Molecular Features and Diagnostic Challenges in Alpha/Beta T-Cell Large Granular Lymphocyte Leukemia
Abstract
1. Introduction
2. Cytology
2.1. Immunophenotype
2.2. Clonality
2.3. WHO Classification
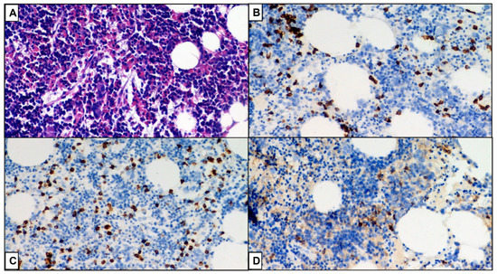
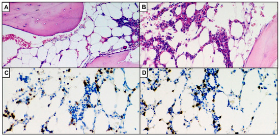
3. Case Presentation
4. Diagnostic Challenges in LGL Leukemia
5. Disorders Related to Indolent LGL Leukemia
5.1. Hematological Disorders
| Splenomegaly | (24%) |
| Median LGL × 109/L (range) | 1.7 (0.8–3.3) |
| ANC < 1.5 × 109/L | (46–59%) |
| ANC < 0.5 × 109/L | (17–24%) |
| Anemia Hb < 11 g/dL | (24–40%) |
| Hb < 8 g/dL | (6–22%) |
| Thrombocytopenia | (17–30%) |
| MGUS | (10–20%) |
5.2. Autoimmune Disorders
6. Hematological Diseases Associated with LGL
7. Transplant of Solid Organs and Association with LGL
8. Therapy
9. Conclusions
Author Contributions
Funding
Institutional Review Board Statement
Informed Consent Statement
Data Availability Statement
Conflicts of Interest
References
- Sanikommu, S.R.; Clemente, M.J.; Chomczynski, P.; Ii, M.G.A.; Jerez, A.; Thota, S.; Patel, B.; Hirsch, C.; Nazha, A.; Desamito, J.; et al. Clinical features and treatment outcomes in large granular lymphocytic leukemia (LGLL). Leuk. Lymphoma 2017, 59, 416–422. [Google Scholar] [CrossRef] [PubMed]
- Alaggio, R.; Amador, C.; Anagnostopoulos, I.; Attygalle, A.D.; Araujo, I.B.D.O.; Berti, E.; Bhagat, G.; Borges, A.M.; Boyer, D.; Calaminici, M.; et al. The 5th edition of the World Health Organization Classification of Haematolymphoid Tumours: Lymphoid Neoplasms. Leukemia 2022, 36, 1720–1748. [Google Scholar] [CrossRef] [PubMed]
- Lamy, T.; Moignet, A.; Loughran, T.P. Review Series T-CELL MALIGNANCIES LGL leukemia: From pathogenesis to treatment. Blood 2017. [Google Scholar] [CrossRef] [PubMed]
- Zawit, M.; Bahaj, W.; Gurnari, C.; Maciejewski, J. Large Granular Lymphocytic Leukemia: From Immunopathogenesis to Treatment of Refractory Disease. Cancers 2021, 13, 4418. [Google Scholar] [CrossRef] [PubMed]
- Morgan, E.A.; Lee, M.N.; DeAngelo, D.J.; Steensma, D.P.; Stone, R.M.; Kuo, F.C.; Aster, J.C.; Gibson, C.J.; Lindsley, R.C. Systematic STAT3 sequencing in patients with unexplained cytopenias identifies unsuspected large granular lymphocytic leukemia. Blood Adv. 2017, 1, 1786–1789. [Google Scholar] [CrossRef]
- Moignet, A.; Lamy, T. Latest Advances in the Diagnosis and Treatment of Large Granular Lymphocytic Leukemia. Am. Soc. Clin. Oncol. Educ. Book 2018, 38, 616–625. [Google Scholar] [CrossRef]
- Smith, P.R.; Cavenagh, J.D.; Milne, T.; Howe, D.; Wilkes, S.J.; Sinnott, P.; Forster, G.E.; Helbert, M. Benign monoclonal expansion of CD8+ lymphocytes in HIV infection. J. Clin. Pathol. 2000, 53, 177–181. [Google Scholar] [CrossRef]
- Nann-Rütti, S.; Tzankov, A.; Cantoni, N.; Halter, J.; Heim, D.; Tsakiris, D.; Arber, C.; Buser, A.; Gratwohl, A.; Tichelli, A.; et al. Large Granular Lymphocyte Expansion after Allogeneic Hematopoietic Stem Cell Transplant Is Associated with a Cytomegalovirus Reactivation and Shows an Indolent Outcome. Biol. Blood Marrow Transplant. 2012, 18, 1765–1770. [Google Scholar] [CrossRef][Green Version]
