successful induction of experimental anterior ischemic optic neuropathy. Exp. Eye Res. 2019, 181, 105–111. [Google Scholar] [CrossRef] [PubMed]
- Contreras, I.; Rebolleda, G.; Noval, S.; Munoz-Negrete, F.J. Optic Disc Evaluation by Optical Coherence Tomography in Nonarteritic Anterior Ischemic Optic Neuropathy. Investig. Ophthalmol. Vis. Sci. 2007, 48, 4087–4092. [Google Scholar] [CrossRef] [PubMed]
- Guo, Y.; Mehrabian, Z.; Johnson, M.A.; Miller, N.R.; Henderson, A.D.; Hamlyn, J.; Bernstein, S.L. Biomarkers of lesion severity in a rodent model of nonarteritic anterior ischemic optic neuropathy (rNAION). PLoS ONE 2021, 16, e0243186. [Google Scholar] [CrossRef] [PubMed]
- Prusky, G.T.; West, P.W.R.; Douglas, R.M. Behavioral assessment of visual acuity in mice and rats. Vis. Res. 2000, 40, 2201–2209. [Google Scholar] [CrossRef]
- Prusky, G.T.; Harker, K.T.; Douglas, R.M.; Whishaw, I.Q. Variation in visual acuity within pigmented, and between pigmented and albino rat strains. Behav. Brain Res. 2002, 136, 339–348. [Google Scholar] [CrossRef]
- Yun, H.; Lathrop, K.L.; Yang, E.; Sun, M.; Kagemann, L.; Fu, V.; Stolz, D.B.; Schuman, J.S.; Du, Y. A Laser-Induced Mouse Model with Long-Term Intraocular Pressure Elevation. PLoS ONE 2014, 9, e107446. [Google Scholar] [CrossRef]
- Koilkonda, R.; Yu, H.; Talla, V.; Porciatti, V.; Feuer, W.J.; Hauswirth, W.W.; Chiodo, V.; Erger, K.E.; Boye, S.L.; Lewin, A.S.; et al. LHON Gene Therapy Vector Prevents Visual Loss and Optic Neuropathy Induced by G11778A Mutant Mitochondrial DNA: Biodistribution and Toxicology Profile. Investig. Ophthalmol. Vis. Sci. 2014, 55, 7739–7753. [Google Scholar] [CrossRef]
- Johnson, M.A.; Mehrabian, Z.; Guo, Y.; Ghosh, J.; Brigell, M.G.; Bernstein, S.L. Anti-NOGO Antibody Neuroprotection in a Rat Model of NAION. Transl. Vis. Sci. Technol. 2021, 10, 12. [Google Scholar] [CrossRef] [PubMed]
- Mehrabian, Z.; Guo, Y.; Miller, N.R.; Henderson, A.D.; Roth, S.; Bernstein, S.L. Approaches to Potentiated Neuroprotective Treatment in the Rodent Model of Ischemic Optic Neuropathy. Cells 2021, 10, 1440. [Google Scholar] [CrossRef] [PubMed]
- Eshraghi, A.A.; Lang, D.M.; Roell, J.; Van De Water, T.R.; Garnham, C.; Rodrigues, H.; Guardiola, M.; Gupta, C.; Mittal, J. Mechanisms of programmed cell death signaling in hair cells and support cells post-electrode insertion trauma. Acta Oto-Laryngol. 2015, 135, 328–334. [Google Scholar] [CrossRef]
- Park, S.J.H.; Pottackal, J.; Ke, J.-B.; Jun, N.Y.; Rahmani, P.; Kim, I.-J.; Singer, J.H.; Demb, J.B. Convergence and Divergence of CRH Amacrine Cells in Mouse Retinal Circuitry. J. Neurosci. 2018, 38, 3753. [Google Scholar] [CrossRef] [PubMed]
