Overexpression of the Bam Complex Improves the Production of Chlamydia trachomatis MOMP in the E. coli Outer Membrane
Abstract
1. Introduction
2. Results
2.1. Expression of Ct-MOMP in E. coli
2.2. Improvement of Ct-MOMP Levels upon Co-Overexpression of the E. coli Bam Complex
2.3. The Complete Bam Complex Is Needed for Optimal Ct-MOMP Expression
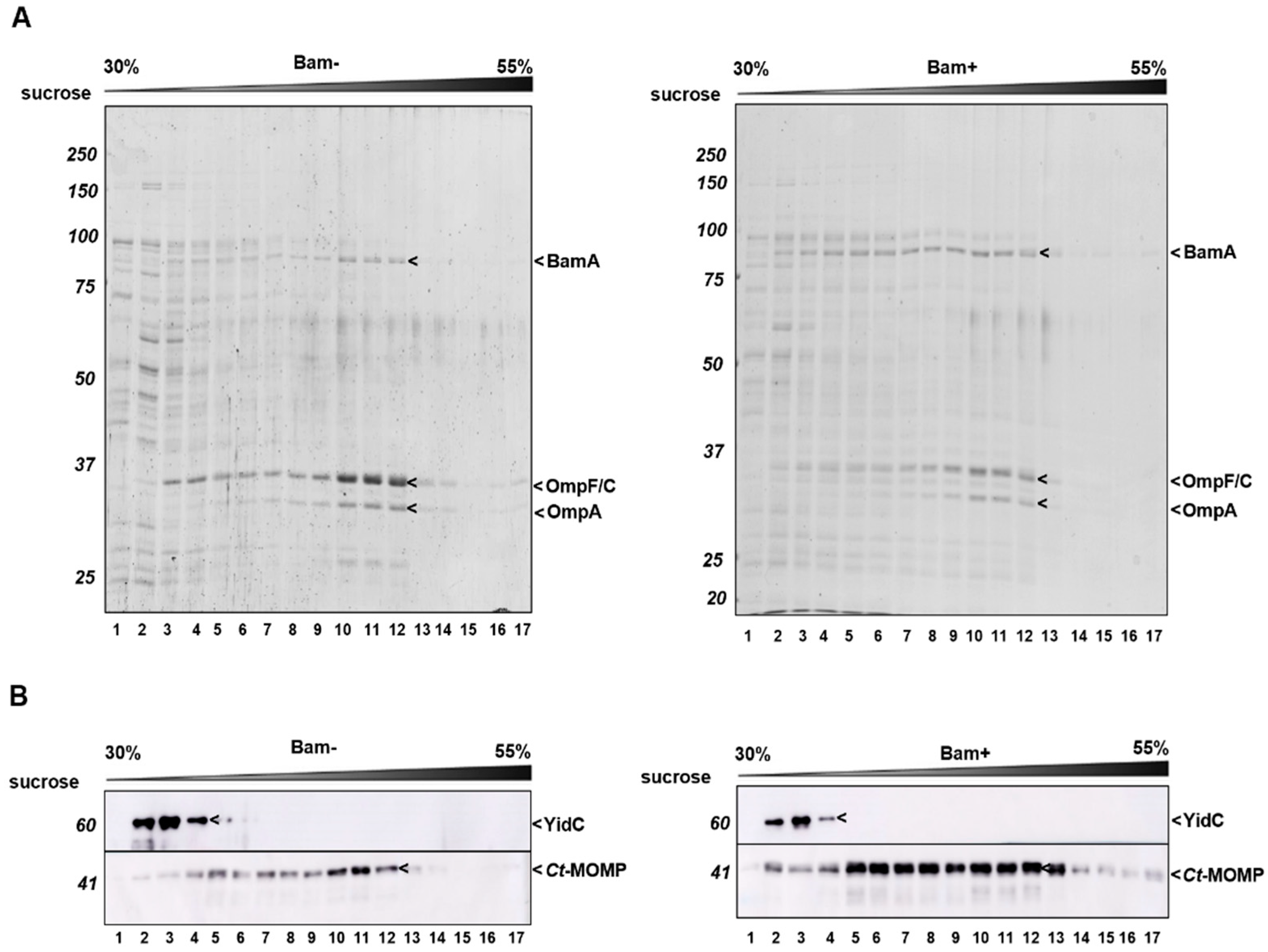
2.4. Localization of Ct-MOMP in the OM
2.5. Heat-Modifiability of Ct-MOMP
2.6. Ct-MOMP Is Exposed at the Surface of E. coli
3. Discussion
4. Conclusions
5. Materials and Methods
5.1. Bacterial Strains and Growth Media
5.2. Reagents, Enzymes, and Sera
5.3. Plasmid Constructions
5.4. General Protein Production and Analysis
5.5. Subcellular Fractionation
5.6. Sucrose-Gradient Centrifugation and OM Collection
5.7. Heat-Modifiability Assay
5.8. Immunofluorescence Microscopy
5.9. Statistical Analysis
Supplementary Materials
Author Contributions
Funding
Data Availability Statement
Acknowledgments
Conflicts of Interest
References
- Poston, T.B.; Gottlieb, S.L.; Darville, T. Status of Vaccine Research and Development of Vaccines for Chlamydia Trachomatis Infection. Vaccine 2019, 37, 7289–7294. [Google Scholar] [CrossRef] [PubMed]
- Murray, S.M.; McKay, P.F. Chlamydia Trachomatis: Cell Biology, Immunology and Vaccination. Vaccine 2021, 39, 2965–2975. [Google Scholar] [CrossRef] [PubMed]
- Elwell, C.; Mirrashidi, K.; Engel, J. Chlamydia Cell Biology and Pathogenesis. Nat. Rev. Microbiol. 2016, 14, 385–400. [Google Scholar] [CrossRef] [PubMed]
- de la Maza, L.M.; Darville, T.L.; Pal, S. Chlamydia Trachomatis Vaccines for Genital Infections: Where Are We and How Far Is There to Go? Expert Rev. Vaccines 2021, 20, 421–435. [Google Scholar] [CrossRef] [PubMed]
- Hafner, L.M.; Wilson, D.P.; Timms, P. Development Status and Future Prospects for a Vaccine against Chlamydia Trachomatis Infection. Vaccine 2014, 32, 1563–1571. [Google Scholar] [CrossRef] [PubMed]
- Brunham, R.C.; Rappuoli, R. Chlamydia Trachomatis Control Requires a Vaccine. Vaccine 2013, 31, 1892–1897. [Google Scholar] [CrossRef]
- Brunham, R.C. Problems With Understanding Chlamydia Trachomatis Immunology. J. Infect. Dis. 2021, 225, 2043–2049. [Google Scholar] [CrossRef]
- Zhong, G.; Brunham, R.C.; de la Maza, L.M.; Darville, T.; Deal, C. National Institute of Allergy and Infectious Diseases Workshop Report: “Chlamydia Vaccines: The Way Forward”. Vaccine 2019, 37, 7346–7354. [Google Scholar] [CrossRef]
- Stagg, A.J.; Tuffrey, M.; Woods, C.; Wunderink, E.; Knight, S.C. Protection against Ascending Infection of the Genital Tract by Chlamydia Trachomatis Is Associated with Recruitment of Major Histocompatibility Complex Class II Antigen-Presenting Cells into Uterine Tissue. Infect. Immun. 1998, 66, 3535–3544. [Google Scholar] [CrossRef]
