Development and Molecular Cytogenetic Identification of Two Wheat-Aegilops geniculata Roth 7Mg Chromosome Substitution Lines with Resistance to Fusarium Head Blight, Powdery Mildew and Stripe Rust
Abstract
1. Introduction
2. Results
2.1. Cytogenetic Analysis of W623 and W637
2.2. Sequential FISH-GISH Analysis
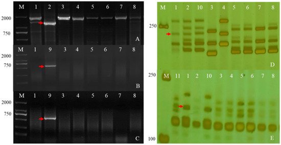
2.3. Molecular Markers Analysis
2.4. Resistance against F. graminearum
2.5. Powdery Mildew and Stripe Rust Resistance
3. Discussion
4. Materials and Methods
4.1. Plant Materials and Development of W623, W637
4.2. Cytological Identification
4.3. GISH and Sequential FISH-GISH
4.4. Molecular Markers Analysis and Nulli-Tetrasomic Analysis
4.5. Maintenance and Preparation of Inoculum
| Marker | QTL | Primer Sequence (5′-3′) | Chr. | Tm (°C) | Reference |
|---|---|---|---|---|---|
| TaHRC-STS | Fhb1 | F: ATTCCTACTAGCCGCCTGGT R: ACTGGGGCAAGCAAACATTG | 3BS | 65 | Su et al. [52] |
| Xgwm 149 | Fhb4 | F: CATTGTTTTCTGCCTCTAGCC R: CTAGCATCGAACCTGAACAAG | 4BS | 56 | Xue et al. [11] |
| Xgwm 304 | Fhb5 | F: AGGAAACAGAAATATCGCGG R: AGGACTGTGGGGAATGAATG | 5AL | 56 | Xue et al. [12] |
| F7-1 | Fhb7 | F: AGACTGGCCCTCAACTTCAA R: CGACAATCATGTCCGCATAC | 7EL | 56 | At this article |
| F7-7 | Fhb7 | F: GATGCAGTCCCTCCGAAACA R: ACCGACAATCATGTCCGCAT | 7EL | 55 | At this article |
4.6. Disease Resistance of Powdery Mildew and Stripe Rust
5. Conclusions
Supplementary Materials
Author Contributions
Funding
Institutional Review Board Statement
Informed Consent Statement
Data Availability Statement
Conflicts of Interest
References
- Bai, G.; Shaner, G. Scab of wheat-prospects control. Plant Dis. 1994, 78, 760–766. [Google Scholar]
- Walter, S.; Nicholson, P.; Doohan, F.M. Action and reaction of host and pathogen during Fusarium head blight disease. New Phytol. 2010, 185, 54–66. [Google Scholar] [CrossRef] [PubMed]
- Boenisch, M.J.; Schaefer, W. Fusarium graminearum forms mycotoxin producing infection structures on wheat. BMC Plant Biol. 2011, 11, 110. [Google Scholar] [CrossRef]
- Zhu, Z.W.; Xu, D.A.; Cheng, S.H.; Gao, C.B.; Xia, X.C.; Hao, Y.F.; He, Z.H. Characterization of Fusarium Head Blight Resistance Gene Fhb1 and Its Putative Ancestor in Chinese Wheat Germplasm. Acta Agron. Sin. 2018, 44, 473–482. (In Chinese) [Google Scholar] [CrossRef]
- Wang, D.; Zhang, K.; Dong, L.; Dong, Z.; Li, Y.; Hussain, A.; Zhai, H. Molecular genetic and genomic analysis of wheat milling and end-use traits in China: Progress and perspectives. Crop J. 2018, 6, 68–81. [Google Scholar] [CrossRef]
- Buerstmayr, M.; Huber, K.; Heckmann, J.; Steiner, B.; Nelson, J.C.; Buerstmayr, H. Mapping of QTL for Fusarium head blight resistance and morphological and developmental traits in three backcross populations derived from Triticum Dicoccum × Triticum durum. Theor. Appl. Genet. 2012, 125, 1751–1765. [Google Scholar] [CrossRef]
- Jia, H.Y.; Zhou, J.Y.; Xue, S.L.; Li, G.Q.; Yan, H.S.; Ran, C.F.; Zhang, Y.D.; Shi, J.X.; Jia, L.; Wang, X.; et al. A journey to understand wheat Fusarium head blight resistance in the Chinese wheat landrace Wangshuibai. Crop J. 2018, 6, 48–59. [Google Scholar] [CrossRef]