- Wong, M.L.; Loddick, S.A.; Bongiorno, P.B.; Gold, P.W.; Rothwell, N.J.; Licinio, J. Focal cerebral ischemia induces CRH mRNA in rat cerebral cortex and amygdala. Neuroreport 1995, 6, 1785–1788. [Google Scholar] [CrossRef]
- Duque Escobar, J.; Kutschenko, A.; Schröder, S.; Blume, R.; Köster, K.A.; Painer, C.; Lemcke, T.; Maison, W.; Oetjen, E. Regulation of dual leucine zipper kinase activity through its interaction with calcineurin. Cell Signal 2021, 82, 109953. [Google Scholar] [CrossRef]
- Avraham, B.C.; Dotan, G.; Hasanreisoglu, M.; Kramer, M.; Monselise, Y.; Cohen, Y.; Weinberger, D.; Goldenberg-Cohen, N. Increased plasma and optic nerve levels of IL-6, TNF-alpha, and MIP-2 following induction of ischemic optic neuropathy in mice. Curr. Eye Res. 2008, 33, 395–401. [Google Scholar] [CrossRef]
- Tanaka, T.; Narazaki, M.; Kishimoto, T. IL-6 in inflammation, immunity, and disease. Cold Spring Harb. Perspect. Biol. 2014, 6, a016295. [Google Scholar] [CrossRef]
- Nicholson, J.D.; Puche, A.C.; Guo, Y.; Weinreich, D.; Slater, B.J.; Bernstein, S.L. PGJ2 Provides Prolonged CNS Stroke Protection by Reducing White Matter Edema. PLoS ONE 2012, 7, e50021. [Google Scholar] [CrossRef]
- Miller, N.R.; Johnson, M.A.; Nolan, T.; Guo, Y.; Bernstein, A.M.; Bernstein, S.L. Sustained Neuroprotection from a Single Intravitreal Injection of PGJ2 in a Non-Human Primate Model of Nonarteritic Anterior Ischemic Optic Neuropathy. Investig. Ophth. Vis. Sci. 2014, 55, 7047–7056. [Google Scholar] [CrossRef][Green Version]
- Straus, D.S.; Pascual, G.; Li, M.; Welch, J.S.; Ricote, M.; Hsiang, C.H.; Sengchanthalangsy, L.L.; Ghosh, G.; Glass, C.K. 15-deoxy-delta 12,14-prostaglandin J2 inhibits multiple steps in the NF-kappa B signaling pathway. Proc. Natl. Acad. Sci. USA 2000, 97, 4844–4849. [Google Scholar] [CrossRef] [PubMed]
- Kunte, H.; Schmidt, S.; Eliasziw, M.; del Zoppo, G.J.; Simard, J.M.; Masuhr, F.; Weih, M.; Dirnagl, U. Sulfonylureas improve outcome in patients with type 2 diabetes and acute ischemic stroke. Stroke 2007, 38, 2526–2530. [Google Scholar] [CrossRef] [PubMed]
- Simard, J.M.; Woo, S.K.; Bhatta, S.; Gerzanich, V. Drugs acting on SUR1 to treat CNS ischemia and trauma. Curr. Opin. Pharmacol. 2008, 8, 42–49. [Google Scholar] [CrossRef] [PubMed]
- Gerzanich, V.; Stokum, J.A.; Ivanova, S.; Woo, S.K.; Tsymbalyuk, O.; Sharma, A.; Akkentli, F.; Imran, Z.; Aarabi, B.; Sahuquillo, J.; et al. Sulfonylurea Receptor 1, Transient Receptor Potential Cation Channel Subfamily M Member 4, and KIR6.2:Role in Hemorrhagic Progression of Contusion. J. Neurotrauma 2019, 36, 1060–1079. [Google Scholar] [CrossRef] [PubMed]
