Genome-Wide Identification of the DOF Gene Family Involved in Fruitlet Abscission in Areca catechu L.
Abstract
1. Introduction
2. Results
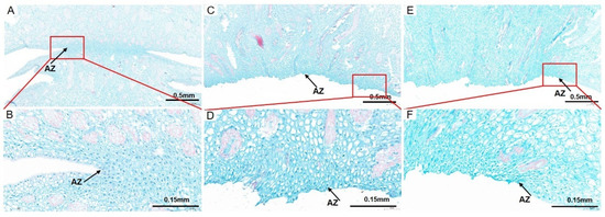
2.1. Dynamic Observation of the Process of Fruitlet Abscission in A. catechu
2.2. Transcriptome Analysis Identified Differentially Expressed DOF Genes in A. catechu
2.3. Expression Profiles of the AcDOF Genes
2.4. Genome-Wide Identification of the DOF Genes in A. catechu
2.5. Conserved Domains of AcDOF Proteins and Phylogenetic Analysis
2.6. Cis-Elements Analysis on the Promoter Regions of the AcDOF Genes
2.7. Prediction of Downstream Genes Regulated by the AcDOF Transcription Factor
3. Discussion
4. Materials and Methods
4.1. Plant Materials
4.2. Identification of the AcDOF Genes in A. catechu Genome
4.3. Phylogenic Analysis, Motif Composition and Chromosomal Distribution
4.4. Light Microscopy and Image Acquisition
4.5. Expression Analysis of the AcDOF Genes
4.6. TF (Transcription Factor)-Centered Yeast One Hybrid Assays
5. Conclusions
Supplementary Materials
Author Contributions
Funding
Institutional Review Board Statement
Informed Consent Statement
Data Availability Statement
Acknowledgments
Conflicts of Interest
References
- Ma, C.; Jiang, C.Z.; Gao, J. Regulatory mechanisms underlying activation of organ abscission. Annu. Plant Rev. Online 2021, 4, 27–56. [Google Scholar] [CrossRef]
- Ellis, C.M.; Nagpal, P.; Young, J.C.; Hagen, G.; Guilfoyle, T.J.; Reed, J.W. AUXIN RESPONSE FACTOR1 and AUXIN RESPONSE FACTOR2 regulate senescence and floral organ abscission in Arabidopsis thaliana. Development 2005, 132, 4563–4574. [Google Scholar] [CrossRef] [PubMed]
- Okushima, Y.; Mitina, I.; Quach, H.L.; Theologis, A. AUXIN RESPONSE FACTOR 2 (ARF2): A pleiotropic developmental regulator. Plant J. 2005, 43, 29–46. [Google Scholar] [CrossRef] [PubMed]
- Gao, Y.; Liu, C.; Li, X.; Xu, H.; Liang, Y.; Ma, N.; Fei, Z.; Gao, J.; Jiang, C.Z.; Ma, C. Transcriptome profiling of petal abscission zone and functional analysis of an Aux/IAA family gene RhiAA16 involved in petal shedding in rose. Front. Plant Sci. 2016, 7, 1375. [Google Scholar] [CrossRef]
- Ma, X.; Yuan, Y.; Wu, Q.; Wang, J.; Li, J.; Zhao, M. LcEIL2/3 are involved in fruitlet abscission via activating genes related to ethylene biosynthesis and cell wall remodeling in litchi. Plant J. 2020, 103, 1338–1350. [Google Scholar] [CrossRef] [PubMed]
- Yi, J.W.; Wang, Y.; Ma, X.S.; Zhang, J.Q.; Zhao, M.L.; Huang, X.M.; Li, J.G.; Hu, G.B.; Wang, H.C. LcERF2 modulates cell wall metabolism by directly targeting a UDP-glucose-4-epimerase gene to regulate pedicel development and fruit abscission of litchi. Plant J. 2021, 106, 801–816. [Google Scholar] [CrossRef] [PubMed]
- Mao, L.; Begum, D.; Chuang, H.W.; Budiman, M.A.; Szymkowiak, E.J.; Irish, E.E.; Wing, R.A. JOINTLESS is a MADS-box gene controlling tomato flower abscission zone development. Nature 2000, 406, 910–913. [Google Scholar] [CrossRef]
