Urothelium-Specific Deletion of Connexin43 in the Mouse Urinary Bladder Alters Distension-Induced ATP Release and Voiding Behavior
Abstract
1. Introduction
2. Results
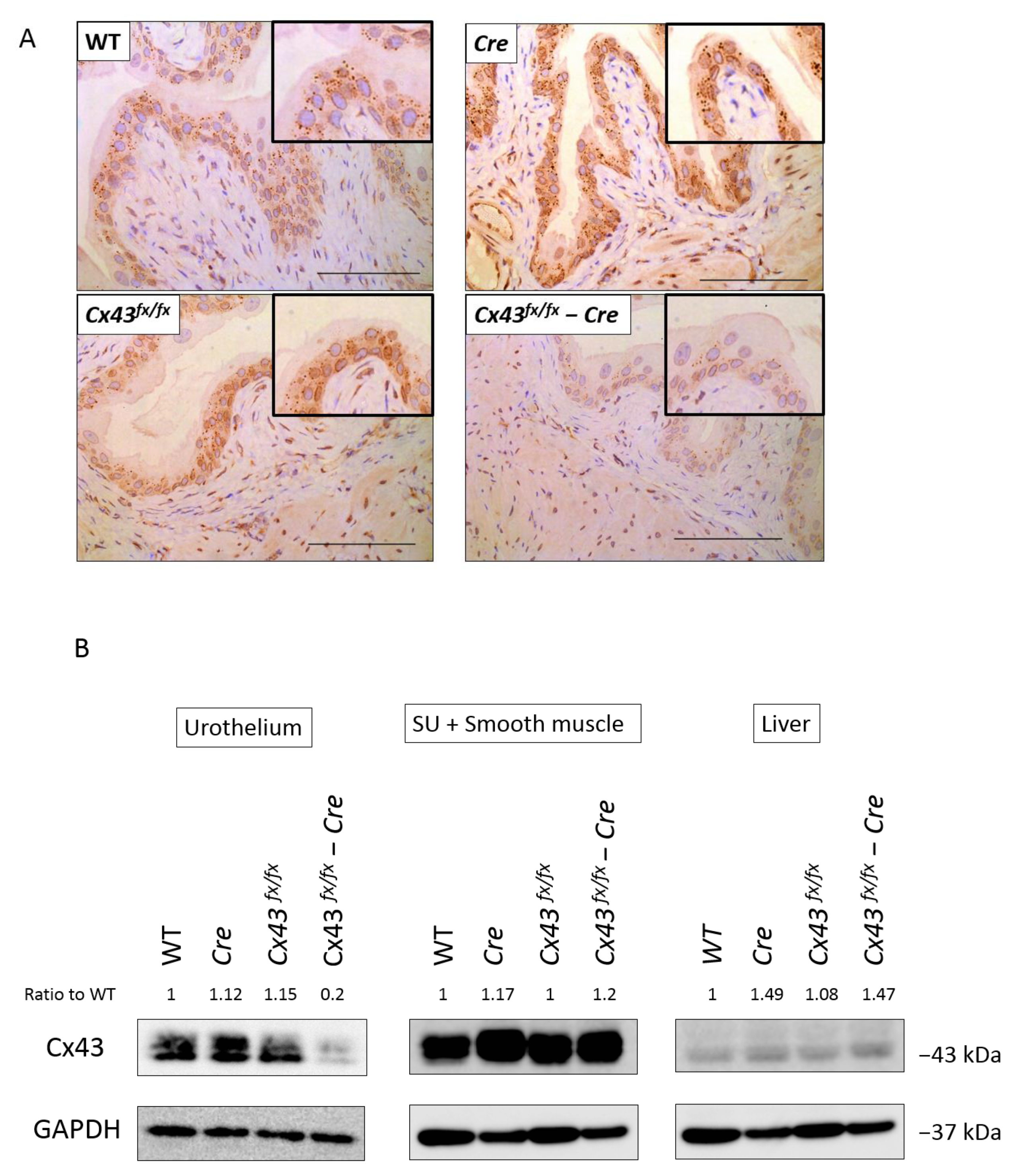
2.1. Urothelium-Specific Deletion of Connexin43
2.2. Evaluation of Mechanosensitive Urothelial ATP Release in uCx43KO Mice
2.3. Characterization of the Voiding Behavior of uCx43KO Mice
3. Discussion
4. Materials and Methods
4.1. Animals
4.2. Immunohistochemistry of Mouse Bladder
4.3. Tissue Harvesting
4.4. Immunoblotting
4.5. Bladder Distension and Quantification of Luminal ATP Release
4.6. Micturition Analysis
4.7. Statistical Analysis
Author Contributions
Funding
Institutional Review Board Statement
Informed Consent Statement
Data Availability Statement
Acknowledgments
Conflicts of Interest
References
- Miyazato, M.; Sugaya, K.; Nishijima, S.; Oda, M.; Ogawa, Y. A gap junction blocker inhibits isolated whole bladder activity in normal rats and rats with partial bladder outlet obstruction. Biomed. Res. 2006, 27, 203–209. [Google Scholar] [CrossRef]
- Mori, K.; Noguchi, M.; Matsuo, M.; Nomata, K.; Suematsu, T.; Kanetake, H. Decreased cellular membrane expression of gap junctional protein, connexin 43, in rat detrusor muscle with chronic partial bladder outlet obstruction. Urology 2005, 65, 1254–1258. [Google Scholar] [CrossRef]
- Neuhaus, J.; Heinrich, M.; Schwalenberg, T.; Stolzenburg, J.U. TGF-beta1 inhibits Cx43 expression and formation of functional syncytia in cultured smooth muscle cells from human detrusor. Eur. Urol. 2009, 55, 491–497. [Google Scholar] [CrossRef]
- Fry, C.H.; Sui, G.P.; Kanai, A.J.; Wu, C. The function of suburothelial myofibroblasts in the bladder. Neurourol. Urodyn. 2007, 26, 914–919. [Google Scholar] [CrossRef] [PubMed]
- Neuhaus, J.; Pfeiffer, F.; Wolburg, H.; Horn, L.C.; Dorschner, W. Alterations in connexin expression in the bladder of patients with urge symptoms. BJU Int. 2005, 96, 670–676. [Google Scholar] [CrossRef] [PubMed]
- Suadicani, S.O.; Urban-Maldonado, M.; Tar, M.T.; Melman, A.; Spray, D.C. Effects of ageing and streptozotocin-induced diabetes on connexin43 and P2 purinoceptor expression in the rat corpora cavernosa and urinary bladder. BJU Int. 2009, 103, 1686–1693. [Google Scholar] [CrossRef] [PubMed]
- Miyazato, M.; Sugaya, K.; Nishijima, S.; Kadekawa, K.; Machida, N.; Oshiro, Y.; Saito, S. Changes of bladder activity and connexin 43-derived gap junctions after partial bladder-outlet obstruction in rats. Int. Urol. Nephrol. 2009, 41, 815–821. [Google Scholar] [CrossRef]
