Improvement of Left Ventricular Graft Function Using an Iron-Chelator-Supplemented Bretschneider Solution in a Canine Model of Orthotopic Heart Transplantation
Abstract
1. Introduction
2. Results
2.1. Series 1
2.1.1. Hemodynamic Measurements
2.1.2. Coronary Blood Flow
2.1.3. High-Energy Phosphates
2.2. Series 2
2.2.1. Hemodynamic Measurements
2.2.2. Coronary Blood Flow
2.2.3. In Vitro Vascular Function
2.2.4. In Vitro Force Measurement
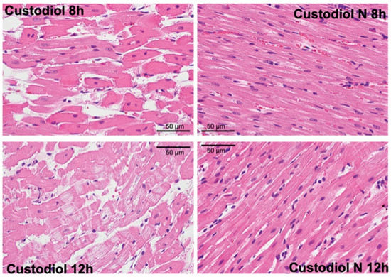
2.2.5. Histology
2.3. Series 3
Determination of Chelatable Iron Concentrations
3. Discussion
4. Materials and Methods
4.1. Animals
4.2. Experimental Groups and Study Design
4.3. Orthotopic Heart Transplantation
4.4. Hemodynamic Measurements
4.5. In Vitro Organ Bath Functional Experiments
4.6. In Vitro Force Measurements
4.7. Histology
4.8. Determination of High-Energy Phosphates
4.9. Determination of Total and Chelatable Iron Concentrations
4.10. Statistics
Author Contributions
Funding
Institutional Review Board Statement
Informed Consent Statement
Data Availability Statement
Acknowledgments
Conflicts of Interest
References
- Kittleson, M.M. Recent advances in heart transplantation. F1000Research 2018, 7, 1008. [Google Scholar] [CrossRef] [PubMed]
- Lund, L.H.; Edwards, L.B.; Dipchand, A.I.; Goldfarb, S.; Kucheryavaya, A.Y.; Levvey, B.J.; Meiser, B.; Rossano, J.W.; Yusen, R.D.; Stehlik, J. The Registry of the International Society for Heart and Lung Transplantation: Thirty-third Adult Heart Transplantation Report-2016; Focus Theme: Primary Diagnostic Indications for Transplant. J. Heart Lung Transplant. 2016, 35, 1158–1169. [Google Scholar] [CrossRef] [PubMed]
- Galeone, A.; Lebreton, G.; Coutance, G.; Demondion, P.; Schmidt, M.; Amour, J.; Varnous, S.; Leprince, P. A single-center long-term experience with marginal donor utilization for heart transplantation. Clin. Transplant. 2020, 34, e14057. [Google Scholar] [CrossRef] [PubMed]
- Edelman, J.J.; Seco, M.; Dunne, B.; Matzelle, S.J.; Murphy, M.; Joshi, P.; Yan, T.D.; Wilson, M.K.; Bannon, P.G.; Vallely, M.P.; et al. Custodiol for myocardial protection and preservation: A systematic review. Ann. Cardiothorac. Surg. 2013, 2, 717–728. [Google Scholar] [CrossRef]
- Bretschneider, H.J. Myocardial protection. Thorac. Cardiovasc. Surg. 1980, 28, 295–302. [Google Scholar] [CrossRef]
- Veres, G.; Radovits, T.; Merkely, B.; Karck, M.; Szabo, G. Custodiol-N, the novel cardioplegic solution reduces ischemia/reperfusion injury after cardiopulmonary bypass. J. Cardiothorac. Surg. 2015, 10, 27. [Google Scholar] [CrossRef]
- Loganathan, S.; Radovits, T.; Hirschberg, K.; Korkmaz, S.; Koch, A.; Karck, M.; Szabo, G. Effects of Custodiol-N, a novel organ preservation solution, on ischemia/reperfusion injury. J. Thorac. Cardiovasc. Surg. 2010, 139, 1048–1056. [Google Scholar] [CrossRef]