- Nicholson, J.D.; Guo, Y.; Bernstein, S.L. SUR1-Associated Mechanisms Are Not Involved in Ischemic Optic Neuropathy 1 Day Post-Injury. PLoS ONE 2016, 11, e0148855. [Google Scholar] [CrossRef]
- Neves, J.; Zhu, J.; Sousa-Victor, P.; Konjikusic, M.; Riley, R.; Chew, S.; Qi, Y.; Jasper, H.; Lamba, D.A. Immune modulation by MANF promotes tissue repair and regenerative success in the retina. Science 2016, 353, aaf3646. [Google Scholar] [CrossRef]
- Livne-Bar, I.; Wei, J.; Liu, H.H.; Alqawlaq, S.; Won, G.J.; Tuccitto, A.; Gronert, K.; Flanagan, J.G.; Sivak, J.M. Astrocyte-derived lipoxins A4 and B4 promote neuroprotection from acute and chronic injury. J. Clin. Investig. 2017, 127, 4403–4414. [Google Scholar] [CrossRef]
- Sun, D.; Moore, S.; Jakobs, T.C. Optic nerve astrocyte reactivity protects function in experimental glaucoma and other nerve injuries. J. Exp. Med. 2017, 214, 1411. [Google Scholar] [CrossRef]
- Pugliese, A.M.; Latini, S.; Corradetti, R.; Pedata, F. Brief, repeated, oxygen-glucose deprivation episodes protect neurotransmission from a longer ischemic episode in the in vitro hippocampus: Role of adenosine receptors. Br. J. Pharmacol. 2003, 140, 305–314. [Google Scholar] [CrossRef]
- Liston, T.E.; Hama, A.; Boltze, J.; Poe, R.B.; Natsume, T.; Hayashi, I.; Takamatsu, H.; Korinek, W.S.; Lechleiter, J.D. Adenosine A1R/A3R (Adenosine A1 and A3 Receptor) Agonist AST-004 Reduces Brain Infarction in a Nonhuman Primate Model of Stroke. Stroke 2022, 53, 238–248. [Google Scholar] [CrossRef]
- Othman, T.; Yan, H.; Rivkees, S.A. Oligodendrocytes express functional A1 adenosine receptors that stimulate cellular migration. Glia 2003, 44, 166–172. [Google Scholar] [CrossRef] [PubMed]
- Braas, K.; Zarbin, M.; Snyder, S. Endogenous adenosine and adenosine receptors localized to ganglion cells of the retina. Proc. Natl. Acad. Sci. USA 1987, 84, 3906–3910. [Google Scholar] [CrossRef] [PubMed]
- Zhang, S.; Li, H.; Li, B.; Zhong, D.; Gu, X.; Tang, L.; Wang, Y.; Wang, C.; Zhou, R.; Li, Y.; et al. Adenosine A1 Receptors Selectively Modulate Oxygen-Induced Retinopathy at the Hyperoxic and Hypoxic Phases by Distinct Cellular Mechanisms. Investig. Ophthalmol. Vis. Sci. 2015, 56, 8108–8119. [Google Scholar] [CrossRef] [PubMed]
- Hu, S.; Dong, H.; Zhang, H.; Wang, S.; Hou, L.; Chen, S.; Zhang, J.; Xiong, L. Noninvasive limb remote ischemic preconditioning contributes neuroprotective effects via activation of adenosine A1 receptor and redox status after transient focal cerebral ischemia in rats. Brain Res. 2012, 1459, 81–90. [Google Scholar] [CrossRef]
- Guo, Y.; Mehrabian, Z.; Johnson, M.A.; Albers, D.S.; Rich, C.C.; Baumgartner, R.A.; Bernstein, S.L. Topical Trabodenoson Is Neuroprotective in a Rodent Model of Anterior Ischemic Optic Neuropathy (rNAION). Transl. Vis. Sci. Technol. 2019, 8, 47. [Google Scholar] [CrossRef]