- Nakano, T.; Kimbara, J.; Fujisawa, M.; Kitagawa, M.; Ihashi, N.; Maeda, H.; Kasumi, T.; Ito, Y. MACROCALYX and JOINTLESS interact in the transcriptional regulation of tomato fruit abscission zone development. Plant Physiol. 2012, 158, 439–450. [Google Scholar] [CrossRef]
- Liu, D.; Wang, D.; Qin, Z.; Zhang, D.; Yin, L.; Wu, L.; Colasanti, J.; Li, A.; Mao, L. The SEPALLATA MADS-box protein SLMBP21 forms protein complexes with JOINTLESS and MACROCALYX as a transcription activator for development of the tomato flower abscission zone. Plant J. 2014, 77, 284–296. [Google Scholar] [CrossRef] [PubMed]
- Cai, S.; Lashbrook, C.C. Stamen abscission zone transcriptome profiling reveals new candidates for abscission control: Enhanced retention of floral organs in transgenic plants overexpressing Arabidopsis Zinc Finger Protein2. Plant Physiol. 2008, 146, 1305–1321. [Google Scholar] [CrossRef]
- Wei, P.C.; Tan, F.; Gao, X.Q.; Zhang, X.Q.; Wang, G.Q.; Xu, H.; Li, L.J.; Chen, J.; Wang, X.C. Overexpression of AtDOF4.7, an Arabidopsis DOF family transcription factor, induces floral organ abscission deficiency in Arabidopsis. Plant Physiol. 2010, 153, 1031–1045. [Google Scholar] [CrossRef]
- Xu, P.; Chen, H.; Cai, W. Transcription factor CDF4 promotes leaf senescence and floral organ abscission by regulating abscisic acid and reactive oxygen species pathways in Arabidopsis. EMBO Rep. 2020, 21, e48967. [Google Scholar] [CrossRef]
- Zhao, M.; Li, C.; Ma, X.; Xia, R.; Chen, J.; Liu, X.; Ying, P.; Peng, M.; Wang, J.; Shi, C.L.; et al. KNOX protein KNAT1 regulates fruitlet abscission in litchi by repressing ethylene biosynthetic genes. J. Exp. Bot. 2020, 71, 4069–4082. [Google Scholar] [CrossRef]
- Azam, S.M.; Liu, Y.; Rahman, Z.U.; Ali, H.; Yan, C.; Wang, L.; Priyadarshani, S.V.G.N.; Hu, B.; Huang, X.; Xiong, J.; et al. Identification, characterization and expression profiles of Dof transcription factors in pineapple (Ananas comosus L.). Trop. Plant Biol. 2018, 11, 49–64. [Google Scholar] [CrossRef]
- Gupta, S.; Malviya, N.; Kushwaha, H.; Nasim, J.; Bisht, N.C.; Singh, V.K.; Yadav, D. Insights into structural and functional diversity of Dof (DNA binding with one finger) transcription factor. Planta 2015, 241, 549–562. [Google Scholar] [CrossRef]
- Umemura, Y.; Ishiduka, T.; Yamamoto, R.; Esaka, M. The Dof domain, a zinc finger DNA-binding domain conserved only in higher plants, truly functions as a Cys2/Cys2 Zn finger domain. Plant J. 2004, 37, 741–749. [Google Scholar] [CrossRef]
- Yanagisawa, S.; Izui, K. Molecular cloning of two DNA-binding proteins of maize that are structurally different but interact with the same sequence motif. J. Biol. Chem. 1993, 268, 16028–16036. [Google Scholar] [CrossRef]
- Kang, W.H.; Kim, S.; Lee, H.A.; Choi, D.; Yeom, S.I. Genome-wide analysis of Dof transcription factors reveals functional characteristics during development and response to biotic stresses in pepper. Sci. Rep. 2016, 6, 33332. [Google Scholar] [CrossRef]
