Characterization of the Human Papillomavirus 16 Oncogenes in K14HPV16 Mice: Sublineage A1 Drives Multi-Organ Carcinogenesis
Abstract
1. Introduction
2. Results
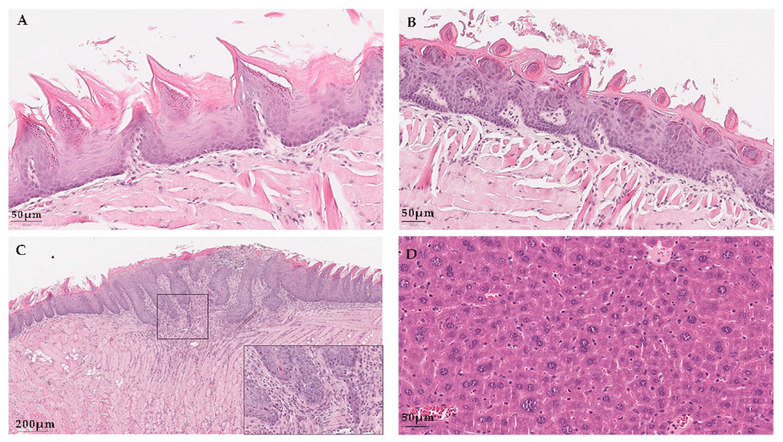
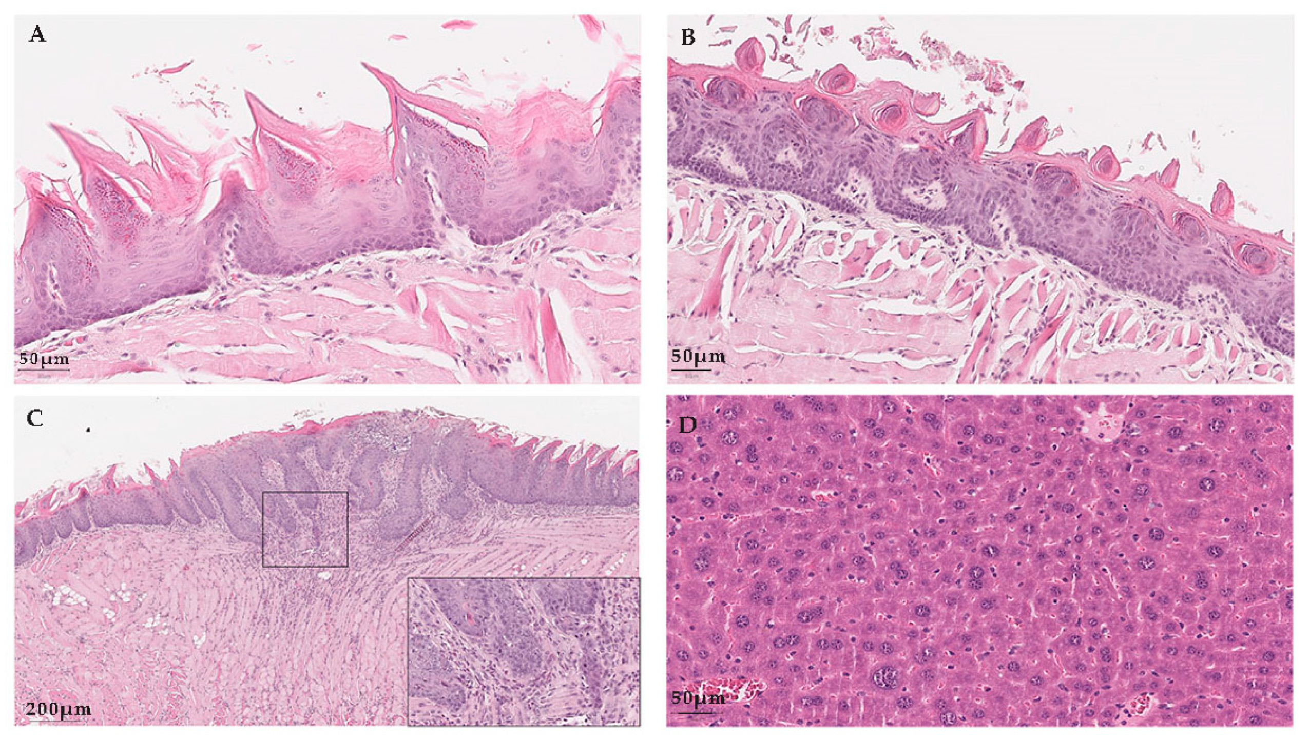
2.1. Sample Characterization
2.2. HPV16 Genome Coverage and Quality
2.3. K14HPV16 Lineage Classification
2.4. HPV16 Sequencing
3. Discussion
4. Material and Methods
4.1. Animals
4.2. Samples
4.3. Histological Processing
4.4. HPV16 Genotyping
4.5. HPV16 Whole-Genome Sequencing
4.6. Variation Sites and their Association with Previous Studies
Supplementary Materials
Author Contributions
Funding
Institutional Review Board Statement
Informed Consent Statement
Data Availability Statement
Conflicts of Interest
References
- De Martel, C.; Plummer, M.; Vignat, J.; Franceschi, S. Worldwide burden of cancer attributable to HPV by site, country and HPV type. Int. J. Cancer 2017, 141, 664–670. [Google Scholar] [CrossRef] [PubMed]
- Bernard, H.-U.; Burk, R.D.; Chen, Z.; Koenraad, D.v.; Al, E. Classification of Papillomaviruses (PVs) Based on 189 PV Types and Proposal of Taxonomic Amendments. Virology 2012, 401, 70–79. [Google Scholar] [CrossRef] [PubMed]
- De Villiers, E.M.; Fauquet, C.; Broker, T.R.; Bernard, H.U.; Zur Hausen, H. Classification of papillomaviruses. Virology 2004, 324, 17–27. [Google Scholar] [CrossRef] [PubMed]
- De Villiers, E.M.; Gunst, K. Characterization of seven novel human papillomavirus types isolated from cutaneous tissue, but also present in mucosal lesions. J. Gen. Virol. 2009, 90 Pt 8, 1999–2004. [Google Scholar] [CrossRef] [PubMed]
- Villa, L.L.; Sichero, L.; Rahal, P.; Caballero, O.; Ferenczy, A.; Rohan, T.; Franco, E.L. Molecular variants of human papillomavirus types 16 and 18 preferentially associated with cervical neoplasia. J. Gen. Virol. 2000, 81, 2959–2968. [Google Scholar] [CrossRef] [PubMed]
- Du, J.; Nordfors, C.; Näsman, A.; Sobkowiak, M.; Romanitan, M.; Dalianis, T.; Ramqvist, T. Human papillomavirus (HPV) 16 E6 variants in tonsillar cancer in comparison to those in cervical cancer in Stockholm, Sweden. PLoS ONE 2012, 7, e36239. [Google Scholar] [CrossRef]
- Chan, P.K.S.; Zhang, C.; Park, J.S.; Smith-McCune, K.K.; Palefsky, J.M.; Giovannelli, L.; Coutlée, F.; Hibbitts, S.; Konno, R.; Settheetham-Ishida, W.; et al. Geographical distribution and oncogenic risk association of human papillomavirus type 58 E6 and E7 sequence variations. Int. J. Cancer 2013, 132, 2528–2536. [Google Scholar] [CrossRef]
- Cornet, I.; Gheit, T.; Iannacone, M.R.; Vignat, J.; Sylla, B.S.; del Mistro, A.; Franceschi, S.; Tommasino, M.; Clifford, G.M. HPV16 genetic variation and the development of cervical cancer worldwide. Br. J. Cancer 2013, 108, 240–244. [Google Scholar] [CrossRef]
