Immobilization and Application of the Recombinant Xylanase GH10 of Malbranchea pulchella in the Production of Xylooligosaccharides from Hydrothermal Liquor of the Eucalyptus (Eucalyptus grandis) Wood Chips
Abstract
1. Introduction
2. Results and Discussion
2.1. Expression and Purification of Recombinant MpXyn10 Xylanase
2.2. Preparation and Characterization of Supports
2.3. Immobilization of the MpXyn10 Xylanase
2.4. Characterization of the MpXyn10 Immobilized Derivatives
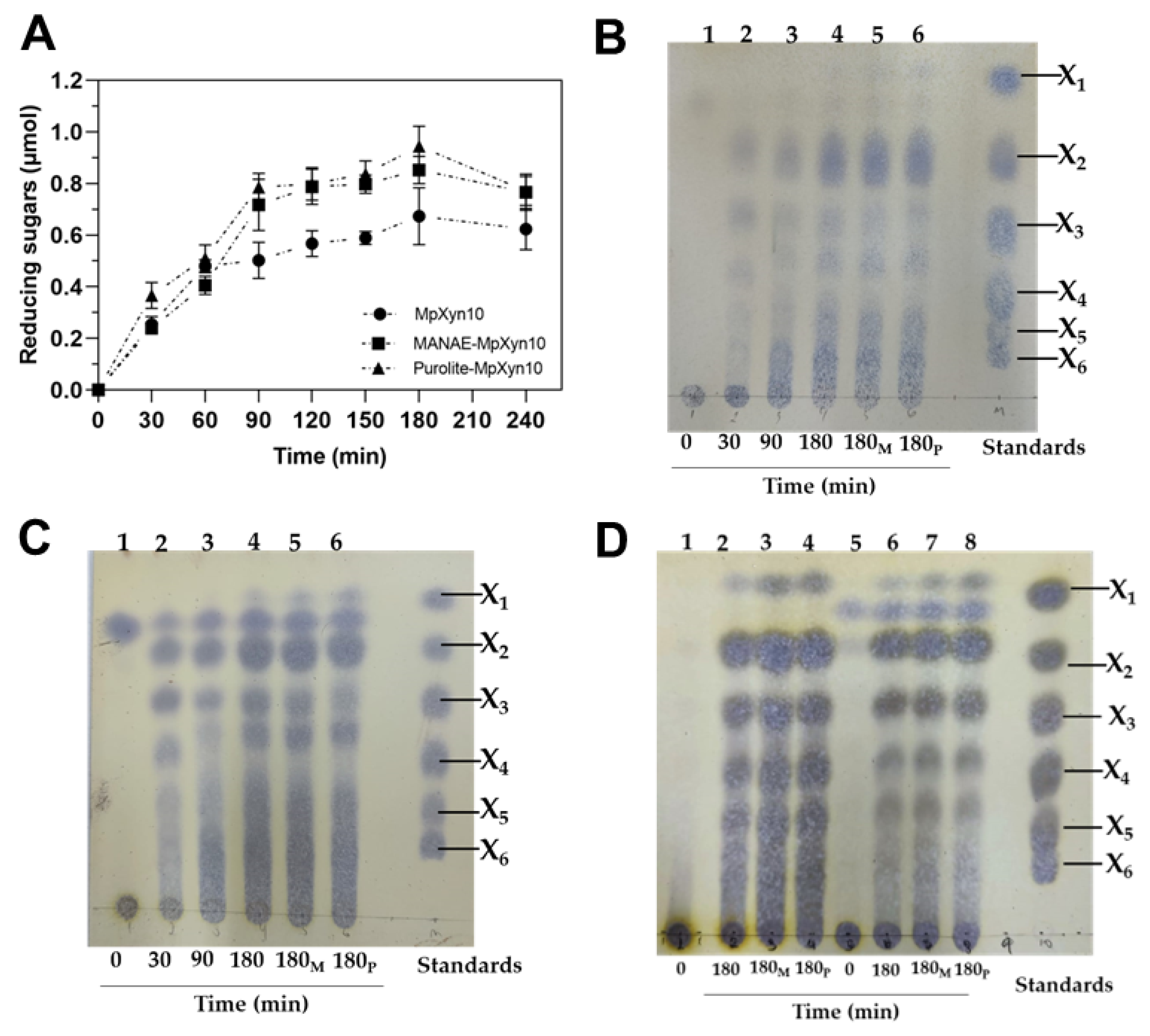
2.5. Xylan Enzymatic Hydrolysis
2.6. Production of XOS from Hydrothermal Liquor
2.7. Operational Stability of Purolite-MpXyn10
3. Materials and Methods
3.1. Reagents, Materials, and Raw Materials
3.2. Fungal Strain
3.3. Production and Purification of Recombinant MpXyn10 Xylanase
3.4. Electrophoresis and Protein Content Determination
3.5. Xylanase Activity Assay
3.6. Preparation and Activation of Supports
3.7. Fourier Transform Infrared (FTIR)
3.8. Immobilization Assays
3.9. Characterization of the MpXyn10 Immobilized Derivatives
3.9.1. Stability at pH and Temperature
3.9.2. Effect of Furfural and 5-Hydroxymethyl-Furfural on MpXyn10 Activity
3.10. Enzymatic Hydrolysis of Xylan
3.11. Liquid Hot Water (LHW) Pretreatment and Compositional Analysis of the Eucalyptus Biomass
3.12. Production of XOS from EWC Hydrothermal Liquor
3.13. Analysis of the Xylan Hydrolysis Products by Thin-Layer Chromatography
3.14. HPLC Analysis
4. Conclusions
Author Contributions
Funding
Institutional Review Board Statement
Informed Consent Statement
Data Availability Statement
Acknowledgments
Conflicts of Interest
References
- Rajesh Banu, J.; Preethi; Kavitha, S.; Tyagi, V.K.; Gunasekaran, M.; Karthikeyan, O.P.; Kumar, G. Lignocellulosic Biomass Based Biorefinery: A Successful Platform towards Circular Bioeconomy. Fuel 2021, 302, 121086. [Google Scholar] [CrossRef]
- Biely, P.; Singh, S.; Puchart, V. Towards Enzymatic Breakdown of Complex Plant Xylan Structures: State of the Art. Biotechnol. Adv. 2016, 34, 1260–1274. [Google Scholar] [CrossRef]
- Freitas, E.N.; Salgado, J.C.; Alnoch, R.C.; Contato, A.G.; Habermann, E.; Michelin, M.; Martínez, C.A.; Polizeli, M.L.T.M. Challenges of Biomass Utilization for Bioenergy in a Climate Change Scenario. Biology 2021, 10, 1277. [Google Scholar] [CrossRef]
- Adsul, M.; Sandhu, S.K.; Singhania, R.R.; Gupta, R.; Puri, S.K.; Mathur, A. Designing a Cellulolytic Enzyme Cocktail for the Efficient and Economical Conversion of Lignocellulosic Biomass to Biofuels. Enzym. Microb. Technol. 2020, 133, 109442. [Google Scholar] [CrossRef]
- Gomes, D.; Cunha, J.; Zanuso, E.; Teixeira, J.; Domingues, L. Strategies towards Reduction of Cellulases Consumption: Debottlenecking the Economics of Lignocellulosics Valorization Processes. Polysaccharides 2021, 2, 20. [Google Scholar] [CrossRef]
- Polizeli, M.L.T.M.; Rizzatti, A.C.S.; Monti, R.; Terenzi, H.F.; Jorge, J.A.; Amorim, D.S. Xylanases from Fungi: Properties and Industrial Applications. Appl. Microbiol. Biotechnol. 2005, 67, 577–591. [Google Scholar] [CrossRef]
