Aroylhydrazone Diorganotin Complexes Causes DNA Damage and Apoptotic Cell Death: From Chemical Synthesis to Biochemical Effects
Abstract
:1. Introduction
2. Results
2.1. Synthesis
2.2. Spectroscopic Data Discussion
2.3. Crystal Structure
2.4. Anticancer Studies
2.5. Cell Apoptosis Analysis
2.6. Cell Cycle Distribution Analysis
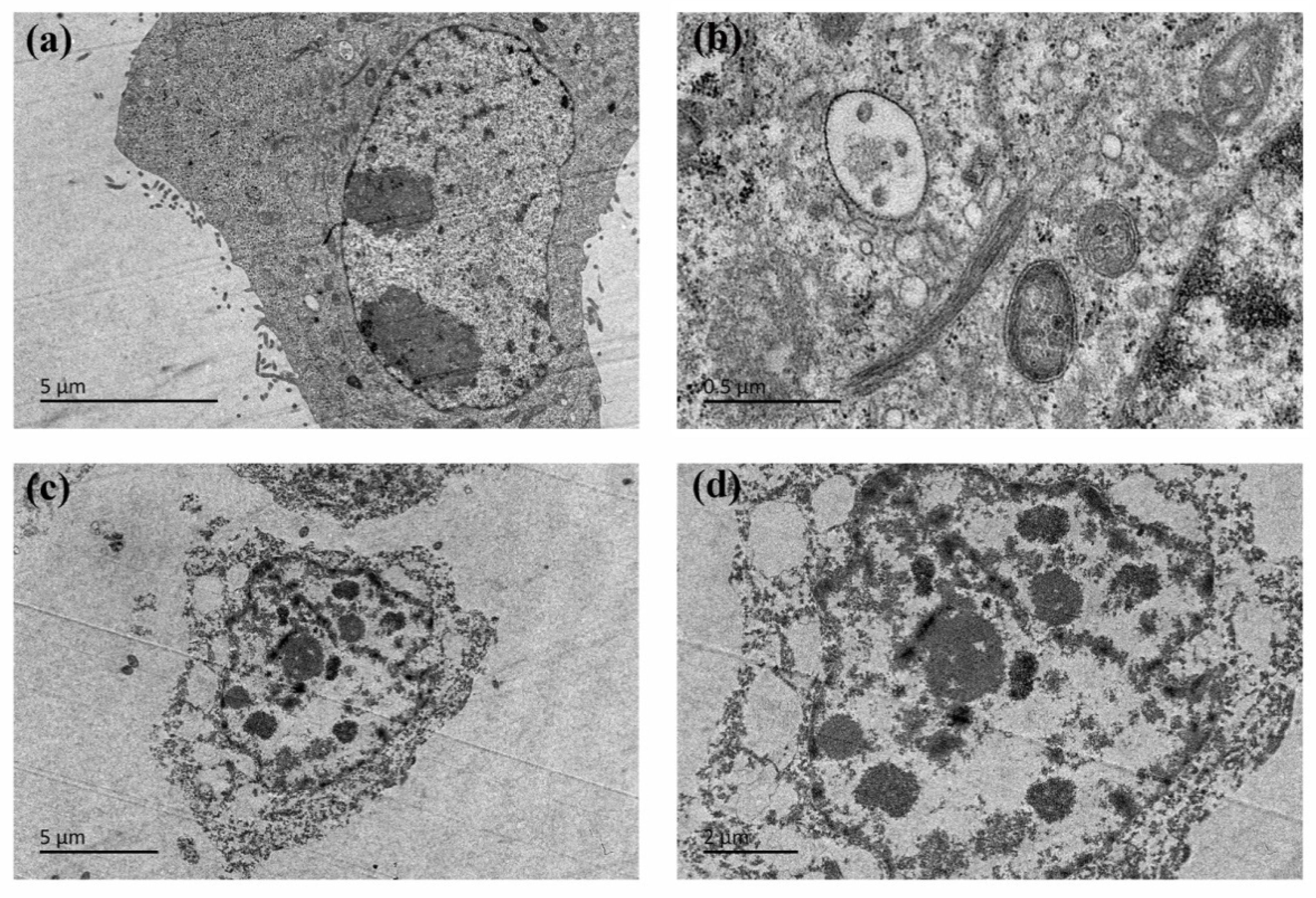
2.7. TEM Observation of Cell Morphology
2.8. Western Blotting
2.9. Comet Assay
2.10. DNA-Binding Studies
2.10.1. UV–Visible Absorption Spectrometry
2.10.2. Fluorescence Competitive Study
2.10.3. Viscosity Measurements
2.10.4. Gel Electrophoresis Studies
2.10.5. Molecular Docking
3. Experimental
3.1. Materials and Methods
3.2. Synthesis
3.2.1. Diphenyltin-2-(2-benzoylhydrazono) Butyrate (1a)
3.2.2. Dibutyltin-2-(2-benzoylhydrazono) Butyrate (1b)
3.2.3. Diphenyltin-2-(2-(2-hydroxylbenzoyl)hydrazono)butyrate (2a)
3.2.4. Dibutyltin-2-(2-(2-hydroxylbenzoyl)hydrazono)butyrate (2b)
3.2.5. Diphenyltin-2-(2-(4-hydroxylbenzoyl)hydrazono)butyrate (3a)
3.2.6. Dibutyltin-2-(2-(4-hydroxylbenzoyl)hydrazono)butyrate (3b)
3.2.7. Diphenyltin-2-(2-(4-methylbenzoyl)hydrazono)butyrate (4a)
3.2.8. Dibutyltin-2-(2-(4-methylbenzoyl)hydrazono)butyrate (4b)
3.2.9. Diphenyltin-2-(2-(4-methoxybenzoyl)hydrazono)butyrate (5a)
3.2.10. Dibutyltin-2-(2-(4-methoxybenzoyl)hydrazono)butyrate (5b)
3.2.11. Diphenyltin-2-(2-(4-tert-butylbenzoyl)hydrazono)butyrate (6a)
3.2.12. Dibutyltin-2-(2-(4-tert-butylbenzoyl)hydrazono)butyrate (6b)
3.2.13. Diphenyltin-2-(2-(4-nitrobenzoyl)hydrazono)butyrate (7a)
3.2.14. Dibutyltin-2-(2-(4-nitrobenzoyl)hydrazono)butyrate (7b)
3.2.15. Diphenyltin-2-(2-furoylhydrazono)butyrate (8a)
3.2.16. Dibutyltin-2-(2-furoylhydrazono)butyrate (8b)
3.2.17. Diphenyltin-2-(2-thienoylhydrazono)butyrate (9a)
3.2.18. Dibutyltin-2-(2-thienoylhydrazono)butyrate (9b)
3.3. Single Crystal Structure Determination
3.4. In Vitro Anticancer Activity
3.5. Cell Apoptosis Assay
3.6. Cell Cycle Analysis
3.7. Transmission Electron Microscope (TEM)
3.8. Western Blot Analysis
3.9. Comet Assay
3.10. DNA-Binding Studies
3.10.1. UV–Visible Absorption Spectrometry
3.10.2. Fluorescence Competitive Study
3.10.3. Viscosity Measurements
3.10.4. Gel Electrophoresis Studies
3.10.5. Molecular Docking
4. Conclusions
Supplementary Materials
Author Contributions
Funding
Institutional Review Board Statement
Informed Consent Statement
Conflicts of Interest
References