- Sengiku, A.; Ueda, M.; Kono, J.; Sano, T.; Nishikawa, N.; Kunisue, S.; Tsujihana, K.; Liou, L.S.; Kanematsu, A.; Shimba, S.; et al. Circadian coordination of ATP release in the urothelium via connexin43 hemichannels. Sci. Rep. 2018, 8, 1996. [Google Scholar] [CrossRef]
- Imamura, M.; Negoro, H.; Kanematsu, A.; Yamamoto, S.; Kimura, Y.; Nagane, K.; Yamasaki, T.; Kanatani, I.; Ito, N.; Tabata, Y.; et al. Basic fibroblast growth factor causes urinary bladder overactivity through gap junction generation in the smooth muscle. Am. J. Physiol. Renal. Physiol. 2009, 297, F46–F54. [Google Scholar] [CrossRef]
- Neuhaus, J.; Gonsior, A.; Cheng, S.; Stolzenburg, J.U.; Berger, F.P. Mechanosensitivity Is a Characteristic Feature of Cultured Suburothelial Interstitial Cells of the Human Bladder. Int. J. Mol. Sci. 2020, 21. [Google Scholar] [CrossRef]
- Okinami, T.; Imamura, M.; Nishikawa, N.; Negoro, H.; Sugino, Y.; Yoshimura, K.; Kanematsu, A.; Hashitani, H.; Ogawa, O. Altered detrusor gap junction communications induce storage symptoms in bladder inflammation: A mouse cyclophosphamide-induced model of cystitis. PLoS ONE 2014, 9, e104216. [Google Scholar] [CrossRef] [PubMed][Green Version]
- Negoro, H.; Lutz, S.E.; Liou, L.S.; Kanematsu, A.; Ogawa, O.; Scemes, E.; Suadicani, S.O. Pannexin 1 involvement in bladder dysfunction in a multiple sclerosis model. Sci. Rep. 2013, 3, 2152. [Google Scholar] [CrossRef]
- Dalghi, M.G.; Montalbetti, N.; Carattino, M.D.; Apodaca, G. The Urothelium: Life in a Liquid Environment. Physiol. Rev. 2020, 100, 1621–1705. [Google Scholar] [CrossRef]
- Merrill, L.; Gonzalez, E.J.; Girard, B.M.; Vizzard, M.A. Receptors, channels, and signalling in the urothelial sensory system in the bladder. Nat. Rev. Urol. 2016, 13, 193–204. [Google Scholar] [CrossRef]
- Negoro, H.; Kanematsu, A.; Yoshimura, K.; Ogawa, O. Chronobiology of micturition: Putative role of the circadian clock. J. Urol. 2013, 190, 843–849. [Google Scholar] [CrossRef]
- Negoro, H.; Kanematsu, A.; Doi, M.; Suadicani, S.O.; Matsuo, M.; Imamura, M.; Okinami, T.; Nishikawa, N.; Oura, T.; Matsui, S.; et al. Involvement of urinary bladder Connexin43 and the circadian clock in coordination of diurnal micturition rhythm. Nat. Commun. 2012, 3, 809. [Google Scholar] [CrossRef]
- Zhang, X.; Yao, J.; Gao, K.; Chi, Y.; Mitsui, T.; Ihara, T.; Sawada, N.; Kamiyama, M.; Fan, J.; Takeda, M. AMPK Suppresses Connexin43 Expression in the Bladder and Ameliorates Voiding Dysfunction in Cyclophosphamide-induced Mouse Cystitis. Sci. Rep. 2016, 6, 19708. [Google Scholar] [CrossRef]