- Santibáñez, L.; Henríquez, C.; Corro-Tejeda, R.; Bernal, S.; Armijo, B.; Salazar, O. Xylooligosaccharides from Lignocellulosic Biomass: A Comprehensive Review. Carbohydr. Polym. 2021, 251, 117118. [Google Scholar] [CrossRef]
- Carvalho, A.F.A.; de Oliva Neto, P.; da Silva, D.F.; Pastore, G.M. Xylo-Oligosaccharides from Lignocellulosic Materials: Chemical Structure, Health Benefits and Production by Chemical and Enzymatic Hydrolysis. Food Res. Int. 2013, 51, 75–85. [Google Scholar] [CrossRef]
- Poletto, P.; Pereira, G.N.; Monteiro, C.R.M.; Pereira, M.A.F.; Bordignon, S.E.; de Oliveira, D. Xylooligosaccharides: Transforming the Lignocellulosic Biomasses into Valuable 5-Carbon Sugar Prebiotics. Process Biochem. 2020, 91, 352–363. [Google Scholar] [CrossRef]
- Michelin, M.; Teixeira, J.A. Biocatalyst Systems for Xylooligosaccharides Production from Lignocellulosic Biomass and Their Uses. In Biomass, Biofuels, Biochemicals; Singh, S.P., Pandey, A., Singhania, R.R., Larroche, C., Li, Z., Eds.; Elsevier: Amsterdam, The Netherlands, 2020; pp. 413–425. ISBN 978-0-12-819820-9. [Google Scholar]
- Aachary, A.A.; Gobinath, D.; Srinivasan, K.; Prapulla, S.G. Protective Effect of Xylooligosaccharides from Corncob on 1,2-Dimethylhydrazine Induced Colon Cancer in Rats. Bioact. Carbohydr. Diet. Fibre 2015, 5, 146–152. [Google Scholar] [CrossRef]
- Ávila, P.F.; Martins, M.; de Almeida Costa, F.A.; Goldbeck, R. Xylooligosaccharides Production by Commercial Enzyme Mixture from Agricultural Wastes and Their Prebiotic and Antioxidant Potential. Bioact. Carbohydr. Diet. Fibre 2020, 24, 100234. [Google Scholar] [CrossRef]
- Silva, E.K.; Arruda, H.S.; Pastore, G.M.; Meireles, M.A.A.; Saldaña, M.D.A. Xylooligosaccharides Chemical Stability after High-Intensity Ultrasound Processing of Prebiotic Orange Juice. Ultrason. Sonochem. 2020, 63, 104942. [Google Scholar] [CrossRef]
- Courtin, C.M.; Swennen, K.; Verjans, P.; Delcour, J.A. Heat and PH Stability of Prebiotic Arabinoxylooligosaccharides, Xylooligosaccharides and Fructooligosaccharides. Food Chem. 2009, 112, 831–837. [Google Scholar] [CrossRef]
- Ribeiro, L.F.; De Lucas, R.C.; Vitcosque, G.L.; Ribeiro, L.F.; Ward, R.J.; Rubio, M.V.; Damásio, A.R.; Squina, F.M.; Gregory, R.C.; Walton, P.H.; et al. A Novel Thermostable Xylanase GH10 from Malbranchea pulchella Expressed in Aspergillus nidulans with Potential Applications in Biotechnology. Biotechnol. Biofuels 2014, 7, 115. [Google Scholar] [CrossRef] [PubMed]
- Aragon, C.C.; Mateo, C.; Ruiz-Matute, A.I.; Corzo, N.; Fernández-Lorente, G.; Sevillano, L.; Díaz, M.; Monti, R.; Santamaría, R.I.; Guisán, J.M. Production of Xylo-Oligosaccharides by Immobilized-Stabilized Derivatives of Endo-Xylanase from Streptomyces halstedii. Process Biochem. 2013, 48, 478–483. [Google Scholar] [CrossRef]
- Reddy, S.S.; Krishnan, C. Production of High-Pure Xylooligosaccharides from Sugarcane Bagasse Using Crude β-Xylosidase-Free Xylanase of Bacillus subtilis KCX006 and Their Bifidogenic Function. LWT Food Sci. Technol. 2016, 65, 237–245. [Google Scholar] [CrossRef]
- Zhuo, R.; Yu, H.; Qin, X.; Ni, H.; Jiang, Z.; Ma, F.; Zhang, X. Heterologous Expression and Characterization of a Xylanase and Xylosidase from White Rot Fungi and Their Application in Synergistic Hydrolysis of Lignocellulose. Chemosphere 2018, 212, 24–33. [Google Scholar] [CrossRef]