- Rosenberg, B.; Vancamp, L.; Trosko, J.E.; Mansour, V.H. Platinum Compounds: A New Class of Potent Antitumour Agents. Nature 1969, 222, 385–386. [Google Scholar] [CrossRef] [PubMed]
- Dasari, S.; Bernard Tchounwou, P. Cisplatin in cancer therapy: Molecular mechanisms of action. Eur. J. Pharmacol. 2014, 740, 364–378. [Google Scholar] [CrossRef] [Green Version]
- Dehghanpour, S.; Pourzamani, H.R.; Amin, M.M.; Ebrahimpour, K. Evaluation of toxic effects of platinum-based antineoplastic drugs (cisplatin, carboplatin and oxaliplatin) on green alga Chlorella vulgaris. Aquat. Toxicol. 2020, 223, 105495. [Google Scholar] [CrossRef] [PubMed]
- Allen, C.M.; Lopes, F.; Mitchell, R.T.; Spears, N. Comparative gonadotoxicity of the chemotherapy drugs cisplatin and carboplatin on prepubertal mouse gonads. Mol. Hum. Reprod. 2020, 26, 129–140. [Google Scholar] [CrossRef] [Green Version]
- Zhao, P.; Li, M.; Chen, Y.; He, C.; Zhang, X.; Fan, T.; Yang, T.; Lu, Y.; Lee, R.J.; Ma, X.; et al. Selenium-doped calcium carbonate nanoparticles loaded with cisplatin enhance efficiency and reduce side effects. Int. J. Pharm. 2019, 570, 118638. [Google Scholar] [CrossRef]
- Karasawa, T.; Steyger, P.S. An integrated view of cisplatin-induced nephrotoxicity and ototoxicity. Toxicol. Lett. 2015, 237, 219–227. [Google Scholar] [CrossRef] [PubMed] [Green Version]
- Rajeswaran, A.; Trojan, A.; Burnand, B.; Giannelli, M. Efficacy and side effects of cisplatin- and carboplatin-based doublet chemotherapeutic regimens vs. non-platinum-based doublet chemotherapeutic regimens as first line treatment of metastatic non-small cell lung carcinoma: A systematic review of randomized controlled trials. Lung Cancer J. Iaslc. 2008, 59, 1–11. [Google Scholar]
- Lin, Y.; Betts, H.; Keller, S.; Cariou, K.; Gasser, G. Recent developments of metal-based compounds against fungal pathogens. Chem. Soc. Rev. 2021, 50, 10346–10402. [Google Scholar] [CrossRef] [PubMed]
- Li, Y.; Liu, B.; Shi, H.; Wang, Y.; Sun, Q.; Zhang, Q. Metal complexes against breast cancer stem cells. Dalton Trans. 2021, 50, 14498–14512. [Google Scholar] [CrossRef] [PubMed]
- Sang, Y.L.; Kim, C.Y.; Nam, T.G. Ruthenium Complexes as Anticancer Agents: A Brief History and Perspectives. Drug Des. Dev. Ther. 2020, 14, 5375–5392. [Google Scholar]
- Notaro, A.; Jakubaszek, M.; Koch, S.; Rubbiani, R.; Dömötör, O.; Enyedy, É.A.; Dotou, M.; Bedioui, F.; Tharaud, M.; Goud, B.; et al. A Maltol-Containing Ruthenium Polypyridyl Complex as a Potential Anticancer Agent. Chem. Eur. J. 2020, 26, 4997–5009. [Google Scholar] [CrossRef] [PubMed]
