Inhibition of Prostaglandin F2α Receptors Exaggerates HCl-Induced Lung Inflammation in Mice
Abstract
:1. Introduction
2. Results
2.1. Inhibition of FP Receptors Exaggerated HCl-Induced ALI
2.2. FP Receptor Antagonist Promoted Gene Expression of Pro-Inflammatory Mediators
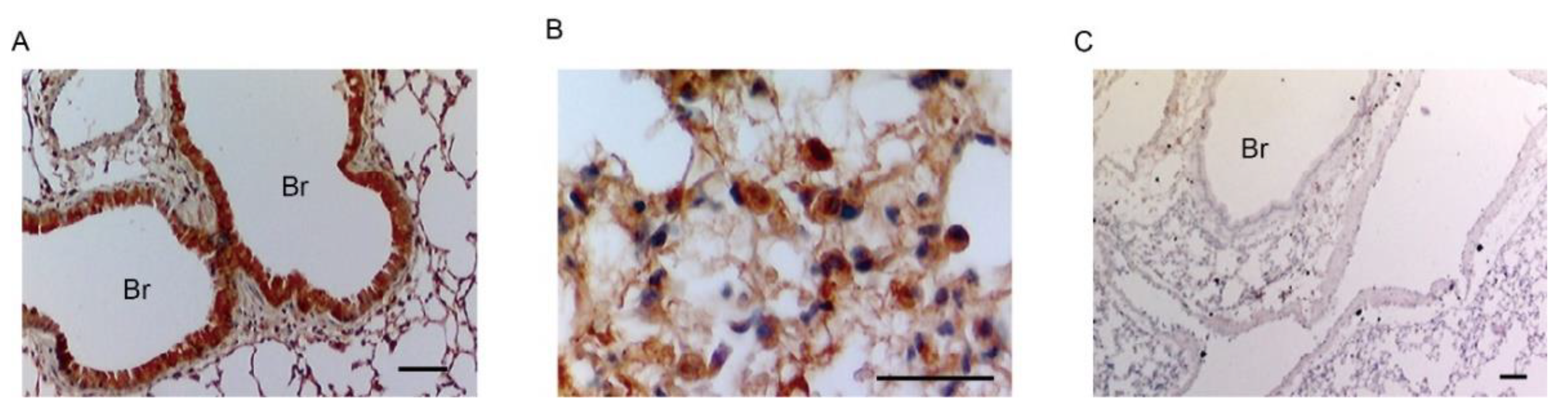
2.3. Bronchial Epithelial Cells and Macrophage-like Cells Expressed FP Receptors
2.4. AL8810 Decreased the Gene Expression of Surfactant Proteins (SFTPs)
2.5. FP Receptor Antagonist Enhanced Lung Edema
2.6. AL8810 Promoted the Gene Expression of Adhesion Molecules
3. Discussion
4. Conclusions
5. Materials and Methods
5.1. Mouse Model
5.2. Measurement of Saturation of Peripheral Oxygen (SpO2)
5.3. RNA Extraction and Quantitative PCR (qPCR)
5.4. Calculation of Lung Wet/Dry Weight Ratio
5.5. Cell Counting and Cell Differentiation in BALF
5.6. Measurement of PGF2α and PGE2 Levels
5.7. Immunostaining
5.8. Cell Culture
5.9. Statistical Analysis
Supplementary Materials
Author Contributions
Funding
Institutional Review Board Statement
Informed Consent Statement
Data Availability Statement
Conflicts of Interest
References
- Zhu, N.; Zhang, D.; Wang, W.; Li, X.; Yang, B.; Song, J.; Zhao, X.; Huang, B.; Shi, W.; Lu, R.; et al. A novel coronavirus from patients with pneumonia in China, 2019. N. Engl. J. Med. 2020, 382, 727–733. [Google Scholar] [CrossRef]
- Krammer, F. SARS-CoV-2 vaccines in development. Nature 2020, 586, 516–527. [Google Scholar] [CrossRef]
- Ware, L.B.; Matthay, M.A. The acute respiratory distress syndrome. N. Engl. J. Med. 2000, 342, 1334–1349. [Google Scholar] [CrossRef]
- Johnson, E.R.; Matthay, M.A. Acute lung injury: Epidemiology, pathogenesis, and treatment. J. Aerosol. Med. Pulm. Drug Deliv. 2010, 23, 243–252. [Google Scholar] [CrossRef] [PubMed]
- Bellani, G.; Laffey, J.G.; Pham, T.; Fan, E.; Brochard, L.; Esteban, A.; Gattinoni, L.; van Haren, F.; Larsson, A.; McAuley, D.F.; et al. Epidemiology, patterns of care, and mortality for patients with acute respiratory distress syndrome in intensive care units in 50 countries. JAMA 2016, 315, 788–800. [Google Scholar] [CrossRef]
- Fowler, A.A., 3rd; Truwit, J.D.; Hite, R.D.; Morris, P.E.; DeWilde, C.; Priday, A.; Fisher, B.; Thacker, L.R., 2nd; Natarajan, R.; Brophy, D.F.; et al. Effect of vitamin C infusion on organ failure and biomarkers of inflammation and vascular injury in patients with sepsis and severe acute respiratory failure: The CITRIS-ALI randomized clinical trial. JAMA 2019, 322, 1261–1270. [Google Scholar] [CrossRef] [PubMed]
- Matthay, M.A.; Brower, R.G.; Carson, S.; Douglas, I.S.; Eisner, M.; Hite, D.; Holets, S.; Kallet, R.H.; Liu, K.D.; MacIntyre, N.; et al. Randomized, placebo-controlled clinical trial of an aerosolized β2-agonist for treatment of acute lung injury. Am. J. Respir. Crit. Care Med. 2011, 184, 561–568. [Google Scholar] [PubMed] [Green Version]