- Wlodarski, M.W.; Nearman, Z.; Jiang, Y.; Lichtin, A.; Maciejewski, J.P. Clonal predominance of CD8+ T cells in patients with unexplained neutropenia. Exp. Hematol. 2008, 36, 293–300. [Google Scholar] [CrossRef]
- Mustjoki, S.; Young, N.S. Somatic Mutations in “Benign” Disease. N. Engl. J. Med. 2021, 384, 2039–2052. [Google Scholar] [CrossRef]
- Lamy, T.; Moignet, A.; Loughran, T.P. LGL leukemia: From pathogenesis to treatment. Blood Am. Soc. Hematol. 2017, 129, 1082–1094. [Google Scholar] [CrossRef] [PubMed]
- Rivero, A.; Mozas, P.; Jiménez, L.; López-Guerra, M.; Colomer, D.; Bataller, A.; Correa, J.; Rivas-Delgado, A.; Bastidas, G.; Baumann, T.; et al. Clinicobiological Characteristics and Outcomes of Patients with T-Cell Large Granular Lymphocytic Leukemia and Chronic Lymphoproliferative Disorder of Natural Killer Cells from a Single Institution. Cancers 2021, 13, 3900. [Google Scholar] [CrossRef] [PubMed]
- Muñoz-García, N.; Jara-Acevedo, M.; Caldas, C.; Bárcena, P.; López, A.; Puig, N.; Alcoceba, M.; Fernández, P.; Villamor, N.; Flores-Montero, J.A.; et al. STAT3 and STAT5B Mutations in T/NK-Cell Chronic Lymphoproliferative Disorders of Large Granular Lymphocytes (LGL): Association with Disease Features. Cancers 2020, 12, 3508. [Google Scholar] [CrossRef] [PubMed]
- Bhattacharya, D.; Teramo, A.; Gasparini, V.R.; Huuhtanen, J.; Kim, D.; Theodoropoulos, J.; Schiavoni, G.; Barilà, G.; Vicenzetto, C.; Calabretto, G.; et al. Identification of novel STAT5B mutations and characterization of TCRβ signatures in CD4+ T-cell large granular lymphocyte leukemia. Blood Cancer J. 2022, 12, 1–12. [Google Scholar] [CrossRef]
- Teramo, A.; Gattazzo, C.; Passeri, F.; Lico, A.; Tasca, G.; Cabrelle, A.; Martini, V.; Frezzato, F.; Trimarco, V.; Ave, E.; et al. Intrinsic and extrinsic mechanisms contribute to maintain the JAK/STAT pathway aberrantly activated in T-type large granular lymphocyte leukemia. Blood 2013, 121, 3843–3854. [Google Scholar] [CrossRef]
- Giudice, V.; D’Addona, M.; Montuori, N.; Selleri, C. The Value of Flow Cytometry Clonality in Large Granular Lymphocyte Leukemia. Cancers 2021, 13, 4513. [Google Scholar] [CrossRef]
- Koskela, H.L.; Eldfors, S.; Ellonen, P.; van Adrichem, A.J.; Kuusanmäki, H.; Andersson, E.I.; Lagström, S.; Clemente, M.J.; Olson, T.; Jalkanen, S.E.; et al. SomaticSTAT3Mutations in Large Granular Lymphocytic Leukemia. N. Engl. J. Med. 2012, 366, 1905–1913. [Google Scholar] [CrossRef]
- Jerez, A.; Clemente, M.J.; Makishima, H.; Koskela, H.; Leblanc, F.; Ng, K.P.; Olson, T.; Przychodzen, B.; Afable, M.; Gomez-Segui, I.; et al. STAT3 mutations unify the pathogenesis of chronic lymphoproliferative disorders of NK cells and T-cell large granular lymphocyte leukemia. Blood 2012, 120, 3048–3057. [Google Scholar] [CrossRef]
- Jerez, A.; Clemente, M.J.; Makishima, H.; Rajala, H.; Gómez-Seguí, I.; Olson, T.; McGraw, K.; Przychodzen, B.; Kulasekararaj, A.; Afable, M.; et al. STAT3 mutations indicate the presence of subclinical T-cell clones in a subset of aplastic anemia and myelodysplastic syndrome patients. Blood 2013, 122, 2453–2459. [Google Scholar] [CrossRef]
