In Vivo Analysis of the Regeneration Capacity and Immune Response to Xenogeneic and Synthetic Bone Substitute Materials
Abstract
:1. Introduction
2. Results
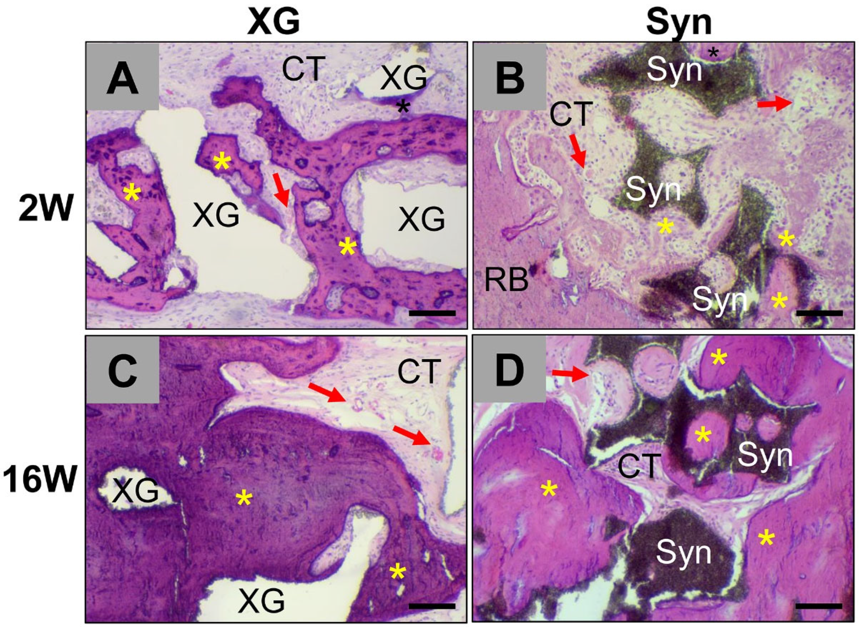
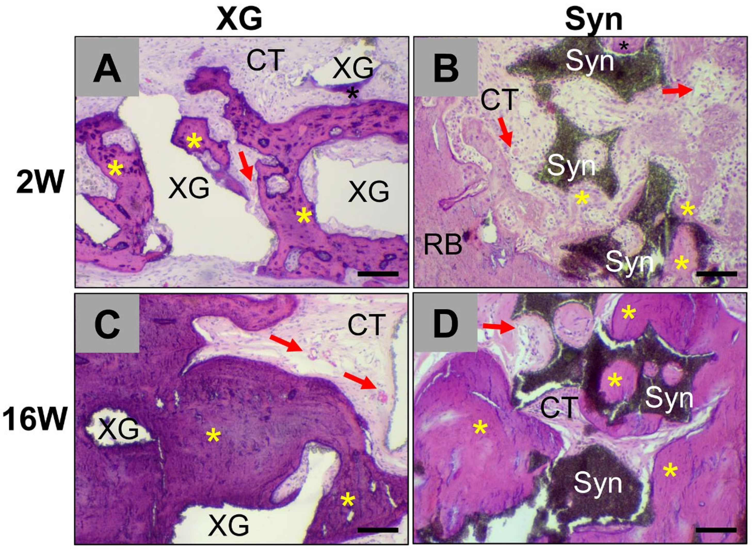
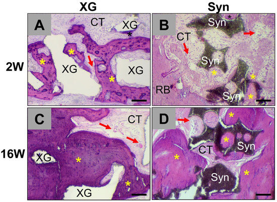
2.1. Histopathological Analyses
2.2. Scoring Results
2.3. Histomorphometrical Analyses
2.3.1. Bone Regeneration
2.3.2. Immune Response
3. Discussion
4. Materials and Methods
4.1. Biomaterials
4.1.1. Xenogeneic Bone Substitute Material
4.1.2. Synthetic Bone Substitute Material
4.2. In Vivo Study
4.3. Implantation and Explantation Procedures
4.4. Histological Preparation and Staining Methods
4.5. Histopathological and Histomorphometrical Analyses
4.6. Statistical Analysis
5. Conclusions
Author Contributions
Funding
Institutional Review Board Statement
Informed Consent Statement
Data Availability Statement
Acknowledgments
Conflicts of Interest
References
- Fienitz, T.; Moses, O.; Klemm, C.; Happe, A.; Ferrari, D.; Kreppel, M.; Ormianer, Z.; Gal, M.; Rothamel, D. Histological and Radiological Evaluation of Sintered and Non-Sintered Deproteinized Bovine Bone Substitute Materials in Sinus Augmentation Procedures. A Prospective, Randomized-Controlled, Clinical Multicenter Study. Clin. Oral Investig. 2017, 21, 787–794. [Google Scholar] [CrossRef] [PubMed]
- Jelusic, D.; Zirk, M.L.; Fienitz, T.; Plancak, D.; Puhar, I.; Rothamel, D. Monophasic SS-TCP vs. Biphasic HA/ß-TCP in Two-Stage Sinus Floor Augmentation Procedures—A Prospective Randomized Clinical Trial. Clin. Oral Implant. Res. 2017, 28, e175–e183. [Google Scholar] [CrossRef] [PubMed]
- Peric Kacarevic, Z.; Kavehei, F.; Houshmand, A.; Franke, J.; Smeets, R.; Rimashevskiy, D.; Wenisch, S.; Schnettler, R.; Jung, O.; Barbeck, M. Purification Processes of Xenogeneic Bone Substitutes and Their Impact on Tissue Reactions and Regeneration. Int. J. Artif. Organs 2018, 41, 789–800. [Google Scholar] [CrossRef] [PubMed]
- Kowalewicz, K.; Vorndran, E.; Feichtner, F.; Waselau, A.C.; Brueckner, M.; Meyer-Lindenberg, A. In-Vivo Degradation Behavior and Osseointegration of 3d Powder-Printed Calcium Magnesium Phosphate Cement Scaffolds. Materials 2021, 14, 946. [Google Scholar] [CrossRef] [PubMed]
- Peric Kacarevic, Z.; Rider, P.; Alkildani, S.; Retnasingh, S.; Pejakic, M.; Schnettler, R.; Gosau, M.; Smeets, R.; Jung, O.; Barbeck, M. An Introduction to Bone Tissue Engineering. Int. J. Artif. Organs 2019, 43, 69–86. [Google Scholar] [CrossRef]
- Unger, R.E.; Stojanovic, S.; Besch, L.; Alkildani, S.; Schröder, R.; Jung, O.; Bogram, C.; Görke, O.; Najman, S.; Tremel, W.; et al. In Vivo Biocompatibility Investigation of an Injectable Calcium Carbonate (Vaterite) as a Bone Substitute Including Compositional Analysis via SEM-EDX Technology. Int. J. Mol. Sci. 2022, 23, 1196. [Google Scholar] [CrossRef]