- Buerstmayr, H.; Ban, T.; Anderson, J.A. QTL mapping and marker-assisted selection for Fusarium head blight resistance in wheat: A review. Plant Breed. 2009, 128, 1–26. [Google Scholar] [CrossRef]
- Li, G.; Zhou, J.; Jia, H.; Gao, Z.; Fan, M.; Luo, Y.; Zhao, P.; Xue, S.; Li, N.; Yuan, Y.; et al. Mutation of a histidine-rich calcium-binding-protein gene in wheat confers resistance to Fusarium head blight. Nature Genet. 2019, 51, 1106–1112. [Google Scholar] [CrossRef]
- Su, Z.; Bernardo, A.; Tian, B.; Chen, H.; Wang, S.; Ma, H.; Cai, S.; Liu, D.; Zhang, D.; Li, T.; et al. A deletion mutation in TaHRC confers Fhb1 resistance to Fusarium head blight in wheat. Nature Genet. 2019, 51, 1099–1105. [Google Scholar] [CrossRef]
- Xue, S.; Li, G.; Jia, H.; Xu, F.; Lin, F.; Tang, M.; Wang, Y.; An, X.; Xu, H.; Zhang, L.; et al. Fine mapping Fhb4, a major QTL conditioning resistance to Fusarium infection in bread wheat (Triticum aestivum L.). Theor. Appl. Genet. 2010, 121, 147–156. [Google Scholar] [CrossRef] [PubMed]
- Xue, S.; Xu, F.; Tang, M.; Zhou, Y.; Li, G.; An, X.; Lin, F.; Xu, H.; Jia, H.; Zhang, L.; et al. Precise mapping Fhb5, a major QTL conditioning resistance to Fusarium infection in bread wheat (Triticum aestivum L.). Theor. Appl. Genet. 2011, 123, 1055–1063. [Google Scholar] [CrossRef]
- Wang, H.W.; Sun, S.L.; Ge, W.Y.; Zhao, L.F.; Hou, B.Q.; Wang, K.; Lyu, Z.F.; Chen, L.Y.; Xu, S.S.; Guo, J.; et al. Horizontal gene transfer of Fhb7 from fungus underlies Fusarium head blight resistance in wheat. Science 2020, 368, eaba5435. [Google Scholar] [CrossRef]
- Wang, Y.; Quan, W.; Peng, N.; Wang, C.; Yang, X.; Liu, X.; Zhang, H.; Chen, C.; Ji, W. Molecular cytogenetic identification of a wheat-Aegilops geniculata Roth 7 M(g) disomic addition line with powdery mildew resistance. Mol. Breed. 2016, 36, 40. [Google Scholar] [CrossRef]
- Guo, L.; Yu, L.; Tong, J.; Zhao, Y.; Yang, Y.; Ma, Y.; Cui, L.; Hu, Y.; Wang, Z.; Gao, X. Addition of Aegilops geniculata 1Ug chromosome improves the dough rheological properties by changing the composition and micro-structure of gluten. Food Chem. 2021, 358, 129850. [Google Scholar] [CrossRef] [PubMed]
- Zeller, F.J.; Kong, L.; Hartl, L.; Mohler, V.; Hsam, S.L.K. Chromosomal location of genes for resistance to powdery mildew in common wheat (Triticum aestivum L. em Thell.) 7. Gene Pm29 in line Pova. Euphytica 2002, 123, 187–194. [Google Scholar] [CrossRef]
- Liu, W.X.; Rouse, M.; Friebe, B.; Jin, Y.; Gill, B.; Pumphrey, M.O. Discovery and molecular mapping of a new gene conferring resistance to stem rust, Sr53, derived from Aegilops geniculata and characterization of spontaneous translocation stocks with reduced alien chromatin. Chromosome Res. 2011, 19, 669–682. [Google Scholar] [CrossRef]
- Wang, Y.J.; Long, D.Y.; Wang, Y.Z.; Wang, C.Y.; Liu, X.L.; Zhang, H.; Tian, Z.R.; Chen, C.H.; Ji, W.Q. Characterization and Evaluation of Resistance to Powdery Mildew of Wheat-Aegilops geniculata Roth 7M(g) (7A) Alien Disomic Substitution Line W16998. Int. J. Mol. Sci. 2020, 21, 1861. [Google Scholar] [CrossRef]