- Rocco, D.; Batchelor, L.K.; Agonigi, G.; Braccini, S.; Chiellini, F.; Schoch, S.; Biver, T.; Funaioli, T.; Zacchini, S.; Biancalana, L.; et al. Anticancer Potential of Diiron Vinyliminium Complexes. Chem. Eur. J. 2019, 25, 14801–14816. [Google Scholar] [CrossRef]
- Wang, C.; Liu, J.; Tian, Z.; Tian, M.; Tian, L.; Zhao, W.; Liu, Z. Half-sandwich iridium N-heterocyclic carbene anticancer complexes. Dalton Trans. 2017, 46, 6870–6883. [Google Scholar] [CrossRef]
- Kaluđerović, M.R.; Gómez-Ruiz, S.; Gallego, B.; Hey-Hawkins, E.; Paschke, R.; Kaluđerović, G.N. Anticancer activity of dinuclear gallium(III) carboxylate complexes. Eur. J. Med. Chem. 2010, 45, 519–525. [Google Scholar] [CrossRef] [PubMed]
- Syed Annuar, S.N.; Kamaludin, N.F.; Awang, N.; Chan, K.M. Cellular Basis of Organotin(IV) Derivatives as Anticancer Metallodrugs: A Review. Front. Chem. 2021, 9, 657599. [Google Scholar] [CrossRef] [PubMed]
- Jai, D.; Jyoti, Y. Recent Advancements in Organotin(IV) Complexes as Potential Anticancer Agents. Anti Cancer Agents Med. Chem. 2018, 18, 335–353. [Google Scholar]
- Carraher, C.E.; Roner, M.R. Organotin polymers as anticancer and antiviral agents. J. Organomet. Chem. 2014, 751, 67–82. [Google Scholar] [CrossRef]
- Devi, J.; Yadav, J.; Kumar, D.; Jindal, D.K.; Basu, B. Synthesis, spectral analysis and in vitro cytotoxicity of diorganotin (IV) complexes derived from indole-3-butyric hydrazide. Appl. Organomet. Chem. 2020, 34, e5815. [Google Scholar] [CrossRef]
- Attanzio, A.; Ippolito, M.; Girasolo, M.A.; Saiano, F.; Rotondo, A.; Rubino, S.; Mondello, L.; Capobianco, M.L.; Sabatino, P.; Tesoriere, L.; et al. Anti-cancer activity of di- and tri-organotin(IV) compounds with D-(+)-Galacturonic acid on human tumor cells. J. Inorg. Biochem. 2018, 188, 102–112. [Google Scholar] [CrossRef]
- Stathopoulou, M.; Zoupanou, N.; Banti, C.; Douvalis, A.P.; Hadjikakou, S.K. Organotin derivatives of cholic acid induce apoptosis into breast cancer cells and interfere with mitochondrion; Synthesis, characterization and biological evaluation. Steroids 2021, 167, 108798. [Google Scholar] [PubMed]
- Pantelić, N.Đ.; Zmejkovski, B.B.; Božić, B.; Dojčinović, B.; Banjac, N.R.; Wessjohann, L.A.; Kaluđerović, G.N. Synthesis, characterization and in vitro biological evaluation of novel organotin(IV) compounds with derivatives of 2-(5-arylidene-2,4-dioxothiazolidin-3-yl)propanoic acid. J. Inorg. Biochem. 2020, 211, 111207. [Google Scholar] [CrossRef] [PubMed]