- Zhang, C.; Guo, Y.; Miller, N.R.; Bernstein, S.L. Optic nerve infarction and post-ischemic inflammation in the rodent model of anterior ischemic optic neuropathy (rAION). Brain Res. 2009, 1264, 67–75. [Google Scholar] [CrossRef]
- Hayreh, S.S.; Zimmerman, M.B. Non-arteritic anterior ischemic optic neuropathy: Role of systemic corticosteroid therapy. Graefes Arch. Clin. Exp. Ophthalmol. 2008, 246, 1029–1046. [Google Scholar] [CrossRef]
- Rebolleda, G.; Perez-Lopez, M.; Casas-Llera, P.; Contreras, I.; Munoz-Negrete, F.J. Visual and anatomical outcomes of non-arteritic anterior ischemic optic neuropathy with high-dose systemic corticosteroids. Graefes Arch. Clin. Exp. Ophthalmol. 2013, 251, 255–260. [Google Scholar] [CrossRef]
- Saxena, R.; Singh, D.; Sharma, M.; James, M.; Sharma, P.; Menon, V. Steroids versus No Steroids in Nonarteritic Anterior Ischemic Optic Neuropathy: A Randomized Controlled Trial. Ophthalmology 2018, 125, 1623–1627. [Google Scholar] [CrossRef]
- Prokosch, V.; Thanos, S. Visual outcome of patients following NAION after treatment with adjunctive fluocortolone. Restor. Neurol. Neurosci. 2014, 32, 381–389. [Google Scholar] [CrossRef]
- Wen, Y.T.; Huang, T.L.; Huang, S.P.; Chang, C.H.; Tsai, R.K. Early applications of granulocyte colony-stimulating factor (G-CSF) can stabilize the blood-optic-nerve barrier and ameliorate inflammation in a rat model of anterior ischemic optic neuropathy (rAION). Dis. Model Mech. 2016, 9, 1193–1202. [Google Scholar] [CrossRef] [PubMed]
- Huang, T.L.; Wen, Y.T.; Chang, C.H.; Chang, S.W.; Lin, K.H.; Tsai, R.K. Early Methylprednisolone Treatment Can Stabilize the Blood-Optic Nerve Barrier in a Rat Model of Anterior Ischemic Optic Neuropathy (rAION). Investig. Ophthalmol. Vis. Sci. 2017, 58, 1628–1636. [Google Scholar] [CrossRef] [PubMed]
- Pereira, L.S.; Ávila, M.P.; Salustiano, L.X.; Paula, A.C.; Arnhold, E.; McCulley, T.J. Intravitreal Triamcinolone Acetonide Injection in a Rodent Model of Anterior Ischemic Optic Neuropathy. J. Neuroophthalmol. 2018, 38, 561–565. [Google Scholar] [CrossRef] [PubMed]
- Hailer, N.P. Immunosuppression after traumatic or ischemic CNS damage: It is neuroprotective and illuminates the role of microglial cells. Prog. Neurobiol. 2008, 84, 211–233. [Google Scholar] [CrossRef] [PubMed]
- Hanlon, L.A.; Raghupathi, R.; Huh, J.W. Differential effects of minocycline on microglial activation and neurodegeneration following closed head injury in the neonate rat. Exp. Neurol. 2017, 290, 1–14. [Google Scholar] [CrossRef] [PubMed]