- Fanchini Terrasan, C.R.; Trobo-Maseda, L.; Moreno-Pérez, S.; Carmona, E.C.; Pessela, B.C.; Guisán, J.M. Co-Immobilization and Stabilization of Xylanase, β-Xylosidase and α-l-Arabinofuranosidase from Penicillium janczewskii for Arabinoxylan Hydrolysis. Process Biochem. 2016, 51, 614–623. [Google Scholar] [CrossRef]
- Reque, P.M.; Pinilla, C.M.B.; Gautério, G.V.; Kalil, S.J.; Brandelli, A. Xylooligosaccharides Production from Wheat Middlings Bioprocessed with Bacillus subtilis. Food Res. Int. 2019, 126, 108673. [Google Scholar] [CrossRef]
- Romero-Fernández, M.; Moreno-Perez, S.; Martins de Oliveira, S.; Santamaría, R.I.; Guisán, J.M.; Rocha-Martin, J. Preparation of a Robust Immobilized Biocatalyst of β-1,4-Endoxylanase by Surface Coating with Polymers for Production of Xylooligosaccharides from Different Xylan Sources. New Biotechnol. 2018, 44, 50–58. [Google Scholar] [CrossRef]
- Gomes, D.; Rodrigues, A.C.; Domingues, L.; Gama, M. Cellulase Recycling in Biorefineries—Is It Possible? Appl. Microbiol. Biotechnol. 2015, 99, 4131–4143. [Google Scholar] [CrossRef] [PubMed]
- Barbosa, O.; Ortiz, C.; Berenguer-Murcia, Á.; Torres, R.; Rodrigues, R.C.; Fernández-Lafuente, R. Strategies for the One-Step Immobilization–Purification of Enzymes as Industrial Biocatalysts. Biotechnol. Adv. 2015, 33, 435–456. [Google Scholar] [CrossRef] [PubMed]
- Sheldon, R.A.; Basso, A.; Brady, D. New Frontiers in Enzyme Immobilisation: Robust Biocatalysts for a Circular Bio-Based Economy. Chem. Soc. Rev. 2021, 50, 5850–5862. [Google Scholar] [CrossRef]
- Zdarta, J.; Meyer, A.S.; Jesionowski, T.; Pinelo, M. A General Overview of Support Materials for Enzyme Immobilization: Characteristics, Properties, Practical Utility. Catalysts 2018, 8, 92. [Google Scholar] [CrossRef]
- Basso, A.; Serban, S. Industrial Applications of Immobilized Enzymes—A Review. Mol. Catal. 2019, 479, 110607. [Google Scholar] [CrossRef]
- Mateo, C.; Palomo, J.M.; Fernández-Lorente, G.; Guisán, J.M.; Fernández-Lafuente, R. Improvement of Enzyme Activity, Stability and Selectivity via Immobilization Techniques. Enzym. Microb. Technol. 2007, 40, 1451–1463. [Google Scholar] [CrossRef]
- Aghaei, H.; Yasinian, A.; Taghizadeh, A. Covalent Immobilization of Lipase from Candida rugosa on Epoxy-Activated Cloisite 30B as a New Heterofunctional Carrier and Its Application in the Synthesis of Banana Flavor and Production of Biodiesel. Int. J. Biol. Macromol. 2021, 178, 569–579. [Google Scholar] [CrossRef]
- Mihailović, M.; Stojanović, M.; Banjanac, K.; Carević, M.; Prlainović, N.; Milosavić, N.; Bezbradica, D. Immobilization of Lipase on Epoxy-Activated Purolite® A109 and Its Post-Immobilization Stabilization. Process Biochem. 2014, 49, 637–646. [Google Scholar] [CrossRef]
- Mehta, G.K.; Kondaveeti, S.; Siddhanta, A.K. Facile Synthesis of Agarose-l-Phenylalanine Ester Hydrogels. Polym. Chem. 2011, 2, 2334–2340. [Google Scholar] [CrossRef]
- Hu, Z.; Hong, P.; Liao, M.; Kong, S.; Huang, N.; Ou, C.; Li, S. Preparation and Characterization of Chitosan—Agarose Composite Films. Materials 2016, 9, 816. [Google Scholar] [CrossRef]