- Ullah, H.; Previtali, V.; Mihigo, H.B.; Twamley, B.; Rauf, M.; Javed, F.; Waseem, A.; Baker, R.J.; Rozas, I. Structure-activity relationships of new Organotin(IV) anticancer agents and their cytotoxicity profile on HL-60, MCF-7 and HeLa human cancer cell lines. Eur. J. Med. Chem. 2019, 181, 111544. [Google Scholar] [CrossRef] [PubMed]
- Jiang, W.; Fan, S.; Zhou, Q.; Zhang, F.; Kuang, D.; Tan, Y. Diversity of complexes based on p-nitrobenzoylhydrazide, benzoylformic acid and diorganotin halides or oxides self-assemble: Cytotoxicity, the induction of apoptosis in cancer cells and DNA-binding properties. Bioorg. Chem. 2020, 94, 103402. [Google Scholar] [CrossRef]
- Yousefi, M.; Sedaghat, T.; Simpson, J.; Shafiei, M. Bis-aroylhydrazone based on 2,2′-bis substituted diphenylamine for synthesis of new binuclear organotin (IV) complexes: Spectroscopic characterization, crystal structures, in vitro DNA-binding, plasmid DNA cleavage, PCR and cytotoxicity against MCF7 cell line. Appl. Organomet. Chem. 2019, 33, e5137. [Google Scholar]
- Mehmood, M.; Din, I.-u.; Tahir, M.N.; Haq, I.U.; Zahra, S.S. Synthetic stratagem, characterization and biocidal applications of triorganotin(IV) complexes derived from hydrazide/hydrazone analogues. Inorg. Chim. Acta 2019, 486, 387–394. [Google Scholar] [CrossRef]
- Jiang, W.J.; Zhou, Q.; Liu, M.Q.; Zhang, F.X.; Kuang, D.Z.; Tan, Y.X. Microwave assisted synthesis of disubstituted benzyltin arylformylhydrazone complexes: Anticancer activity and DNA-binding properties. Appl. Organomet. Chem. 2019, 33, e5092. [Google Scholar] [CrossRef]
- Vieriu, S.M.; Somesan, A.A.; Silvestru, C.; Licarete, E.; Banciu, M.; Varga, R.A. Synthesis, structural characterization and in vitro antiproliferative effects of novel organotin(iv) compounds with nicotinate and isonicotinate moieties on carcinoma cells. New J. Chem. 2021, 45, 1020–1028. [Google Scholar] [CrossRef]
- Canton-Diaz, A.M.; Munoz-Flores, B.M.; Moggio, I.; Arias, E.; De Leon, A.; Garcia-Lopez, M.C.; Santillan, R.; Ochoa, M.E.; Jimenez-Perez, V.M. One-pot microwave-assisted synthesis of organotin Schiff bases: An optical and electrochemical study towards their effects in organic solar cells. New J. Chem. 2018, 42, 14586–14596. [Google Scholar] [CrossRef]
- Garcia-Lopez, M.C.; Munoz-Flores, B.M.; Chan-Navarro, R.; Jimenez-Perez, V.M.; Moggio, I.; Arias, E.; Rodriguez-Ortega, A.; Ochoa, M.E. Microwave-assisted synthesis, third-order nonlinear optical properties, voltammetry cyclic and theoretical calculations of organotin compounds bearing push-pull Schiff bases. J. Organomet. Chem. 2016, 806, 68–76. [Google Scholar] [CrossRef]