- Noguero, M.; Atif, R.M.; Ochatt, S.; Thompson, R.D. The role of the DNA-binding One Zinc Finger (DOF) transcription factor family in plants. Plant Sci. 2013, 209, 32–45. [Google Scholar] [CrossRef] [PubMed]
- Vicente-Carbajosa, J.; Moose, S.P.; Parsons, R.L.; Schmidt, R.J. A maize zinc-finger protein binds the prolamin box in zein gene promoters and interacts with the basic leucine zipper transcriptional activator Opaque2. Proc. Natl. Acad. Sci. USA 1997, 94, 7685–7690. [Google Scholar] [CrossRef]
- Washio, K. Functional dissections between GAMYB and Dof transcription factors suggest a role for protein-protein associations in the gibberellin-mediated expression of the RAmy1A gene in the rice aleurone. Plant Physiol. 2003, 133, 850–863. [Google Scholar] [CrossRef] [PubMed]
- Corrales, A.R.; Carrillo, L.; Lasierra, P.; Nebauer, S.G.; Dominguez-Figueroa, J.; Renau-Morata, B.; Pollmann, S.; Granell, A.; Molina, R.V.; Vicente-Carbajosa, J.; et al. Multifaceted role of cycling DOF factor 3 (CDF3) in the regulation of flowering time and abiotic stress responses in Arabidopsis. Plant Cell Environ. 2017, 40, 748–764. [Google Scholar] [CrossRef] [PubMed]
- Negi, J.; Moriwaki, K.; Konishi, M.; Yokoyama, R.; Nakano, T.; Kusumi, K.; Hashimoto-Sugimoto, M.; Schroeder, J.I.; Nishitani, K.; Yanagisawa, S.; et al. A Dof transcription factor, SCAP1, is essential for the development of functional stomata in Arabidopsis. Curr. Biol. 2013, 23, 479–484. [Google Scholar] [CrossRef]
- Guo, Y.; Qin, G.; Gu, H.; Qu, L.J. Dof5.6/HCA2, a Dof transcription factor gene, regulates interfascicular cambium formation and vascular tissue development in Arabidopsis. Plant Cell 2009, 21, 3518–3534. [Google Scholar] [CrossRef]
- Wang, G.Q.; Wei, P.C.; Tan, F.; Yu, M.; Zhang, X.Y.; Chen, Q.J.; Wang, X.C. The transcription factor AtDOF4.7 is involved in ethylene- and IDA-mediated organ abscission in Arabidopsis. Front. Plant Sci. 2016, 7, 863. [Google Scholar] [CrossRef]
- Zhang, Y. Functional Analysis of Dof Transcription Factors Controlling Heading Date and PPDK Gene Expression in Rice. Ph.D. Thesis, Leiden University, Leiden, The Netherlands, 2015. [Google Scholar]
- Wu, Q.; Li, D.; Li, D.; Liu, X.; Zhao, X.; Li, X.; Li, S.; Zhu, L. Overexpression of OsDof12 affects plant architecture in rice (Oryza sativa L.). Front. Plant Sci. 2015, 6, 833. [Google Scholar] [CrossRef]
- Wu, Q.; Liu, X.; Yin, D.; Yuan, H.; Xie, Q.; Zhao, X.; Li, X.; Zhu, L.; Li, S.; Li, D. Constitutive expression of OsDof4, encoding a C2-C2 zinc finger transcription factor, confesses its distinct flowering effects under long- and short-day photoperiods in rice (Oryza sativa L.). BMC Plant Biol. 2017, 17, 166. [Google Scholar] [CrossRef]
- Renau-Morata, B.; Molina, R.V.; Carrillo, L.; Cebolla-Cornejo, J.; Sánchez-Perales, M.; Pollmann, S.; Domínguez-Figueroa, J.; Corrales, A.R.; Flexas, J.; Vicente-Carbajosa, J.; et al. Ectopic expression of CDF3 genes in tomato enhances biomass production and yield under salinity stress conditions. Front. Plant Sci. 2017, 8, 660. [Google Scholar] [CrossRef]