- Kadl, A.; Leitinger, N. The role of endothelial cells in the resolution of acute inflammation. Antioxid Redox Signal 2005, 7, 1744–1754. [Google Scholar] [CrossRef]
- Ashbaugh, D.G.; Bigelow, D.B.; Petty, T.L.; Levine, B.E. Acute respiratory distress in adults. Lancet 1967, 2, 319–323. [Google Scholar] [CrossRef]
- Springer, T.A. Adhesion receptors of the immune system. Nature 1990, 346, 425–434. [Google Scholar] [CrossRef]
- Wang, J. Neutrophils in tissue injury and repair. Cell Tissue Res. 2018, 371, 531–539. [Google Scholar] [CrossRef] [PubMed] [Green Version]
- Smith, W.L.; Urade, Y.; Jakobsson, P.J. Enzymes of the cyclooxygenase pathways of prostanoid biosynthesis. Chem. Rev. 2011, 111, 5821–5865. [Google Scholar] [CrossRef] [Green Version]
- Narumiya, S. Physiology and pathophysiology of prostanoid receptors. Proc. Jpn. Acad. Ser. B Phys. Biol. Sci. 2007, 83, 296–319. [Google Scholar] [CrossRef] [PubMed] [Green Version]
- Fukunaga, K.; Kohli, P.; Bonnans, C.; Fredenburgh, L.E.; Levy, B.D. Cyclooxygenase 2 plays a pivotal role in the resolution of acute lung injury. J. Immunol. 2005, 174, 5033–5039. [Google Scholar] [CrossRef]
- Murata, T.; Aritake, K.; Tsubosaka, Y.; Maruyama, T.; Nakagawa, T.; Hori, M.; Hirai, H.; Nakamura, M.; Narumiya, S.; Urade, Y.; et al. Anti-inflammatory role of PGD2 in acute lung inflammation and therapeutic application of its signal enhancement. Proc. Natl. Acad. Sci. USA 2013, 110, 5205–5210. [Google Scholar] [CrossRef] [PubMed] [Green Version]
- White, K.E.; Ding, Q.; Moore, B.B.; Peters-Golden, M.; Ware, L.B.; Matthay, M.A.; Olman, M.A. Prostaglandin E2 mediates IL-1β-related fibroblast mitogenic effects in acute lung injury through differential utilization of prostanoid receptors. J. Immunol. 2008, 180, 637–646. [Google Scholar] [CrossRef] [PubMed] [Green Version]
- Watanabe, K. Recent reports about enzymes related to the synthesis of prostaglandin (PG) F2 (PGF2α and 9α, 11β-PGF2). J. Biochem. 2011, 150, 593–596. [Google Scholar] [CrossRef]
- Wallace, A.E.; Sales, K.J.; Catalano, R.D.; Anderson, R.A.; Williams, A.R.; Wilson, M.R.; Schwarze, J.; Wang, H.; Rossi, A.G.; Jabbour, H.N. Prostaglandin F2α-F-prostanoid receptor signaling promotes neutrophil chemotaxis via chemokine (C-X-C motif) ligand 1 in endometrial adenocarcinoma. Cancer Res. 2009, 69, 5726–5733. [Google Scholar] [CrossRef] [Green Version]
- Oga, T.; Matsuoka, T.; Yao, C.; Nonomura, K.; Kitaoka, S.; Sakata, D.; Kita, Y.; Tanizawa, K.; Taguchi, Y.; Chin, K.; et al. Prostaglandin F2α receptor signaling facilitates bleomycin-induced pulmonary fibrosis independently of transforming growth factor-β. Nat. Med. 2009, 15, 1426–1430. [Google Scholar] [CrossRef]