- Abels, M.; Alkildani, S.; Pröhl, A.; Xiong, X.; Krastev, R.; Korzinskas, T.; Stojanovic, S.; Jung, O.; Najman, S.; Barbeck, M. The Granule Size Mediates the In Vivo Foreign Body Response and the Integration Behavior of Bone Substitutes. Materials 2021, 14, 7372. [Google Scholar] [CrossRef]
- Wissing, T.B.; Bonito, V.; van Haaften, E.E.; van Doeselaar, M.; Brugmans, M.M.; Janssen, H.M.; Bouten, C.V.; Smits, A.I. Macrophage-Driven Biomaterial Degradation Depends on Scaffold Microarchitecture. Front. Bioeng. Biotechnol. 2019, 7, 87. [Google Scholar] [CrossRef]
- Barbeck, M.; Udeabor, S.E.; Lorenz, J.; Kubesch, A.; Choukroun, J.; Sader, R.A.; Kirkpatrick, C.J.; Ghanaati, S. Induction of Multinucleated Giant Cells in Response to Small Sized Bovine Bone Substitute (Bio-OssTM) Results in an Enhanced Early Implantation Bed Vascularization. Ann. Maxillofac. Surg. 2014, 4, 150. [Google Scholar] [CrossRef]
- Barbeck, M.; Dard, M.; Kokkinopoulou, M.; Markl, J.; Booms, P.; Sader, R.A.; Kirkpatrick, C.J.; Ghanaati, S. Small-Sized Granules of Biphasic Bone Substitutes Support Fast Implant Bed Vascularization. Biomatter 2015, 5, e1056943. [Google Scholar] [CrossRef] [PubMed] [Green Version]
- Sheikh, Z.; Brooks, P.J.; Barzilay, O.; Fine, N.; Glogauer, M. Macrophages, Foreign Body Giant Cells and Their Response to Implantable Biomaterials. Materials 2015, 8, 5671–5701. [Google Scholar] [CrossRef] [PubMed]
- Yunna, C.; Mengru, H.; Lei, W.; Weidong, C. Macrophage M1/M2 Polarization. Eur. J. Pharmacol. 2020, 877, 173090. [Google Scholar] [CrossRef] [PubMed]
- Boccaccini, A.R.; Chen, Q.; Lefebvre, L.; Gremillard, L.; Chevalier, J. Sintering, Crystallisation and Biodegradation Behaviour of Bioglass®-Derived Glass-Ceramics. Faraday Discuss 2007, 136, 27–44. [Google Scholar] [CrossRef]
- Barbeck, M.; Udeabor, S.; Lorenz, J.; Schlee, M.; Holthaus, M.G.; Raetscho, N.; Choukroun, J.; Sader, R.; Kirkpatrick, C.J.; Ghanaati, S. High-Temperature Sintering of Xenogeneic Bone Substitutes Leads to Increased Multinucleated Giant Cell Formation: In Vivo and Preliminary Clinical Results. J. Oral Implantol. 2015, 41, e212–e222. [Google Scholar] [CrossRef]
- ISO 10993-6:2016; Biological Evaluation of Medical Devices—Part 6: Tests for Local Effects after Implantation. International Organization for Standardization: Geneva, Switzerland, 2016.
- Lindner, C.; Pröhl, A.; Abels, M.; Löffler, T.; Batanic, M.; Jung, O.; Barbeck, M. Specialized Histological and Histomorphometrical Analytical Methods for Biocompatibility Testing of Biomaterials for Maxillofacial Surgery in (Pre-) Clinical Studies; International Institute of Anticancer Research: Highlands, NJ, USA, 2020; Volume 34, pp. 3137–3152. [Google Scholar]