- Cochicho, D.; Gil da Costa, R.; Felix, A. Exploring the roles of HPV16 variants in head and neck squamous cell carcinoma: Current challenges and opportunities. Virol. J. 2021, 18, 217. [Google Scholar] [CrossRef] [PubMed]
- Arizmendi-Izazaga, A.; Navarro-Tito, N.; Jiménez-Wences, H.; Mendoza-Catalán, M.A.; Martínez-Carrillo, D.N.; Zacapala-Gómez, A.E.; Olea-Flores, M.; Dircio-Maldonado, R.; Torres-Rojas, F.I.; Soto-Flores, D.G.; et al. Metabolic reprogramming in cancer: Role of hpv 16 variants. Pathogens 2021, 10, 347. [Google Scholar] [CrossRef] [PubMed]
- Santos, C.; Vilanova, M.; Medeiros, R.; Gil da Costa, R.M. HPV-transgenic mouse models: Tools for studying the cancer-associated immune response. Virus Res. 2017, 235, 49–57. [Google Scholar] [CrossRef] [PubMed]
- Arbeit, J.M.; Münger, K.; Howley, P.M.; Hanahan, D. Progressive squamous epithelial neoplasia in K14-human papillomavirus type 16 transgenic mice. J. Virol. 1994, 68, 4358–4368. [Google Scholar] [CrossRef] [PubMed]
- Arbeit, J.M.; Howley, P.M.; Hanahan, D. Chronic estrogen-induced cervical and vaginal squamous carcinogenesis in human papillomavirus type 16 transgenic mice. Proc. Natl. Acad. Sci. USA 1996, 93, 2930–2935. [Google Scholar] [CrossRef]
- Moutinho, M.S.S.; Aragão, S.; Carmo, D.; Casaca, F.; Silva, S.; Ribeiro, J.; Sousa, H.; Pires, I.; Queiroga, F.; Colaço, B.; et al. Curcumin and Rutin Down-regulate Cyclooxygenase-2 and Reduce Tumor-associated Inflammation in HPV16-Transgenic Mice. Anticancer Res. 2018, 38, 1461–1466. [Google Scholar] [CrossRef] [PubMed]
- Mestre, V.F.; Medeiros-Fonseca, B.; Estêvão, D.; Casaca, F.; Silva, S.; Félix, A.; Silva, F.; Colaço, B.; Seixas, F.; Bastos, M.M.S.M.; et al. HPV16 is sufficient to induce squamous cell carcinoma specifically in the tongue base in transgenic mice. J. Pathol. 2020, 251, 4–11. [Google Scholar] [CrossRef] [PubMed]
- Santos, C.; Neto, T.; Ferreirinha, P.; Sousa, H.; Ribeiro, J.; Bastos, M.M.S.M.; Faustino-Rocha, A.I.; Oliveira, P.A.; Medeiros, R.; Vilanova, M.; et al. Celecoxib promotes degranulation of CD8+T cells in HPV-induced lesions of K14-HPV16 transgenic mice. Life Sci. 2016, 157, 67–73. [Google Scholar] [CrossRef]
- Tamura, K.; Nei, M.; Kumar, S. Prospects for inferring very large phylogenies by using the neighbor-joining method. Proc. Natl. Acad. Sci. USA 2004, 101, 11030–11035. [Google Scholar] [CrossRef] [PubMed]
- Saitou, N.; Nei, M. The neighbor-joining method: A new method for reconstructing phylogenetic trees. Mol. Biol. Evol. 1987, 4, 406–425. [Google Scholar] [CrossRef]
- Giannoudis, A.; van Duin, M.; Snijders, P.J.F.; Herrington, C.S. Variation in the E2-binding domain of PHV 16 is associated with high-grade squamous intraepithelial lesions of the cervix. Br. J. Cancer 2001, 84, 1058–1063. [Google Scholar] [CrossRef][Green Version]