- Graham, A.C.; Carr, K.D.; Sieve, A.N.; Indramohan, M.; Break, T.J.; Berg, R.E. IL-22 production is regulated by IL-23 during Listeria monocytogenes infection but is not required for bacterial clearance or tissue protection. PLoS ONE 2011, 6, e17171. [Google Scholar] [CrossRef] [PubMed]
- Dudakov, J.A.; Hanash, A.M.; van den Brink, M.R. Interleukin-22: Immunobiology and pathology. Annu. Rev. Immunol. 2015, 33, 747–785. [Google Scholar] [CrossRef] [Green Version]
- Pastva, A.M.; Wright, J.R.; Williams, K.L. Immunomodulatory roles of surfactant proteins A and D: Implications in lung disease. Proc. Am. Thorac. Soc. 2007, 4, 252–257. [Google Scholar] [CrossRef] [PubMed] [Green Version]
- He, J.; Zhao, Y.; Deng, W.; Wang, D.X. Netrin-1 promotes epithelial sodium channel-mediated alveolar fluid clearance via activation of the adenosine 2B receptor in lipopolysaccharide-induced acute lung injury. Respiration 2014, 87, 394–407. [Google Scholar] [CrossRef] [PubMed] [Green Version]
- Jin, B.; Jin, H. Oxymatrine attenuates lipopolysaccharide-induced acute lung injury by activating the epithelial sodium channel and suppressing the JNK signaling pathway. Exp. Anim. 2018, 67, 337–347. [Google Scholar] [CrossRef] [PubMed] [Green Version]
- Turhan, H.; Saydam, G.S.; Erbay, A.R.; Ayaz, S.; Yasar, A.S.; Aksoy, Y.; Basar, N.; Yetkin, E. Increased plasma soluble adhesion molecules; ICAM-1, VCAM-1, and E-selectin levels in patients with slow coronary flow. Int. J. Cardiol. 2006, 108, 224–230. [Google Scholar] [CrossRef] [PubMed]
- Simon, S.I.; Hu, Y.; Vestweber, D.; Smith, C.W. Neutrophil tethering on E-selectin activates β2 integrin binding to ICAM-1 through a mitogen-activated protein kinase signal transduction pathway. J. Immunol. 2000, 164, 4348–4358. [Google Scholar] [CrossRef] [PubMed] [Green Version]
- Maca, J.; Jor, O.; Holub, M.; Sklienka, P.; Bursa, F.; Burda, M.; Janout, V.; Sevcik, P. Past and present ARDS mortality rates: A systematic review. Respir. Care 2017, 62, 113–122. [Google Scholar] [CrossRef] [PubMed] [Green Version]
- Matute-Bello, G.; Frevert, C.W.; Martin, T.R. Animal models of acute lung injury. Am. J. Physiol. Lung Cell. Mol. Physiol. 2008, 295, L379–L399. [Google Scholar] [CrossRef] [Green Version]
- Hudson, L.D.; Milberg, J.A.; Anardi, D.; Maunder, R.J. Clinical risks for development of the acute respiratory distress syndrome. Am. J. Respir. Crit. Care Med. 1995, 151, 293–301. [Google Scholar] [CrossRef]
- Potey, P.M.; Rossi, A.G.; Lucas, C.D.; Dorward, D.A. Neutrophils in the initiation and resolution of acute pulmonary inflammation: Understanding biological function and therapeutic potential. J. Pathol. 2019, 247, 672–685. [Google Scholar] [CrossRef]