- Consoli, E.; Luirink, J.; Den Blaauwen, T. The Escherichia Coli Outer Membrane β-Barrel Assembly Machinery (Bam) Crosstalks with the Divisome. Int. J. Mol. Sci. 2021, 22, 12101. [Google Scholar] [CrossRef]
- Stary, G.; Olive, A.; Radovic-Moreno, A.F.; Gondek, D.; Alvarez, D.; Basto, P.A.; Perro, M.; Vrbanac, V.D.; Tager, A.M.; Shi, J.; et al. A Mucosal Vaccine against Chlamydia Trachomatis Generates Two Waves of Protective Memory T Cells. Science 2015, 348, aaa8205. [Google Scholar] [CrossRef] [PubMed]
- Liu, X.; Afrane, M.; Clemmer, D.E.; Zhong, G.; Nelson, D.E. Identification of Chlamydia Trachomatis Outer Membrane Complex Proteins by Differential Proteomics. J. Bacteriol. 2010, 192, 2852–2860. [Google Scholar] [CrossRef] [PubMed]
- Yu, H.; Karunakaran, K.P.; Jiang, X.; Chan, Q.; Rose, C.; Foster, L.J.; Johnson, R.M.; Brunham, R.C. Comparison of Chlamydia Outer Membrane Complex to Recombinant Outer Membrane Proteins as Vaccine. Vaccine 2020, 38, 3280–3291. [Google Scholar] [CrossRef] [PubMed]
- Tagawa, Y.; Ishikawa, H.; Yuasa, N. Purification and Partial Characterization of the Major Outer Membrane Protein of Haemophilus Somnus. Infect. Immun. 1993, 61, 91–96. [Google Scholar] [CrossRef] [PubMed]
- Rodríguez-Marañón, M.J.; Bush, R.M.; Peterson, E.M.; Schirmer, T.; de la Maza, L.M. Prediction of the Membrane-Spanning β-Strands of the Major Outer Membrane Protein of Chlamydia. Protein Sci. 2009, 11, 1854–1861. [Google Scholar] [CrossRef]
- Feher, V.A.; Randall, A.; Baldi, P.; Bush, R.M.; de la Maza, L.M.; Amaro, R.E. A 3-Dimensional Trimeric β-Barrel Model for Chlamydia MOMP Contains Conserved and Novel Elements of Gram-Negative Bacterial Porins. PLoS ONE 2013, 8, e68934. [Google Scholar] [CrossRef]
- Sun, G.; Pal, S.; Sarcon, A.K.; Kim, S.; Sugawara, E.; Nikaido, H.; Cocco, M.J.; Peterson, E.M.; de la Maza, L.M. Structural and Functional Analyses of the Major Outer Membrane Protein of Chlamydia Trachomatis. J. Bacteriol. 2007, 189, 6222–6235. [Google Scholar] [CrossRef]
- Tifrea, D.F.; Pal, S.; Fairman, J.; Massari, P.; de la Maza, L.M. Protection against a Chlamydial Respiratory Challenge by a Chimeric Vaccine Formulated with the Chlamydia Muridarum Major Outer Membrane Protein Variable Domains Using the Neisseria Lactamica Porin B as a Scaffold. npj Vaccines 2020, 5, 37. [Google Scholar] [CrossRef]
- Madico, G.; Gursky, O.; Fairman, J.; Massari, P. Structural and Immunological Characterization of Novel Recombinant MOMP-Based Chlamydial Antigens. Vaccines 2018, 6, 2. [Google Scholar] [CrossRef]
- Olsen, A.W.; Rosenkrands, I.; Holland, M.J. OPEN A Chlamydia Trachomatis VD1-MOMP Vaccine Elicits Cross-Neutralizing and Protective Antibodies against C/C-Related Complex Serovars. npj Vaccines 2021, 6, 58. [Google Scholar] [CrossRef]