- Pröhl, A.; Batinic, M.; Alkildani, S.; Hahn, M.; Radenkovic, M.; Najman, S.; Jung, O.; Barbeck, M. In Vivo Analysis of the Biocompatibility and Bone Healing Capacity of a Novel Bone Grafting Material Combined with Hyaluronic Acid. Int. J. Mol. Sci. 2021, 22, 4818. [Google Scholar] [CrossRef]
- Fernandez de Grado, G.; Keller, L.; Idoux-Gillet, Y.; Wagner, Q.; Musset, A.M.; Benkirane-Jessel, N.; Bornert, F.; Offner, D. Bone Substitutes: A Review of Their Characteristics, Clinical Use, and Perspectives for Large Bone Defects Management. J. Tissue Eng. 2018, 9, 6819. [Google Scholar] [CrossRef]
- Detsch, R.; Mayr, H.; Ziegler, G. Formation of Osteoclast-like Cells on HA and TCP Ceramics. Acta Biomater. 2008, 4, 139–148. [Google Scholar] [CrossRef]
- Monchau, F.; Lefèvre, A.; Descamps, M.; Belquin-myrdycz, A.; Laffargue, P.; Hildebrand, H.F. In Vitro Studies of Human and Rat Osteoclast Activity on Hydroxyapatite, Beta-Tricalcium Phosphate, Calcium Carbonate. Biomol. Eng. 2002, 19, 143–152. [Google Scholar] [CrossRef]
- Yamada, S.; Heymann, D.; Bouler, J.M.; Daculsi, G. Osteoclastic Resorption of Calcium Phosphate Ceramics with Different Hydroxyapatite/Beta-Tricalcium Phosphate Ratios. Biomaterials 1997, 18, 1037–1041. [Google Scholar] [CrossRef]
- Ghanaati, S.; Barbeck, M.; Detsch, R.; Deisinger, U.; Hilbig, U.; Rausch, V.; Sader, R.; Unger, R.E.; Ziegler, G.; Kirkpatrick, C.J. The Chemical Composition of Synthetic Bone Substitutes Influences Tissue Reactions In Vivo: Histological and Histomorphometrical Analysis of the Cellular Inflammatory Response to Hydroxyapatite, Beta-Tricalcium Phosphate and Biphasic Calcium Phosphate Ceramics. Biomed. Mater. 2012, 7, 0515005. [Google Scholar] [CrossRef]
- Ghanaati, S.; Lorenz, J.; Barbeck, M.; Teiler, A.; Booms, P.; Kirkpatrick, C.; Sader, R. Xenogeneic Bone Substitute Materials-Differences in Processing Techniques Induce Different Extend of Vascularization and Foreign Body Giant Cells: In Vivo and Clinical Studies. Int. J. Oral Maxillofac. Surg. 2015, 44, e211. [Google Scholar] [CrossRef]
- Chazaud, B. Macrophages: Supportive Cells for Tissue Repair and Regeneration. Immunobiology 2014, 219, 172–178. [Google Scholar] [CrossRef]
- Sadowska, J.M.; Wei, F.; Guo, J.; Guillem-Marti, J.; Ginebra, M.P.; Xiao, Y. Effect of Nano-Structural Properties of Biomimetic Hydroxyapatite on Osteoimmunomodulation. Biomaterials 2018, 181, 318–332. [Google Scholar] [CrossRef]
- Mantovani, A.; Biswas, S.K.; Galdiero, M.R.; Sica, A.; Locati, M. Macrophage Plasticity and Polarization in Tissue Repair and Remodelling. J. Pathol. 2013, 229, 176–185. [Google Scholar] [CrossRef]
- Ali Akbari Ghavimi, S.; Allen, B.N.; Stromsdorfer, J.L.; Kramer, J.S.; Li, X.; Ulery, B.D. Calcium and Phosphate Ions as Simple Signaling Molecules with Versatile Osteoinductivity. Biomed. Mater. 2018, 13, 055005. [Google Scholar] [CrossRef]