- Yang, Y.; Huang, L.; Xu, C.; Qi, L.; Wu, Z.; Li, J.; Chen, H.; Wu, Y.; Fu, T.; Zhu, H.; et al. Chromosome-scale genome assembly of areca palm (Areca catechu). Mol. Ecol. Resour. 2021, 21, 2504–2519. [Google Scholar] [CrossRef]
- Zhou, Y.; Cheng, Y.; Wan, C.; Li, J.; Yang, Y.; Chen, J. Genome-wide characterization and expression analysis of the Dof gene family related to abiotic stress in watermelon. PeerJ 2020, 8, e8358. [Google Scholar] [CrossRef]
- Venkatesh, J.; Park, S.W. Genome-wide analysis and expression profiling of DNA-binding with one zinc finger (Dof) transcription factor family in potato. Plant Physiol. Biochem. 2015, 94, 73–85. [Google Scholar] [CrossRef] [PubMed]
- Zou, Z.; Yang, J. Genomic analysis of Dof transcription factors in Hevea brasiliensis, a rubber-producing tree. Ind. Crop. Prod. 2019, 134, 271–283. [Google Scholar] [CrossRef]
- Qi, X.; Li, S.; Zhu, Y.; Zhao, Q.; Zhu, D.; Yu, J. ZmDof3, a maize endosperm-specific Dof protein gene, regulates starch accumulation and aleurone development in maize endosperm. Plant Mol. Biol. 2017, 93, 7–20. [Google Scholar] [CrossRef] [PubMed]
- Wu, J.; Chen, L.; Chen, M.; Zhou, W.; Dong, Q.; Jiang, H.; Cheng, B. The DOF-domain transcription factor zmdof36 positively regulates starch synthesis in transgenic maize. Front. Plant Sci. 2019, 10, 465. [Google Scholar] [CrossRef] [PubMed]
- Roongsattham, P.; Morcillo, F.; Fooyontphanich, K.; Jantasuriyarat, C.; Tragoonrung, S.; Amblard, P.; Collin, M.; Mouille, G.; Verdeil, J.L.; Tranbarger, T.J. Cellular and pectin dynamics during abscission zone development and ripe fruit abscission of the monocot oil palm. Front. Plant Sci. 2016, 7, 540. [Google Scholar] [CrossRef] [PubMed]
- Henderson, J.; Davies, H.A.; Heyes, S.J.; Osborne, D.J. The study of a monocotyledon abscission zone using microscopic, chemical, enzymatic and solid state 13C CP/MAS NMR analyses. Phytochemistry 2001, 56, 131–139. [Google Scholar] [CrossRef]
- Lee, Y.; Yoon, T.H.; Lee, J.; Jeon, S.Y.; Lee, J.H.; Lee, M.K.; Chen, H.; Yun, J.; Oh, S.Y.; Wen, X.; et al. A lignin molecular brace controls precision processing of cell walls critical for surface integrity in Arabidopsis. Cell 2018, 173, 1468–1480.e1469. [Google Scholar] [CrossRef] [PubMed]
- Lee, Y. More than cell wall hydrolysis: Orchestration of cellular dynamics for organ separation. Curr. Opin. Plant Biol. 2019, 51, 37–43. [Google Scholar] [CrossRef] [PubMed]
- Estornell, L.H.; Agustí, J.; Merelo, P.; Talón, M.; Tadeo, F.R. Elucidating mechanisms underlying organ abscission. Plant Sci. 2013, 199–200, 48–60. [Google Scholar] [CrossRef]
- González-Carranza, Z.H.; Rompa, U.; Peters, J.L.; Bhatt, A.M.; Wagstaff, C.; Stead, A.D.; Roberts, J.A. Hawaiian skirt: An F-box gene that regulates organ fusion and growth in Arabidopsis. Plant Physiol. 2007, 144, 1370–1382. [Google Scholar] [CrossRef]