- Ullah, H.; Twamley, B.; Waseem, A.; Khawar Rauf, M.; Tahir, M.N.; Platts, J.A.; Baker, R.J. Tin… Oxygen Tetrel Bonding: A Combined Structural, Spectroscopic, and Computational Study. Cryst. Growth Des. 2017, 17, 4021–4027. [Google Scholar] [CrossRef]
- Nath, M.; Saini, P.K. Chemistry and applications of organotin(iv) complexes of Schiff bases. Dalton. Trans. 2011, 40, 7077–7121. [Google Scholar] [CrossRef]
- Chun-Lin, M.; Feng, L. Synthesis and Crystal Structures of Three Ladder Distannoxane Dimers [(PhCH2)2(Cl)SnOSn(X) (CH2Ph)2]2 (X = Cl, OMe, OEt). Chin. J. Chem. 2003, 21, 146–152. [Google Scholar] [CrossRef]
- Jiang, W.J.; Mo, T.Z.; Zhang, F.X.; Kuang, D.Z.; Tan, Y.X. Syntheses, crystal structures and in vitro anticancer activities of dibenzyltin compounds based on the N-(2-phenylacetic acid)-aroyl hydrazone. Chin. J. Struct. Chem. 2020, 39, 673–681. [Google Scholar]
- Rafi, U.M.; Mahendiran, D.; Devi, V.G.; Doble, M.; Rahiman, A.K. Pyridazine-based heteroleptic copper(II) complexes as potent anticancer drugs by inducing apoptosis and S-phase arrest in breast cancer cell. Inorg. Chim. Acta 2018, 482, 160–169. [Google Scholar] [CrossRef]
- Qin, J.L.; Shen, W.Y.; Chen, Z.F.; Zhao, L.F.; Qin, Q.P.; Yu, Y.C.; Liang, H. Oxoaporphine Metal Complexes (CoII, NiII, ZnII) with High Antitumor Activity by Inducing Mitochondria-Mediated Apoptosis and S-phase Arrest in HepG2. Sci. Rep. 2017, 7, 46056. [Google Scholar] [CrossRef] [Green Version]
- Fan, C.; Wu, Q.; Chen, T.; Zhang, Y.; Zheng, W.; Wang, Q.; Mei, W. Arene ruthenium(ii) complexes induce S-phase arrest in MG-63 cells through stabilization of c-Myc G-quadruplex DNA. Med. Chem. Comm. 2014, 5, 597–602. [Google Scholar] [CrossRef]
- Zhang, Z.; Chen, Z.; Liu, R.; Liang, Q.; Peng, Z.; Yin, S.; Tang, J.; Gong, T.; Liu, Y. Bcl-2 Proteins Regulate Mitophagy in Lipopolysaccharide-Induced Acute Lung Injury via PINK1/Parkin Signaling Pathway. Oxid. Med. Cell. Longev. 2020, 2020, 6579696. [Google Scholar] [CrossRef] [PubMed] [Green Version]
- Mandegani, Z.; Asadi, Z.; Asadi, M.; Karbalaei-Heidari, H.R.; Rastegari, B. Synthesis, characterization, DNA binding, cleavage activity, cytotoxicity and molecular docking of new nano water-soluble [M(5-CH2PPh3-3,4-salpyr)](ClO4)2 (M = Ni, Zn) complexes. Dalton Trans. 2016, 45, 6592–6611. [Google Scholar] [CrossRef] [PubMed]