- Soltani Firooz, N.; Panahi, R.; Mokhtarani, B.; Yazdani, F. Direct Introduction of Amine Groups into Cellulosic Paper for Covalent Immobilization of Tyrosinase: Support Characterization and Enzyme Properties. Cellulose 2017, 24, 1407–1416. [Google Scholar] [CrossRef]
- Fernández-Lorente, G.; Palomo, J.M.; Mateo, C.; Munilla, R.; Ortiz, C.; Cabrera, Z.; Guisán, J.M.; Fernández-Lafuente, R. Glutaraldehyde Cross-Linking of Lipases Adsorbed on Aminated Supports in the Presence of Detergents Leads to Improved Performance. Biomacromolecules 2006, 7, 2610–2615. [Google Scholar] [CrossRef] [PubMed]
- De Melo, R.R.; Alnoch, R.C.; Vilela, A.F.L.; de Souza, E.M.; Krieger, N.; Ruller, R.; Sato, H.H.; Mateo, C. New Heterofunctional Supports Based on Glutaraldehyde-Activation: A Tool for Enzyme Immobilization at Neutral PH. Molecules 2017, 22, 1088. [Google Scholar] [CrossRef]
- Lite, C.; Ion, S.; Tudorache, M.; Zgura, I.; Galca, A.C.; Enache, M.; Maria, G.-M.; Parvulescu, V.I. Alternative Lignopolymer-Based Composites Useful as Enhanced Functionalized Support for Enzymes Immobilization. Catal. Today 2021, 379, 222–229. [Google Scholar] [CrossRef]
- Rodrigues, R.C.; Ortiz, C.; Berenguer-Murcia, Á.; Torres, R.; Fernández-Lafuente, R. Modifying Enzyme Activity and Selectivity by Immobilization. Chem. Soc. Rev. 2013, 42, 6290–6307. [Google Scholar] [CrossRef]
- Heinen, P.R.; Pereira, M.G.; Rechia, C.G.V.; Almeida, P.Z.; Monteiro, L.M.O.; Pasin, T.M.; Messias, J.M.; Cereia, M.; Kadowaki, M.K.; Jorge, J.A.; et al. Immobilized Endo-Xylanase of Aspergillus tamarii Kita: An Interesting Biological Tool for Production of Xylooligosaccharides at High Temperatures. Process Biochem. 2017, 53, 145–152. [Google Scholar] [CrossRef]
- Monteiro, L.M.O.; Pereira, M.G.; Vici, A.C.; Heinen, P.R.; Buckeridge, M.S.; Polizeli, M.L.T.M. Efficient Hydrolysis of Wine and Grape Juice Anthocyanins by Malbranchea pulchella β-Glucosidase Immobilized on MANAE-Agarose and ConA-Sepharose Supports. Int. J. Biol. Macromol. 2019, 136, 1133–1141. [Google Scholar] [CrossRef]
- Pereira, M.G.; Facchini, F.D.A.; Filó, L.E.C.; Polizeli, A.M.; Vici, A.C.; Jorge, J.A.; Fernández-Lorente, G.; Pessela, B.C.; Guisán, J.M.; Polizeli, M.L.T.M. Immobilized Lipase from Hypocrea pseudokoningii on Hydrophobic and Ionic Supports: Determination of Thermal and Organic Solvent Stabilities for Applications in the Oleochemical Industry. Process Biochem. 2015, 50, 561–570. [Google Scholar] [CrossRef]
- Fernández-Lafuente, R.; Rosell, C.M.; Rodriguez, V.; Santana, C.; Soler, G.; Bastida, A.; Guisán, J.M. Preparation of Activated Supports Containing Low PK Amino Groups. A New Tool for Protein Immobilization via the Carboxyl Coupling Method. Enzym. Microb. Technol. 1993, 15, 546–550. [Google Scholar] [CrossRef]
- Križnik, L.; Vasić, K.; Knez, Ž.; Leitgeb, M. Hyper-Activation of ß-Galactosidase from Aspergillus oryzae via Immobilization onto Amino-Silane and Chitosan Magnetic Maghemite Nanoparticles. J. Clean. Prod. 2018, 179, 225–234. [Google Scholar] [CrossRef]