- Liu, J.H.; Wei, S.; Lamy, T.; Epling-Burnette, P.K.; Starkebaum, G.; Djeu, J.Y.; Loughran, T.P. Chronic neutropenia mediated by fas ligand. Blood 2000, 95, 3219–3222. [Google Scholar] [CrossRef]
- Liu, J.H.; Wei, S.; Lamy, T.; Li, Y.; Epling-Burnette, P.; Djeu, J.Y.; Loughran, J.T.P. Blockade of Fas-dependent apoptosis by soluble Fas in LGL leukemia. Blood 2002, 100, 1449–1453. [Google Scholar] [CrossRef] [PubMed]
- Ülkü, A.S.; Der, C. Ras Signaling, Deregulation of Gene Expression and Oncogenesis. Signal Transduct. Cancer 2003, 115, 189–208. [Google Scholar] [CrossRef]
- Mizutani, N.; Ito, H.; Hagiwara, K.; Kobayashi, M.; Hoshikawa, A.; Nishida, Y.; Takagi, A.; Kojima, T.; Suzuki, M.; Osawa, Y.; et al. Involvement of KRAS G12A mutation in the IL-2-independent growth of a human T-LGL leukemia cell line, PLT-2. Nagoya J. Med Sci. 2012, 74, 261–271. [Google Scholar]
- Epling-Burnette, P.K.; Bai, F.; Wei, S.; Chaurasia, P.; Painter, J.S.; Olashaw, N.; Hamilton, A.; Sebti, S.; Djeu, J.Y.; Loughran, T.P. ERK couples chronic survival of NK cells to constitutively activated Ras in lymphoproliferative disease of granular lymphocytes (LDGL). Oncogene 2004, 23, 9220–9229. [Google Scholar] [CrossRef]
- Luo, J.; Manning, B.D.; Cantley, L.C. Targeting the PI3K-Akt pathway in human cancer: Rationale and promise. Cancer Cell 2003, 4, 257–262. [Google Scholar] [CrossRef]
- Schade, A.E.; Powers, J.J.; Wlodarski, M.W.; Maciejewski, J.P. Phosphatidylinositol-3-phosphate kinase pathway activation protects leukemic large granular lymphocytes from undergoing homeostatic apoptosis. Blood 2006, 107, 4834–4840. [Google Scholar] [CrossRef]
- Zhang, R.; Shah, M.V.; Yang, J.; Nyland, S.B.; Liu, X.; Yun, J.K.; Albert, R.; Loughran, T.P. Network model of survival signaling in large granular lymphocyte leukemia. Proc. Natl. Acad. Sci. USA 2008, 105, 16308–16313. [Google Scholar] [CrossRef]
- Shah, M.V.; Zhang, R.; Irby, R.; Kothapalli, R.; Liu, X.; Arrington, T.; Frank, B.; Lee, N.H.; Loughran, J.T.P. Molecular profiling of LGL leukemia reveals role of sphingolipid signaling in survival of cytotoxic lymphocytes. Blood 2008, 112, 770–781. [Google Scholar] [CrossRef]
- Rahul, E.; Ningombam, A.; Acharya, S.; Tanwar, P.; Ranjan, A.; Chopra, A. Large granular lymphocytic leukemia: A brief review. Am. J. Blood Res. 2022, 12, 17–32. [Google Scholar]
- Lamy, T.; Loughran, T.P. How I treat LGL leukemia. Blood 2011, 117, 2764–2774. [Google Scholar] [CrossRef]
- Yabe, M.; Medeiros, L.J.; Wang, S.A.; Tang, G.; Bueso-Ramos, C.E.; Jorgensen, J.L.; Bhagat, G.; Chen, W.; Li, S.; Young, K.H.; et al. Distinguishing Between Hepatosplenic T-cell Lymphoma and γδ T-cell Large Granular Lymphocytic Leukemia. Am. J. Surg. Pathol. 2017, 41, 82–93. [Google Scholar] [CrossRef] [PubMed]
- Chou, J.P.; Effros, R.B. T Cell Replicative Senescence in Human Aging. Curr. Pharm. Des. 2013, 19, 1680–1698. [Google Scholar] [CrossRef] [PubMed]
- Lewis, N.E.; Petrova-Drus, K.; Huet, S.; Epstein-Peterson, Z.D.; Gao, Q.; Sigler, A.E.; Baik, J.; Ozkaya, N.; Moskowitz, A.J.; Kumar, A.; et al. Clonal hematopoiesis in angioimmunoblastic T-cell lymphoma with divergent evolution to myeloid neoplasms. Blood Adv. 2020, 4, 2261–2271. [Google Scholar] [CrossRef] [PubMed]