- Abraham, S.; Juel, H.B.; Bang, P.; Cheeseman, H.M.; Dohn, R.B.; Cole, T.; Kristiansen, M.P.; Korsholm, K.S.; Lewis, D.; Olsen, A.W.; et al. Safety and Immunogenicity of the Chlamydia Vaccine Candidate CTH522 Adjuvanted with CAF01 Liposomes or Aluminium Hydroxide: A First-in-Human, Randomised, Double-Blind, Placebo-Controlled, Phase 1 Trial. Lancet Infect. Dis. 2019, 19, 1091–1100. [Google Scholar] [CrossRef]
- Wern, J.E.; Sorensen, M.R.; Olsen, A.W.; Andersen, P.; Follmann, F. Simultaneous Subcutaneous and Intranasal Administration of a CAF01-Adjuvanted Chlamydia Vaccine Elicits Elevated IgA and Protective Th1/Th17 Responses in the Genital Tract. Front. Immunol. 2017, 8, 569. [Google Scholar] [CrossRef] [PubMed]
- Nguyen, N.D.N.T.; Olsen, A.W.; Lorenzen, E.; Andersen, P.; Hvid, M.; Follmann, F.; Dietrich, J. Parenteral Vaccination Protects against Transcervical Infection with Chlamydia Trachomatis and Generate Tissue-Resident T Cells Post-Challenge. npj Vaccines 2020, 5, 7. [Google Scholar] [CrossRef] [PubMed]
- Dieu, N.; Tran, N.; Olsen, A.W.; Follmann, F. Th1/Th17 T Cell Tissue-Resident Immunity Increases Protection, But Is Not Required in a Vaccine Strategy Against Genital Infection With Chlamydia Trachomatis. Front. Immunol. 2021, 12, 790463. [Google Scholar] [CrossRef]
- Kalbina, I.; Wallin, A.; Lindh, I.; Engström, P.; Andersson, S.; Strid, A.K. A Novel Chimeric MOMP Antigen Expressed in Escherichia Coli, Arabidopsis Thaliana, and Daucus Carota as a Potential Chlamydia Trachomatis Vaccine Candidate. Protein Expr. Purif. 2011, 80, 194–202. [Google Scholar] [CrossRef]
- Rose, F.; Wern, J.E.; Gavins, F.; Andersen, P.; Follmann, F.; Foged, C. A Strong Adjuvant Based on Glycol-Chitosan-Coated Lipid-Polymer Hybrid Nanoparticles Potentiates Mucosal Immune Responses against the Recombinant Chlamydia Trachomatis Fusion Antigen CTH522. J. Control. Release 2018, 271, 88–97. [Google Scholar] [CrossRef]
- Ricci, D.P.; Silhavy, T.J. Outer Membrane Protein Insertion by the β-Barrel Assembly Machine. EcoSal Plus 2019, 8, 10. [Google Scholar] [CrossRef]
- Tomasek, D.; Kahne, D. The Assembly of β-Barrel Outer Membrane Proteins. Curr. Opin. Microbiol. 2021, 60, 16–23. [Google Scholar] [CrossRef]
- Phan, T.H.; Kuijl, C.; Huynh, D.; Jong, W.S.P.; Luirink, J.; Van Ulsen, P. Overproducing the BAM Complex Improves Secretion of Difficult-to-Secrete Recombinant Autotransporter Chimeras. Microb. Cell Fact. 2021, 20, 176. [Google Scholar] [CrossRef]
- Wagner, S.; Klepsch, M.M.; Schlegel, S.; Appel, A.; Draheim, R.; Tarry, M.; Högbom, M.; Van Wijk, K.J.; Slotboom, D.J.; Persson, J.O.; et al. Tuning Escherichia Coli for Membrane Protein Overexpression. Proc. Natl. Acad. Sci. USA 2008, 105, 14371–14376. [Google Scholar] [CrossRef]