- Corradini, F.A.S.; Milessi, T.S.; Gonçalves, V.M.; Ruller, R.; Sargo, C.R.; Lopes, L.A.; Zangirolami, T.C.; Tardioli, P.W.; Giordano, R.C.; Giordano, R.L.C. High Stabilization and Hyperactivation of a Recombinant β-Xylosidase through Immobilization Strategies. Enzym. Microb. Technol. 2021, 145, 109725. [Google Scholar] [CrossRef] [PubMed]
- Guisán, J.M. Aldehyde-Agarose Gels as Activated Supports for Immobilization-Stabilization of Enzymes. Enzym. Microb. Technol. 1988, 10, 375–382. [Google Scholar] [CrossRef]
- Bolivar, J.M.; López-Gallego, F.; Godoy, C.; Rodrigues, D.S.; Rodrigues, R.C.; Batalla, P.; Rocha-Martín, J.; Mateo, C.; Giordano, R.L.C.; Guisán, J.M. The Presence of Thiolated Compounds Allows the Immobilization of Enzymes on Glyoxyl Agarose at Mild PH Values: New Strategies of Stabilization by Multipoint Covalent Attachment. Enzym. Microb. Technol. 2009, 45, 477–483. [Google Scholar] [CrossRef]
- Bolivar, J.M.; Mateo, C.; Grazu, V.; Carrascosa, A.V.; Pessela, B.C.; Guisán, J.M. Heterofunctional Supports for the One-Step Purification, Immobilization and Stabilization of Large Multimeric Enzymes: Amino-Glyoxyl versus Amino-Epoxy Supports. Process Biochem. 2010, 45, 1692–1698. [Google Scholar] [CrossRef]
- de Oliveira, S.M.; Moreno-Perez, S.; Terrasan, C.R.F.; Romero-Fernández, M.; Vieira, M.F.; Guisán, J.M.; Rocha-Martin, J. Covalent Immobilization-Stabilization of β-1,4-Endoxylanases from Trichoderma reesei: Production of Xylooligosaccharides. Process. Biochem. 2018, 64, 170–176. [Google Scholar] [CrossRef]
- Michelin, M.; Teixeira, J.A. Liquid Hot Water Pretreatment of Multi Feedstocks and Enzymatic Hydrolysis of Solids Obtained Thereof. Bioresour. Technol. 2016, 216, 862–869. [Google Scholar] [CrossRef]
- Kormelink, F.J.M.; Voragen, A.G.J. Degradation of Different [(Glucurono)Arabino]Xylans by a Combination of Purified Xylan-Degrading Enzymes. Appl. Microbiol. Biotechnol. 1993, 38, 688–695. [Google Scholar] [CrossRef]
- Damásio, A.R.L.; Pessela, B.C.; da Silva, T.M.; Guimarães, L.H.S.; Jorge, J.A.; Guisán, J.M.; Polizeli, M.L.T.M. Co-Immobilization of Fungal Endo-Xylanase and α-L-Arabinofuranosidase in Glyoxyl Agarose for Improved Hydrolysis of Arabinoxylan. J. Biochem. 2013, 154, 275–280. [Google Scholar] [CrossRef]
- de Souza, A.P.; Leite, D.C.C.; Pattathil, S.; Hahn, M.G.; Buckeridge, M.S. Composition and Structure of Sugarcane Cell Wall Polysaccharides: Implications for Second-Generation Bioethanol Production. BioEnergy Res. 2013, 6, 564–579. [Google Scholar] [CrossRef]
- Ghosh, D.; Vir, A.B.; Garnier, G.; Patti, A.F.; Tanner, J. Continuous Flow Production of Xylooligosaccharides by Enzymatic Hydrolysis. Chem. Eng. Sci. 2021, 244, 116789. [Google Scholar] [CrossRef]
- Lian, Z.; Wang, Y.; Luo, J.; Lai, C.; Yong, Q.; Yu, S. An Integrated Process to Produce Prebiotic Xylooligosaccharides by Autohydrolysis, Nanofiltration and Endo-Xylanase from Alkali-Extracted Xylan. Bioresour. Technol. 2020, 314, 123685. [Google Scholar] [CrossRef] [PubMed]
- Milessi, T.S.S.; Kopp, W.; Rojas, M.J.; Manrich, A.; Baptista-Neto, A.; Tardioli, P.W.; Giordano, R.C.; Fernández-Lafuente, R.; Guisán, J.M.; Giordano, R.L.C. Immobilization and Stabilization of an Endoxylanase from Bacillus subtilis (XynA) for Xylooligosaccharides (XOs) Production. Catal. Today 2016, 259, 130–139. [Google Scholar] [CrossRef]