- Levkovitch-Verbin, H.; Kalev-Landoy, M.; Habot-Wilner, Z.; Melamed, S. Minocycline delays death of retinal ganglion cells in experimental glaucoma and after optic nerve transection. Arch. Ophthalmol. 2006, 124, 520–526. [Google Scholar] [CrossRef][Green Version]
- Fel, A.; Froger, N.G.; Simonutti, M.; Bernstein, N.R.; Bodaghi, B.; Lehoang, P.; Picaud, S.A.; Paques, M.; Touitou, V. Minocycline as a neuroprotective agent in a rodent model of NAION. Investig. Ophth. Vis. Sci. 2014, 55, 5736. [Google Scholar] [CrossRef]
- Mehrabian, Z.; Guo, Y.; Weinreich, D.; Bernstein, S.L. Oligodendrocyte death, neuroinflammation, and the effects of minocycline in a rodent model of nonarteritic anterior ischemic optic neuropathy (rNAION). Mol. Vis. 2017, 23, 963–976. [Google Scholar]
- Lim, J.-H.A.; Stafford, B.K.; Nguyen, P.L.; Lien, B.V.; Wang, C.; Zukor, K.; He, Z.; Huberman, A.D. Neural activity promotes long-distance, target-specific regeneration of adult retinal axons. Nat. Neurosci. 2016, 19, 1073. [Google Scholar] [CrossRef]
- Welsbie, D.S.; Ziogas, N.K.; Xu, L.; Kim, B.J.; Ge, Y.; Patel, A.K.; Ryu, J.; Lehar, M.; Alexandris, A.S.; Stewart, N.; et al. Targeted disruption of dual leucine zipper kinase and leucine zipper kinase promotes neuronal survival in a model of diffuse traumatic brain injury. Mol. Neurodegener. 2019, 14, 44. [Google Scholar] [CrossRef]
- Bernstein, S.L.; Guo, Y.; Kerr, C.; Fawcett, R.W.; Stern, J.H.; Temple, S.; Mehrabyan, Z. The optic nerve lamina region is a neural progenitor cell niche. Proc. Natl. Acad. Sci. USA 2020, 117, 11. [Google Scholar] [CrossRef] [PubMed]







| Gene ID | Gene Symbol | Gene Name | 1d Post-rNAION Ratio (R1/L1) (Retina) | 3d Post-rNAION Ratio (R3/L3) (Retina) | 1d Post-rNAION Ratio (R3/L3) (ONH) |
|---|---|---|---|---|---|
| M14656 | Spp1/osteopontin | Secreted phosphoprotein 1 | 3.432111001 | 1.417575157 | 1.530076555 |
| AA892553 | Stat 1 | STAT1 | 10.43670886 | 4.104424779 | 1.080385971 |
| U66707 | Densin-180/Lrrc7 | Densin-180 | 1.713261649 | 2.555331992 | 1.093128466 |
| AF030089 | Ania-4/Dclk1 | neurotransmitter early gene 4 (ania-4) | 8.987133516 | 1.700414108 | 0.975284552 |
| J02722 | hmox1 | Heme Oxygenase-1 | 3.646239554 | 1.928571429 | 1.132401488 |
| L33869 | Cp | Ceruloplasmin | 2.937233461 | 2.498855835 | 1.000494963 |
| AF008650 | SLC-1/SSTR1 | Somatostatin receptor-1 | 3.253018661 | 2.729357798 | 0.954323595 |
| D28508 | JAK3 | Jak-3 protein kinase | 8.614443084 | 1.719766472 | 1.142099095 |
| AI045030 | CELF | CELF protein | 4.181425486 | 1.86818377 | 1.027053789 |
| M19651 | Fra-1 fosl1 | Fos-related antigen | 5.223048327 | 1.319474836 | 1.174091099 |
| AI176456 | MT-2a | Metallothionein 2a | 6.331651318 | 1.597822606 | 0.971216928 |
| M29866 | C3 | Complement 3c | 4.054368932 | 3.743093923 | 0.939352616 |