- Wu, V.M.; Uskoković, V. Is There a Relationship between Solubility and Resorbability of Different Calcium Phosphate Phases In Vitro? Biochim. Biophys. Acta 2016, 1860, 2157. [Google Scholar] [CrossRef]
- Gojkov-Vukelic, M.; Hadzic, S.; Pasic, E. Evaluation of Efficacy of Surgical Periodontal Therapy with the Use of Bone Graft in the Treatment of Periodontal Intrabony Defects. Med. Arch. 2017, 71, 208. [Google Scholar] [CrossRef]
- Lorenz, J.; Lerner, H.; Sader, R.A.; Ghanaati, S. Investigation of Peri-Implant Tissue Conditions and Peri-Implant Tissue Stability in Implants Placed with Simultaneous Augmentation Procedure: A 3-Year Retrospective Follow-up Analysis of a Newly Developed Bone Level Implant System. Int. J. Implant Dent. 2017, 3, 41. [Google Scholar] [CrossRef]
- Papi, P.; Pranno, N.; di Murro, B.; Pompa, G. Early Implant Placement and Peri-Implant Augmentation with a Porcine-Derived Acellular Dermal Matrix and Synthetic Bone in the Aesthetic Area: A 2-Year Follow-up Prospective Cohort Study. Int. J. Oral Maxillofac. Surg. 2021, 50, 258–266. [Google Scholar] [CrossRef]
- Rolvien, T.; Barbeck, M.; Wenisch, S.; Amling, M.; Krause, M. Cellular Mechanisms Responsible for Success and Failure of Bone Substitute Materials. Int. J. Mol. Sci. 2018, 19, 2893. [Google Scholar] [CrossRef] [Green Version]
- Mittal, M.; Siddiqui, M.R.; Tran, K.; Reddy, S.P.; Malik, A.B. Reactive Oxygen Species in Inflammation and Tissue Injury. Antioxid. Redox Signal. 2014, 20, 1126. [Google Scholar] [CrossRef]
- Wu, A.C.; Raggatt, L.J.; Alexander, K.A.; Pettit, A.R. Unraveling Macrophage Contributions to Bone Repair. Bonekey Rep. 2013, 2, 373. [Google Scholar] [CrossRef]
- Lari, R.; Fleetwood, A.J.; Kitchener, P.D.; Cook, A.D.; Pavasovic, D.; Hertzog, P.J.; Hamilton, J.A. Macrophage Lineage Phenotypes and Osteoclastogenesis—Complexity in the Control by GM-CSF and TGF-β. Bone 2007, 40, 323–336. [Google Scholar] [CrossRef]
- Higgins, D.M.; Basaraba, R.J.; Hohnbaum, A.C.; Lee, E.J.; Grainger, D.W.; Gonzalez-Juarrero, M. Localized Immunosuppressive Environment in the Foreign Body Response to Implanted Biomaterials. Am. J. Pathol. 2009, 175, 161–170. [Google Scholar] [CrossRef]
- Martin, K.E.; García, A.J. Macrophage Phenotypes in Tissue Repair and the Foreign Body Response: Implications for Biomaterial-Based Regenerative Medicine Strategies. Acta Biomater. 2021, 133, 4–16. [Google Scholar] [CrossRef]
- Klopfleisch, R. Macrophage Reaction against Biomaterials in the Mouse Model—Phenotypes, Functions and Markers. Acta Biomater. 2016, 43, 3–13. [Google Scholar] [CrossRef]