- Cheng, H.; Liu, J.; Wen, J.; Nie, X.J.; Xu, L.H.; Chen, N.B.; Li, Z.X.; Wang, Q.L.; Zheng, Z.Q.; Li, M.; et al. Frequent intra- and inter-species introgression shapes the landscape of genetic variation in bread wheat. Genome Biol. 2019, 20, 136. [Google Scholar] [CrossRef]
- Ciferri, R. The First Interspecific Wheat Hybrids. J. Hered. 1955, 46, 81–83. [Google Scholar] [CrossRef]
- Wang, S.W.; Wang, C.Y.; Wang, Y.Z.; Wang, Y.J.; Chen, C.H.; Ji, W.Q. Molecular cytogenetic identification of two wheat-Thinopyrum ponticum substitution lines conferring stripe rust resistance. Mol. Breed. 2019, 39, 143–153. [Google Scholar] [CrossRef]
- Zheng, Q.; Luo, Q.; Niu, Z.; Li, H.; Li, B.; Xu, S.S.; Li, Z. Variation in Chromosome Constitution of the Xiaoyan Series Partial Amphiploids and Its Relationship to Stripe Rust and Stem Rust Resistance. J. Genet. Genom. 2015, 42, 657–660. [Google Scholar] [CrossRef] [PubMed]
- Hao, C.; Jiao, C.; Hou, J.; Li, T.; Liu, H.; Wang, Y.; Zheng, J.; Liu, H.; Bi, Z.; Xu, F.; et al. Resequencing of 145 Landmark Cultivars Reveals Asymmetric Sub-genome Selection and Strong Founder Genotype Effects on Wheat Breeding in China. Mol. Plant 2020, 13, 1733–1751. [Google Scholar] [CrossRef] [PubMed]
- Jorgensen, J.H. Discovery, Characterization and Exploitation of Mlo Powdery Mildew resistance in Barley. Euphytica 1992, 63, 141–152. [Google Scholar] [CrossRef]
- Chen, X.M. Epidemiology and control of stripe rust Puccinia striiformis f. sp tritici on wheat. Can. J. Plant Pathol. 2005, 27, 314–337. [Google Scholar] [CrossRef]
- An, D.; Ma, P.; Zheng, Q.; Fu, S.; Li, L.; Han, F.; Han, G.; Wang, J.; Xu, Y.; Jin, Y.; et al. Development and molecular cytogenetic identification of a new wheat-rye 4R chromosome disomic addition line with resistances to powdery mildew, stripe rust and sharp eyespot. Theor. Appl. Genet. 2018, 132, 257–272. [Google Scholar] [CrossRef]
- Guo, J.; Zhang, X.; Hou, Y.; Cai, J.; Shen, X.; Zhou, T.; Xu, H.; Ohm, H.W.; Wang, H.; Li, A.; et al. High-density mapping of the major FHB resistance gene Fhb7 derived from Thinopyrum ponticum and its pyramiding with Fhb1 by marker-assisted selection. Theor. Appl. Genet. 2015, 128, 2301–2316. [Google Scholar] [CrossRef]
- Hao, Y.B.; Wang, T.; Wang, K.; Wang, X.J.; Fu, Y.P.; Huang, L.L.; Kang, Z.S. Transcriptome Analysis Provides Insights into the Mechanisms Underlying Wheat Plant Resistance to Stripe Rust at the Adult Plant Stage. PLoS ONE 2016, 11, e0150717. [Google Scholar] [CrossRef]
- Dodds, P.N.; Rathjen, J.P. Plant immunity: Towards an integrated view of plant-pathogen interactions. Nat. Rev. Genet. 2010, 11, 539–548. [Google Scholar] [CrossRef]
- Taketa, S.; Takeda, K. Production and characterization of a complete set of wheat-wild barley (Hordeum vulgare ssp spontaneum) chromosome addition lines. Breed. Sci. 2001, 51, 199–206. [Google Scholar] [CrossRef]