- Lima, M.A.; Lavorente, G.B.; da Silva, H.K.; Bragatto, J.; Rezende, C.A.; Bernardinelli, O.D.; de Azevedo, E.R.; Gomez, L.D.; McQueen-Mason, S.J.; Labate, C.A.; et al. Effects of Pretreatment on Morphology, Chemical Composition and Enzymatic Digestibility of Eucalyptus Bark: A Potentially Valuable Source of Fermentable Sugars for Biofuel Production—Part 1. Biotechnol. Biofuels 2013, 6, 75. [Google Scholar] [CrossRef]
- Gomes, D.G.; Michelin, M.; Romaní, A.; Domingues, L.; Teixeira, J.A. Co-Production of Biofuels and Value-Added Compounds from Industrial Eucalyptus globulus Bark Residues Using Hydrothermal Treatment. Fuel 2021, 285, 119265. [Google Scholar] [CrossRef]
- Henriques, P.; Martinho, M.; de Lurdes Serrano, M.; de Sousa, A.P.M.; Alves, A.M.B. Xylooligosaccharides Production by Acid Hydrolysis of an Alkaline Extraction Filtrate from Eucalyptus globulus Bleached Kraft Pulp. Ind. Crop. Prod. 2021, 159, 113066. [Google Scholar] [CrossRef]
- Li, M.; Cao, S.; Meng, X.; Studer, M.; Wyman, C.E.; Ragauskas, A.J.; Pu, Y. The Effect of Liquid Hot Water Pretreatment on the Chemical–Structural Alteration and the Reduced Recalcitrance in Poplar. Biotechnol. Biofuels 2017, 10, 237. [Google Scholar] [CrossRef]
- Barratt, R.W.; Johnson, G.B.; Ogata, W.N. Wild-Type and Mutant Stocks of Aspergillus nidulans. Genetics 1965, 52, 233–246. [Google Scholar] [CrossRef]
- Laemmli, U.K. Cleavage of Structural Proteins during the Assembly of the Head of Bacteriophage T4. Nature 1970, 227, 680–685. [Google Scholar] [CrossRef]
- Bradford, M.M. A Rapid and Sensitive Method for the Quantitation of Microgram Quantities of Protein Utilizing the Principle of Protein-Dye Binding. Anal. Biochem. 1976, 72, 248–254. [Google Scholar] [CrossRef]
- Miller, G.L. Use of Dinitrosalicylic Acid Reagent for Determination of Reducing Sugar. Anal. Chem. 1959, 31, 426–428. [Google Scholar] [CrossRef]
- López-Gallego, F.; Betancor, L.; Mateo, C.; Hidalgo, A.; Alonso-Morales, N.; Dellamora-Ortiz, G.; Guisán, J.M.; Fernández-Lafuente, R. Enzyme Stabilization by Glutaraldehyde Crosslinking of Adsorbed Proteins on Aminated Supports. J. Biotechnol. 2005, 119, 70–75. [Google Scholar] [CrossRef] [PubMed]
- Betancor, L.; López-Gallego, F.; Hidalgo, A.; Alonso-Morales, N.; Mateo, G.D.-O.C.; Fernández-Lafuente, R.; Guisán, J.M. Different Mechanisms of Protein Immobilization on Glutaraldehyde Activated Supports: Effect of Support Activation and Immobilization Conditions. Enzym. Microb. Technol. 2006, 39, 877–882. [Google Scholar] [CrossRef]
- Melo, R.R.; Alnoch, R.C.; Sousa, A.S.; Harumi Sato, H.; Ruller, R.; Mateo, C. Cross-Linking with Polyethylenimine Confers Better Functional Characteristics to an Immobilized β-Glucosidase from Exiguobacterium antarcticum B7. Catalysts 2019, 9, 223. [Google Scholar] [CrossRef]
- Romero-Fernández, M.; Moreno-Perez, S.; Orrego, A.H.; de Oliveira, S.M.; Santamaría, R.I.; Díaz, M.; Guisan, J.M.; Rocha-Martin, J. Designing Continuous Flow Reaction of Xylan Hydrolysis for Xylooligosaccharides Production in Packed-Bed Reactors Using Xylanase Immobilized on Methacrylic Polymer-Based Supports. Bioresour. Technol. 2018, 266, 249–258. [Google Scholar] [CrossRef] [PubMed]