- Radovits, T.; Lin, L.N.; Zotkina, J.; Koch, A.; Rauen, U.; Kohler, G.; Karck, M.; Szabo, G. Endothelial dysfunction after long-term cold storage in HTK organ preservation solutions: Effects of iron chelators and N-alpha-acetyl-L-histidine. J. Heart Lung Transplant. 2008, 27, 208–216. [Google Scholar] [CrossRef]
- Hearse, D.J.; Bolli, R. Reperfusion induced injury: Manifestations, mechanisms, and clinical relevance. Cardiovasc. Res. 1992, 26, 101–108. [Google Scholar] [CrossRef]
- Farb, A.; Kolodgie, F.D.; Jenkins, M.; Virmani, R. Myocardial infarct extension during reperfusion after coronary artery occlusion: Pathologic evidence. J. Am. Coll. Cardiol. 1993, 21, 1245–1253. [Google Scholar] [CrossRef]
- Jernryd, V.; Metzsch, C.; Andersson, B.; Nilsson, J. The influence of ischemia and reperfusion time on outcome in heart transplantation. Clin. Transplant. 2020, 34, e13840. [Google Scholar] [CrossRef] [PubMed]
- Rauen, U.; Petrat, F.; Li, T.; De Groot, H. Hypothermia injury/cold-induced apoptosis--evidence of an increase in chelatable iron causing oxidative injury in spite of low O2-/H2O2 formation. FASEB J. 2000, 14, 1953–1964. [Google Scholar] [CrossRef] [PubMed]
- Rauen, U.; Klempt, S.; de Groot, H. Histidine-induced injury to cultured liver cells, effects of histidine derivatives and of iron chelators. Cell. Mol. Life Sci. 2007, 64, 192–205. [Google Scholar] [CrossRef] [PubMed]
- Colvin, M.; Smith, J.M.; Skeans, M.A.; Edwards, L.B.; Uccellini, K.; Snyder, J.J.; Israni, A.K.; Kasiske, B.L. OPTN/SRTR 2015 Annual Data Report: Heart. Am. J. Transplant. 2017, 17 (Suppl. 1), 286–356. [Google Scholar] [CrossRef]
- Carter, K.T.; Lirette, S.T.; Baran, D.A.; Creswell, L.L.; Panos, A.L.; Cochran, R.P.; Copeland, J.G.; Copeland, H. The Effect of Cardiac Preservation Solutions on Heart Transplant Survival. J. Surg. Res. 2019, 242, 157–165. [Google Scholar] [CrossRef]
- Demmy, T.L.; Biddle, J.S.; Bennett, L.E.; Walls, J.T.; Schmaltz, R.A.; Curtis, J.J. Organ preservation solutions in heart transplantation--patterns of usage and related survival. Transplantation 1997, 63, 262–269. [Google Scholar] [CrossRef]
- Ali, J.M.; Miles, L.F.; Abu-Omar, Y.; Galhardo, C.; Falter, F. Global Cardioplegia Practices: Results from the Global Cardiopulmonary Bypass Survey. J. Extra Corpor. Technol. 2018, 50, 83–93. [Google Scholar]
- Li, Y.; Guo, S.; Liu, G.; Yuan, Y.; Wang, W.; Zheng, Z.; Hu, S.; Ji, B. Three Preservation Solutions for Cold Storage of Heart Allografts: A Systematic Review and Meta-Analysis. Artif. Organs 2016, 40, 489–496. [Google Scholar] [CrossRef]
- Li, Y.; Zeng, Q.; Liu, G.; Du, J.; Gao, B.; Wang, W.; Zheng, Z.; Hu, S.; Ji, B. Development and Evaluation of Heartbeat: A Machine Perfusion Heart Preservation System. Artif. Organs 2017, 41, E240–E250. [Google Scholar] [CrossRef]