- Ihara, T.; Mitsui, T.; Nakamura, Y.; Kira, S.; Nakagomi, H.; Sawada, N.; Hirayama, Y.; Shibata, K.; Shigetomi, E.; Shinozaki, Y.; et al. Clock Genes Regulate the Circadian Expression of Piezo1, TRPV4, Connexin26, and VNUT in an Ex Vivo Mouse Bladder Mucosa. PLoS ONE 2017, 12, e0168234. [Google Scholar] [CrossRef] [PubMed]
- Haefliger, J.A.; Tissières, P.; Tawadros, T.; Formenton, A.; Bény, J.L.; Nicod, P.; Frey, P.; Meda, P. Connexins 43 and 26 are differentially increased after rat bladder outlet obstruction. Exp. Cell Res. 2002, 274, 216–225. [Google Scholar] [CrossRef] [PubMed]
- Vlaskovska, M.; Kasakov, L.; Rong, W.; Bodin, P.; Bardini, M.; Cockayne, D.A.; Ford, A.P.; Burnstock, G. P2X3 knock-out mice reveal a major sensory role for urothelially released ATP. J. Neurosci. 2001, 21, 5670–5677. [Google Scholar] [CrossRef]
- Gevaert, T.; Vriens, J.; Segal, A.; Everaerts, W.; Roskams, T.; Talavera, K.; Owsianik, G.; Liedtke, W.; Daelemans, D.; Dewachter, I.; et al. Deletion of the transient receptor potential cation channel TRPV4 impairs murine bladder voiding. J. Clin. Investig. 2007, 117, 3453–3462. [Google Scholar] [CrossRef]
- Takezawa, K.; Kondo, M.; Kiuchi, H.; Ueda, N.; Soda, T.; Fukuhara, S.; Takao, T.; Miyagawa, Y.; Tsujimura, A.; Matsumoto-Miyai, K.; et al. Authentic role of ATP signaling in micturition reflex. Sci. Rep. 2016, 6, 19585. [Google Scholar] [CrossRef] [PubMed]
- Birder, L.A.; Nakamura, Y.; Kiss, S.; Nealen, M.L.; Barrick, S.; Kanai, A.J.; Wang, E.; Ruiz, G.; De Groat, W.C.; Apodaca, G.; et al. Altered urinary bladder function in mice lacking the vanilloid receptor TRPV1. Nat. Neurosci. 2002, 5, 856–860. [Google Scholar] [CrossRef] [PubMed]
- Daly, D.; Rong, W.; Chess-Williams, R.; Chapple, C.; Grundy, D. Bladder afferent sensitivity in wild-type and TRPV1 knockout mice. J. Physiol. 2007, 583, 663–674. [Google Scholar] [CrossRef]
- Yoshiyama, M.; Mochizuki, T.; Nakagomi, H.; Miyamoto, T.; Kira, S.; Mizumachi, R.; Sokabe, T.; Takayama, Y.; Tominaga, M.; Takeda, M. Functional roles of TRPV1 and TRPV4 in control of lower urinary tract activity: Dual analysis of behavior and reflex during the micturition cycle. Am. J. Physiol. Renal. Physiol. 2015, 308, F1128–F1134. [Google Scholar] [CrossRef]
- Kanasaki, K.; Yu, W.; von Bodungen, M.; Larigakis, J.D.; Kanasaki, M.; Ayala de la Pena, F.; Kalluri, R.; Hill, W.G. Loss of β1-integrin from urothelium results in overactive bladder and incontinence in mice: A mechanosensory rather than structural phenotype. FASEB J. 2013, 27, 1950–1961. [Google Scholar] [CrossRef]