- Calabretto, G.; Teramo, A.; Barilà, G.; Vicenzetto, C.; Gasparini, V.R.; Semenzato, G.; Zambello, R. Neutropenia and Large Granular Lymphocyte Leukemia: From Pathogenesis to Therapeutic Options. Cells 2021, 10, 2800. [Google Scholar] [CrossRef]
- Dong, N.; Tokumori, F.C.; Isenalumhe, L.; Zhang, Y.; Tandon, A.; Knepper, T.C.; Mo, Q.; Shao, H.; Zhang, L.; Sokol, L. Large granular lymphocytic leukemia—A retrospective study of 319 cases. Am. J. Hematol. 2021, 96, 772–780. [Google Scholar] [CrossRef]
- Bareau, B.; Rey, J.; Hamidou, M.; Donadieu, J.; Morcet, J.; Reman, O.; Schleinitz, N.; Tournilhac, O.; Roussel, M.; Fest, T.; et al. Analysis of a French cohort of patients with large granular lymphocyte leukemia: A report on 229 cases. Haematologica 2010, 95, 1534–1541. [Google Scholar] [CrossRef]
- Bockorny, B.; Codreanu, I.; Dasanu, C.A. Prevalence of autoimmune hematologic and non-hematologic conditions in large granular lymphocytic leukemia: Exploratory analysis of a series of consecutive patients. Leuk. Lymphoma 2013, 55, 1399–1401. [Google Scholar] [CrossRef]
- Saunthararajah, Y.; Molldrem, J.J.; Rivera, M.; Williams, A.; Stetler-Stevenson, M.; Sorbara, L.; Young, N.S.; Barrett, J.A. Coincident myelodysplastic syndrome and T-cell large granular lymphocytic disease: Clinical and pathophysiological features. Br. J. Haematol. 2001, 112, 195–200. [Google Scholar] [CrossRef]
- Zhang, R.; Shah, M.V.; Loughran, T.P. The root of many evils: Indolent large granular lymphocyte leukaemia and associated disorders. Hematol. Oncol. 2009, 28, 105–117. [Google Scholar] [CrossRef]
- Viny, A.D.; Lichtin, A.; Pohlman, B.; Loughran, T.; Maciejewski, J. Chronic B-cell dyscrasias are an important clinical feature of T-LGL leukemia. Leuk. Lymphoma 2008, 49, 932–938. [Google Scholar] [CrossRef]
- El-Sharkawi, D.; Attygalle, A.; Dearden, C. Mature T-Cell leukemias: Challenges in Diagnosis. Front. Oncol. 2022, 12. [Google Scholar] [CrossRef] [PubMed]
- Audemard, A.; Lamy, T.; Bareau, B.; Sicre, F.; Suarez, F.; Truquet, F.; Salaun, V.; Macro, M.; Verneuil, L.; Lobbedez, T.; et al. Vasculitis associated with large granular lymphocyte (LGL) leukemia: Presentation and treatment outcomes of 11 cases. Semin. Arthritis Rheum. 2013, 43, 362–366. [Google Scholar] [CrossRef] [PubMed]
- Cherel, B.; Humbert, M.; LeBlanc, F.R.; Zambello, R.; Hamidou, M.; Lifermann, F.; Montani, D.; Leoncin, M.; Decaux, O.; Pastoret, C.; et al. Large Granular Lymphocyte Leukemia and Precapillary Pulmonary Hypertension. Chest 2020, 158, 2602–2609. [Google Scholar] [CrossRef]
- Go, R.S.; Lust, J.A.; Phyliky, R.L. Aplastic anemia and pure red cell aplasia associated with large granular lymphocyte leukemia. Semin. Hematol. 2003, 40, 196–200. [Google Scholar] [CrossRef]
- Masciopinto, P.; Bellitti, E.; Arcuti, E.; Battisti, O.; Cazzato, G.; Perrone, T.; Longo, M.C.; Laddaga, F.E.; Maiorano, E.; Musto, P.; et al. Indolent Lymphoproliferative T-Cell Disorders Associated With Gastrointestional Disease: Diagnostic Challenges and Outcomes. Clin. Lymphoma Myeloma Leuk. 2022, 22, e745–e750. [Google Scholar] [CrossRef] [PubMed]