- Stamp, N.L.; Shah, A.; Vincent, V.; Wright, B.; Wood, C.; Pavey, W.; Cokis, C.; Chih, S.; Dembo, L.; Larbalestier, R. Successful Heart Transplant after Ten Hours Out-of-body Time using the TransMedics Organ Care System. Heart Lung Circ. 2015, 24, 611–613. [Google Scholar] [CrossRef]
- Cobert, M.L.; West, L.M.; Jessen, M.E. Machine perfusion for cardiac allograft preservation. Curr. Opin. Organ Transplant. 2008, 13, 526–530. [Google Scholar] [CrossRef] [PubMed]
- Prathanee, S.; Kuptanond, C.; Intanoo, W.; Wongbhudha, C.; Karunasumaeta, C. Custodial-HTK Solution for Myocardial Protection in CABG Patients. J. Med. Assoc. Thai 2015, 98 (Suppl. 7), S164–S167. [Google Scholar]
- Kahn, J.; Schemmer, P. Comprehensive Review on Custodiol-N (HTK-N) and its Molecular Side of Action for Organ Preservation. Curr. Pharm. Biotechnol. 2017, 18, 1237–1248. [Google Scholar] [CrossRef] [PubMed]
- Comai, S.; Costa, C.V.; Ragazzi, E.; Bertazzo, A.; Allegri, G. The effect of age on the enzyme activities of tryptophan metabolism along the kynurenine pathway in rats. Clin. Chim. Acta; Int. J. Clin. Chem. 2005, 360, 67–80. [Google Scholar] [CrossRef] [PubMed]
- Bretschneider, H.J.; Hubner, G.; Knoll, D.; Lohr, B.; Nordbeck, H.; Spieckermann, P.G. Myocardial resistance and tolerance to ischemia: Physiological and biochemical basis. J. Cardiovasc. Surg. 1975, 16, 241–260. [Google Scholar]
- Vinten-Johansen, J.; Sato, H.; Zhao, Z.Q. The role of nitric oxide and NO-donor agents in myocardial protection from surgical ischemic-reperfusion injury. Int. J. Cardiol. 1995, 50, 273–281. [Google Scholar] [CrossRef]
- Zweier, J.L.; Talukder, M.A. The role of oxidants and free radicals in reperfusion injury. Cardiovasc. Res. 2006, 70, 181–190. [Google Scholar] [CrossRef]
- Frank, A.; Rauen, U.; de Groot, H. Protection by glycine against hypoxic injury of rat hepatocytes: Inhibition of ion fluxes through nonspecific leaks. J. Hepatol. 2000, 32, 58–66. [Google Scholar] [CrossRef]
- Hamdani, N.; Kooij, V.; van Dijk, S.; Merkus, D.; Paulus, W.J.; Remedios, C.D.; Duncker, D.J.; Stienen, G.J.; van der Velden, J. Sarcomeric dysfunction in heart failure. Cardiovasc. Res. 2008, 77, 649–658. [Google Scholar] [CrossRef]
- Ruppert, M.; Bodi, B.; Korkmaz-Icoz, S.; Loganathan, S.; Jiang, W.; Lehmann, L.; Olah, A.; Barta, B.A.; Sayour, A.A.; Merkely, B.; et al. Myofilament Ca(2+) sensitivity correlates with left ventricular contractility during the progression of pressure overload-induced left ventricular myocardial hypertrophy in rats. J. Mol. Cell. Cardiol. 2019, 129, 208–218. [Google Scholar] [CrossRef]