- McKim, S.M.; Stenvik, G.E.; Butenko, M.A.; Kristiansen, W.; Cho, S.K.; Hepworth, S.R.; Aalen, R.B.; Haughn, G.W. The BLADE-ON-PETIOLE genes are essential for abscission zone formation in Arabidopsis. Development 2008, 135, 1537–1546. [Google Scholar] [CrossRef]
- Gubert, C.M.; Christy, M.E.; Ward, D.L.; Groner, W.D.; Liljegren, S.J. ASYMMETRIC LEAVES1 regulates abscission zone placement in Arabidopsis flowers. BMC Plant Biol. 2014, 14, 195. [Google Scholar] [CrossRef]
- Ito, Y.; Nakano, T. Development and regulation of pedicel abscission in tomato. Front. Plant Sci. 2015, 6, 442. [Google Scholar] [CrossRef]
- Cai, X.; Zhang, Y.; Zhang, C.; Zhang, T.; Hu, T.; Ye, J.; Zhang, J.; Wang, T.; Li, H.; Ye, Z. Genome-wide analysis of plant-specific Dof transcription factor family in tomato. J. Integr. Plant Biol. 2013, 55, 552–566. [Google Scholar] [CrossRef] [PubMed]
- Zhang, L.; Liu, B.; Zheng, G.; Zhang, A.; Li, R. Genome-wide characterization of the SiDof gene family in foxtail millet (Setaria italica). BioSystems 2017, 151, 27–33. [Google Scholar] [CrossRef]
- Wen, C.L.; Cheng, Q.; Zhao, L.; Mao, A.; Yang, J.; Yu, S.; Weng, Y.; Xu, Y. Identification and characterisation of Dof transcription factors in the cucumber genome. Sci. Rep. 2016, 6, 23072. [Google Scholar] [CrossRef] [PubMed]
- Nasim, J.; Malviya, N.; Kumar, R.; Yadav, D. Genome-wide bioinformatics analysis of Dof transcription factor gene family of chickpea and its comparative phylogenetic assessment with Arabidopsis and rice. Plant Syst. Evol. 2016, 302, 1009–1026. [Google Scholar] [CrossRef]
- Malviya, N.; Gupta, S.; Singh, V.K.; Yadav, M.K.; Bisht, N.C.; Sarangi, B.K.; Yadav, D. Genome wide in silico characterization of Dof gene families of pigeonpea (Cajanus cajan (L.) Millsp.). Mol. Biol. Rep. 2015, 42, 535–552. [Google Scholar] [CrossRef]
- Liu, X.; Liu, Z.; Hao, Z.; Chen, G.; Qi, K.; Zhang, H.; Jiao, H.; Wu, X.; Zhang, S.; Wu, J.; et al. Characterization of Dof family in Pyrus bretschneideri and role of PbDof9.2 in flowering time regulation. Genomics 2020, 112, 712–720. [Google Scholar] [CrossRef]
- Lijavetzky, D.; Carbonero, P.; Vicente-Carbajosa, J. Genome-wide comparative phylogenetic analysis of the rice and Arabidopsis Dof gene families. BMC Evol. Biol. 2003, 3, 17. [Google Scholar] [CrossRef] [PubMed]
- Wei, Q.; Wang, W.; Hu, T.; Hu, H.; Mao, W.; Zhu, Q.; Bao, C. Genome-wide identification and characterization of Dof transcription factors in eggplant (Solanum melongena L.). PeerJ 2018, 6, e4481. [Google Scholar] [CrossRef]
- Hernandez-Garcia, C.M.; Finer, J.J. Identification and validation of promoters and cis-acting regulatory elements. Plant Sci. 2014, 217–218, 109–119. [Google Scholar] [CrossRef]
- Shan, X.; Wang, J.; Chua, L.; Jiang, D.; Peng, W.; Xie, D. The role of Arabidopsis rubisco activase in jasmonate-induced leaf senescence. Plant Physiol. 2011, 155, 751–764. [Google Scholar] [CrossRef]
- Zhu, X.; Chen, J.; Xie, Z.; Gao, J.; Ren, G.; Gao, S.; Zhou, X.; Kuai, B. Jasmonic acid promotes degreening via MYC2/3/4- and ANAC019/055/072-mediated regulation of major chlorophyll catabolic genes. Plant J. 2015, 84, 597–610. [Google Scholar] [CrossRef]