- Combes, J.D.; Franceschi, S. Human papillomavirus genome variants and head and neck cancers: A perspective. Infect. Agent. Cancer 2018, 13, 13. [Google Scholar] [CrossRef]
- Burk, R.D.; Harari, A.; Chen, Z. Human papillomavirus genome variants. Virology 2013, 445, 232–243. [Google Scholar] [CrossRef] [PubMed]
- Medeiros-Fonseca, B.; Mestre, V.F.; Estêvão, D.; Sánchez, D.F.; Cañete-Portillo, S.; Fernández-Nestosa, M.J.; Casaca, F.; Silva, S.; Brito, H.; Félix, A.; et al. HPV16 induces penile intraepithelial neoplasia and squamous cell carcinoma in transgenic mice: First mouse model for HPV-related penile cancer. J. Pathol. 2020, 251, 411–419. [Google Scholar] [CrossRef] [PubMed]
- Gil Da Costa, R.M.; Neto, T.; Estêvão, D.; Moutinho, M.; Félix, A.; Medeiros, R.; Lopes, C.; Bastos, M.M.S.M.; Oliveira, P.A. Ptaquiloside from bracken (Pteridium spp.) promotes oral carcinogenesis initiated by HPV16 in transgenic mice. Food Funct. 2020, 11, 3298–3305. [Google Scholar] [CrossRef] [PubMed]
- Jabbar, S.; Strati, K.; Shin, M.K.; Pitot, H.C.; Lambert, P.F. Human papillomavirus type 16 E6 and E7 oncoproteins act synergistically to cause head and neck cancer in mice. Virology 2010, 407, 60–67. [Google Scholar] [CrossRef]
- Sepkovic, D.W.; Stein, J.; Carlisle, A.D.; Ksieski, H.B.; Auborn, K.; Bradlow, H.L. Diindolylmethane Inhibits Cervical Dysplasia, Alters Estrogen Metabolism and Enhances Immune Response in The K14-HPV16 Transgenic Mouse Model. Bone 2008, 23, 1–7. [Google Scholar] [CrossRef] [PubMed]
- Galliverti, G.; Wullschleger, S.; Tichet, M.; Murugan, D.; Zangger, N.; Horton, W.; Korman, A.J.; Coussens, L.M.; Swartz, M.A.; Hanahan, D. Myeloid cells orchestrate systemic immunosuppression, impairing the efficacy of immunotherapy against HPVþ cancers. Cancer Immunol. Res. 2020, 8, 131–145. [Google Scholar] [CrossRef] [PubMed]
- Federation of European Laboratory Animal Science Associations. Euroguide—On the Accommodation and Care of Animals Used for Experimental and Other Scientific Purposes; Federation of European Laboratory Animal Science Associations: Suffolk, UK, 2010; ISBN 9781853157516. [Google Scholar]
- Wang, L.; Wang, F.; Fu, S.; Zhang, C.; Zhe, X.; Li, H.; Li, D.; Shao, R.; Pan, Z. Analysis of genetic variation in human papillomavirus type 16 E1 and E2 in women with cervical infection in Xinjiang, China. BMC Med. Genom. 2021, 14, 51. [Google Scholar] [CrossRef] [PubMed]
- Cullen, M.; Boland, J.F.; Schiffman, M.; Zhang, X.; Wentzensen, N.; Yang, Q.; Chen, Z.; Yu, K.; Mitchell, J.; Roberson, D.; et al. Deep sequencing of HPV16 genomes: A new high-throughput tool for exploring the carcinogenicity and natural history of HPV16 infection. Papillomavirus Res. 2015, 1, 3–11. [Google Scholar] [CrossRef] [PubMed]