- Schlegel, S.; Rujas, E.; Ytterberg, A.J.; Zubarev, R.A.; Luirink, J.; de Gier, J.W. Optimizing Heterologous Protein Production in the Periplasm of E. coli by Regulating Gene Expression Levels. Microb. Cell Fact. 2013, 12, 24. [Google Scholar] [CrossRef] [PubMed]
- Karyolaimos, A.; de Gier, J.-W.; Lee, D.; Delisa, M.P. Strategies to Enhance Periplasmic Recombinant Protein Production Yields in Escherichia Coli. Front. Bioeng. Biotechnol. 2021, 9, 797334. [Google Scholar] [CrossRef] [PubMed]
- Findlay, H.E.; McClafferty, H.; Ashley, R.H. Surface Expression, Single-Channel Analysis and Membrane Topology of Recombinant Chlamydia Trachomatis Major Outer Membrane Protein. BMC Microbiol. 2005, 5, 5. [Google Scholar] [CrossRef]
- Harkness, R.W.; Toyama, Y.; Ripstein, Z.A.; Zhao, H.; Sever, A.I.M.; Luan, Q.; Brady, J.P.; Clark, P.L.; Schuck, P.; Kay, L.E. Competing Stress-Dependent Oligomerization Pathways Regulate Self-Assembly of the Periplasmic Protease-Chaperone DegP. Proc. Natl. Acad. Sci. USA 2021, 118, e2109732118. [Google Scholar] [CrossRef] [PubMed]
- Roman-Hernandez, G.; Peterson, J.H.; Bernstein, H.D. Reconstitution of Bacterial Autotransporter Assembly Using Purified Components. eLife 2014, 3, e04234. [Google Scholar] [CrossRef] [PubMed]
- Mamat, U.; Woodard, R.W.; Wilke, K.; Souvignier, C.; Mead, D.; Steinmetz, E.; Terry, K.; Kovacich, C.; Zegers, A.; Knox, C. Endotoxin-Free Protein Production—ClearColiTM Technology. Nat. Methods 2013, 10, 916. [Google Scholar] [CrossRef]
- Claes, A.K.; Steck, N.; Schultz, D.; Zähringer, U.; Lipinski, S.; Rosenstiel, P.; Geddes, K.; Philpott, D.J.; Heine, H.; Grassl, G.A. Salmonella Enterica Serovar Typhimurium ΔmsbB Triggers Exacerbated Inflammation in Nod2 Deficient Mice. PLoS ONE 2014, 9, e113645. [Google Scholar] [CrossRef]
- Doyle, M.T.; Bernstein, H.D. Bacterial Outer Membrane Proteins Assemble via Asymmetric Interactions with the BamA β-Barrel. Nat. Commun. 2019, 10, 3358. [Google Scholar] [CrossRef]
- Hart, E.M.; Silhavy, T.J. Functions of the BamBCDE Lipoproteins Revealed by Bypass Mutations in BamA. J. Bacteriol. 2020, 202, 1–16. [Google Scholar] [CrossRef]
- Mecsas, J.; Rouviere, P.E.; Erickson, J.W.; Donohue, T.J.; Gross, C.A. The Activity of σ(E), an Escherichia Coli Heat-Inducible σ-Factor, Is Modulated by Expression of Outer Membrane Proteins. Genes Dev. 1993, 7, 2618–2628. [Google Scholar] [CrossRef]
- Malinverni, J.C.; Werner, J.; Kim, S.; Sklar, J.G.; Kahne, D.; Misra, R.; Silhavy, T.J. YfiO Stabilizes the YaeT Complex and Is Essential for Outer Membrane Protein Assembly in Escherichia Coli. Mol. Microbiol. 2006, 61, 151–164. [Google Scholar] [CrossRef] [PubMed]