- Ochiai, M.; Matsumoto, S.; Yamada, K. Methyl jasmonate treatment promotes flower opening of cut Eustoma by inducing cell wall loosening proteins in petals. Postharvest Biol. Technol. 2013, 82, 1–5. [Google Scholar] [CrossRef]
- Niwa, T.; Suzuki, T.; Takebayashi, Y.; Ishiguro, R.; Higashiyama, T.; Sakakibaraa, H.; Ishiguro, S. Jasmonic acid facilitates flower opening and floral organ development through the upregulated expression of SlMYB21 transcription factor in tomato. Biosci. Biotechnol. Biochem. 2018, 82, 292–303. [Google Scholar] [CrossRef]
- Sanders, P.M.; Lee, P.Y.; Biesgen, C.; Boone, J.D.; Beals, T.P.; Weiler, E.W.; Goldberg, R.B. The Arabidopsis DELAYED DEHISCENCE1 gene encodes an enzyme in the jasmonic acid synthesis pathway. Plant Cell 2000, 12, 1041–1061. [Google Scholar] [CrossRef]
- Kim, J.; Dotson, B.; Rey, C.; Lindsey, J.; Bleecker, A.B.; Binder, B.M.; Patterson, S.E. New clothes for the jasmonic acid receptor COI1: Delayed abscission, meristem arrest and apical dominance. PLoS ONE 2013, 8, e60505. [Google Scholar] [CrossRef] [PubMed]
- Larkin, M.A.; Blackshields, G.; Brown, N.P.; Chenna, R.; McGettigan, P.A.; McWilliam, H.; Valentin, F.; Wallace, I.M.; Wilm, A.; Lopez, R.; et al. Clustal W and Clustal X version 2.0. Bioinformatics 2007, 23, 2947–2948. [Google Scholar] [CrossRef] [PubMed]
- Chen, C.; Chen, H.; Zhang, Y.; Thomas, H.R.; Frank, M.H.; He, Y.; Xia, R. TBtools: An integrative toolkit developed for interactive analyses of big biological data. Mol. Plant 2020, 13, 1194–1202. [Google Scholar] [CrossRef]
- Xu, M.; Li, Y.; Zheng, Z.; Dai, Z.; Tao, Y.; Deng, X. Transcriptional analyses of mandarins seriously infected by ‘Candidatus liberibacter asiaticus’. PLoS ONE 2015, 10, e0133652. [Google Scholar] [CrossRef] [PubMed]
- Livak, K.J.; Schmittgen, T.D. Analysis of relative gene expression data using real-time quantitative PCR and the 2−ΔΔCT method. Methods 2001, 25, 402–408. [Google Scholar] [CrossRef] [PubMed]
- Chen, Z.; Teng, S.; Liu, D.; Chang, Y.; Zhang, L.; Cui, X.; Wu, J.; Ai, P.; Sun, X.; Lu, T.; et al. RLM1, encoding an R2R3 MYB transcription factor, regulates the development of secondary cell wall in rice. Front. Plant Sci. 2022, 13, 905111. [Google Scholar] [CrossRef] [PubMed]











| Gene Name | Gene ID | Map Position (bp) | Amino Acids Length (aa) | AtDOF Homologs | Locus Name | pI | MW | Subcellular Localization |
|---|---|---|---|---|---|---|---|---|
| AcDOF1 | Acat_11g009250 | Chr11:110699065–110724793 | 452 | AtCDF2 | AT5G39660 | 6.65 | 49,350.83 | N |
| AcDOF2 | Acat_1g004830 | Chr1:70534776–70537996 | 513 | AtCDF2 | AT5G39660 | 5.87 | 55,246.43 | N |
| AcDOF3 | Acat_1g014570 | Chr1:104561992–104566442 | 512 | AtCDF2 | AT5G39660 | 5.17 | 55,134.50 | N |
| AcDOF4 | Acat_15g002830 | Chr15:11111749–11112414 | 221 | AtDOF1 | AT1G51700 | 8.54 | 23,222.67 | N |
| AcDOF5 | Acat_15g024390 | Chr15:173975247–173975981 | 244 | AT5G66940 | 8.86 | 25,414.55 | N | |