- Silvestre-Roig, C.; Hidalgo, A.; Soehnlein, O. Neutrophil heterogeneity: Implications for homeostasis and pathogenesis. Blood 2016, 127, 2173–2181. [Google Scholar] [CrossRef] [PubMed] [Green Version]
- Lawson, C.; Wolf, S. ICAM-1 signaling in endothelial cells. Pharmacol. Rep. 2009, 61, 22–32. [Google Scholar] [CrossRef]
- Roche, W.R.; Montefort, S.; Baker, J.; Holgate, S.T. Cell adhesion molecules and the bronchial epithelium. Am. Rev. Respir. Dis. 1993, 148, 79–82. [Google Scholar] [CrossRef] [PubMed]
- Veldhuizen, E.J.; Haagsman, H.P. Role of pulmonary surfactant components in surface film formation and dynamics. Biochim. Biophys. Acta 2000, 1467, 255–270. [Google Scholar] [CrossRef] [Green Version]
- Gunther, A.; Ruppert, C.; Schmidt, R.; Markart, P.; Grimminger, F.; Walmrath, D.; Seeger, W. Surfactant alteration and replacement in acute respiratory distress syndrome. Respir. Res. 2001, 2, 353–364. [Google Scholar] [CrossRef] [PubMed] [Green Version]
- Currier, P.F.; Gong, M.N.; Zhai, R.; Pothier, L.J.; Boyce, P.D.; Xu, L.; Yu, C.L.; Thompson, B.T.; Christiani, D.C. Surfactant protein-B polymorphisms and mortality in the acute respiratory distress syndrome. Crit. Care Med. 2008, 36, 2511–2516. [Google Scholar] [CrossRef] [Green Version]
- Dunbar, A.E., 3rd; Wert, S.E.; Ikegami, M.; Whitsett, J.A.; Hamvas, A.; White, F.V.; Piedboeuf, B.; Jobin, C.; Guttentag, S.; Nogee, L.M. Prolonged survival in hereditary surfactant protein B (SP-B) deficiency associated with a novel splicing mutation. Pediatr. Res. 2000, 48, 275–282. [Google Scholar] [CrossRef] [Green Version]
- Liu, Y.; Beyer, A.; Aebersold, R. On the dependency of cellular protein levels on mRNA abundance. Cell 2016, 165, 535–550. [Google Scholar] [CrossRef] [PubMed] [Green Version]
- Gygi, S.P.; Rochon, Y.; Franza, B.R.; Aebersold, R. Correlation between protein and mRNA abundance in yeast. Mol. Cell Biol. 1999, 19, 1720–1730. [Google Scholar] [CrossRef] [Green Version]
- Han, S.; Mallampalli, R.K. The acute respiratory distress syndrome: From mechanism to translation. J. Immunol. 2015, 194, 855–860. [Google Scholar] [CrossRef] [Green Version]
- Maehara, T.; Fujimori, K. Contribution of FP receptors in M1 macrophage polarization via IL-10-regulated nuclear translocation of NF-kB p65. Biochim. Biophys. Acta Mol. Cell Biol. Lipids 2020, 1865, 158654. [Google Scholar] [CrossRef] [PubMed]
- Deng, W.; Li, C.Y.; Tong, J.; Zhang, W.; Wang, D.X. Regulation of ENaC-mediated alveolar fluid clearance by insulin via PI3K/Akt pathway in LPS-induced acute lung injury. Respir. Res. 2012, 13, 29. [Google Scholar] [CrossRef] [PubMed] [Green Version]
- Wang, S.; Meng, F.; Xu, J.; Gu, Y. Effects of lipids on ENaC activity in cultured mouse cortical collecting duct cells. J. Membr. Biol. 2009, 227, 77–85. [Google Scholar] [CrossRef]