- Hagan, C.L.; Kim, S.; Kahne, D. Reconstitution of Outer Membrane Protein Assembly from Purified Components. Science 2010, 328, 890–892. [Google Scholar] [CrossRef] [PubMed][Green Version]
- Bledsoe, H.A.; Carroll, J.A.; Whelchel, T.R.; Farmer, M.A.; Dorward, D.W.; Gherardini, F.C. Isolation and Partial Characterization of Borrelia Burgdorferi Inner and Outer Membranes by Using Isopycnic Centrifugation. J. Bacteriol. 1994, 176, 7447–7455. [Google Scholar] [CrossRef] [PubMed][Green Version]
- He, W.; Felderman, M.; Evans, A.C.; Geng, J.; Homan, D.; Bourguet, F.; Fischer, N.O.; Li, Y.; Lam, K.S.; Noy, A.; et al. Cell-Free Production of a Functional Oligomeric Form of a Chlamydia Major Outer-Membrane Protein (MOMP) for Vaccine Development. J. Biol. Chem. 2017, 292, 15121–15132. [Google Scholar] [CrossRef] [PubMed]
- Burgess, N.K.; Dao, T.P.; Stanley, A.M.; Fleming, K.G. β-Barrel Proteins That Reside in the Escherichia Coli Outer Membrane in Vivo Demonstrate Varied Folding Behavior in Vitro. J. Biol. Chem. 2008, 283, 26748–26758. [Google Scholar] [CrossRef] [PubMed]
- Noinaj, N.; Kuszak, A.J.; Buchanan, S.K. Heat Modifiability of Outer Membrane Proteins from Gram-Negative Bacteria. Methods Mol. Biol. 2015, 1329, 51–56. [Google Scholar] [CrossRef] [PubMed]
- Noinaj, N.; Kuszak, A.J.; Gumbart, J.C.; Lukacik, P.; Chang, H.; Easley, N.C.; Lithgow, T.; Buchanan, S.K. Structural Insight into the Biogenesis of β-Barrel Membrane Proteins. Nature 2013, 501, 385–390. [Google Scholar] [CrossRef]
- Ranava, D.; Yang, Y.; Orenday-Tapia, L.; Rousset, F.; Turlan, C.; Morales, V.; Cui, L.; Moulin, C.; Froment, C.; Munoz, G.; et al. Lipoprotein Dolp Supports Proper Folding of Bama in the Bacterial Outer Membrane Promoting Fitness upon Envelope Stress. eLife 2021, 10, e67817. [Google Scholar] [CrossRef]
- Wang, Y. Identification of Surface-Exposed Components of MOMP of Chlamydia Trachomatis Serovar F. Protein Sci. 2006, 15, 122–134. [Google Scholar] [CrossRef]
- Webb, C.T.; Selkrig, J.; Perry, A.J.; Noinaj, N.; Buchanan, S.K.; Lithgow, T. Dynamic Association of BAM Complex Modules Includes Surface Exposure of the Lipoprotein BamC. J. Mol. Biol. 2012, 422, 545–555. [Google Scholar] [CrossRef]
- Gunasinghe, S.D.; Shiota, T.; Stubenrauch, C.J.; Schulze, K.E.; Webb, C.T.; Fulcher, A.J.; Dunstan, R.A.; Hay, I.D.; Naderer, T.; Whelan, D.R.; et al. The WD40 Protein BamB Mediates Coupling of BAM Complexes into Assembly Precincts in the Bacterial Outer Membrane. Cell Rep. 2018, 23, 2782–2794. [Google Scholar] [CrossRef] [PubMed]
- Manning, D.S.; Stewart, S.J. Expression of the Major Outer Membrane Protein of Chlamydia Trachomatis in Escherichia Coli. Infect. Immun. 1993, 61, 4093–4098. [Google Scholar] [CrossRef] [PubMed]