- Mahjoub, A.; El Gharbi, M.S.; Mguis, K.; El Gazzah, M.; Brahim, N.B. Evaluation of genetic diversity in Aegilops geniculata Roth accessions using morphological and RAPD markers. Pak. J. Biol. Sci. PJBS 2009, 12, 994–1003. [Google Scholar] [CrossRef] [PubMed][Green Version]
- Friebe, B.R.; Tuleen, N.A.; Gill, B.S. Development and identification of a complete set of Triticum aestivum Aegilops geniculata chromosome addition lines. Genome 1999, 42, 374–380. [Google Scholar] [CrossRef]
- Stoilova, T.; Spetsov, P. Chromosome 6U from Aegilops geniculata Roth carrying powdery mildew resistance in bread wheat. Breed. Sci. 2006, 56, 351–357. [Google Scholar] [CrossRef]
- Kuraparthy, V.; Sood, S.; See, D.R.; Gill, B.S. Development of a PCR Assay and Marker-Assisted Transfer of Leaf Rust and Stripe Rust Resistance Genes Lr57 and Yr40 into Hard Red Winter Wheats. Crop Sci. 2009, 49, 120–126. [Google Scholar] [CrossRef]
- Xu, H.J.; Ye, M.; Xia, A.L.; Jiang, H.; Huang, P.P.; Liu, H.Q.; Hou, R.; Wang, Q.H.; Li, D.G.; Xu, J.R.; et al. The Fng3 ING protein regulates H3 acetylation and H4 deacetylation by interacting with two distinct histone modifying complexes. New Phytol. 2022. [Google Scholar] [CrossRef]
- Sari, E.; Cabral, A.L.; Polley, B.; Tan, Y.; Hsueh, E.; Konkin, D.J.; Knox, R.E.; Ruan, Y.; Fobert, P.R. Weighted gene co-expression network analysis unveils gene networks associated with the Fusarium head blight resistance in tetraploid wheat. BMC Genom. 2019, 20, 925. [Google Scholar] [CrossRef]
- Zhao, J.X.; Liu, Y.; Cheng, X.N.; Pang, Y.H.; Li, J.C.; Su, Z.Q.; Wu, J.; Yang, Q.H.; Bai, G.H.; Chen, X.H. Development and identification of a dwarf wheat-Leymus mollis double substitution line with resistance to yellow rust and Fusarium head blight. Crop J. 2019, 7, 516–526. [Google Scholar] [CrossRef]
- Qi, L.L.; Pumphrey, M.O.; Friebe, B.; Chen, P.D.; Gill, B.S. Molecular cytogenetic characterization of alien introgressions with gene Fhb3 for resistance to Fusarium head blight disease of wheat. Theor. Appl. Genet. 2008, 117, 1155–1166. [Google Scholar] [CrossRef]
- Gong, B.R.; Zhu, W.; Li, S.Y.; Wang, Y.Q.; Xu, L.L.; Wang, Y.; Zeng, J.; Fan, X.; Sha, L.N.; Zhang, H.Q.; et al. Molecular cytogenetic characterization of wheat-Elymus repens chromosomal translocation lines with resistance to Fusarium head blight and stripe rust. BMC Plant Biol. 2019, 19, 590. [Google Scholar] [CrossRef]
- Fu, S.L.; Lv, Z.L.; Qi, B.; Guo, X.; Li, J.; Liu, B.; Han, F.P. Molecular Cytogenetic Characterization of Wheat-Thinopyrum elongatum Addition, Substitution and Translocation Lines with a Novel Source of Resistance to Wheat Fusarium Head Blight. J. Genet. Genom. 2012, 39, 103–110. [Google Scholar] [CrossRef]
- Cui, Y.; Xing, P.Y.; Qi, X.L.; Bao, Y.G.; Wang, H.G.; Wang, R.R.C.; Li, X.F. Characterization of chromosome constitution in three wheat-Thinopyrum intermedium amphiploids revealed frequent rearrangement of alien and wheat chromosomes. BMC Plant Biol. 2021, 21, 129. [Google Scholar] [CrossRef] [PubMed]