- Li, T.R.; Yang, Z.Y.; Wang, B.D.; Qin, D.D. Synthesis, characterization, antioxidant activity and DNA-binding studies of two rare earth(III) complexes with naringenin-2-hydroxy benzoyl hydrazone ligand. Eur. J. Med. Chem. 2008, 43, 1688–1695. [Google Scholar] [CrossRef]
- Wang, X.L.; Chao, H.; Li, H.; Hong, X.L.; Liu, Y.J.; Tan, L.F.; Ji, L.N. DNA interactions of cobalt(III) mixed-polypyridyl complexes containing asymmetric ligands. J. Inorg. Biochem. 2004, 98, 1143–1150. [Google Scholar] [CrossRef]
- Nath, M.; Mridula; Kumari, R. Microwave-assisted synthesis of mixed ligands organotin(IV) complexes of 1,10-phenanthroline and l-proline: Physicochemical characterization, DFT calculations, chemotherapeutic potential validation by in vitro DNA binding and nuclease activity. J. Photochem. Photobiol. B 2017, 174, 182–194. [Google Scholar] [CrossRef] [PubMed]
- Sallam, S.A.; Abbas, A.M. Ni(II) complexes of arginine Schiff-bases and its interaction with DNA. J. Lumin. 2013, 136, 212–220. [Google Scholar] [CrossRef]
- Arjmand, F.; Yousuf, I. Synthesis, characterization and in vitro DNA binding of chromone Schiff base organotin(IV) complexes. J. Organomet. Chem. 2013, 743, 55–62. [Google Scholar] [CrossRef]
- Zhao, Y.; Li, Z.; Li, H.; Wang, S.; Niu, M. Synthesis, crystal structure, DNA binding and in vitro cytotoxicity studies of Zn(II) complexes derived from amino-alcohol Schiff-bases. Inorg. Chim. Acta 2018, 482, 136–143. [Google Scholar] [CrossRef]
- El-Deen, I.M.; Shoair, A.F.; El-Bindary, M.A. Synthesis, structural characterization, molecular docking and DNA binding studies of copper complexes. J. Mol. Liq. 2018, 249, 533–545. [Google Scholar] [CrossRef]
- Sheldrick, G.M. SHELXL-97, A Program for Crystal Structure Refinement; University of Geöttingen: Geöttingen, Germany, 1997. [Google Scholar]
- Farrugia, L.J. WINGX: A Windows Program for Crystal Structure Analysis; University of Glasgow: Glasgow, Scotland, 1988. [Google Scholar]
- Pyle, A.M.; Rehmann, J.P.; Meshoyrer, R.; Kumar, C.V.; Turro, N.J.; Barton, J.K. Mixed-ligand complexes of ruthenium(II): Factors governing binding to DNA. J. Am. Chem. Soc. 1989, 111, 3051–3058. [Google Scholar] [CrossRef]
- Tan, C.; Liu, J.; Chen, L.; Shi, S.; Ji, L. Synthesis, structural characteristics, DNA binding properties and cytotoxicity studies of a series of Ru(III) complexes. J. Inorg. Biochem. 2008, 102, 1644–1653. [Google Scholar] [CrossRef]









| Complex | IC50/μM | |||
|---|---|---|---|---|