- Hepler, R.W.; Nahas, D.D.; Lucas, B.; Kaufhold, R.; Flynn, J.A.; Galli, J.D.; Swoyer, R.; Wagner, J.M.; Espeseth, A.S.; Joyce, J.G.; et al. Spectroscopic Analysis of Chlamydial Major Outer Membrane Protein in Support of Structure Elucidation. Protein Sci. 2018, 27, 1923–1941. [Google Scholar] [CrossRef] [PubMed]
- Jumper, J.; Evans, R.; Pritzel, A.; Green, T.; Figurnov, M.; Ronneberger, O.; Tunyasuvunakool, K.; Bates, R.; Žídek, A.; Potapenko, A.; et al. Highly Accurate Protein Structure Prediction with AlphaFold. Nature 2021, 596, 583–589. [Google Scholar] [CrossRef] [PubMed]
- Ma, H.; Cummins, D.D.; Edelstein, N.B.; Gomez, J.; Khan, A.; Llewellyn, M.D.; Picudella, T.; Willsey, S.R.; Nangia, S. Modeling Diversity in Structures of Bacterial Outer Membrane Lipids. J. Chem. Theory Comput. 2017, 13, 811–824. [Google Scholar] [CrossRef] [PubMed]
- Doyle, M.T.; Jimah, J.R.; Dowdy, T.; Ohlemacher, S.I.; Larion, M.; Hinshaw, J.E.; Bernstein, H.D. Cryo-EM Structures Reveal Multiple Stages of Bacterial Outer Membrane Protein Folding. Cell 2022, 185, 1143–1156.e13. [Google Scholar] [CrossRef]
- Danson, A.E.; McStea, A.; Wang, L.; Pollitt, A.Y.; Martin-Fernandez, M.L.; Moraes, I.; Walsh, M.A.; Macintyre, S.; Watson, K.A. Super-Resolution Fluorescence Microscopy Reveals Clustering Behaviour of Chlamydia Pneumoniae’s Major Outer Membrane Protein. Biology 2020, 9, 344. [Google Scholar] [CrossRef]
- Wen, Z.; Boddicker, M.A.; Kaufhold, R.M.; Khandelwal, P.; Durr, E.; Qiu, P.; Lucas, B.J.; Nahas, D.D.; Cook, J.C.; Touch, S.; et al. Recombinant Expression of Chlamydia Trachomatis Major Outer Membrane Protein in E. coli Outer Membrane as a Substrate for Vaccine Research. BMC Microbiol. 2016, 16, 165. [Google Scholar] [CrossRef]
- Schlegel, S.; Löfblom, J.; Lee, C.; Hjelm, A.; Klepsch, M.; Strous, M.; Drew, D.; Slotboom, D.J.; De Gier, J.W. Optimizing Membrane Protein Overexpression in the Escherichia Coli Strain Lemo21(DE3). J. Mol. Biol. 2012, 423, 648–659. [Google Scholar] [CrossRef]
- Olsen, A.W.; Follmann, F.; Erneholm, K.; Rosenkrands, I.; Andersen, P. Protection Against Chlamydia Trachomatis Infection and Upper Genital Tract Pathological Changes by Vaccine-Promoted Neutralizing Antibodies Directed to the VD4 of the Major Outer Membrane Protein. J. Infect. Dis. 2015, 212, 978–989. [Google Scholar] [CrossRef]
- Garcia-del Rio, L.; Diaz-Rodriguez, P.; Pedersen, G.K.; Christensen, D.; Landin, M. Sublingual Boosting with a Novel Mucoadhesive Thermogelling Hydrogel Following Parenteral CAF01 Priming as a Strategy Against Chlamydia Trachomatis. Adv. Healthc. Mater. 2022, 11, e2102508. [Google Scholar] [CrossRef] [PubMed]
- Kuipers, K.; Jong, W.S.P.; van der Gaast-de Jongh, C.E.; Houben, D.; van Opzeeland, F.; Simonetti, E.; van Selm, S.; de Groot, R.; Koenders, M.I.; Azarian, T.; et al. Th17-Mediated Cross Protection against Pneumococcal Carriage by Vaccination with a Variable Antigen. Infect. Immun. 2017, 85, e00281-17. [Google Scholar] [CrossRef] [PubMed]