- Sugimoto, Y.; Yamasaki, A.; Segi, E.; Tsuboi, K.; Aze, Y.; Nishimura, T.; Oida, H.; Yoshida, N.; Tanaka, T.; Katsuyama, M.; et al. Failure of parturition in mice lacking the prostaglandin F receptor. Science 1997, 277, 681–683. [Google Scholar] [CrossRef] [PubMed]






| Gene | Forward | Reverse | Product Length (bp) |
|---|---|---|---|
| COX-2 | GATGCTCTTCCGAGCTGTG | GGATTGGAACAGCAAGGATTT | 75 |
| IFN-γ | GCGTCATTGAATCACACCTG | TGAGCTCATTGAATGCTTGG | 129 |
| IL-1β | AGTTGACGGACCCCAAAAG | AGCTGGATGCTCTCATCAGG | 75 |
| IL-6 | GCTACCAAACTGGATATAATCAGGA | CCAGGTAGCTATGGTACTCCAGAA | 78 |
| IL-12 | AGCAGTAGCAGTTCCCCTGA | AGTCCCTTTGGTCCAGTGTG | 88 |
| IL-22 | GTCAACCGCACCTTTATGCT | GAACAGTTTCTCCCCGATGA | 84 |
| IL-23 | AATAATGTGCCCCGTATCCA | AGGCTCCCCTTTGAAGATGT | 144 |
| KC | CCGAAGTCATAGCCACACTCAA | GCAGTCTGTCTTCTTTCTCCGTTAC | 128 |
| MIP-2 | AGACAGAAGTCATAGCCACTCTCAAG | CCTCCTTTCCAGGTCAGTTAGC | 126 |
| ENaC | TGTGCATTCACTCCTGCTTC | ACCCTTGGGCTTAGGGTAGA | 80 |
| SFTP-A | AAGGGAGAGCCTGGAGAAAG | AGGACTCCCATTGTTTGCAG | 113 |
| SFTP-B | TTGTCCTCCGATGTTCCACT | GGCATAGCCTGTTCACTGGT | 151 |
| SFTP-C | CAGCTCCAGGAACCTACTGC | TCGGACTCGGAACCAGTATC | 160 |
| SFTP-D | AAGCTGCATTGTTCCCTGAT | GCTGTATGGCAGCATTCTCA | 156 |
| TNF-α | TGCCTATGTCTCAGCCTCTTC | GAGGCCATTTGGGAACTTCT | 117 |
| ICAM-1 | CCTTCCTCACCGTGTACTGG | AGCGTAGGGTAAGGTTCTTGC | 90 |
| E-selectin | ACCAGCCCAGGTTGAATG | GGTTGGACAAGGCTGTGC | 89 |
| 18S rRNA | GGGAGCCTGAGAAACGGC | GGGTCGGGAGTGGGTAATTT | 68 |
Publisher’s Note: MDPI stays neutral with regard to jurisdictional claims in published maps and institutional affiliations. |
© 2021 by the authors. Licensee MDPI, Basel, Switzerland. This article is an open access article distributed under the terms and conditions of the Creative Commons Attribution (CC BY) license (https://creativecommons.org/licenses/by/4.0/).
Share and Cite
Maehara, T.; Fujimori, K. Inhibition of Prostaglandin F2α Receptors Exaggerates HCl-Induced Lung Inflammation in Mice. Int. J. Mol. Sci. 2021, 22, 12843. https://doi.org/10.3390/ijms222312843
Maehara T, Fujimori K. Inhibition of Prostaglandin F2α Receptors Exaggerates HCl-Induced Lung Inflammation in Mice. International Journal of Molecular Sciences. 2021; 22(23):12843. https://doi.org/10.3390/ijms222312843
Chicago/Turabian StyleMaehara, Toko, and Ko Fujimori. 2021. "Inhibition of Prostaglandin F2α Receptors Exaggerates HCl-Induced Lung Inflammation in Mice" International Journal of Molecular Sciences 22, no. 23: 12843. https://doi.org/10.3390/ijms222312843
APA StyleMaehara, T., & Fujimori, K. (2021). Inhibition of Prostaglandin F2α Receptors Exaggerates HCl-Induced Lung Inflammation in Mice. International Journal of Molecular Sciences, 22(23), 12843. https://doi.org/10.3390/ijms222312843