- Korzinskas, T.; Jung, O.; Smeets, R.; Stojanovic, S.; Najman, S.; Glenske, K.; Hahn, M.; Wenisch, S.; Schnettler, R.; Barbeck, M. In Vivo Analysis of the Biocompatibility and Macrophage Response of a Non-Resorbable PTFE Membrane for Guided Bone Regeneration. Int. J. Mol. Sci. 2018, 19, 2952. [Google Scholar] [CrossRef] [Green Version]








| Parameter | Mean ± SD-Inflammation and Inflammatory Cell Types | |||
|---|---|---|---|---|
| 2 Weeks | 16 Weeks | |||
| Maxresorb® | Cerabone® | Maxresorb® | Cerabone® | |
| (n = 10) | (n = 10) | (n = 10) | (n = 10) | |
| Polymorphonuclear Cells | 1.2 ± 0.3 | 1.2 ± 0.5 | 0.9 ± 0.3 | 0.9 ± 0.1 |
| Lymphocytes | 1.3 ± 0.3 | 1.3 ± 0.2 | 1.8 ± 0.5 | 2.2 ± 0.3 |
| Plasma Cells | 0.0 ± 0.0 | 0.0 ± 0.0 | 0.0 ± 0.0 | 0.0 ± 0.0 |
| Macrophages | 3.0 ± 0.0 | 3.0 ± 0.0 | 2.9 ± 0.1 | 3.0 ± 0.0 |
| Giant Cells | 0.6 ± 0.2 | 1.3 ± 0.4 | 0.5 ± 0.2 | 1.1 ± 0.2 |
| Neovascularization | 1.1 ± 0.2 | 1.1 ± 0.2 | 1.3 ± 0.3 | 1.0 ± 0.1 |
| Fibrosis | 0.0 ± 0.0 | 0.0 ± 0.1 | 0.0 ± 0.0 | 0.0 ± 0.0 |
| Fatty infiltrate | 0.0 ± 0.0 | 0.0 ± 0.0 | 0.0 ± 0.0 | 0.0 ± 0.0 |
| Necrosis | 0.1 ± 0.1 | 0.1 ± 0.3 | 0.0 ± 0.0 | 0.0 ± 0.0 |
| Polymorphonuclear Cells; Lymphocytes; Plasma Cells; Macrophages; Giant Cells Scoring Matrix: 0 = 0; 1 = Rare, 1–5 per high powered (400×) field (phf) (giant cells = 1–2/phf); 2 = 6–10/phf (giant cells = 3–5/phf); 3 = Heavy infiltrate; 4 = Packed. | ||||
| Irritancy Scores | ||
|---|---|---|
| 2 Weeks (n = 10) | 16 Weeks (n = 10) | |
| Treatment Irritancy Score of Test Device-maxresorb® | 11.03 | 13.71 |
| Treatment Irritancy Score of Control Device-cerabone® | 12.21 | 11.05 |
| Overall Irritancy Score of Test Device-maxresorb® | 1.18 | 2.66 |
| Irritancy | Non-irritant | Non-irritant |
| Material Group/Timepoint | 2 Weeks | 16 Weeks |
|---|---|---|
| cerabone® (XG) | 22.18 ± 12.05 | 31.98 ± 24.83 |
| maxresorb® (Syn) | 4.53 ± 4.41 | 24.10 ± 9.61 |
| Cerabone® (XG) | Maxresorb® (Syn) | |||
|---|---|---|---|---|
| CD163+ | CD11c+ | CD163+ | CD11c+ | |
| 2 weeks | 326.2 ± 128.1 | 9.503 ± 14.14 | 137.0 ± 122.3 | 304.0 ± 152.4 |
| 16 weeks | 298.2 ± 103.0 | 17.59 ± 15.09 | 197.4 ± 96.03 | 189.5 ± 86.97 |
| Response | Score (Phf = Per High Powered (400×) Field) | ||||
|---|---|---|---|---|---|
| 0 | 1 | 2 | 3 | 4 | |
| Polymorphonuclear cells | 0 | Rare, 1–5/phf | 6–10/phf | Heavy infiltrate | Packed |
| Lymphocytes | 0 | Rare, 1–5/phf | 6–10/phf | Heavy infiltrate | Packed |
| Plasma cells | 0 | Rare, 1–5/phf | 6–10/phf | Heavy infiltrate | Packed |
| Macrophages | 0 | Rare, 1–5/phf | 6–10/phf | Heavy infiltrate | Packed |
| Giant cells | 0 | Rare, 1–2/phf | 3–5/phf | Heavy infiltrate | Packed |
| Necrosis/osteolysis | 0 | Minimal | Mild | Moderate | Marked |
| Neovascularization | 0 | Minimal capillary proliferation focal, 1–3 buds | Groups of 4–7 capillaries with supporting fibroblastic structures | A broad band of capillaries with supporting structures | Extensive band of capillaries with supporting fibroblastic structures |