- Borges, V.; Pinheiro, M.; Pechirra, P.; Guiomar, R.; Gomes, J.P. INSaFLU: An automated open web-based bioinformatics suite “from-reads” for influenza whole-genome-sequencing-based surveillance. Genome Med. 2018, 10, 46. [Google Scholar] [CrossRef] [PubMed]
- Pérez-Quintanilla, M.; Méndez-Martínez, R.; Vázquez-Vega, S.; Espinosa-Romero, R.; Sotelo-Regil, R.; Pérez-Montiel, M.D.; Ramos-Alamillo, U.; de Jesús Cabrera-López, T.; Barquet-Muñoz, S.A.; Pérez-Plascencia, C.; et al. High prevalence of human papillomavirus and European variants of HPV 16 infecting concomitantly to cervix and oral cavity in HIV positive women. PLoS ONE 2020, 15, e0227900. [Google Scholar] [CrossRef]
- Hirose, Y.; Yamaguchi-Naka, M.; Onuki, M.; Tenjimbayashi, Y.; Tasaka, N.; Satoh, T.; Tanaka, K.; Iwata, T.; Sekizawa, A.; Matsumoto, K.; et al. High Levels of Within-Host Variations of Human Papillomavirus 16 E1/E2 Genes in Invasive Cervical Cancer. Front. Microbiol. 2020, 11, 596334. [Google Scholar] [CrossRef] [PubMed]
- Yamada, T.; Wheeler, C.M.; Halpern, A.L.; Stewart, A.C.; Hildesheim, A.; Jenison, S.A. Human papillomavirus type 16 variant lineages in United States populations characterized by nucleotide sequence analysis of the E6, L2, and L1 coding segments. J. Virol. 1995, 69, 7743–7753. [Google Scholar] [CrossRef] [PubMed]
- Van der Weele, P.; King, A.J.; Meijer, C.J.L.M.L.M.; Steenbergen, R.D.M.M. HPV16 variant analysis in primary and recurrent CIN2/3 lesions demonstrates presence of the same consensus variant. Papillomavirus Res. 2019, 7, 168–172. [Google Scholar] [CrossRef]
- Feng, Y.; Li, Y.; Zhang, Y.; Zheng, H.; Li, G. Association of genetic variants with tumor HPV16 status and survival in squamous cell carcinoma of the oropharynx. Oral Oncol. 2016, 56, 78–83. [Google Scholar] [CrossRef] [PubMed]
- Xi, J.; Chen, J.; Xu, M.; Yang, H.; Luo, J.; Pan, Y.; Wang, X.; Qiu, L.; Yang, J.; Sun, Q. Genetic variability and functional implication of the long control region in HPV-16 variants in Southwest China. PLoS ONE 2017, 12, e0182388. [Google Scholar] [CrossRef] [PubMed]
- Alfaro, A.; Juárez-Torres, E.; Medina-Martínez, I.; Mateos-Guerrero, N.; Bautista-Huerta, M.; Román-Bassaure, E.; Villegas-Sepúlveda, N.; Berumen, J. Different association of human papillomavirus 16 variants with early and late presentation of cervical cancer. PLoS ONE 2016, 11, e0169315. [Google Scholar] [CrossRef]
- Ortiz-Ortiz, J.; Alarcón-Romero, L.; Jiménez-López, M.; Garzón-Barrientos, V.; Calleja-Macías, I.; Barrera-Saldaña, H.; Leyva-Vázquez, M.; Illades-Aguiar, B. Association of human papillomavirus 16 E6 variants with cervical carcinoma and precursor lesions in women from Southern Mexico. Virol. J. 2015, 12, 29. [Google Scholar] [CrossRef] [PubMed][Green Version]