| AI169327 | TIMP1 | Tissue inhibitor-metalloproteinases-1 | 25.57614679 | 1.648916117 | 1.223379175 |
| U53184 | Litaf | Lipoprotein inducing TNF factor | 2.894752945 | 1.301528426 | 1.016124153 |
| AA946503 | Lcn2 | Lipocalin-2 | 6.955862534 | 2.376604473 | 1.038533352 |
| AA893280 | Plin2 | Perilipin 2 | 6.457792208 | 2.39125239 | 1.104502556 |
| M54987 | CRF/Crh | Corticotropin releasing hormone | 0.923984891 | 1.05511811 | 0.933884278 |
| U92081 | RTI40/PDPN | RNRTI1-podoplanin | 4.873994638 | 1.848832659 | 0.999564836 |
| U56407 | Ube2d4 | ubiquitin conjugating enzyme | 4.523255814 | 4.270042194 | 0.915009744 |
| M11597 | Calca | alpha-type calcitonin gene-related peptide | 4.830188679 | 2.294117647 | 1.559015745 |
| X61381 | IFITM3 | Interferon induced mRNA | 3.532416331 | 0.916807529 | 1.048079385 |
| U09228 | TCF4 | Deaconess E-box binding factor | 3.228754366 | 1.075950771 | 1.041957282 |
| D00753 | Cpi-26 | contrapsin-like prot. inhibitor (CPi-26) | 4.660706861 | 2.730576441 | Not Found |
| X06769 | cFos | cFos mRNA | 2.259195894 | 0.880295098 | 1.076489824 |
| AF082125 | AHR | Aryl hydrocarbon receptor | 4.016318205 | 1.222446237 | 1.077670043 |
| U01344 | NAT1 | N-Acetyl Transferase | 3.98401066 | 1.263825929 | 1.025181547 |
| X17053 | MCP-1/CCL2 | Monocyte chemoattractive protein-1 | 3.333156499 | 1.466160658 | 1.12708558 |
| X17163 | cJun | c-jun oncogene | 1.38262668 | 1.140383102 | 1.043633554 |
| Gene Symbol | Gene Name | Naive_1 | Naive_2 | Naive_3 | Naïve_4 | Naive_5 | Mean Naïve | rNAION | rNAION /Naïve |
|---|---|---|---|---|---|---|---|---|---|
| Interleukins | |||||||||
| Il6 | interleukin 6 | 3.66 | 4.85 | 3.66 | 4.37 | 6.01 | 4.51 | 7.50 | 1.66 |
| Il27 | interleukin 27 | 4.77 | 5.05 | 3.66 | 4.93 | 3.66 | 4.41 | 5.72 | 1.30 |
| Il24 | interleukin 24 | 3.66 | 3.66 | 3.66 | 3.66 | 3.66 | 3.66 | 4.70 | 1.28 |
| Il10 | interleukin 10 | 3.66 | 3.66 | 3.66 | 3.66 | 3.66 | 3.66 | 4.49 | 1.23 |
| Il3 | interleukin 3 | 3.66 | 3.66 | 3.66 | 3.66 | 3.66 | 3.66 | 4.49 | 1.23 |
| Il1b | interleukin 1 beta | 6.35 | 5.67 | 5.79 | 5.62 | 7.05 | 6.10 | 7.43 | 1.22 |
| Il11 | interleukin 11 | 5.52 | 5.73 | 7.38 | 5.09 | 10.46 | 6.84 | 8.26 | 1.21 |
| Chemokines | |||||||||
| Ccl17 | C-C motif chemokine ligand 17 | 3.66 | 3.66 | 3.66 | 4.79 | 6.00 | 4.35 | 6.34 | 1.46 |
| Ccl9 | chemokine (C-C motif) ligand 9 | 3.66 | 4.51 | 3.66 | 4.69 | 5.72 | 4.45 | 6.25 | 1.40 |
| Cxcr3 | C-X-C motif chemokine receptor 3 | 3.66 | 5.62 | 3.66 | 5.37 | 3.66 | 4.39 | 5.95 | 1.35 |
| Cxcl11 | C-X-C motif chemokine ligand 11 | 4.55 | 5.25 | 3.66 | 6.44 | 6.62 | 5.31 | 7.10 | 1.34 |
| Cxcl3 | chemokine (C-X-C motif) ligand 3 | 3.66 | 3.66 | 3.66 | 3.66 | 6.10 | 4.15 | 5.50 | 1.33 |