| AcDOF6 | Acat_16g018180 | Chr16:190383661–190384383 | 233 | AT5G66940 | 7.58 | 24,335.43 | N | |
| AcDOF7 | Acat_4g014130 | Chr4:130948723–130949541 | 268 | AT3G52440 | 5.47 | 29,699.67 | N | |
| AcDOF8 | Acat_16g012890 | Chr16:92151393–92152427 | 344 | AT1G28310 | 8.72 | 36,806.42 | N | |
| AcDOF9 | Acat_15g016800 | Chr15:58050539–58051318 | 189 | AT1G28310 | 9.96 | 20,612.62 | N | |
| AcDOF10 | Acat_15g024500 | Chr15:175155782–175156840 | 256 | AT5G65590 | 9.03 | 26,729.85 | N | |
| AcDOF11 | Acat_16g018260 | Chr16:190741627–190742661 | 344 | AtTMO6 | AT5G60200 | 8.71 | 36,713.22 | N |
| AcDOF12 | Acat_13g018160 | Chr13:149838041–149838853 | 270 | AT3G52440 | 7.08 | 29,677.29 | M | |
| AcDOF13 | Acat_2g008700 | Chr2:69123039–69124085 | 348 | AT5G65590 | 8.70 | 37,279.17 | N | |
| AcDOF14 | Acat_3g010220 | Chr3:67580706–67581731 | 341 | AT5G65590 | 8.84 | 36,788.77 | N | |
| AcDOF15 | Acat_15g016820 | Chr15:58158766–58159563 | 266 | AtTMO6 | AT5G60200 | 8.55 | 28,680.26 | N |
| AcDOF16 | Acat_9g016830 | Chr9:58133888–58134838 | 284 | AtTMO6 | AT5G60200 | 8.71 | 31,008.63 | N |
| AcDOF17 | Acat_3g017820 | Chr3:173350131–173350908 | 232 | AtDOF4.7 | AT4G38000 | 6.20 | 25,458.22 | N |
| AcDOF18 | Acat_5g003910 | Chr5:10840469–10841812 | 289 | AT1G28310 | 5.80 | 31,809.53 | N | |
| AcDOF19 | Acat_2g004270 | Chr2:12915981–12918246 | 464 | AtCDF2 | AT5G39660 | 8.90 | 50,944.69 | N |
| AcDOF20 | Acat_3g002830 | Chr3:8090519–8093016 | 483 | AtCDF3 | AT3G47500 | 6.17 | 52,764.40 | N |
| AcDOF21 | Acat_10g017840 | Chr10:64016604–64017560 | 318 | AtOBP4 | AT5G60850 | 9.06 | 32,774.20 | N |
| AcDOF22 | Acat_13g009530 | Chr13:30724224–30725620 | 354 | AtOBP4 | AT5G60850 | 6.98 | 37,054.30 | N |
| AcDOF23 | Acat_10g024650 | Chr10:176050006–176050923 | 305 | AT3G52440 | 6.13 | 33,585.65 | N | |
| AcDOF24 | Acat_16g001860 | Chr16:5417374–5418048 | 224 | AtDOF1.7 | AT1G51700 | 7.59 | 23,389.84 | N |
| AcDOF25 | Acat_1g007750 | Chr16:5417374–5418048 | 293 | AT2G28510 | 8.06 | 31,484.15 | N | |
| AcDOF26 | Acat_8g010760 | Chr8:96494142–96497353 | 264 | AtDOF6 | AT3G45610 | 8.76 | 28,180.56 | N |
| AcDOF27 | Acat_1g011240 | Chr1:94327689–94346398 | 314 | AT2G28510 | 8.77 | 33,913.06 | N | |
| AcDOF28 | Acat_6g009940 | Chr6:91080639–91104544 | 299 | AtDOF6 | AT3G45610 | 7.61 | 32,493.28 | M |
| AcDOF29 | Acat_1g010000 | Chr1:91336713–91337938 | 344 | AtOBP3 | AT3G55370 | 9.41 | 36,006.20 | N |
| AcDOF30 | Acat_6g010920 | Chr6:93565735–93566971 | 347 | AtOBP3 | AT3G55370 | 9.35 | 35,942.32 | N |
| AcDOF31 | Acat_8g017000 | Chr8:117065979–117067225 | 348 | AtDOF2.4 | AT2G37590 | 9.17 | 35,838.97 | N |
| AcDOF32 | Acat_8g007340 | Chr8:86293841–86297264 | 510 | AtCDF3 | AT3G47500 | 5.79 | 55,454.90 | N |
| AcDOF33 | Acat_9g009220 | Chr9:30488126–30489822 | 223 | AtDOF2.4 | AT2G37590 | 6.98 | 24,431.27 | N |
| AcDOF34 | Acat_3g000730 | Chr3:2189612–2202743 | 302 | AtHCA2 | AT5G62940 | 6.85 | 32,815.97 | N |