- Chen, H.X.; Han, H.M.; Li, Q.F.; Zhang, J.P.; Lu, Y.Q.; Yang, X.M.; Li, X.Q.; Liu, W.H.; Li, L.H. Identification and genetic analysis of multiple P chromosomes of Agropyron cristatum in the background of common wheat. J. Integr. Agric. 2018, 17, 1697–1705. [Google Scholar] [CrossRef]
- Doyle JJ, D.J. A rapid DNA isolation procedure for small quantities of fresh leaf tissue. Phytochem. Bull 1987, 19, 11–15. [Google Scholar]
- Han, F.P.; Gao, Z.; Birchler, J.A. Reactivation of an Inactive Centromere Reveals Epigenetic and Structural Components for Centromere Specification in Maize. Plant Cell 2009, 21, 1929–1939. [Google Scholar] [CrossRef]
- Han, F.P.; Lamb, J.C.; Birchler, J.A. High frequency of centromere inactivation resulting in stable dicentric chromosomes of maize. Proc. Natl. Acad. Sci. USA 2006, 103, 3238–3243. [Google Scholar] [CrossRef]
- Tang, Z.X.; Yang, Z.J.; Fu, S.L. Oligonucleotides replacing the roles of repetitive sequences pAs1, pSc119.2, pTa-535, pTa71, CCS1, and pAWRC.1 for FISH analysis. J. Appl. Genet. 2014, 55, 313–318. [Google Scholar] [CrossRef]
- Ishikawa, G.; Nakamura, T.; Ashida, T.; Saito, M.; Nasuda, S.; Endo, T.R.; Wu, J.; Matsumoto, T. Localization of anchor loci representing five hundred annotated rice genes to wheat chromosomes using PLUG markers. Theor. Appl. Genet. 2009, 118, 499–514. [Google Scholar] [CrossRef]
- Wu, S.Y.; Pumphrey, M.; Bai, G.H. Molecular Mapping of Stem-Rust-Resistance Gene Sr40 in Wheat. Crop Sci. 2009, 49, 1681–1686. [Google Scholar] [CrossRef]
- Cuomo, C.A.; Gueldener, U.; Xu, J.-R.; Trail, F.; Turgeon, B.G.; Di Pietro, A.; Walton, J.D.; Ma, L.-J.; Baker, S.E.; Rep, M.; et al. The Fusarium graminearum genome reveals a link between localized polymorphism and pathogen specialization. Science 2007, 317, 1400–1402. [Google Scholar] [CrossRef]
- Jiang, C.; Hei, R.; Yang, Y.; Zhang, S.; Wang, Q.; Wang, W.; Zhang, Q.; Yan, M.; Zhu, G.; Huang, P.; et al. An orphan protein of Fusarium graminearum modulates host immunity by mediating proteasomal degradation of TaSnRK1 alpha. Nat. Commun. 2020, 11, 4382. [Google Scholar] [CrossRef]
- Jonkers, W.; Dong, Y.H.; Broz, K.; Kistler, H.C. The Wor1-like Protein Fgp1 Regulates Pathogenicity, Toxin Synthesis and Reproduction in the Phytopathogenic Fungus Fusarium graminearum. PLoS Pathog. 2012, 8, e1002724. [Google Scholar] [CrossRef]
- Su, Z.Q.; Jin, S.J.; Zhang, D.D.; Bai, G.H. Development and validation of diagnostic markers for Fhb1 region, a major QTL for Fusarium head blight resistance in wheat. Theor. Appl. Genet. 2018, 131, 2371–2380. [Google Scholar] [CrossRef] [PubMed]
- Sheng, B.; Duan, X. Improvement of scale 0–9 method for scoring adult plant resistance to powdery mildew of wheat. Beijing Agric. Sci. 1991, 1, 38–39. [Google Scholar]
- Wu, J.; Liu, S.; Wang, Q.; Zeng, Q.; Mu, J.; Huang, S.; Yu, S.; Han, D.; Kang, Z. Rapid identification of an adult plant stripe rust resistance gene in hexaploid wheat by high-throughput SNP array genotyping of pooled extremes. Theor. Appl. Genet. 2018, 131, 43–58. [Google Scholar] [CrossRef] [PubMed]