- Braz, J.C.; Gregory, K.; Pathak, A.; Zhao, W.; Sahin, B.; Klevitsky, R.; Kimball, T.F.; Lorenz, J.N.; Nairn, A.C.; Liggett, S.B.; et al. PKC-alpha regulates cardiac contractility and propensity toward heart failure. Nat. Med. 2004, 10, 248–254. [Google Scholar] [CrossRef] [PubMed]
- Wille, T.; de Groot, H.; Rauen, U. Improvement of the cold storage of blood vessels with a vascular preservation solution. Study in porcine aortic segments. J. Vasc. Surg. 2008, 47, 422–431. [Google Scholar] [CrossRef] [PubMed][Green Version]
- Baxter, K.; Howden, B.O.; Jablonski, P. Heart preservation with celsior solution improved by the addition of nitroglycerine. Transplantation 2001, 71, 1380–1384. [Google Scholar] [CrossRef] [PubMed]
- Kevelaitis, E.; Oubenaissa, A.; Mouas, C.; Peynet, J.; Menasche, P. Ischemic preconditioning with opening of mitochondrial adenosine triphosphate-sensitive potassium channels or Na/H exchange inhibition: Which is the best protective strategy for heart transplants? J. Thorac. Cardiovasc. Surg. 2001, 121, 155–162. [Google Scholar] [CrossRef]
- Cropper, J.R.; Hicks, M.; Ryan, J.B.; Macdonald, P.S. Enhanced cardioprotection of the rat heart during hypothermic storage with combined Na+ - H+ exchange inhibition and ATP-dependent potassium channel activation. J. Heart Lung Transplant. 2003, 22, 1245–1253. [Google Scholar] [CrossRef]
- Radovits, T.; Lin, L.N.; Zotkina, J.; Gero, D.; Szabo, C.; Karck, M.; Szabo, G. Poly(ADP-ribose) polymerase inhibition improves endothelial dysfunction induced by reactive oxidant hydrogen peroxide in vitro. Eur. J. Pharmacol. 2007, 564, 158–166. [Google Scholar] [CrossRef]








| Custodiol (mmol/L) | Custodiol-N (mmol/L) | |
|---|---|---|
| Na+ | 15 | 16 |
| K+ | 10 | 10 |
| Mg2+ | 4 | 8 |
| Ca2+ | 0.015 | 0.020 |
| Cl− | 50 | 30 |
| L-Histidine | 198 | 124 |
| N-α-Acetyl-L-Histidine | - | 57 |
| Tryptophan | 2 | 2 |
| A-Ketoglutarat | 1 | 2 |
| Aspartate | - | 5 |
| Arginine | - | 3 |
| Alanine | - | 5 |
| Glycin | - | 10 |
| Mannitol | 30 | - |
| Sucrose | - | 33 |
| Deferoxamine | - | 0.025 |
| LK-614 | - | 0.0075 |
| Donor Baseline | After Htx | |||
|---|---|---|---|---|
| Custodiol | Custodiol-N | Custodiol | Custodiol-N | |
| HR [beats/min] | 119 ± 8 | 132 ± 6 | 110 ± 12 | 135 ± 7 |
| MAP [mmHg] | 85 ± 6 | 90 ± 4 | 59 ± 6 # | 62 ± 2 # |
| CO [L/min] | 2.22 ± 0.11 | 2.53 ± 0.44 | 1.86 ± 0.48 | 2.84 ± 0.32 * |
| CBF [mL/min] | 49 ± 5 | 50 ± 9 | 28 ± 3 # | 55 ± 7 * |
| LVSP [mmHg] | 111 ± 14 | 107 ± 5 | 90 ± 7 # | 96 ± 6 * |
| LVEDP [mmHg] | 7 ± 4 | 4 ± 2 | 6 ± 2 | 8 ± 3 |
| Before Transplantation | After Transplantation | |||
|---|---|---|---|---|
| Custodiol | Custodiol-N | Custodiol | Custodiol-N | |
| ATP [µmol/g drw] | 13.2 ± 1.7 | 14.4 ± 0.7 | 4.5 ± 1.1 # | 14.6 ± 1.7 * |
| ADP [µmol/g drw] | 3.8 ± 1.1 | 5.3 ± 0.6 | 3.6 ± 1.3 | 3.8 ± 0.7 |
| AMP [µmol/g drw] | 1.9 ± 0.4 | 1.3 ± 0.2 | 2.9 ± 1.4 | 0.6 ± 0.1 |