- Laddaga, F.E.; Ingravallo, G.; Mestice, A.; Tamma, R.; Perrone, T.; Maiorano, E.; Ribatti, D.; Specchia, G.; Gaudio, F. Correlation between circulating blood and microenvironment T lymphocytes in diffuse large B-cell lymphomas. J. Clin. Pathol. 2022, 75, 493–497. [Google Scholar] [CrossRef] [PubMed]
- Go, R.S.; Li, C.-Y.; Tefferi, A.; Phyliky, R.L. Acquired pure red cell aplasia associated with lymphoproliferative disease of granular T lymphocytes. Blood 2001, 98, 483–485. [Google Scholar] [CrossRef]
- Go, R.S.; Tefferi, A.; Li, C.Y.; Lust, J.A.; Phyliky, R.L. Lymphoproliferative disease of granular T lymphocytes presenting as aplastic anemia. Blood 2000, 96, 3644–3646. [Google Scholar] [CrossRef]
- Karadimitris, A.; Li, K.; Notaro, R.; Araten, D.J.; Nafa, K.; Thertulien, R.; Ladanyi, M.; Stevens, A.E.; Rosenfeld, C.S.; Roberts, I.A.G.; et al. Association of clonal T-cell large granular lymphocyte disease and paroxysmal nocturnal haemoglobinuria (PNH): Further evidence for a pathogenetic link between T cells, aplastic anaemia and PNH. Br. J. Haematol. 2001, 115, 1010–1014. [Google Scholar] [CrossRef]
- Malani, A.K.; Gupta, C.; Rangineni, R.; Singh, J.; Ammar, H. Concomitant presentation of acute myeloid leukemia with T-cell large granular lymphocytic leukemia. Acta Oncol. 2007, 46, 247–249. [Google Scholar] [CrossRef]
- Zhang, X.; Sokol, L.; Bennett, J.M.; Moscinski, L.C.; List, A.; Zhang, L. T-cell large granular lymphocyte proliferation in myelodysplastic syndromes: Clinicopathological features and prognostic significance. Leuk. Res. 2016, 43, 18–23. [Google Scholar] [CrossRef] [PubMed]
- Alfano, G.; Fontana, F.; Colaci, E.; Mori, G.; Cerami, C.; Messerotti, A.; Potenza, L.; Luppi, M.; Cappelli, G. T-cell large granular lymphocyte leukemia in solid organ transplant recipients: Case series and review of the literature. Int. J. Hematol. 2019, 110, 313–321. [Google Scholar] [CrossRef] [PubMed]
- Moignet, A.; Hasanali, Z.; Zambello, R.; Pavan, L.; Bareau, B.; Tournilhac, O.; Roussel, M.; Fest, T.; Awwad, A.; Baab, K.T.; et al. Cyclophosphamide as a first-line therapy in LGL leukemia. Leukemia 2013, 28, 1134–1136. [Google Scholar] [CrossRef] [PubMed]
- Loughran, T.P.; Kidd, P.G.; Starkebaum, G. Treatment of large granular lymphocyte leukemia with oral low-dose methotrexate. Blood 1994, 84, 2164–2170. [Google Scholar] [CrossRef]
- Dumitriu, B.; Ito, S.; Feng, X.; Stephens, N.; Yunce, M.; Kajigaya, S.; Melenhorst, J.J.; Rios, O.; Scheinberg, P.; Chinian, F.; et al. Alemtuzumab in T-cell large granular lymphocytic leukaemia: Interim results from a single-arm, open-label, phase 2 study. Lancet Haematol. 2015, 3, e22–e29. [Google Scholar] [CrossRef]
- Waldmann, T.A.; Conlon, K.C.; Stewart, D.M.; Worthy, T.A.; Janik, J.E.; Fleisher, T.A.; Albert, P.S.; Figg, W.D.; Spencer, S.D.; Raffeld, M.; et al. Phase 1 trial of IL-15 trans presentation blockade using humanized Mikβ1 mAb in patients with T-cell large granular lymphocytic leukemia. Blood 2013, 121, 476–484. [Google Scholar] [CrossRef]