- Silva, C.d.O.G.; de Aquino Ribeiro, J.A.; Souto, A.L.; Abdelnur, P.V.; Batista, L.R.; Rodrigues, K.A.; Parachin, N.S.; Filho, E.X.F. Sugarcane Bagasse Hydrothermal Pretreatment Liquors as Suitable Carbon Sources for Hemicellulase Production by Aspergillus niger. Bioenergy Res. 2018, 11, 316–329. [Google Scholar] [CrossRef]
- Menezes, B. da S. Produção de Xilooligossacarídeos a Partir de Resíduos Lignocelulósicos e Fungos Filamentosos. Ph.D. Thesis, Federal University of Rio Grande do Sul, Porto Alegre, Brazil, 2018. [Google Scholar]
- Sluiter, A.; Hames, B.; Ruiz, R.; Scarlata, C.; Sluiter, J.; Templeton, D. Determination of Ash in Biomass: Laboratory Analytical Procedure (LAP); Issue Date: 17/7/2005, Technical Report 8; National Renewable Energy Laboratory: Golden, CO, USA, 2008. [Google Scholar]
- Sluiter, A.; Hames, B.; Ruiz, R.; Scarlata, C.; Sluiter, J.; Templeton, D.; Crocker, D. Determination of Structural Carbohydrates and Lignin in Biomass. Lab. Anal. Proced. 2008, 1617, 1–16. [Google Scholar]
- Carli, S.; Meleiro, L.P.; Ward, R.J. Biochemical and Kinetic Characterization of the Recombinant GH28 Stereum purpureum Endopolygalacturonase and Its Biotechnological Application. Int. J. Biol. Macromol. 2019, 137, 469–474. [Google Scholar] [CrossRef]
- Fonseca-Maldonado, R.; Meleiro, L.P.; Mendes, L.F.S.; Alves, L.F.; Carli, S.; Morero, L.D.; Basso, L.G.M.; Costa-Filho, A.J.; Ward, R.J. Lignocellulose Binding of a Cel5A-RtCBM11 Chimera with Enhanced β-Glucanase Activity Monitored by Electron Paramagnetic Resonance. Biotechnol. Biofuels 2017, 10, 269. [Google Scholar] [CrossRef]







| Support | Immobilization Yield 1 (%), IY | Activity (U g−1 Support) | Activity Recovery 2 (%), AR |
|---|---|---|---|
| Glyoxyl-agarose | 30 | 3.8 ± 0.9 | 51 |
| MANAE-agarose | >95 | 31 ± 1.0 | 137 |
| GLUT-agarose | >95 | 15.5 ± 0.6 | 61 |
| PEI-agarose | >95 | 27.7 ± 1.3 | 105 |
| Purolite | >95 | 35.6 ± 2.1 | 142 |
| Substrate | Biocatalyst | Hydrolysis Products 1 (mg mL−1) | Yield XOS (%) | ||
|---|---|---|---|---|---|
| Xylose | Xylobiose | Xylotriose | |||
| Xylan beechwood | MpXyn10 | 0.037 ± 0.01 | 6.11 ± 0.14 | Nd | 38 |
| MANAE-MpXyn10 | 0.040 ± 0.01 | 7.88 ± 0.20 | 0.21 ± 0.02 | 50 | |
| Purolite-MpXyn10 | 0.075 ± 0.03 | 7.78 ± 0.06 | 0.20 ± 0.01 | 50 | |
| Xylan birchwood | MpXyn10 | 0.040 ± 0.01 | 5.66 ± 0.48 | 0.46 ± 0.03 | 38 |
| MANAE-MpXyn10 | 0.042 ± 0.01 | 7.46 ± 0.42 | 0.60 ± 0.07 | 50 | |
| Purolite-MpXyn10 | 0.081 ± 0.03 | 7.60 ± 0.50 | 0.77 ± 0.11 | 52 | |
| Xylan oat spelts | MpXyn10 | 0.031 ± 0.01 | 3.64 ± 0.11 | 0.50 ± 0.01 | 26 |
| MANAE-MpXyn10 | 0.070 ± 0.01 | 6.64 ± 0.03 | 0.91 ± 0.01 | 47 | |
| Purolite-MpXyn10 | 0.106 ± 0.01 | 6.91 ± 0.07 | 0.99 ± 0.03 | 49 | |
| Wheat arabinoxylan | MpXyn10 | 0.174 ± 0.02 | 6.34 ± 0.52 | 0.59 ± 0.07 | 43 |
| MANAE-MpXyn10 | 0.106 ± 0.01 | 6.36 ± 0.48 | 0.61 ± 0.02 | 44 | |
| Purolite-MpXyn10 | 0.806 ± 0.10 | 7.79 ± 0.24 | 1.14 ± 0.05 | 56 | |
| Components | Raw EWC | LHW-Pretreated EWC |