- Hoiseth, S.K.; Stocker, B.A.D. Aromatic-dependent Salmonella typhimurium are non-virulent and effective as live vaccines. Nature 1981, 291, 238–239. [Google Scholar] [CrossRef] [PubMed]
- Scotti, P.A.; Urbanus, M.L.; Brunner, J.; de Gier, J.L.; Von Heijne, G.; Van Der Does, C.; Driessen, A.J.M.; Oudega, B.; Luirink, J. YidC, the Escherichia coli homologue of mitochondrial Oxa1p, is a component of the Sec translocase. EMBO J. 2000, 19, 542–549. [Google Scholar] [CrossRef]
- Hashemzadeh-Bonehi, L.; Mehraein-Ghomi, F.; Mitsopoulos, C.; Jacob, J.P.; Hennessey, E.S.; Broome-Smith, J.K. Importance of Using Lac Rather than Ara Promoter Vectors for Modulating the Levels of Toxic Gene Products in Escherichia Coli. Mol. Microbiol. 1998, 30, 676–678. [Google Scholar] [CrossRef]
- Jong, W.S.P.; Schillemans, M.; Hagen-Jongman, C.M.T.; Luirink, J.; van Ulsen, P. Comparing Autotransporter β-Domain Configurations for Their Capacity to Secrete Heterologous Proteins to the Cell Surface. PLoS ONE 2018, 13, e0191622. [Google Scholar] [CrossRef]






Publisher’s Note: MDPI stays neutral with regard to jurisdictional claims in published maps and institutional affiliations. |
© 2022 by the authors. Licensee MDPI, Basel, Switzerland. This article is an open access article distributed under the terms and conditions of the Creative Commons Attribution (CC BY) license (https://creativecommons.org/licenses/by/4.0/).
Share and Cite
Huynh, D.T.; Jong, W.S.P.; Koningstein, G.M.; van Ulsen, P.; Luirink, J. Overexpression of the Bam Complex Improves the Production of Chlamydia trachomatis MOMP in the E. coli Outer Membrane. Int. J. Mol. Sci. 2022, 23, 7393. https://doi.org/10.3390/ijms23137393
Huynh DT, Jong WSP, Koningstein GM, van Ulsen P, Luirink J. Overexpression of the Bam Complex Improves the Production of Chlamydia trachomatis MOMP in the E. coli Outer Membrane. International Journal of Molecular Sciences. 2022; 23(13):7393. https://doi.org/10.3390/ijms23137393
Chicago/Turabian StyleHuynh, Dung T., Wouter S. P. Jong, Gregory M. Koningstein, Peter van Ulsen, and Joen Luirink. 2022. "Overexpression of the Bam Complex Improves the Production of Chlamydia trachomatis MOMP in the E. coli Outer Membrane" International Journal of Molecular Sciences 23, no. 13: 7393. https://doi.org/10.3390/ijms23137393
APA StyleHuynh, D. T., Jong, W. S. P., Koningstein, G. M., van Ulsen, P., & Luirink, J. (2022). Overexpression of the Bam Complex Improves the Production of Chlamydia trachomatis MOMP in the E. coli Outer Membrane. International Journal of Molecular Sciences, 23(13), 7393. https://doi.org/10.3390/ijms23137393