| MCF-7 | HepG2 | NCI-H460 | HL-7702 | |
| 1a | 3.85 ± 0.29 | 8.19 ± 0.21 | 9.47 ± 0.31 | |
| 1b | 1.39 ± 0.04 | 3.18 ± 0.23 | 4.38 ± 0.29 | |
| 2a | 3.97 ± 0.20 | 8.99 ± 0.35 | 7.84 ± 0.26 | |
| 2b | 1.29 ± 0.05 | 3.02 ± 0.12 | 4.19 ± 0.16 | |
| 3a | 3.77 ± 0.16 | 7.25 ± 0.17 | 7.47 ± 0.24 | |
| 3b | 1.18 ± 0.07 | 3.07 ± 0.10 | 5.15 ± 0.28 | |
| 4a | 3.00 ± 0.09 | 5.34 ± 0.11 | 5.48 ± 0.16 | |
| 4b | 0.47 ± 0.04 | 3.00 ± 0.25 | 3.50 ± 0.28 | 7.31 ± 0.61 (15.6) a |
| 5a | 4.36 ± 0.20 | 7.22 ± 0.12 | 6.88 ± 0.20 | |
| 5b | 0.66 ± 0.05 | 3.78 ± 0.24 | 4.38 ± 0.13 | |
| 6a | 4.91 ± 0.07 | 6.27 ± 0.16 | 6.08 ± 0.42 | |
| 6b | 1.50 ± 0.21 | 3.06 ± 0.11 | 4.24 ± 0.26 | |
| 7a | 2.61 ± 0.33 | 5.91 ± 0.17 | 8.30 ± 0.32 | |
| 7b | 1.06 ± 0.09 | 3.57 ± 0.19 | 5.25 ± 0.31 | |
| 8a | 5.65 ± 0.17 | 8.38 ± 0.15 | 9.93 ± 0.28 | |
| 8b | 1.11 ± 0.07 | 2.94 ± 0.09 | 5.26 ± 0.13 | |
| 9a | 5.38 ± 0.22 | 8.42 ± 0.36 | 7.00 ± 0.24 | |
| 9b | 1.32 ± 0.05 | 3.09 ± 0.16 | 5.40 ± 0.38 | |
| Cisplatin | 16.47 ± 1.45 | 17.56 ± 1.84 | 5.63 ± 0.43 | |
Publisher’s Note: MDPI stays neutral with regard to jurisdictional claims in published maps and institutional affiliations. |
© 2021 by the authors. Licensee MDPI, Basel, Switzerland. This article is an open access article distributed under the terms and conditions of the Creative Commons Attribution (CC BY) license (https://creativecommons.org/licenses/by/4.0/).
Share and Cite
Jiang, W.; Tan, Y.; Peng, Y. Aroylhydrazone Diorganotin Complexes Causes DNA Damage and Apoptotic Cell Death: From Chemical Synthesis to Biochemical Effects. Int. J. Mol. Sci. 2021, 22, 13525. https://doi.org/10.3390/ijms222413525
Jiang W, Tan Y, Peng Y. Aroylhydrazone Diorganotin Complexes Causes DNA Damage and Apoptotic Cell Death: From Chemical Synthesis to Biochemical Effects. International Journal of Molecular Sciences. 2021; 22(24):13525. https://doi.org/10.3390/ijms222413525
Chicago/Turabian StyleJiang, Wujiu, Yuxing Tan, and Yiyuan Peng. 2021. "Aroylhydrazone Diorganotin Complexes Causes DNA Damage and Apoptotic Cell Death: From Chemical Synthesis to Biochemical Effects" International Journal of Molecular Sciences 22, no. 24: 13525. https://doi.org/10.3390/ijms222413525
APA StyleJiang, W., Tan, Y., & Peng, Y. (2021). Aroylhydrazone Diorganotin Complexes Causes DNA Damage and Apoptotic Cell Death: From Chemical Synthesis to Biochemical Effects. International Journal of Molecular Sciences, 22(24), 13525. https://doi.org/10.3390/ijms222413525