- Marshall, K.L.; Saade, D.; Ghitani, N.; Coombs, A.M.; Szczot, M.; Keller, J.; Ogata, T.; Daou, I.; Stowers, L.T.; Bönnemann, C.G.; et al. PIEZO2 in sensory neurons and urothelial cells coordinates urination. Nature 2020, 588, 290–295. [Google Scholar] [CrossRef]
- Uhlén, M.; Fagerberg, L.; Hallström, B.M.; Lindskog, C.; Oksvold, P.; Mardinoglu, A.; Sivertsson, Å.; Kampf, C.; Sjöstedt, E.; Asplund, A.; et al. Proteomics. Tissue-based map of the human proteome. Science 2015, 347, 1260419. [Google Scholar] [CrossRef]
- Kar, R.; Batra, N.; Riquelme, M.A.; Jiang, J.X. Biological role of connexin intercellular channels and hemichannels. Arch. Biochem. Biophys. 2012, 524, 2–15. [Google Scholar] [CrossRef]
- Shen, T.H.; Gladoun, N.; Castillo-Martin, M.; Bonal, D.; Domingo-Domenech, J.; Charytonowicz, D.; Cordon-Cardo, C. A BAC-based transgenic mouse specifically expresses an inducible Cre in the urothelium. PLoS ONE 2012, 7, e35243. [Google Scholar] [CrossRef] [PubMed]





Publisher’s Note: MDPI stays neutral with regard to jurisdictional claims in published maps and institutional affiliations. |
© 2021 by the authors. Licensee MDPI, Basel, Switzerland. This article is an open access article distributed under the terms and conditions of the Creative Commons Attribution (CC BY) license (http://creativecommons.org/licenses/by/4.0/).
Share and Cite
Kono, J.; Ueda, M.; Sengiku, A.; Suadicani, S.O.; Ogawa, O.; Negoro, H. Urothelium-Specific Deletion of Connexin43 in the Mouse Urinary Bladder Alters Distension-Induced ATP Release and Voiding Behavior. Int. J. Mol. Sci. 2021, 22, 1594. https://doi.org/10.3390/ijms22041594
Kono J, Ueda M, Sengiku A, Suadicani SO, Ogawa O, Negoro H. Urothelium-Specific Deletion of Connexin43 in the Mouse Urinary Bladder Alters Distension-Induced ATP Release and Voiding Behavior. International Journal of Molecular Sciences. 2021; 22(4):1594. https://doi.org/10.3390/ijms22041594
Chicago/Turabian StyleKono, Jin, Masakatsu Ueda, Atsushi Sengiku, Sylvia O. Suadicani, Osamu Ogawa, and Hiromitsu Negoro. 2021. "Urothelium-Specific Deletion of Connexin43 in the Mouse Urinary Bladder Alters Distension-Induced ATP Release and Voiding Behavior" International Journal of Molecular Sciences 22, no. 4: 1594. https://doi.org/10.3390/ijms22041594
APA StyleKono, J., Ueda, M., Sengiku, A., Suadicani, S. O., Ogawa, O., & Negoro, H. (2021). Urothelium-Specific Deletion of Connexin43 in the Mouse Urinary Bladder Alters Distension-Induced ATP Release and Voiding Behavior. International Journal of Molecular Sciences, 22(4), 1594. https://doi.org/10.3390/ijms22041594