| Ccl22 | C-C motif chemokine ligand 22 | 4.92 | 4.51 | 3.66 | 3.66 | 6.03 | 4.56 | 5.95 | 1.31 |
| Ccr7 | C-C motif chemokine receptor 7 | 5.71 | 4.51 | 5.76 | 4.99 | 4.70 | 5.13 | 6.67 | 1.30 |
| Cxcl10 | C-X-C motif chemokine ligand 10 | 6.91 | 6.74 | 7.41 | 7.34 | 8.75 | 7.43 | 9.62 | 1.29 |
| Ccl3 | C-C motif chemokine ligand 3 | 6.10 | 5.48 | 3.66 | 5.73 | 7.46 | 5.69 | 7.36 | 1.29 |
| Ccl4 | C-C motif chemokine ligand 4 | 5.12 | 5.19 | 3.66 | 5.21 | 7.04 | 5.24 | 6.76 | 1.29 |
| Ccl11 | C-C motif chemokine ligand 11 | 5.98 | 6.00 | 5.24 | 6.27 | 8.80 | 6.46 | 8.03 | 1.24 |
| Ccr4 | C-C motif chemokine receptor 4 | 3.66 | 3.66 | 3.66 | 4.37 | 3.66 | 3.80 | 4.70 | 1.23 |
| Ccl21 | C-C motif chemokine ligand 21 | 3.66 | 3.66 | 3.66 | 3.66 | 5.98 | 4.13 | 5.06 | 1.23 |
| Ccr8 | C-C motif chemokine receptor 8 | 3.66 | 3.66 | 3.66 | 3.66 | 3.66 | 3.66 | 4.49 | 1.23 |
| Cxcl17 | C-X-C motif chemokine ligand 17 | 6.20 | 5.81 | 3.66 | 5.84 | 5.92 | 5.48 | 6.66 | 1.21 |
| Cxcl6 | C-X-C motif chemokine ligand 6 | 5.26 | 4.96 | 6.17 | 5.40 | 6.61 | 5.68 | 6.81 | 1.20 |
Publisher’s Note: MDPI stays neutral with regard to jurisdictional claims in published maps and institutional affiliations. |
© 2022 by the authors. Licensee MDPI, Basel, Switzerland. This article is an open access article distributed under the terms and conditions of the Creative Commons Attribution (CC BY) license (https://creativecommons.org/licenses/by/4.0/).
Share and Cite
Bernstein, S.L.; Guo, Y.; Mehrabian, Z.; Miller, N.R. Neuroprotection and Neuroregeneration Strategies Using the rNAION Model: Theory, Histology, Problems, Results and Analytical Approaches. Int. J. Mol. Sci. 2022, 23, 15604. https://doi.org/10.3390/ijms232415604
Bernstein SL, Guo Y, Mehrabian Z, Miller NR. Neuroprotection and Neuroregeneration Strategies Using the rNAION Model: Theory, Histology, Problems, Results and Analytical Approaches. International Journal of Molecular Sciences. 2022; 23(24):15604. https://doi.org/10.3390/ijms232415604
Chicago/Turabian StyleBernstein, Steven L., Yan Guo, Zara Mehrabian, and Neil R. Miller. 2022. "Neuroprotection and Neuroregeneration Strategies Using the rNAION Model: Theory, Histology, Problems, Results and Analytical Approaches" International Journal of Molecular Sciences 23, no. 24: 15604. https://doi.org/10.3390/ijms232415604
APA StyleBernstein, S. L., Guo, Y., Mehrabian, Z., & Miller, N. R. (2022). Neuroprotection and Neuroregeneration Strategies Using the rNAION Model: Theory, Histology, Problems, Results and Analytical Approaches. International Journal of Molecular Sciences, 23(24), 15604. https://doi.org/10.3390/ijms232415604