- Zhang, L.; Liao, H.; Yang, B.; Geffre, C.P.; Zhang, A.; Zhou, A.; Cao, H.; Wang, J.; Zhang, Z.; Zheng, W. Variants of human papillomavirus type 16 predispose toward persistent infection. Int. J. Clin. Exp. Pathol. 2015, 8, 8453–8459. [Google Scholar]
- Freitas, L.B.; Chen, Z.; Muqui, E.F.; Boldrini, N.A.T.; Miranda, A.E.; Spano, L.C.; Burk, R.D. Human Papillomavirus 16 Non-European Variants Are Preferentially Associated with High-Grade Cervical Lesions. PLoS ONE 2014, 9, e100746. [Google Scholar] [CrossRef]
- Zuna, R.E.; Moore, W.E.; Shanesmith, R.P.; Dunn, S.T.; Wang, S.S.; Schiffman, M.; Blakey, G.L.; Teel, T. Association of HPV16 E6 variants with diagnostic severity in cervical cytology samples of 354 women in a US population. Int. J. Cancer 2009, 125, 2609–2613. [Google Scholar] [CrossRef] [PubMed]
- Hoffmann, M.; Lohrey, C.; Hunziker, A.; Kahn, T.; Schwarz, E. Human papillomavirus type 16 E6 and E7 genotypes in head-and-neck carcinomas. Oral Oncol. 2004, 40, 520–524. [Google Scholar] [CrossRef]
- Hirose, Y.; Onuki, M.; Tenjimbayashi, Y.; Mori, S.; Ishii, Y.; Takeuchi, T.; Tasaka, N.; Satoh, T.; Morisada, T.; Iwata, T.; et al. Within-Host Variations of Human Papillomavirus Reveal APOBEC Signature Mutagenesis in the Viral Genome. J. Virol. 2018, 92, e00017-18. [Google Scholar] [CrossRef] [PubMed]
- Jiang, M.; Baseman, J.G.; Koutsky, L.A.; Feng, Q.; Mao, C.; Kiviat, N.B.; Xi, L.F. Sequence Variation of Human Papillomavirus Type 16 and Measurement of Viral Integration by Quantitative PCR. J. Clin. Microbiol. 2009, 47, 521–526. [Google Scholar] [CrossRef] [PubMed]
- Mirabello, L.; Yeager, M.; Yu, K.; Clifford, G.M.; Xiao, Y.; Zhu, B.; Cullen, M.; Boland, J.F.; Wentzensen, N.; Nelson, C.W.; et al. HPV16 E7 Genetic Conservation Is Critical to Carcinogenesis. HHS Public Access 2017, 170, 1164–1174. [Google Scholar] [CrossRef]
- Wichmann, G. Gunnar Wichmann Variation of HPV Subtypes with Focus on HPV-Infection and Cancer in the Head and Neck Region. Recent Results Cancer Res. 2017, 206, 27–35. [Google Scholar] [CrossRef]
- Park, J.S.; Shin, S.; Kim, E.-C.; Kim, J.E.; Kim, Y.B.; Oh, S.; Roh, E.Y.; Yoon, J.H. Association of human papillomavirus type 16 and its genetic variants with cervical lesion in Korea. APMIS 2016, 124, 950–957. [Google Scholar] [CrossRef] [PubMed]
- Yang, Y.; Ren, J.; Zhang, Q. Distribution of Human Papilloma Virus Type 16 E6/E7 Gene Mutation in Cervical Precancer or Cancer- A Case Control Study in Guizhou Province. China. J. Med. Virol. 2016, 88, 345–350. [Google Scholar] [CrossRef]