| AcDOF35 | Acat_2g000910 | Chr2:2239027–2240827 | 279 | AtHCA2 | AT5G62940 | 7.16 | 30,714.29 | N |
| AcDOF36 | Acat_6g007710 | Chr6:85201346–85206767 | 518 | AtCDF3 | AT3G47500 | 5.16 | 56,239.77 | N |
| Sequence | Motif | Genes | |||||||||||||
|---|---|---|---|---|---|---|---|---|---|---|---|---|---|---|---|
| AcCesA5 | AcCesA5 | AcCslD2 | AcCesA7 | AcCslD2 | AcCesA2 | AcLRX4 | AcLRX4 | AcLRX7 | AcPE/PEI12 | AcPE/PEI34 | AcPG | AcEXP2 | GLU | ||
| +CTGGTCC −GACCAGG | Unnamed | 1 | |||||||||||||
| +CGGGGCC −GCCCCGG | Unnamed | 1 | 1 | 1 | |||||||||||
| +GGGGGCC −CCCCCGG | Unnamed | 1 | |||||||||||||
| +GGAGGGC −CCTCCCG | Unnamed | 1 | 2 | ||||||||||||
| +CCGGGGC −GGCCCCG | Unnamed | 2 | |||||||||||||
| +GGGGCGG −CCCCGCC | Sp1 | 1 | 1 | ||||||||||||
| +CGGCGGC −GCCGCCG | Unnamed | 1 | 1 | 3 | |||||||||||
| +TAACGCC −ATTGCGG | Unnamed | 1 | |||||||||||||
| +CGTCCGC −GCAGGCG | Unnamed | 1 | 1 | ||||||||||||
| +TAGCTGC −ATCGACG | Unnamed | 1 | |||||||||||||
| +TGTCGGC −ACAGCCG | DRE core | 1 | 1 | ||||||||||||
| +CGCGTGG −GCGCACC | Unnamed | 1 | |||||||||||||
| +CGTCGGC −GCAGCCG | DRE core | 1 | |||||||||||||
| +GACCTGG −CTGGACC | Unnamed | 1 | |||||||||||||
| +TGTCTCT −ACAGAGA | Unnamed | 1 | 1 | 1 | 1 | 1 | |||||||||
| +CGGCTGC −GCCGACG | Unnamed | 1 | |||||||||||||
| +CGCCGGG −GCGGCCC | Unnamed | 1 | 1 | 1 | 1 | 2 | 1 | ||||||||
| +CGGCCCC −GCCGGGG | Unnamed | 1 | |||||||||||||
| +TGGCGGC −ACCGCCG | Unnamed | 1 | 3 | 1 | |||||||||||
| Total | Unnamed | 7 | 3 | 4 | 1 | 1 | 2 | 7 | 3 | 4 | 1 | 7 | 1 | 2 | 2 |
Publisher’s Note: MDPI stays neutral with regard to jurisdictional claims in published maps and institutional affiliations. |
© 2022 by the authors. Licensee MDPI, Basel, Switzerland. This article is an open access article distributed under the terms and conditions of the Creative Commons Attribution (CC BY) license (https://creativecommons.org/licenses/by/4.0/).
Share and Cite
Li, J.; Jia, X.; Yang, Y.; Chen, Y.; Wang, L.; Liu, L.; Li, M. Genome-Wide Identification of the DOF Gene Family Involved in Fruitlet Abscission in Areca catechu L. Int. J. Mol. Sci. 2022, 23, 11768. https://doi.org/10.3390/ijms231911768
Li J, Jia X, Yang Y, Chen Y, Wang L, Liu L, Li M. Genome-Wide Identification of the DOF Gene Family Involved in Fruitlet Abscission in Areca catechu L. International Journal of Molecular Sciences. 2022; 23(19):11768. https://doi.org/10.3390/ijms231911768
Chicago/Turabian StyleLi, Jia, Xiaocheng Jia, Yaodong Yang, Yunche Chen, Linkai Wang, Liyun Liu, and Meng Li. 2022. "Genome-Wide Identification of the DOF Gene Family Involved in Fruitlet Abscission in Areca catechu L." International Journal of Molecular Sciences 23, no. 19: 11768. https://doi.org/10.3390/ijms231911768
APA StyleLi, J., Jia, X., Yang, Y., Chen, Y., Wang, L., Liu, L., & Li, M. (2022). Genome-Wide Identification of the DOF Gene Family Involved in Fruitlet Abscission in Areca catechu L. International Journal of Molecular Sciences, 23(19), 11768. https://doi.org/10.3390/ijms231911768