| Marker | Type | Primer Sequence (5′-3′) | Location | Geltype/Restrictionenzyme | Tm (°C) |
|---|---|---|---|---|---|
| BE637663 | EST-STS | F: ACTGTTGCTTCGCTCCAAGT R: GTTCCATTTCCGATGTGCTC | 7AL 7BL 7DL | 8% non-denaturing polyacrylamide gel/- | 60 |
| BE426692 | EST-STS | F: CAGAACGAGGACTACCGCTC R: CCAGTAGGTGCCCATCTTGT | 7AS 7BS 7DS | 8% non-denaturing polyacrylamide gel/- | 62 |
| TNAC1782 | PLUG | F:TCACTGAACAGCCTAGACATGG R: ATTCGCAGACCGCATCTATC | 7AS 7BS 7DS | 8% non-denaturing polyacrylamide gel/TaqI | 60 |
| TNAC1845 | PLUG | F: AATGAACAGCTTGCTTTCTGC R: CAGATGCTCTGGATTTCATGG | 7AL 7BL 7DL | 8% non-denaturing polyacrylamide gel/TaqI | 60 |
| TANC1929 | PLUG | F: GCACCAGAAGGTTCAGTAGCA R: ATCTGTCAGCAGGGCACACT | 7AS 7BS 7DS | 8% non-denaturing polyacrylamide gel/TaqI/HaeIII | 60 |
| TNAC1888 | PLUG | F: AGGGATGTGTTGGAGCTGTTA R: CACAGTGACCTTCTGCTCCTT | 7AL 7BL 7DL | 8% non-denaturing polyacrylamide gel/HaeIII | 60 |
| TNAC1811 | PLUG | F: CTGCTCAACGAGTTCATCGAC R: TTGGAGTGGACGTTGCATT | 7AL 7BL 7DL | 1.5% agarose gel/HaeIII | 60 |
Publisher’s Note: MDPI stays neutral with regard to jurisdictional claims in published maps and institutional affiliations. |
© 2022 by the authors. Licensee MDPI, Basel, Switzerland. This article is an open access article distributed under the terms and conditions of the Creative Commons Attribution (CC BY) license (https://creativecommons.org/licenses/by/4.0/).
Share and Cite
Yang, X.; Xu, M.; Wang, Y.; Cheng, X.; Huang, C.; Zhang, H.; Li, T.; Wang, C.; Chen, C.; Wang, Y.; et al. Development and Molecular Cytogenetic Identification of Two Wheat-Aegilops geniculata Roth 7Mg Chromosome Substitution Lines with Resistance to Fusarium Head Blight, Powdery Mildew and Stripe Rust. Int. J. Mol. Sci. 2022, 23, 7056. https://doi.org/10.3390/ijms23137056
Yang X, Xu M, Wang Y, Cheng X, Huang C, Zhang H, Li T, Wang C, Chen C, Wang Y, et al. Development and Molecular Cytogenetic Identification of Two Wheat-Aegilops geniculata Roth 7Mg Chromosome Substitution Lines with Resistance to Fusarium Head Blight, Powdery Mildew and Stripe Rust. International Journal of Molecular Sciences. 2022; 23(13):7056. https://doi.org/10.3390/ijms23137056
Chicago/Turabian StyleYang, Xiaoying, Maoru Xu, Yongfu Wang, Xiaofang Cheng, Chenxi Huang, Hong Zhang, Tingdong Li, Changyou Wang, Chunhuan Chen, Yajuan Wang, and et al. 2022. "Development and Molecular Cytogenetic Identification of Two Wheat-Aegilops geniculata Roth 7Mg Chromosome Substitution Lines with Resistance to Fusarium Head Blight, Powdery Mildew and Stripe Rust" International Journal of Molecular Sciences 23, no. 13: 7056. https://doi.org/10.3390/ijms23137056
APA StyleYang, X., Xu, M., Wang, Y., Cheng, X., Huang, C., Zhang, H., Li, T., Wang, C., Chen, C., Wang, Y., & Ji, W. (2022). Development and Molecular Cytogenetic Identification of Two Wheat-Aegilops geniculata Roth 7Mg Chromosome Substitution Lines with Resistance to Fusarium Head Blight, Powdery Mildew and Stripe Rust. International Journal of Molecular Sciences, 23(13), 7056. https://doi.org/10.3390/ijms23137056