|---|---|---|
| Solids (%, w/w) | ||
| Cellulose 1 | 33.43 ± 3.08 | 40.85 ± 2.67 |
| Hemicellulose | ||
| Xylan | 14.82 ± 1.50 | 9.95 ± 1.03 |
| Arabinan | 0.58 ± 0.01 | Nd |
| Acetyl group | 1.59 ± 0.26 | Nd |
| Klason lignin | 27.76 ± 1.63 | 30.81 ± 1.76 |
| Ashes | 9.93 ± 2.45 | - |
| Others 2 | 13.48 | 18.39 |
| Hydrolysates (g/L) | ||
| Oligosaccharides | ||
| Glucooligosaccharides | Nd | |
| Xylooligosaccharides | 2.26 ± 0.19 | |
| Arabinooligosaccharides | Nd | |
| Acetyl groups-oligosaccharides | Nd | |
| Monosaccharides | ||
| Glucose | 0.171 ± 0.00 | |
| Xylose | 0.294 ± 0.12 | |
| Arabinose | 0.308 ± 0.09 | |
| Acetic acid | 0.183 ± 0.01 | |
| Degradation products | ||
| Hydroxymethylfurfural | 0.010 ± 0.00 | |
| Furfural | 0.234 ± 0.01 |
Publisher’s Note: MDPI stays neutral with regard to jurisdictional claims in published maps and institutional affiliations. |
© 2022 by the authors. Licensee MDPI, Basel, Switzerland. This article is an open access article distributed under the terms and conditions of the Creative Commons Attribution (CC BY) license (https://creativecommons.org/licenses/by/4.0/).
Share and Cite
Alnoch, R.C.; Alves, G.S.; Salgado, J.C.S.; de Andrades, D.; Freitas, E.N.d.; Nogueira, K.M.V.; Vici, A.C.; Oliveira, D.P.; Carvalho-Jr, V.P.; Silva, R.N.; et al. Immobilization and Application of the Recombinant Xylanase GH10 of Malbranchea pulchella in the Production of Xylooligosaccharides from Hydrothermal Liquor of the Eucalyptus (Eucalyptus grandis) Wood Chips. Int. J. Mol. Sci. 2022, 23, 13329. https://doi.org/10.3390/ijms232113329
Alnoch RC, Alves GS, Salgado JCS, de Andrades D, Freitas ENd, Nogueira KMV, Vici AC, Oliveira DP, Carvalho-Jr VP, Silva RN, et al. Immobilization and Application of the Recombinant Xylanase GH10 of Malbranchea pulchella in the Production of Xylooligosaccharides from Hydrothermal Liquor of the Eucalyptus (Eucalyptus grandis) Wood Chips. International Journal of Molecular Sciences. 2022; 23(21):13329. https://doi.org/10.3390/ijms232113329
Chicago/Turabian StyleAlnoch, Robson C., Gabriela S. Alves, Jose C. S. Salgado, Diandra de Andrades, Emanuelle N. de Freitas, Karoline M. V. Nogueira, Ana C. Vici, Douglas P. Oliveira, Valdemiro P. Carvalho-Jr, Roberto N. Silva, and et al. 2022. "Immobilization and Application of the Recombinant Xylanase GH10 of Malbranchea pulchella in the Production of Xylooligosaccharides from Hydrothermal Liquor of the Eucalyptus (Eucalyptus grandis) Wood Chips" International Journal of Molecular Sciences 23, no. 21: 13329. https://doi.org/10.3390/ijms232113329
APA StyleAlnoch, R. C., Alves, G. S., Salgado, J. C. S., de Andrades, D., Freitas, E. N. d., Nogueira, K. M. V., Vici, A. C., Oliveira, D. P., Carvalho-Jr, V. P., Silva, R. N., Buckeridge, M. S., Michelin, M., Teixeira, J. A., & Polizeli, M. d. L. T. M. (2022). Immobilization and Application of the Recombinant Xylanase GH10 of Malbranchea pulchella in the Production of Xylooligosaccharides from Hydrothermal Liquor of the Eucalyptus (Eucalyptus grandis) Wood Chips. International Journal of Molecular Sciences, 23(21), 13329. https://doi.org/10.3390/ijms232113329