| ECP | 0.78 ± 0.03 | 0.81 ± 0.03 | 0.57 ± 0.03 # | 0.86 ± 0.06 * |
| 8 h Conservation Custodiol-N | 12 h Conservation Custodiol-N | 16 h Conservation Custodiol-N | ||||
|---|---|---|---|---|---|---|
| Donor Baseline | After Htx | Donor Baseline | After Htx | Donor Baseline | After Htx | |
| HR [beats/min] | 130 ± 10 | 149 ± 15 | 127 ± 6 | 156 ± 11 | 137 ± 7 | 146 ± 8 |
| MAP [mmHg] | 74 ± 4 | 61 ± 4 | 76 ± 6 | 58 ± 6 * | 86 ± 6 | 60 ± 9 * |
| CO [L/min] | 2.4 ± 0.2 | 2.4 ± 0.3 | 2.4 ± 0.3 | 2.2 ± 0.6 | 1.5 ± 0.1 | 1.6 ± 0.4 |
| CBF [mL/min] | 19.3 ± 2.5 | 39.4 ± 4.7 * | 21 ± 3 | 40 ± 3 * | 35 ± 6 | 43 ± 7 |
| LVSP [mmHg] | 92 ± 4 | 76 ± 5 | 94 ± 5 | 82 ± 7 | 94 ± 6 | 86 ± 16 |
| LVEDP [mmHg] | 8 ± 1 | 24 ± 4 * | 9 ± 1 | 22 ± 5 | 3.1 ± 1.1 | 17 ± 4 * |
Publisher’s Note: MDPI stays neutral with regard to jurisdictional claims in published maps and institutional affiliations. |
© 2022 by the authors. Licensee MDPI, Basel, Switzerland. This article is an open access article distributed under the terms and conditions of the Creative Commons Attribution (CC BY) license (https://creativecommons.org/licenses/by/4.0/).
Share and Cite
Szabó, G.; Loganathan, S.; Korkmaz-Icöz, S.; Balogh, Á.; Papp, Z.; Brlecic, P.; Hegedüs, P.; Radovits, T.; Karck, M.; Merkely, B.; et al. Improvement of Left Ventricular Graft Function Using an Iron-Chelator-Supplemented Bretschneider Solution in a Canine Model of Orthotopic Heart Transplantation. Int. J. Mol. Sci. 2022, 23, 7453. https://doi.org/10.3390/ijms23137453
Szabó G, Loganathan S, Korkmaz-Icöz S, Balogh Á, Papp Z, Brlecic P, Hegedüs P, Radovits T, Karck M, Merkely B, et al. Improvement of Left Ventricular Graft Function Using an Iron-Chelator-Supplemented Bretschneider Solution in a Canine Model of Orthotopic Heart Transplantation. International Journal of Molecular Sciences. 2022; 23(13):7453. https://doi.org/10.3390/ijms23137453
Chicago/Turabian StyleSzabó, Gábor, Sivakkanan Loganathan, Sevil Korkmaz-Icöz, Ágnes Balogh, Zoltan Papp, Paige Brlecic, Péter Hegedüs, Tamás Radovits, Matthias Karck, Béla Merkely, and et al. 2022. "Improvement of Left Ventricular Graft Function Using an Iron-Chelator-Supplemented Bretschneider Solution in a Canine Model of Orthotopic Heart Transplantation" International Journal of Molecular Sciences 23, no. 13: 7453. https://doi.org/10.3390/ijms23137453
APA StyleSzabó, G., Loganathan, S., Korkmaz-Icöz, S., Balogh, Á., Papp, Z., Brlecic, P., Hegedüs, P., Radovits, T., Karck, M., Merkely, B., & Veres, G. (2022). Improvement of Left Ventricular Graft Function Using an Iron-Chelator-Supplemented Bretschneider Solution in a Canine Model of Orthotopic Heart Transplantation. International Journal of Molecular Sciences, 23(13), 7453. https://doi.org/10.3390/ijms23137453