- LeConte, B.A.; Szaniszlo, P.; Fennewald, S.M.; Lou, D.I.; Qiu, S.; Chen, N.W.; Lee, J.H.; Resto, V.A. Differences in the viral genome between HPV-positive cervical and oropharyngeal cancer. PLoS ONE 2018, 13, e0203403. [Google Scholar] [CrossRef]
- Islam, S.; Mazumder Indra, D.; Basu, M.; Roychowdhury, A.; Das, P.; Dasgupta, H.; Roy, A.; Alam, N.; Mondal, R.K.; Roychoudhury, S.; et al. Phylogenetic analysis of Human papillomavirus 16 variants isolated from Indian Breast cancer patients showed difference in genetic diversity with that of cervical cancer isolates. Virus Res. 2018, 243, 1–9. [Google Scholar] [CrossRef]
- Kahla, S.; Hammami, S.; Kochbati, L.; Chanoufi, M.B.; Oueslati, R. HPV16 E2 variants correlated with radiotherapy treatment and biological significance in cervical cell carcinoma. Infect. Genet. Evol. 2018, 65, 238–243. [Google Scholar] [CrossRef]



Publisher’s Note: MDPI stays neutral with regard to jurisdictional claims in published maps and institutional affiliations. |
© 2022 by the authors. Licensee MDPI, Basel, Switzerland. This article is an open access article distributed under the terms and conditions of the Creative Commons Attribution (CC BY) license (https://creativecommons.org/licenses/by/4.0/).
Share and Cite
Cochicho, D.; Nunes, A.; Gomes, J.P.; Martins, L.; Cunha, M.; Medeiros-Fonseca, B.; Oliveira, P.; Bastos, M.M.S.M.; Medeiros, R.; Mendonça, J.; et al. Characterization of the Human Papillomavirus 16 Oncogenes in K14HPV16 Mice: Sublineage A1 Drives Multi-Organ Carcinogenesis. Int. J. Mol. Sci. 2022, 23, 12371. https://doi.org/10.3390/ijms232012371
Cochicho D, Nunes A, Gomes JP, Martins L, Cunha M, Medeiros-Fonseca B, Oliveira P, Bastos MMSM, Medeiros R, Mendonça J, et al. Characterization of the Human Papillomavirus 16 Oncogenes in K14HPV16 Mice: Sublineage A1 Drives Multi-Organ Carcinogenesis. International Journal of Molecular Sciences. 2022; 23(20):12371. https://doi.org/10.3390/ijms232012371
Chicago/Turabian StyleCochicho, Daniela, Alexandra Nunes, João Paulo Gomes, Luís Martins, Mário Cunha, Beatriz Medeiros-Fonseca, Paula Oliveira, Margarida M. S. M. Bastos, Rui Medeiros, Joana Mendonça, and et al. 2022. "Characterization of the Human Papillomavirus 16 Oncogenes in K14HPV16 Mice: Sublineage A1 Drives Multi-Organ Carcinogenesis" International Journal of Molecular Sciences 23, no. 20: 12371. https://doi.org/10.3390/ijms232012371
APA StyleCochicho, D., Nunes, A., Gomes, J. P., Martins, L., Cunha, M., Medeiros-Fonseca, B., Oliveira, P., Bastos, M. M. S. M., Medeiros, R., Mendonça, J., Vieira, L., Gil da Costa, R. M., & Felix, A. (2022). Characterization of the Human Papillomavirus 16 Oncogenes in K14HPV16 Mice: Sublineage A1 Drives Multi-Organ Carcinogenesis. International Journal of Molecular Sciences, 23(20), 12371. https://doi.org/10.3390/ijms232012371