- Bilori, B.; Thota, S.; Clemente, M.J.; Patel, B.; Jerez, A.; Ii, M.A.; Maciejewski, J.P. Tofacitinib as a novel salvage therapy for refractory T-cell large granular lymphocytic leukemia. Leukemia 2015, 29, 2427–2429. [Google Scholar] [CrossRef]
- Hayakawa, F.; Sugimoto, K.; Harada, Y.; Hashimoto, N.; Ohi, N.; Kurahashi, S.; Naoe, T. A novel STAT inhibitor, OPB-31121, has a significant antitumor effect on leukemia with STAT-addictive oncokinases. Blood Cancer J. 2013, 3, e166. [Google Scholar] [CrossRef]
- Frohna, P.A.; Ratnayake, A.; Doerr, N.; Basheer, A.; Al-Mawsawi, L.Q.; Kim, W.J.; Zapata, J.C.; Wu, X.; Waldmann, T.A.; Azimi, N.; et al. Results From a First-in-Human Study of BNZ-1, a Selective Multicytokine Inhibitor Targeting Members of the Common Gamma (γc) Family of Cytokines. J. Clin. Pharmacol. 2019, 60, 264–273. [Google Scholar] [CrossRef]





| Disease | Prevalence | Reference |
|---|---|---|
| Rheumatoid arthritis | 11–36% | [1,35,36] |
| Vasculitis | 2–3% | [42] |
| Chronic inflammatory bowel disease | 2–4% | [37] |
| Gougerot–Sjögren’s syndrome | 2% | [1] |
| Felty’s syndrome | 5% | [1,35,36] |
| Rhizomelic pseudopolyarthritis | Rare | [7] |
| Poly/multineuritis | 2–3% | [37] |
| Endocrinopathy | 2–14 | [35,36] |
| Precapillary pulmonary hypertension | <0.5% | [43] |
| Celiac disease | Rare | [29] |
Publisher’s Note: MDPI stays neutral with regard to jurisdictional claims in published maps and institutional affiliations. |
© 2022 by the authors. Licensee MDPI, Basel, Switzerland. This article is an open access article distributed under the terms and conditions of the Creative Commons Attribution (CC BY) license (https://creativecommons.org/licenses/by/4.0/).
Share and Cite
Gaudio, F.; Masciopinto, P.; Bellitti, E.; Musto, P.; Arcuti, E.; Battisti, O.; Cazzato, G.; Solombrino, A.; Laddaga, F.E.; Specchia, G.; et al. Molecular Features and Diagnostic Challenges in Alpha/Beta T-Cell Large Granular Lymphocyte Leukemia. Int. J. Mol. Sci. 2022, 23, 13392. https://doi.org/10.3390/ijms232113392
Gaudio F, Masciopinto P, Bellitti E, Musto P, Arcuti E, Battisti O, Cazzato G, Solombrino A, Laddaga FE, Specchia G, et al. Molecular Features and Diagnostic Challenges in Alpha/Beta T-Cell Large Granular Lymphocyte Leukemia. International Journal of Molecular Sciences. 2022; 23(21):13392. https://doi.org/10.3390/ijms232113392
Chicago/Turabian StyleGaudio, Francesco, Pierluigi Masciopinto, Emilio Bellitti, Pellegrino Musto, Elena Arcuti, Olga Battisti, Gerardo Cazzato, Alessandra Solombrino, Filomena Emanuela Laddaga, Giorgina Specchia, and et al. 2022. "Molecular Features and Diagnostic Challenges in Alpha/Beta T-Cell Large Granular Lymphocyte Leukemia" International Journal of Molecular Sciences 23, no. 21: 13392. https://doi.org/10.3390/ijms232113392
APA StyleGaudio, F., Masciopinto, P., Bellitti, E., Musto, P., Arcuti, E., Battisti, O., Cazzato, G., Solombrino, A., Laddaga, F. E., Specchia, G., Maiorano, E., & Ingravallo, G. (2022). Molecular Features and Diagnostic Challenges in Alpha/Beta T-Cell Large Granular Lymphocyte Leukemia. International Journal of Molecular Sciences, 23(21), 13392. https://doi.org/10.3390/ijms232113392