| Fibrocytes/fibroconnective tissue, fibrosis | 0 | Narrowband | Moderately thick band | Thick band | Extensive band |
| Fatty infiltrate | 0 | A minimal amount of fat associated with fibrosis | Several layers of fat and fibrosis | Elongated and broad accumulation of fat cells about the implant site | Extensive fat completely surrounding the implant |
| Irritancy score = (Polymorphonuclear Cells + Lymphocytes + Plasma Cells + Macrophages + Giant Cells + Necrosis) × 2 + (Neovascularization + Fibrosis + Fatty Infiltrate). | |||||
| Overall Irritancy Score | Irritancy/Reactivity Status |
|---|---|
| 0.0 to 2.9 | Minimal or no reaction (non-irritant) |
| 3.0 to 8.9 | Slight reaction (slight irritant) |
| 9.0 to 15.0 | Moderate reaction (moderate irritant) |
| >15.1 | Severe reaction (severe irritant) |
Publisher’s Note: MDPI stays neutral with regard to jurisdictional claims in published maps and institutional affiliations. |
© 2022 by the authors. Licensee MDPI, Basel, Switzerland. This article is an open access article distributed under the terms and conditions of the Creative Commons Attribution (CC BY) license (https://creativecommons.org/licenses/by/4.0/).
Share and Cite
Bielenstein, J.; Radenković, M.; Najman, S.; Liu, L.; Ren, Y.; Cai, B.; Beuer, F.; Rimashevskiy, D.; Schnettler, R.; Alkildani, S.; et al. In Vivo Analysis of the Regeneration Capacity and Immune Response to Xenogeneic and Synthetic Bone Substitute Materials. Int. J. Mol. Sci. 2022, 23, 10636. https://doi.org/10.3390/ijms231810636
Bielenstein J, Radenković M, Najman S, Liu L, Ren Y, Cai B, Beuer F, Rimashevskiy D, Schnettler R, Alkildani S, et al. In Vivo Analysis of the Regeneration Capacity and Immune Response to Xenogeneic and Synthetic Bone Substitute Materials. International Journal of Molecular Sciences. 2022; 23(18):10636. https://doi.org/10.3390/ijms231810636
Chicago/Turabian StyleBielenstein, James, Milena Radenković, Stevo Najman, Luo Liu, Yanru Ren, Baoyi Cai, Florian Beuer, Denis Rimashevskiy, Reinhard Schnettler, Said Alkildani, and et al. 2022. "In Vivo Analysis of the Regeneration Capacity and Immune Response to Xenogeneic and Synthetic Bone Substitute Materials" International Journal of Molecular Sciences 23, no. 18: 10636. https://doi.org/10.3390/ijms231810636
APA StyleBielenstein, J., Radenković, M., Najman, S., Liu, L., Ren, Y., Cai, B., Beuer, F., Rimashevskiy, D., Schnettler, R., Alkildani, S., Jung, O., Schmidt, F., & Barbeck, M. (2022). In Vivo Analysis of the Regeneration Capacity and Immune Response to Xenogeneic and Synthetic Bone Substitute Materials. International Journal of Molecular Sciences, 23(18), 10636. https://doi.org/10.3390/ijms231810636

